JavaScript is disabled in your browser. Please enable JavaScript to view this website.
AB13495

Anti-Hsp90 antibody

4

(14 Reviews)

|

(70 Publications)

Rabbit Polyclonal HS90A antibody. Suitable for ICC, IP, Flow Cyt, ELISA, WB, IHC-P, ICC/IF, IHC-Fr and reacts with Mouse, Rat, Xenopus laevis, Human samples. Cited in 70 publications. Immunogen corresponding to Full Length Protein corresponding to Human HSP90AA1.

View Alternative Names

HSP90A, HSPC1, HSPCA, HSP90AA1, Heat shock protein HSP 90-alpha, Heat shock 86 kDa, Heat shock protein family C member 1, Lipopolysaccharide-associated protein 2, Renal carcinoma antigen NY-REN-38, HSP 86, HSP86, LAP-2, LPS-associated protein 2

4 Images
Immunocytochemistry/ Immunofluorescence - Anti-Hsp90 antibody (AB13495)
  • ICC/IF

Supplier Data

Immunocytochemistry/ Immunofluorescence - Anti-Hsp90 antibody (AB13495)

Immunofluorescent analysis of 2% paraformaldehyde fixed Heat Shocked Cervical cancer cell line (HeLa) for 20min at RT, labelling Hsp90 with ab13495 at 1/100 dilution for 12 hours at 4°C, followed by secondary antibody Goat Anti-Rabbit (FITC) (green) at 1/200 dilution for 2 hours at RT. Image showing cytoplasmic staining on HeLa cells. (A) DAPI (blue) nuclear stain. (B) Anti-Hsp90 Antibody (green) (C) Composite image.

Immunohistochemistry (Formalin/PFA-fixed paraffin-embedded sections) - Anti-Hsp90 antibody (AB13495)
  • IHC-P

Supplier Data

Immunohistochemistry (Formalin/PFA-fixed paraffin-embedded sections) - Anti-Hsp90 antibody (AB13495)

ab13495 staining Hsp90 in Mouse backskin tissue sections by Immunohistochemistry (IHC-P - paraformaldehyde-fixed, paraffin-embedded sections). Tissue was fixed with Bouin's fixative solution. Samples were incubated with primary antibody (1/100) for 1 hour at room temperature. A FITC-conjugated Goat anti-rabbit IgG polyclonal (1/50) was used as the secondary antibody.

Western blot - Anti-Hsp90 antibody (AB13495)
  • WB

AbReview27020****

Western blot - Anti-Hsp90 antibody (AB13495)

All lanes:

Western blot - Anti-Hsp90 antibody (ab13495) at 1/1000 dilution

All lanes:

whole cell lysate prepared from human platelets treated with A23187 for 1 hour at 20 µg

Secondary

All lanes:

HRP conjugated goat anti-rabbit polyclonal at 1/10000 dilution

Predicted band size: 85 kDa

Observed band size: 36 kDa,90 kDa

true

Exposure time: 5min

Image courtesy of Dr Mahesh Shivananjappa by Abreview.

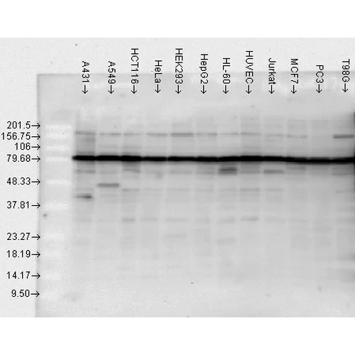
Western blot - Anti-Hsp90 antibody (AB13495)
  • WB

Supplier Data

Western blot - Anti-Hsp90 antibody (AB13495)

All lanes:

Western blot - Anti-Hsp90 antibody (ab13495) at 1/10000 dilution

Lane 1:

A431 at 2 µg with BSA for 30 minutes at room temperature

Lane 2:

A549 at 2 µg with BSA for 30 minutes at room temperature

Lane 3:

HCT116 at 2 µg with BSA for 30 minutes at room temperature

Lane 4:

Hela at 2 µg with BSA for 30 minutes at room temperature

Lane 5:

HEK293 at 2 µg with BSA for 30 minutes at room temperature

Lane 6:

HepG2 at 2 µg with BSA for 30 minutes at room temperature

Lane 7:

HL-60 at 2 µg with BSA for 30 minutes at room temperature

Lane 8:

HUVEC at 2 µg with BSA for 30 minutes at room temperature

Lane 9:

Jurkat at 2 µg with BSA for 30 minutes at room temperature

Lane 10:

MCF7 at 2 µg with BSA for 30 minutes at room temperature

Lane 11:

PC3 at 2 µg with BSA for 30 minutes at room temperature

Lane 12:

T98G at 2 µg with BSA for 30 minutes at room temperature

Secondary

All lanes:

HRP Donkey anti-rabbit IgG, 1 hour at room temperature

Predicted band size: 85 kDa

false

Key facts

Host species

Rabbit

Clonality

Polyclonal

Isotype

IgG

Carrier free

No

Reacts with

Mouse, Human, Xenopus laevis, Rat

Applications

IP, WB, Flow Cyt, IHC-Fr, ELISA, IHC-P, ICC/IF, ICC

applications

Immunogen

Full Length Protein corresponding to Human HSP90AA1. The exact immunogen used to generate this antibody is proprietary information.

P07900

Specificity

Detects 90kD proteins corresponding to the molecular mass of hsp90aß.

Reactivity data

{ "title": "Reactivity Data", "filters": { "stats": ["", "Species", "Dilution Info", "Notes"], "tabs": { "all-applications": {"fullname" : "All Applications", "shortname": "All Applications"}, "ICC" : {"fullname" : "Immunocytochemistry", "shortname":"ICC"}, "IP" : {"fullname" : "Immunoprecipitation", "shortname":"IP"}, "FlowCyt" : {"fullname" : "Flow Cytometry", "shortname":"Flow Cyt"}, "ELISA" : {"fullname" : "ELISA", "shortname":"ELISA"}, "WB" : {"fullname" : "Western blot", "shortname":"WB"}, "IHCP" : {"fullname" : "Immunohistochemistry (Formalin/PFA-fixed paraffin-embedded sections)", "shortname":"IHC-P"}, "ICCIF" : {"fullname" : "Immunocytochemistry/ Immunofluorescence", "shortname":"ICC/IF"}, "IHCFr" : {"fullname" : "Immunohistochemistry (Frozen sections)", "shortname":"IHC-Fr"} }, "product-promise": { "all": "all", "testedAndGuaranteed": "tested", "guaranteed": "expected", "predicted": "predicted", "notRecommended": "not-recommended" } }, "values": { "Human": { "ICC-species-checked": "guaranteed", "ICC-species-dilution-info": "", "ICC-species-notes": "<p></p>", "IP-species-checked": "guaranteed", "IP-species-dilution-info": "", "IP-species-notes": "<p></p>", "FlowCyt-species-checked": "guaranteed", "FlowCyt-species-dilution-info": "", "FlowCyt-species-notes": "<p>See Abreview. <a href='/en-us/products/primary-antibodies/rabbit-igg-polyclonal-isotype-control-chip-grade-ab171870'>ab171870</a> - Rabbit polyclonal IgG, is suitable for use as an isotype control with this antibody.</p>", "ELISA-species-checked": "guaranteed", "ELISA-species-dilution-info": "", "ELISA-species-notes": "<p></p>", "WB-species-checked": "testedAndGuaranteed", "WB-species-dilution-info": "1/20000 - 1/40000", "WB-species-notes": "<p></p>", "IHCP-species-checked": "guaranteed", "IHCP-species-dilution-info": "", "IHCP-species-notes": "", "ICCIF-species-checked": "testedAndGuaranteed", "ICCIF-species-dilution-info": "", "ICCIF-species-notes": "<p></p>", "IHCFr-species-checked": "guaranteed", "IHCFr-species-dilution-info": "", "IHCFr-species-notes": "<p></p>" }, "Mouse": { "ICC-species-checked": "guaranteed", "ICC-species-dilution-info": "", "ICC-species-notes": "<p></p>", "IP-species-checked": "guaranteed", "IP-species-dilution-info": "", "IP-species-notes": "<p></p>", "FlowCyt-species-checked": "guaranteed", "FlowCyt-species-dilution-info": "", "FlowCyt-species-notes": "<p>See Abreview. <a href='/en-us/products/primary-antibodies/rabbit-igg-polyclonal-isotype-control-chip-grade-ab171870'>ab171870</a> - Rabbit polyclonal IgG, is suitable for use as an isotype control with this antibody.</p>", "ELISA-species-checked": "guaranteed", "ELISA-species-dilution-info": "", "ELISA-species-notes": "<p></p>", "WB-species-checked": "guaranteed", "WB-species-dilution-info": "", "WB-species-notes": "", "IHCP-species-checked": "testedAndGuaranteed", "IHCP-species-dilution-info": "", "IHCP-species-notes": "<p></p>", "ICCIF-species-checked": "guaranteed", "ICCIF-species-dilution-info": "", "ICCIF-species-notes": "", "IHCFr-species-checked": "guaranteed", "IHCFr-species-dilution-info": "", "IHCFr-species-notes": "<p></p>" }, "Rat": { "ICC-species-checked": "guaranteed", "ICC-species-dilution-info": "", "ICC-species-notes": "<p></p>", "IP-species-checked": "guaranteed", "IP-species-dilution-info": "", "IP-species-notes": "<p></p>", "FlowCyt-species-checked": "guaranteed", "FlowCyt-species-dilution-info": "", "FlowCyt-species-notes": "<p>See Abreview. <a href='/en-us/products/primary-antibodies/rabbit-igg-polyclonal-isotype-control-chip-grade-ab171870'>ab171870</a> - Rabbit polyclonal IgG, is suitable for use as an isotype control with this antibody.</p>", "ELISA-species-checked": "guaranteed", "ELISA-species-dilution-info": "", "ELISA-species-notes": "<p></p>", "WB-species-checked": "predicted", "WB-species-dilution-info": "", "WB-species-notes": "", "IHCP-species-checked": "predicted", "IHCP-species-dilution-info": "", "IHCP-species-notes": "", "ICCIF-species-checked": "predicted", "ICCIF-species-dilution-info": "", "ICCIF-species-notes": "", "IHCFr-species-checked": "guaranteed", "IHCFr-species-dilution-info": "", "IHCFr-species-notes": "<p></p>" }, "Xenopus laevis": { "ICC-species-checked": "guaranteed", "ICC-species-dilution-info": "", "ICC-species-notes": "<p></p>", "IP-species-checked": "guaranteed", "IP-species-dilution-info": "", "IP-species-notes": "<p></p>", "FlowCyt-species-checked": "guaranteed", "FlowCyt-species-dilution-info": "", "FlowCyt-species-notes": "<p>See Abreview. <a href='/en-us/products/primary-antibodies/rabbit-igg-polyclonal-isotype-control-chip-grade-ab171870'>ab171870</a> - Rabbit polyclonal IgG, is suitable for use as an isotype control with this antibody.</p>", "ELISA-species-checked": "guaranteed", "ELISA-species-dilution-info": "", "ELISA-species-notes": "<p></p>", "WB-species-checked": "predicted", "WB-species-dilution-info": "", "WB-species-notes": "", "IHCP-species-checked": "predicted", "IHCP-species-dilution-info": "", "IHCP-species-notes": "", "ICCIF-species-checked": "predicted", "ICCIF-species-dilution-info": "", "ICCIF-species-notes": "", "IHCFr-species-checked": "guaranteed", "IHCFr-species-dilution-info": "", "IHCFr-species-notes": "<p></p>" } } }

