JavaScript is disabled in your browser. Please enable JavaScript to view this website.
AB75982

Anti-HtrA2 / Omi antibody [EPR22]

4

(2 Reviews)

|

(10 Publications)

Rabbit Recombinant Monoclonal HtrA2 / Omi antibody. Suitable for IHC-P, WB, Flow Cyt (Intra) and reacts with Human samples. Cited in 10 publications.

View Alternative Names

OMI, PRSS25, HTRA2, High temperature requirement protein A2, Omi stress-regulated endoprotease, Serine protease 25, Serine proteinase OMI, HtrA2

4 Images
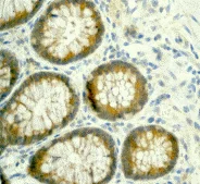
Immunohistochemistry (Formalin/PFA-fixed paraffin-embedded sections) - Anti-HtrA2 / Omi antibody [EPR22] (AB75982)
  • IHC-P

Unknown

Immunohistochemistry (Formalin/PFA-fixed paraffin-embedded sections) - Anti-HtrA2 / Omi antibody [EPR22] (AB75982)

Immunohistochemical analysis of paraffin-embedded human colon using ab75982 at 1/100-1/250 dilution.

Perform heat mediated antigen retrieval before commencing with IHC staining protocol.

Flow Cytometry (Intracellular) - Anti-HtrA2 / Omi antibody [EPR22] (AB75982)
  • Flow Cyt (Intra)

Unknown

Flow Cytometry (Intracellular) - Anti-HtrA2 / Omi antibody [EPR22] (AB75982)

Overlay histogram showing HeLa cells stained with ab75982 (red line). The cells were fixed with 80% methanol (5 min) and then permeabilized with 0.1% PBS-Tween for 20 min. The cells were then incubated in 1x PBS / 10% normal goat serum / 0.3M glycine to block non-specific protein-protein interactions followed by the antibody (ab75982 1/100 dilution) for 30 min at 22°C. The secondary antibody used was goat anti-rabbit Alexa Fluor® 488 (IgG H+L) (ab150077) at 1/2000 dilution for 30 min at 22°C. Isotype control antibody (black line) was rabbit IgG (monoclonal) (1μg/1x106 cells) used under the same conditions. Unlabelled sample (blue line) was also used as a control. Acquisition of >5000 events were collected using a 20mW Argon ion laser (488nm) and 525/30 bandpass filter.

Western blot - Anti-HtrA2 / Omi antibody [EPR22] (AB75982)
  • WB

Unknown

Western blot - Anti-HtrA2 / Omi antibody [EPR22] (AB75982)

Secondary antibody - goat anti-rabbit HRP (ab6721)

All lanes:

Western blot - Anti-HtrA2 / Omi antibody [EPR22] (ab75982) at 1/5000 dilution

Lane 1:

Jurkat cell lysate at 10 µg

Lane 2:

293T cell lysate at 10 µg

Lane 3:

HeLa cell lysate at 10 µg

Secondary

All lanes:

HRP labelled goat anti-rabbit at 1/2000 dilution

Predicted band size: 49 kDa

Observed band size: 38 kDa,43 kDa

false

Western blot - Anti-HtrA2 / Omi antibody [EPR22] (AB75982)
  • WB

AbReview34035****

Western blot - Anti-HtrA2 / Omi antibody [EPR22] (AB75982)

Blocking buffer : 5% milk

Diluting buffer : 1% milk

High background signal after longer exposure.

