JavaScript is disabled in your browser. Please enable JavaScript to view this website.
AB248960

Anti-HSPB7 antibody [EPR10106(B)] - BSA and Azide free

Be the first to review this product! Submit a review

|

(2 Publications)

Rabbit Recombinant Monoclonal HSPB7 antibody. Carrier free. Suitable for IHC-P, IP, WB and reacts with Human, Mouse, Rat samples. Cited in 2 publications.

View Alternative Names

CVHSP, HSPB7, Heat shock protein beta-7, HspB7, Cardiovascular heat shock protein, cvHsp

12 Images
Immunohistochemistry (Formalin/PFA-fixed paraffin-embedded sections) - Anti-HSPB7 antibody [EPR10106(B)] - BSA and Azide free (AB248960)
  • IHC-P

Unknown

Immunohistochemistry (Formalin/PFA-fixed paraffin-embedded sections) - Anti-HSPB7 antibody [EPR10106(B)] - BSA and Azide free (AB248960)

This data was developed using ab150390, the same antibody clone in a different buffer formulation.

Immunohistochemical analysis of paraffin embedded Human Ovarian carcinoma tissue using ab150390 showing -ve staining.

Perform heat mediated antigen retrieval before commencing with IHC staining protocol.

Immunohistochemistry (Formalin/PFA-fixed paraffin-embedded sections) - Anti-HSPB7 antibody [EPR10106(B)] - BSA and Azide free (AB248960)
  • IHC-P

Unknown

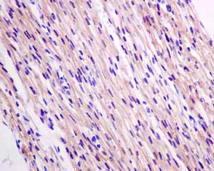
Immunohistochemistry (Formalin/PFA-fixed paraffin-embedded sections) - Anti-HSPB7 antibody [EPR10106(B)] - BSA and Azide free (AB248960)

This data was developed using ab150390, the same antibody clone in a different buffer formulation.

Immunohistochemical analysis of paraffin embedded Human Fetal heart tissue using ab150390 showing +ve staining.

Perform heat mediated antigen retrieval before commencing with IHC staining protocol.

Immunohistochemistry (Formalin/PFA-fixed paraffin-embedded sections) - Anti-HSPB7 antibody [EPR10106(B)] - BSA and Azide free (AB248960)
  • IHC-P

Lab

Immunohistochemistry (Formalin/PFA-fixed paraffin-embedded sections) - Anti-HSPB7 antibody [EPR10106(B)] - BSA and Azide free (AB248960)

This data was developed using ab150390, the same antibody clone in a different buffer formulation.

ab150390 staining HSPB7 in human cerebral cortex tissue sections by Immunohistochemistry (IHC-P - paraformaldehyde-fixed, paraffin-embedded sections). Tissue was fixed with paraformaldehyde and antigen retrieval was by heat mediation in a EDTA buffer. Samples were incubated with primary antibody at a dilution of 1/50. A goat anti-rabbit IgG H&L (HRP) ab97051 was used as the secondary antibody at a dilution of 1/500.

Negative control 1 : PBS in place of primary antibody.

Western blot - Anti-HSPB7 antibody [EPR10106(B)] - BSA and Azide free (AB248960)
  • WB

Unknown

Western blot - Anti-HSPB7 antibody [EPR10106(B)] - BSA and Azide free (AB248960)

This data was developed using ab150390, the same antibody clone in a different buffer formulation.

All lanes:

Western blot - Anti-HSPB7 antibody [EPR10106(B)] (<a href='/en-us/products/primary-antibodies/hspb7-antibody-epr10106b-ab150390'>ab150390</a>) at 1/1000 dilution

All lanes:

Human fetal heart cell lysate at 10 µg

Secondary

All lanes:

HRP labelled goat anti-rabbit at 1/2000 dilution

Predicted band size: 19 kDa

false

Western blot - Anti-HSPB7 antibody [EPR10106(B)] - BSA and Azide free (AB248960)
  • WB

Lab

Western blot - Anti-HSPB7 antibody [EPR10106(B)] - BSA and Azide free (AB248960)

This data was developed using ab150390, the same antibody clone in a different buffer formulation.

