JavaScript is disabled in your browser. Please enable JavaScript to view this website.
AB240366

Anti-Hsp90 antibody [EPR16621-67] - BSA and Azide free

Be the first to review this product! Submit a review

|

(0 Publication)

Rabbit Recombinant Monoclonal HS90B antibody. Carrier free. Suitable for IP, WB, ICC/IF, Flow Cyt (Intra), IHC-P and reacts with Human, Mouse, Rat, Recombinant fragment samples.

View Alternative Names

HSP90B, HSPC2, HSPC3, HSPCB, HSP90AB1, Heat shock protein HSP 90-beta, HSP 90, Heat shock 84 kDa, Heat shock protein family C member 3, HSP 84, HSP84

8 Images
Immunohistochemistry (Formalin/PFA-fixed paraffin-embedded sections) - Anti-Hsp90 antibody [EPR16621-67] - BSA and Azide free (AB240366)
  • IHC-P

Supplier Data

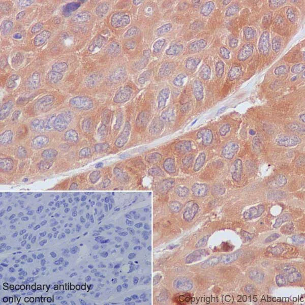
Immunohistochemistry (Formalin/PFA-fixed paraffin-embedded sections) - Anti-Hsp90 antibody [EPR16621-67] - BSA and Azide free (AB240366)

Immunohistochemical analysis of paraffin-embedded Human testis tissue labeling Hsp90 alpha + beta with ab203126 at 1/1000 dilution, followed by Goat Anti-Rabbit IgG H&L (HRP) (ab97051) secondary antibody at 1/500 dilution. Cytoplasm and weak nucleus staining on germ cells of Human testis is observed. Counter stained with Hematoxylin.

Secondary antibody only control : Used PBS instead of primary antibody, secondary antibody is Goat Anti-Rabbit IgG H&L (HRP) (ab97051) at 1/500 dilution.

This data was developed using the same antibody clone in a different buffer formulation containing PBS, BSA, glycerol, and sodium azide (ab203126).

Perform heat mediated antigen retrieval with Tris/EDTA buffer pH 9.0 before commencing with IHC staining protocol.

Immunocytochemistry/ Immunofluorescence - Anti-Hsp90 antibody [EPR16621-67] - BSA and Azide free (AB240366)
  • ICC/IF

Lab

Immunocytochemistry/ Immunofluorescence - Anti-Hsp90 antibody [EPR16621-67] - BSA and Azide free (AB240366)

Immunocytochemistry/Immunofluorescence analysis of 100% methanol-fixed HeLa (Human epithelial cells from cervix adenocarcinoma) cells labeling Hsp90 alpha + beta with ab203126 at 1/500 dilution, followed by Goat anti-rabbit IgG (Alexa Fluor® 488) (ab150077) secondary antibody at 1/1000 dilution (green). Confocal image showing cytoplasm staining on HeLa cell line. The nuclear counter stain is DAPI (blue).

Control - PBS instead of primary antibody.

This data was developed using the same antibody clone in a different buffer formulation containing PBS, BSA, glycerol, and sodium azide (ab203126).

Flow Cytometry (Intracellular) - Anti-Hsp90 antibody [EPR16621-67] - BSA and Azide free (AB240366)
  • Flow Cyt (Intra)

Supplier Data

Flow Cytometry (Intracellular) - Anti-Hsp90 antibody [EPR16621-67] - BSA and Azide free (AB240366)

Intracellular flow cytometric analysis of 2% paraformaldehyde-fixed Jurkat (Human T cell leukemia cells from peripheral blood) cells labeling Hsp90 alpha + beta with ab203126 at 1/350 dilution (red) compared with a rabbit monoclonal IgG isotype control (ab172730; black) and an unlabelled control (cells without incubation with primary antibody and secondary antibody; blue). Goat anti rabbit IgG (FITC) at 1/150 dilution was used as the secondary antibody.

This data was developed using the same antibody clone in a different buffer formulation containing PBS, BSA, glycerol, and sodium azide (ab203126).

