JavaScript is disabled in your browser. Please enable JavaScript to view this website.
AB85752

Anti-hSSB1 antibody

Be the first to review this product! Submit a review

|

(1 Publication)

Rabbit Polyclonal hSSB1 antibody. Suitable for IHC-P, IP, WB and reacts with Mouse, Human samples. Cited in 1 publication. Immunogen corresponding to Synthetic Peptide within Human NABP2 aa 150 to C-terminus.

View Alternative Names

OBFC2B, SSB1, LP3587, NABP2, SOSS complex subunit B1, Nucleic acid-binding protein 2, Oligonucleotide/oligosaccharide-binding fold-containing protein 2B, Sensor of single-strand DNA complex subunit B1, Sensor of ssDNA subunit B1, Single-stranded DNA-binding protein 1, SOSS-B1, hSSB1

3 Images
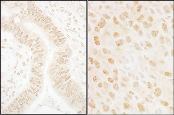
Immunohistochemistry (Formalin/PFA-fixed paraffin-embedded sections) - Anti-hSSB1 antibody (AB85752)
  • IHC-P

Unknown

Immunohistochemistry (Formalin/PFA-fixed paraffin-embedded sections) - Anti-hSSB1 antibody (AB85752)

Immunohistochemistry (Formalin/PFA-fixed paraffin-embedded sections) analysis of human colon carcinoma (left) and mouse squamous cell carcinoma (right) tissues labelling OBFC2B with ab85752 at 1/1000 (1µg/ml). Detection : DAB.

Immunoprecipitation - Anti-hSSB1 antibody (AB85752)
  • IP

Unknown

Immunoprecipitation - Anti-hSSB1 antibody (AB85752)

Detection of Human hSSB1 by Western Blot of Immunprecipitate.
All lanes : ab85752 at 1μg/ml detecting by WB hSSB1 in HeLa whole cell lysates, that were immunoprecipitated with ab85752 at 3μg/mg lysate (1 mg/IP; 20% of IP loaded/lane). Lane 1 : ab85752 Lane 2 : Control IgG
Detection : Chemiluminescence with exposure time of 5 seconds.

All lanes:

Immunoprecipitation - Anti-hSSB1 antibody (ab85752)

Predicted band size: 23 kDa

false

Western blot - Anti-hSSB1 antibody (AB85752)
  • WB

Unknown

Western blot - Anti-hSSB1 antibody (AB85752)

All lanes:

Western blot - Anti-hSSB1 antibody (ab85752) at 0.4 µg/mL

Lane 1:

HeLa whole cell lysate at 50 µg

Lane 2:

HeLa whole cell lysate at 15 µg

Lane 3:

HeLa whole cell lysate at 5 µg

Lane 4:

293T whole cell lysate at 50 µg

Predicted band size: 23 kDa

Observed band size: 33 kDa,38 kDa

false

Exposure time: 3min

Key facts

Host species

Rabbit

Clonality

Polyclonal

Isotype

IgG

Carrier free

No

Reacts with

Mouse, Human

Applications

IHC-P, WB, IP

applications

Immunogen

Synthetic Peptide within Human NABP2 aa 150 to C-terminus. The exact immunogen used to generate this antibody is proprietary information.

