JavaScript is disabled in your browser. Please enable JavaScript to view this website.
AB251390

Anti-Hsp90 beta antibody [EPR16621] - BSA and Azide free

Be the first to review this product! Submit a review

|

(0 Publication)

Rabbit Recombinant Monoclonal HS90B antibody. Carrier free. Suitable for IP, WB, IHC-P, ICC/IF, Flow Cyt (Intra) and reacts with Recombinant fragment, Mouse, Rat, Human samples.

View Alternative Names

HSP90B, HSPC2, HSPC3, HSPCB, HSP90AB1, Heat shock protein HSP 90-beta, HSP 90, Heat shock 84 kDa, Heat shock protein family C member 3, HSP 84, HSP84

10 Images
Immunocytochemistry/ Immunofluorescence - Anti-Hsp90 beta antibody [EPR16621] - BSA and Azide free (AB251390)
  • ICC/IF

Supplier Data

Immunocytochemistry/ Immunofluorescence - Anti-Hsp90 beta antibody [EPR16621] - BSA and Azide free (AB251390)

This data was developed using the same antibody clone in a different buffer formulation (ab203085).

Immunofluorescence analysis of 4% paraformaldehyde fixed HeLa cells (Human epithelial cells from cervix adenocarcinoma) labeling Hsp90 beta with ab203085 at a 1/250 dilution showing cytoplasmic staining. Permeabilisation using 0.1% tritonX-100.

Secondary ab : Anti-Rabbit Alexa Fluor® 488 (ab150077) at 1/200 dilution. Counter stain is labeling tubulin (red) with ab7291 at 1/500 dilution with secondary antibody Anti-Mouse AlexaFluor® 594 (ab150120) at 1/400 dilution. DAPI stains the nucleus in blue. -ve control 1 is ab178854 at 1/250 dilution, Anti-Mouse AlexaFluor® 594 (ab150120) at 1/400 dilution. -ve control 2 is ab7291 at 1/500 dilution, Anti-Rabbit Alexa Fluor® 488 (ab150077) at 1/200 dilution.

Immunohistochemistry (Formalin/PFA-fixed paraffin-embedded sections) - Anti-Hsp90 beta antibody [EPR16621] - BSA and Azide free (AB251390)
  • IHC-P

Supplier Data

Immunohistochemistry (Formalin/PFA-fixed paraffin-embedded sections) - Anti-Hsp90 beta antibody [EPR16621] - BSA and Azide free (AB251390)

This data was developed using the same antibody clone in a different buffer formulation (ab203085).

Immunohistochemical analysis of paraffin-embedded Human cerebral cortex tissue labeling Hsp90 beta with ab203085 at 1/500 dilution followed by prediluted HRP Polymer for Rabbit/Mouse IgG. Cytoplasm and nucleus staining on neuron of cerebral cortex is observed. This protein is synthesized in cytoplasm, but it can shuttle between cytoplasm and nucleus depend on the cell status. Counter stained with hematoxylin. Negative control also shown using PBS instead of primary antibody and secondary as above.

Perform heat mediated antigen retrieval with Tris/EDTA buffer pH 9.0 before commencing with IHC staining protocol.

Immunoprecipitation - Anti-Hsp90 beta antibody [EPR16621] - BSA and Azide free (AB251390)
  • IP

Supplier Data

Immunoprecipitation - Anti-Hsp90 beta antibody [EPR16621] - BSA and Azide free (AB251390)

This data was developed using the same antibody clone in a different buffer formulation (ab203085).

Hsp90 beta was immunoprecipitated from 1mg of Hela (Human epithelial cells from cervix adenocarcinoma) whole cell extract with ab203085 at 1/70 dilution. Western blot was performed of the immunoprecipitate using ab203085 at 1/5000 dilution. Goat Anti-Rabbit IgG, (H+L), peroxidase conjugated, was used as secondary antibody at 1 : 1000 dilution.

Blocking buffer and concentration : 5% NFDM/TBST.

