JavaScript is disabled in your browser. Please enable JavaScript to view this website.
AB274322

Anti-htrA1 antibody [EPR23240-64]

Be the first to review this product! Submit a review

|

(3 Publications)

Knockout Tested Rabbit Recombinant Monoclonal HTRA1 antibody. Suitable for IP, WB and reacts with Human samples. Cited in 3 publications.

View Alternative Names

HTRA, PRSS11, HTRA1, Serine protease HTRA1, High-temperature requirement A serine peptidase 1, L56, Serine protease 11

4 Images
Western blot - Anti-htrA1 antibody [EPR23240-64] (AB274322)
  • WB

Lab

Western blot - Anti-htrA1 antibody [EPR23240-64] (AB274322)

ab274322 was shown to react with HTRA1 in wild-type HAP1 cells in Western blot with loss of signal observed in a HTRA1 knockout cell line. Wild-type HAP1 and HTRA1 knockout cell lysates were subjected to SDS-PAGE. Membranes were blocked in 5% milk in TBST for 1 hr before incubation with ab274322 overnight at 4 °C at a 1/1000 dilution. Blots were incubated with secondary antibodies at 0.2ug/mL before imaging.

These data were provided by YCharOS Inc., an open science company with the mission of characterizing commercially available antibody reagents for all human proteins. Abcam and YCharOS are working together to help address the reproducibility crisis by enabling the life science community to better evaluate commercially available antibodies.

All lanes:

Western blot - Anti-htrA1 antibody [EPR23240-64] (ab274322) at 1/1000 dilution

Lane 1:

Wild-type HAP1 lysate at 20 µg

Lane 2:

HTRA1 Knockout HAP1 lysate at 20 µg

Observed band size: 51 kDa

false

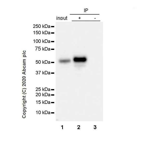
Immunoprecipitation - Anti-htrA1 antibody [EPR23240-64] (AB274322)
  • IP

Unknown

Immunoprecipitation - Anti-htrA1 antibody [EPR23240-64] (AB274322)

htrA1 was immunoprecipitated from 0.35 mg Human placenta lysate with ab274322 at 1/30 dilution (2ug in 0.35mg lysates). Western blot was performed on the immunoprecipitate using ab274322 at 1/1000 dilution. VeriBlot for IP Detection Reagent (HRP)(ab131366) was used at 1/5000 dilution.

Lane 1 : Human placenta lysate 10 ug

Lane 2 : ab274322 IP in Human placenta lysate

Lane 3 : Rabbit monoclonal IgG (ab172730) instead of ab274322 in Human placenta lysate

Blocking and dilution buffer and concentration : 5% NFDM/TBST.

Exposure time : 7.75 seconds.

All lanes:

Immunoprecipitation - Anti-htrA1 antibody [EPR23240-64] (ab274322)

Predicted band size: 51 kDa

Observed band size: 51 kDa

false

Western blot - Anti-htrA1 antibody [EPR23240-64] (AB274322)
  • WB

Lab

Western blot - Anti-htrA1 antibody [EPR23240-64] (AB274322)

Blocking and diluting buffer and concentration : 5% NFDM/TBST.

The expression profile observed is consistent with what has been described in the literature (PMID : 16767218, 19103920).

Exposure time : 48 seconds.

All lanes:

Western blot - Anti-htrA1 antibody [EPR23240-64] (ab274322) at 1/1000 dilution

Lane 1:

Human brain tissue lysate at 20 µg

Lane 2:

Human placenta tissue lysate at 20 µg

Lane 3:

Human ovary tissue lysate at 20 µg

Lane 4:

Human ovary cancer tissue lysate at 20 µg

Secondary

All lanes:

VeriBlot for IP secondary antibody(HRP)(<a href='/en-us/products/reagents/veriblot-for-ip-detection-reagent-hrp-ab131366'>ab131366</a>) at 1/1000 dilution

Predicted band size: 51 kDa

Observed band size: 51 kDa

false

Western blot - Anti-htrA1 antibody [EPR23240-64] (AB274322)
  • WB

Lab

Western blot - Anti-htrA1 antibody [EPR23240-64] (AB274322)

Blocking and diluting buffer and concentration : 5% NFDM/TBST.

Low expression : HepG2, MCF7 (PMID : 14716297, 22761798).

Exposure time : 3 minutes.