Properties and storage information

Form
Liquid
Purification technique
Affinity purification Protein A
Storage buffer
pH: 7.4 Preservative: 0.09% Sodium azide Constituents: PBS, 50% Glycerol (glycerin, glycerine)
Shipped at conditions
Blue Ice
Appropriate short-term storage duration
1-2 weeks
Appropriate short-term storage conditions
+4°C
Appropriate long-term storage conditions
-20°C
Aliquoting information
Upon delivery aliquot
Storage information
Avoid freeze / thaw cycle

Supplementary information

This supplementary information is collated from multiple sources and compiled automatically.

Hsp90 also known as heat shock protein 90 is a molecular chaperone with a mass of about 90 kDa. It assists in the proper folding of client proteins stabilization of proteins against heat stress and degradation of misfolded proteins. Hsp90 is present in various cellular compartments including the cytoplasm nucleus and mitochondria. It is highly expressed in most eukaryotic cells reflecting its fundamental role in maintaining cellular protein homeostasis. Additionally Hsp90 serves as a loading control in western blot experiments due to its consistent expression levels across samples.
Biological function summary

Hsp90 interacts with many co-chaperones to form multi-protein complexes that aid its function. This protein is necessary for the maturation and stability of many signaling proteins including steroid hormone receptors and kinases like the tyrosine kinase D7A. Hsp90's chaperone activity is ATP-dependent with its N-terminal domain binding and hydrolyzing ATP leading to conformational changes that promote protein folding and assembly. Its influence extends to regulating cell cycle control and apoptosis highlighting its importance in cellular processes.

