JavaScript is disabled in your browser. Please enable JavaScript to view this website.
AB137680

Anti-Hsp70 antibody

5

(2 Reviews)

|

(5 Publications)

Rabbit Polyclonal HSPA1B antibody. Suitable for IHC-P, IP, WB, ICC/IF and reacts with Rat, Human, Mouse samples. Cited in 5 publications. Immunogen corresponding to Recombinant Fragment Protein within Human HSPA1B aa 300 to C-terminus.

View Alternative Names

HSP72, HSPA1B, Heat shock 70 kDa protein 1B, Heat shock 70 kDa protein 2, Heat shock protein family A member 1B, HSP70-2, HSP70.2

7 Images
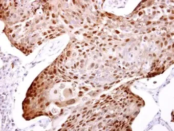
Immunohistochemistry (Formalin/PFA-fixed paraffin-embedded sections) - Anti-Hsp70 antibody (AB137680)
  • IHC-P

Supplier Data

Immunohistochemistry (Formalin/PFA-fixed paraffin-embedded sections) - Anti-Hsp70 antibody (AB137680)

Immunohistochemical analysis of paraffin-embedded human breast carcinoma tissue stained for HSP70 1A protein with ab137680 at a 1/500 dilution.

Antigen retrieval : EDTA based, pH 8.

Immunoprecipitation - Anti-Hsp70 antibody (AB137680)
  • IP

Supplier Data

Immunoprecipitation - Anti-Hsp70 antibody (AB137680)

ab137680 immunoprecipitates HSP70 1A protein in IP experiments. Samples were separated by 12% SDS-PAGE. The immunoprecipitated HSP70 1A protein was detected by ab137680 diluted at 1/1000 dilution.

All lanes:

Immunoprecipitation - Anti-Hsp70 antibody (ab137680) at 1/1000 dilution

Lane 1:

HeLa whole cell lysate at 40 µg

Lane 2:

HeLa whole cell lysate with control IgG

Lane 3:

HeLa whole cell lysate (+)

Secondary

All lanes:

Anti-Rabbit IgG

Predicted band size: 70 kDa

false

Immunohistochemistry (Formalin/PFA-fixed paraffin-embedded sections) - Anti-Hsp70 antibody (AB137680)
  • IHC-P

Supplier Data

Immunohistochemistry (Formalin/PFA-fixed paraffin-embedded sections) - Anti-Hsp70 antibody (AB137680)

Immunohistochemical analysis of paraffin-embedded rat brain tissue stained for HSP70 1A protein with ab137680 at a 1/500 dilution.

Antigen retrieval : Citrate buffer, pH 6.

Western blot - Anti-Hsp70 antibody (AB137680)
  • WB

Supplier Data

Western blot - Anti-Hsp70 antibody (AB137680)

Samples were separated by 7.5% SDS-PAGE.

All lanes:

Western blot - Anti-Hsp70 antibody (ab137680) at 1/30000 dilution

Lane 1:

293T whole cell lysate at 30 µg

Lane 2:

A431 whole cell lysate at 30 µg

Lane 3:

HeLa whole cell lysate at 30 µg

Lane 4:

HepG2 whole cell lysate at 30 µg

Secondary

All lanes:

HRP-conjugated anti-rabbit IgG

Predicted band size: 70 kDa

false

Western blot - Anti-Hsp70 antibody (AB137680)
  • WB

Supplier Data

Western blot - Anti-Hsp70 antibody (AB137680)

Samples were separated by 7.5% SDS-PAGE.

All lanes:

Western blot - Anti-Hsp70 antibody (ab137680) at 1/30000 dilution

Lane 1:

293T whole cell lysate at 30 µg

Lane 2:

A431 whole cell lysate at 30 µg

Lane 3:

HeLa whole cell lysate at 30 µg

Lane 4:

HepG2 whole cell lysate at 30 µg

Secondary

All lanes:

HRP-conjugated anti-rabbit IgG

Predicted band size: 70 kDa

false

Western blot - Anti-Hsp70 antibody (AB137680)
  • WB

Supplier Data

Western blot - Anti-Hsp70 antibody (AB137680)

Samples were separated by 7.5% SDS-PAGE.