All lanes:

Western blot - Anti-HSPB7 antibody [EPR10106(B)] (<a href='/en-us/products/primary-antibodies/hspb7-antibody-epr10106b-ab150390'>ab150390</a>) at 1/1000 dilution

Lane 1:

Mouse heart tissue lysates at 20 µg

Lane 2:

Rat heart tissue lysates at 20 µg

Secondary

All lanes:

Anti-Rabbit IgG (HRP), specific to the non-reduced form of IgG at 1/1000 dilution

Predicted band size: 11 kDa,19 kDa,22 kDa,43 kDa

Observed band size: 19 kDa

false

Immunohistochemistry (Formalin/PFA-fixed paraffin-embedded sections) - Anti-HSPB7 antibody [EPR10106(B)] - BSA and Azide free (AB248960)
  • IHC-P

Lab

Immunohistochemistry (Formalin/PFA-fixed paraffin-embedded sections) - Anti-HSPB7 antibody [EPR10106(B)] - BSA and Azide free (AB248960)

This data was developed using ab150390, the same antibody clone in a different buffer formulation.

ab150390 staining HSPB7 in human skeletal muscle tissue sections by Immunohistochemistry (IHC-P - paraformaldehyde-fixed, paraffin-embedded sections). Tissue was fixed with paraformaldehyde and antigen retrieval was by heat mediation in a EDTA buffer. Samples were incubated with primary antibody at a dilution of 1/50. A goat anti-rabbit IgG H&L (HRP) ab97051 was used as the secondary antibody at a dilution of 1/500.

Negative control 1 : PBS in place of primary antibody.

Immunohistochemistry (Formalin/PFA-fixed paraffin-embedded sections) - Anti-HSPB7 antibody [EPR10106(B)] - BSA and Azide free (AB248960)
  • IHC-P

Unknown

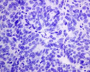
Immunohistochemistry (Formalin/PFA-fixed paraffin-embedded sections) - Anti-HSPB7 antibody [EPR10106(B)] - BSA and Azide free (AB248960)

This data was developed using ab150390, the same antibody clone in a different buffer formulation.

Immunohistochemical analysis of paraffin embedded normal Human colon tissue using ab150390 showing -ve staining.

Perform heat mediated antigen retrieval before commencing with IHC staining protocol.

Immunohistochemistry (Formalin/PFA-fixed paraffin-embedded sections) - Anti-HSPB7 antibody [EPR10106(B)] - BSA and Azide free (AB248960)
  • IHC-P

Unknown

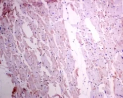
Immunohistochemistry (Formalin/PFA-fixed paraffin-embedded sections) - Anti-HSPB7 antibody [EPR10106(B)] - BSA and Azide free (AB248960)

This data was developed using ab150390, the same antibody clone in a different buffer formulation.

Immunohistochemical analysis of paraffin embedded Human skeletal muscle tissue labeling HSPB7 with ab150390 at a 1/50 dilution.

Perform heat mediated antigen retrieval before commencing with IHC staining protocol.

Immunohistochemistry (Formalin/PFA-fixed paraffin-embedded sections) - Anti-HSPB7 antibody [EPR10106(B)] - BSA and Azide free (AB248960)
  • IHC-P

Unknown

Immunohistochemistry (Formalin/PFA-fixed paraffin-embedded sections) - Anti-HSPB7 antibody [EPR10106(B)] - BSA and Azide free (AB248960)

This data was developed using ab150390, the same antibody clone in a different buffer formulation.

Immunohistochemical analysis of paraffin embedded Human heart tissue labeling HSPB7 with ab150390 at a 1/50 dilution.

Perform heat mediated antigen retrieval before commencing with IHC staining protocol.

Immunohistochemistry (Formalin/PFA-fixed paraffin-embedded sections) - Anti-HSPB7 antibody [EPR10106(B)] - BSA and Azide free (AB248960)
  • IHC-P

Unknown

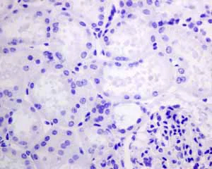
Immunohistochemistry (Formalin/PFA-fixed paraffin-embedded sections) - Anti-HSPB7 antibody [EPR10106(B)] - BSA and Azide free (AB248960)

This data was developed using ab150390, the same antibody clone in a different buffer formulation.

Immunohistochemical analysis of paraffin embedded normal Human kidney tissue using ab150390 showing -ve staining.

Perform heat mediated antigen retrieval before commencing with IHC staining protocol.

Immunoprecipitation - Anti-HSPB7 antibody [EPR10106(B)] - BSA and Azide free (AB248960)
  • IP

Lab

Immunoprecipitation - Anti-HSPB7 antibody [EPR10106(B)] - BSA and Azide free (AB248960)

This data was developed using ab150390&

44; the same antibody clone in a different buffer formulation.

ab150390 immunoprecipitating HSPB7. 10μg of cell lysate was incubated with primary antibody at a dilution of 1/20 and VeriBlot for IP Detection Reagent (HRP) (ab131366) at a dilution of 1/10000.

