JavaScript is disabled in your browser. Please enable JavaScript to view this website.
AB302515

Anti-HuD antibody [EPR26472-54] (BSA and Azide free)

Be the first to review this product! Submit a review

|

(0 Publication)

Rabbit Recombinant Monoclonal HuD antibody. Carrier free. Suitable for IP, Flow Cyt (Intra), ICC/IF, IHC-P, WB and reacts with Human samples.

View Alternative Names

HUD, PNEM, ELAVL4, ELAV-like protein 4, Hu-antigen D, Paraneoplastic encephalomyelitis antigen HuD, HuD

9 Images
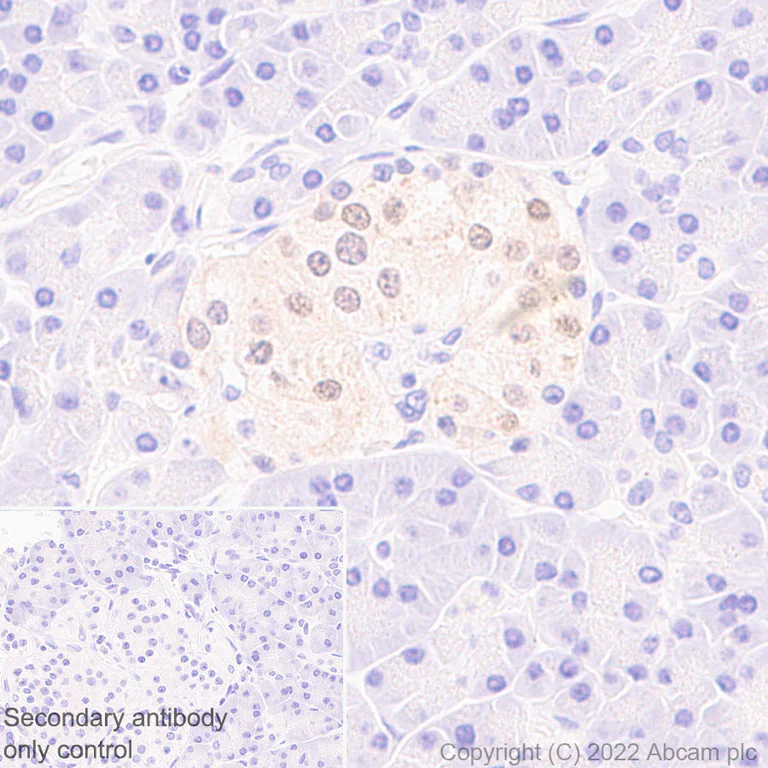
Immunohistochemistry (Formalin/PFA-fixed paraffin-embedded sections) - Anti-HuD antibody [EPR26472-54] (BSA and Azide free) (AB302515)
  • IHC-P

Supplier Data

Immunohistochemistry (Formalin/PFA-fixed paraffin-embedded sections) - Anti-HuD antibody [EPR26472-54] (BSA and Azide free) (AB302515)

This data was developed using ab302514, the same antibody clone in a different buffer formulation. Immunohistochemical analysis of paraffin-embedded Human pancreas tissue labeling HuD with ab302514 at 1/500 (1.054 ug/ml) followed by a ready to use LeicaDS9800 (Bond™ Polymer Refine Detection) was used. Positive staining on islet in human pancreas at a low level (PMID : 22387028). The section was incubated with ab302514 for 30 mins at room temperature.The immunostaining was performed on a Leica Biosystems BOND® RX instrument Counterstained with Hematoxylin. Secondary antibody only control : Secondary antibody is a ready to use LeicaDS9800 (Bond™ Polymer Refine Detection) was used. Heat mediated antigen retrieval with Tris-EDTA buffer (pH 9.0, epitope retrieval solution2) for 20 mins

Immunohistochemistry (Formalin/PFA-fixed paraffin-embedded sections) - Anti-HuD antibody [EPR26472-54] (BSA and Azide free) (AB302515)
  • IHC-P

