JavaScript is disabled in your browser. Please enable JavaScript to view this website.
AB109248

Anti-Hsp90 antibody [EPR3953]

  • RabMAb
  • Recombinant
  • Lab Essentials
  • 20ul selling size
  • What is this?

Be the first to review this product! Submit a review

|

(8 Publications)

Rabbit Recombinant Monoclonal HS90A antibody. Suitable for IHC-P, WB and reacts with Human, Mouse, Rat samples. Cited in 8 publications.

View Alternative Names

HSP90A, HSPC1, HSPCA, HSP90AA1, Heat shock protein HSP 90-alpha, Heat shock 86 kDa, Heat shock protein family C member 1, Lipopolysaccharide-associated protein 2, Renal carcinoma antigen NY-REN-38, HSP 86, HSP86, LAP-2, LPS-associated protein 2

6 Images
Immunohistochemistry (Formalin/PFA-fixed paraffin-embedded sections) - Anti-Hsp90 antibody [EPR3953] (AB109248)
  • IHC-P

Unknown

Immunohistochemistry (Formalin/PFA-fixed paraffin-embedded sections) - Anti-Hsp90 antibody [EPR3953] (AB109248)

Immunohistochemistry (Formalin/PFA-fixed paraffin-embedded sections) analysis of Human lung carcinoma tissue sections labeling Hsp90 with purified ab109248 at 1 : 50 dilution (19.42 μg/ml). Heat mediated antigen retrieval was performed using ab93684 (Tris/EDTA buffer, pH 9.0). ImmunoHistoProbe one step HRP Polymer (ready to use)was used as the secondary antibody. Negative control : PBS instead of the primary antibody. Hematoxylin was used as a counterstain.

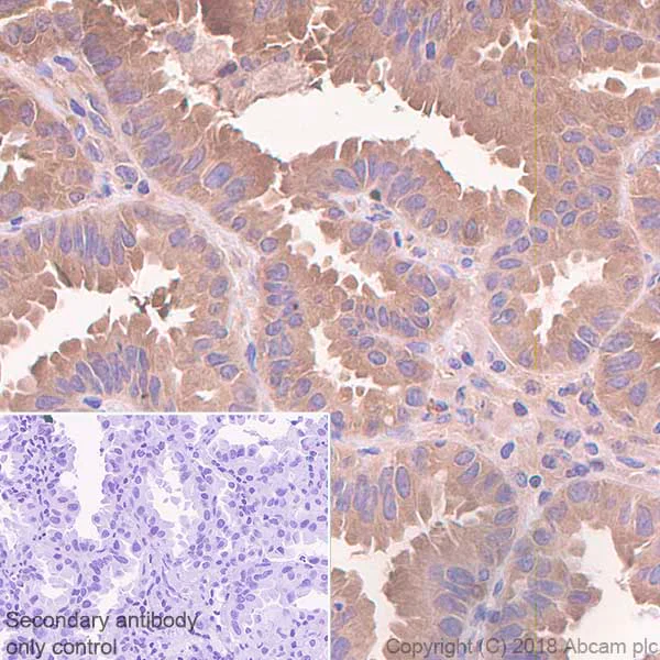
Immunohistochemistry (Formalin/PFA-fixed paraffin-embedded sections) - Anti-Hsp90 antibody [EPR3953] (AB109248)
  • IHC-P

Unknown

Immunohistochemistry (Formalin/PFA-fixed paraffin-embedded sections) - Anti-Hsp90 antibody [EPR3953] (AB109248)

ab109248, at 1/100, staining Hsp90 in paraffin-embedded Human gastric adenocarcinoma tissue by Immunohistochemistry.

Heat mediated antigen retrieval was performed with citrate buffer pH 6 before commencing with IHC staining protocol.

Immunohistochemistry (Formalin/PFA-fixed paraffin-embedded sections) - Anti-Hsp90 antibody [EPR3953] (AB109248)
  • IHC-P

Unknown

Immunohistochemistry (Formalin/PFA-fixed paraffin-embedded sections) - Anti-Hsp90 antibody [EPR3953] (AB109248)

ab109248, at 1/100, staining Hsp90 in paraffin-embedded Human kidney tissue by Immunohistochemistry.

Heat mediated antigen retrieval was performed with citrate buffer pH 6 before commencing with IHC staining protocol.

