JavaScript is disabled in your browser. Please enable JavaScript to view this website.
AB324613

Anti-HuD antibody [EPR29580-516]

Be the first to review this product! Submit a review

|

(0 Publication)

Rabbit Recombinant Monoclonal antibody. Suitable for I-ELISA, ICC/IF, IHC-P, IHC-Fr, WB and reacts with Mouse, Rat samples.
19 Images
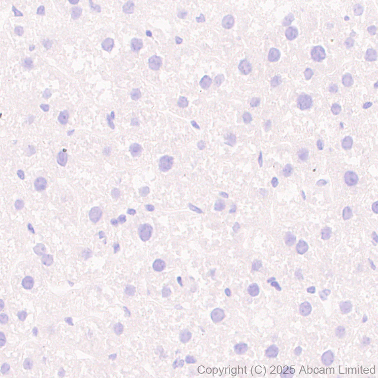
Immunohistochemistry (Formalin/PFA-fixed paraffin-embedded sections) - Anti-HuD antibody [EPR29580-516] (AB324613)
  • IHC-P

Supplier Data

Immunohistochemistry (Formalin/PFA-fixed paraffin-embedded sections) - Anti-HuD antibody [EPR29580-516] (AB324613)

Immunohistochemical analysis of paraffin-embedded Mouse liver tissue labeling HuD with ab324613 at 1/1000 (0.507 ug/ml) dilution, followed by a ready to use LeicaDS9800 (Bond™ Polymer Refine Detection).

Negative control : no staining on mouse liver. The primary antibody was incubated for 30 mins at room temperature.
The immunostaining was performed on a Leica Biosystems BOND® RX instrument

Counterstained with Hematoxylin.

Secondary antibody only control : Secondary antibody is a ready to use LeicaDS9800 (Bond™ Polymer Refine Detection).

Heat mediated antigen retrieval was performed with Tris-EDTA buffer (pH 9.0, Epitope Retrieval Solution2) for 20 mins

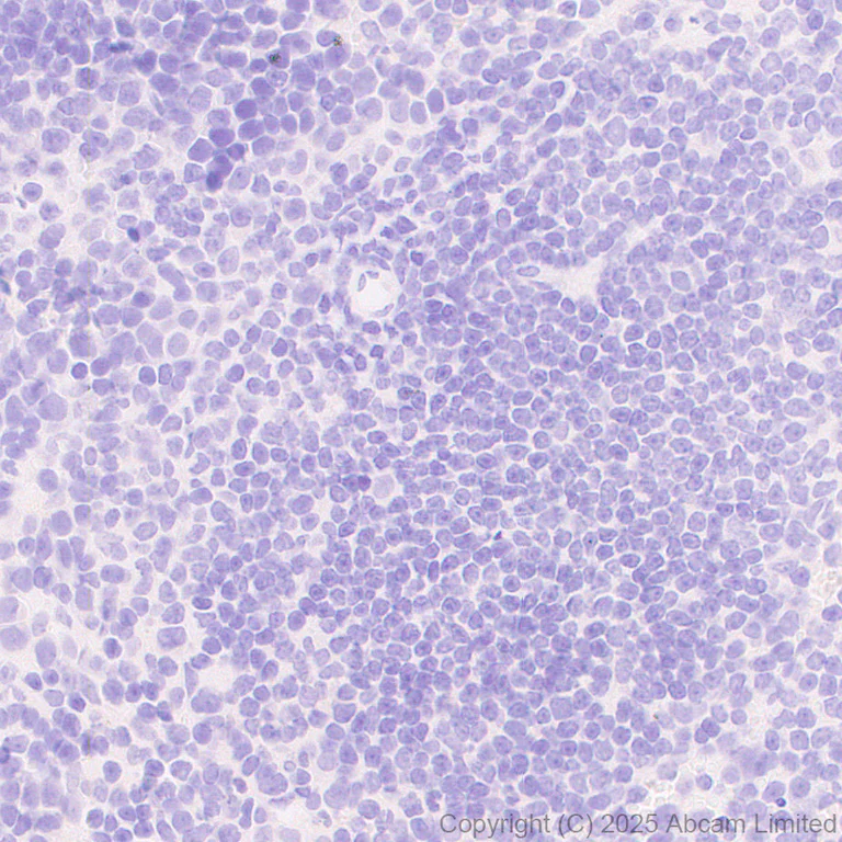
Immunohistochemistry (Formalin/PFA-fixed paraffin-embedded sections) - Anti-HuD antibody [EPR29580-516] (AB324613)
  • IHC-P