Supplier Data

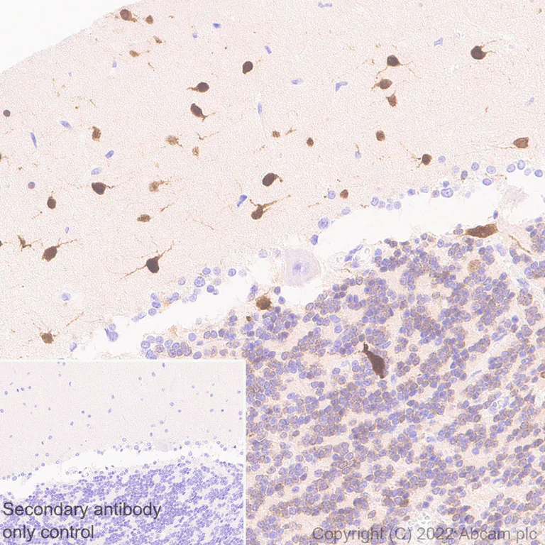
Immunohistochemistry (Formalin/PFA-fixed paraffin-embedded sections) - Anti-HuD antibody [EPR26472-54] (BSA and Azide free) (AB302515)

This data was developed using ab302514, the same antibody clone in a different buffer formulation. Immunohistochemical analysis of paraffin-embedded Human cerebellum tissue labeling HuD with ab302514 at 1/500 (1.054 ug/ml) followed by a ready to use LeicaDS9800 (Bond™ Polymer Refine Detection) was used. Positive staining on human cerebellum. The section was incubated with ab302514 for 30 mins at room temperature.The immunostaining was performed on a Leica Biosystems BOND® RX instrument Counterstained with Hematoxylin. Secondary antibody only control : Secondary antibody is a ready to use LeicaDS9800 (Bond™ Polymer Refine Detection) was used. Heat mediated antigen retrieval with Tris-EDTA buffer (pH 9.0, epitope retrieval solution2) for 20 mins

Immunohistochemistry (Formalin/PFA-fixed paraffin-embedded sections) - Anti-HuD antibody [EPR26472-54] (BSA and Azide free) (AB302515)
  • IHC-P

Supplier Data

Immunohistochemistry (Formalin/PFA-fixed paraffin-embedded sections) - Anti-HuD antibody [EPR26472-54] (BSA and Azide free) (AB302515)

This data was developed using ab302514, the same antibody clone in a different buffer formulation. Immunohistochemical analysis of paraffin-embedded Human cerebrum tissue labeling HuD with ab302514 at 1/500 (1.054 ug/ml) followed by a ready to use LeicaDS9800 (Bond™ Polymer Refine Detection) was used. Positive staining on human cerebrum (PMID : 20584986). The section was incubated with ab302514 for 30 mins at room temperature.The immunostaining was performed on a Leica Biosystems BOND® RX instrument Counterstained with Hematoxylin. Secondary antibody only control : Secondary antibody is a ready to use LeicaDS9800 (Bond™ Polymer Refine Detection) was used. Heat mediated antigen retrieval with Tris-EDTA buffer (pH 9.0, epitope retrieval solution2) for 20 mins

Immunohistochemistry (Formalin/PFA-fixed paraffin-embedded sections) - Anti-HuD antibody [EPR26472-54] (BSA and Azide free) (AB302515)
  • IHC-P

Supplier Data

Immunohistochemistry (Formalin/PFA-fixed paraffin-embedded sections) - Anti-HuD antibody [EPR26472-54] (BSA and Azide free) (AB302515)