Q9BQ15

Reactivity data

{ "title": "Reactivity Data", "filters": { "stats": ["", "Species", "Dilution Info", "Notes"], "tabs": { "all-applications": {"fullname" : "All Applications", "shortname": "All Applications"}, "IHCP" : {"fullname" : "Immunohistochemistry (Formalin/PFA-fixed paraffin-embedded sections)", "shortname":"IHC-P"}, "IP" : {"fullname" : "Immunoprecipitation", "shortname":"IP"}, "WB" : {"fullname" : "Western blot", "shortname":"WB"} }, "product-promise": { "all": "all", "testedAndGuaranteed": "tested", "guaranteed": "expected", "predicted": "predicted", "notRecommended": "not-recommended" } }, "values": { "Human": { "IHCP-species-checked": "testedAndGuaranteed", "IHCP-species-dilution-info": "1/1000 - 1/5000", "IHCP-species-notes": "<p>Antigen retrieval with Tris-EDTA pH9.0 is recommended for human tissues. Antigen retrieval with citrate buffer pH6.0 is recommended for mouse tissues.</p> Perform heat-mediated antigen retrieval before commencing with IHC staining protocol.", "IP-species-checked": "testedAndGuaranteed", "IP-species-dilution-info": "2-5 µg/mg of lysate", "IP-species-notes": "<p></p>", "WB-species-checked": "testedAndGuaranteed", "WB-species-dilution-info": "1/2000 - 1/10000", "WB-species-notes": "<p></p>" }, "Mouse": { "IHCP-species-checked": "testedAndGuaranteed", "IHCP-species-dilution-info": "1/1000 - 1/5000", "IHCP-species-notes": "<p>Antigen retrieval with Tris-EDTA pH9.0 is recommended for human tissues. Antigen retrieval with citrate buffer pH6.0 is recommended for mouse tissues.</p> Perform heat-mediated antigen retrieval before commencing with IHC staining protocol.", "IP-species-checked": "guaranteed", "IP-species-dilution-info": "", "IP-species-notes": "", "WB-species-checked": "guaranteed", "WB-species-dilution-info": "", "WB-species-notes": "" }, "Rat": { "IHCP-species-checked": "predicted", "IHCP-species-dilution-info": "", "IHCP-species-notes": "", "IP-species-checked": "predicted", "IP-species-dilution-info": "", "IP-species-notes": "", "WB-species-checked": "predicted", "WB-species-dilution-info": "", "WB-species-notes": "" }, "Chinese hamster": { "IHCP-species-checked": "predicted", "IHCP-species-dilution-info": "", "IHCP-species-notes": "", "IP-species-checked": "predicted", "IP-species-dilution-info": "", "IP-species-notes": "", "WB-species-checked": "predicted", "WB-species-dilution-info": "", "WB-species-notes": "" }, "Cow": { "IHCP-species-checked": "predicted", "IHCP-species-dilution-info": "", "IHCP-species-notes": "", "IP-species-checked": "predicted", "IP-species-dilution-info": "", "IP-species-notes": "", "WB-species-checked": "predicted", "WB-species-dilution-info": "", "WB-species-notes": "" }, "Dog": { "IHCP-species-checked": "predicted", "IHCP-species-dilution-info": "", "IHCP-species-notes": "", "IP-species-checked": "predicted", "IP-species-dilution-info": "", "IP-species-notes": "", "WB-species-checked": "predicted", "WB-species-dilution-info": "", "WB-species-notes": "" }, "Elephant": { "IHCP-species-checked": "predicted", "IHCP-species-dilution-info": "", "IHCP-species-notes": "", "IP-species-checked": "predicted", "IP-species-dilution-info": "", "IP-species-notes": "", "WB-species-checked": "predicted", "WB-species-dilution-info": "", "WB-species-notes": "" }, "Gorilla": { "IHCP-species-checked": "predicted", "IHCP-species-dilution-info": "", "IHCP-species-notes": "", "IP-species-checked": "predicted", "IP-species-dilution-info": "", "IP-species-notes": "", "WB-species-checked": "predicted", "WB-species-dilution-info": "", "WB-species-notes": "" }, "Guinea pig": { "IHCP-species-checked": "predicted", "IHCP-species-dilution-info": "", "IHCP-species-notes": "", "IP-species-checked": "predicted", "IP-species-dilution-info": "", "IP-species-notes": "", "WB-species-checked": "predicted", "WB-species-dilution-info": "", "WB-species-notes": "" }, "Horse": { "IHCP-species-checked": "predicted", "IHCP-species-dilution-info": "", "IHCP-species-notes": "", "IP-species-checked": "predicted", "IP-species-dilution-info": "", "IP-species-notes": "", "WB-species-checked": "predicted", "WB-species-dilution-info": "", "WB-species-notes": "" }, "Orangutan": { "IHCP-species-checked": "predicted", "IHCP-species-dilution-info": "", "IHCP-species-notes": "", "IP-species-checked": "predicted", "IP-species-dilution-info": "", "IP-species-notes": "", "WB-species-checked": "predicted", "WB-species-dilution-info": "", "WB-species-notes": "" }, "Pig": { "IHCP-species-checked": "predicted", "IHCP-species-dilution-info": "", "IHCP-species-notes": "", "IP-species-checked": "predicted", "IP-species-dilution-info": "", "IP-species-notes": "", "WB-species-checked": "predicted", "WB-species-dilution-info": "", "WB-species-notes": "" }, "Rabbit": { "IHCP-species-checked": "predicted", "IHCP-species-dilution-info": "", "IHCP-species-notes": "", "IP-species-checked": "predicted", "IP-species-dilution-info": "", "IP-species-notes": "", "WB-species-checked": "predicted", "WB-species-dilution-info": "", "WB-species-notes": "" }, "Rhesus monkey": { "IHCP-species-checked": "predicted", "IHCP-species-dilution-info": "", "IHCP-species-notes": "", "IP-species-checked": "predicted", "IP-species-dilution-info": "", "IP-species-notes": "", "WB-species-checked": "predicted", "WB-species-dilution-info": "", "WB-species-notes": "" } } }

