JavaScript is disabled in your browser. Please enable JavaScript to view this website.
AB229878

Anti-HtrA2 / Omi antibody - C-terminal

Be the first to review this product! Submit a review

|

(1 Publication)

Rabbit Polyclonal HtrA2 / Omi antibody. C-terminal. Suitable for IP, WB, IHC-P and reacts with Human samples. Cited in 1 publication. Immunogen corresponding to Recombinant Fragment Protein within Human HTRA2 aa 300 to C-terminus.

View Alternative Names

OMI, PRSS25, HTRA2, High temperature requirement protein A2, Omi stress-regulated endoprotease, Serine protease 25, Serine proteinase OMI, HtrA2

5 Images
Immunohistochemistry (Formalin/PFA-fixed paraffin-embedded sections) - Anti-HtrA2 / Omi antibody - C-terminal (AB229878)
  • IHC-P

Supplier Data

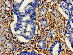
Immunohistochemistry (Formalin/PFA-fixed paraffin-embedded sections) - Anti-HtrA2 / Omi antibody - C-terminal (AB229878)

Paraffin-embedded human colon cancer tissue stained for HtrA2 / Omi using ab229878 at 1/200 dilution in immunohistochemical analysis, followed by a biotinylated secondary antibody and visualized using an HRP conjugated SP system.

Antigen retrieval was mediated by high pressure in a citrate buffer (pH 6.0). Section was blocked with 10% normal goat serum for 30 minutes at RT. Then primary antibody (1% BSA) was incubated at 4°C overnight.

Immunohistochemistry (Formalin/PFA-fixed paraffin-embedded sections) - Anti-HtrA2 / Omi antibody - C-terminal (AB229878)
  • IHC-P

Supplier Data

Immunohistochemistry (Formalin/PFA-fixed paraffin-embedded sections) - Anti-HtrA2 / Omi antibody - C-terminal (AB229878)

Paraffin-embedded human kidney tissue stained for HtrA2 / Omi using ab229878 at 1/200 dilution in immunohistochemical analysis, followedby a biotinylated secondary antibody and visualized using an HRP conjugated SP system.

Antigen retrieval was mediated by high pressure in a citrate buffer (pH 6.0). Section was blocked with 10% normal goat serum for 30 minutes at RT. Then primary antibody (1% BSA) was incubated at 4°C overnight.

Immunoprecipitation - Anti-HtrA2 / Omi antibody - C-terminal (AB229878)
  • IP

Supplier Data

Immunoprecipitation - Anti-HtrA2 / Omi antibody - C-terminal (AB229878)

HtrA2 / Omi was immunoprecipitated from 0.5 mg MCF7 (human breast adenocarcinoma cell line) whole cell lysate using 8 μg of ab229878. Western blot was performed from the immunoprecipitate using ab229878. HRP-conjugated Protein G antibody was used as the secondary antibody at 1/2000 dilution.

Lane 1 : 1 μg Control IgG instead of ab229878 in MCF7 whole cell lysate.
Lane 2 : ab229878 in MCF7 whole cell lysate.
Lane 3 : MCF7 whole cell lysate 20 μg (Input).

All lanes:

Immunoprecipitation - Anti-HtrA2 / Omi antibody - C-terminal (ab229878)

Predicted band size: 49 kDa

false

Western blot - Anti-HtrA2 / Omi antibody - C-terminal (AB229878)
  • WB

Supplier Data

Western blot - Anti-HtrA2 / Omi antibody - C-terminal (AB229878)

All lanes:

Western blot - Anti-HtrA2 / Omi antibody - C-terminal (ab229878) at 1/500 dilution

Lane 1:

HeLa (human epithelial cell line from cervix adenocarcinoma) whole cell lysate

Lane 2:

MCF7 (human breast adenocarcinoma cell line) whole cell lysate

Secondary

All lanes:

Goat polyclonal to rabbit IgG at 1/50000 dilution

Predicted band size: 49 kDa

Observed band size: 49 kDa

false

Western blot - Anti-HtrA2 / Omi antibody - C-terminal (AB229878)
  • WB

Supplier Data

Western blot - Anti-HtrA2 / Omi antibody - C-terminal (AB229878)

All lanes:

Western blot - Anti-HtrA2 / Omi antibody - C-terminal (ab229878) at 1/500 dilution

Lane 1:

HEK-293 (human epithelial cell line from embryonic kidney) whole cell lysate

Lane 2:

Jurkat (human T cell leukemia cell line from peripheral blood) whole cell lysate

Lane 3:

MCF7 (human breast adenocarcinoma cell line) whole cell lysate

Lane 4:

Raji (human Burkitt's lymphoma cell line) whole cell lysate

Secondary

All lanes:

Goat polyclonal to rabbit IgG at 1/50000 dilution

Predicted band size: 49 kDa

Observed band size: 49 kDa

false

Key facts

Host species

Rabbit

Clonality

Polyclonal

Isotype

IgG

Carrier free

No

Reacts with

Human

Applications

WB, IHC-P, IP

applications

Immunogen

Recombinant Fragment Protein within Human HTRA2 aa 300 to C-terminus. The exact immunogen used to generate this antibody is proprietary information.

