JavaScript is disabled in your browser. Please enable JavaScript to view this website.
AB205616

Anti-HTF9C/TRMT2A antibody [EPR16485-54]

Be the first to review this product! Submit a review

|

(1 Publication)

Rabbit Recombinant Monoclonal HTF9C/TRMT2A antibody. Suitable for IP, WB, IHC-P and reacts with Human, Rat, Mouse samples. Cited in 1 publication.

View Alternative Names

tRNA (uracil-5-)-methyltransferase homolog A, mRNA (uracil-5-)-methyltransferase TRMT2A, TRMT2A

6 Images
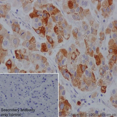
Immunohistochemistry (Formalin/PFA-fixed paraffin-embedded sections) - Anti-HTF9C/TRMT2A antibody [EPR16485-54] (AB205616)
  • IHC-P

Supplier Data

Immunohistochemistry (Formalin/PFA-fixed paraffin-embedded sections) - Anti-HTF9C/TRMT2A antibody [EPR16485-54] (AB205616)

Immunohistochemical analysis of paraffin-embedded human breast carcinoma tissue labeling HTF9C/TRMT2A with ab205616 at 1/1000 dilution followed by Goat Anti-Rabbit IgG H&L (HRP) (ab97051) at 1/500.

Cytoplasmic staining on human breast carcinoma tissue is observed.

Counter stained with Hematoxylin.

Negative control : Used PBS instead of primary antibody with secondary antibody, ab97051 at 1/500.

Perform heat mediated antigen retrieval with Tris/EDTA buffer pH 9.0 before commencing with IHC staining protocol.

Immunoprecipitation - Anti-HTF9C/TRMT2A antibody [EPR16485-54] (AB205616)
  • IP

Unknown

Immunoprecipitation - Anti-HTF9C/TRMT2A antibody [EPR16485-54] (AB205616)

HTF9C/TRMT2A was immunoprecipitated from 1mg of HEK293 (Human epithelial cell line from embryonic kidney) whole cell extract with ab205616 at 1/100.

Western blot was performed from the immunoprecipitate using ab205616 at 1/5000 followed by VeriBlot for IP Detection Reagent (HRP) (ab131366) at 1/10000.

Lane 1 : HEK293 whole cell extract at 10ug

Lane 2 : HEK293 whole cell extract immunoprecipitated using ab205616

Lane 3 : HEK293 whole cell extract immunoprecipitated using ab172730 (Rabbit monoclonal IgG)

Blocking and dilution buffer and concentration : 5% NFDM/TBST.

All lanes:

Immunoprecipitation - Anti-HTF9C/TRMT2A antibody [EPR16485-54] (ab205616)

Predicted band size: 69 kDa

Observed band size: 75 kDa

true

Exposure time: 8s

Western blot - Anti-HTF9C/TRMT2A antibody [EPR16485-54] (AB205616)
  • WB

Supplier Data

Western blot - Anti-HTF9C/TRMT2A antibody [EPR16485-54] (AB205616)

Blocking and diluting buffer was 5% NFDM /TBST

Exposure time Lane 1 and 2 : 10 seconds
Lane 3 : 1 minute

All lanes:

Western blot - Anti-HTF9C/TRMT2A antibody [EPR16485-54] (ab205616) at 1/5000 dilution

Lane 1:

MOLT-4 (Human lymphoblastic leukemia cell line) whole cell lysate at 20 µg

Lane 2:

HEK293 (Human epithelial cell line from embryonic kidney) whole cell lysate at 20 µg

Lane 3:

Jurkat (Human T cell leukemia cell line from peripheral blood) whole cell lysate at 20 µg

Secondary

All lanes:

Western blot - Goat Anti-Rabbit IgG H&L (HRP) (<a href='/en-us/products/secondary-antibodies/goat-rabbit-igg-h-l-hrp-ab97051'>ab97051</a>) at 1/100000 dilution

Predicted band size: 69 kDa

Observed band size: 75 kDa

true

Exposure time: 10s

Western blot - Anti-HTF9C/TRMT2A antibody [EPR16485-54] (AB205616)
  • WB

Supplier Data

Western blot - Anti-HTF9C/TRMT2A antibody [EPR16485-54] (AB205616)

Blocking and diluting buffer was 5% NFDM /TBST

All lanes:

Western blot - Anti-HTF9C/TRMT2A antibody [EPR16485-54] (ab205616) at 1/1000 dilution

All lanes:

Human fetal kidney at 20 µg

Secondary

All lanes:

