JavaScript is disabled in your browser. Please enable JavaScript to view this website.
AB79849

Anti-Hsp90 alpha antibody [2G5.G3]

5

(1 Review)

|

(27 Publications)

Mouse Monoclonal HS90A antibody. Suitable for Flow Cyt, IHC-P, ICC/IF, WB and reacts with Human, Mouse samples. Cited in 27 publications. Immunogen corresponding to Recombinant Full Length Protein corresponding to Human HSP90AA1.

View Alternative Names

HSP90A, HSPC1, HSPCA, HSP90AA1, Heat shock protein HSP 90-alpha, Heat shock 86 kDa, Heat shock protein family C member 1, Lipopolysaccharide-associated protein 2, Renal carcinoma antigen NY-REN-38, HSP 86, HSP86, LAP-2, LPS-associated protein 2

5 Images
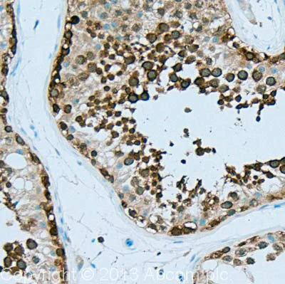
Immunohistochemistry (Formalin/PFA-fixed paraffin-embedded sections) - Anti-Hsp90 alpha antibody [2G5.G3] (AB79849)
  • IHC-P

Unknown

Immunohistochemistry (Formalin/PFA-fixed paraffin-embedded sections) - Anti-Hsp90 alpha antibody [2G5.G3] (AB79849)

IHC image of Hsp90 alpha staining in Human Testis formalin fixed paraffin embedded tissue section, performed on a Leica Bond™ system using the standard protocol F. The section was pre-treated using heat mediated antigen retrieval with sodium citrate buffer (pH6, epitope retrieval solution 1) for 20 mins. The section was then incubated with ab79849, 0.5 μg/ml, for 15 mins at room temperature and detected using an HRP conjugated compact polymer system. DAB was used as the chromogen. The section was then counterstained with haematoxylin and mounted with DPX.

For other IHC staining systems (automated and non-automated) customers should optimize variable parameters such as antigen retrieval conditions, primary antibody concentration and antibody incubation times.

Immunocytochemistry/ Immunofluorescence - Anti-Hsp90 alpha antibody [2G5.G3] (AB79849)
  • ICC/IF

Unknown

Immunocytochemistry/ Immunofluorescence - Anti-Hsp90 alpha antibody [2G5.G3] (AB79849)

ab79849 at 1/100 dilution staining Hsp90 alpha in human keratinocyte cell line HaCaT by Immunocytochemistry/ immunofluorescence. A Fluorophore conjugated goat anti mouse was used as secondary at 1/50 dilution.

Flow Cytometry - Anti-Hsp90 alpha antibody [2G5.G3] (AB79849)
  • Flow Cyt

Unknown

Flow Cytometry - Anti-Hsp90 alpha antibody [2G5.G3] (AB79849)

Overlay histogram showing HeLa cells stained with ab79849 (red line). The cells were fixed with 80% methanol (5 min) and then permeabilized with 0.1% PBS-Tween for 20 min. The cells were then incubated in 1x PBS / 10% normal goat serum / 0.3M glycine to block non-specific protein-protein interactions followed by the antibody (ab79849, 1μg/1x106 cells) for 30 min at 22°C. The secondary antibody used was DyLight® 488 goat anti-mouse IgG (H+L) (ab96879) at 1/500 dilution for 30 min at 22°C. Isotype control antibody (black line) was mouse IgG1 [ICIGG1] (ab91353, 2μg/1x106 cells) used under the same conditions. Acquisition of >5,000 events was performed.

Western blot - Anti-Hsp90 alpha antibody [2G5.G3] (AB79849)
  • WB

Lab

Western blot - Anti-Hsp90 alpha antibody [2G5.G3] (AB79849)

Lane 1 : Wild-type HAP1 whole cell lysate (20 μg)
Lane 2 : Hsp90 alpha knockout HAP1 whole cell lysate (20 μg)
Lane 3 : HeLa whole cell lysate (20 μg)

Lanes 1 - 3 : Merged signal (red and green). Green - ab79849 observed at 90 kDa. Red - loading control, ab181602, observed at 37 kDa.

ab79849 was shown to specifically react with Hsp90 alpha in wild-type HAP1 cells as signal was lost in Hsp90 alpha knockout cells. Wild-type and Hsp90 alpha knockout samples were subjected to SDS-PAGE. ab79849 and ab181602 (Rabbit anti GAPDH loading control) were incubated overnight at 4°C at 1/2000 dilution and 1/20,000 dilution respectively. Blots were developed with Goat anti-Mouse IgG H&L (IRDye® 800CW) preabsorbed (ab216772) and Goat anti-Rabbit IgG H&L (IRDye® 680RD) preabsorbed (ab216777) secondary antibodies at 1/20,000 dilution for 1 hour at room temperature before imaging.

