JavaScript is disabled in your browser. Please enable JavaScript to view this website.
AB194360

Anti-Hsp70 antibody [EPR16893]

4

(1 Review)

|

(11 Publications)

Rabbit Recombinant Monoclonal Hsp70 antibody. Suitable for WB, ICC/IF, Flow Cyt (Intra), IHC-P and reacts with Mouse, Rat, Human samples. Cited in 11 publications.

View Alternative Names

HSP72, HSPA1, HSX70, HSPA1A, Heat shock 70 kDa protein 1A, Heat shock 70 kDa protein 1, Heat shock protein family A member 1A, HSP70-1, HSP70.1

7 Images
Immunocytochemistry/ Immunofluorescence - Anti-Hsp70 antibody [EPR16893] (AB194360)
  • ICC/IF

Supplier Data

Immunocytochemistry/ Immunofluorescence - Anti-Hsp70 antibody [EPR16893] (AB194360)

Immunofluorescent analysis of A431 cells (4% Paraformaldehyde-fixed, 0.1% tritonX-100 permeabilized) labeling Hsp70 with ab194360 at 1/150 dilution (11 μg/mL) followed by Goat anti rabbit IgG (AlexaFluor® 488) (ab150077) secondary at 1/400 dilution and counter-stained with DAPI (blue).

Flow Cytometry (Intracellular) - Anti-Hsp70 antibody [EPR16893] (AB194360)
  • Flow Cyt (Intra)

Lab

Flow Cytometry (Intracellular) - Anti-Hsp70 antibody [EPR16893] (AB194360)

Intracellular Flow Cytometry analysis of HeLa cells labelling Hsp70 (red) with purified ab194360 at dilution of 1/120. The secondary antibody used was Alexa Fluorr® 488 goat-anti-rabbit IgG (1/2000). Cells were fixed with 4% paraformaldehyde and permeabilised with 90% methanol. Isotype control antibody was Rabbit monoclonal IgG (black). The blue line shows cells without incubation with primary antibody and secondary antibody.

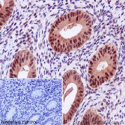
Immunohistochemistry (Formalin/PFA-fixed paraffin-embedded sections) - Anti-Hsp70 antibody [EPR16893] (AB194360)
  • IHC-P

Supplier Data

Immunohistochemistry (Formalin/PFA-fixed paraffin-embedded sections) - Anti-Hsp70 antibody [EPR16893] (AB194360)

Immunohistochemical analysis of paraffin-embedded mouse kidney tissue labeling Hsp70 with ab194360 at 1/1000 (1.67μg/mL) dilution followed by Goat Anti-Rabbit IgG H&L (HRP) (ab97051) at 1/500 dilution and counter-stained with Hematoxylin. (inset : negative control).

Perform heat mediated antigen retrieval with Tris/EDTA buffer pH 9.0 before commencing with IHC staining protocol.

Western blot - Anti-Hsp70 antibody [EPR16893] (AB194360)
  • WB

Supplier Data

Western blot - Anti-Hsp70 antibody [EPR16893] (AB194360)

All lanes:

Western blot - Anti-Hsp70 antibody [EPR16893] (ab194360) at 1/2000 dilution

Lane 1:

Mouse testis tissue lysate at 20 µg

Lane 2:

Rat testis tissue lysate at 20 µg

Secondary

All lanes:

Goat Anti-Rabbit IgG, (H+L), Peroxidase conjugate at 1/1000 dilution

Predicted band size: 70 kDa

false

Western blot - Anti-Hsp70 antibody [EPR16893] (AB194360)
  • WB

Supplier Data

Western blot - Anti-Hsp70 antibody [EPR16893] (AB194360)

All lanes:

Western blot - Anti-Hsp70 antibody [EPR16893] (ab194360) at 1/20000 dilution

Lane 1:

HepG2 cell lysate at 10 µg

Lane 2:

Jurkat cell lysate at 10 µg

Secondary

All lanes:

Goat Anti-Rabbit IgG, (H+L), Peroxidase conjugate at 1/1000 dilution

Predicted band size: 70 kDa

false

Western blot - Anti-Hsp70 antibody [EPR16893] (AB194360)
  • WB

Supplier Data

Western blot - Anti-Hsp70 antibody [EPR16893] (AB194360)

All lanes:

Western blot - Anti-Hsp70 antibody [EPR16893] (ab194360) at 1/20000 dilution

Lane 1:

HeLa cell lysate at 20 µg

Lane 2:

Human testis tissue lysate at 20 µg

Secondary

All lanes:

Goat Anti-Rabbit IgG, (H+L), Peroxidase conjugate at 1/1000 dilution

Predicted band size: 70 kDa

false

Western blot - Anti-Hsp70 antibody [EPR16893] (AB194360)
  • WB

Supplier Data

Western blot - Anti-Hsp70 antibody [EPR16893] (AB194360)

All lanes:

Western blot - Anti-Hsp70 antibody [EPR16893] (ab194360) at 1/2000 dilution

Lane 1:

C6 cell lysate at 10 µg

Lane 2:

PC12 cell lysate at 10 µg

Lane 3:

NIH 3T3 cell lysate at 10 µg

Secondary

All lanes:

Goat Anti-Rabbit IgG, (H+L), Peroxidase conjugate at 1/1000 dilution

Predicted band size: 70 kDa

false

Key facts

Host species

Rabbit

Clonality

Monoclonal

Clone number

EPR16893

Isotype

IgG

Carrier free

No

Reacts with

Mouse, Rat, Human

Applications

Flow Cyt (Intra), WB, ICC/IF, IHC-P

applications

Immunogen

The exact immunogen used to generate this antibody is proprietary information.

Reactivity data

{ "title": "Reactivity Data", "filters": { "stats": ["", "Species", "Dilution Info", "Notes"], "tabs": { "all-applications": {"fullname" : "All Applications", "shortname": "All Applications"}, "WB" : {"fullname" : "Western blot", "shortname":"WB"}, "ICCIF" : {"fullname" : "Immunocytochemistry/ Immunofluorescence", "shortname":"ICC/IF"}, "FlowCytIntra" : {"fullname" : "Flow Cytometry (Intracellular)", "shortname":"Flow Cyt (Intra)"}, "IHCP" : {"fullname" : "Immunohistochemistry (Formalin/PFA-fixed paraffin-embedded sections)", "shortname":"IHC-P"} }, "product-promise": { "all": "all", "testedAndGuaranteed": "tested", "guaranteed": "expected", "predicted": "predicted", "notRecommended": "not-recommended" } }, "values": { "Human": { "WB-species-checked": "testedAndGuaranteed", "WB-species-dilution-info": "1/1000 - 1/10000", "WB-species-notes": "<p></p>", "ICCIF-species-checked": "testedAndGuaranteed", "ICCIF-species-dilution-info": "1/150", "ICCIF-species-notes": "<p></p>", "FlowCytIntra-species-checked": "testedAndGuaranteed", "FlowCytIntra-species-dilution-info": "1/120", "FlowCytIntra-species-notes": "<p></p>", "IHCP-species-checked": "guaranteed", "IHCP-species-dilution-info": "", "IHCP-species-notes": "" }, "Mouse": { "WB-species-checked": "testedAndGuaranteed", "WB-species-dilution-info": "1/1000 - 1/10000", "WB-species-notes": "<p></p>", "ICCIF-species-checked": "guaranteed", "ICCIF-species-dilution-info": "", "ICCIF-species-notes": "", "FlowCytIntra-species-checked": "guaranteed", "FlowCytIntra-species-dilution-info": "", "FlowCytIntra-species-notes": "", "IHCP-species-checked": "testedAndGuaranteed", "IHCP-species-dilution-info": "1/1000", "IHCP-species-notes": "<p></p>" }, "Rat": { "WB-species-checked": "testedAndGuaranteed", "WB-species-dilution-info": "1/1000 - 1/10000", "WB-species-notes": "<p></p>", "ICCIF-species-checked": "guaranteed", "ICCIF-species-dilution-info": "", "ICCIF-species-notes": "", "FlowCytIntra-species-checked": "guaranteed", "FlowCytIntra-species-dilution-info": "", "FlowCytIntra-species-notes": "", "IHCP-species-checked": "guaranteed", "IHCP-species-dilution-info": "", "IHCP-species-notes": "" } } }