Supplier Data

Immunohistochemistry (Formalin/PFA-fixed paraffin-embedded sections) - Anti-HuD antibody [EPR29580-516] (AB324613)

Immunohistochemical analysis of paraffin-embedded Mouse spleen tissue labeling HuD with ab324613 at 1/1000 (0.507 ug/ml) dilution, followed by a ready to use LeicaDS9800 (Bond™ Polymer Refine Detection).

Negative control : no staining on mouse spleen. The primary antibody was incubated for 30 mins at room temperature.
The immunostaining was performed on a Leica Biosystems BOND® RX instrument

Counterstained with Hematoxylin.

Secondary antibody only control : Secondary antibody is a ready to use LeicaDS9800 (Bond™ Polymer Refine Detection).

Heat mediated antigen retrieval was performed with Tris-EDTA buffer (pH 9.0, Epitope Retrieval Solution2) for 20 mins

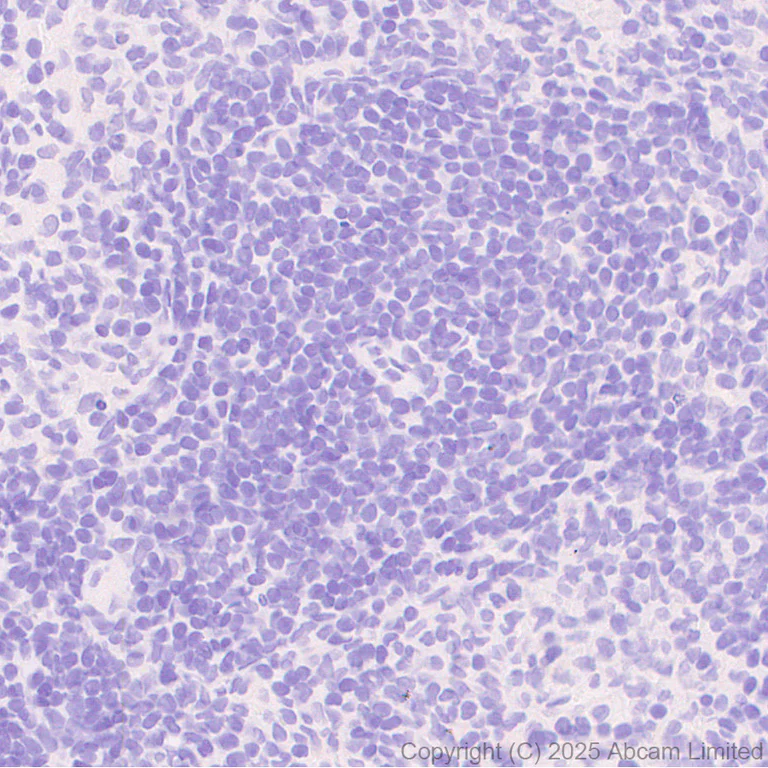
Immunohistochemistry (Formalin/PFA-fixed paraffin-embedded sections) - Anti-HuD antibody [EPR29580-516] (AB324613)
  • IHC-P

Supplier Data

Immunohistochemistry (Formalin/PFA-fixed paraffin-embedded sections) - Anti-HuD antibody [EPR29580-516] (AB324613)

Immunohistochemical analysis of paraffin-embedded Rat spleen tissue labeling HuD with ab324613 at 1/1000 (0.507 ug/ml) dilution, followed by a ready to use LeicaDS9800 (Bond™ Polymer Refine Detection).

