JavaScript is disabled in your browser. Please enable JavaScript to view this website.
AB2928

Anti-Hsp90 alpha antibody

Be the first to review this product! Submit a review

|

(47 Publications)

Rabbit Polyclonal HS90A antibody. Suitable for ICC/IF, IP, WB, IHC-P and reacts with Mouse, African green monkey, Rat, Human samples. Cited in 47 publications. Immunogen corresponding to Synthetic Peptide within Mouse Hsp90aa1 aa 1-50.

View Alternative Names

HSP90A, HSPC1, HSPCA, HSP90AA1, Heat shock protein HSP 90-alpha, Heat shock 86 kDa, Heat shock protein family C member 1, Lipopolysaccharide-associated protein 2, Renal carcinoma antigen NY-REN-38, HSP 86, HSP86, LAP-2, LPS-associated protein 2

9 Images
Immunohistochemistry (Formalin/PFA-fixed paraffin-embedded sections) - Anti-Hsp90 alpha antibody (AB2928)
  • IHC-P

Unknown

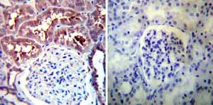
Immunohistochemistry (Formalin/PFA-fixed paraffin-embedded sections) - Anti-Hsp90 alpha antibody (AB2928)

Immunohistochemistry was performed on both normal and cancer biopsies of deparaffinized human kidney tissue. To expose target proteins heat induced antigen retrieval was performed using 10mM sodium citrate (pH6.0) buffer microwaved for 8-15 minutes. Following antigen retrieval tissues were blocked in 3% BSA-PBS for 30 minutes at room temperature. Tissues were then probed at a dilution of 1 : 100 with a rabbit polyclonal antibody recognizing Heat Shock Protein 90 (86) ab2928 or without primary antibody (negative control) overnight at 4°C in a humidified chamber. Tissues were washed extensively with PBST and endogenous peroxidase activity was quenched with a peroxidase suppressor. Detection was performed using a biotin-conjugated secondary antibody and SA-HRP followed by colorimetric detection using DAB. Tissues were counterstained with hematoxylin and prepped for mounting.

Immunohistochemistry (Formalin/PFA-fixed paraffin-embedded sections) - Anti-Hsp90 alpha antibody (AB2928)
  • IHC-P

Supplier Data

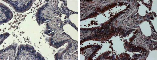
Immunohistochemistry (Formalin/PFA-fixed paraffin-embedded sections) - Anti-Hsp90 alpha antibody (AB2928)

ab2928 labelling Hsp90 alpha in Human colon adenocarcinoma tissue sections by Immunohistochemistry (formalin/PFA-fixed paraffin-embedded sections). To expose target proteins, heat-induced epitope retrieval was performed using 10mM sodium citrate (pH 6.0) buffer for 20 minutes at 95°C. Tissues were blocked in 3% BSA in PBST for 30 minutes at room temperature. Tissue sections were incubated with the primary antibody (1 : 100) for 1 hour. A HRP-conjugated goat anti-rabbit IgG (1 : 250) was used as the secondary antibody, followed by colorimetric detection using Metal Enhanced DAB Substrate Kit. Tissues were counterstained with hematoxylin and prepped for mouting. Images were taken at 40X magnification.

Immunocytochemistry/ Immunofluorescence - Anti-Hsp90 alpha antibody (AB2928)
  • ICC/IF

Supplier Data

Immunocytochemistry/ Immunofluorescence - Anti-Hsp90 alpha antibody (AB2928)

Immunocytochemistry analysis of HeLa cells labeling HSP90 alpha with ab2928 at 5ug/mL in 0.1% BSA, incubated at 4°C overnight. Cells were 70% confluent log phase. The cells were fixed with 4% paraformaldehyde for 10 minutes, permeabilized with 0.1% Triton™ X-100 for 15 minutes, and blocked with 2% BSA for 45 minutes at room temperature. Cells were then labeled with Goat anti-Rabbit IgG (H+L) Highly Cross-Adsorbed Secondary Antibody, Alexa Fluor Plus 488 at 1/2000, for 45 minutes at room temperature (Panel a : Green). Nuclei (Panel b : Blue) were stained with ProLong™ Diamond Antifade Mountant with DAPI. F-actin (Panel c : Red) was stained with Rhodamine Phalloidin 1/300). Panel d represents the merged image showing cytoplasm and weak Nucleus localization. Panel e represents control cells with no primary antibody to assess background. The images were captured at 60X magnification.