Western blot - Anti-Hsp90 antibody [EPR3953] (AB109248)
  • WB

Supplier Data

Western blot - Anti-Hsp90 antibody [EPR3953] (AB109248)

Blocking and dilution buffer : 5% NFDM/TBST.

All lanes:

Western blot - Anti-Hsp90 antibody [EPR3953] (ab109248) at 1/1000 dilution

Lane 1:

Western blot - Recombinant Human Hsp90 alpha protein (His tag) (<a href='/en-us/products/proteins-peptides/recombinant-human-hsp90-alpha-protein-his-tag-ab48801'>ab48801</a>) at 0.015 µg

Lane 2:

Western blot - Recombinant human Hsp90 beta protein (Active) (<a href='/en-us/products/proteins-peptides/recombinant-human-hsp90-beta-protein-active-ab80033'>ab80033</a>) at 0.015 µg

Secondary

All lanes:

Western blot - Goat Anti-Rabbit IgG H&L (HRP) (<a href='/en-us/products/secondary-antibodies/goat-rabbit-igg-h-l-hrp-ab97051'>ab97051</a>) at 1/20000 dilution

Predicted band size: 85 kDa

Observed band size: 90 kDa

false

Exposure time: 5s

Western blot - Anti-Hsp90 antibody [EPR3953] (AB109248)
  • WB

Lab

Western blot - Anti-Hsp90 antibody [EPR3953] (AB109248)

All lanes:

Western blot - Anti-Hsp90 antibody [EPR3953] (ab109248) at 1/1000 dilution

Lane 1:

HeLa (Human cervix adenocarcinoma epithelial cell) whole cell lysates at 20 µg

Lane 2:

HEK-293 (Human embryonic kidney epithelial cell) whole cell lysates at 20 µg

Lane 3:

RAW264.7 (Mouse Abelson murine leukemia virus-induced tumor macrophage) whole cell lysates at 20 µg

Lane 4:

NIH/3T3 (Mouse embryonic fibroblast) whole cell lysates at 20 µg

Lane 5:

PC-12 (Rat adrenal gland pheochromocytoma ) whole cell lysates at 20 µg

Secondary

All lanes:

Western blot - Goat Anti-Rabbit IgG H&L (HRP) (<a href='/en-us/products/secondary-antibodies/goat-rabbit-igg-h-l-hrp-ab97051'>ab97051</a>) at 1/20000 dilution

Predicted band size: 85 kDa

Observed band size: 90 kDa

false

Western blot - Anti-Hsp90 antibody [EPR3953] (AB109248)
  • WB

CiteAb

Western blot - Anti-Hsp90 antibody [EPR3953] (AB109248)

Hsp90 western blot using anti-Hsp90 antibody [EPR3953] ab109248. Publication image and figure legend from Guo, W., Yan, L., et al., 2014, PLoS One, PubMed 24465691.

ab109248 was used in this publication in western blot. This may not be the same as the application(s) guaranteed by Abcam. For a full list of applications guaranteed by Abcam for ab109248 please see the product overview.

MKT-077 potentiates 17-AAG-induced translocation of p53 to the nuclei in HCC cells.(A, B) Bel-7402 and HuH7 cells were treated with MKT-077, 17-AAG or a combination of both agents at the indicated concentrations for 24 hours. Cytoplasmic and nuclear fractions of Bel-7402 and HuH7 cells were separated, and subjected to Western blot analysis of p53 expression. α-tublin and Lamin B1 served as loading controls for cytoplasmic and nuclear fractions respectively. (C) Hep3B cells infected with Lenti-p53 (Hep3B-p53+/+) were treated with MKT-077, 17-AAG or MKT-077+17-AAG at indicated dosages for 24 hours, and immunofluorescent staining was performed to determine p53 subcellular localization. (D) Bel-7402 cells treated with MKT-077 or 17-AAG alone, or MKT-077+17-AAG for 24 hours were harvested and subjected to co-immunoprecipitation using GRP75-specific antibodies. Levels of p53, Akt and HSP90 were detected by Western blot analysis. (E) MKT-077 and 17-AAG synergistically enhanced mRNA levels of the p53 target genes p21 and PUMA, and reduced MDM2 mRNA levels. The mRNA levels of these genes were quantified using real-time RT-PCR and normalized to levels of GAPDH mRNA. * denotes p < 0.05 comparing 17-AAG to MKT-077+17-AAG.

false

  • Carrier free

    Anti-Hsp90 antibody [EPR3953] - BSA and Azide free

Key facts

Host species

Rabbit

Clonality

Monoclonal

Clone number

EPR3953

Isotype

IgG

Carrier free

No

Reacts with

Mouse, Rat, Human

Applications

IHC-P, WB

applications

Immunogen

The exact immunogen used to generate this antibody is proprietary information.