O43464

Reactivity data

{ "title": "Reactivity Data", "filters": { "stats": ["", "Species", "Dilution Info", "Notes"], "tabs": { "all-applications": {"fullname" : "All Applications", "shortname": "All Applications"}, "IP" : {"fullname" : "Immunoprecipitation", "shortname":"IP"}, "WB" : {"fullname" : "Western blot", "shortname":"WB"}, "IHCP" : {"fullname" : "Immunohistochemistry (Formalin/PFA-fixed paraffin-embedded sections)", "shortname":"IHC-P"} }, "product-promise": { "all": "all", "testedAndGuaranteed": "tested", "guaranteed": "expected", "predicted": "predicted", "notRecommended": "not-recommended" } }, "values": { "Human": { "IP-species-checked": "testedAndGuaranteed", "IP-species-dilution-info": "1/200 - 1/2000", "IP-species-notes": "<p></p>", "WB-species-checked": "testedAndGuaranteed", "WB-species-dilution-info": "1/500 - 1/5000", "WB-species-notes": "<p></p>", "IHCP-species-checked": "testedAndGuaranteed", "IHCP-species-dilution-info": "1/20 - 1/200", "IHCP-species-notes": "<p></p>" }, "Mouse": { "IP-species-checked": "predicted", "IP-species-dilution-info": "", "IP-species-notes": "", "WB-species-checked": "predicted", "WB-species-dilution-info": "", "WB-species-notes": "", "IHCP-species-checked": "predicted", "IHCP-species-dilution-info": "", "IHCP-species-notes": "" }, "Cow": { "IP-species-checked": "predicted", "IP-species-dilution-info": "", "IP-species-notes": "", "WB-species-checked": "predicted", "WB-species-dilution-info": "", "WB-species-notes": "", "IHCP-species-checked": "predicted", "IHCP-species-dilution-info": "", "IHCP-species-notes": "" } } }

Properties and storage information

Form
Liquid
Purification technique
Affinity purification Protein G
Purification notes
Purity >95%.
Storage buffer
pH: 7.4 Preservative: 0.03% Proclin 300 Constituents: PBS, 50% Glycerol (glycerin, glycerine)
Shipped at conditions
Blue Ice
Appropriate short-term storage duration
1-2 weeks
Appropriate short-term storage conditions
+4°C
Appropriate long-term storage conditions
-20°C
Aliquoting information
Upon delivery aliquot
Storage information
Avoid freeze / thaw cycle

Supplementary information

This supplementary information is collated from multiple sources and compiled automatically.

HtrA2 also known as Omi or the Omi protein is a serine protease with a molecular mass of approximately 50 kDa. It is a mitochondrial protein and commonly found in the cytosol following cellular stress. HtrA2/Omi mediates its function through its protease and pro-apoptotic activities. It is involved in the degradation of damaged proteins and exerts an important role in maintaining protein quality control within mitochondria. Researchers often study HtrA2/Omi for its function in apoptosis and Parkinson's disease-related pathways.
Biological function summary

The degradation and signaling processes of HtrA2/Omi protect against proteotoxic stress. It operates within the mitochondria and under stress conditions relocates to the cytosol where it can influence apoptosis. HtrA2/Omi can interact with inhibitors of apoptosis proteins (IAPs) and by doing this promotes apoptosis when necessary. This regulation of cell death links HtrA2/Omi to the cellular quality control mechanisms directly impacting cell survival and health.

Pathways

HtrA2/Omi integrates into the mitochondrial apoptosis pathway and is important in Parkinson's disease pathways. Through its interactions with apoptosis regulators like XIAP HtrA2/Omi facilitates the removal of unwanted cells. Additionally it participates in signaling pathways involving caspases and other pro-apoptotic factors. Its activity ensures proper communication and response within these pathways to maintain cellular balance and respond to stressors or damage.

HtrA2/Omi links to neurodegenerative conditions such as Parkinson's disease and Huntington's disease. Mutations or alterations in expression levels can contribute to these conditions by disrupting normal apoptotic signaling. Other proteins like PINK1 and Parkin are closely related to HtrA2/Omi in the context of Parkinson's disease where they collectively regulate mitochondrial function and health. In such disorders the malfunction of HtrA2/Omi or its interactions leads to impaired cell survival and increased susceptibility to neuronal damage.

Product protocols

For this product, it's our understanding that no specific protocols are required. You can visit:

Target data

Isoform 1. Serine protease that shows proteolytic activity against a non-specific substrate beta-casein (PubMed : 10873535). Promotes apoptosis by either relieving the inhibition of BIRC proteins on caspases, leading to an increase in caspase activity; or by a BIRC inhibition-independent, caspase-independent and serine protease activity-dependent mechanism (PubMed : 15200957). Cleaves BIRC6 and relieves its inhibition on CASP3, CASP7 and CASP9, but it is also prone to inhibition by BIRC6 (PubMed : 36758104, PubMed : 36758105). Cleaves THAP5 and promotes its degradation during apoptosis (PubMed : 19502560).. Isoform 2. Seems to be proteolytically inactive.
See full target information HTRA2

Publications (1)

Recent publications for all applications. Explore the full list and refine your search

Immunology 168:63-82 PubMed36240165

2022

Elucidation of the signalling pathways for enhanced exosome release from Mycobacterium-infected macrophages and subsequent induction of differentiation.

Applications

Unspecified application

Species

Unspecified reactive species

Arpana Singh,Kaushik Das,Sampali Banerjee,Prosenjit Sen
View all publications

Product promise

We are committed to supporting your work with high-quality reagents, and we're here for you every step of the way. In the unlikely event that one of our products does not perform as expected, you're protected by our Product Promise.
For full details, please see our Terms & Conditions

Please note: All products are 'FOR RESEARCH USE ONLY. NOT FOR USE IN DIAGNOSTIC OR THERAPEUTIC PROCEDURES'.

For licensing inquiries, please contact partnerships@abcam.com