Immunocytochemistry/ Immunofluorescence - Anti-Hsp90 alpha antibody (AB2928)
  • ICC/IF

Supplier Data

Immunocytochemistry/ Immunofluorescence - Anti-Hsp90 alpha antibody (AB2928)

Immunocytochemistry/Immunofluorescence analysis of HSP90 alpha (green) in HeLa (Human epithelial cell line from cervix adenocarcinoma) cells and NIH/3T3 (Mouse embryo fibroblast cell line) cells. Formalin fixed cells were permeabilized with 0.1% Triton X-100 in TBS for 10 minutes at room temperature and blocked with 1% BSA for 15 minutes at room temperature. Cells were incubated with ab2928 at a dilution of 1 : 100 for at least 1 hour at room temperature, washed with PBS, and incubated with a DyLight 488 goat-anti-rabbit IgG secondary antibody (1 : 400) for 30 minutes at room temperature. Nuclei (blue) were stained with Hoechst 33342 dye. Images were taken at 20X magnification.

Immunohistochemistry (Formalin/PFA-fixed paraffin-embedded sections) - Anti-Hsp90 alpha antibody (AB2928)
  • IHC-P

Unknown

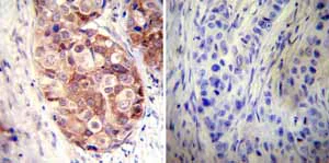
Immunohistochemistry (Formalin/PFA-fixed paraffin-embedded sections) - Anti-Hsp90 alpha antibody (AB2928)

Immunohistochemistry was performed on both normal and cancer biopsies of deparaffinized human breast carcinoma tissues. To expose target proteins heat induced antigen retrieval was performed using 10mM sodium citrate (pH6.0) buffer microwaved for 8-15 minutes. Following antigen retrieval tissues were blocked in 3% BSA-PBS for 30 minutes at room temperature. Tissues were then probed at a dilution of 1 : 50 with a rabbit polyclonal antibody recognizing Heat Shock Protein 90 (86) ab2928 or without primary antibody (negative control) overnight at 4°C in a humidified chamber. Tissues were washed extensively with PBST and endogenous peroxidase activity was quenched with a peroxidase suppressor. Detection was performed using a biotin-conjugated secondary antibody and SA-HRP followed by colorimetric detection using DAB. Tissues were counterstained with hematoxylin and prepped for mounting.

Immunohistochemistry (Formalin/PFA-fixed paraffin-embedded sections) - Anti-Hsp90 alpha antibody (AB2928)
  • IHC-P

Unknown

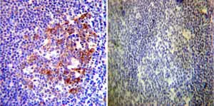
Immunohistochemistry (Formalin/PFA-fixed paraffin-embedded sections) - Anti-Hsp90 alpha antibody (AB2928)

Immunohistochemistry was performed on both normal and cancer biopsies of deparaffinized human tonsil tissue. To expose target proteins heat induced antigen retrieval was performed using 10mM sodium citrate (pH6.0) buffer microwaved for 8-15 minutes. Following antigen retrieval tissues were blocked in 3% BSA-PBS for 30 minutes at room temperature. Tissues were then probed at a dilution of 1 : 200 with a rabbit polyclonal antibody recognizing Heat Shock Protein 90 (86) ab2928 or without primary antibody (negative control) overnight at 4°C in a humidified chamber. Tissues were washed extensively with PBST and endogenous peroxidase activity was quenched with a peroxidase suppressor. Detection was performed using a biotin-conjugated secondary antibody and SA-HRP followed by colorimetric detection using DAB. Tissues were counterstained with hematoxylin and prepped for mounting.

Immunoprecipitation - Anti-Hsp90 alpha antibody (AB2928)
  • IP

Supplier Data

Immunoprecipitation - Anti-Hsp90 alpha antibody (AB2928)

Immunoprecipitation of HSP90 alpha was performed on HeLa (Human epithelial cell line from cervix adenocarcinoma) cells. Antigen-antibody complexes formed by incubating 500ug whole cell lysate with 2ug of ab2928 overnight on a rocking platform at 4°C. The immune complexes were captured on 50ul Protein A/G Plus Agarose, washed extensively, and eluted with buffer. Samples were then resolved on a 4-20% Tris-HCl polyacrylamide gel, transferred to a PVDF membrane and blocked with 5% BSA/TBST for at least 1 hour. The membrane was probed with ab2928 at a dilution of 1 : 1000 overnight rotating at 4°C. The membrane was washed in TBST, and probed with detection reagent at a dilution of 1 : 1000 for at least 1 hour. Chemiluminescent detection was performed.

