JavaScript is disabled in your browser. Please enable JavaScript to view this website.
AB110227

Anti-HSV1 gH antibody [BBH1]

Be the first to review this product! Submit a review

|

(5 Publications)

Mouse Monoclonal GH antibody. Suitable for WB, IP, ICC/IF, IHC-P and reacts with Transfected cell lysate - Herpes simplex virus, Transfected cell line - Herpes simplex virus samples. Cited in 5 publications.

View Alternative Names

UL22, gH, Envelope glycoprotein H

6 Images
Immunohistochemistry (Formalin/PFA-fixed paraffin-embedded sections) - Anti-HSV1 gH antibody [BBH1] (AB110227)
  • IHC-P

Supplier Data

Immunohistochemistry (Formalin/PFA-fixed paraffin-embedded sections) - Anti-HSV1 gH antibody [BBH1] (AB110227)

Immunohistochemical analysis of paraffin-embedded Human cerebrum tissue staning HSV1 gH with ab110227 at 1/1000 dilution (0.894 µg/ml), followed by ready to use LeicaDS9800 (Bond™ Polymer Refine Detection). Counter stained with hematoxylin.

Secondary antibody only control : Used PBS instead of primary antibody, secondary antibody is ready to use LeicaDS9800 (Bond™ Polymer Refine Detection).

Heat mediated antigen retrieval was performed with Citrate buffer (pH 6.0, Epitope Retrieval Solution 1) for 20 mins.

Negative control : no staining on human cerebrum.

The section was incubated with ab110227 for 30 mins at room temperature, followed by anti-mouse IgG2a antibody for 8 mins during the LeicaDS9800 kit staining procedure.

The immunostaining was performed on a Leica Biosystems BOND® RX instrument.

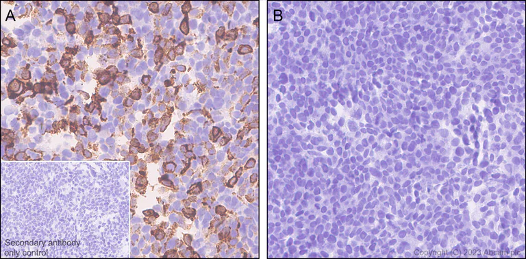
Immunohistochemistry (Formalin/PFA-fixed paraffin-embedded sections) - Anti-HSV1 gH antibody [BBH1] (AB110227)
  • IHC-P

Supplier Data

Immunohistochemistry (Formalin/PFA-fixed paraffin-embedded sections) - Anti-HSV1 gH antibody [BBH1] (AB110227)

Immunohistochemical analysis of paraffin-embedded (A) HEK-293T (human embryonic kidney epithelial cell) transfected with a Herpes simplex virus 1 gH expression vector containing a myc-his tag. (B) HEK-293T cells transfected with empty vector containing a myc-his tag staning HSV1 gH with ab110227 at 1/1000 dilution (0.894 µg/ml), followed by ready to use LeicaDS9800 (Bond™ Polymer Refine Detection). Counter stained with hematoxylin.

Secondary antibody only control : Used PBS instead of primary antibody, secondary antibody is ready to use LeicaDS9800 (Bond™ Polymer Refine Detection).

Heat mediated antigen retrieval was performed with Citrate buffer (pH 6.0, Epitope Retrieval Solution 1) for 20 mins.

Positive staining on (A) HEK-293T transfected with a Herpes simplex virus 1 gH expression vector containing a myc-his tag. No staining on (B) HEK-293T cells transfected with empty vector containing a myc-his tag.

The section was incubated with ab110227 for 30 mins at room temperature, followed by anti-mouse IgG2a antibody for 8 mins during the LeicaDS9800 kit staining procedure.

The immunostaining was performed on a Leica Biosystems BOND® RX instrument.