Immunohistochemistry (Formalin/PFA-fixed paraffin-embedded sections) - Anti-Hsp90 antibody [EPR16621-67] - BSA and Azide free (AB240366)
  • IHC-P

Supplier Data

Immunohistochemistry (Formalin/PFA-fixed paraffin-embedded sections) - Anti-Hsp90 antibody [EPR16621-67] - BSA and Azide free (AB240366)

Immunohistochemical analysis of paraffin-embedded Human lung cancer tissue labeling Hsp90 alpha + beta with ab203126 at 1/1000 dilution, followed by Goat Anti-Rabbit IgG H&L (HRP) (ab97051) secondary antibody at 1/500 dilution. Cytoplasm and weak nucleus staining on tumor cells of Human lung cancer is observed. Counter stained with Hematoxylin.

Secondary antibody only control : Used PBS instead of primary antibody, secondary antibody is Goat Anti-Rabbit IgG H&L (HRP) (ab97051) at 1/500 dilution.

This data was developed using the same antibody clone in a different buffer formulation containing PBS, BSA, glycerol, and sodium azide (ab203126).

Perform heat mediated antigen retrieval with Tris/EDTA buffer pH 9.0 before commencing with IHC staining protocol.

Immunoprecipitation - Anti-Hsp90 antibody [EPR16621-67] - BSA and Azide free (AB240366)
  • IP

Supplier Data

Immunoprecipitation - Anti-Hsp90 antibody [EPR16621-67] - BSA and Azide free (AB240366)

Hsp90 alpha + beta was immunoprecipitated from 1mg of HeLa (Human epithelial cells from cervix adenocarcinoma) whole cell lysate with ab203126 at 1/100 dilution. Western blot was performed from the immunoprecipitate using ab203126 at 1/1000 dilution. Anti-Rabbit IgG (HRP), specific to the non-reduced form of IgG, was used as secondary antibody at 1/1500 dilution.

Lane 1 : HeLa whole cell lysate 10 µg (Input).

Lane 2 : ab203126 IP in HeLa whole cell lysate.

Lane 3 : Rabbit monoclonal IgG (ab172730) instead of ab203126 in HeLa whole cell lysate.
Blocking and dilution buffer and concentration : 5% NFDM/TBST.

Exposure time : 3 seconds.

This data was developed using the same antibody clone in a different buffer formulation containing PBS, BSA, glycerol, and sodium azide (ab203126).

All lanes:

Immunoprecipitation - Anti-Hsp90 antibody [EPR16621-67] (<a href='/en-us/products/primary-antibodies/hsp90-antibody-epr16621-67-ab203126'>ab203126</a>)

Predicted band size: 85 kDa

Observed band size: 90 kDa

false

Immunocytochemistry/ Immunofluorescence - Anti-Hsp90 antibody [EPR16621-67] - BSA and Azide free (AB240366)
  • ICC/IF

Supplier Data

Immunocytochemistry/ Immunofluorescence - Anti-Hsp90 antibody [EPR16621-67] - BSA and Azide free (AB240366)

Immunocytochemistry/Immunofluorescence analysis of 100% methanol-fixed NIH/3T3 (Mouse embryonic fibroblast) cells labeling Hsp90 alpha + beta with ab203126 at 1/500 dilution, followed by Goat anti-rabbit IgG (Alexa Fluor® 488) (ab150077) secondary antibody at 1/1000 dilution (green). Confocal image showing cytoplasm staining on HeLa cell line. The nuclear counter stain is DAPI (blue).

Control - PBS instead of primary antibody.

This data was developed using the same antibody clone in a different buffer formulation containing PBS, BSA, glycerol, and sodium azide (ab203126).

Immunohistochemistry (Formalin/PFA-fixed paraffin-embedded sections) - Anti-Hsp90 antibody [EPR16621-67] - BSA and Azide free (AB240366)
  • IHC-P

Supplier Data

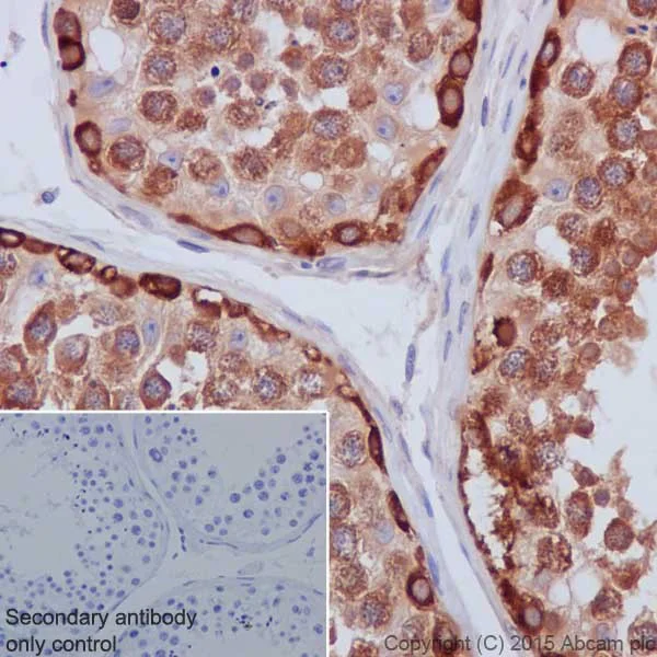
Immunohistochemistry (Formalin/PFA-fixed paraffin-embedded sections) - Anti-Hsp90 antibody [EPR16621-67] - BSA and Azide free (AB240366)

