JavaScript is disabled in your browser. Please enable JavaScript to view this website.
AB182844

Anti-Hsp70 antibody [EPR17677]

Be the first to review this product! Submit a review

|

(1 Publication)

Rabbit Recombinant Monoclonal Hsp70 antibody. Suitable for IP, WB, ICC/IF, Flow Cyt (Intra), IHC-P and reacts with Human samples. Cited in 1 publication.

View Alternative Names

HSP72, HSPA1, HSX70, HSPA1A, Heat shock 70 kDa protein 1A, Heat shock 70 kDa protein 1, Heat shock protein family A member 1A, HSP70-1, HSP70.1

10 Images
Immunohistochemistry (Formalin/PFA-fixed paraffin-embedded sections) - Anti-Hsp70 antibody [EPR17677] (AB182844)
  • IHC-P

Supplier Data

Immunohistochemistry (Formalin/PFA-fixed paraffin-embedded sections) - Anti-Hsp70 antibody [EPR17677] (AB182844)

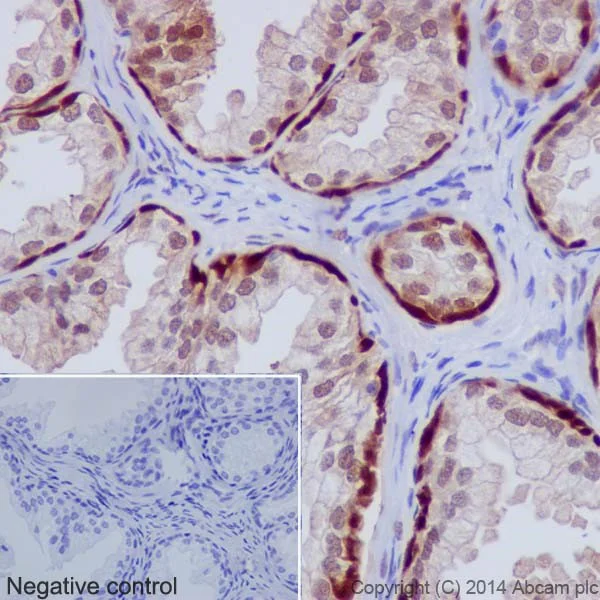
Immunohistochemical analysis of paraffin-embedded Human prostate tissue labeling Hsp70 with ab182844 at 1/400 dilution followed by Goat Anti-Rabbit IgG H&L (HRP) (ab97051) secondary antibody at 1/500 dilution. Nuclear and cytoplasmic staining on epithelial cells of Human prostate is observed. Counter stained with Hematoxylin.

Negative control : Used PBS instead of primary antibody secondary antibody is Goat Anti-Rabbit IgG H&L (HRP) (ab97051) at 1/500 dilution.

Perform heat mediated antigen retrieval with Tris/EDTA buffer pH 9.0 before commencing with IHC staining protocol.

Immunohistochemistry (Formalin/PFA-fixed paraffin-embedded sections) - Anti-Hsp70 antibody [EPR17677] (AB182844)
  • IHC-P

Supplier Data

Immunohistochemistry (Formalin/PFA-fixed paraffin-embedded sections) - Anti-Hsp70 antibody [EPR17677] (AB182844)