All lanes:

Western blot - Anti-Hsp90 alpha antibody [2G5.G3] (ab79849)

Predicted band size: 85 kDa

false

Western blot - Anti-Hsp90 alpha antibody [2G5.G3] (AB79849)
  • WB

Lab

Western blot - Anti-Hsp90 alpha antibody [2G5.G3] (AB79849)

Lanes 1-4 : Merged signal (red and green). Green - ab79849 observed at 90 kDa. Red - loading control ab181602 observed at 36 kDa.

ab79849 Anti-Hsp90 alpha antibody [2G5.G3] was shown to specifically react with Hsp90 alpha in wild-type HEK-293T cells. Loss of signal was observed when knockout cell line ab266591 (knockout cell lysate ab258458) was used. Wild-type and Hsp90 alpha knockout samples were subjected to SDS-PAGE. ab79849 and Anti-GAPDH antibody[EPR16891] - Loading Control (ab181602) were incubated overnight at 4°C at 1 in 1000 dilution and 1 in 20000 dilution respectively. Blots were developed with Goat anti-Rabbit IgG H&L (IRDye® 680RD) preadsorbed (ab216777) and Goat anti-Mouse IgG H&L (IRDye® 800CW) preadsorbed (ab216772) secondary antibodies at 1 in 20000 dilution for 1 hour at room temperature before imaging.

All lanes:

Western blot - Anti-Hsp90 alpha antibody [2G5.G3] (ab79849) at 1/1000 dilution

Lane 1:

Wild-type HEK-293T (Human epithelial cell line from embryonic kidney transformed with large T antigen) whole cell lysate at 20 µg

Lane 2:

HSP90AA1 knockout HEK-293T (Human epithelial cell line from embryonic kidney transformed with large T antigen) whole cell lysate at 20 µg

Lane 2:

Western blot - Human HSP90AA1 (Hsp90 alpha) knockout HEK-293T cell line (<a href='/en-us/products/cell-lines/human-hsp90aa1-hsp90-alpha-knockout-hek-293t-cell-line-ab266591'>ab266591</a>)

Lane 3:

HeLa (Human epithelial cell line from cervix adenocarcinoma) whole cell lysate at 20 µg

Lane 4:

HAP1 whole cell lyate at 20 µg

Secondary

All lanes:

Western blot - Goat Anti-Rabbit IgG H&L (IRDye® 680RD) preadsorbed (<a href='/en-us/products/secondary-antibodies/goat-rabbit-igg-h-l-irdye-680rd-preadsorbed-ab216777'>ab216777</a>) at 1/10000 dilution

Predicted band size: 85 kDa

Observed band size: 90 kDa

false

Key facts

Host species

Mouse

Clonality

Monoclonal

Clone number

2G5.G3

Isotype

IgG1

Light chain type

kappa

Carrier free

No

Reacts with

Mouse, Human

Applications

ICC/IF, Flow Cyt, IHC-P, WB

applications

Immunogen

Recombinant Full Length Protein corresponding to Human HSP90AA1.

P07900

Specificity

ab79849 is Hsp90 alpha specific (>96% alpha specific by ELISA).