This data was developed using ab302514, the same antibody clone in a different buffer formulation. Immunohistochemical analysis of paraffin-embedded Panel A. HEK-293T ce tissue labeling HuD with ab302514 at 1/5000 (0.105 ug/ml) followed by a ready to use LeicaDS9800 (Bond™ Polymer Refine Detection) was used. Positive staining on HEK-293T cells transfected with a human HuD expression vector (Panel A); No staining on HEK-293T cells transfected with a human HuC expression vector (Panel B); No staining on HEK-293T cells transfected with a human HuB expression vector (Panel C); No staining on HEK-293T cells transfected with an empty vector (Panel D).The section was incubated with ab302514 for 30 mins at room temperature.The immunostaining was performed on a Leica Biosystems BOND® RX instrument Counterstained with Hematoxylin. Secondary antibody only control : Secondary antibody is a ready to use LeicaDS9800 (Bond™ Polymer Refine Detection) was used. Heat mediated antigen retrieval with Tris-EDTA buffer (pH 9.0, epitope retrieval solution2) for 20 mins

Immunohistochemistry (Formalin/PFA-fixed paraffin-embedded sections) - Anti-HuD antibody [EPR26472-54] (BSA and Azide free) (AB302515)
  • IHC-P

Supplier Data

Immunohistochemistry (Formalin/PFA-fixed paraffin-embedded sections) - Anti-HuD antibody [EPR26472-54] (BSA and Azide free) (AB302515)

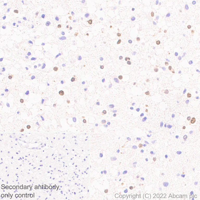
This data was developed using ab302514, the same antibody clone in a different buffer formulation. Immunohistochemical analysis of paraffin-embedded Human glioma tissue labeling HuD with ab302514 at 1/500 (1.054 ug/ml) followed by a ready to use LeicaDS9800 (Bond™ Polymer Refine Detection) was used. Positive staining on human glioma. The section was incubated with ab302514 for 30 mins at room temperature.The immunostaining was performed on a Leica Biosystems BOND® RX instrument Counterstained with Hematoxylin. Secondary antibody only control : Secondary antibody is a ready to use LeicaDS9800 (Bond™ Polymer Refine Detection) was used. Heat mediated antigen retrieval with Tris-EDTA buffer (pH 9.0, epitope retrieval solution2) for 20 mins

Immunocytochemistry/ Immunofluorescence - Anti-HuD antibody [EPR26472-54] (BSA and Azide free) (AB302515)
  • ICC/IF

Supplier Data

Immunocytochemistry/ Immunofluorescence - Anti-HuD antibody [EPR26472-54] (BSA and Azide free) (AB302515)

This data was developed using ab302514, the same antibody clone in a different buffer formulation. Immunofluorescent analysis of 4% Paraformaldehyde-fixed, 0.1% TritonX-100 permeabilized SH-SY5Y (human neuroblastoma epithelial cell) cells labelling HuD with ab302514 at 1/500 (1.054 ug/ml) dilution, followed by ab150081 Goat Anti-Rabbit IgG H&L (Alexa Fluor® 488) preadsorbed antibody at 1/1000 2ug/mL dilution (Green). Confocal image showing cytoplasmic and nuclear staining in SH-SY5Y cell line.Negative control : K-562 (PMID : 25523825) is observed. ab195889 Anti-alpha Tubulin mouse monoclonal antibody - Microtubule Marker (Alexa Fluor® 594) was used to counterstain tubulin at 1/200 2.5ug/ml dilution (Red). The Nuclear counterstain was DAPI (Blue). Secondary antibody only control : Secondary antibody is ab150081 Goat Anti-Rabbit IgG H&L (Alexa Fluor® 488) preadsorbed at 1/1000 2ug/mL dilution.

Flow Cytometry (Intracellular) - Anti-HuD antibody [EPR26472-54] (BSA and Azide free) (AB302515)
  • Flow Cyt (Intra)

Supplier Data

Flow Cytometry (Intracellular) - Anti-HuD antibody [EPR26472-54] (BSA and Azide free) (AB302515)

This data was developed using ab302514, the same antibody clone in a different buffer formulation. Flow cytometric analysis of 4% paraformaldehyde fixed 90% methanol permeabilized K562 (human chronic myelogenous leukemia lymphoblast, Left) / SH-SY5Y (human neuroblastoma epithelial cell, Right) cells labelling HuD with ab302514 at 1/500 dilution (0.1ug) (Red) (Red) compared with a Rabbit monoclonal IgG (ab172730) (Black) isotype control and an unlabelled control (cells without incubation with primary antibody and secondary antibody) (Blue). A Goat Anti-Rabbit IgG (Alexa Fluor® 488, ab150081) at 1/2000 dilution was used as the secondary antibody. Negative control : K-562 (PMID : 25523825).