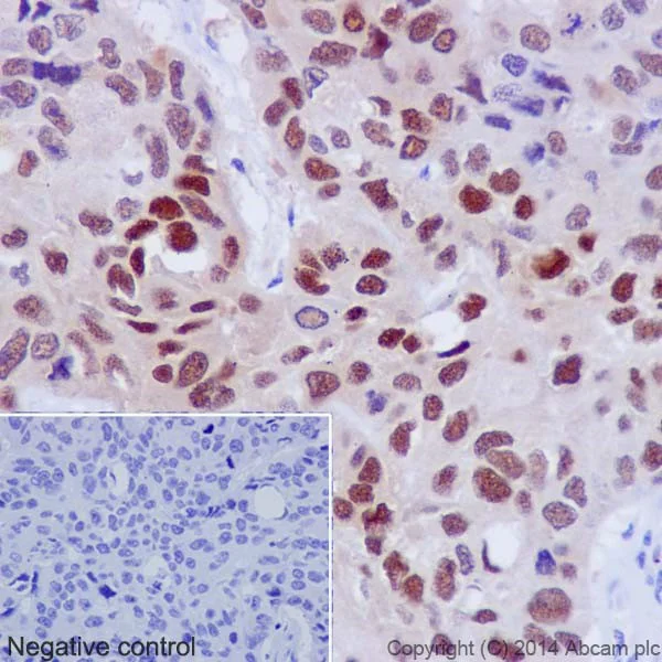
Immunohistochemical analysis of paraffin-embedded Human lung squamous cell carcinoma tissue labeling Hsp70 with ab182844 at 1/400 dilution followed by Goat Anti-Rabbit IgG H&L (HRP) (ab97051) secondary antibody at 1/500 dilution. Nuclear and cytoplasmic staining on cancer cells of Human lung squamous cell carcinoma is observed. Counter stained with Hematoxylin.

Negative control : Used PBS instead of primary antibody secondary antibody is Goat Anti-Rabbit IgG H&L (HRP) (ab97051) at 1/500 dilution.

Perform heat mediated antigen retrieval with Tris/EDTA buffer pH 9.0 before commencing with IHC staining protocol.

Immunohistochemistry (Formalin/PFA-fixed paraffin-embedded sections) - Anti-Hsp70 antibody [EPR17677] (AB182844)
  • IHC-P

Supplier Data

Immunohistochemistry (Formalin/PFA-fixed paraffin-embedded sections) - Anti-Hsp70 antibody [EPR17677] (AB182844)

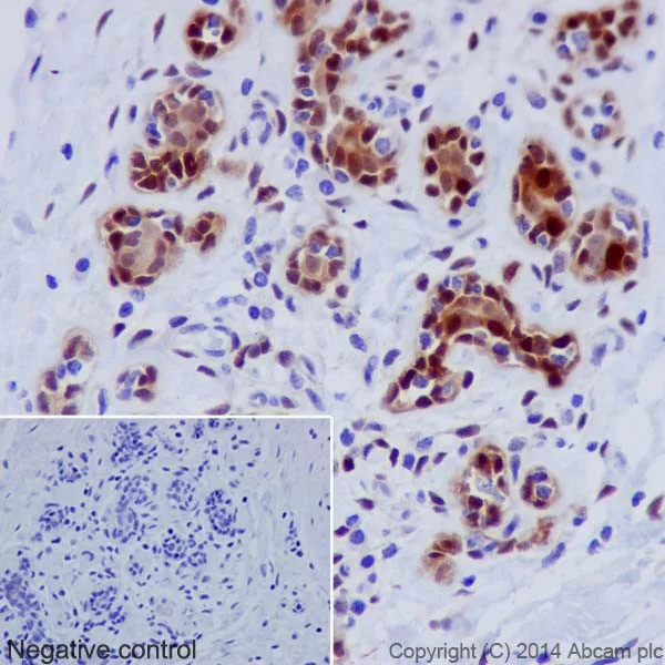
Immunohistochemical analysis of paraffin-embedded Human breast tissue labeling Hsp70 with ab182844 at 1/400 dilution followed by Goat Anti-Rabbit IgG H&L (HRP) (ab97051) secondary antibody at 1/500 dilution. Nuclear and cytoplasmic staining on epithelial cells of Human mammary glands is observed. Counter stained with Hematoxylin.

Negative control : Used PBS instead of primary antibody secondary antibody is Goat Anti-Rabbit IgG H&L (HRP) (ab97051) at 1/500 dilution.

Perform heat mediated antigen retrieval with Tris/EDTA buffer pH 9.0 before commencing with IHC staining protocol.

