JavaScript is disabled in your browser. Please enable JavaScript to view this website.
AB185962

Anti-HSPA4 antibody [EPR14166]

Be the first to review this product! Submit a review

|

(5 Publications)

Rabbit Recombinant Monoclonal HSPA4 antibody. Suitable for WB, ICC/IF, Flow Cyt (Intra), IHC-P and reacts with Mouse, Rat, Human samples. Cited in 5 publications.

View Alternative Names

APG2, HSPH2, HSPA4, Heat shock 70 kDa protein 4, HSP70RY, Heat shock 70-related protein APG-2, Heat shock protein family H member 2

6 Images
Immunocytochemistry/ Immunofluorescence - Anti-HSPA4 antibody [EPR14166] (AB185962)
  • ICC/IF

Supplier Data

Immunocytochemistry/ Immunofluorescence - Anti-HSPA4 antibody [EPR14166] (AB185962)

Immunofluorescence analysis of 4% paraformaldehyde-fixed HepG2 cells labeling HSPA4 with ab185962 at 1/250 dilution. Goat anti-rabbit IgG (Alexa Fluor® 555) at 1/200 dilution was used as the secondary antibody (red). Slide is counter stained with Dapi (blue).

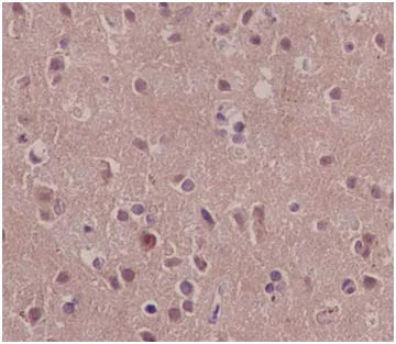
Immunohistochemistry (Formalin/PFA-fixed paraffin-embedded sections) - Anti-HSPA4 antibody [EPR14166] (AB185962)
  • IHC-P

Supplier Data

Immunohistochemistry (Formalin/PFA-fixed paraffin-embedded sections) - Anti-HSPA4 antibody [EPR14166] (AB185962)

Immunohistochemical analysis of paraffin-embedded Human brain tissue labeling HSPA4 with ab185962 at 1/100 dilution followed by pre-diluted HRP-conjugated secondary antibody and counter-stained with Hematoxylin.

Perform heat mediated antigen retrieval with EDTA buffer pH 9 before commencing with IHC staining protocol.

Flow Cytometry (Intracellular) - Anti-HSPA4 antibody [EPR14166] (AB185962)
  • Flow Cyt (Intra)

Supplier Data

Flow Cytometry (Intracellular) - Anti-HSPA4 antibody [EPR14166] (AB185962)

Intracellular flow cytometric analysis of 2% paraformaldehyde fixed HeLa cells labeling HSPA4with ab185962 at 1/200 dilution (red) compared with a rabbit monoclonal IgG isotype control (green). Goat anti rabbit IgG (FITC) at 1/150 dilution was used as the secondary antibody.

Immunocytochemistry/ Immunofluorescence - Anti-HSPA4 antibody [EPR14166] (AB185962)
  • ICC/IF

Supplier Data

Immunocytochemistry/ Immunofluorescence - Anti-HSPA4 antibody [EPR14166] (AB185962)

Immunofluorescence analysis of -20°C acetone-fixed HeLa cells labeling HSPA4 with ab185962 at 1/250 dilution. Goat anti-rabbit IgG (Alexa Fluor® 555) at 1/200 dilution was used as the secondary antibody (red). Slide is counter stained with Dapi (blue).

Western blot - Anti-HSPA4 antibody [EPR14166] (AB185962)
  • WB

Supplier Data

Western blot - Anti-HSPA4 antibody [EPR14166] (AB185962)

All lanes:

Western blot - Anti-HSPA4 antibody [EPR14166] (ab185962) at 1/1000 dilution

Lane 1:

Mouse heart tissue lysate at 10 µg

Lane 2:

Rat brain tissue lysate at 10 µg

Lane 3:

Rat heart tissue lysate at 10 µg

Secondary

All lanes:

Goat Anti-Rabbit IgG, (H+L), Peroxidase conjugated at 1/1000 dilution

Predicted band size: 94 kDa

false

Western blot - Anti-HSPA4 antibody [EPR14166] (AB185962)
  • WB

Supplier Data

Western blot - Anti-HSPA4 antibody [EPR14166] (AB185962)

All lanes:

Western blot - Anti-HSPA4 antibody [EPR14166] (ab185962) at 1/10000 dilution

Lane 1:

Human cerebellum lysate at 20 µg

Lane 2:

HepG2 cell lysate at 20 µg

Lane 3:

K562 cell lysate at 20 µg

Lane 4:

HeLa cell lysate at 20 µg

Secondary

All lanes:

Goat Anti-Rabbit IgG, (H+L), Peroxidase conjugated at 1/1000 dilution

Predicted band size: 94 kDa

false

Key facts

Host species

Rabbit

Clonality

Monoclonal

Clone number

EPR14166

Isotype

IgG

Carrier free

No

Reacts with

Mouse, Rat, Human

Applications

WB, IHC-P, ICC/IF, Flow Cyt (Intra)

applications

Immunogen

The exact immunogen used to generate this antibody is proprietary information.