Negative control : no staining on rat spleen. The primary antibody was incubated for 30 mins at room temperature.
The immunostaining was performed on a Leica Biosystems BOND® RX instrument

Counterstained with Hematoxylin.

Secondary antibody only control : Secondary antibody is a ready to use LeicaDS9800 (Bond™ Polymer Refine Detection).

Heat mediated antigen retrieval was performed with Tris-EDTA buffer (pH 9.0, Epitope Retrieval Solution2) for 20 mins

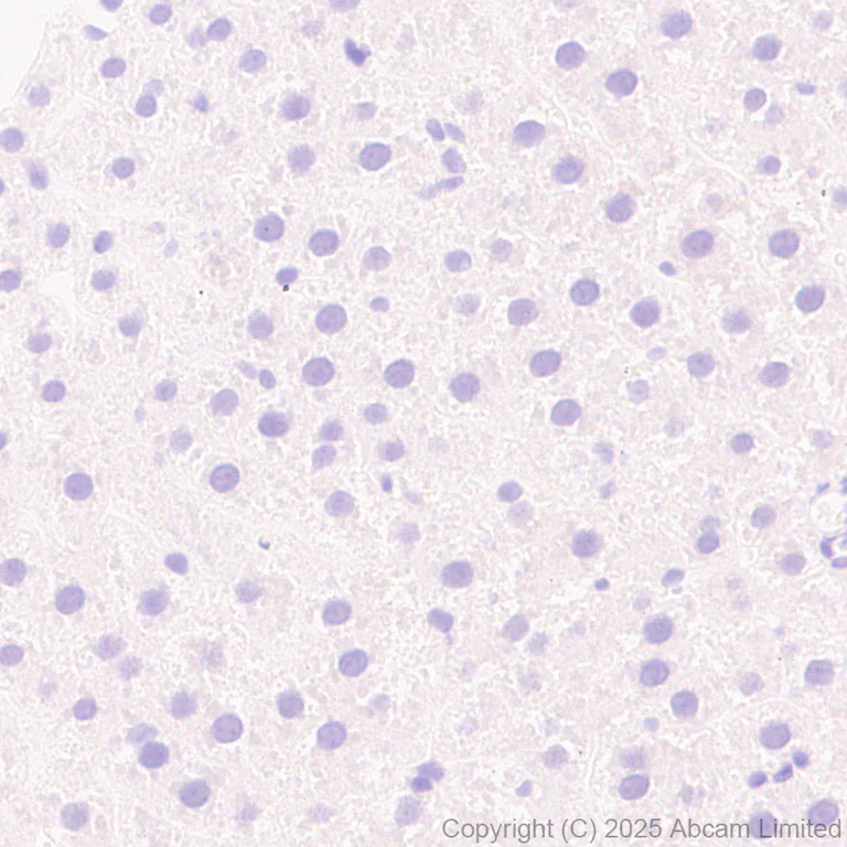
Immunohistochemistry (Formalin/PFA-fixed paraffin-embedded sections) - Anti-HuD antibody [EPR29580-516] (AB324613)
  • IHC-P

Supplier Data

Immunohistochemistry (Formalin/PFA-fixed paraffin-embedded sections) - Anti-HuD antibody [EPR29580-516] (AB324613)

Immunohistochemical analysis of paraffin-embedded Rat liver tissue labeling HuD with ab324613 at 1/1000 (0.507 ug/ml) dilution, followed by a ready to use LeicaDS9800 (Bond™ Polymer Refine Detection).

Negative control : no staining on rat liver. The primary antibody was incubated for 30 mins at room temperature.
The immunostaining was performed on a Leica Biosystems BOND® RX instrument

Counterstained with Hematoxylin.

Secondary antibody only control : Secondary antibody is a ready to use LeicaDS9800 (Bond™ Polymer Refine Detection).