Immunohistochemistry (Formalin/PFA-fixed paraffin-embedded sections) - Anti-Hsp70 antibody [EPR17677] (AB182844)
  • IHC-P

Supplier Data

Immunohistochemistry (Formalin/PFA-fixed paraffin-embedded sections) - Anti-Hsp70 antibody [EPR17677] (AB182844)

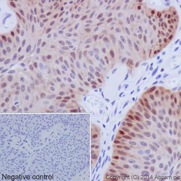
Immunohistochemical analysis of paraffin-embedded Human transitional cell carcinoma of bladder tissue labeling Hsp70 with ab182844 at 1/400 dilution followed by Goat Anti-Rabbit IgG H&L (HRP) (ab97051) secondary antibody at 1/500 dilution. Nuclear and cytoplasmic staining on cancer cells of Human transitional cell carcinoma of bladder is observed. Counter stained with Hematoxylin.

Negative control : Used PBS instead of primary antibody secondary antibody is Goat Anti-Rabbit IgG H&L (HRP) (ab97051) at 1/500 dilution.

Perform heat mediated antigen retrieval with Tris/EDTA buffer pH 9.0 before commencing with IHC staining protocol.

Immunocytochemistry/ Immunofluorescence - Anti-Hsp70 antibody [EPR17677] (AB182844)
  • ICC/IF

Supplier Data

Immunocytochemistry/ Immunofluorescence - Anti-Hsp70 antibody [EPR17677] (AB182844)

Immunofluorescent analysis of 4% paraformaldehyde-fixed 0.1% Triton X-100 permeabilized HeLa cells (Human epithelial cells from cervix adenocarcinoma) labeling Hsp70 with ab182844 at 1/100 dilution followed by Alexa Fluor®488 Goat Anti-Rabbit IgG H&L (ab150077) secondary antibody at 1/500 dilution (green). Confocal image showing both cytoplasmic and nuclear staining on HeLa cell line. The nuclear counter stain is DAPI (blue). Tubulin is detected with ab7291 (anti-Tubulin mouse mAb) at 1/1000 dilution and ab150120 (AlexaFluor®594 Goat anti-Mouse secondary) at 1/500 dilution (red).
The negative controls are as follows :
-ve control 1 : ab182844 at 1/100 dilution followed by ab150120 (AlexaFluor®594 Goat anti-Mouse secondary) at 1/500 dilution.
-ve control 2 : ab7291 (anti-Tubulin mouse mAb) at 1/1000 dilution followed by ab150077 (Alexa Fluor®488 Goat Anti-Rabbit IgG H&L) at 1/500 dilution.

Flow Cytometry (Intracellular) - Anti-Hsp70 antibody [EPR17677] (AB182844)
  • Flow Cyt (Intra)

Supplier Data

Flow Cytometry (Intracellular) - Anti-Hsp70 antibody [EPR17677] (AB182844)

Intracellular flow cytometric analysis of 2% paraformaldehyde-fixed HeLa (Human epithelial cells from cervix adenocarcinoma) cells labeling Hsp70 with ab182844 at 1/30 dilution (red) compared with a rabbit monoclonal IgG isotype control (black) and an unlabelled control (cells without incubation with primary antibody and secondary antibody; blue). Goat anti rabbit IgG (FITC) at 1/150 dilution was used as the secondary antibody.

Immunoprecipitation - Anti-Hsp70 antibody [EPR17677] (AB182844)
  • IP

Supplier Data

Immunoprecipitation - Anti-Hsp70 antibody [EPR17677] (AB182844)

Hsp70 was immunoprecipitated from HeLa (Human epithelial cells from cervix adenocarcinoma) whole cell extract with ab182844 at 1/30 dilution. Western blot was performed from the immunoprecipitate using ab182844 at 1/1000 dilution. Anti-Rabbit IgG (HRP), specific to the non-reduced form of IgG, was used as secondary antibody at 1/1500 dilution.

Lane 1 : HeLa whole cell extract (Input) 10 μg.

Lane 2 : ab182844 IP in HeLa whole cell extract.

Lane 3 : Rabbit monoclonal IgG (ab172730) instead of ab182844 in HeLa whole cell extract.
Blocking and dilution buffer and concentration : 5% NFDM/TBST.