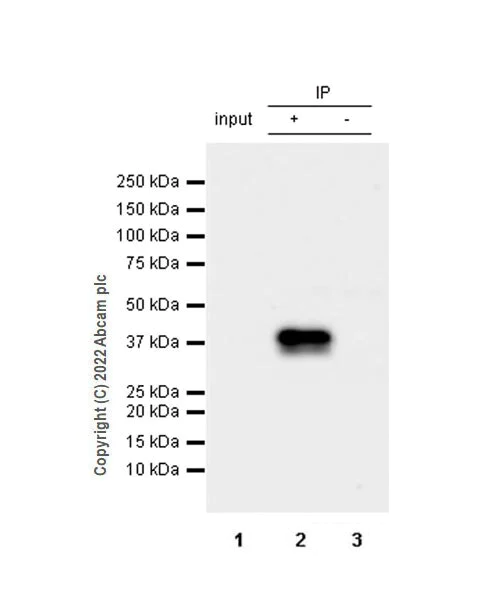
Immunoprecipitation - Anti-HuD antibody [EPR26472-54] (BSA and Azide free) (AB302515)
  • IP

Supplier Data

Immunoprecipitation - Anti-HuD antibody [EPR26472-54] (BSA and Azide free) (AB302515)

This data was developed using ab302514, the same antibody clone in a different buffer formulation.

HuD was immunoprecipitated from 0.35 mg SH-SY5Y (human neuroblastoma epithelial cell), whole cell lysate 10 μg with ab302514 at 1/30 dilution (2μg in 0.35mg lysates). Western blot was performed on the immunoprecipitate using ab302514 at 1/1000 dilution. VeriBlot for IP secondary antibody(HRP)(ab131366) was used at 1/5000 dilution.

Lane 1 : SH-SY5Y (human neuroblastoma epithelial cell), whole cell lysate 10 μg (Inset)

Lane 2 : ab302514 IP in SH-SY5Y whole cell lysate

Lane 3 : Rabbit monoclonal IgG (ab172730) instead of ab302514 in SH-SY5Y whole cell lysate

Blocking and dilution buffer and concentration : 5% NFDM/TBST.

All lanes:

Immunoprecipitation - Anti-HuD antibody [EPR26472-54] (<a href='/en-us/products/primary-antibodies/hud-antibody-epr26472-54-ab302514'>ab302514</a>)

All lanes:

SH-SY5Y (human neuroblastoma epithelial cell), whole cell lysate

Secondary

All lanes:

Immunoprecipitation - VeriBlot for IP Detection Reagent (HRP) (<a href='/en-us/products/reagents/veriblot-for-ip-detection-reagent-hrp-ab131366'>ab131366</a>) at 1/5000 dilution

Predicted band size: 42 kDa

false

Exposure time: 15s

Western blot - Anti-HuD antibody [EPR26472-54] (BSA and Azide free) (AB302515)
  • WB

Supplier Data

Western blot - Anti-HuD antibody [EPR26472-54] (BSA and Azide free) (AB302515)

This data was developed using ab302514, the same antibody clone in a different buffer formulation. Blocking and diluting buffer and concentration : 5% NFDM/TBST Negative control : K-562 (PMID : 25523825).