Heat mediated antigen retrieval was performed with Tris-EDTA buffer (pH 9.0, Epitope Retrieval Solution2) for 20 mins

Immunohistochemistry (Frozen sections) - Anti-HuD antibody [EPR29580-516] (AB324613)
  • IHC-Fr

Supplier Data

Immunohistochemistry (Frozen sections) - Anti-HuD antibody [EPR29580-516] (AB324613)

Immunohistochemical analysis of 4% PFA-fixed, 0.2% Triton X-100 permeabilized frozen Mouse liver (fresh frozen) tissue labeling HuD with ab324613 at 1/50 (10.14 ug/ml) dilution followed by ab150081 Goat Anti-Rabbit IgG H&L (Alexa Fluor® 488) preadsorbed at 1/1000 (2 ug/mL) dilution (Green).

Negative control : confocal image showing no staining on mouse liver. The nuclear counterstain was DAPI (Blue). The section was incubated with ab324613 for 60 mins at room temperature. The section was then mounted using Fluoromount®.The immunostaining was performed on a Leica Biosystems BOND® RX instrument. Image was taken with a confocal microscope (Leica-Microsystems, TCS SP8).

Secondary antibody control : Secondary antibody is ab150081 Goat Anti-Rabbit IgG H&L (Alexa Fluor® 488) preadsorbed at 1/1000 (2 ug/mL) dilution.

Immunohistochemistry (Frozen sections) - Anti-HuD antibody [EPR29580-516] (AB324613)
  • IHC-Fr

Supplier Data

Immunohistochemistry (Frozen sections) - Anti-HuD antibody [EPR29580-516] (AB324613)

Immunohistochemical analysis of 4% PFA-fixed, 0.2% Triton X-100 permeabilized frozen Rat liver (fresh frozen) tissue labeling HuD with ab324613 at 1/50 (10.14 ug/ml) dilution followed by ab150081 Goat Anti-Rabbit IgG H&L (Alexa Fluor® 488) preadsorbed at 1/1000 (2 ug/mL) dilution (Green).

Negative control : confocal image showing no staining on rat liver. The nuclear counterstain was DAPI (Blue). The section was incubated with ab324613 for 60 mins at room temperature. The section was then mounted using Fluoromount®.The immunostaining was performed on a Leica Biosystems BOND® RX instrument. Image was taken with a confocal microscope (Leica-Microsystems, TCS SP8).

Secondary antibody control : Secondary antibody is ab150081 Goat Anti-Rabbit IgG H&L (Alexa Fluor® 488) preadsorbed at 1/1000 (2 ug/mL) dilution.

Immunocytochemistry/ Immunofluorescence - Anti-HuD antibody [EPR29580-516] (AB324613)
  • ICC/IF

Supplier Data

Immunocytochemistry/ Immunofluorescence - Anti-HuD antibody [EPR29580-516] (AB324613)

Immunofluorescent analysis of 4% Paraformaldehyde-fixed, 0.1% TritonX-100 permeabilized mouse splenocytes labelling HuD with ab324613 at 1/50 (10.14 ug/ml) dilution, followed by ab150081 Goat Anti-Rabbit IgG H&L (Alexa Fluor® 488) preadsorbed antibody at 1/1000 (2ug/ml) dilution (Green).

Negative control : confocal image showing no staining in mouse splenocytes (shown in green). The counterstain was observed in magenta. Nuclear DNA was labelled with DAPI (shown in blue).
Image was taken with a confocal microscope (Leica-Microsystems, TCS SP8).

Anti-mouse CD3 rat monoclonal antibody (Alexa Fluor® 647) was used to counterstain tubulin at 1/100 dilution (Magenta).

Secondary antibody only control : Secondary antibody is ab150081 Goat Anti-Rabbit IgG H&L (Alexa Fluor® 488) preadsorbed at 1/1000 (2ug/ml) dilution.

