JavaScript is disabled in your browser. Please enable JavaScript to view this website.
AB32092

Anti-HtrA2 / Omi antibody [E55]

Be the first to review this product! Submit a review

|

(18 Publications)

Rabbit Recombinant Monoclonal HtrA2 / Omi antibody. Suitable for IHC-P, WB and reacts with Human samples. Cited in 18 publications.

View Alternative Names

OMI, PRSS25, HTRA2, High temperature requirement protein A2, Omi stress-regulated endoprotease, Serine protease 25, Serine proteinase OMI, HtrA2

2 Images
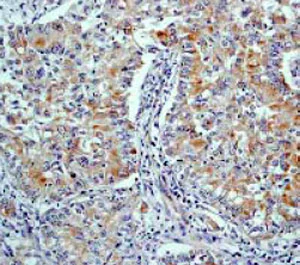
Immunohistochemistry (Formalin/PFA-fixed paraffin-embedded sections) - Anti-HtrA2 / Omi antibody [E55] (AB32092)
  • IHC-P

Unknown

Immunohistochemistry (Formalin/PFA-fixed paraffin-embedded sections) - Anti-HtrA2 / Omi antibody [E55] (AB32092)

ab32092 at a 1 : 250 dilution staining Htr2A/ Omi in human lung adenocarcinoma using Immunohistochemistry Paraffin Embedded Tissue.

Perform heat mediated antigen retrieval with citrate buffer pH 6 before commencing with IHC staining protocol.

Western blot - Anti-HtrA2 / Omi antibody [E55] (AB32092)
  • WB

Unknown

Western blot - Anti-HtrA2 / Omi antibody [E55] (AB32092)

All lanes:

Western blot - Anti-HtrA2 / Omi antibody [E55] (ab32092) at 1/2000 dilution

All lanes:

Jurkat (Human T cell leukemia cell line from peripheral blood) whole cell lysate

Predicted band size: 49 kDa

Observed band size: 38 kDa

false

  • Carrier free

    Anti-HtrA2 / Omi antibody [E55] - BSA and Azide free

Key facts

Host species

Rabbit

Clonality

Monoclonal

Clone number

E55

Isotype

IgG

Carrier free

No

Reacts with

Human

Applications

IHC-P, WB

applications

Immunogen

The exact immunogen used to generate this antibody is proprietary information.

Specificity

ab32092 does not cross-react with other peptidase S1C family members.

Reactivity data

{ "title": "Reactivity Data", "filters": { "stats": ["", "Species", "Dilution Info", "Notes"], "tabs": { "all-applications": {"fullname" : "All Applications", "shortname": "All Applications"}, "IHCP" : {"fullname" : "Immunohistochemistry (Formalin/PFA-fixed paraffin-embedded sections)", "shortname":"IHC-P"}, "ICCIF" : {"fullname" : "Immunocytochemistry/ Immunofluorescence", "shortname":"ICC/IF"}, "FlowCyt" : {"fullname" : "Flow Cytometry", "shortname":"Flow Cyt"}, "WB" : {"fullname" : "Western blot", "shortname":"WB"} }, "product-promise": { "all": "all", "testedAndGuaranteed": "tested", "guaranteed": "expected", "predicted": "predicted", "notRecommended": "not-recommended" } }, "values": { "Human": { "IHCP-species-checked": "testedAndGuaranteed", "IHCP-species-dilution-info": "1/250", "IHCP-species-notes": "<p></p>", "ICCIF-species-checked": "notRecommended", "ICCIF-species-dilution-info": "", "ICCIF-species-notes": "<p></p>", "FlowCyt-species-checked": "notRecommended", "FlowCyt-species-dilution-info": "", "FlowCyt-species-notes": "<p></p>", "WB-species-checked": "testedAndGuaranteed", "WB-species-dilution-info": "1/1000 - 1/10000", "WB-species-notes": "<p></p>" }, "Mouse": { "IHCP-species-checked": "predicted", "IHCP-species-dilution-info": "", "IHCP-species-notes": "", "ICCIF-species-checked": "notRecommended", "ICCIF-species-dilution-info": "", "ICCIF-species-notes": "", "FlowCyt-species-checked": "notRecommended", "FlowCyt-species-dilution-info": "", "FlowCyt-species-notes": "", "WB-species-checked": "predicted", "WB-species-dilution-info": "", "WB-species-notes": "" }, "Rat": { "IHCP-species-checked": "predicted", "IHCP-species-dilution-info": "", "IHCP-species-notes": "", "ICCIF-species-checked": "notRecommended", "ICCIF-species-dilution-info": "", "ICCIF-species-notes": "", "FlowCyt-species-checked": "notRecommended", "FlowCyt-species-dilution-info": "", "FlowCyt-species-notes": "", "WB-species-checked": "predicted", "WB-species-dilution-info": "", "WB-species-notes": "" } } }

Product details

Patented technology
Our RabMAb® technology is a patented hybridoma-based technology for making rabbit monoclonal antibodies. For details on our patents, please refer to RabMAb® patents.