All lanes:

Immunoprecipitation - Anti-Hsp90 alpha antibody (ab2928)

Predicted band size: 85 kDa

false

Western blot - Anti-Hsp90 alpha antibody (AB2928)
  • WB

Supplier Data

Western blot - Anti-Hsp90 alpha antibody (AB2928)

Western blot analysis of HSP90 alpha was performed by loading samples onto a 4-20% Tris-HCl polyacrylamide gel. Proteins were transferred to a PVDF membrane and blocked with 5% BSA/TBST for at least 1 hour. The membrane was probed with ab2928 overnight at 4°C on a rocking platform, washed in TBS-0.1%Tween 20, and probed with a secondary antibody for at least 1 hour. Chemiluminescent detection was performed.

All lanes:

Western blot - Anti-Hsp90 alpha antibody (ab2928) at 1/1000 dilution

Lane 1:

HEK-293T (Human epithelial cell line from embryonic kidney transformed with large T antigen) whole cell lysate at 50 µg

Lane 2:

HeLa (Human epithelial cell line from cervix adenocarcinoma) whole cell lysate at 50 µg

Lane 3:

K562 (Human chronic myelogenous leukemia cell line from bone marrow ) whole cell lysate at 50 µg

Lane 4:

A431 (Human epidermoid carcinoma cell line) whole cell lysate at 50 µg

Lane 5:

HepG2 (Human liver hepatocellular carcinoma cell line) whole cell lysate at 50 µg

Lane 6:

COS-7 (African green monkey kidney fibroblast-like cell line) whole cell lysate at 50 µg

Lane 7:

NIH/3T3 (Mouse embryo fibroblast cell line) whole cell lysate at 50 µg

Lane 8:

NRK (Rat kidney normal tissue) whole cell lysate at 50 µg

Secondary

All lanes:

Goat anti-rabbit IgG HRP secondary antibody at 1/20000 dilution

Predicted band size: 85 kDa

false

Western blot - Anti-Hsp90 alpha antibody (AB2928)
  • WB

Supplier Data

Western blot - Anti-Hsp90 alpha antibody (AB2928)

Detected by chemiluminescence

All lanes:

Western blot - Anti-Hsp90 alpha antibody (ab2928) at 1/2000 dilution

Lane 1:

HeLa cell lysate at 30 µg

Lane 2:

A549 cell lysate at 30 µg

Lane 3:

LNCaP cell lysate at 30 µg

Lane 4:

NIH/3T3 cell lysate at 30 µg

Lane 5:

Mouse testis tissue lysate at 30 µg

Lane 6:

Rat testis tissue lysate at 30 µg

Secondary

All lanes:

Goat anti-Rabbit IgG (H+L) Superclonal™ Recombinant, HRP at 1/4000 dilution

Predicted band size: 85 kDa

Observed band size: 80 kDa

false

Key facts

Host species

Rabbit

Clonality

Polyclonal

Isotype

IgG

Carrier free

No

Reacts with

Mouse, Rat, Human, African green monkey

Applications

IHC-P, WB, IP, ICC/IF

applications

Immunogen

Synthetic Peptide within Mouse Hsp90aa1 aa 1-50. The exact immunogen used to generate this antibody is proprietary information.

P07901

Specificity

Detects Heat Shock Protein 86 (HSP 86). This antibody does not detect HSP 84.