Pathways

Hsp90 participates in key biological pathways such as the protein folding response and the MAPK signaling pathway. In the protein folding process Hsp90 collaborates with co-chaperones like Aha1 and p23 to ensure accurate protein synthesis and repair. Its role in the MAPK signaling pathway influences cell growth proliferation and differentiation interacting with proteins like Raf-1 and MEK. These interactions highlight Hsp90's involvement in signal transduction and cellular stress responses.

Hsp90 is implicated in cancer and neurodegenerative diseases. Its overexpression often correlates with tumor progression and poor prognosis in cancers where it stabilizes client proteins like HER2 and AKT that drive oncogenic processes. In neurodegenerative disorders such as Alzheimer's disease altered Hsp90 function affects the degradation of proteins like tau contributing to pathogenic protein aggregation. Understanding Hsp90's role in these conditions offers avenues for therapeutic interventions targeting its chaperone activity.

Product protocols

For this product, it's our understanding that no specific protocols are required. You can visit:

Target data

Molecular chaperone that promotes the maturation, structural maintenance and proper regulation of specific target proteins involved for instance in cell cycle control and signal transduction. Undergoes a functional cycle that is linked to its ATPase activity which is essential for its chaperone activity. This cycle probably induces conformational changes in the client proteins, thereby causing their activation. Interacts dynamically with various co-chaperones that modulate its substrate recognition, ATPase cycle and chaperone function (PubMed : 11274138, PubMed : 12526792, PubMed : 15577939, PubMed : 15937123, PubMed : 27353360, PubMed : 29127155). Engages with a range of client protein classes via its interaction with various co-chaperone proteins or complexes, that act as adapters, simultaneously able to interact with the specific client and the central chaperone itself (PubMed : 29127155). Recruitment of ATP and co-chaperone followed by client protein forms a functional chaperone. After the completion of the chaperoning process, properly folded client protein and co-chaperone leave HSP90 in an ADP-bound partially open conformation and finally, ADP is released from HSP90 which acquires an open conformation for the next cycle (PubMed : 26991466, PubMed : 27295069). Plays a critical role in mitochondrial import, delivers preproteins to the mitochondrial import receptor TOMM70 (PubMed : 12526792). Apart from its chaperone activity, it also plays a role in the regulation of the transcription machinery. HSP90 and its co-chaperones modulate transcription at least at three different levels (PubMed : 25973397). In the first place, they alter the steady-state levels of certain transcription factors in response to various physiological cues (PubMed : 25973397). Second, they modulate the activity of certain epigenetic modifiers, such as histone deacetylases or DNA methyl transferases, and thereby respond to the change in the environment (PubMed : 25973397). Third, they participate in the eviction of histones from the promoter region of certain genes and thereby turn on gene expression (PubMed : 25973397). Binds bacterial lipopolysaccharide (LPS) and mediates LPS-induced inflammatory response, including TNF secretion by monocytes (PubMed : 11276205). Antagonizes STUB1-mediated inhibition of TGF-beta signaling via inhibition of STUB1-mediated SMAD3 ubiquitination and degradation (PubMed : 24613385). Mediates the association of TOMM70 with IRF3 or TBK1 in mitochondrial outer membrane which promotes host antiviral response (PubMed : 20628368, PubMed : 25609812).. (Microbial infection) Seems to interfere with N.meningitidis NadA-mediated invasion of human cells. Decreasing HSP90 levels increases adhesion and entry of E.coli expressing NadA into human Chang cells; increasing its levels leads to decreased adhesion and invasion.
See full target information HSP90AA1

Publications (70)

Recent publications for all applications. Explore the full list and refine your search

PloS one 20:e0323279 PubMed40333790

2025

Zinc finger protein 184 prevents α-synuclein preformed fibril-mediated neurodegeneration through the interleukin enhancer binding factor 3-microRNA-7 pathway.

Applications

Unspecified application

Species

Unspecified reactive species

Jihye Kim,Soojeong Park,Jee-Ho Lee,Ji-Yeong Lee,Joo-Ho Shin

Cell proliferation 58:e13774 PubMed39566909

2024

Targeting Hsp90α to inhibit HMGB1-mediated renal inflammation and fibrosis.