Immunocytochemistry/ Immunofluorescence - Anti-HSV1 gH antibody [BBH1] (AB110227)
  • ICC/IF

Supplier Data

Immunocytochemistry/ Immunofluorescence - Anti-HSV1 gH antibody [BBH1] (AB110227)

Immunofluorescent analysis of 4% Paraformaldehyde-fixed, 0.1% TritonX-100 permeabilized HEK-293T (human epithelial cell line from embryonic kidney) transfected with myc-tagged Herpes simplex virus 1 gH expression vector cells labelling HSV1 gH with ab110227 at 1/200 (4.47 ug/ml) dilution, followed by ab150117 Goat Anti-Mouse IgG H&L (Alexa Fluor® 488) preadsorbed antibody at 1/1000 (2 ug/ml) dilution (Green). Confocal image showing cytoplasmic and membranous staining in 293T cells transfected with a Herpes simplex virus 1 gH expression vector containing a myc-His-tag.

Image was taken with a confocal microscope(Leica-Microsystems, TCS SP8). Anti-Myc Rabbit polyclonal antibody (ab9106) was used to counterstain tubulin at 1/200 (2.5 ug/ml) dilution (Red). The Nuclear counterstain was DAPI (Blue).

Immunoprecipitation - Anti-HSV1 gH antibody [BBH1] (AB110227)
  • IP

Supplier Data

Immunoprecipitation - Anti-HSV1 gH antibody [BBH1] (AB110227)

HSV1 gH was immunoprecipitated from 0.35 mg of 293T cells transfected with a Herpes simplex virus 1 gH expression vector containing a myc-His- tag whole cell lysate with ab110227 at 1/50 dilution (2μg in 0.35mg lysates). Western blot was performed from the immunoprecipitate using ab110227 at 1/1000 dilution. ab131366, VeriBlot for IP secondary antibody(HRP) was used as secondary antibody at 1/5000 dilution.

Lane 1(Input) : 293T cells transfected with a Herpes simplex virus 1 gH expression vector containing a myc-His-tag whole cell lysate, 10 μg

Lane 2(+) : 293T cells transfected with a Herpes simplex virus 1 gH expression vector containing a myc-His-tag whole cell lysate

Lane 3(-) : Mouse IgG2a kppa monoclonal isotype control (ab18413) instead of ab110227 in 293T cells transfected with a Herpes simplex virus 1 gH expression vector containing a myc-His-tag whole cell lysate

Observed MW(KDa) : 100

Blocking and diluting buffer and concentration : 5% NFDM/TBST

All lanes:

Immunoprecipitation - Anti-HSV1 gH antibody [BBH1] (ab110227) at 1/50 dilution

All lanes:

293T cells transfected with a Herpes simplex virus 1 gH expression vector containing a myc-His-tag whole cell lysate

Secondary

All lanes:

Immunoprecipitation - VeriBlot for IP Detection Reagent (HRP) (<a href='/en-us/products/reagents/veriblot-for-ip-detection-reagent-hrp-ab131366'>ab131366</a>) at 1/5000 dilution

Observed band size: 100 kDa

false

Exposure time: 180s

Western blot - Anti-HSV1 gH antibody [BBH1] (AB110227)
  • WB

Unknown

Western blot - Anti-HSV1 gH antibody [BBH1] (AB110227)

Western blot analysis of ab110227.

Each track was loaded with 2x10^5 cells infected with HSV1 strain SC16, or mock-infected cells.

BBH1 - ab110227, anti-gH monoclonal antibody (1mg/ml)
Shabba - anti-gH polyclonal antibody
LP14 - anti-gD polyclonal antibody

All lanes:

Western blot - Anti-HSV1 gH antibody [BBH1] (ab110227)

false

Western blot - Anti-HSV1 gH antibody [BBH1] (AB110227)
  • WB

Supplier Data

Western blot - Anti-HSV1 gH antibody [BBH1] (AB110227)

Blocking and diluting buffer and concentration : 5% NFDM/TBST.

ab213204 was used as a total protein control at 1/5000 dilution.

ab181602 was used as a GAPDH loading control at 1/200000 dilution.

Cross-reactivity has not been checked and this antibody might cross with HSV-2 gH.