Diluting buffer and concentration : 5% NFDM/TBST.

All lanes:

Immunoprecipitation - Anti-Hsp90 beta antibody [EPR16621] (<a href='/en-us/products/primary-antibodies/hsp90-beta-antibody-epr16621-ab203085'>ab203085</a>)

Predicted band size: 83 kDa

Observed band size: 90 kDa

false

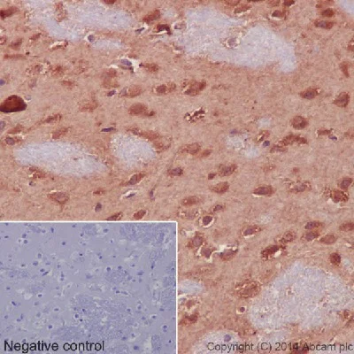
Immunohistochemistry (Formalin/PFA-fixed paraffin-embedded sections) - Anti-Hsp90 beta antibody [EPR16621] - BSA and Azide free (AB251390)
  • IHC-P

Supplier Data

Immunohistochemistry (Formalin/PFA-fixed paraffin-embedded sections) - Anti-Hsp90 beta antibody [EPR16621] - BSA and Azide free (AB251390)

This data was developed using the same antibody clone in a different buffer formulation (ab203085).

Immunohistochemical analysis of paraffin-embedded Mouse cerebral cortex tissue labeling Hsp90 beta with ab203085 at 1/500 dilution followed by prediluted HRP Polymer for Rabbit/Mouse IgG. Cytoplasm and nucleus staining on neuron of cerebral cortex is observed. This protein is synthesized in cytoplasm, but it can shuttle between cytoplasm and nucleus depending on the cell status. Counter stained with hematoxylin. Negative control also shown using PBS instead of primary antibody and secondary as above.

Perform heat mediated antigen retrieval with Tris/EDTA buffer pH 9.0 before commencing with IHC staining protocol.

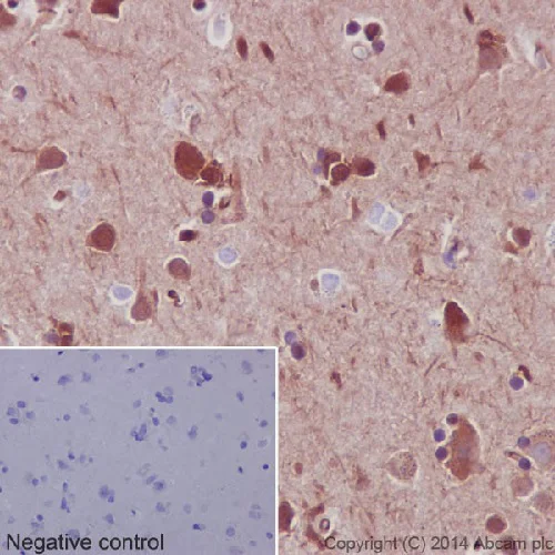
Immunohistochemistry (Formalin/PFA-fixed paraffin-embedded sections) - Anti-Hsp90 beta antibody [EPR16621] - BSA and Azide free (AB251390)
  • IHC-P

Supplier Data

Immunohistochemistry (Formalin/PFA-fixed paraffin-embedded sections) - Anti-Hsp90 beta antibody [EPR16621] - BSA and Azide free (AB251390)

This data was developed using the same antibody clone in a different buffer formulation (ab203085).

Immunohistochemical analysis of paraffin-embedded Rat cerebral cortex tissue labeling Hsp90 beta with ab203085 at 1/500 dilution followed by prediluted HRP Polymer for Rabbit/Mouse IgG. Cytoplasm and nucleus staining on neuron of cerebral cortex is observed. This protein is synthesized in cytoplasm, but it can shuttle between cytoplasm and nucleus depending on the cell status. Counter stained with hematoxylin. Negative control also shown using PBS instead of primary antibody and secondary as above.

Perform heat mediated antigen retrieval with Tris/EDTA buffer pH 9.0 before commencing with IHC staining protocol.