All lanes:

Western blot - Anti-HtrA2 / Omi antibody [EPR22] (ab75982) at 1/1000 dilution

All lanes:

Human Isolated mitochondria from NB4 cell line at 30 µg

Secondary

All lanes:

Western blot - Goat Anti-Rabbit IgG H&L (HRP) (<a href='/en-us/products/secondary-antibodies/goat-rabbit-igg-h-l-hrp-ab97051'>ab97051</a>) at 1/10000 dilution

Predicted band size: 49 kDa

Observed band size: 37 kDa

true

Exposure time: 30s

This image is courtesy of an abreview submitted by Christian Marx

  • Carrier free

    Anti-HtrA2 / Omi antibody [EPR22] - BSA and Azide free

Key facts

Host species

Rabbit

Clonality

Monoclonal

Clone number

EPR22

Isotype

IgG

Carrier free

No

Reacts with

Human

Applications

WB, IHC-P, Flow Cyt (Intra)

applications

Immunogen

The exact immunogen used to generate this antibody is proprietary information.

Reactivity data

{ "title": "Reactivity Data", "filters": { "stats": ["", "Species", "Dilution Info", "Notes"], "tabs": { "all-applications": {"fullname" : "All Applications", "shortname": "All Applications"}, "IHCP" : {"fullname" : "Immunohistochemistry (Formalin/PFA-fixed paraffin-embedded sections)", "shortname":"IHC-P"}, "WB" : {"fullname" : "Western blot", "shortname":"WB"}, "FlowCytIntra" : {"fullname" : "Flow Cytometry (Intracellular)", "shortname":"Flow Cyt (Intra)"} }, "product-promise": { "all": "all", "testedAndGuaranteed": "tested", "guaranteed": "expected", "predicted": "predicted", "notRecommended": "not-recommended" } }, "values": { "Human": { "IHCP-species-checked": "testedAndGuaranteed", "IHCP-species-dilution-info": "1/100 - 1/250", "IHCP-species-notes": "<p></p>", "WB-species-checked": "testedAndGuaranteed", "WB-species-dilution-info": "1/500 - 1/5000", "WB-species-notes": "<p></p>", "FlowCytIntra-species-checked": "testedAndGuaranteed", "FlowCytIntra-species-dilution-info": "1/70", "FlowCytIntra-species-notes": "<p><a href='/en-us/products/primary-antibodies/rabbit-igg-monoclonal-epr25a-isotype-control-ab172730'>ab172730</a> - Rabbit monoclonal IgG, is suitable for use as an isotype control with this antibody.</p>" }, "Mouse": { "IHCP-species-checked": "predicted", "IHCP-species-dilution-info": "", "IHCP-species-notes": "", "WB-species-checked": "predicted", "WB-species-dilution-info": "", "WB-species-notes": "", "FlowCytIntra-species-checked": "predicted", "FlowCytIntra-species-dilution-info": "", "FlowCytIntra-species-notes": "" }, "Rat": { "IHCP-species-checked": "predicted", "IHCP-species-dilution-info": "", "IHCP-species-notes": "", "WB-species-checked": "predicted", "WB-species-dilution-info": "", "WB-species-notes": "", "FlowCytIntra-species-checked": "predicted", "FlowCytIntra-species-dilution-info": "", "FlowCytIntra-species-notes": "" } } }

Product details

Patented technology
Our RabMAb® technology is a patented hybridoma-based technology for making rabbit monoclonal antibodies. For details on our patents, please refer to RabMAb® patents.

What are the advantages of a recombinant monoclonal antibody?
This product is a recombinant monoclonal antibody, which offers several advantages including:

  • - High batch-to-batch consistency and reproducibility
  • - Improved sensitivity and specificity
  • - Long-term security of supply
  • - Animal-free batch production

For more information, read more on recombinant antibodies.

Properties and storage information

Form
Liquid
Purification technique
Affinity purification Protein A
Storage buffer
pH: 7.2 - 7.4 Preservative: 0.05% Sodium azide Constituents: 50% Tissue culture supernatant, 40% Glycerol (glycerin, glycerine), 9.85% Tris glycine, 0.1% BSA
Shipped at conditions
Blue Ice
Appropriate short-term storage conditions
+4°C
Appropriate long-term storage conditions
-20°C
Aliquoting information
Upon delivery aliquot
Storage information
Avoid freeze / thaw cycle

Supplementary information

This supplementary information is collated from multiple sources and compiled automatically.