All lanes:

Western blot - Anti-HSV1 gH antibody [BBH1] (ab110227) at 1/1000 dilution

Lane 1:

293T cells transfected with an empty vector containing a myc-His-tag whole cell lysate at 20 µg

Lane 2:

293T cells transfected with a Herpes simplex virus 1 gH expression vector containing a myc-His-tag whole cell lysate at 20 µg

Secondary

All lanes:

Peroxidase-Conjugated Goat anti-Mouse IgG (H+L) at 1/10000 dilution

Observed band size: 100 kDa,36 kDa

false

Exposure time: 48s

  • Carrier free

    Anti-HSV1 gH antibody [BBH1] - BSA and Azide free

Key facts

Host species

Mouse

Clonality

Monoclonal

Clone number

BBH1

Isotype

IgG2a

Carrier free

No

Reacts with

Herpes simplex virus

Applications

ICC/IF, WB, IHC-P, IP

applications

Immunogen

The exact immunogen used to generate this antibody is proprietary information.

Specificity

Cross-reactivity has not been checked and this antibody might cross with HSV-2 gH.

Reactivity data

{ "title": "Reactivity Data", "filters": { "stats": ["", "Species", "Dilution Info", "Notes"], "tabs": { "all-applications": {"fullname" : "All Applications", "shortname": "All Applications"}, "WB" : {"fullname" : "Western blot", "shortname":"WB"}, "IP" : {"fullname" : "Immunoprecipitation", "shortname":"IP"}, "ICCIF" : {"fullname" : "Immunocytochemistry/ Immunofluorescence", "shortname":"ICC/IF"}, "IHCP" : {"fullname" : "Immunohistochemistry (Formalin/PFA-fixed paraffin-embedded sections)", "shortname":"IHC-P"} }, "product-promise": { "all": "all", "testedAndGuaranteed": "tested", "guaranteed": "expected", "predicted": "predicted", "notRecommended": "not-recommended" } }, "values": { "Herpes simplex virus": { "WB-species-checked": "predicted", "WB-species-dilution-info": "", "WB-species-notes": "", "IP-species-checked": "predicted", "IP-species-dilution-info": "", "IP-species-notes": "", "ICCIF-species-checked": "predicted", "ICCIF-species-dilution-info": "", "ICCIF-species-notes": "", "IHCP-species-checked": "predicted", "IHCP-species-dilution-info": "", "IHCP-species-notes": "" }, "Transfected cell line - Herpes simplex virus": { "WB-species-checked": "notRecommended", "WB-species-dilution-info": "", "WB-species-notes": "", "IP-species-checked": "notRecommended", "IP-species-dilution-info": "", "IP-species-notes": "", "ICCIF-species-checked": "testedAndGuaranteed", "ICCIF-species-dilution-info": "1/200", "ICCIF-species-notes": "<p></p>", "IHCP-species-checked": "testedAndGuaranteed", "IHCP-species-dilution-info": "1/1000", "IHCP-species-notes": "<p></p>" }, "Transfected cell lysate - Herpes simplex virus": { "WB-species-checked": "testedAndGuaranteed", "WB-species-dilution-info": "1/1000", "WB-species-notes": "<p></p>", "IP-species-checked": "testedAndGuaranteed", "IP-species-dilution-info": "1/50", "IP-species-notes": "<p></p>", "ICCIF-species-checked": "notRecommended", "ICCIF-species-dilution-info": "", "ICCIF-species-notes": "", "IHCP-species-checked": "notRecommended", "IHCP-species-dilution-info": "", "IHCP-species-notes": "" } } }

Product details

This product has switched from a hybridoma to recombinant production method on 27th October 2023.

Properties and storage information

Form
Liquid
Purification technique
Affinity purification Protein A
Storage buffer
pH: 7.2 - 7.4 Preservative: 0.01% Sodium azide Constituents: PBS, 40% Glycerol (glycerin, glycerine), 0.05% BSA
Shipped at conditions
Blue Ice
Appropriate short-term storage conditions
+4°C
Appropriate long-term storage conditions
-20°C
Aliquoting information
Upon delivery aliquot
Storage information
Avoid freeze / thaw cycle

Supplementary information

This supplementary information is collated from multiple sources and compiled automatically.