Western blot - Anti-Hsp90 beta antibody [EPR16621] - BSA and Azide free (AB251390)
  • WB

Lab

Western blot - Anti-Hsp90 beta antibody [EPR16621] - BSA and Azide free (AB251390)

This data was developed using the same antibody clone in a different buffer formulation (ab203085).

Lanes 1-4 : Merged signal (red and green). Green - ab203085 observed at 90 kDa. Red - loading control ab8245 observed at 36 kDa.

ab203085 Anti-Hsp90 beta antibody [EPR16621] was shown to specifically react with Hsp90 beta in wild-type HEK293T cells. Loss of signal was observed when knockout cell line ab266117 (knockout cell lysate ab257190) was used. Wild-type and Hsp90 beta knockout samples were subjected to SDS-PAGE. ab203085 and Anti-GAPDH antibody [6C5] - Loading Control (ab8245) were incubated at room temperature for 2.5 hours at 1 in 1000 dilution and 1 in 20000 dilution respectively. Blots were developed with Goat anti-Rabbit IgG H&L (IRDye® 800CW) preadsorbed (ab216773) and Goat anti-Mouse IgG H&L (IRDye® 680RD) preadsorbed (ab216776) secondary antibodies at 1 in 20000 dilution for 1 hour at room temperature before imaging.

All lanes:

Western blot - Anti-Hsp90 beta antibody [EPR16621] (<a href='/en-us/products/primary-antibodies/hsp90-beta-antibody-epr16621-ab203085'>ab203085</a>) at 1/1000 dilution

Lane 1:

Wild-type HEK293T cell lysate at 20 µg

Lane 2:

Western blot - Human HSP90AB1 (Hsp90 beta) knockout HEK-293T cell line (<a href='/en-us/products/cell-lines/human-hsp90ab1-hsp90-beta-knockout-hek-293t-cell-line-ab266117'>ab266117</a>)

Lane 2:

HSP90AB1 knockout HEK293T cell lysate at 20 µg

Lane 3:

Jurkat cell lysate at 20 µg

Lane 4:

SH-SY5Y cell lysate at 20 µg

Secondary

All lanes:

Western blot - Goat anti-Rabbit IgG H&L (IRDye® 800CW) preadsorbed (<a href='/en-us/products/secondary-antibodies/goat-rabbit-igg-h-l-irdye-800cw-preadsorbed-ab216773'>ab216773</a>) at 1/10000 dilution

Predicted band size: 83 kDa

Observed band size: 90 kDa

false

Western blot - Anti-Hsp90 beta antibody [EPR16621] - BSA and Azide free (AB251390)
  • WB

Lab

Western blot - Anti-Hsp90 beta antibody [EPR16621] - BSA and Azide free (AB251390)

This data was developed using the same antibody clone in a different buffer formulation (ab203085).

Lanes 1 - 4 : Merged signal (red and green). Green - ab203085 observed at 85 kDa. Red - loading control ab8245 (Mouse anti-GAPDH antibody [6C5]) observed at 37kDa.

ab203085 was shown to react with Hsp90 beta in wild-type HEK-293T cells in western blot with loss of signal observed in HSP90AB1 knockout cell line ab266117 (HSP90AB1 knockout cell lysate ab257190). Wild-type and HSP90AB1 knockout HEK-293T cell lysates were subjected to SDS-PAGE. Membranes were blocked in 3% milk in TBS-T (0.1% Tween®) before incubation with ab203085 and ab8245 (Mouse anti-GAPDH antibody [6C5]) overnight at 4°C at a 1 in 5000 dilution and a 1 in 20000 dilution respectively. Blots were incubated with Goat anti-Rabbit IgG H&L (IRDye® 800CW) preabsorbed (ab216773) and Goat anti-Mouse IgG H&L (IRDye® 680RD) preabsorbed (ab216776) secondary antibodies at 1 in 20000 dilution for 1 hour at room temperature before imaging.