HtrA2 also known as Omi or the Omi protein is a serine protease with a molecular mass of approximately 50 kDa. It is a mitochondrial protein and commonly found in the cytosol following cellular stress. HtrA2/Omi mediates its function through its protease and pro-apoptotic activities. It is involved in the degradation of damaged proteins and exerts an important role in maintaining protein quality control within mitochondria. Researchers often study HtrA2/Omi for its function in apoptosis and Parkinson's disease-related pathways.
Biological function summary

The degradation and signaling processes of HtrA2/Omi protect against proteotoxic stress. It operates within the mitochondria and under stress conditions relocates to the cytosol where it can influence apoptosis. HtrA2/Omi can interact with inhibitors of apoptosis proteins (IAPs) and by doing this promotes apoptosis when necessary. This regulation of cell death links HtrA2/Omi to the cellular quality control mechanisms directly impacting cell survival and health.

Pathways

HtrA2/Omi integrates into the mitochondrial apoptosis pathway and is important in Parkinson's disease pathways. Through its interactions with apoptosis regulators like XIAP HtrA2/Omi facilitates the removal of unwanted cells. Additionally it participates in signaling pathways involving caspases and other pro-apoptotic factors. Its activity ensures proper communication and response within these pathways to maintain cellular balance and respond to stressors or damage.

HtrA2/Omi links to neurodegenerative conditions such as Parkinson's disease and Huntington's disease. Mutations or alterations in expression levels can contribute to these conditions by disrupting normal apoptotic signaling. Other proteins like PINK1 and Parkin are closely related to HtrA2/Omi in the context of Parkinson's disease where they collectively regulate mitochondrial function and health. In such disorders the malfunction of HtrA2/Omi or its interactions leads to impaired cell survival and increased susceptibility to neuronal damage.

Product protocols

For this product, it's our understanding that no specific protocols are required. You can visit:

Target data

Isoform 1. Serine protease that shows proteolytic activity against a non-specific substrate beta-casein (PubMed : 10873535). Promotes apoptosis by either relieving the inhibition of BIRC proteins on caspases, leading to an increase in caspase activity; or by a BIRC inhibition-independent, caspase-independent and serine protease activity-dependent mechanism (PubMed : 15200957). Cleaves BIRC6 and relieves its inhibition on CASP3, CASP7 and CASP9, but it is also prone to inhibition by BIRC6 (PubMed : 36758104, PubMed : 36758105). Cleaves THAP5 and promotes its degradation during apoptosis (PubMed : 19502560).. Isoform 2. Seems to be proteolytically inactive.
See full target information HTRA2

Publications (10)

Recent publications for all applications. Explore the full list and refine your search

Cellular and molecular life sciences : CMLS 80:258 PubMed37594630

2023

Protease-independent control of parthanatos by HtrA2/Omi.

Applications

Unspecified application

Species

Unspecified reactive species

Jonas Weiß,Michelle Heib,Thiemo Korn,Justus Hoyer,Johaiber Fuchslocher Chico,Susann Voigt,Tomas Koudelka,Andreas Tholey,Dieter Adam

Cancer medicine 12:8306-8318 PubMed36515089

2022

Apoptin causes apoptosis in HepG-2 cells via Ca imbalance and activation of the mitochondrial apoptotic pathway.

Applications

Unspecified application

Species

Unspecified reactive species

Xiaoyang Yu,Tongxing Wang,Yue Li,Yiquan Li,Bing Bai,Jinbo Fang,Jicheng Han,Shanzhi Li,Zhiru Xiu,Zirui Liu,Xia Yang,Yaru Li,Guangze Zhu,Ningyi Jin,Chao Shang,Xiao Li,Yilong Zhu

Frontiers in cellular neuroscience 13:568 PubMed31969805

2020

Activation of Mitochondrial Unfolded Protein Response in SHSY5Y Expressing APP Cells and APP/PS1 Mice.