Anti-Rabbit IgG (HRP), specific to the non-reduced form of IgG at 1/10000 dilution

Predicted band size: 69 kDa

Observed band size: 75 kDa

true

Exposure time: 3min

Western blot - Anti-HTF9C/TRMT2A antibody [EPR16485-54] (AB205616)
  • WB

Supplier Data

Western blot - Anti-HTF9C/TRMT2A antibody [EPR16485-54] (AB205616)

Blocking and diluting buffer was 5% NFDM /TBST

All lanes:

Western blot - Anti-HTF9C/TRMT2A antibody [EPR16485-54] (ab205616) at 1/1000 dilution

All lanes:

HepG2 (Human liver hepatocellular carcinoma cell line) whole cell lysate at 20 µg

Secondary

All lanes:

Western blot - Goat Anti-Rabbit IgG H&L (HRP) (<a href='/en-us/products/secondary-antibodies/goat-rabbit-igg-h-l-hrp-ab97051'>ab97051</a>) at 1/100000 dilution

Predicted band size: 69 kDa

Observed band size: 75 kDa

true

Exposure time: 1min

Western blot - Anti-HTF9C/TRMT2A antibody [EPR16485-54] (AB205616)
  • WB

Supplier Data

Western blot - Anti-HTF9C/TRMT2A antibody [EPR16485-54] (AB205616)

Blocking and diluting buffer was 5% NFDM /TBST

All lanes:

Western blot - Anti-HTF9C/TRMT2A antibody [EPR16485-54] (ab205616) at 1/1000 dilution

Lane 1:

C6 (Rat glial tumor cell line) whole cell lysate at 10 µg

Lane 2:

PC-12 (Rat adrenal gland pheochromocytoma cell line) whole cell lysate at 10 µg

Lane 3:

NIH/3T3 (Mouse embryonic fibroblast cell line) whole cell lysate at 10 µg

Secondary

All lanes:

Western blot - Goat Anti-Rabbit IgG H&L (HRP) (<a href='/en-us/products/secondary-antibodies/goat-rabbit-igg-h-l-hrp-ab97051'>ab97051</a>) at 1/100000 dilution

Predicted band size: 69 kDa

Observed band size: 75 kDa

true

Exposure time: 1min

  • Carrier free

    Anti-HTF9C/TRMT2A antibody [EPR16485-54] - BSA and Azide free

Key facts

Host species

Rabbit

Clonality

Monoclonal

Clone number

EPR16485-54

Isotype

IgG

Carrier free

No

Reacts with

Mouse, Rat, Human

Applications

IP, WB, IHC-P

applications

Immunogen

The exact immunogen used to generate this antibody is proprietary information.

Reactivity data

{ "title": "Reactivity Data", "filters": { "stats": ["", "Species", "Dilution Info", "Notes"], "tabs": { "all-applications": {"fullname" : "All Applications", "shortname": "All Applications"}, "IP" : {"fullname" : "Immunoprecipitation", "shortname":"IP"}, "WB" : {"fullname" : "Western blot", "shortname":"WB"}, "IHCP" : {"fullname" : "Immunohistochemistry (Formalin/PFA-fixed paraffin-embedded sections)", "shortname":"IHC-P"} }, "product-promise": { "all": "all", "testedAndGuaranteed": "tested", "guaranteed": "expected", "predicted": "predicted", "notRecommended": "not-recommended" } }, "values": { "Human": { "IP-species-checked": "testedAndGuaranteed", "IP-species-dilution-info": "1/100", "IP-species-notes": "<p></p>", "WB-species-checked": "testedAndGuaranteed", "WB-species-dilution-info": "1/1000", "WB-species-notes": "<p></p>", "IHCP-species-checked": "testedAndGuaranteed", "IHCP-species-dilution-info": "1/1000", "IHCP-species-notes": "<p></p> Perform heat-mediated antigen retrieval with Tris/EDTA buffer pH 9.0 before commencing with IHC staining protocol." }, "Mouse": { "IP-species-checked": "guaranteed", "IP-species-dilution-info": "", "IP-species-notes": "<p></p>", "WB-species-checked": "testedAndGuaranteed", "WB-species-dilution-info": "1/1000", "WB-species-notes": "<p></p>", "IHCP-species-checked": "guaranteed", "IHCP-species-dilution-info": "", "IHCP-species-notes": "" }, "Rat": { "IP-species-checked": "guaranteed", "IP-species-dilution-info": "", "IP-species-notes": "<p></p>", "WB-species-checked": "testedAndGuaranteed", "WB-species-dilution-info": "1/1000", "WB-species-notes": "<p></p>", "IHCP-species-checked": "guaranteed", "IHCP-species-dilution-info": "", "IHCP-species-notes": "" } } }

Product details

Patented technology
Our RabMAb® technology is a patented hybridoma-based technology for making rabbit monoclonal antibodies. For details on our patents, please refer to RabMAb® patents.