All lanes:

Western blot - Anti-HuD antibody [EPR26472-54] (<a href='/en-us/products/primary-antibodies/hud-antibody-epr26472-54-ab302514'>ab302514</a>) at 1/1000 dilution

Lane 1:

SH-SY5Y (human neuroblastoma epithelial cell), whole cell lysate 20 µg

Lane 2:

K-562 (human chronic myelogenous leukemia lymphoblast), whole cell lysate 20 µg

Secondary

All lanes:

Western blot - Goat Anti-Rabbit IgG H&L (HRP) (<a href='/en-us/products/secondary-antibodies/goat-rabbit-igg-h-l-hrp-ab97051'>ab97051</a>) at 1/100000 dilution

Observed band size: 40 kDa

false

Exposure time: 3min

Key facts

Host species

Rabbit

Clonality

Monoclonal

Clone number

EPR26472-54

Isotype

IgG

Carrier free

Yes

Reacts with

Human

Applications

WB, IHC-P, Flow Cyt (Intra), IP, ICC/IF

applications

Immunogen

The exact immunogen used to generate this antibody is proprietary information.

Reactivity data

{ "title": "Reactivity Data", "filters": { "stats": ["", "Species", "Dilution Info", "Notes"], "tabs": { "all-applications": {"fullname" : "All Applications", "shortname": "All Applications"}, "IP" : {"fullname" : "Immunoprecipitation", "shortname":"IP"}, "FlowCytIntra" : {"fullname" : "Flow Cytometry (Intracellular)", "shortname":"Flow Cyt (Intra)"}, "ICCIF" : {"fullname" : "Immunocytochemistry/ Immunofluorescence", "shortname":"ICC/IF"}, "IHCP" : {"fullname" : "Immunohistochemistry (Formalin/PFA-fixed paraffin-embedded sections)", "shortname":"IHC-P"}, "WB" : {"fullname" : "Western blot", "shortname":"WB"} }, "product-promise": { "all": "all", "testedAndGuaranteed": "tested", "guaranteed": "expected", "predicted": "predicted", "notRecommended": "not-recommended" } }, "values": { "Human": { "IP-species-checked": "testedAndGuaranteed", "IP-species-dilution-info": "", "IP-species-notes": "<p></p>", "FlowCytIntra-species-checked": "testedAndGuaranteed", "FlowCytIntra-species-dilution-info": "", "FlowCytIntra-species-notes": "<p></p>", "ICCIF-species-checked": "testedAndGuaranteed", "ICCIF-species-dilution-info": "", "ICCIF-species-notes": "<p></p>", "IHCP-species-checked": "testedAndGuaranteed", "IHCP-species-dilution-info": "", "IHCP-species-notes": "<p></p>", "WB-species-checked": "testedAndGuaranteed", "WB-species-dilution-info": "", "WB-species-notes": "<p></p>" }, "Mouse": { "IP-species-checked": "notRecommended", "IP-species-dilution-info": "", "IP-species-notes": "<p></p>", "FlowCytIntra-species-checked": "notRecommended", "FlowCytIntra-species-dilution-info": "", "FlowCytIntra-species-notes": "<p></p>", "ICCIF-species-checked": "notRecommended", "ICCIF-species-dilution-info": "", "ICCIF-species-notes": "<p></p>", "IHCP-species-checked": "notRecommended", "IHCP-species-dilution-info": "", "IHCP-species-notes": "<p></p>", "WB-species-checked": "notRecommended", "WB-species-dilution-info": "", "WB-species-notes": "<p></p>" }, "Rat": { "IP-species-checked": "notRecommended", "IP-species-dilution-info": "", "IP-species-notes": "", "FlowCytIntra-species-checked": "notRecommended", "FlowCytIntra-species-dilution-info": "", "FlowCytIntra-species-notes": "", "ICCIF-species-checked": "notRecommended", "ICCIF-species-dilution-info": "", "ICCIF-species-notes": "", "IHCP-species-checked": "notRecommended", "IHCP-species-dilution-info": "", "IHCP-species-notes": "<p></p>", "WB-species-checked": "notRecommended", "WB-species-dilution-info": "", "WB-species-notes": "<p></p>" } } }

Product details

Want a custom formulation?
This antibody clone is manufactured by Abcam. If you require a custom buffer formulation or conjugation for your experiments, please contact orders@abcam.com

Patented technology
Our RabMAb® technology is a patented hybridoma-based technology for making rabbit monoclonal antibodies. For details on our patents, please refer to RabMAb® patents.