Applications

Unspecified application

Species

Unspecified reactive species

Yang Shen,Mao Ding,Zhaohong Xie,Xiangtian Liu,Hui Yang,Suqin Jin,Shunliang Xu,Zhengyu Zhu,Yun Wang,Dewei Wang,Linlin Xu,Xiaoyan Zhou,Ping Wang,Jianzhong Bi

Cell death & disease 10:344 PubMed31019191

2019

Inhibition of HtrA2 alleviated dextran sulfate sodium (DSS)-induced colitis by preventing necroptosis of intestinal epithelial cells.

Applications

Unspecified application

Species

Unspecified reactive species

Chong Zhang,Andong He,Shuai Liu,Qiaoling He,Yiqin Luo,Zhilan He,Yujiao Chen,Ailin Tao,Jie Yan

Biomedicine & pharmacotherapy = Biomedecine & phar 113:108754 PubMed30875659

2019

Yap-Hippo promotes A549 lung cancer cell death via modulating MIEF1-related mitochondrial stress and activating JNK pathway.

Applications

Unspecified application

Species

Unspecified reactive species

Jiayu Zhou,Shizhen Zhang,Zhijun Li,Zhoumiao Chen,Yong Xu,Weiwen Ye,Zhengfu He

Oncology letters 14:3862-3868 PubMed28927158

2017

Regulation of HtrA2 on WT1 gene expression under imatinib stimulation and its effects on the cell biology of K562 cells.

Applications

Unspecified application

Species

Unspecified reactive species

Lixia Zhang,Yan Li,Xiaoyan Li,Qing Zhang,Shaowei Qiu,Qi Zhang,Min Wang,Haiyan Xing,Qing Rao,Zheng Tian,Kejing Tang,Jianxiang Wang,Yingchang Mi

Cellular physiology and biochemistry : internation 41:451-465 PubMed28214890

2017

A New Perspective for Osteosarcoma Therapy: Proteasome Inhibition by MLN9708/2238 Successfully Induces Apoptosis and Cell Cycle Arrest and Attenuates the Invasion Ability of Osteosarcoma Cells in Vitro.

Applications

Unspecified application

Species

Unspecified reactive species

Renhao Liu,Chunjiang Fu,Jiabing Sun,Xvming Wang,Shuo Geng,Xiaoyu Wang,Jilong Zou,Zhenggang Bi,Chenglin Yang

Nature communications 6:8725 PubMed26555894

2015

miR-17-92 fine-tunes MYC expression and function to ensure optimal B cell lymphoma growth.

Applications

WB

Species

Mouse

Marija Mihailovich,Michael Bremang,Valeria Spadotto,Daniele Musiani,Elena Vitale,Gabriele Varano,Federico Zambelli,Francesco M Mancuso,David A Cairns,Giulio Pavesi,Stefano Casola,Tiziana Bonaldi

British journal of cancer 112:739-44 PubMed25628093

2015

High-temperature-required protein A2 as a predictive marker for response to chemotherapy and prognosis in patients with high-grade serous ovarian cancers.

Applications

IHC-P

Species

Human

M Miyamoto,M Takano,K Iwaya,N Shinomiya,T Goto,M Kato,A Suzuki,T Aoyama,J Hirata,I Nagaoka,H Tsuda,K Furuya

Neurochemical research 35:2199-207 PubMed21132459

2010

Translocation of the serine protease Omi/HtrA2 from mitochondria into the cytosol upon seizure-induced hippocampal injury in the neonatal rat brain.

Applications

IHC-P

Species

Rat

A Rami,M Kim,J Niquet
View all publications

Product promise

We are committed to supporting your work with high-quality reagents, and we're here for you every step of the way. In the unlikely event that one of our products does not perform as expected, you're protected by our Product Promise.
For full details, please see our Terms & Conditions

Please note: All products are 'FOR RESEARCH USE ONLY. NOT FOR USE IN DIAGNOSTIC OR THERAPEUTIC PROCEDURES'.

For licensing inquiries, please contact partnerships@abcam.com