What are the advantages of a recombinant monoclonal antibody?
This product is a recombinant monoclonal antibody, which offers several advantages including:

  • - High batch-to-batch consistency and reproducibility
  • - Improved sensitivity and specificity
  • - Long-term security of supply
  • - Animal-free batch production

For more information, read more on recombinant antibodies.

Properties and storage information

Form
Liquid
Purification technique
Affinity purification Protein A
Storage buffer
pH: 7.2 - 7.4 Preservative: 0.01% Sodium azide Constituents: PBS, 40% Glycerol (glycerin, glycerine), 0.05% BSA
Shipped at conditions
Blue Ice
Appropriate short-term storage duration
1-2 weeks
Appropriate short-term storage conditions
+4°C
Appropriate long-term storage conditions
-20°C
Aliquoting information
Upon delivery aliquot
Storage information
Avoid freeze / thaw cycle

Supplementary information

This supplementary information is collated from multiple sources and compiled automatically.

HTF9C also known as TRMT2A is a tRNA methyltransferase enzyme with a mass of approximately 57 kDa. Its primary function is to catalyze the methylation of tRNA specifically the modification of uridine at position 54 to 5-methyluridine. This modification is essential for maintaining the correct structure and function of tRNA which affects protein synthesis. The protein is ubiquitously expressed in various tissues suggesting it plays an important role in fundamental cellular processes.
Biological function summary

The enzyme influences accurate tRNA function affecting overall protein translation efficiency. HTF9C/TRMT2A contributes to the maturation of tRNA molecules an important step in the stability and proper functioning of the translation machinery. Although it functions largely as an independent enzyme it may transiently interact with other proteins in the tRNA modification pathway indicating its potential involvement in broader RNA processing complexes.

Pathways

HTF9C/TRMT2A plays a critical role in the tRNA modification pathway which is tightly linked to protein biosynthesis. Its function affects the fidelity of translation connecting it indirectly to the mTOR pathway which regulates cell growth and metabolism. The TRMT2A enzyme's activity is potentially interrelated with ribosomal proteins like RPLP0 which are important for the translation process reflecting its impact on cellular growth and proliferation.

Improper function of HTF9C/TRMT2A can contribute to the development of cancer due to dysregulated protein synthesis. Aberrant methylation patterns affecting tRNA can result in translation anomalies contributing to oncogenic transformation. Additionally its malfunction is thought to be connected to neurological disorders where precise protein translation is important for neural function. In these contexts HTF9C may interact with dysregulated proteins such as p53 involved in cell cycle control and tumor suppression further illustrating its role in disease mechanisms.

Product protocols

For this product, it's our understanding that no specific protocols are required. You can visit:

Target data

S-adenosyl-L-methionine-dependent methyltransferase that catalyzes the formation of 5-methyl-uridine in tRNAs and some mRNAs (PubMed : 31361898, PubMed : 33799331, PubMed : 34556860). Mainly catalyzes the methylation of uridine at position 54 (m5U54) in cytosolic tRNAs (PubMed : 31361898, PubMed : 33799331). Also able to mediate the formation of 5-methyl-uridine in some mRNAs (PubMed : 34123281).
See full target information TRMT2A

Publications (1)

Recent publications for all applications. Explore the full list and refine your search

Molecular biomedicine 6:78 PubMed41071519

2025

Lipin3 deficiency promotes hepatocyte ferroptosis and pyroptosis via activating JAK1-STAT3 pathway during acetaminophen induced acute liver injury.

Applications

Unspecified application

Species

Unspecified reactive species

Yu-Xing Liu,Qian Wang,Zi-Yu Xiangyang,Jie-Yi Long,Hao Huang,Liang-Liang Fan
View all publications

Product promise

We are committed to supporting your work with high-quality reagents, and we're here for you every step of the way. In the unlikely event that one of our products does not perform as expected, you're protected by our Product Promise.
For full details, please see our Terms & Conditions

Please note: All products are 'FOR RESEARCH USE ONLY. NOT FOR USE IN DIAGNOSTIC OR THERAPEUTIC PROCEDURES'.

For licensing inquiries, please contact partnerships@abcam.com