Immunohistochemical analysis of paraffin-embedded rat testis tissue labeling Hsp90 alpha + beta with ab203126 at 1/1000 dilution, followed by Goat Anti-Rabbit IgG H&L (HRP) (ab97051) secondary antibody at 1/500 dilution. Cytoplasm and weak nucleus staining on germ cells of rat testis is observed. Counter stained with Hematoxylin.

Secondary antibody only control : Used PBS instead of primary antibody, secondary antibody is Goat Anti-Rabbit IgG H&L (HRP) (ab97051) at 1/500 dilution.

This data was developed using the same antibody clone in a different buffer formulation containing PBS, BSA, glycerol, and sodium azide (ab203126).

Perform heat mediated antigen retrieval with Tris/EDTA buffer pH 9.0 before commencing with IHC staining protocol.

Immunohistochemistry (Formalin/PFA-fixed paraffin-embedded sections) - Anti-Hsp90 antibody [EPR16621-67] - BSA and Azide free (AB240366)
  • IHC-P

Supplier Data

Immunohistochemistry (Formalin/PFA-fixed paraffin-embedded sections) - Anti-Hsp90 antibody [EPR16621-67] - BSA and Azide free (AB240366)

Immunohistochemical analysis of paraffin-embedded Mouse cerebral cortex tissue labeling Hsp90 alpha + beta with ab203126 at 1/1000 dilution, followed by Goat Anti-Rabbit IgG H&L (HRP) (ab97051) secondary antibody at 1/500 dilution. Cytoplasm and nucleus staining on neuron of mouse cerebral cortex is observed. Counter stained with Hematoxylin.

Secondary antibody only control : Used PBS instead of primary antibody, secondary antibody is Goat Anti-Rabbit IgG H&L (HRP) (ab97051) at 1/500 dilution.

This data was developed using the same antibody clone in a different buffer formulation containing PBS, BSA, glycerol, and sodium azide (ab203126).

Perform heat mediated antigen retrieval with Tris/EDTA buffer pH 9.0 before commencing with IHC staining protocol.

Key facts

Host species

Rabbit

Clonality

Monoclonal

Clone number

EPR16621-67

Isotype

IgG

Carrier free

Yes

Reacts with

Mouse, Rat, Human

Applications

Flow Cyt (Intra), WB, ICC/IF, IP, IHC-P

applications

Immunogen

The exact immunogen used to generate this antibody is proprietary information.