All lanes:

Western blot - Anti-Hsp90 beta antibody [EPR16621] (<a href='/en-us/products/primary-antibodies/hsp90-beta-antibody-epr16621-ab203085'>ab203085</a>) at 1/5000 dilution

Lane 1:

Wild-type HEK-293T cell lysate at 20 µg

Lane 2:

Western blot - Human HSP90AB1 (Hsp90 beta) knockout HEK-293T cell line (<a href='/en-us/products/cell-lines/human-hsp90ab1-hsp90-beta-knockout-hek-293t-cell-line-ab266117'>ab266117</a>)

Lane 2:

HSP90AB1 knockout HEK-293T cell lysate at 20 µg

Lane 3:

Saos-2 cell lysate at 20 µg

Lane 4:

HL-60 cell lysate at 20 µg

Predicted band size: 83 kDa

Observed band size: 85 kDa

false

Western blot - Anti-Hsp90 beta antibody [EPR16621] - BSA and Azide free (AB251390)
  • WB

Supplier Data

Western blot - Anti-Hsp90 beta antibody [EPR16621] - BSA and Azide free (AB251390)

This data was developed using the same antibody clone in a different buffer formulation (ab203085).

Blocking buffer and concentration : 5% NFDM/TBST

Diluting buffer and concentration : 5% NFDM /TBST

All lanes:

Western blot - Anti-Hsp90 beta antibody [EPR16621] (<a href='/en-us/products/primary-antibodies/hsp90-beta-antibody-epr16621-ab203085'>ab203085</a>) at 1/20000 dilution

Lane 1:

HeLa (Human epithelial cells from cervix adenocarcinoma) whole cell lysates at 20 µg

Lane 2:

293T (Human epithelial cells from embryonic kidney) whole cell lysates at 20 µg

Lane 3:

K562 (Human chronic myelogenous leukemia cells from bone marrow) whole cell lysates at 20 µg

Lane 4:

Jurkat (Human T cell leukemia cells from peripheral blood) whole cell lysates at 20 µg

Secondary

All lanes:

Goat Anti-Rabbit IgG, (H+L), Peroxidase conjugated at 1/1000 dilution

Predicted band size: 83 kDa

Observed band size: 90 kDa

false

Western blot - Anti-Hsp90 beta antibody [EPR16621] - BSA and Azide free (AB251390)
  • WB

Supplier Data

Western blot - Anti-Hsp90 beta antibody [EPR16621] - BSA and Azide free (AB251390)

This data was developed using the same antibody clone in a different buffer formulation (ab203085).

Blocking buffer and concentration : 5% NFDM/TBST

Diluting buffer and concentration : 5% NFDM /TBST

All lanes:

Western blot - Anti-Hsp90 beta antibody [EPR16621] (<a href='/en-us/products/primary-antibodies/hsp90-beta-antibody-epr16621-ab203085'>ab203085</a>) at 1/5000 dilution

Lane 1:

Mouse brain at 10 µg

Lane 2:

Mouse heart at 10 µg

Lane 3:

Mouse kidney at 10 µg

Lane 4:

Mouse spleen at 10 µg

Lane 5:

Rat brain at 10 µg

Lane 6:

Rat heart at 10 µg

Lane 7:

Rat kidney at 10 µg

Lane 8:

Rat spleen at 10 µg

Lane 9:

C6 (Rat glial tumor cells) whole cell lysate at 10 µg

Lane 10:

RAW 264.7 (Mouse macrophage cells transformed with Abelson murine leukemia virus) whole cell lysate at 10 µg

Lane 11:

PC-12 (Rat adrenal gland pheochromocytoma) whole cell lysate at 10 µg

Lane 12:

NIH/3T3 (Mouse embyro fibroblast cells) whole cell lysate at 10 µg

Secondary

All lanes:

Goat Anti-Rabbit IgG, (H+L), Peroxidase conjugated at 1/1000 dilution

Predicted band size: 83 kDa

Observed band size: 90 kDa

false

Flow Cytometry (Intracellular) - Anti-Hsp90 beta antibody [EPR16621] - BSA and Azide free (AB251390)
  • Flow Cyt (Intra)

Supplier Data

Flow Cytometry (Intracellular) - Anti-Hsp90 beta antibody [EPR16621] - BSA and Azide free (AB251390)

This data was developed using the same antibody clone in a different buffer formulation (ab203085).