Reactivity data

{ "title": "Reactivity Data", "filters": { "stats": ["", "Species", "Dilution Info", "Notes"], "tabs": { "all-applications": {"fullname" : "All Applications", "shortname": "All Applications"}, "FlowCyt" : {"fullname" : "Flow Cytometry", "shortname":"Flow Cyt"}, "IHCP" : {"fullname" : "Immunohistochemistry (Formalin/PFA-fixed paraffin-embedded sections)", "shortname":"IHC-P"}, "ICCIF" : {"fullname" : "Immunocytochemistry/ Immunofluorescence", "shortname":"ICC/IF"}, "WB" : {"fullname" : "Western blot", "shortname":"WB"} }, "product-promise": { "all": "all", "testedAndGuaranteed": "tested", "guaranteed": "expected", "predicted": "predicted", "notRecommended": "not-recommended" } }, "values": { "Human": { "FlowCyt-species-checked": "testedAndGuaranteed", "FlowCyt-species-dilution-info": "1 µg for 10^6 Cells", "FlowCyt-species-notes": "<p><a href='/en-us/products/primary-antibodies/mouse-igg1-kappa-monoclonal-15-6e10a7-isotype-control-ab170190'>ab170190</a> - Mouse monoclonal IgG1, is suitable for use as an isotype control with this antibody.</p>", "IHCP-species-checked": "testedAndGuaranteed", "IHCP-species-dilution-info": "0.5 µg/mL", "IHCP-species-notes": "<p></p> Perform heat-mediated antigen retrieval with citrate buffer pH 6 before commencing with IHC staining protocol.", "ICCIF-species-checked": "testedAndGuaranteed", "ICCIF-species-dilution-info": "1/100", "ICCIF-species-notes": "<p></p>", "WB-species-checked": "testedAndGuaranteed", "WB-species-dilution-info": "1/1000 - 1/2000", "WB-species-notes": "<p></p>" }, "Mouse": { "FlowCyt-species-checked": "guaranteed", "FlowCyt-species-dilution-info": "1 µg for 10^6 Cells", "FlowCyt-species-notes": "<p><a href='/en-us/products/primary-antibodies/mouse-igg1-kappa-monoclonal-15-6e10a7-isotype-control-ab170190'>ab170190</a> - Mouse monoclonal IgG1, is suitable for use as an isotype control with this antibody.</p>", "IHCP-species-checked": "guaranteed", "IHCP-species-dilution-info": "0.5 µg/mL", "IHCP-species-notes": "<p></p> Perform heat-mediated antigen retrieval with citrate buffer pH 6 before commencing with IHC staining protocol.", "ICCIF-species-checked": "guaranteed", "ICCIF-species-dilution-info": "1/100", "ICCIF-species-notes": "<p></p>", "WB-species-checked": "guaranteed", "WB-species-dilution-info": "1/1000 - 1/2000", "WB-species-notes": "<p></p>" } } }

Properties and storage information

Form
Liquid
Purification technique
Affinity purification Protein G
Storage buffer
Preservative: 0.09% Sodium azide Constituents: PBS, 50% Glycerol (glycerin, glycerine)
Shipped at conditions
Blue Ice
Appropriate short-term storage conditions
+4°C
Appropriate long-term storage conditions
-20°C
Storage information
Stable for 12 months at -20°C

Supplementary information

This supplementary information is collated from multiple sources and compiled automatically.

Hsp90 alpha also known as Hsp90AA1 or 5G5 is a molecular chaperone with an approximate molecular weight of 90 kDa. It plays an important role in the folding stability and function of many client proteins. This protein is expressed ubiquitously in eukaryotic cells with high levels in the cytoplasm and the endoplasmic reticulum. Hsp90 alpha operates through a unique ATPase-driven chaperone cycle that modulates protein conformations helping in the assembly and disassembly of protein complexes.
Biological function summary

Hsp90 alpha assists in maintaining protein homeostasis and is part of a larger chaperome complex including co-chaperones and other chaperones such as Hsp70. It plays an important role in stress response by stabilizing proteins and preventing aggregation. Hsp90 alpha is essential for the normal function of several kinases and transcription factors which are important for cell signaling and regulation processes. It functions as a mediator for cellular response to environmental cues.

Pathways

Hsp90 alpha is an integral component in the signal transduction and cell cycle control pathways. It interacts with various signaling proteins and receptors like AKT and steroid hormone receptors to facilitate their proper folding and activation. Furthermore Hsp90 alpha influences the MAPK/ERK pathway playing a role in cell proliferation and differentiation. Its interaction with Hsp90 protein clients creates a regulatory framework across multiple pathways allowing precise control over cellular function.

Hsp90 alpha is linked to cancer and neurodegenerative diseases. Its enhanced expression in tumors correlates with the stabilization of oncogenic client proteins such as HER2 contributing to cancer progression. Additionally Hsp90 alpha relates to disorders like Alzheimer's disease due to its role in handling misfolded proteins. The protein interacts with co-chaperones like H1L1 which may influence its impact on disease outcomes highlighting the therapeutic potential of targeting Hsp90 alpha in these conditions.