All lanes:

Western blot - Anti-htrA1 antibody [EPR23240-64] (ab274322) at 1/1000 dilution

Lane 1:

SK-OV-3 (human ovarian cancer epithelial cell), whole cell lysate at 20 µg

Lane 2:

HepG2 (human hepatocellular carcinoma epithelial cell), whole cell lysate at 20 µg

Lane 3:

MCF7 (human breast adenocarcinoma epithelial cell), whole cell lysate at 20 µg

Secondary

All lanes:

Goat Anti-Rabbit IgG, (H+L), Peroxidase conjugated (<a href='/en-us/products/secondary-antibodies/goat-rabbit-igg-h-l-hrp-ab97051'>ab97051</a>) at 1/100000 dilution

Predicted band size: 51 kDa

Observed band size: 51 kDa

false

  • Carrier free

    Anti-htrA1 antibody [EPR23240-64] - BSA and Azide free

Key facts

Host species

Rabbit

Clonality

Monoclonal

Clone number

EPR23240-64

Isotype

IgG

Carrier free

No

Reacts with

Human

Applications

IP, WB

applications

Immunogen

The exact immunogen used to generate this antibody is proprietary information.

Reactivity data

{ "title": "Reactivity Data", "filters": { "stats": ["", "Species", "Dilution Info", "Notes"], "tabs": { "all-applications": {"fullname" : "All Applications", "shortname": "All Applications"}, "ICCIF" : {"fullname" : "Immunocytochemistry/ Immunofluorescence", "shortname":"ICC/IF"}, "IP" : {"fullname" : "Immunoprecipitation", "shortname":"IP"}, "FlowCyt" : {"fullname" : "Flow Cytometry", "shortname":"Flow Cyt"}, "WB" : {"fullname" : "Western blot", "shortname":"WB"}, "IHCP" : {"fullname" : "Immunohistochemistry (Formalin/PFA-fixed paraffin-embedded sections)", "shortname":"IHC-P"} }, "product-promise": { "all": "all", "testedAndGuaranteed": "tested", "guaranteed": "expected", "predicted": "predicted", "notRecommended": "not-recommended" } }, "values": { "Human": { "ICCIF-species-checked": "notRecommended", "ICCIF-species-dilution-info": "", "ICCIF-species-notes": "<p></p>", "IP-species-checked": "testedAndGuaranteed", "IP-species-dilution-info": "1/30", "IP-species-notes": "<p></p>", "FlowCyt-species-checked": "notRecommended", "FlowCyt-species-dilution-info": "", "FlowCyt-species-notes": "<p></p>", "WB-species-checked": "testedAndGuaranteed", "WB-species-dilution-info": "1/1000", "WB-species-notes": "<p></p>", "IHCP-species-checked": "notRecommended", "IHCP-species-dilution-info": "", "IHCP-species-notes": "<p></p>" }, "Mouse": { "ICCIF-species-checked": "notRecommended", "ICCIF-species-dilution-info": "", "ICCIF-species-notes": "", "IP-species-checked": "notRecommended", "IP-species-dilution-info": "1/30", "IP-species-notes": "<p></p>", "FlowCyt-species-checked": "notRecommended", "FlowCyt-species-dilution-info": "", "FlowCyt-species-notes": "", "WB-species-checked": "notRecommended", "WB-species-dilution-info": "1/1000", "WB-species-notes": "<p></p>", "IHCP-species-checked": "notRecommended", "IHCP-species-dilution-info": "", "IHCP-species-notes": "<p></p>" }, "Rat": { "ICCIF-species-checked": "notRecommended", "ICCIF-species-dilution-info": "", "ICCIF-species-notes": "", "IP-species-checked": "notRecommended", "IP-species-dilution-info": "", "IP-species-notes": "", "FlowCyt-species-checked": "notRecommended", "FlowCyt-species-dilution-info": "", "FlowCyt-species-notes": "", "WB-species-checked": "notRecommended", "WB-species-dilution-info": "1/1000", "WB-species-notes": "<p></p>", "IHCP-species-checked": "notRecommended", "IHCP-species-dilution-info": "", "IHCP-species-notes": "<p></p>" } } }

Product details

Patented technology
Our RabMAb® technology is a patented hybridoma-based technology for making rabbit monoclonal antibodies. For details on our patents, please refer to RabMAb® patents.

What are the advantages of a recombinant monoclonal antibody?
This product is a recombinant monoclonal antibody, which offers several advantages including:

  • - High batch-to-batch consistency and reproducibility
  • - Improved sensitivity and specificity
  • - Long-term security of supply
  • - Animal-free batch production

For more information, read more on recombinant antibodies.