Reactivity data

{ "title": "Reactivity Data", "filters": { "stats": ["", "Species", "Dilution Info", "Notes"], "tabs": { "all-applications": {"fullname" : "All Applications", "shortname": "All Applications"}, "WB" : {"fullname" : "Western blot", "shortname":"WB"}, "ICCIF" : {"fullname" : "Immunocytochemistry/ Immunofluorescence", "shortname":"ICC/IF"}, "FlowCytIntra" : {"fullname" : "Flow Cytometry (Intracellular)", "shortname":"Flow Cyt (Intra)"}, "IHCP" : {"fullname" : "Immunohistochemistry (Formalin/PFA-fixed paraffin-embedded sections)", "shortname":"IHC-P"} }, "product-promise": { "all": "all", "testedAndGuaranteed": "tested", "guaranteed": "expected", "predicted": "predicted", "notRecommended": "not-recommended" } }, "values": { "Human": { "WB-species-checked": "testedAndGuaranteed", "WB-species-dilution-info": "1/1000 - 1/10000", "WB-species-notes": "<p></p>", "ICCIF-species-checked": "testedAndGuaranteed", "ICCIF-species-dilution-info": "1/250", "ICCIF-species-notes": "<p></p>", "FlowCytIntra-species-checked": "testedAndGuaranteed", "FlowCytIntra-species-dilution-info": "1/200", "FlowCytIntra-species-notes": "<p><a href='/en-us/products/primary-antibodies/rabbit-igg-monoclonal-epr25a-isotype-control-ab172730'>ab172730</a> - Rabbit monoclonal IgG, is suitable for use as an isotype control with this antibody.</p>", "IHCP-species-checked": "testedAndGuaranteed", "IHCP-species-dilution-info": "1/50 - 1/100", "IHCP-species-notes": "<p></p>" }, "Mouse": { "WB-species-checked": "testedAndGuaranteed", "WB-species-dilution-info": "1/1000 - 1/10000", "WB-species-notes": "<p></p>", "ICCIF-species-checked": "guaranteed", "ICCIF-species-dilution-info": "", "ICCIF-species-notes": "", "FlowCytIntra-species-checked": "guaranteed", "FlowCytIntra-species-dilution-info": "", "FlowCytIntra-species-notes": "", "IHCP-species-checked": "guaranteed", "IHCP-species-dilution-info": "", "IHCP-species-notes": "" }, "Rat": { "WB-species-checked": "testedAndGuaranteed", "WB-species-dilution-info": "1/1000 - 1/10000", "WB-species-notes": "<p></p>", "ICCIF-species-checked": "guaranteed", "ICCIF-species-dilution-info": "", "ICCIF-species-notes": "", "FlowCytIntra-species-checked": "guaranteed", "FlowCytIntra-species-dilution-info": "", "FlowCytIntra-species-notes": "", "IHCP-species-checked": "guaranteed", "IHCP-species-dilution-info": "", "IHCP-species-notes": "" } } }

Product details

Patented technology
Our RabMAb® technology is a patented hybridoma-based technology for making rabbit monoclonal antibodies. For details on our patents, please refer to RabMAb® patents.

What are the advantages of a recombinant monoclonal antibody?
This product is a recombinant monoclonal antibody, which offers several advantages including:

  • - High batch-to-batch consistency and reproducibility
  • - Improved sensitivity and specificity
  • - Long-term security of supply
  • - Animal-free batch production

For more information, read more on recombinant antibodies.

Properties and storage information

Form
Liquid
Purification technique
Affinity purification Protein A
Storage buffer
pH: 7.2 - 7.4 Preservative: 0.01% Sodium azide Constituents: PBS, 40% Glycerol (glycerin, glycerine), 0.05% BSA
Shipped at conditions
Blue Ice
Appropriate short-term storage duration
1-2 weeks
Appropriate short-term storage conditions
+4°C
Appropriate long-term storage conditions
-20°C
Aliquoting information
Upon delivery aliquot
Storage information
Avoid freeze / thaw cycle

Supplementary information

This supplementary information is collated from multiple sources and compiled automatically.