Intracellular Flow Cytometry analysis of 2% paraformaldehyde fixedHeLa (Human epithelial cells from cervix adenocarcinoma) cells using ab203085 at a 1/100 dilution (red) or a Rabbit monoclonal IgG (negative) (black). Goat anti rabbit IgG (FITC) secondary used at a 1/150 dilution.

Key facts

Host species

Rabbit

Clonality

Monoclonal

Clone number

EPR16621

Isotype

IgG

Carrier free

Yes

Reacts with

Mouse, Rat, Human

Applications

IHC-P, Flow Cyt (Intra), ICC/IF, WB, IP

applications

Immunogen

The exact immunogen used to generate this antibody is proprietary information.

Reactivity data

{ "title": "Reactivity Data", "filters": { "stats": ["", "Species", "Dilution Info", "Notes"], "tabs": { "all-applications": {"fullname" : "All Applications", "shortname": "All Applications"}, "IP" : {"fullname" : "Immunoprecipitation", "shortname":"IP"}, "WB" : {"fullname" : "Western blot", "shortname":"WB"}, "IHCP" : {"fullname" : "Immunohistochemistry (Formalin/PFA-fixed paraffin-embedded sections)", "shortname":"IHC-P"}, "ICCIF" : {"fullname" : "Immunocytochemistry/ Immunofluorescence", "shortname":"ICC/IF"}, "FlowCytIntra" : {"fullname" : "Flow Cytometry (Intracellular)", "shortname":"Flow Cyt (Intra)"} }, "product-promise": { "all": "all", "testedAndGuaranteed": "tested", "guaranteed": "expected", "predicted": "predicted", "notRecommended": "not-recommended" } }, "values": { "Human": { "IP-species-checked": "guaranteed", "IP-species-dilution-info": "", "IP-species-notes": "<p></p>", "WB-species-checked": "testedAndGuaranteed", "WB-species-dilution-info": "", "WB-species-notes": "<p></p>", "IHCP-species-checked": "guaranteed", "IHCP-species-dilution-info": "", "IHCP-species-notes": "<p></p> Perform heat-mediated antigen retrieval with Tris/EDTA buffer pH 9.0 before commencing with IHC staining protocol.", "ICCIF-species-checked": "guaranteed", "ICCIF-species-dilution-info": "", "ICCIF-species-notes": "<p></p>", "FlowCytIntra-species-checked": "guaranteed", "FlowCytIntra-species-dilution-info": "", "FlowCytIntra-species-notes": "<p></p>" }, "Mouse": { "IP-species-checked": "guaranteed", "IP-species-dilution-info": "", "IP-species-notes": "<p></p>", "WB-species-checked": "predicted", "WB-species-dilution-info": "", "WB-species-notes": "", "IHCP-species-checked": "guaranteed", "IHCP-species-dilution-info": "", "IHCP-species-notes": "<p></p> Perform heat-mediated antigen retrieval with Tris/EDTA buffer pH 9.0 before commencing with IHC staining protocol.", "ICCIF-species-checked": "guaranteed", "ICCIF-species-dilution-info": "", "ICCIF-species-notes": "<p></p>", "FlowCytIntra-species-checked": "guaranteed", "FlowCytIntra-species-dilution-info": "", "FlowCytIntra-species-notes": "<p></p>" }, "Rat": { "IP-species-checked": "guaranteed", "IP-species-dilution-info": "", "IP-species-notes": "<p></p>", "WB-species-checked": "predicted", "WB-species-dilution-info": "", "WB-species-notes": "", "IHCP-species-checked": "guaranteed", "IHCP-species-dilution-info": "", "IHCP-species-notes": "<p></p> Perform heat-mediated antigen retrieval with Tris/EDTA buffer pH 9.0 before commencing with IHC staining protocol.", "ICCIF-species-checked": "guaranteed", "ICCIF-species-dilution-info": "", "ICCIF-species-notes": "<p></p>", "FlowCytIntra-species-checked": "guaranteed", "FlowCytIntra-species-dilution-info": "", "FlowCytIntra-species-notes": "<p></p>" }, "Recombinant fragment": { "IP-species-checked": "guaranteed", "IP-species-dilution-info": "", "IP-species-notes": "<p></p>", "WB-species-checked": "notRecommended", "WB-species-dilution-info": "", "WB-species-notes": "", "IHCP-species-checked": "notRecommended", "IHCP-species-dilution-info": "", "IHCP-species-notes": "", "ICCIF-species-checked": "notRecommended", "ICCIF-species-dilution-info": "", "ICCIF-species-notes": "", "FlowCytIntra-species-checked": "notRecommended", "FlowCytIntra-species-dilution-info": "", "FlowCytIntra-species-notes": "" } } }