All lanes:

Western blot - Anti-Hsp70 antibody (ab137680) at 1/1000 dilution

Lane 1:

Mouse brain tissue extract at 50 µg

Lane 2:

Rat brain tissue extract at 50 µg

Secondary

All lanes:

HRP-conjugated anti-rabbit IgG

Predicted band size: 70 kDa

false

Immunocytochemistry/ Immunofluorescence - Anti-Hsp70 antibody (AB137680)
  • ICC/IF

Unknown

Immunocytochemistry/ Immunofluorescence - Anti-Hsp70 antibody (AB137680)

Immunofluorescence analysis of methanol-fixed HeLa cells labelling Hsp70 with ab137680 at 1/200 dilution. Lower image shows cells co-stained with Hoechst 33342.

Key facts

Host species

Rabbit

Clonality

Polyclonal

Isotype

IgG

Carrier free

No

Reacts with

Mouse, Rat, Human

Applications

IHC-P, IP, WB, ICC/IF

applications

Immunogen

Recombinant Fragment Protein within Human HSPA1B aa 300 to C-terminus. The exact immunogen used to generate this antibody is proprietary information.

P0DMV9

Reactivity data

{ "title": "Reactivity Data", "filters": { "stats": ["", "Species", "Dilution Info", "Notes"], "tabs": { "all-applications": {"fullname" : "All Applications", "shortname": "All Applications"}, "IHCP" : {"fullname" : "Immunohistochemistry (Formalin/PFA-fixed paraffin-embedded sections)", "shortname":"IHC-P"}, "IP" : {"fullname" : "Immunoprecipitation", "shortname":"IP"}, "WB" : {"fullname" : "Western blot", "shortname":"WB"}, "ICCIF" : {"fullname" : "Immunocytochemistry/ Immunofluorescence", "shortname":"ICC/IF"} }, "product-promise": { "all": "all", "testedAndGuaranteed": "tested", "guaranteed": "expected", "predicted": "predicted", "notRecommended": "not-recommended" } }, "values": { "Human": { "IHCP-species-checked": "testedAndGuaranteed", "IHCP-species-dilution-info": "1/100 - 1/1000", "IHCP-species-notes": "<p></p>", "IP-species-checked": "testedAndGuaranteed", "IP-species-dilution-info": "1/500 - 1/1000", "IP-species-notes": "<p></p>", "WB-species-checked": "testedAndGuaranteed", "WB-species-dilution-info": "1/5000 - 1/30000", "WB-species-notes": "<p></p>", "ICCIF-species-checked": "testedAndGuaranteed", "ICCIF-species-dilution-info": "1/100 - 1/1000", "ICCIF-species-notes": "<p></p>" }, "Mouse": { "IHCP-species-checked": "guaranteed", "IHCP-species-dilution-info": "", "IHCP-species-notes": "", "IP-species-checked": "guaranteed", "IP-species-dilution-info": "", "IP-species-notes": "", "WB-species-checked": "testedAndGuaranteed", "WB-species-dilution-info": "1/5000 - 1/30000", "WB-species-notes": "<p></p>", "ICCIF-species-checked": "guaranteed", "ICCIF-species-dilution-info": "", "ICCIF-species-notes": "" }, "Rat": { "IHCP-species-checked": "testedAndGuaranteed", "IHCP-species-dilution-info": "1/100 - 1/1000", "IHCP-species-notes": "<p></p>", "IP-species-checked": "guaranteed", "IP-species-dilution-info": "", "IP-species-notes": "", "WB-species-checked": "testedAndGuaranteed", "WB-species-dilution-info": "1/5000 - 1/30000", "WB-species-notes": "<p></p>", "ICCIF-species-checked": "guaranteed", "ICCIF-species-dilution-info": "", "ICCIF-species-notes": "" }, "Cow": { "IHCP-species-checked": "predicted", "IHCP-species-dilution-info": "", "IHCP-species-notes": "", "IP-species-checked": "predicted", "IP-species-dilution-info": "", "IP-species-notes": "", "WB-species-checked": "predicted", "WB-species-dilution-info": "", "WB-species-notes": "", "ICCIF-species-checked": "predicted", "ICCIF-species-dilution-info": "", "ICCIF-species-notes": "" } } }