Product details

Patented technology
Our RabMAb® technology is a patented hybridoma-based technology for making rabbit monoclonal antibodies. For details on our patents, please refer to RabMAb® patents.

What are the advantages of a recombinant monoclonal antibody?
This product is a recombinant monoclonal antibody, which offers several advantages including:

  • - High batch-to-batch consistency and reproducibility
  • - Improved sensitivity and specificity
  • - Long-term security of supply
  • - Animal-free batch production

For more information, read more on recombinant antibodies.

Properties and storage information

Form
Liquid
Purification technique
Affinity purification Protein A
Storage buffer
pH: 7.2 - 7.4 Preservative: 0.01% Sodium azide Constituents: PBS, 40% Glycerol (glycerin, glycerine), 0.05% BSA
Shipped at conditions
Blue Ice
Appropriate short-term storage duration
1-2 weeks
Appropriate short-term storage conditions
+4°C
Appropriate long-term storage conditions
-20°C
Aliquoting information
Upon delivery aliquot
Storage information
Avoid freeze / thaw cycle

Supplementary information

This supplementary information is collated from multiple sources and compiled automatically.

Hsp70 also known as Heat Shock Protein 70 or HSPA1B is a molecular chaperone with a mass of approximately 70 kDa. It plays a mechanical role by assisting in the proper folding of nascent polypeptide chains and the refolding of misfolded proteins. Researchers often detect Hsp70 using Western blot and immunohistochemistry (IHC) techniques. Hsp70 is widely expressed in many tissues particularly during stress conditions like heat shock where its expression level increases significantly.
Biological function summary

Hsp70 operates by stabilizing intermediate states of folding proteins preventing aggregation and facilitating the correct folding process. It often forms a complex with co-chaperones such as Hsp40 and nucleotide exchange factors. This complex is essential for the protein's activity and function. Additionally Hsp70 participates in protein degradation pathways by guiding misfolded proteins to the proteasome for degradation maintaining cellular homeostasis.

Pathways

This molecular chaperone plays significant roles in the heat shock response and unfolded protein response pathways. Hsp70 interacts closely with proteins such as Hsp90 and co-chaperones which together help protect cells from stress-induced damage. The protein also participates in the JAK/STAT signaling pathway influencing cell proliferation and apoptosis. These interactions suggest an integral role in maintaining cellular integrity during stress conditions.

Overexpression of Hsp70 has been associated with various cancers and neurodegenerative diseases. In cancer Hsp70 helps tumor cells survive the hostile tumor microenvironment partly by interacting with anti-apoptotic proteins such as Bcl-2. In neurodegenerative disorders such as Alzheimer's disease Hsp70 associates with amyloid-beta peptides potentially mitigating their aggregation toxicity. These interactions highlight Hsp70's importance in both protective and pathological cellular processes.

Product protocols

For this product, it's our understanding that no specific protocols are required. You can visit:

Target data

Molecular chaperone implicated in a wide variety of cellular processes, including protection of the proteome from stress, folding and transport of newly synthesized polypeptides, activation of proteolysis of misfolded proteins and the formation and dissociation of protein complexes. Plays a pivotal role in the protein quality control system, ensuring the correct folding of proteins, the re-folding of misfolded proteins and controlling the targeting of proteins for subsequent degradation. This is achieved through cycles of ATP binding, ATP hydrolysis and ADP release, mediated by co-chaperones. The co-chaperones have been shown to not only regulate different steps of the ATPase cycle, but they also have an individual specificity such that one co-chaperone may promote folding of a substrate while another may promote degradation. The affinity for polypeptides is regulated by its nucleotide bound state. In the ATP-bound form, it has a low affinity for substrate proteins. However, upon hydrolysis of the ATP to ADP, it undergoes a conformational change that increases its affinity for substrate proteins. It goes through repeated cycles of ATP hydrolysis and nucleotide exchange, which permits cycles of substrate binding and release. The co-chaperones are of three types : J-domain co-chaperones such as HSP40s (stimulate ATPase hydrolysis by HSP70), the nucleotide exchange factors (NEF) such as BAG1/2/3 (facilitate conversion of HSP70 from the ADP-bound to the ATP-bound state thereby promoting substrate release), and the TPR domain chaperones such as HOPX and STUB1 (PubMed : 24012426, PubMed : 24318877, PubMed : 26865365). Maintains protein homeostasis during cellular stress through two opposing mechanisms : protein refolding and degradation. Its acetylation/deacetylation state determines whether it functions in protein refolding or protein degradation by controlling the competitive binding of co-chaperones HOPX and STUB1. During the early stress response, the acetylated form binds to HOPX which assists in chaperone-mediated protein refolding, thereafter, it is deacetylated and binds to ubiquitin ligase STUB1 that promotes ubiquitin-mediated protein degradation (PubMed : 27708256). Regulates centrosome integrity during mitosis, and is required for the maintenance of a functional mitotic centrosome that supports the assembly of a bipolar mitotic spindle (PubMed : 27137183). Enhances STUB1-mediated SMAD3 ubiquitination and degradation and facilitates STUB1-mediated inhibition of TGF-beta signaling (PubMed : 24613385). Essential for STUB1-mediated ubiquitination and degradation of FOXP3 in regulatory T-cells (Treg) during inflammation (PubMed : 23973223). Required as a co-chaperone for optimal STUB1/CHIP ubiquitination of NFATC3 (By similarity). Negatively regulates heat shock-induced HSF1 transcriptional activity during the attenuation and recovery phase period of the heat shock response (PubMed : 9499401). Involved in the clearance of misfolded PRDM1/Blimp-1 proteins. Sequesters them in the cytoplasm and promotes their association with SYNV1/HRD1, leading to proteasomal degradation (PubMed : 28842558).. (Microbial infection) In case of rotavirus A infection, serves as a post-attachment receptor for the virus to facilitate entry into the cell.
See full target information HSPA1A

Publications (11)

Recent publications for all applications. Explore the full list and refine your search

Acta pharmaceutica Sinica. B 15:2703-2722 PubMed40487662

2025

A cisplatin prodrug-based self-assembling ozone delivery nanosystem sensitizes radiotherapy in triple-negative breast cancer.

Applications

Unspecified application

Species

Unspecified reactive species

Tianyue Xu,Dan Zheng,Meixu Chen,Linlin Song,Zhihui Liu,Yan Cheng,Yujie Zhao,Liwen Huang,Yixuan Li,Zhankun Yang,Cong Li,Biao Dong,Jing Jing,Hubing Shi

Acta pharmaceutica Sinica. B 14:5008-5025 PubMed39664429

2024

Combination of anti-inflammatory therapy and RNA interference by light-inducible hybrid nanomedicine for osteoarthritis treatment.

Applications

Unspecified application

Species

Unspecified reactive species

Li Qiao,Zhiyao Li,Bowen Li,Fu Zhang,Zhuo Yao,Chongzhi Wu,Honglin Tang,Qi Pan,Peihua Shi,Yuan Ping

Journal of cellular physiology 239:e31344 PubMed38949237

2024

Cancer-associated fibroblasts-secreted exosomal miR-92a-3p promotes tumor growth and stemness in hepatocellular carcinoma through activation of Wnt/β-catenin signaling pathway by suppressing AXIN1.