What are the advantages of a recombinant monoclonal antibody?
This product is a recombinant monoclonal antibody, which offers several advantages including:

  • - High batch-to-batch consistency and reproducibility
  • - Improved sensitivity and specificity
  • - Long-term security of supply
  • - Animal-free batch production

For more information, read more on recombinant antibodies.

Properties and storage information

Form
Liquid
Purification technique
Affinity purification Protein A
Storage buffer
pH: 7.2 - 7.4 Preservative: 0.01% Sodium azide Constituents: PBS, 50% Glycerol (glycerin, glycerine), 0.05% BSA
Shipped at conditions
Blue Ice
Appropriate short-term storage conditions
+4°C
Appropriate long-term storage conditions
-20°C
Aliquoting information
Upon delivery aliquot
Storage information
Avoid freeze / thaw cycle

Supplementary information

This supplementary information is collated from multiple sources and compiled automatically.

HtrA2 also known as Omi or the Omi protein is a serine protease with a molecular mass of approximately 50 kDa. It is a mitochondrial protein and commonly found in the cytosol following cellular stress. HtrA2/Omi mediates its function through its protease and pro-apoptotic activities. It is involved in the degradation of damaged proteins and exerts an important role in maintaining protein quality control within mitochondria. Researchers often study HtrA2/Omi for its function in apoptosis and Parkinson's disease-related pathways.
Biological function summary

The degradation and signaling processes of HtrA2/Omi protect against proteotoxic stress. It operates within the mitochondria and under stress conditions relocates to the cytosol where it can influence apoptosis. HtrA2/Omi can interact with inhibitors of apoptosis proteins (IAPs) and by doing this promotes apoptosis when necessary. This regulation of cell death links HtrA2/Omi to the cellular quality control mechanisms directly impacting cell survival and health.

Pathways

HtrA2/Omi integrates into the mitochondrial apoptosis pathway and is important in Parkinson's disease pathways. Through its interactions with apoptosis regulators like XIAP HtrA2/Omi facilitates the removal of unwanted cells. Additionally it participates in signaling pathways involving caspases and other pro-apoptotic factors. Its activity ensures proper communication and response within these pathways to maintain cellular balance and respond to stressors or damage.

HtrA2/Omi links to neurodegenerative conditions such as Parkinson's disease and Huntington's disease. Mutations or alterations in expression levels can contribute to these conditions by disrupting normal apoptotic signaling. Other proteins like PINK1 and Parkin are closely related to HtrA2/Omi in the context of Parkinson's disease where they collectively regulate mitochondrial function and health. In such disorders the malfunction of HtrA2/Omi or its interactions leads to impaired cell survival and increased susceptibility to neuronal damage.

Product protocols

For this product, it's our understanding that no specific protocols are required. You can visit:

Target data

Isoform 1. Serine protease that shows proteolytic activity against a non-specific substrate beta-casein (PubMed : 10873535). Promotes apoptosis by either relieving the inhibition of BIRC proteins on caspases, leading to an increase in caspase activity; or by a BIRC inhibition-independent, caspase-independent and serine protease activity-dependent mechanism (PubMed : 15200957). Cleaves BIRC6 and relieves its inhibition on CASP3, CASP7 and CASP9, but it is also prone to inhibition by BIRC6 (PubMed : 36758104, PubMed : 36758105). Cleaves THAP5 and promotes its degradation during apoptosis (PubMed : 19502560).. Isoform 2. Seems to be proteolytically inactive.
See full target information HTRA2

Publications (18)

Recent publications for all applications. Explore the full list and refine your search

Heliyon 9:e14039 PubMed36915530

2023

A novel splicing variant of DJ-1 in Parkinson's disease induces mitochondrial dysfunction.