What are the advantages of a recombinant monoclonal antibody?
This product is a recombinant monoclonal antibody, which offers several advantages including:

  • - High batch-to-batch consistency and reproducibility
  • - Improved sensitivity and specificity
  • - Long-term security of supply
  • - Animal-free batch production

For more information, read more on recombinant antibodies.

Conjugation ready
Our carrier-free antibodies are typically supplied in a PBS-only formulation, purified and free of BSA, sodium azide and glycerol. This conjugation-ready format is designed for use with fluorochromes, metal isotopes, oligonucleotides, and enzymes, which makes them ideal for antibody labelling, functional and cell-based assays, flow-based assays (e.g. mass cytometry) and Multiplex Imaging applications.

Use our conjugation kits for antibody conjugates that are ready-to-use in as little as 20 minutes with 1 minute hands-on-time and 100% antibody recovery: available for fluorescent dyes, HRP, biotin and gold.

Compatibility
This product is compatible with the Maxpar® Antibody Labeling Kit from Fluidigm, without the need for antibody preparation. Maxpar® is a trademark of Fluidigm Canada Inc.

Properties and storage information

Form
Liquid
Purification technique
Affinity purification Protein A
Storage buffer
pH: 7.2 - 7.4 Constituents: PBS
Shipped at conditions
Blue Ice
Appropriate short-term storage duration
1-2 weeks
Appropriate short-term storage conditions
+4°C
Appropriate long-term storage conditions
+4°C
Aliquoting information
Upon delivery aliquot
Storage information
Avoid freeze / thaw cycle

Supplementary information

This supplementary information is collated from multiple sources and compiled automatically.

The HuD protein also known as ELAV-like protein 4 is a neuronal RNA-binding protein with a molecular mass of approximately 40 kDa. It belongs to the ELAV family of proteins which is well-studied for its involvement in mRNA processing. HuD expresses predominantly in the nervous system where it is present in neurons and developing neural tissue. The protein localizes to the cytoplasm where it binds to mRNA influencing the stability and translation of target mRNAs.
Biological function summary

HuD is essential in regulating neuronal differentiation and function. The protein binds to adenylate-uridylate-rich elements (AREs) within the 3' untranslated regions (UTR) of specific mRNAs. It stabilizes these mRNAs contributing to the post-transcriptional regulation of genes linked to synaptic plasticity and neuronal development. HuD does not typically form part of a larger complex but interacts with other RNA-binding proteins to exert its regulatory effects.

Pathways

HuD plays a significant role in neuronal development and synaptic plasticity. It involves in pathways like the MAPK signaling pathway which is critical for cell differentiation and the mTOR pathway which modulates protein synthesis. In these pathways HuD interacts with proteins such as CPEB and FMRP which also have functions related to RNA regulation and neuronal growth.

HuD's function impacts neurological conditions such as Alzheimer's disease and certain types of cancer. Changes in the expression or activity of HuD can influence the progression of Alzheimer's disease by affecting mRNA stability of genes associated with neural health. Additionally abnormal HuD expression links to neuroblastoma a cancer showing high HuD levels promoting uncontrolled cell growth. In these diseases HuD interacts with tau protein and MYCN respectively contributing to disease mechanisms.

