JavaScript is disabled in your browser. Please enable JavaScript to view this website.
AB239960

Anti-Hsp90 antibody [EPR3953] - BSA and Azide free

Be the first to review this product! Submit a review

|

(0 Publication)

Rabbit Recombinant Monoclonal HS90A antibody. Carrier free. Suitable for IHC-P, WB and reacts with Human, Mouse, Rat samples.

View Alternative Names

HSP90A, HSPC1, HSPCA, HSP90AA1, Heat shock protein HSP 90-alpha, Heat shock 86 kDa, Heat shock protein family C member 1, Lipopolysaccharide-associated protein 2, Renal carcinoma antigen NY-REN-38, HSP 86, HSP86, LAP-2, LPS-associated protein 2

3 Images
Immunohistochemistry (Formalin/PFA-fixed paraffin-embedded sections) - Anti-Hsp90 antibody [EPR3953] - BSA and Azide free (AB239960)
  • IHC-P

Unknown

Immunohistochemistry (Formalin/PFA-fixed paraffin-embedded sections) - Anti-Hsp90 antibody [EPR3953] - BSA and Azide free (AB239960)

Immunohistochemistry (Formalin/PFA-fixed paraffin-embedded sections) analysis of Human lung carcinoma tissue sections labeling Hsp90 with purified ab109248 at 1 : 50 dilution (19.42 μg/ml). Heat mediated antigen retrieval was performed using ab93684 (Tris/EDTA buffer, pH 9.0). ImmunoHistoProbe one step HRP Polymer (ready to use)was used as the secondary antibody. Negative control : PBS instead of the primary antibody. Hematoxylin was used as a counterstain.

Immunohistochemistry (Formalin/PFA-fixed paraffin-embedded sections) - Anti-Hsp90 antibody [EPR3953] - BSA and Azide free (AB239960)
  • IHC-P

Unknown

Immunohistochemistry (Formalin/PFA-fixed paraffin-embedded sections) - Anti-Hsp90 antibody [EPR3953] - BSA and Azide free (AB239960)

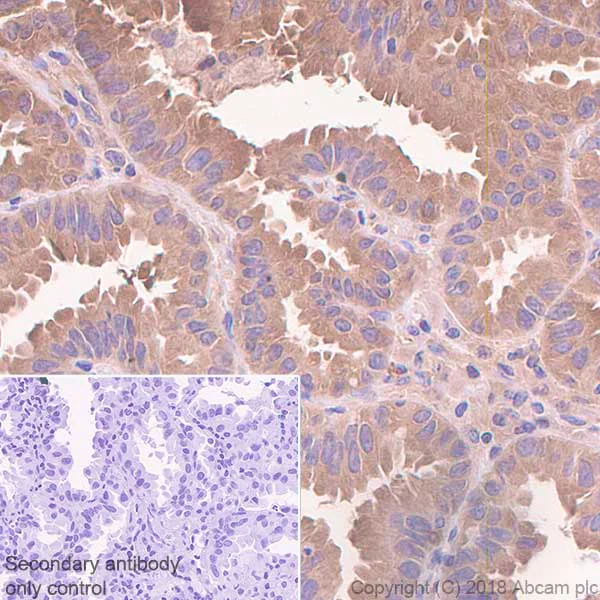
ab109248, at 1/100, staining Hsp90 in paraffin-embedded Human gastric adenocarcinoma tissue by Immunohistochemistry.

This data was developed using the same antibody clone in a different buffer formulation containing PBS, BSA, glycerol, and sodium azide (ab109248).

Heat mediated antigen retrieval was performed with citrate buffer pH 6 before commencing with IHC staining protocol.

Immunohistochemistry (Formalin/PFA-fixed paraffin-embedded sections) - Anti-Hsp90 antibody [EPR3953] - BSA and Azide free (AB239960)
  • IHC-P

Unknown

Immunohistochemistry (Formalin/PFA-fixed paraffin-embedded sections) - Anti-Hsp90 antibody [EPR3953] - BSA and Azide free (AB239960)

ab109248, at 1/100, staining Hsp90 in paraffin-embedded Human kidney tissue by Immunohistochemistry.