Product protocols

For this product, it's our understanding that no specific protocols are required. You can visit:

Target data

Molecular chaperone that promotes the maturation, structural maintenance and proper regulation of specific target proteins involved for instance in cell cycle control and signal transduction. Undergoes a functional cycle that is linked to its ATPase activity which is essential for its chaperone activity. This cycle probably induces conformational changes in the client proteins, thereby causing their activation. Interacts dynamically with various co-chaperones that modulate its substrate recognition, ATPase cycle and chaperone function (PubMed : 11274138, PubMed : 12526792, PubMed : 15577939, PubMed : 15937123, PubMed : 27353360, PubMed : 29127155). Engages with a range of client protein classes via its interaction with various co-chaperone proteins or complexes, that act as adapters, simultaneously able to interact with the specific client and the central chaperone itself (PubMed : 29127155). Recruitment of ATP and co-chaperone followed by client protein forms a functional chaperone. After the completion of the chaperoning process, properly folded client protein and co-chaperone leave HSP90 in an ADP-bound partially open conformation and finally, ADP is released from HSP90 which acquires an open conformation for the next cycle (PubMed : 26991466, PubMed : 27295069). Plays a critical role in mitochondrial import, delivers preproteins to the mitochondrial import receptor TOMM70 (PubMed : 12526792). Apart from its chaperone activity, it also plays a role in the regulation of the transcription machinery. HSP90 and its co-chaperones modulate transcription at least at three different levels (PubMed : 25973397). In the first place, they alter the steady-state levels of certain transcription factors in response to various physiological cues (PubMed : 25973397). Second, they modulate the activity of certain epigenetic modifiers, such as histone deacetylases or DNA methyl transferases, and thereby respond to the change in the environment (PubMed : 25973397). Third, they participate in the eviction of histones from the promoter region of certain genes and thereby turn on gene expression (PubMed : 25973397). Binds bacterial lipopolysaccharide (LPS) and mediates LPS-induced inflammatory response, including TNF secretion by monocytes (PubMed : 11276205). Antagonizes STUB1-mediated inhibition of TGF-beta signaling via inhibition of STUB1-mediated SMAD3 ubiquitination and degradation (PubMed : 24613385). Mediates the association of TOMM70 with IRF3 or TBK1 in mitochondrial outer membrane which promotes host antiviral response (PubMed : 20628368, PubMed : 25609812).. (Microbial infection) Seems to interfere with N.meningitidis NadA-mediated invasion of human cells. Decreasing HSP90 levels increases adhesion and entry of E.coli expressing NadA into human Chang cells; increasing its levels leads to decreased adhesion and invasion.
See full target information HSP90AA1

Publications (27)

Recent publications for all applications. Explore the full list and refine your search

The Journal of biological chemistry 301:108126 PubMed39725039

2024

HSP90 stabilizes visual cycle retinol dehydrogenase 5 in the endoplasmic reticulum by inhibiting its degradation during autophagy.

Applications

Unspecified application

Species

Unspecified reactive species

Xiaolin Jia,Yuxuan Wang,Mingjun Jiang,Dan-Dan Chen,Guohui Shang,Baixue Liu,Mengjiao Xue,Youfei Lang,Guiling Zhou,Yichen Dong,Fengyan Zhang,Xuyan Peng,Yanzhong Hu

International journal of molecular sciences 25: PubMed39684590

2024

Gliotic Response and Reprogramming Potential of Human Müller Cell Line MIO-M1 Exposed to High Glucose and Glucose Fluctuations.

Applications

Unspecified application

Species

Unspecified reactive species

Benedetta Russo,Giorgia D'Addato,Giulia Salvatore,Marika Menduni,Simona Frontoni,Luigi Carbone,Antonella Camaioni,Francesca Gioia Klinger,Massimo De Felici,Fabiana Picconi,Gina La Sala

Journal for immunotherapy of cancer 12: PubMed38926151

2024

Tumor cell-released autophagosomes (TRAPs) induce PD-L1-decorated NETs that suppress T-cell function to promote breast cancer pulmonary metastasis.