Immunocytochemistry/ Immunofluorescence - Anti-HuD antibody [EPR29580-516] (AB324613)
  • ICC/IF

Supplier Data

Immunocytochemistry/ Immunofluorescence - Anti-HuD antibody [EPR29580-516] (AB324613)

Immunofluorescent analysis of 4% Paraformaldehyde-fixed, 0.1% TritonX-100 permeabilized rat splenocytes labelling HuD with ab324613 at 1/50 (10.14 ug/ml) dilution, followed by ab150081 Goat Anti-Rabbit IgG H&L (Alexa Fluor® 488) preadsorbed antibody at 1/1000 (2ug/ml) dilution (Green).

Negative control : confocal image showing no staining in rat splenocytes (shown in green). The counterstain was observed in magenta. Nuclear DNA was labelled with DAPI (shown in blue).
Image was taken with a confocal microscope (Leica-Microsystems, TCS SP8).

Anti-rat CD3 mouse monoclonal antibody (Alexa Fluor® 647) was used to counterstain tubulin at 1/100 5ug/ml dilution (Magenta).

Secondary antibody only control : Secondary antibody is ab150081 Goat Anti-Rabbit IgG H&L (Alexa Fluor® 488) preadsorbed at 1/1000 (2ug/ml) dilution.

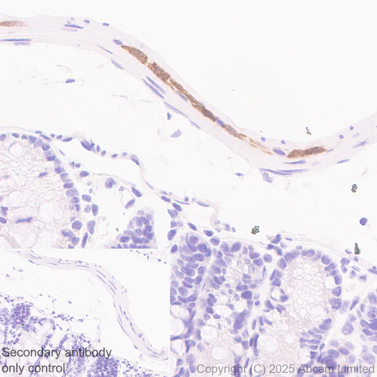
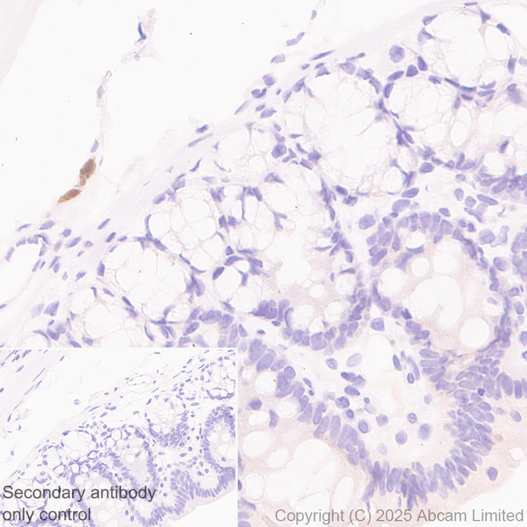
Immunohistochemistry (Formalin/PFA-fixed paraffin-embedded sections) - Anti-HuD antibody [EPR29580-516] (AB324613)
  • IHC-P

Supplier Data

Immunohistochemistry (Formalin/PFA-fixed paraffin-embedded sections) - Anti-HuD antibody [EPR29580-516] (AB324613)

Immunohistochemical analysis of paraffin-embedded Rat colon tissue labeling HuD with ab324613 at 1/1000 (0.507 ug/ml) dilution, followed by a ready to use LeicaDS9800 (Bond™ Polymer Refine Detection).

Positive staining on myenteric nerve plexus of rat colon. The primary antibody was incubated for 30 mins at room temperature.
The immunostaining was performed on a Leica Biosystems BOND® RX instrument

Counterstained with Hematoxylin.

Secondary antibody only control : Secondary antibody is a ready to use LeicaDS9800 (Bond™ Polymer Refine Detection).

Heat mediated antigen retrieval was performed with Tris-EDTA buffer (pH 9.0, Epitope Retrieval Solution2) for 20 mins

Immunohistochemistry (Formalin/PFA-fixed paraffin-embedded sections) - Anti-HuD antibody [EPR29580-516] (AB324613)
  • IHC-P

Supplier Data

Immunohistochemistry (Formalin/PFA-fixed paraffin-embedded sections) - Anti-HuD antibody [EPR29580-516] (AB324613)

Immunohistochemical analysis of paraffin-embedded Mouse cerebrum tissue labeling HuD with ab324613 at 1/1000 (0.507 ug/ml) dilution, followed by a ready to use LeicaDS9800 (Bond™ Polymer Refine Detection).