Specificity

The mouse and rat recommendation is based on the WB results. We do not guarantee IHC-P for mouse and rat.

Reactivity data

{ "title": "Reactivity Data", "filters": { "stats": ["", "Species", "Dilution Info", "Notes"], "tabs": { "all-applications": {"fullname" : "All Applications", "shortname": "All Applications"}, "IHCP" : {"fullname" : "Immunohistochemistry (Formalin/PFA-fixed paraffin-embedded sections)", "shortname":"IHC-P"}, "IP" : {"fullname" : "Immunoprecipitation", "shortname":"IP"}, "FlowCyt" : {"fullname" : "Flow Cytometry", "shortname":"Flow Cyt"}, "WB" : {"fullname" : "Western blot", "shortname":"WB"} }, "product-promise": { "all": "all", "testedAndGuaranteed": "tested", "guaranteed": "expected", "predicted": "predicted", "notRecommended": "not-recommended" } }, "values": { "Human": { "IHCP-species-checked": "testedAndGuaranteed", "IHCP-species-dilution-info": "1/50", "IHCP-species-notes": "<p>The mouse and rat recommendation is based on the WB results. We do not guarantee IHC-P for mouse and rat.</p><p><strong>For unpurified use at 1/100 - 1/250.</strong></p>", "IP-species-checked": "notRecommended", "IP-species-dilution-info": "", "IP-species-notes": "<p></p>", "FlowCyt-species-checked": "notRecommended", "FlowCyt-species-dilution-info": "", "FlowCyt-species-notes": "<p></p>", "WB-species-checked": "testedAndGuaranteed", "WB-species-dilution-info": "1/1000 - 1/10000", "WB-species-notes": "<p></p>" }, "Mouse": { "IHCP-species-checked": "guaranteed", "IHCP-species-dilution-info": "", "IHCP-species-notes": "", "IP-species-checked": "notRecommended", "IP-species-dilution-info": "", "IP-species-notes": "<p></p>", "FlowCyt-species-checked": "notRecommended", "FlowCyt-species-dilution-info": "", "FlowCyt-species-notes": "<p></p>", "WB-species-checked": "testedAndGuaranteed", "WB-species-dilution-info": "1/1000 - 1/10000", "WB-species-notes": "<p></p>" }, "Rat": { "IHCP-species-checked": "guaranteed", "IHCP-species-dilution-info": "", "IHCP-species-notes": "", "IP-species-checked": "notRecommended", "IP-species-dilution-info": "", "IP-species-notes": "<p></p>", "FlowCyt-species-checked": "notRecommended", "FlowCyt-species-dilution-info": "", "FlowCyt-species-notes": "<p></p>", "WB-species-checked": "testedAndGuaranteed", "WB-species-dilution-info": "1/1000 - 1/10000", "WB-species-notes": "<p></p>" } } }

Product details

Patented technology
Our RabMAb® technology is a patented hybridoma-based technology for making rabbit monoclonal antibodies. For details on our patents, please refer to RabMAb® patents.

What are the advantages of a recombinant monoclonal antibody?
This product is a recombinant monoclonal antibody, which offers several advantages including:

  • - High batch-to-batch consistency and reproducibility
  • - Improved sensitivity and specificity
  • - Long-term security of supply
  • - Animal-free batch production

For more information, read more on recombinant antibodies.

Properties and storage information

Form
Liquid
Purification technique
Affinity purification Protein A
Storage buffer
pH: 7.2 - 7.4 Preservative: 0.01% Sodium azide Constituents: PBS, 40% Glycerol (glycerin, glycerine), 0.05% BSA
Shipped at conditions
Blue Ice
Appropriate short-term storage conditions
+4°C
Appropriate long-term storage conditions
-20°C
Storage information
Stable for 12 months at -20°C

Supplementary information

This supplementary information is collated from multiple sources and compiled automatically.