HSPA4 also known as Heat Shock Protein Family A Member 4 is a molecular chaperone involved in protein folding and stabilization during stress. This protein belongs to the heat shock protein family and has a molecular weight of approximately 70 kDa. HSPA4 is widely expressed across various tissues including the heart liver and brain. It operates within the cytoplasm and nucleus where it assists in protein homeostasis by preventing aggregation and misfolding of nascent polypeptides.
Biological function summary

HSPA4 plays a role in cellular stress responses and is part of the HSP70 chaperone complex. HSPA4 interacts with co-chaperones and other proteins to facilitate proper protein folding and degradation. It assists in the recovery of cells from thermal and oxidative stress. The protein ensures the stability of essential signal transduction proteins and supports protein quality control systems within the cell.

Pathways

HSPA4 integrates into the cellular stress response and protein degradation pathways. It engages with the ubiquitin-proteasome system aiding in the removal of damaged proteins. HSPA4 interacts with other heat shock proteins such as HSPA1A and HSPA5 coordinating stress response signals and maintaining cellular homeostasis. This involvement in protein maintenance links it to regulatory pathways that address protein misfolding and cellular repair processes.

HSPA4 shows connections to neurodegenerative diseases and cancer. Its role in protein homeostasis suggests involvement in Alzheimer's disease as protein misfolding stands as an important pathological feature. In cancer HSPA4 is associated with cell proliferation and survival mechanisms. It interacts with oncogene products potentially contributing to tumor progression. Studies explore HSPA4 as a therapeutic target assessing its potential influence in disease modulation through its interactions with other stress proteins and pathways.

Product protocols

For this product, it's our understanding that no specific protocols are required. You can visit:

Publications (5)

Recent publications for all applications. Explore the full list and refine your search

International journal of molecular sciences 22: PubMed34884786

2021

Truncation-Driven Lateral Association of α-Synuclein Hinders Amyloid Clearance by the Hsp70-Based Disaggregase.

Applications

Unspecified application

Species

Unspecified reactive species

Aitor Franco,Jorge Cuéllar,José Ángel Fernández-Higuero,Igor de la Arada,Natalia Orozco,José M Valpuesta,Adelina Prado,Arturo Muga

Proceedings of the National Academy of Sciences of the United States of America 118: PubMed34462355

2021

All-or-none amyloid disassembly via chaperone-triggered fibril unzipping favors clearance of α-synuclein toxic species.

Applications

Unspecified application

Species

Unspecified reactive species

Aitor Franco,Pablo Gracia,Adai Colom,José D Camino,José Ángel Fernández-Higuero,Natalia Orozco,Alexander Dulebo,Leonor Saiz,Nunilo Cremades,Jose M G Vilar,Adelina Prado,Arturo Muga

Cancer management and research 13:4679-4690 PubMed34163243

2021

HSPA4 Knockdown Retarded Progression and Development of Colorectal Cancer.

Applications

Unspecified application

Species

Unspecified reactive species

Mingliang Zhang,Weigang Dai,Zhanyu Li,Liang Tang,Jianhui Chen,Chuangqi Chen

Frontiers in cell and developmental biology 8:556004 PubMed33520978

2021

Tumor-Suppressive Role of microRNA-202-3p in Hepatocellular Carcinoma Through the KDM3A/HOXA1/MEIS3 Pathway.

Applications

Unspecified application

Species

Unspecified reactive species

Yijie Zhang,Qi Pan,Zigong Shao

The Journal of biological chemistry 295:7301-7316 PubMed32284329

2020

Functional diversity between HSP70 paralogs caused by variable interactions with specific co-chaperones.

Applications

Unspecified application

Species

Unspecified reactive species

Despina Serlidaki,Maria A W H van Waarde,Lukas Rohland,Anne S Wentink,Suzanne L Dekker,Maarten J Kamphuis,Jeffrey M Boertien,Jeanette F Brunsting,Nadinath B Nillegoda,Bernd Bukau,Matthias P Mayer,Harm H Kampinga,Steven Bergink
View all publications

Product promise

We are committed to supporting your work with high-quality reagents, and we're here for you every step of the way. In the unlikely event that one of our products does not perform as expected, you're protected by our Product Promise.
For full details, please see our Terms & Conditions

Please note: All products are 'FOR RESEARCH USE ONLY. NOT FOR USE IN DIAGNOSTIC OR THERAPEUTIC PROCEDURES'.

For licensing inquiries, please contact partnerships@abcam.com