All lanes:

Immunoprecipitation - Anti-Hsp70 antibody [EPR17677] (ab182844)

Predicted band size: 70 kDa

false

Western blot - Anti-Hsp70 antibody [EPR17677] (AB182844)
  • WB

Supplier Data

Western blot - Anti-Hsp70 antibody [EPR17677] (AB182844)

Blocking and Diluting buffer and concentration : 5% NFDM/TBST

All lanes:

Western blot - Anti-Hsp70 antibody [EPR17677] (ab182844) at 1/50000 dilution

Lane 1:

MCF7 (Human breast adenocarcinoma cell line) whole cell lysate untreated at 37°C at 10 µg

Lane 2:

MCF7 whole cell lysate heat shock (43°C) treated for 1 hour at 10 µg

Lane 3:

MCF7 whole cell lysate heat shock (43°C) treated for 2 hours at 10 µg

Lane 4:

MCF7 whole cell lysate heat shock (43°C) treated for 3 hours at 10 µg

Lane 5:

MCF7 whole cell lysate heat shock (43°C) treated for 4 hours at 10 µg

Lane 6:

MCF7 whole cell lysate heat shock (43°C) treated for 5 hours at 10 µg

Lane 7:

MCF7 whole cell lysate heat shock (43°C) treated for 6 hours at 10 µg

Secondary

All lanes:

Anti-Rabbit IgG (HRP), specific to the non-reduced form of IgG at 1/1000 dilution

Predicted band size: 70 kDa

Observed band size: 70 kDa

false

Exposure time: 30s

Western blot - Anti-Hsp70 antibody [EPR17677] (AB182844)
  • WB

Supplier Data

Western blot - Anti-Hsp70 antibody [EPR17677] (AB182844)

Blocking/Dilution buffer : 5% NFDM/TBST.

All lanes:

Western blot - Anti-Hsp70 antibody [EPR17677] (ab182844) at 1/5000 dilution

Lane 1:

HeLa (Human epithelial cells from cervix adenocarcinoma) whole cell lysate at 20 µg

Lane 2:

A431 (Human epidermoid carcinoma) whole cell lysate at 20 µg

Lane 3:

K562 (Human chronic myelogenous leukemia cells from bone marrow) whole cell lysate at 20 µg

Secondary

All lanes:

Goat Anti-Rabbit IgG, (H+L),Peroxidase conjugated at 1/1000 dilution

Predicted band size: 70 kDa

Observed band size: 70 kDa

false

Western blot - Anti-Hsp70 antibody [EPR17677] (AB182844)
  • WB

Supplier Data

Western blot - Anti-Hsp70 antibody [EPR17677] (AB182844)

Blocking/Dilution buffer : 5% NFDM/TBST.

All lanes:

Western blot - Anti-Hsp70 antibody [EPR17677] (ab182844) at 1/1000 dilution

Lane 1:

Human fetal brain lysate at 10 µg

Lane 2:

Human fetal heart lysate at 10 µg

Lane 3:

Human fetal kidney lysate at 10 µg

Secondary

All lanes:

Anti-Rabbit IgG (HRP), specific to the non-reduced form of IgG at 1/1000 dilution

Predicted band size: 70 kDa

Observed band size: 70 kDa

false

  • 578 PE

    PE Anti-Hsp70 antibody [EPR17677]

  • Carrier free

    Anti-Hsp70 antibody [EPR17677] - BSA and Azide free

  • 519 Alexa Fluor® 488

    Alexa Fluor® 488 Anti-Hsp70 antibody [EPR17677]

Key facts

Host species

Rabbit

Clonality

Monoclonal

Clone number

EPR17677

Isotype

IgG

Carrier free

No

Reacts with

Human

Applications

ICC/IF, IP, IHC-P, Flow Cyt (Intra), WB

applications

Immunogen

The exact immunogen used to generate this antibody is proprietary information.