Properties and storage information

Form
Liquid
Purification technique
Affinity purification Immunogen
Storage buffer
pH: 7 - 8 Preservative: 0.09% Sodium azide Constituents: Tris citrate/phosphate
Shipped at conditions
Blue Ice
Appropriate short-term storage conditions
+4°C
Appropriate long-term storage conditions
+4°C
Aliquoting information
Upon delivery aliquot
Storage information
Avoid freeze / thaw cycle

Supplementary information

This supplementary information is collated from multiple sources and compiled automatically.

HSSB1 also known as OBFC2B is a single-stranded DNA-binding protein with a molecular mass of approximately 30 kDa. It is mainly expressed in the nucleus where it plays an important role in the maintenance and protection of genomic stability. The protein recognizes and binds to single-stranded DNA which is typical during DNA replication and repair processes. hSSB1 is highly conserved across different species highlighting its important function in cellular mechanisms.
Biological function summary

This protein plays a significant role in DNA damage response and repair. hSSB1 forms a complex with the INTS3 protein as part of the MRN (MRE11-RAD50-NBS1) complex to effectively respond to DNA double-strand breaks. This action is critical to initiate the appropriate signaling cascade that leads to DNA repair. The protein's expression and activity need tight regulation to ensure genome integrity and to prevent mutations.

Pathways

HSSB1 is involved in the homologous recombination repair pathway which is essential for error-free repair of DNA double-strand breaks. It interacts with BRCA1 and RAD51 which are key players in homologous recombination ensuring accurate DNA damage repair. Additionally hSSB1 participates in the ATR signaling pathway enhancing cell cycle checkpoint activation during replication stress where it collaborates with ATR and its substrates.

HSSB1 has been implicated in cancer development particularly in breast and ovarian cancers. Defects or dysregulation in hSSB1 may lead to inadequate DNA repair increasing the likelihood of mutations that contribute to carcinogenesis. Furthermore hSSB1 has connections to neurodegenerative disorders linked through its interactions with proteins like ATM. hSSB1's influence on maintaining genomic stability places it at the intersection of various pathways that affect cellular health and disease progression.

Product protocols

For this product, it's our understanding that no specific protocols are required. You can visit:

Target data

Component of the SOSS complex, a multiprotein complex that functions downstream of the MRN complex to promote DNA repair and G2/M checkpoint (PubMed : 25249620). In the SOSS complex, acts as a sensor of single-stranded DNA that binds to single-stranded DNA, in particular to polypyrimidines. The SOSS complex associates with DNA lesions and influences diverse endpoints in the cellular DNA damage response including cell-cycle checkpoint activation, recombinational repair and maintenance of genomic stability. Required for efficient homologous recombination-dependent repair of double-strand breaks (DSBs) and ATM-dependent signaling pathways.
See full target information NABP2

Publications (1)

Recent publications for all applications. Explore the full list and refine your search

Nucleic acids research 42:11560-9 PubMed25249620

2014

FBXL5-mediated degradation of single-stranded DNA-binding protein hSSB1 controls DNA damage response.

Applications

Unspecified application

Species

Unspecified reactive species

Zhi-Wei Chen,Bin Liu,Nai-Wang Tang,Yun-Hua Xu,Xiang-Yun Ye,Zi-Ming Li,Xiao-Min Niu,Sheng-Ping Shen,Shun Lu,Ling Xu
View all publications

Product promise

We are committed to supporting your work with high-quality reagents, and we're here for you every step of the way. In the unlikely event that one of our products does not perform as expected, you're protected by our Product Promise.
For full details, please see our Terms & Conditions

Please note: All products are 'FOR RESEARCH USE ONLY. NOT FOR USE IN DIAGNOSTIC OR THERAPEUTIC PROCEDURES'.

For licensing inquiries, please contact partnerships@abcam.com