Positive staining on neurons of mouse cerebrum (PMID : 20584986; PMID : 22387028). The primary antibody was incubated for 30 mins at room temperature.
The immunostaining was performed on a Leica Biosystems BOND® RX instrument

Counterstained with Hematoxylin.

Secondary antibody only control : Secondary antibody is a ready to use LeicaDS9800 (Bond™ Polymer Refine Detection).

Heat mediated antigen retrieval was performed with Tris-EDTA buffer (pH 9.0, Epitope Retrieval Solution2) for 20 mins

Immunohistochemistry (Frozen sections) - Anti-HuD antibody [EPR29580-516] (AB324613)
  • IHC-Fr

Supplier Data

Immunohistochemistry (Frozen sections) - Anti-HuD antibody [EPR29580-516] (AB324613)

Immunohistochemical analysis of 4% PFA-fixed, 0.2% Triton X-100 permeabilized frozen Rat cerebrum (fresh frozen) tissue labeling HuD with ab324613 at 1/50 (10.14 ug/ml) dilution followed by ab150081 Goat Anti-Rabbit IgG H&L (Alexa Fluor® 488) preadsorbed at 1/1000 (2 ug/mL) dilution (Green).

Panel A : merged staining of anti-ELAVL4 (ab324613, green), anti-NeuN (ab190565, magenta) on rat cerebrum.
Panel B : anti-ELAVL4 stained on rat cerebrum.
Panel C : anti-NeuN stained in neurons of rat cerebrum.
The section was incubated in two rounds of staining : in the order of ab324613 and ab190565, for 1 hr at room temperature. The nuclear counterstain was DAPI (Blue). The section was then mounted using Fluoromount®.The immunostaining was performed on a Leica Biosystems BOND® RX instrument. Image was taken with a confocal microscope (Leica-Microsystems, TCS SP8).

Immunohistochemistry (Formalin/PFA-fixed paraffin-embedded sections) - Anti-HuD antibody [EPR29580-516] (AB324613)
  • IHC-P

Supplier Data

Immunohistochemistry (Formalin/PFA-fixed paraffin-embedded sections) - Anti-HuD antibody [EPR29580-516] (AB324613)

Immunohistochemical analysis of paraffin-embedded Mouse colon tissue labeling HuD with ab324613 at 1/1000 (0.507 ug/ml) dilution, followed by a ready to use LeicaDS9800 (Bond™ Polymer Refine Detection).

Positive staining on myenteric nerve plexus of mouse colon. The primary antibody was incubated for 30 mins at room temperature.
The immunostaining was performed on a Leica Biosystems BOND® RX instrument

Counterstained with Hematoxylin.

Secondary antibody only control : Secondary antibody is a ready to use LeicaDS9800 (Bond™ Polymer Refine Detection).

Heat mediated antigen retrieval was performed with Tris-EDTA buffer (pH 9.0, Epitope Retrieval Solution2) for 20 mins

Immunohistochemistry (Formalin/PFA-fixed paraffin-embedded sections) - Anti-HuD antibody [EPR29580-516] (AB324613)
  • IHC-P

Supplier Data

Immunohistochemistry (Formalin/PFA-fixed paraffin-embedded sections) - Anti-HuD antibody [EPR29580-516] (AB324613)

Immunohistochemical analysis of paraffin-embedded Rat cerebrum tissue labeling HuD with ab324613 at 1/1000 (0.507 ug/ml) dilution, followed by a ready to use LeicaDS9800 (Bond™ Polymer Refine Detection).

Positive staining on neurons of rat cerebrum. The primary antibody was incubated for 30 mins at room temperature.
The immunostaining was performed on a Leica Biosystems BOND® RX instrument

Counterstained with Hematoxylin.

Secondary antibody only control : Secondary antibody is a ready to use LeicaDS9800 (Bond™ Polymer Refine Detection).