Reactivity data

{ "title": "Reactivity Data", "filters": { "stats": ["", "Species", "Dilution Info", "Notes"], "tabs": { "all-applications": {"fullname" : "All Applications", "shortname": "All Applications"}, "ICCIF" : {"fullname" : "Immunocytochemistry/ Immunofluorescence", "shortname":"ICC/IF"}, "IP" : {"fullname" : "Immunoprecipitation", "shortname":"IP"}, "WB" : {"fullname" : "Western blot", "shortname":"WB"}, "IHCP" : {"fullname" : "Immunohistochemistry (Formalin/PFA-fixed paraffin-embedded sections)", "shortname":"IHC-P"} }, "product-promise": { "all": "all", "testedAndGuaranteed": "tested", "guaranteed": "expected", "predicted": "predicted", "notRecommended": "not-recommended" } }, "values": { "Human": { "ICCIF-species-checked": "testedAndGuaranteed", "ICCIF-species-dilution-info": "1/50 - 1/200", "ICCIF-species-notes": "<p></p>", "IP-species-checked": "testedAndGuaranteed", "IP-species-dilution-info": "", "IP-species-notes": "<p>Use at 2 μg.</p><p>Immunoprecipitation experiments with this antibody suggest that HSP90 alpha exists primarily as homodimers in HeLa cells. This antibody is capable of precipitating HSP90 alpha that is complexed with other proteins such as the aryl hydrocarbon (Ah) receptor.</p>", "WB-species-checked": "testedAndGuaranteed", "WB-species-dilution-info": "1/500 - 1/2000", "WB-species-notes": "<p></p>", "IHCP-species-checked": "testedAndGuaranteed", "IHCP-species-dilution-info": "5 µg/mL", "IHCP-species-notes": "<p></p>" }, "Mouse": { "ICCIF-species-checked": "testedAndGuaranteed", "ICCIF-species-dilution-info": "1/50 - 1/200", "ICCIF-species-notes": "<p></p>", "IP-species-checked": "guaranteed", "IP-species-dilution-info": "", "IP-species-notes": "", "WB-species-checked": "testedAndGuaranteed", "WB-species-dilution-info": "1/500 - 1/2000", "WB-species-notes": "<p></p>", "IHCP-species-checked": "guaranteed", "IHCP-species-dilution-info": "", "IHCP-species-notes": "" }, "Rat": { "ICCIF-species-checked": "testedAndGuaranteed", "ICCIF-species-dilution-info": "1/50 - 1/200", "ICCIF-species-notes": "<p></p>", "IP-species-checked": "guaranteed", "IP-species-dilution-info": "", "IP-species-notes": "", "WB-species-checked": "testedAndGuaranteed", "WB-species-dilution-info": "1/500 - 1/2000", "WB-species-notes": "<p></p>", "IHCP-species-checked": "guaranteed", "IHCP-species-dilution-info": "", "IHCP-species-notes": "" }, "African green monkey": { "ICCIF-species-checked": "testedAndGuaranteed", "ICCIF-species-dilution-info": "1/50 - 1/200", "ICCIF-species-notes": "<p></p>", "IP-species-checked": "guaranteed", "IP-species-dilution-info": "", "IP-species-notes": "", "WB-species-checked": "testedAndGuaranteed", "WB-species-dilution-info": "1/500 - 1/2000", "WB-species-notes": "<p></p>", "IHCP-species-checked": "guaranteed", "IHCP-species-dilution-info": "", "IHCP-species-notes": "" } } }

Properties and storage information

Form
Liquid
Purification technique
Affinity purification Immunogen
Storage buffer
Preservative: 0.05% Sodium azide Constituents: PBS, 0.1% BSA
Shipped at conditions
Blue Ice
Appropriate short-term storage duration
1-2 weeks
Appropriate short-term storage conditions
+4°C
Appropriate long-term storage conditions
-20°C
Aliquoting information
Upon delivery aliquot
Storage information
Avoid freeze / thaw cycle

Supplementary information

This supplementary information is collated from multiple sources and compiled automatically.

Hsp90 alpha also known as Hsp90AA1 or 5G5 is a molecular chaperone with an approximate molecular weight of 90 kDa. It plays an important role in the folding stability and function of many client proteins. This protein is expressed ubiquitously in eukaryotic cells with high levels in the cytoplasm and the endoplasmic reticulum. Hsp90 alpha operates through a unique ATPase-driven chaperone cycle that modulates protein conformations helping in the assembly and disassembly of protein complexes.
Biological function summary

Hsp90 alpha assists in maintaining protein homeostasis and is part of a larger chaperome complex including co-chaperones and other chaperones such as Hsp70. It plays an important role in stress response by stabilizing proteins and preventing aggregation. Hsp90 alpha is essential for the normal function of several kinases and transcription factors which are important for cell signaling and regulation processes. It functions as a mediator for cellular response to environmental cues.

Pathways

Hsp90 alpha is an integral component in the signal transduction and cell cycle control pathways. It interacts with various signaling proteins and receptors like AKT and steroid hormone receptors to facilitate their proper folding and activation. Furthermore Hsp90 alpha influences the MAPK/ERK pathway playing a role in cell proliferation and differentiation. Its interaction with Hsp90 protein clients creates a regulatory framework across multiple pathways allowing precise control over cellular function.