Properties and storage information

Form
Liquid
Purification technique
Affinity purification Protein A
Storage buffer
pH: 7.2 - 7.4 Preservative: 0.01% Sodium azide Constituents: PBS, 40% Glycerol (glycerin, glycerine), 0.05% BSA
Shipped at conditions
Blue Ice
Appropriate short-term storage duration
1-2 weeks
Appropriate short-term storage conditions
+4°C
Appropriate long-term storage conditions
-20°C
Aliquoting information
Upon delivery aliquot
Storage information
Avoid freeze / thaw cycle

Supplementary information

This supplementary information is collated from multiple sources and compiled automatically.

The protein HtrA1 also known as High Temperature Requirement A Serine Peptidase 1 functions mechanically as a serine protease. It has a mass of approximately 51 kDa and plays a critical role in protein quality control by degrading misfolded proteins. HtrA1 is expressed in various tissues including the placenta brain and lung. It localizes to the extracellular region indicating its involvement in extracellular matrix regulation.
Biological function summary

HtrA1 participates in cellular processes including protein degradation and modulation of signaling pathways. It does not have a known direct association with protein complexes but its protease activity affects extracellular matrix components and influences cellular homeostasis. HtrA1's regulatory function can affect cell growth and differentiation impacting tissue development and repair mechanisms.

Pathways

HtrA1 interacts significantly with the TGF-beta signaling pathway where its protease activity modulates the availability and activity of TGF-beta ligands and receptors. It also plays a role in the Wnt signaling pathway by influencing the stability of pathway-related proteins. HtrA1 interacts with proteins such as TGF-beta contributing to the regulation of extracellular matrix and cellular responses to external signals.

HtrA1 has connections to osteoarthritis and age-related macular degeneration (AMD). Elevated expression of HtrA1 correlates with the degeneration of articular cartilage and extracellular matrix breakdown in osteoarthritis. In AMD HtrA1 influences the structural integrity of ocular tissues with disturbances in this balance linked to progressive vision loss. Its activity interacts with proteins such as matrix metalloproteinases in these conditions contributing to the pathogenic processes.

Product protocols

For this product, it's our understanding that no specific protocols are required. You can visit:

Target data

Serine protease with a variety of targets, including extracellular matrix proteins such as fibronectin. HTRA1-generated fibronectin fragments further induce synovial cells to up-regulate MMP1 and MMP3 production. May also degrade proteoglycans, such as aggrecan, decorin and fibromodulin. Through cleavage of proteoglycans, may release soluble FGF-glycosaminoglycan complexes that promote the range and intensity of FGF signals in the extracellular space. Regulates the availability of insulin-like growth factors (IGFs) by cleaving IGF-binding proteins. Inhibits signaling mediated by TGF-beta family members. This activity requires the integrity of the catalytic site, although it is unclear whether TGF-beta proteins are themselves degraded. By acting on TGF-beta signaling, may regulate many physiological processes, including retinal angiogenesis and neuronal survival and maturation during development. Intracellularly, degrades TSC2, leading to the activation of TSC2 downstream targets.
See full target information HTRA1

Publications (3)

Recent publications for all applications. Explore the full list and refine your search

Proceedings of the National Academy of Sciences of the United States of America 120:e2215005120 PubMed37126685

2023

CRISPR editing demonstrates rs10490924 raised oxidative stress in iPSC-derived retinal cells from patients with -related AMD.

Applications

Unspecified application

Species

Unspecified reactive species

Ya-Ju Chang,Laura A Jenny,Yong-Shi Li,Xuan Cui,Yang Kong,Yao Li,Janet R Sparrow,Stephen H Tsang

American journal of reproductive immunology (New York, N.Y. : 1989) 87:e13523 PubMed35137483

2022

Melatonin regulates trophoblast pyroptosis, invasion and migration in preeclampsia by inhibiting HtrA1 transcription through the microRNA-520c-3p/SETD7 axis.

Applications

Unspecified application

Species

Unspecified reactive species

Zhaochun Liu,Bin Chen,Jing Chang,Lulu Feng,Xia Zhao

American journal of reproductive immunology (New York, N.Y. : 1989) 86:e13485 PubMed34270834

2021

Circ_0011460 upregulates HTRA1 expression by sponging miR-762 to suppress HTR8/SVneo cell growth, migration, and invasion.

Applications

Unspecified application

Species

Unspecified reactive species

Zhongyan Fan,Qiming Wang,Hui Deng
View all publications

Product promise

We are committed to supporting your work with high-quality reagents, and we're here for you every step of the way. In the unlikely event that one of our products does not perform as expected, you're protected by our Product Promise.
For full details, please see our Terms & Conditions

Please note: All products are 'FOR RESEARCH USE ONLY. NOT FOR USE IN DIAGNOSTIC OR THERAPEUTIC PROCEDURES'.

For licensing inquiries, please contact partnerships@abcam.com