Properties and storage information

Form
Liquid
Purification technique
Affinity purification Immunogen
Storage buffer
pH: 7 Preservative: 0.025% Proclin 300 Constituents: 79% PBS, 20% Glycerol (glycerin, glycerine)
Shipped at conditions
Blue Ice
Appropriate short-term storage conditions
+4°C
Appropriate long-term storage conditions
-20°C
Aliquoting information
Upon delivery aliquot
Storage information
Avoid freeze / thaw cycle

Supplementary information

This supplementary information is collated from multiple sources and compiled automatically.

Hsp70 also known as Heat Shock Protein 70 or HSPA1B is a molecular chaperone with a mass of approximately 70 kDa. It plays a mechanical role by assisting in the proper folding of nascent polypeptide chains and the refolding of misfolded proteins. Researchers often detect Hsp70 using Western blot and immunohistochemistry (IHC) techniques. Hsp70 is widely expressed in many tissues particularly during stress conditions like heat shock where its expression level increases significantly.
Biological function summary

Hsp70 operates by stabilizing intermediate states of folding proteins preventing aggregation and facilitating the correct folding process. It often forms a complex with co-chaperones such as Hsp40 and nucleotide exchange factors. This complex is essential for the protein's activity and function. Additionally Hsp70 participates in protein degradation pathways by guiding misfolded proteins to the proteasome for degradation maintaining cellular homeostasis.

Pathways

This molecular chaperone plays significant roles in the heat shock response and unfolded protein response pathways. Hsp70 interacts closely with proteins such as Hsp90 and co-chaperones which together help protect cells from stress-induced damage. The protein also participates in the JAK/STAT signaling pathway influencing cell proliferation and apoptosis. These interactions suggest an integral role in maintaining cellular integrity during stress conditions.

Overexpression of Hsp70 has been associated with various cancers and neurodegenerative diseases. In cancer Hsp70 helps tumor cells survive the hostile tumor microenvironment partly by interacting with anti-apoptotic proteins such as Bcl-2. In neurodegenerative disorders such as Alzheimer's disease Hsp70 associates with amyloid-beta peptides potentially mitigating their aggregation toxicity. These interactions highlight Hsp70's importance in both protective and pathological cellular processes.

Product protocols

For this product, it's our understanding that no specific protocols are required. You can visit:

Target data

Molecular chaperone implicated in a wide variety of cellular processes, including protection of the proteome from stress, folding and transport of newly synthesized polypeptides, activation of proteolysis of misfolded proteins and the formation and dissociation of protein complexes. Plays a pivotal role in the protein quality control system, ensuring the correct folding of proteins, the re-folding of misfolded proteins and controlling the targeting of proteins for subsequent degradation. This is achieved through cycles of ATP binding, ATP hydrolysis and ADP release, mediated by co-chaperones. The co-chaperones have been shown to not only regulate different steps of the ATPase cycle, but they also have an individual specificity such that one co-chaperone may promote folding of a substrate while another may promote degradation. The affinity for polypeptides is regulated by its nucleotide bound state. In the ATP-bound form, it has a low affinity for substrate proteins. However, upon hydrolysis of the ATP to ADP, it undergoes a conformational change that increases its affinity for substrate proteins. It goes through repeated cycles of ATP hydrolysis and nucleotide exchange, which permits cycles of substrate binding and release. The co-chaperones are of three types : J-domain co-chaperones such as HSP40s (stimulate ATPase hydrolysis by HSP70), the nucleotide exchange factors (NEF) such as BAG1/2/3 (facilitate conversion of HSP70 from the ADP-bound to the ATP-bound state thereby promoting substrate release), and the TPR domain chaperones such as HOPX and STUB1 (PubMed : 24012426, PubMed : 24318877, PubMed : 26865365). Maintains protein homeostasis during cellular stress through two opposing mechanisms : protein refolding and degradation. Its acetylation/deacetylation state determines whether it functions in protein refolding or protein degradation by controlling the competitive binding of co-chaperones HOPX and STUB1. During the early stress response, the acetylated form binds to HOPX which assists in chaperone-mediated protein refolding, thereafter, it is deacetylated and binds to ubiquitin ligase STUB1 that promotes ubiquitin-mediated protein degradation (PubMed : 27708256). Regulates centrosome integrity during mitosis, and is required for the maintenance of a functional mitotic centrosome that supports the assembly of a bipolar mitotic spindle (PubMed : 27137183). Enhances STUB1-mediated SMAD3 ubiquitination and degradation and facilitates STUB1-mediated inhibition of TGF-beta signaling (PubMed : 24613385). Essential for STUB1-mediated ubiquitination and degradation of FOXP3 in regulatory T-cells (Treg) during inflammation (PubMed : 23973223).. (Microbial infection) In case of rotavirus A infection, serves as a post-attachment receptor for the virus to facilitate entry into the cell.
See full target information HSPA1B