Reactivity data

{ "title": "Reactivity Data", "filters": { "stats": ["", "Species", "Dilution Info", "Notes"], "tabs": { "all-applications": {"fullname" : "All Applications", "shortname": "All Applications"}, "IP" : {"fullname" : "Immunoprecipitation", "shortname":"IP"}, "WB" : {"fullname" : "Western blot", "shortname":"WB"}, "ICCIF" : {"fullname" : "Immunocytochemistry/ Immunofluorescence", "shortname":"ICC/IF"}, "FlowCytIntra" : {"fullname" : "Flow Cytometry (Intracellular)", "shortname":"Flow Cyt (Intra)"}, "IHCP" : {"fullname" : "Immunohistochemistry (Formalin/PFA-fixed paraffin-embedded sections)", "shortname":"IHC-P"} }, "product-promise": { "all": "all", "testedAndGuaranteed": "tested", "guaranteed": "expected", "predicted": "predicted", "notRecommended": "not-recommended" } }, "values": { "Human": { "IP-species-checked": "testedAndGuaranteed", "IP-species-dilution-info": "1/30", "IP-species-notes": "<p></p>", "WB-species-checked": "testedAndGuaranteed", "WB-species-dilution-info": "1/1000", "WB-species-notes": "<p></p>", "ICCIF-species-checked": "testedAndGuaranteed", "ICCIF-species-dilution-info": "1/100", "ICCIF-species-notes": "<p></p>", "FlowCytIntra-species-checked": "testedAndGuaranteed", "FlowCytIntra-species-dilution-info": "1/30", "FlowCytIntra-species-notes": "<p><a href='/en-us/products/primary-antibodies/rabbit-igg-monoclonal-epr25a-isotype-control-ab172730'>ab172730</a> - Rabbit monoclonal IgG, is suitable for use as an isotype control with this antibody.</p>", "IHCP-species-checked": "testedAndGuaranteed", "IHCP-species-dilution-info": "1/400", "IHCP-species-notes": "<p></p>" } } }

You may be interested in:

AB133060

HSP70 ELISA Kit

4

1 Reviews

View product

We recommend this product because it’s often used in the same experiment or related research.

We advise that you always check the datasheet to ensure it fits your experiments, or contact ourtechnical teamfor help.

Product details

Properties and storage information

Form
Liquid
Purification technique
Affinity purification Protein A
Storage buffer
pH: 7.2 Preservative: 0.01% Sodium azide Constituents: 59% PBS, 40% Glycerol (glycerin, glycerine), 0.05% BSA
Shipped at conditions
Blue Ice
Appropriate short-term storage duration
1-2 weeks
Appropriate short-term storage conditions
+4°C
Appropriate long-term storage conditions
-20°C
Aliquoting information
Upon delivery aliquot
Storage information
Avoid freeze / thaw cycle

Supplementary information

This supplementary information is collated from multiple sources and compiled automatically.

Hsp70 also known as Heat Shock Protein 70 or HSPA1B is a molecular chaperone with a mass of approximately 70 kDa. It plays a mechanical role by assisting in the proper folding of nascent polypeptide chains and the refolding of misfolded proteins. Researchers often detect Hsp70 using Western blot and immunohistochemistry (IHC) techniques. Hsp70 is widely expressed in many tissues particularly during stress conditions like heat shock where its expression level increases significantly.
Biological function summary

Hsp70 operates by stabilizing intermediate states of folding proteins preventing aggregation and facilitating the correct folding process. It often forms a complex with co-chaperones such as Hsp40 and nucleotide exchange factors. This complex is essential for the protein's activity and function. Additionally Hsp70 participates in protein degradation pathways by guiding misfolded proteins to the proteasome for degradation maintaining cellular homeostasis.

Pathways

This molecular chaperone plays significant roles in the heat shock response and unfolded protein response pathways. Hsp70 interacts closely with proteins such as Hsp90 and co-chaperones which together help protect cells from stress-induced damage. The protein also participates in the JAK/STAT signaling pathway influencing cell proliferation and apoptosis. These interactions suggest an integral role in maintaining cellular integrity during stress conditions.