Product protocols

For this product, it's our understanding that no specific protocols are required. You can visit:

Target data

RNA-binding protein that is involved in the post-transcriptional regulation of mRNAs (PubMed : 10710437, PubMed : 12034726, PubMed : 12468554, PubMed : 17035636, PubMed : 17234598, PubMed : 7898713). Plays a role in the regulation of mRNA stability, alternative splicing and translation (PubMed : 10710437, PubMed : 12034726, PubMed : 12468554, PubMed : 17035636, PubMed : 17234598, PubMed : 7898713). Binds to AU-rich element (ARE) sequences in the 3' untranslated region (UTR) of target mRNAs, including GAP43, VEGF, FOS, CDKN1A and ACHE mRNA (PubMed : 10710437, PubMed : 12034726, PubMed : 12468554, PubMed : 7898713). Many of the target mRNAs are coding for RNA-binding proteins, transcription factors and proteins involved in RNA processing and/or neuronal development and function (By similarity). By binding to the mRNA 3'UTR, decreases mRNA deadenylation and thereby contributes to the stabilization of mRNA molecules and their protection from decay (PubMed : 12034726). Also binds to the polyadenylated (poly(A)) tail in the 3'UTR of mRNA, thereby increasing its affinity for mRNA binding (PubMed : 12034726). Mainly plays a role in neuron-specific RNA processing by stabilization of mRNAs such as GAP43, ACHE and mRNAs of other neuronal proteins, thereby contributing to the differentiation of neural progenitor cells, nervous system development, learning and memory mechanisms (PubMed : 12034726, PubMed : 12468554, PubMed : 17234598, PubMed : 18218628). Involved in the negative regulation of the proliferative activity of neuronal stem cells and in the positive regulation of neuronal differentiation of neural progenitor cells (By similarity). Promotes neuronal differentiation of neural stem/progenitor cells in the adult subventricular zone of the hippocampus by binding to and stabilizing SATB1 mRNA (By similarity). Binds and stabilizes MSI1 mRNA in neural stem cells (By similarity). Exhibits increased binding to ACHE mRNA during neuronal differentiation, thereby stabilizing ACHE mRNA and enhancing its expression (PubMed : 12468554, PubMed : 17234598). Protects CDKN1A mRNA from decay by binding to its 3'-UTR (By similarity). May bind to APP and BACE1 mRNAS and the BACE1AS lncRNA and enhance their stabilization (PubMed : 24857657). Plays a role in neurite outgrowth and in the establishment and maturation of dendritic arbors, thereby contributing to neocortical and hippocampal circuitry function (By similarity). Stabilizes GAP43 mRNA and protects it from decay during postembryonic development in the brain (PubMed : 12034726). By promoting the stabilization of GAP43 mRNA, plays a role in NGF-mediated neurite outgrowth (By similarity). Binds to BDNF long 3'UTR mRNA, thereby leading to its stabilization and increased dendritic translation after activation of PKC (By similarity). By increasing translation of BDNF after nerve injury, may contribute to nerve regeneration (By similarity). Acts as a stabilizing factor by binding to the 3'UTR of NOVA1 mRNA, thereby increasing its translation and enhancing its functional activity in neuron-specific splicing (PubMed : 18218628). Stimulates translation of mRNA in a poly(A)- and cap-dependent manner, possibly by associating with the EIF4F cap-binding complex (By similarity). May also negatively regulate translation by binding to the 5'UTR of Ins2 mRNA, thereby repressing its translation (By similarity). Upon glucose stimulation, Ins2 mRNA is released from ELAVL4 and translational inhibition is abolished (By similarity). Also plays a role in the regulation of alternative splicing (PubMed : 17035636). May regulate alternative splicing of CALCA pre-mRNA into Calcitonin and Calcitonin gene-related peptide 1 (CGRP) by competing with splicing regulator TIAR for binding to U-rich intronic sequences of CALCA pre-mRNA (PubMed : 17035636).
See full target information ELAVL4

Product promise

We are committed to supporting your work with high-quality reagents, and we're here for you every step of the way. In the unlikely event that one of our products does not perform as expected, you're protected by our Product Promise.
For full details, please see our Terms & Conditions

Please note: All products are 'FOR RESEARCH USE ONLY. NOT FOR USE IN DIAGNOSTIC OR THERAPEUTIC PROCEDURES'.

For licensing inquiries, please contact partnerships@abcam.com