Product details

ab251390 is the carrier-free version of ab203085.

Patented technology
Our RabMAb® technology is a patented hybridoma-based technology for making rabbit monoclonal antibodies. For details on our patents, please refer to RabMAb® patents.

What are the advantages of a recombinant monoclonal antibody?
This product is a recombinant monoclonal antibody, which offers several advantages including:

  • - High batch-to-batch consistency and reproducibility
  • - Improved sensitivity and specificity
  • - Long-term security of supply
  • - Animal-free batch production

For more information, read more on recombinant antibodies.

Conjugation ready
Our carrier-free antibodies are typically supplied in a PBS-only formulation, purified and free of BSA, sodium azide and glycerol. This conjugation-ready format is designed for use with fluorochromes, metal isotopes, oligonucleotides, and enzymes, which makes them ideal for antibody labelling, functional and cell-based assays, flow-based assays (e.g. mass cytometry) and Multiplex Imaging applications.

Use our conjugation kits for antibody conjugates that are ready-to-use in as little as 20 minutes with 1 minute hands-on-time and 100% antibody recovery: available for fluorescent dyes, HRP, biotin and gold.

Compatibility
This product is compatible with the Maxpar® Antibody Labeling Kit from Fluidigm, without the need for antibody preparation. Maxpar® is a trademark of Fluidigm Canada Inc.

Properties and storage information

Form
Liquid
Purification technique
Affinity purification Protein A
Storage buffer
pH: 7.2 - 7.4 Constituents: PBS
Shipped at conditions
Blue Ice
Appropriate short-term storage conditions
+4°C
Appropriate long-term storage conditions
+4°C
Storage information
Do Not Freeze

Supplementary information

This supplementary information is collated from multiple sources and compiled automatically.

Hsp90 beta also known as Hsp90AB1 or Hsp90 protein is a heat shock protein of approximately 90 kDa. It is a molecular chaperone found in most eukaryotic cells. Hsp90 beta helps in the proper folding stabilization and degradation of many proteins. Unlike its isoform Hsp90 alpha Hsp90 beta has a more stable expression and is not typically induced by stress. This protein is primarily localized in the cytosol but can also be present in other cellular compartments depending on the cellular state.
Biological function summary

Hsp90 beta functions to maintain protein homeostasis and cellular integrity. It forms part of a multi-protein chaperone complex which includes cochaperones such as Hop Hsp70 and p23 necessary for its full functionality. Hsp90 beta supports the maturation of steroid hormone receptors kinases and other client proteins. It plays an important role in the cell cycle regulation through its interaction with various proteins ensuring proper cell division and growth.

Pathways

Hsp90 beta is deeply involved in signal transduction and cellular stress response pathways. Its interaction with the Akt pathway is significant for cell survival signals. Hsp90 beta also participates in the MAP kinase pathway affecting cell growth and differentiation. The protein associates with multiple kinases including RAF and Src which are important for downstream signaling.