Overexpression of Hsp70 has been associated with various cancers and neurodegenerative diseases. In cancer Hsp70 helps tumor cells survive the hostile tumor microenvironment partly by interacting with anti-apoptotic proteins such as Bcl-2. In neurodegenerative disorders such as Alzheimer's disease Hsp70 associates with amyloid-beta peptides potentially mitigating their aggregation toxicity. These interactions highlight Hsp70's importance in both protective and pathological cellular processes.

Product protocols

For this product, it's our understanding that no specific protocols are required. You can visit:

Target data

Molecular chaperone implicated in a wide variety of cellular processes, including protection of the proteome from stress, folding and transport of newly synthesized polypeptides, activation of proteolysis of misfolded proteins and the formation and dissociation of protein complexes. Plays a pivotal role in the protein quality control system, ensuring the correct folding of proteins, the re-folding of misfolded proteins and controlling the targeting of proteins for subsequent degradation. This is achieved through cycles of ATP binding, ATP hydrolysis and ADP release, mediated by co-chaperones. The co-chaperones have been shown to not only regulate different steps of the ATPase cycle, but they also have an individual specificity such that one co-chaperone may promote folding of a substrate while another may promote degradation. The affinity for polypeptides is regulated by its nucleotide bound state. In the ATP-bound form, it has a low affinity for substrate proteins. However, upon hydrolysis of the ATP to ADP, it undergoes a conformational change that increases its affinity for substrate proteins. It goes through repeated cycles of ATP hydrolysis and nucleotide exchange, which permits cycles of substrate binding and release. The co-chaperones are of three types : J-domain co-chaperones such as HSP40s (stimulate ATPase hydrolysis by HSP70), the nucleotide exchange factors (NEF) such as BAG1/2/3 (facilitate conversion of HSP70 from the ADP-bound to the ATP-bound state thereby promoting substrate release), and the TPR domain chaperones such as HOPX and STUB1 (PubMed : 24012426, PubMed : 24318877, PubMed : 26865365). Maintains protein homeostasis during cellular stress through two opposing mechanisms : protein refolding and degradation. Its acetylation/deacetylation state determines whether it functions in protein refolding or protein degradation by controlling the competitive binding of co-chaperones HOPX and STUB1. During the early stress response, the acetylated form binds to HOPX which assists in chaperone-mediated protein refolding, thereafter, it is deacetylated and binds to ubiquitin ligase STUB1 that promotes ubiquitin-mediated protein degradation (PubMed : 27708256). Regulates centrosome integrity during mitosis, and is required for the maintenance of a functional mitotic centrosome that supports the assembly of a bipolar mitotic spindle (PubMed : 27137183). Enhances STUB1-mediated SMAD3 ubiquitination and degradation and facilitates STUB1-mediated inhibition of TGF-beta signaling (PubMed : 24613385). Essential for STUB1-mediated ubiquitination and degradation of FOXP3 in regulatory T-cells (Treg) during inflammation (PubMed : 23973223). Required as a co-chaperone for optimal STUB1/CHIP ubiquitination of NFATC3 (By similarity). Negatively regulates heat shock-induced HSF1 transcriptional activity during the attenuation and recovery phase period of the heat shock response (PubMed : 9499401). Involved in the clearance of misfolded PRDM1/Blimp-1 proteins. Sequesters them in the cytoplasm and promotes their association with SYNV1/HRD1, leading to proteasomal degradation (PubMed : 28842558).. (Microbial infection) In case of rotavirus A infection, serves as a post-attachment receptor for the virus to facilitate entry into the cell.
See full target information HSPA1A

Publications (1)

Recent publications for all applications. Explore the full list and refine your search

Gastroenterology 154:1066-1079.e5 PubMed29113809

2017

MIR21 Drives Resistance to Heat Shock Protein 90 Inhibition in Cholangiocarcinoma.