Applications

Unspecified application

Species

Unspecified reactive species

Zenong Su,Chao Lu,Feifei Zhang,Huan Liu,Meiqing Li,Meng Qiao,Xiaohong Zou,Danyang Luo,Haojing Li,Min He,Han Se,Jing Jing,Xiangcheng Wang,Hao Yang,Hong Yang

Redox biology 69:103007 PubMed38150993

2023

Inhibiting the compensatory elevation of xCT collaborates with disulfiram/copper-induced GSH consumption for cascade ferroptosis and cuproptosis.

Applications

Unspecified application

Species

Unspecified reactive species

Ping Zhang,Chaoting Zhou,Xueying Ren,Qiangan Jing,Yan Gao,Chen Yang,Yuhuan Shen,Yi Zhou,Wanye Hu,Feifan Jin,Haifeng Xu,Lingyan Yu,Yingchao Liu,Xiangmin Tong,Yanchun Li,Ying Wang,Jing Du

Cancer science 114:4314-4328 PubMed37705202

2023

LINC01305 recruits basonuclin 1 to act on G-protein pathway suppressor 1 to promote esophageal squamous cell carcinoma.

Applications

Unspecified application

Species

Unspecified reactive species

Li Xiong,Jinsong Tan,Ruolan Zhang,Qiongxian Long,Rong Xiong,Yanqun Liu,Yun Liu,Jiancai Tang,Yan Li,Gang Feng,Guiqin Song,Kang Liu

Cancers 15: PubMed37444524

2023

Externally Applied Electromagnetic Fields and Hyperthermia Irreversibly Damage Cancer Cells.

Applications

Unspecified application

Species

Unspecified reactive species

Elena Obrador,Ali Jihad-Jebbar,Rosario Salvador-Palmer,Rafael López-Blanch,María Oriol-Caballo,María Paz Moreno-Murciano,Enrique A Navarro,Rosa Cibrian,José M Estrela

Epilepsia open 8:586-608 PubMed37026764

2023

Early preclinical plasma protein biomarkers of brain trauma are influenced by early seizures and levetiracetam.

Applications

Unspecified application

Species

Unspecified reactive species

Patricia G Saletti,Wenzhu B Mowrey,Wei Liu,Qianyun Li,Jesse McCullough,Roxanne Aniceto,I-Hsuan Lin,Michael Eklund,Pablo M Casillas-Espinosa,Idrish Ali,Cesar Santana-Gomez,Lisa Coles,Sandy R Shultz,Nigel Jones,Richard Staba,Terence J O'Brien,Solomon L Moshé,Denes V Agoston,Aristea S Galanopoulou

The Journal of biological chemistry 298:102158 PubMed35724963

2022

A biosensor of protein foldedness identifies increased "holdase" activity of chaperones in the nucleus following increased cytosolic protein aggregation.

Applications

Unspecified application

Species

Unspecified reactive species

Candice B Raeburn,Angelique R Ormsby,Dezerae Cox,Chloe A Gerak,Christian Makhoul,Nagaraj S Moily,Simon Ebbinghaus,Alex Dickson,Gawain McColl,Danny M Hatters

Biology of reproduction 106:1292-1311 PubMed35293971

2022

Placental structure, function, and mitochondrial phenotype relate to fetal size in each fetal sex in mice†.

Applications

Unspecified application

Species

Unspecified reactive species

Esteban Salazar-Petres,Daniela Pereira-Carvalho,Jorge Lopez-Tello,Amanda Nancy Sferruzzi-Perri

Scientific reports 11:14253 PubMed34244565

2021

Reciprocal interaction between SIRT6 and APC/C regulates genomic stability.

Applications

Unspecified application

Species

Unspecified reactive species

Helin Wang,Kangze Feng,Qingtao Wang,Haiteng Deng
View all publications

Product promise

We are committed to supporting your work with high-quality reagents, and we're here for you every step of the way. In the unlikely event that one of our products does not perform as expected, you're protected by our Product Promise.
For full details, please see our Terms & Conditions

Please note: All products are 'FOR RESEARCH USE ONLY. NOT FOR USE IN DIAGNOSTIC OR THERAPEUTIC PROCEDURES'.

For licensing inquiries, please contact partnerships@abcam.com