This data was developed using the same antibody clone in a different buffer formulation containing PBS, BSA, glycerol, and sodium azide (ab109248).

Heat mediated antigen retrieval was performed with citrate buffer pH 6 before commencing with IHC staining protocol.

Key facts

Host species

Rabbit

Clonality

Monoclonal

Clone number

EPR3953

Isotype

IgG

Carrier free

Yes

Reacts with

Mouse, Rat, Human

Applications

IHC-P, WB

applications

Immunogen

The exact immunogen used to generate this antibody is proprietary information.

Specificity

The mouse and rat recommendation is based on the WB results. We do not guarantee IHC-P for mouse and rat.

Reactivity data

{ "title": "Reactivity Data", "filters": { "stats": ["", "Species", "Dilution Info", "Notes"], "tabs": { "all-applications": {"fullname" : "All Applications", "shortname": "All Applications"}, "IHCP" : {"fullname" : "Immunohistochemistry (Formalin/PFA-fixed paraffin-embedded sections)", "shortname":"IHC-P"}, "IP" : {"fullname" : "Immunoprecipitation", "shortname":"IP"}, "FlowCyt" : {"fullname" : "Flow Cytometry", "shortname":"Flow Cyt"}, "WB" : {"fullname" : "Western blot", "shortname":"WB"} }, "product-promise": { "all": "all", "testedAndGuaranteed": "tested", "guaranteed": "expected", "predicted": "predicted", "notRecommended": "not-recommended" } }, "values": { "Human": { "IHCP-species-checked": "testedAndGuaranteed", "IHCP-species-dilution-info": "", "IHCP-species-notes": "<p>The mouse and rat recommendation is based on the WB results. We do not guarantee IHC-P for mouse and rat.</p>", "IP-species-checked": "notRecommended", "IP-species-dilution-info": "", "IP-species-notes": "<p></p>", "FlowCyt-species-checked": "notRecommended", "FlowCyt-species-dilution-info": "", "FlowCyt-species-notes": "<p></p>", "WB-species-checked": "guaranteed", "WB-species-dilution-info": "", "WB-species-notes": "<p></p>" }, "Mouse": { "IHCP-species-checked": "predicted", "IHCP-species-dilution-info": "", "IHCP-species-notes": "", "IP-species-checked": "notRecommended", "IP-species-dilution-info": "", "IP-species-notes": "<p></p>", "FlowCyt-species-checked": "notRecommended", "FlowCyt-species-dilution-info": "", "FlowCyt-species-notes": "<p></p>", "WB-species-checked": "guaranteed", "WB-species-dilution-info": "", "WB-species-notes": "<p></p>" }, "Rat": { "IHCP-species-checked": "predicted", "IHCP-species-dilution-info": "", "IHCP-species-notes": "", "IP-species-checked": "notRecommended", "IP-species-dilution-info": "", "IP-species-notes": "<p></p>", "FlowCyt-species-checked": "notRecommended", "FlowCyt-species-dilution-info": "", "FlowCyt-species-notes": "<p></p>", "WB-species-checked": "guaranteed", "WB-species-dilution-info": "", "WB-species-notes": "<p></p>" } } }

You may be interested in:

AB320052

Human Hsp90 alpha ELISA Kit

0

0 Reviews

View product

We recommend this product because it’s often used in the same experiment or related research.

We advise that you always check the datasheet to ensure it fits your experiments, or contact ourtechnical teamfor help.

Product details

ab239960 is the carrier-free version of ab109248.

Patented technology
Our RabMAb® technology is a patented hybridoma-based technology for making rabbit monoclonal antibodies. For details on our patents, please refer to RabMAb® patents.

What are the advantages of a recombinant monoclonal antibody?
This product is a recombinant monoclonal antibody, which offers several advantages including:

  • - High batch-to-batch consistency and reproducibility
  • - Improved sensitivity and specificity
  • - Long-term security of supply
  • - Animal-free batch production

For more information, read more on recombinant antibodies.