Applications

WB

Species

Unspecified reactive species

Andrea Lampis,Pietro Carotenuto,Georgios Vlachogiannis,Luciano Cascione,Somaieh Hedayat,Rosemary Burke,Paul Clarke,Else Bosma,Michele Simbolo,Aldo Scarpa,Sijia Yu,Rebecca Cole,Elizabeth Smyth,Javier Fernández Mateos,Ruwaida Begum,Blanka Hezelova,Zakaria Eltahir,Andrew Wotherspoon,Nicos Fotiadis,Maria Antonietta Bali,Chirag Nepal,Khurum Khan,Mark Stubbs,Jens C Hahne,Pierluigi Gasparini,Vincenza Guzzardo,Carlo M Croce,Suzanne Eccles,Matteo Fassan,David Cunningham,Jesper B Andersen,Paul Workman,Nicola Valeri,Chiara Braconi
View all publications

Product promise

We are committed to supporting your work with high-quality reagents, and we're here for you every step of the way. In the unlikely event that one of our products does not perform as expected, you're protected by our Product Promise.
For full details, please see our Terms & Conditions

Associated Products

Select an associated product type
Alternative Product
Primary Antibodies

AB228421

Anti-Hsp70 (phospho S153) antibody

primary-antibodies

hsp70-phospho-s153-antibody-ab228421

0

(0 reviews)

Alternative Product
Primary Antibodies

AB137680

Anti-Hsp70 antibody

primary-antibodies

hsp70-antibody-ab137680

5

(2 reviews)

Alternative Product
Primary Antibodies

AB240902

Anti-Hsp70 antibody

primary-antibodies

hsp70-antibody-ab240902

0

(0 reviews)

Alternative Product
Primary Antibodies

AB47454

Anti-Hsp70 antibody [N27F3-4]

primary-antibodies

hsp70-antibody-n27f3-4-ab47454

4

(3 reviews)

Alternative Product
Primary Antibodies

AB79852

Anti-Hsp70 antibody

primary-antibodies

hsp70-antibody-ab79852

4

(3 reviews)

Alternative Product
Primary Antibodies

AB5442

Anti-Hsp70 antibody [2A4]

primary-antibodies

hsp70-antibody-2a4-ab5442

4

(1 reviews)

Alternative Product
Primary Antibodies

AB2787

Anti-Hsp70 antibody [5A5]

primary-antibodies

hsp70-antibody-5a5-ab2787

5

(18 reviews)

Alternative Product
Primary Antibodies

AB239496

Anti-Hsp70 antibody [C9]

primary-antibodies

hsp70-antibody-c9-ab239496

0

(0 reviews)

Alternative Product
Primary Antibodies

AB239732

Anti-Hsp70 antibody [C7]

primary-antibodies

hsp70-antibody-c7-ab239732

0

(0 reviews)

Alternative Product
Primary Antibodies

AB5439

Anti-Hsp70 antibody [3A3]

primary-antibodies

hsp70-antibody-3a3-ab5439

5

(5 reviews)

Alternative Product
Primary Antibodies

AB197870

Alexa Fluor® 488 Anti-Hsp70 antibody [EP1007Y]

primary-antibodies

alexa-fluor-488-hsp70-antibody-ep1007y-ab197870

0

(0 reviews)

Alternative Product
Primary Antibodies

AB205485

HRP Anti-Hsp70 antibody [EPR16892]

primary-antibodies

hrp-hsp70-antibody-epr16892-ab205485

0

(0 reviews)

Alternative Product
Primary Antibodies

AB223390

PerCP Anti-Hsp70 antibody [EP1007Y]

primary-antibodies

percp-hsp70-antibody-ep1007y-ab223390

0

(0 reviews)

Alternative Product
Primary Antibodies

AB208878

PE Anti-Hsp70 antibody [EPR16892]

primary-antibodies

pe-hsp70-antibody-epr16892-ab208878

0

(0 reviews)

Alternative Product
Primary Antibodies

AB223391

PE Anti-Hsp70 antibody [EP1007Y]

primary-antibodies

pe-hsp70-antibody-ep1007y-ab223391

0

(0 reviews)

Please note: All products are 'FOR RESEARCH USE ONLY. NOT FOR USE IN DIAGNOSTIC OR THERAPEUTIC PROCEDURES'.

For licensing inquiries, please contact partnerships@abcam.com