HSV1 gH also known as glycoprotein H is a significant component of the Herpes Simplex Virus type 1 (HSV-1). The glycoprotein has a molecular mass of approximately 93 kDa and is expressed on the viral envelope. It plays a vital role in the virus's ability to infect host cells. Glycoprotein H functions by facilitating the fusion of the viral envelope with the host cell membrane a critical step for viral entry. Besides its primary expression in HSV-1 this protein shares similarities with entry proteins in other herpesviruses indicating its conserved role across different species.
Biological function summary

Glycoprotein H functions as part of the glycoprotein H-L complex which includes glycoproteins H L and D. This complex orchestrates the fusion process necessary for the virus to penetrate and infect host cells. The glycoprotein H is vital for the stabilization of the complex and contributes to the proper implementation of viral infection processes. Distribution of this protein in the host organism occurs predominantly in epithelial cells which often serve as the initial site of infection. This distribution aids in the rapid spread of the virus within the host.

Pathways

Glycoprotein H is important for the viral entry pathway. The entry involves interactions with host cell surface receptors that mediate viral attachment and fusion. This process places glycoprotein H within the larger context of viral lifecycle pathways interlinked with proteins such as glycoprotein B and glycoprotein D which assist in initial viral attachment and binding to host cells. The coordination among these proteins ensures efficient viral penetration and subsequent replication within the host.

HSV1 gH has a direct connection to herpes simplex infections particularly oral and genital herpes. Its role in viral entry makes it a target for therapeutic interventions aimed at preventing herpesvirus infections. Antibodies targeting glycoprotein H and related viral components can serve as potential treatments by inhibiting virus attachment and entry. Given its role in immune recognition interactions between glycoprotein H and immune cells provide insights into the development of strategies against viral persistence and reactivation particularly in individuals with compromised immune systems.

Product protocols

For this product, it's our understanding that no specific protocols are required. You can visit:

Target data

The heterodimer glycoprotein H-glycoprotein L is required for the fusion of viral and plasma membranes leading to virus entry into the host cell. Following initial binding to host receptor, membrane fusion is mediated by the fusion machinery composed of gB and the heterodimer gH/gL. May also be involved in the fusion between the virion envelope and the outer nuclear membrane during virion morphogenesis.
See full target information gH

Publications (5)

Recent publications for all applications. Explore the full list and refine your search

Retrovirology 16:9 PubMed30940160

2019

Analysis of herpes simplex type 1 gB, gD, and gH/gL on production of infectious HIV-1: HSV-1 gD restricts HIV-1 by exclusion of HIV-1 Env from maturing viral particles.

Applications

Unspecified application

Species

Unspecified reactive species

Sachith Polpitiya Arachchige,Wyatt Henke,Maria Kalamvoki,Edward B Stephens

Traffic (Copenhagen, Denmark) 17:21-39 PubMed26459807

2015

HSV-1 Glycoproteins Are Delivered to Virus Assembly Sites Through Dynamin-Dependent Endocytosis.

Applications

Unspecified application

Species

Unspecified reactive species

Anna Albecka,Romain F Laine,Anne F J Janssen,Clemens F Kaminski,Colin M Crump

Viruses 7:915-38 PubMed25746217

2015

HSV-1 gM and the gK/pUL20 complex are important for the localization of gD and gH/L to viral assembly sites.

Applications

WB

Species

Owl

Sheung-Yee Kathy Lau,Colin M Crump

Journal of virology 86:473-83 PubMed22013045

2011

Analysis of the interaction between the essential herpes simplex virus 1 tegument proteins VP16 and VP1/2.

Applications

WB

Species

Unspecified reactive species

Stanislava Svobodova,Susanne Bell,Colin M Crump

The Journal of general virology 93:319-329 PubMed22012461

2011

Glycoprotein M is important for the efficient incorporation of glycoprotein H-L into herpes simplex virus type 1 particles.

Applications

ICC/IF

Species

Unspecified reactive species

Yudan Ren,Susanne Bell,Helen L Zenner,S-Y Kathy Lau,Colin M Crump
View all publications

Product promise

We are committed to supporting your work with high-quality reagents, and we're here for you every step of the way. In the unlikely event that one of our products does not perform as expected, you're protected by our Product Promise.
For full details, please see our Terms & Conditions

Please note: All products are 'FOR RESEARCH USE ONLY. NOT FOR USE IN DIAGNOSTIC OR THERAPEUTIC PROCEDURES'.

For licensing inquiries, please contact partnerships@abcam.com