Applications

Unspecified application

Species

Unspecified reactive species

Xiaohe Zhou,Chengdong Wu,Xuru Wang,Ning Pan,Xiaotong Sun,Bohao Chen,Shiya Zheng,Yiting Wei,Jing Chen,Yuyang Wu,Fengjiao Zhu,Jinpeng Chen,Huabiao Chen,Li-Xin Wang

Journal of Cancer 15:3675-3683 PubMed38911393

2024

Network Pharmacology and Bioinformatics Analysis to Identify the Molecular Targets and its Biological Mechanisms of Sciadopitysin against Glioblastoma.

Applications

Unspecified application

Species

Unspecified reactive species

Haiwei Lian,Yajie Xiong,Guojie Zhao,Meng Yi,Jingchao Wang,Huimin Liu,Yun Zhou

International journal of molecular sciences 24: PubMed37762133

2023

Inhibition of HSP90 in Driver Oncogene-Defined Lung Adenocarcinoma Cell Lines: Key Proteins Underpinning Therapeutic Efficacy.

Applications

Unspecified application

Species

Unspecified reactive species

Ángela Marrugal,Irene Ferrer,Álvaro Quintanal-Villalonga,Laura Ojeda,María Dolores Pastor,Ricardo García-Luján,Amancio Carnero,Luis Paz-Ares,Sonia Molina-Pinelo

BMC cancer 23:522 PubMed37291495

2023

Analyzing molecular typing and clinical application of immunogenic cell death-related genes in hepatocellular carcinoma.

Applications

Unspecified application

Species

Unspecified reactive species

Cai-Feng Lin,Zhi-Wen Chen,Feng-Ping Kang,Jian-Fei Hu,Long Huang,Cheng-Yu Liao,Jian-Lin Lai,Yi Huang,Zu-Wei Wang,Yi-Feng Tian,Shi Chen

Protein & cell 14:180-201 PubMed36933008

2023

Single-cell transcriptomic atlas of mouse cochlear aging.

Applications

Unspecified application

Species

Unspecified reactive species

Guoqiang Sun,Yandong Zheng,Xiaolong Fu,Weiqi Zhang,Jie Ren,Shuai Ma,Shuhui Sun,Xiaojuan He,Qiaoran Wang,Zhejun Ji,Fang Cheng,Kaowen Yan,Ziyi Liu,Juan Carlos Izpisua Belmonte,Jing Qu,Si Wang,Renjie Chai,Guang-Hui Liu

Acta pharmacologica Sinica 44:1637-1648 PubMed36882503

2023

Celastrol attenuates hepatitis C virus translation and inflammatory response in mice by suppressing heat shock protein 90β.

Applications

Unspecified application

Species

Unspecified reactive species

Shao-Ru Chen,Zheng-Qing Li,Jun Xu,Mo-Yu Ding,Ya-Ming Shan,Yung-Chi Cheng,Gao-Xiao Zhang,Ye-Wei Sun,Yu-Qiang Wang,Ying Wang

Nature communications 13:6813 PubMed36357389

2022

Vascular endothelium deploys caveolin-1 to regulate oligodendrogenesis after chronic cerebral ischemia in mice.

Applications

Unspecified application

Species

Unspecified reactive species

Ying Zhao,Wusheng Zhu,Ting Wan,Xiaohao Zhang,Yunzi Li,Zhenqian Huang,Pengfei Xu,Kangmo Huang,Ruidong Ye,Yi Xie,Xinfeng Liu

Advanced healthcare materials 11:e2201615 PubMed36100559

2022

Polydopamine-Engineered Theranostic Nanoscouts Enabling Intracellular HSP90 mRNAs Fluorescence Detection for Imaging-Guided Chemo-Photothermal Therapy.

Applications

Unspecified application

Species

Unspecified reactive species

Geng Yang,Mengyue Li,Ting Song,Xiangyan Chen,Hanxi Zhang,Xiaodan Wei,Ningxi Li,Tingting Li,Xiang Qin,Shun Li,Fengming You,Chunhui Wu,Wei Zhang,Yiyao Liu,Hong Yang
View all publications

Product promise

We are committed to supporting your work with high-quality reagents, and we're here for you every step of the way. In the unlikely event that one of our products does not perform as expected, you're protected by our Product Promise.
For full details, please see our Terms & Conditions

Please note: All products are 'FOR RESEARCH USE ONLY. NOT FOR USE IN DIAGNOSTIC OR THERAPEUTIC PROCEDURES'.

For licensing inquiries, please contact partnerships@abcam.com