Applications

Unspecified application

Species

Unspecified reactive species

Huizhi Wei,Jinhong Ren,Xiue Feng,Chengxiao Zhao,Yuanlin Zhang,Hongxia Yuan,Fan Yang,Qingshan Li

Cell reports. Medicine 5:101791 PubMed39426375

2024

Schwann cell-secreted frizzled-related protein 1 dictates neuroinflammation and peripheral nerve degeneration after neurotrauma.

Applications

Unspecified application

Species

Unspecified reactive species

Xiangyun Yao,Lingchi Kong,Yi Qiao,David Brand,Juehong Li,Zhiwen Yan,Song Guo Zheng,Yun Qian,Cunyi Fan

Clinical and translational medicine 14:e1725 PubMed38886900

2024

Deletion of endothelial IGFBP5 protects against ischaemic hindlimb injury by promoting angiogenesis.

Applications

Unspecified application

Species

Unspecified reactive species

Fei Song,Yu Hu,Yi-Xiang Hong,Hu Sun,Yue Han,Yi-Jie Mao,Wei-Yin Wu,Gang Li,Yan Wang

Autophagy 20:2238-2254 PubMed38842055

2024

ATG10S promotes IFNL1 expression and autophagic degradation of multiple viral proteins mediated by IFNL1.

Applications

Unspecified application

Species

Unspecified reactive species

Miao-Qing Zhang,Jian-Rui Li,Lu Yang,Zong-Gen Peng,Shuo Wu,Jing-Pu Zhang

Nature communications 14:4092 PubMed37433777

2023

Immunoproteasome-specific subunit PSMB9 induction is required to regulate cellular proteostasis upon mitochondrial dysfunction.

Applications

Unspecified application

Species

Unspecified reactive species

Minji Kim,Remigiusz A Serwa,Lukasz Samluk,Ida Suppanz,Agata Kodroń,Tomasz M Stępkowski,Praveenraj Elancheliyan,Biniyam Tsegaye,Silke Oeljeklaus,Michal Wasilewski,Bettina Warscheid,Agnieszka Chacinska

Human mutation 43:2063-2078 PubMed36125428

2022

Destabilization of mutated human PUS3 protein causes intellectual disability.

Applications

Unspecified application

Species

Unspecified reactive species

Ting-Yu Lin,Robert Smigiel,Bozena Kuzniewska,Joanna J Chmielewska,Joanna Kosińska,Mateusz Biela,Anna Biela,Anna Kościelniak,Dominika Dobosz,Izabela Laczmanska,Andrzej Chramiec-Głąbik,Jakub Jeżowski,Jakub Nowak,Monika Gos,Sylwia Rzonca-Niewczas,Magdalena Dziembowska,Rafał Ploski,Sebastian Glatt

International journal of molecular sciences 23: PubMed36012578

2022

The Chaperone System in Salivary Glands: Hsp90 Prospects for Differential Diagnosis and Treatment of Malignant Tumors.

Applications

Unspecified application

Species

Unspecified reactive species

Charbel A Basset,Francesca Rappa,Rosario Barone,Ada Maria Florena,Rossana Porcasi,Everly Conway de Macario,Alberto J L Macario,Angelo Leone

Molecular medicine reports 26: PubMed35762316

2022

Mangiferin promotes the osteogenic differentiation of human periodontal ligament stem cells via TGF‑β/SMAD2 signaling.

Applications

Unspecified application

Species

Unspecified reactive species

Yingzhi Gu,Li Zhang,Yuxing Bai

Nature communications 12:6795 PubMed34815391

2021

Desmoplakin and periplakin genetically and functionally contribute to eosinophilic esophagitis.

Applications

Unspecified application

Species

Unspecified reactive species

Tetsuo Shoda,Kenneth M Kaufman,Ting Wen,Julie M Caldwell,Garrett A Osswald,Pathre Purnima,Nives Zimmermann,Margaret H Collins,Kira Rehn,Heather Foote,Michael D Eby,Wenying Zhang,Netali Ben-Baruch Morgenstern,Adina Y Ballaban,Jeff E Habel,Leah C Kottyan,J Pablo Abonia,Vincent A Mukkada,Philip E Putnam,Lisa J Martin,Marc E Rothenberg
View all publications

Product promise

We are committed to supporting your work with high-quality reagents, and we're here for you every step of the way. In the unlikely event that one of our products does not perform as expected, you're protected by our Product Promise.
For full details, please see our Terms & Conditions

Please note: All products are 'FOR RESEARCH USE ONLY. NOT FOR USE IN DIAGNOSTIC OR THERAPEUTIC PROCEDURES'.

For licensing inquiries, please contact partnerships@abcam.com