Lane 1 : Mouse heart whole cell lysate (10ug).

Lane 2 : Mouse heart whole cell lysate.

Lane 3 : Rabbit monoclonal IgG (ab172730) instead of ab150390 in mouse heart whole cell lysate.

All lanes:

Immunoprecipitation - Anti-HSPB7 antibody [EPR10106(B)] (<a href='/en-us/products/primary-antibodies/hspb7-antibody-epr10106b-ab150390'>ab150390</a>)

Predicted band size: 19 kDa

Observed band size: 19 kDa

false

Western blot - Anti-HSPB7 antibody [EPR10106(B)] - BSA and Azide free (AB248960)
  • WB

Lab

Western blot - Anti-HSPB7 antibody [EPR10106(B)] - BSA and Azide free (AB248960)

This data was developed using ab150390, the same antibody clone in a different buffer formulation.

All lanes:

Western blot - Anti-HSPB7 antibody [EPR10106(B)] (<a href='/en-us/products/primary-antibodies/hspb7-antibody-epr10106b-ab150390'>ab150390</a>) at 1/1000 dilution

Lane 1:

Human fetal heart tissue lysates at 20 µg

Lane 2:

Human skeletal muscle tissue lysates at 20 µg

Secondary

All lanes:

Anti-Rabbit IgG (HRP), specific to the non-reduced form of IgG at 1/1000 dilution

Predicted band size: 19 kDa

Observed band size: 19 kDa

false

Key facts

Host species

Rabbit

Clonality

Monoclonal

Clone number

EPR10106(B)

Isotype

IgG

Carrier free

Yes

Reacts with

Mouse, Rat, Human

Applications

WB, IHC-P, IP

applications

Immunogen

The exact immunogen used to generate this antibody is proprietary information.

Reactivity data

{ "title": "Reactivity Data", "filters": { "stats": ["", "Species", "Dilution Info", "Notes"], "tabs": { "all-applications": {"fullname" : "All Applications", "shortname": "All Applications"}, "IHCP" : {"fullname" : "Immunohistochemistry (Formalin/PFA-fixed paraffin-embedded sections)", "shortname":"IHC-P"}, "IP" : {"fullname" : "Immunoprecipitation", "shortname":"IP"}, "WB" : {"fullname" : "Western blot", "shortname":"WB"}, "ICCIF" : {"fullname" : "Immunocytochemistry/ Immunofluorescence", "shortname":"ICC/IF"} }, "product-promise": { "all": "all", "testedAndGuaranteed": "tested", "guaranteed": "expected", "predicted": "predicted", "notRecommended": "not-recommended" } }, "values": { "Human": { "IHCP-species-checked": "testedAndGuaranteed", "IHCP-species-dilution-info": "", "IHCP-species-notes": "<p></p>", "IP-species-checked": "guaranteed", "IP-species-dilution-info": "", "IP-species-notes": "", "WB-species-checked": "testedAndGuaranteed", "WB-species-dilution-info": "", "WB-species-notes": "<p></p>", "ICCIF-species-checked": "notRecommended", "ICCIF-species-dilution-info": "", "ICCIF-species-notes": "<p></p>" }, "Mouse": { "IHCP-species-checked": "guaranteed", "IHCP-species-dilution-info": "", "IHCP-species-notes": "", "IP-species-checked": "testedAndGuaranteed", "IP-species-dilution-info": "", "IP-species-notes": "<p></p>", "WB-species-checked": "testedAndGuaranteed", "WB-species-dilution-info": "", "WB-species-notes": "<p></p>", "ICCIF-species-checked": "notRecommended", "ICCIF-species-dilution-info": "", "ICCIF-species-notes": "<p></p>" }, "Rat": { "IHCP-species-checked": "guaranteed", "IHCP-species-dilution-info": "", "IHCP-species-notes": "", "IP-species-checked": "guaranteed", "IP-species-dilution-info": "", "IP-species-notes": "", "WB-species-checked": "testedAndGuaranteed", "WB-species-dilution-info": "", "WB-species-notes": "<p></p>", "ICCIF-species-checked": "notRecommended", "ICCIF-species-dilution-info": "", "ICCIF-species-notes": "<p></p>" } } }

Product details

ab248960 is the carrier-free version of ab150390.

Patented technology
Our RabMAb® technology is a patented hybridoma-based technology for making rabbit monoclonal antibodies. For details on our patents, please refer to RabMAb® patents.