Applications

Unspecified application

Species

Unspecified reactive species

Namjoon Cho,Jaegeon Joo,Sunkyung Choi,Bu-Gyeong Kang,Andrew J Lee,So-Yeon Youn,Su-Hyung Park,Eun-Mi Kim,Eliezer Masliah,Yuji Ko,Sun-Shin Cha,Inkyung Jung,Kee K Kim

Cell death discovery 8:218 PubMed35449197

2022

HtrA2/Omi mitigates NAFLD in high-fat-fed mice by ameliorating mitochondrial dysfunction and restoring autophagic flux.

Applications

Unspecified application

Species

Unspecified reactive species

Wei Zhou,Xueting Deng,Xiaolei Zhu,Qinhui Yan,Nan Zhou,Susu Du,Xiaonan Li

Molecular medicine reports 22:3127-3134 PubMed32945404

2020

Inhibition of HtrA2 alleviates inflammatory response and cell apoptosis in lipopolysaccharide‑induced acute pneumonia in rats.

Applications

Unspecified application

Species

Unspecified reactive species

Xin Wang

Journal of molecular histology 50:405-415 PubMed31256303

2019

Inhibitory effect of melatonin on Mst1 ameliorates myocarditis through attenuating ER stress and mitochondrial dysfunction.

Applications

Unspecified application

Species

Unspecified reactive species

Haichun Ouyang,Jiankai Zhong,Jianhua Lu,Yuanlin Zhong,Yunzhao Hu,Ying Tan

Biomedicine & pharmacotherapy = Biomedecine & phar 114:108844 PubMed30981108

2019

Overexpression of macrophage stimulating 1 enhances the anti-tumor effects of IL-24 in esophageal cancer via inhibiting ERK-Mfn2 signaling-dependent mitophagy.

Applications

Unspecified application

Species

Unspecified reactive species

Jianpeng Zhang,Lin Sun,Weiqiang Li,Yanyu Wang,Xinzhen Li,Yang Liu

Cell stress & chaperones 24:91-104 PubMed30374881

2018

Lipopolysaccharide induces human olfactory ensheathing glial apoptosis by promoting mitochondrial dysfunction and activating the JNK-Bnip3-Bax pathway.

Applications

Unspecified application

Species

Unspecified reactive species

Maowei He,Zimin Xiang,Libin Xu,Yanting Duan,Fangqin Li,Jianmei Chen

Cancer cell international 18:165 PubMed30377412

2018

Excessive mitochondrial fragmentation triggered by erlotinib promotes pancreatic cancer PANC-1 cell apoptosis via activating the mROS-HtrA2/Omi pathways.

Applications

Unspecified application

Species

Unspecified reactive species

Jun Wan,Jie Cui,Lei Wang,Kunpeng Wu,Xiaoping Hong,Yulin Zou,Shuang Zhao,Hong Ke

Molecular medicine reports 18:2973-2986 PubMed30015897

2018

PTEN enhances nasal epithelial cell resistance to TNFα‑induced inflammatory injury by limiting mitophagy via repression of the TLR4‑JNK‑Bnip3 pathway.

Applications

Unspecified application

Species

Unspecified reactive species

Meng Li,Xiang Yang,Shouchuan Wang

Toxicology research 7:792-808 PubMed30310657

2018

The mitochondrial pathway is involved in sodium fluoride (NaF)-induced renal apoptosis in mice.

Applications

Unspecified application

Species

Unspecified reactive species

Qin Wei,Qin Luo,Huan Liu,Linlin Chen,Hengmin Cui,Jing Fang,Zhicai Zuo,Junliang Deng,Yinglun Li,Xun Wang,Ling Zhao

Cellular & molecular biology letters 23:14 PubMed29636771

2018

Mitochonic acid 5 activates the MAPK-ERK-yap signaling pathways to protect mouse microglial BV-2 cells against TNFα-induced apoptosis via increased Bnip3-related mitophagy.

Applications

Unspecified application

Species

Unspecified reactive species

Qingyun Lei,Jian Tan,Shangqing Yi,Na Wu,Yilin Wang,Heng Wu
View all publications

Product promise

We are committed to supporting your work with high-quality reagents, and we're here for you every step of the way. In the unlikely event that one of our products does not perform as expected, you're protected by our Product Promise.
For full details, please see our Terms & Conditions

Please note: All products are 'FOR RESEARCH USE ONLY. NOT FOR USE IN DIAGNOSTIC OR THERAPEUTIC PROCEDURES'.

For licensing inquiries, please contact partnerships@abcam.com