Hsp90 also known as heat shock protein 90 is a molecular chaperone with a mass of about 90 kDa. It assists in the proper folding of client proteins stabilization of proteins against heat stress and degradation of misfolded proteins. Hsp90 is present in various cellular compartments including the cytoplasm nucleus and mitochondria. It is highly expressed in most eukaryotic cells reflecting its fundamental role in maintaining cellular protein homeostasis. Additionally Hsp90 serves as a loading control in western blot experiments due to its consistent expression levels across samples.
Biological function summary

Hsp90 interacts with many co-chaperones to form multi-protein complexes that aid its function. This protein is necessary for the maturation and stability of many signaling proteins including steroid hormone receptors and kinases like the tyrosine kinase D7A. Hsp90's chaperone activity is ATP-dependent with its N-terminal domain binding and hydrolyzing ATP leading to conformational changes that promote protein folding and assembly. Its influence extends to regulating cell cycle control and apoptosis highlighting its importance in cellular processes.

Pathways

Hsp90 participates in key biological pathways such as the protein folding response and the MAPK signaling pathway. In the protein folding process Hsp90 collaborates with co-chaperones like Aha1 and p23 to ensure accurate protein synthesis and repair. Its role in the MAPK signaling pathway influences cell growth proliferation and differentiation interacting with proteins like Raf-1 and MEK. These interactions highlight Hsp90's involvement in signal transduction and cellular stress responses.

Hsp90 is implicated in cancer and neurodegenerative diseases. Its overexpression often correlates with tumor progression and poor prognosis in cancers where it stabilizes client proteins like HER2 and AKT that drive oncogenic processes. In neurodegenerative disorders such as Alzheimer's disease altered Hsp90 function affects the degradation of proteins like tau contributing to pathogenic protein aggregation. Understanding Hsp90's role in these conditions offers avenues for therapeutic interventions targeting its chaperone activity.

Product protocols

For this product, it's our understanding that no specific protocols are required. You can visit:

Target data

Molecular chaperone that promotes the maturation, structural maintenance and proper regulation of specific target proteins involved for instance in cell cycle control and signal transduction. Undergoes a functional cycle that is linked to its ATPase activity which is essential for its chaperone activity. This cycle probably induces conformational changes in the client proteins, thereby causing their activation. Interacts dynamically with various co-chaperones that modulate its substrate recognition, ATPase cycle and chaperone function (PubMed : 11274138, PubMed : 12526792, PubMed : 15577939, PubMed : 15937123, PubMed : 27353360, PubMed : 29127155). Engages with a range of client protein classes via its interaction with various co-chaperone proteins or complexes, that act as adapters, simultaneously able to interact with the specific client and the central chaperone itself (PubMed : 29127155). Recruitment of ATP and co-chaperone followed by client protein forms a functional chaperone. After the completion of the chaperoning process, properly folded client protein and co-chaperone leave HSP90 in an ADP-bound partially open conformation and finally, ADP is released from HSP90 which acquires an open conformation for the next cycle (PubMed : 26991466, PubMed : 27295069). Plays a critical role in mitochondrial import, delivers preproteins to the mitochondrial import receptor TOMM70 (PubMed : 12526792). Apart from its chaperone activity, it also plays a role in the regulation of the transcription machinery. HSP90 and its co-chaperones modulate transcription at least at three different levels (PubMed : 25973397). In the first place, they alter the steady-state levels of certain transcription factors in response to various physiological cues (PubMed : 25973397). Second, they modulate the activity of certain epigenetic modifiers, such as histone deacetylases or DNA methyl transferases, and thereby respond to the change in the environment (PubMed : 25973397). Third, they participate in the eviction of histones from the promoter region of certain genes and thereby turn on gene expression (PubMed : 25973397). Binds bacterial lipopolysaccharide (LPS) and mediates LPS-induced inflammatory response, including TNF secretion by monocytes (PubMed : 11276205). Antagonizes STUB1-mediated inhibition of TGF-beta signaling via inhibition of STUB1-mediated SMAD3 ubiquitination and degradation (PubMed : 24613385). Mediates the association of TOMM70 with IRF3 or TBK1 in mitochondrial outer membrane which promotes host antiviral response (PubMed : 20628368, PubMed : 25609812).. (Microbial infection) Seems to interfere with N.meningitidis NadA-mediated invasion of human cells. Decreasing HSP90 levels increases adhesion and entry of E.coli expressing NadA into human Chang cells; increasing its levels leads to decreased adhesion and invasion.
See full target information HSP90AA1

Publications (8)

Recent publications for all applications. Explore the full list and refine your search

Signal transduction and targeted therapy 9:159 PubMed38937432

2024

A Cullin 5-based complex serves as an essential modulator of ORF9b stability in SARS-CoV-2 replication.