The dysregulation of Hsp90 beta is associated with cancer and neurodegenerative diseases. In cancer Hsp90 beta stabilizes many oncoproteins making it a potential therapeutic target for inhibiting tumor growth. It interacts with client proteins like the proto-oncogene c-Src promoting tumorigenesis. In neurodegenerative disorders such as Alzheimer's disease improper interaction between Hsp90 beta and tau proteins can contribute to disease progression impacting neuronal function.

Product protocols

For this product, it's our understanding that no specific protocols are required. You can visit:

Target data

Molecular chaperone that promotes the maturation, structural maintenance and proper regulation of specific target proteins involved for instance in cell cycle control and signal transduction. Undergoes a functional cycle linked to its ATPase activity. This cycle probably induces conformational changes in the client proteins, thereby causing their activation. Interacts dynamically with various co-chaperones that modulate its substrate recognition, ATPase cycle and chaperone function (PubMed : 16478993, PubMed : 19696785). Engages with a range of client protein classes via its interaction with various co-chaperone proteins or complexes, that act as adapters, simultaneously able to interact with the specific client and the central chaperone itself. Recruitment of ATP and co-chaperone followed by client protein forms a functional chaperone. After the completion of the chaperoning process, properly folded client protein and co-chaperone leave HSP90 in an ADP-bound partially open conformation and finally, ADP is released from HSP90 which acquires an open conformation for the next cycle (PubMed : 26991466, PubMed : 27295069). Apart from its chaperone activity, it also plays a role in the regulation of the transcription machinery. HSP90 and its co-chaperones modulate transcription at least at three different levels. They first alter the steady-state levels of certain transcription factors in response to various physiological cues. Second, they modulate the activity of certain epigenetic modifiers, such as histone deacetylases or DNA methyl transferases, and thereby respond to the change in the environment. Third, they participate in the eviction of histones from the promoter region of certain genes and thereby turn on gene expression (PubMed : 25973397). Antagonizes STUB1-mediated inhibition of TGF-beta signaling via inhibition of STUB1-mediated SMAD3 ubiquitination and degradation (PubMed : 24613385). Promotes cell differentiation by chaperoning BIRC2 and thereby protecting from auto-ubiquitination and degradation by the proteasomal machinery (PubMed : 18239673). Main chaperone involved in the phosphorylation/activation of the STAT1 by chaperoning both JAK2 and PRKCE under heat shock and in turn, activates its own transcription (PubMed : 20353823). Involved in the translocation into ERGIC (endoplasmic reticulum-Golgi intermediate compartment) of leaderless cargos (lacking the secretion signal sequence) such as the interleukin 1/IL-1; the translocation process is mediated by the cargo receptor TMED10 (PubMed : 32272059).. (Microbial infection) Binding to N.meningitidis NadA stimulates monocytes (PubMed : 21949862). Seems to interfere with N.meningitidis NadA-mediated invasion of human cells (Probable).
See full target information HSP90AB1

Product promise

We are committed to supporting your work with high-quality reagents, and we're here for you every step of the way. In the unlikely event that one of our products does not perform as expected, you're protected by our Product Promise.
For full details, please see our Terms & Conditions

Associated Products

Select an associated product type
Alternative Version
Primary Antibodies

AB202823

Alexa Fluor® 647 Anti-Hsp90 beta antibody [EPR16621]

primary-antibodies

alexa-fluor-647-hsp90-beta-antibody-epr16621-ab202823

0

(0 reviews)

Alternative Version
Primary Antibodies

AB202822

Alexa Fluor® 488 Anti-Hsp90 beta antibody [EPR16621]

primary-antibodies

alexa-fluor-488-hsp90-beta-antibody-epr16621-ab202822

0

(0 reviews)

Please note: All products are 'FOR RESEARCH USE ONLY. NOT FOR USE IN DIAGNOSTIC OR THERAPEUTIC PROCEDURES'.

For licensing inquiries, please contact partnerships@abcam.com