Reactivity data

{ "title": "Reactivity Data", "filters": { "stats": ["", "Species", "Dilution Info", "Notes"], "tabs": { "all-applications": {"fullname" : "All Applications", "shortname": "All Applications"}, "IP" : {"fullname" : "Immunoprecipitation", "shortname":"IP"}, "WB" : {"fullname" : "Western blot", "shortname":"WB"}, "ICCIF" : {"fullname" : "Immunocytochemistry/ Immunofluorescence", "shortname":"ICC/IF"}, "FlowCytIntra" : {"fullname" : "Flow Cytometry (Intracellular)", "shortname":"Flow Cyt (Intra)"}, "IHCP" : {"fullname" : "Immunohistochemistry (Formalin/PFA-fixed paraffin-embedded sections)", "shortname":"IHC-P"} }, "product-promise": { "all": "all", "testedAndGuaranteed": "tested", "guaranteed": "expected", "predicted": "predicted", "notRecommended": "not-recommended" } }, "values": { "Human": { "IP-species-checked": "testedAndGuaranteed", "IP-species-dilution-info": "", "IP-species-notes": "<p></p>", "WB-species-checked": "guaranteed", "WB-species-dilution-info": "", "WB-species-notes": "<p></p>", "ICCIF-species-checked": "guaranteed", "ICCIF-species-dilution-info": "", "ICCIF-species-notes": "", "FlowCytIntra-species-checked": "testedAndGuaranteed", "FlowCytIntra-species-dilution-info": "", "FlowCytIntra-species-notes": "<p></p>", "IHCP-species-checked": "guaranteed", "IHCP-species-dilution-info": "", "IHCP-species-notes": "" }, "Mouse": { "IP-species-checked": "guaranteed", "IP-species-dilution-info": "", "IP-species-notes": "", "WB-species-checked": "guaranteed", "WB-species-dilution-info": "", "WB-species-notes": "<p></p>", "ICCIF-species-checked": "testedAndGuaranteed", "ICCIF-species-dilution-info": "", "ICCIF-species-notes": "<p>Methanol fixed cells.</p>", "FlowCytIntra-species-checked": "guaranteed", "FlowCytIntra-species-dilution-info": "", "FlowCytIntra-species-notes": "", "IHCP-species-checked": "guaranteed", "IHCP-species-dilution-info": "", "IHCP-species-notes": "" }, "Rat": { "IP-species-checked": "guaranteed", "IP-species-dilution-info": "", "IP-species-notes": "", "WB-species-checked": "guaranteed", "WB-species-dilution-info": "", "WB-species-notes": "<p></p>", "ICCIF-species-checked": "guaranteed", "ICCIF-species-dilution-info": "", "ICCIF-species-notes": "", "FlowCytIntra-species-checked": "guaranteed", "FlowCytIntra-species-dilution-info": "", "FlowCytIntra-species-notes": "", "IHCP-species-checked": "testedAndGuaranteed", "IHCP-species-dilution-info": "", "IHCP-species-notes": "<p></p>" }, "Recombinant fragment": { "IP-species-checked": "notRecommended", "IP-species-dilution-info": "", "IP-species-notes": "", "WB-species-checked": "guaranteed", "WB-species-dilution-info": "", "WB-species-notes": "<p></p>", "ICCIF-species-checked": "notRecommended", "ICCIF-species-dilution-info": "", "ICCIF-species-notes": "", "FlowCytIntra-species-checked": "notRecommended", "FlowCytIntra-species-dilution-info": "", "FlowCytIntra-species-notes": "", "IHCP-species-checked": "notRecommended", "IHCP-species-dilution-info": "", "IHCP-species-notes": "" } } }

Product details

ab240366 is the carrier-free version of ab203126.

Patented technology
Our RabMAb® technology is a patented hybridoma-based technology for making rabbit monoclonal antibodies. For details on our patents, please refer to RabMAb® patents.

What are the advantages of a recombinant monoclonal antibody?
This product is a recombinant monoclonal antibody, which offers several advantages including:

  • - High batch-to-batch consistency and reproducibility
  • - Improved sensitivity and specificity
  • - Long-term security of supply
  • - Animal-free batch production

For more information, read more on recombinant antibodies.

Conjugation ready
Our carrier-free antibodies are typically supplied in a PBS-only formulation, purified and free of BSA, sodium azide and glycerol. This conjugation-ready format is designed for use with fluorochromes, metal isotopes, oligonucleotides, and enzymes, which makes them ideal for antibody labelling, functional and cell-based assays, flow-based assays (e.g. mass cytometry) and Multiplex Imaging applications.

Use our conjugation kits for antibody conjugates that are ready-to-use in as little as 20 minutes with 1 minute hands-on-time and 100% antibody recovery: available for fluorescent dyes, HRP, biotin and gold.

Compatibility
This product is compatible with the Maxpar® Antibody Labeling Kit from Fluidigm, without the need for antibody preparation. Maxpar® is a trademark of Fluidigm Canada Inc.

Properties and storage information

Form
Liquid
Purification technique
Affinity purification Protein A
Storage buffer
pH: 7.2 - 7.4 Constituents: PBS
Shipped at conditions
Blue Ice
Appropriate short-term storage conditions
+4°C
Appropriate long-term storage conditions
+4°C
Storage information
Do Not Freeze

Supplementary information

This supplementary information is collated from multiple sources and compiled automatically.