Publications (5)

Recent publications for all applications. Explore the full list and refine your search

EMBO reports 24:e57972 PubMed37962001

2023

MAPL loss dysregulates bile and liver metabolism in mice.

Applications

Unspecified application

Species

Unspecified reactive species

Vanessa Goyon,Aurèle Besse-Patin,Rodolfo Zunino,Olesia Ignatenko,Mai Nguyen,Étienne Coyaud,Jonathan M Lee,Bich N Nguyen,Brian Raught,Heidi M McBride

Zoological research 44:620-635 PubMed36866625

2023

Extracellular vesicles from iPSC-MSCs alleviate chemotherapy-induced mouse ovarian damage via the ILK-PI3K/AKT pathway.

Applications

Unspecified application

Species

Unspecified reactive species

Rui-Can Cao,Yue Lv,Gang Lu,Hong-Bin Liu,Wuming Wang,Chunlai Tan,Xian-Wei Su,Zhiqiang Xiong,Jin-Long Ma,Wai-Yee Chan

Journal of nanobiotechnology 21:70 PubMed36855156

2023

Comparative study of extracellular vesicles derived from mesenchymal stem cells and brain endothelial cells attenuating blood-brain barrier permeability via regulating Caveolin-1-dependent ZO-1 and Claudin-5 endocytosis in acute ischemic stroke.

Applications

Unspecified application

Species

Unspecified reactive species

Yiyang Li,Bowen Liu,Tingting Zhao,Xingping Quan,Yan Han,Yaxin Cheng,Yanling Chen,Xu Shen,Ying Zheng,Yonghua Zhao

Experimental and therapeutic medicine 18:817-825 PubMed31258715

2019

Hypothermic properties of dexmedetomidine provide neuroprotection in rats following cerebral ischemia-reperfusion injury.

Applications

Unspecified application

Species

Unspecified reactive species

Jian Lu,Li-Jun Liu,Jian-Liang Zhu,Yi Shen,Zhi-Wei Zhuang,Chang-Lai Zhu

ACS chemical neuroscience 10:2890-2902 PubMed31017387

2019

HSP90 Inhibitor, NVP-AUY922, Improves Myelination in Vitro and Supports the Maintenance of Myelinated Axons in Neuropathic Mice.

Applications

Unspecified application

Species

Unspecified reactive species

Vinita G Chittoor-Vinod,Hannah Bazick,Adrian G Todd,Darin Falk,Kathryn H Morelli,Robert W Burgess,Thomas C Foster,Lucia Notterpek
View all publications

Product promise

We are committed to supporting your work with high-quality reagents, and we're here for you every step of the way. In the unlikely event that one of our products does not perform as expected, you're protected by our Product Promise.
For full details, please see our Terms & Conditions

Please note: All products are 'FOR RESEARCH USE ONLY. NOT FOR USE IN DIAGNOSTIC OR THERAPEUTIC PROCEDURES'.

For licensing inquiries, please contact partnerships@abcam.com