What are the advantages of a recombinant monoclonal antibody?
This product is a recombinant monoclonal antibody, which offers several advantages including:

  • - High batch-to-batch consistency and reproducibility
  • - Improved sensitivity and specificity
  • - Long-term security of supply
  • - Animal-free batch production

For more information, read more on recombinant antibodies.

Conjugation ready
Our carrier-free antibodies are typically supplied in a PBS-only formulation, purified and free of BSA, sodium azide and glycerol. This conjugation-ready format is designed for use with fluorochromes, metal isotopes, oligonucleotides, and enzymes, which makes them ideal for antibody labelling, functional and cell-based assays, flow-based assays (e.g. mass cytometry) and Multiplex Imaging applications.

Use our conjugation kits for antibody conjugates that are ready-to-use in as little as 20 minutes with 1 minute hands-on-time and 100% antibody recovery: available for fluorescent dyes, HRP, biotin and gold.

Compatibility
This product is compatible with the Maxpar® Antibody Labeling Kit from Fluidigm, without the need for antibody preparation. Maxpar® is a trademark of Fluidigm Canada Inc.

Properties and storage information

Form
Liquid
Purification technique
Affinity purification Protein A
Storage buffer
pH: 7.2 - 7.4 Constituents: PBS
Shipped at conditions
Blue Ice
Appropriate short-term storage conditions
+4°C
Appropriate long-term storage conditions
+4°C
Storage information
Do Not Freeze

Supplementary information

This supplementary information is collated from multiple sources and compiled automatically.

HSPB7 also known as Heat Shock Protein Beta-7 or cvHSP is a small heat shock protein implicated in stress response mechanisms. It has a molecular mass of approximately 19 kDa. Researchers have identified its expression in cardiac and skeletal muscles as well as in adipose tissue. This protein has a protective role in preventing protein aggregation under stress conditions indicating its significance in cellular homeostasis.
Biological function summary

HSPB7 interacts with cellular components to maintain proteostasis. It participates in the formation of protein complexes binding to other small heat shock proteins to stabilize denatured proteins. This interaction serves to ensure proper protein folding and prevent aggregation within the cells. Such mechanisms highlight HSPB7’s function in maintaining muscle structure and function by assisting in protein maintenance.

Pathways

HSPB7 participates in the regulation of muscle function and stress response pathways. It connects to the MAPK signaling pathway which influences cell survival and apoptosis. Additionally HSPB7 interacts with related proteins such as HSPB2 playing a role in muscle maintenance and response to mechanical stress. These pathways highlight HSPB7’s involvement in cellular adaptation to stress stimuli.

HSPB7 has links to cardiomyopathy and muscular dystrophy. Mutations in HSPB7 correlate with an increased risk of developing familial dilated cardiomyopathy implicating it in cardiac dysfunctions. Additionally its association with proteins like HSPB1 suggests a potential role in muscle degenerative diseases. Understanding HSPB7’s role in these conditions could provide insights for therapeutic interventions aimed at mitigating muscle and heart diseases.

Product protocols

For this product, it's our understanding that no specific protocols are required. You can visit:

Publications (2)

Recent publications for all applications. Explore the full list and refine your search

Oncology reports 50: PubMed37732539

2023

Heat shock protein B7 (HSPB7) inhibits lung adenocarcinoma progression by inhibiting glycolysis.

Applications

Unspecified application

Species

Unspecified reactive species

Zhitao Chen,Peipei Li,Lingguang Shen,Xiuyu Jiang

Journal of personalized medicine 12: PubMed35207643

2022

Detyrosinated α-Tubulin, Vimentin and PD-L1 in Circulating Tumor Cells (CTCs) Isolated from Non-Small Cell Lung Cancer (NSCLC) Patients.

Applications

Unspecified application

Species

Unspecified reactive species

Spyridoula D Katsarou,Ippokratis Messaritakis,Anastasia Voumvouraki,Stavros Kakavogiannis,Athanasios Κotsakis,Saad Alkahtani,Christos Stournaras,Stuart S Martin,Vassilis Georgoulias,Galatea Kallergi
View all publications

Product promise

We are committed to supporting your work with high-quality reagents, and we're here for you every step of the way. In the unlikely event that one of our products does not perform as expected, you're protected by our Product Promise.
For full details, please see our Terms & Conditions

Please note: All products are 'FOR RESEARCH USE ONLY. NOT FOR USE IN DIAGNOSTIC OR THERAPEUTIC PROCEDURES'.

For licensing inquiries, please contact partnerships@abcam.com