Hsp90 also known as heat shock protein 90 is a molecular chaperone with a mass of about 90 kDa. It assists in the proper folding of client proteins stabilization of proteins against heat stress and degradation of misfolded proteins. Hsp90 is present in various cellular compartments including the cytoplasm nucleus and mitochondria. It is highly expressed in most eukaryotic cells reflecting its fundamental role in maintaining cellular protein homeostasis. Additionally Hsp90 serves as a loading control in western blot experiments due to its consistent expression levels across samples.
Biological function summary

Hsp90 interacts with many co-chaperones to form multi-protein complexes that aid its function. This protein is necessary for the maturation and stability of many signaling proteins including steroid hormone receptors and kinases like the tyrosine kinase D7A. Hsp90's chaperone activity is ATP-dependent with its N-terminal domain binding and hydrolyzing ATP leading to conformational changes that promote protein folding and assembly. Its influence extends to regulating cell cycle control and apoptosis highlighting its importance in cellular processes.

Pathways

Hsp90 participates in key biological pathways such as the protein folding response and the MAPK signaling pathway. In the protein folding process Hsp90 collaborates with co-chaperones like Aha1 and p23 to ensure accurate protein synthesis and repair. Its role in the MAPK signaling pathway influences cell growth proliferation and differentiation interacting with proteins like Raf-1 and MEK. These interactions highlight Hsp90's involvement in signal transduction and cellular stress responses.

Hsp90 is implicated in cancer and neurodegenerative diseases. Its overexpression often correlates with tumor progression and poor prognosis in cancers where it stabilizes client proteins like HER2 and AKT that drive oncogenic processes. In neurodegenerative disorders such as Alzheimer's disease altered Hsp90 function affects the degradation of proteins like tau contributing to pathogenic protein aggregation. Understanding Hsp90's role in these conditions offers avenues for therapeutic interventions targeting its chaperone activity.

Product protocols

For this product, it's our understanding that no specific protocols are required. You can visit:

Target data

Molecular chaperone that promotes the maturation, structural maintenance and proper regulation of specific target proteins involved for instance in cell cycle control and signal transduction. Undergoes a functional cycle linked to its ATPase activity. This cycle probably induces conformational changes in the client proteins, thereby causing their activation. Interacts dynamically with various co-chaperones that modulate its substrate recognition, ATPase cycle and chaperone function (PubMed : 16478993, PubMed : 19696785). Engages with a range of client protein classes via its interaction with various co-chaperone proteins or complexes, that act as adapters, simultaneously able to interact with the specific client and the central chaperone itself. Recruitment of ATP and co-chaperone followed by client protein forms a functional chaperone. After the completion of the chaperoning process, properly folded client protein and co-chaperone leave HSP90 in an ADP-bound partially open conformation and finally, ADP is released from HSP90 which acquires an open conformation for the next cycle (PubMed : 26991466, PubMed : 27295069). Apart from its chaperone activity, it also plays a role in the regulation of the transcription machinery. HSP90 and its co-chaperones modulate transcription at least at three different levels. They first alter the steady-state levels of certain transcription factors in response to various physiological cues. Second, they modulate the activity of certain epigenetic modifiers, such as histone deacetylases or DNA methyl transferases, and thereby respond to the change in the environment. Third, they participate in the eviction of histones from the promoter region of certain genes and thereby turn on gene expression (PubMed : 25973397). Antagonizes STUB1-mediated inhibition of TGF-beta signaling via inhibition of STUB1-mediated SMAD3 ubiquitination and degradation (PubMed : 24613385). Promotes cell differentiation by chaperoning BIRC2 and thereby protecting from auto-ubiquitination and degradation by the proteasomal machinery (PubMed : 18239673). Main chaperone involved in the phosphorylation/activation of the STAT1 by chaperoning both JAK2 and PRKCE under heat shock and in turn, activates its own transcription (PubMed : 20353823). Involved in the translocation into ERGIC (endoplasmic reticulum-Golgi intermediate compartment) of leaderless cargos (lacking the secretion signal sequence) such as the interleukin 1/IL-1; the translocation process is mediated by the cargo receptor TMED10 (PubMed : 32272059).. (Microbial infection) Binding to N.meningitidis NadA stimulates monocytes (PubMed : 21949862). Seems to interfere with N.meningitidis NadA-mediated invasion of human cells (Probable).
See full target information HSP90AB1

Additional targets

HSP90AA1

Product promise

We are committed to supporting your work with high-quality reagents, and we're here for you every step of the way. In the unlikely event that one of our products does not perform as expected, you're protected by our Product Promise.
For full details, please see our Terms & Conditions

Please note: All products are 'FOR RESEARCH USE ONLY. NOT FOR USE IN DIAGNOSTIC OR THERAPEUTIC PROCEDURES'.

For licensing inquiries, please contact partnerships@abcam.com