Applications

Unspecified application

Species

Unspecified reactive species

Yuzheng Zhou,Zongpeng Chen,Sijie Liu,Sixu Liu,Yujie Liao,Ashuai Du,Zijun Dong,Yongxing Zhang,Xuan Chen,Siyi Tao,Xin Wu,Aroona Razzaq,Gang Xu,De-An Tan,Shanni Li,Youwen Deng,Jian Peng,Shuyan Dai,Xu Deng,Xianwen Zhang,Taijiao Jiang,Zheng Zhang,Gong Cheng,Jincun Zhao,Zanxian Xia

Theranostics 10:8415-8429 PubMed32724478

2020

Hsp90 inhibitor HSP990 in very low dose upregulates EAAT2 and exerts potent antiepileptic activity.

Applications

Unspecified application

Species

Unspecified reactive species

Longze Sha,Ting Chen,Yu Deng,Tingfu Du,Kaili Ma,Wanwan Zhu,Yan Shen,Qi Xu

The Journal of clinical endocrinology and metabolism 104:2535-2546 PubMed30844069

2019

Impact of USP8 Gene Mutations on Protein Deregulation in Cushing Disease.

Applications

Unspecified application

Species

Unspecified reactive species

Isabel Weigand,Lisanne Knobloch,Jörg Flitsch,Wolfgang Saeger,Camelia M Monoranu,Kerstin Höfner,Sabine Herterich,Roman Rotermund,Cristina L Ronchi,Michael Buchfelder,Markus Glatzel,Christian Hagel,Martin Fassnacht,Timo Deutschbein,Silviu Sbiera

International journal of clinical and experimental 11:4431-4438 PubMed31949840

2018

Role of Hsp90/Akt pathway in the pathogenesis of gentamicin-induced hearing loss.

Applications

Unspecified application

Species

Unspecified reactive species

Ruosha Lai,Wei Li,Peng Hu,Dinghua Xie,Jie Wen

World journal of gastroenterology 23:4910-4919 PubMed28785145

2017

Generation of glyceraldehyde-derived advanced glycation end-products in pancreatic cancer cells and the potential of tumor promotion.

Applications

Unspecified application

Species

Unspecified reactive species

Takanobu Takata,Tadashi Ueda,Akiko Sakasai-Sakai,Masayoshi Takeuchi

The Journal of experimental medicine 214:547-563 PubMed28028152

2016

Pharmacologic inhibition of Hsp90 to prevent GLT-1 degradation as an effective therapy for epilepsy.

Applications

Unspecified application

Species

Unspecified reactive species

Longze Sha,Xueqin Wang,Jing Li,Xinze Shi,Liwen Wu,Yan Shen,Qi Xu

PloS one 9:e85766 PubMed24465691

2014

Targeting GRP75 improves HSP90 inhibitor efficacy by enhancing p53-mediated apoptosis in hepatocellular carcinoma.

Applications

IHC

Species

Human

Weiwei Guo,Lichong Yan,Ling Yang,Xiaoyu Liu,Qiukai E,Peiye Gao,Xiaofei Ye,Wen Liu,Ji Zuo

Molecular and cellular biology 34:847-61 PubMed24344204

2013

TIMMDC1/C3orf1 functions as a membrane-embedded mitochondrial complex I assembly factor through association with the MCIA complex.

Applications

Unspecified application

Species

Unspecified reactive species

Virginia Guarani,Joao Paulo,Bo Zhai,Edward L Huttlin,Steven P Gygi,J Wade Harper
View all publications

Product promise

We are committed to supporting your work with high-quality reagents, and we're here for you every step of the way. In the unlikely event that one of our products does not perform as expected, you're protected by our Product Promise.
For full details, please see our Terms & Conditions

Please note: All products are 'FOR RESEARCH USE ONLY. NOT FOR USE IN DIAGNOSTIC OR THERAPEUTIC PROCEDURES'.

For licensing inquiries, please contact partnerships@abcam.com