Hsp90 alpha is linked to cancer and neurodegenerative diseases. Its enhanced expression in tumors correlates with the stabilization of oncogenic client proteins such as HER2 contributing to cancer progression. Additionally Hsp90 alpha relates to disorders like Alzheimer's disease due to its role in handling misfolded proteins. The protein interacts with co-chaperones like H1L1 which may influence its impact on disease outcomes highlighting the therapeutic potential of targeting Hsp90 alpha in these conditions.

Product protocols

For this product, it's our understanding that no specific protocols are required. You can visit:

Target data

Molecular chaperone that promotes the maturation, structural maintenance and proper regulation of specific target proteins involved for instance in cell cycle control and signal transduction. Undergoes a functional cycle that is linked to its ATPase activity which is essential for its chaperone activity. This cycle probably induces conformational changes in the client proteins, thereby causing their activation. Interacts dynamically with various co-chaperones that modulate its substrate recognition, ATPase cycle and chaperone function (PubMed : 11274138, PubMed : 12526792, PubMed : 15577939, PubMed : 15937123, PubMed : 27353360, PubMed : 29127155). Engages with a range of client protein classes via its interaction with various co-chaperone proteins or complexes, that act as adapters, simultaneously able to interact with the specific client and the central chaperone itself (PubMed : 29127155). Recruitment of ATP and co-chaperone followed by client protein forms a functional chaperone. After the completion of the chaperoning process, properly folded client protein and co-chaperone leave HSP90 in an ADP-bound partially open conformation and finally, ADP is released from HSP90 which acquires an open conformation for the next cycle (PubMed : 26991466, PubMed : 27295069). Plays a critical role in mitochondrial import, delivers preproteins to the mitochondrial import receptor TOMM70 (PubMed : 12526792). Apart from its chaperone activity, it also plays a role in the regulation of the transcription machinery. HSP90 and its co-chaperones modulate transcription at least at three different levels (PubMed : 25973397). In the first place, they alter the steady-state levels of certain transcription factors in response to various physiological cues (PubMed : 25973397). Second, they modulate the activity of certain epigenetic modifiers, such as histone deacetylases or DNA methyl transferases, and thereby respond to the change in the environment (PubMed : 25973397). Third, they participate in the eviction of histones from the promoter region of certain genes and thereby turn on gene expression (PubMed : 25973397). Binds bacterial lipopolysaccharide (LPS) and mediates LPS-induced inflammatory response, including TNF secretion by monocytes (PubMed : 11276205). Antagonizes STUB1-mediated inhibition of TGF-beta signaling via inhibition of STUB1-mediated SMAD3 ubiquitination and degradation (PubMed : 24613385). Mediates the association of TOMM70 with IRF3 or TBK1 in mitochondrial outer membrane which promotes host antiviral response (PubMed : 20628368, PubMed : 25609812).. (Microbial infection) Seems to interfere with N.meningitidis NadA-mediated invasion of human cells. Decreasing HSP90 levels increases adhesion and entry of E.coli expressing NadA into human Chang cells; increasing its levels leads to decreased adhesion and invasion.
See full target information HSP90AA1

Publications (47)

Recent publications for all applications. Explore the full list and refine your search

Experimental & molecular medicine 57:1308-1323 PubMed40583061

2025

C1QL1 inhibits breast cancer through the HSP90α/VCP-ERS/UPR axis.

Applications

Unspecified application

Species

Unspecified reactive species

Ningning Zhang,Qing Shao,Xinni Xiang,Chun Yan,Dan Tao,Qian Li,Huan Rong,Yi Zhao,Tingxiu Xiang,Xiaohua Zeng

British journal of haematology : PubMed40386886

2025

Anti-HSP90α IgG may protect against antiphospholipid syndrome in systemic lupus erythematosus by reducing platelet activation.

Applications

Unspecified application

Species

Unspecified reactive species

Marina Barguil Macêdo,Andreas Jönsen,Anders A Bengtsson,Iva Gunnarsson,Elisabet Svenungsson,Christian Lood

Nature communications 15:8912 PubMed39414766

2024

Phosphorylation-driven epichaperome assembly is a regulator of cellular adaptability and proliferation.