Conjugation ready
Our carrier-free antibodies are typically supplied in a PBS-only formulation, purified and free of BSA, sodium azide and glycerol. This conjugation-ready format is designed for use with fluorochromes, metal isotopes, oligonucleotides, and enzymes, which makes them ideal for antibody labelling, functional and cell-based assays, flow-based assays (e.g. mass cytometry) and Multiplex Imaging applications.

Use our conjugation kits for antibody conjugates that are ready-to-use in as little as 20 minutes with 1 minute hands-on-time and 100% antibody recovery: available for fluorescent dyes, HRP, biotin and gold.

Compatibility
This product is compatible with the Maxpar® Antibody Labeling Kit from Fluidigm, without the need for antibody preparation. Maxpar® is a trademark of Fluidigm Canada Inc.

Properties and storage information

Form
Liquid
Purification technique
Affinity purification Protein A
Storage buffer
pH: 7.2 - 7.4 Constituents: PBS
Shipped at conditions
Blue Ice
Appropriate short-term storage conditions
+4°C
Appropriate long-term storage conditions
+4°C
Storage information
Do Not Freeze

Supplementary information

This supplementary information is collated from multiple sources and compiled automatically.

Hsp90 also known as heat shock protein 90 is a molecular chaperone with a mass of about 90 kDa. It assists in the proper folding of client proteins stabilization of proteins against heat stress and degradation of misfolded proteins. Hsp90 is present in various cellular compartments including the cytoplasm nucleus and mitochondria. It is highly expressed in most eukaryotic cells reflecting its fundamental role in maintaining cellular protein homeostasis. Additionally Hsp90 serves as a loading control in western blot experiments due to its consistent expression levels across samples.
Biological function summary

Hsp90 interacts with many co-chaperones to form multi-protein complexes that aid its function. This protein is necessary for the maturation and stability of many signaling proteins including steroid hormone receptors and kinases like the tyrosine kinase D7A. Hsp90's chaperone activity is ATP-dependent with its N-terminal domain binding and hydrolyzing ATP leading to conformational changes that promote protein folding and assembly. Its influence extends to regulating cell cycle control and apoptosis highlighting its importance in cellular processes.

Pathways

Hsp90 participates in key biological pathways such as the protein folding response and the MAPK signaling pathway. In the protein folding process Hsp90 collaborates with co-chaperones like Aha1 and p23 to ensure accurate protein synthesis and repair. Its role in the MAPK signaling pathway influences cell growth proliferation and differentiation interacting with proteins like Raf-1 and MEK. These interactions highlight Hsp90's involvement in signal transduction and cellular stress responses.

Hsp90 is implicated in cancer and neurodegenerative diseases. Its overexpression often correlates with tumor progression and poor prognosis in cancers where it stabilizes client proteins like HER2 and AKT that drive oncogenic processes. In neurodegenerative disorders such as Alzheimer's disease altered Hsp90 function affects the degradation of proteins like tau contributing to pathogenic protein aggregation. Understanding Hsp90's role in these conditions offers avenues for therapeutic interventions targeting its chaperone activity.

Product protocols

For this product, it's our understanding that no specific protocols are required. You can visit:

Target data

Molecular chaperone that promotes the maturation, structural maintenance and proper regulation of specific target proteins involved for instance in cell cycle control and signal transduction. Undergoes a functional cycle that is linked to its ATPase activity which is essential for its chaperone activity. This cycle probably induces conformational changes in the client proteins, thereby causing their activation. Interacts dynamically with various co-chaperones that modulate its substrate recognition, ATPase cycle and chaperone function (PubMed : 11274138, PubMed : 12526792, PubMed : 15577939, PubMed : 15937123, PubMed : 27353360, PubMed : 29127155). Engages with a range of client protein classes via its interaction with various co-chaperone proteins or complexes, that act as adapters, simultaneously able to interact with the specific client and the central chaperone itself (PubMed : 29127155). Recruitment of ATP and co-chaperone followed by client protein forms a functional chaperone. After the completion of the chaperoning process, properly folded client protein and co-chaperone leave HSP90 in an ADP-bound partially open conformation and finally, ADP is released from HSP90 which acquires an open conformation for the next cycle (PubMed : 26991466, PubMed : 27295069). Plays a critical role in mitochondrial import, delivers preproteins to the mitochondrial import receptor TOMM70 (PubMed : 12526792). Apart from its chaperone activity, it also plays a role in the regulation of the transcription machinery. HSP90 and its co-chaperones modulate transcription at least at three different levels (PubMed : 25973397). In the first place, they alter the steady-state levels of certain transcription factors in response to various physiological cues (PubMed : 25973397). Second, they modulate the activity of certain epigenetic modifiers, such as histone deacetylases or DNA methyl transferases, and thereby respond to the change in the environment (PubMed : 25973397). Third, they participate in the eviction of histones from the promoter region of certain genes and thereby turn on gene expression (PubMed : 25973397). Binds bacterial lipopolysaccharide (LPS) and mediates LPS-induced inflammatory response, including TNF secretion by monocytes (PubMed : 11276205). Antagonizes STUB1-mediated inhibition of TGF-beta signaling via inhibition of STUB1-mediated SMAD3 ubiquitination and degradation (PubMed : 24613385). Mediates the association of TOMM70 with IRF3 or TBK1 in mitochondrial outer membrane which promotes host antiviral response (PubMed : 20628368, PubMed : 25609812).. (Microbial infection) Seems to interfere with N.meningitidis NadA-mediated invasion of human cells. Decreasing HSP90 levels increases adhesion and entry of E.coli expressing NadA into human Chang cells; increasing its levels leads to decreased adhesion and invasion.
See full target information HSP90AA1

Product promise

We are committed to supporting your work with high-quality reagents, and we're here for you every step of the way. In the unlikely event that one of our products does not perform as expected, you're protected by our Product Promise.
For full details, please see our Terms & Conditions

Associated Products

Select an associated product type
Alternative Product
Primary Antibodies

AB58950

Anti-Hsp90 antibody [H90-10]

primary-antibodies

hsp90-antibody-h90-10-ab58950

5

(4 reviews)

Alternative Product
Primary Antibodies

AB79848

Anti-Hsp90 antibody [4F3.E8]

primary-antibodies

hsp90-antibody-4f3e8-ab79848

5

(1 reviews)

Alternative Product
Primary Antibodies

AB13492

Anti-Hsp90 antibody [AC88]

primary-antibodies

hsp90-antibody-ac88-ab13492

4

(30 reviews)

Alternative Product
Primary Antibodies

AB223467

Alexa Fluor® 488 Anti-Hsp90 antibody [EPR16621-67]

primary-antibodies

alexa-fluor-488-hsp90-antibody-epr16621-67-ab223467

0

(0 reviews)

Alternative Product
Primary Antibodies

AB240366

Anti-Hsp90 antibody [EPR16621-67] - BSA and Azide free

primary-antibodies

hsp90-antibody-epr16621-67-bsa-and-azide-free-ab240366

0

(0 reviews)

Alternative Product
Primary Antibodies

AB203126

Anti-Hsp90 antibody [EPR16621-67]

primary-antibodies

hsp90-antibody-epr16621-67-ab203126

0

(0 reviews)

Alternative Product
Primary Antibodies

AB79649

Biotin Anti-Hsp90 antibody

primary-antibodies

biotin-hsp90-antibody-ab79649

0

(0 reviews)

Alternative Product
Primary Antibodies

AB13495

Anti-Hsp90 antibody

primary-antibodies

hsp90-antibody-ab13495

4

(14 reviews)

Alternative Product
Primary Antibodies

AB59459

Anti-Hsp90 antibody [D7a]

primary-antibodies

hsp90-antibody-d7a-ab59459

5

(9 reviews)

Alternative Product
Primary Antibodies

AB223468

Alexa Fluor® 647 Anti-Hsp90 antibody [EPR16621-67]

primary-antibodies

alexa-fluor-647-hsp90-antibody-epr16621-67-ab223468

0

(0 reviews)

Please note: All products are 'FOR RESEARCH USE ONLY. NOT FOR USE IN DIAGNOSTIC OR THERAPEUTIC PROCEDURES'.

For licensing inquiries, please contact partnerships@abcam.com