Applications

Unspecified application

Species

Unspecified reactive species

Tanaya Roychowdhury,Seth W McNutt,Chiranjeevi Pasala,Hieu T Nguyen,Daniel T Thornton,Sahil Sharma,Luke Botticelli,Chander S Digwal,Suhasini Joshi,Nan Yang,Palak Panchal,Souparna Chakrabarty,Sadik Bay,Vladimir Markov,Charlene Kwong,Jeanine Lisanti,Sun Young Chung,Stephen D Ginsberg,Pengrong Yan,Elisa De Stanchina,Adriana Corben,Shanu Modi,Mary L Alpaugh,Giorgio Colombo,Hediye Erdjument-Bromage,Thomas A Neubert,Robert J Chalkley,Peter R Baker,Alma L Burlingame,Anna Rodina,Gabriela Chiosis,Feixia Chu

NPJ precision oncology 8:231 PubMed39402170

2024

Prediction of homologous recombination deficiency identifies colorectal tumors sensitive to PARP inhibition.

Applications

Unspecified application

Species

Unspecified reactive species

Giorgio Corti,Kristi Buzo,Enrico Berrino,Martina Miotto,Maria Costanza Aquilano,Marilena Lentini,Sara Erika Bellomo,Annalisa Lorenzato,Alice Bartolini,Gianluca Mauri,Luca Lazzari,Mariangela Russo,Federica Di Nicolantonio,Salvatore Siena,Silvia Marsoni,Caterina Marchiò,Alberto Bardelli,Sabrina Arena

Poultry science 103:104161 PubMed39190996

2024

Proteomics analysis for key molecules in adrenal glands of Wenchang chickens for their resistance to heat stress.

Applications

Unspecified application

Species

Unspecified reactive species

Yiduo Lin,Zeping Ji,Chengyun Li,Qijun Liang,Jiachen Shi,Zhiqing Su,Xu Yao,Xiaohui Zhang

Cell death discovery 10:283 PubMed38871699

2024

Heat shock protein 90α reduces CD8 T cell exhaustion in acute lung injury induced by lipopolysaccharide.

Applications

Unspecified application

Species

Unspecified reactive species

Lei Yan,Yumei Chen,Yilin Yang,Yi Han,Chaoyang Tong

Poultry science 103:103340 PubMed38118221

2023

Screening of heat stress-related biomarkers in chicken serum through label-free quantitative proteomics.

Applications

Unspecified application

Species

Unspecified reactive species

Qijun Liang,Shuqian Huan,Yiduo Lin,Zhiqing Su,Xu Yao,Chengyun Li,Zeping Ji,Xiaohui Zhang

Biomedicines 11: PubMed37892973

2023

Unraveling the Mechanism of Epichaperome Modulation by Zelavespib: Biochemical Insights on Target Occupancy and Extended Residence Time at the Site of Action.

Applications

Unspecified application

Species

Unspecified reactive species

Sahil Sharma,Suhasini Joshi,Teja Kalidindi,Chander S Digwal,Palak Panchal,Sang-Gyu Lee,Pat Zanzonico,Nagavarakishore Pillarsetty,Gabriela Chiosis

Methods in molecular biology (Clifton, N.J.) 2693:175-191 PubMed37540435

2023

Use of Native-PAGE for the Identification of Epichaperomes in Cell Lines.

Applications

Unspecified application

Species

Unspecified reactive species

Tanaya Roychowdhury,Anand R Santhaseela,Sahil Sharma,Palak Panchal,Anna Rodina,Gabriela Chiosis

Nature communications 14:3742 PubMed37353488

2023

Systems-level analyses of protein-protein interaction network dysfunctions via epichaperomics identify cancer-specific mechanisms of stress adaptation.

Applications

Unspecified application

Species

Unspecified reactive species

Anna Rodina,Chao Xu,Chander S Digwal,Suhasini Joshi,Yogita Patel,Anand R Santhaseela,Sadik Bay,Swathi Merugu,Aftab Alam,Pengrong Yan,Chenghua Yang,Tanaya Roychowdhury,Palak Panchal,Liza Shrestha,Yanlong Kang,Sahil Sharma,Justina Almodovar,Adriana Corben,Mary L Alpaugh,Shanu Modi,Monica L Guzman,Teng Fei,Tony Taldone,Stephen D Ginsberg,Hediye Erdjument-Bromage,Thomas A Neubert,Katia Manova-Todorova,Meng-Fu Bryan Tsou,Jason C Young,Tai Wang,Gabriela Chiosis
View all publications

Product promise

We are committed to supporting your work with high-quality reagents, and we're here for you every step of the way. In the unlikely event that one of our products does not perform as expected, you're protected by our Product Promise.
For full details, please see our Terms & Conditions

Please note: All products are 'FOR RESEARCH USE ONLY. NOT FOR USE IN DIAGNOSTIC OR THERAPEUTIC PROCEDURES'.

For licensing inquiries, please contact partnerships@abcam.com