Heat mediated antigen retrieval was performed with Tris-EDTA buffer (pH 9.0, Epitope Retrieval Solution2) for 20 mins

Immunohistochemistry (Frozen sections) - Anti-HuD antibody [EPR29580-516] (AB324613)
  • IHC-Fr

Supplier Data

Immunohistochemistry (Frozen sections) - Anti-HuD antibody [EPR29580-516] (AB324613)

Immunohistochemical analysis of 4% PFA-fixed, 0.2% Triton X-100 permeabilized frozen Mouse cerebrum (fresh frozen) tissue labeling HuD with ab324613 at 1/50 (10.14 ug/ml) dilution followed by ab150081 Goat Anti-Rabbit IgG H&L (Alexa Fluor® 488) preadsorbed at 1/1000 (2 ug/mL) dilution (Green).

Panel A : merged staining of anti-ELAVL4 (ab324613, green), anti-NeuN (ab190565, magenta) on mouse cerebrum.
Panel B : anti-ELAVL4 stained on mouse cerebrum.
Panel C : anti-NeuN stained in neurons of mouse cerebrum.
The section was incubated in two rounds of staining : in the order of ab324613 and ab190565, for 1 hr at room temperature. The nuclear counterstain was DAPI (Blue). The section was then mounted using Fluoromount®.The immunostaining was performed on a Leica Biosystems BOND® RX instrument. Image was taken with a confocal microscope (Leica-Microsystems, TCS SP8).

Secondary antibody control : Secondary antibody is ab150081 Goat Anti-Rabbit IgG H&L (Alexa Fluor® 488) preadsorbed at 1/1000 (2 ug/mL) dilution.

Immunocytochemistry/ Immunofluorescence - Anti-HuD antibody [EPR29580-516] (AB324613)
  • ICC/IF

Supplier Data

Immunocytochemistry/ Immunofluorescence - Anti-HuD antibody [EPR29580-516] (AB324613)

Immunofluorescent analysis of 4% Paraformaldehyde-fixed, 0.1% TritonX-100 permeabilized mouse primary neurons labelling HuD with ab324613 at 1/50 (10.14 ug/ml) dilution, followed by ab150081 Goat Anti-Rabbit IgG H&L (Alexa Fluor® 488) preadsorbed antibody at 1/1000 (2ug/ml) dilution (Green).

Confocal image showing cytoplasmic and nuclear staining in mouse primary neuron (shown in green). The counterstain was observed in magenta. Nuclear DNA was labelled with DAPI (shown in blue).
Image was taken with a confocal microscope (Leica-Microsystems, TCS SP8).

ab11267 Anti-MAP2 mouse monoclonal antibody was used to counterstain tubulin at 1/500 (4ug/ml) dilution, followed by ab150120 Goat Anti-Mouse IgG H&L (Alexa Fluor® 594) at 1/1000 (2ug/ml) dilution (Magenta).

-ve control 1 : ab324613 at a 1/50 dilution followed by ab150120 at a 1/1000 dilution.

-ve control 2 : ab11267 at a 1/500 dilution followed by ab150081 at a 1/1000 dilution.

Immunocytochemistry/ Immunofluorescence - Anti-HuD antibody [EPR29580-516] (AB324613)
  • ICC/IF

Supplier Data

Immunocytochemistry/ Immunofluorescence - Anti-HuD antibody [EPR29580-516] (AB324613)

Immunofluorescent analysis of 4% Paraformaldehyde-fixed, 0.1% TritonX-100 permeabilized rat primary neurons labelling HuD with ab324613 at 1/50 (10.14 ug/ml) dilution, followed by ab150081 Goat Anti-Rabbit IgG H&L (Alexa Fluor® 488) preadsorbed antibody at 1/1000 (2ug/ml) dilution (Green).

Confocal image showing cytoplasmic and nuclear staining in rat primary neuron (shown in green). The counterstain was observed in magenta. Nuclear DNA was labelled with DAPI (shown in blue).
Image was taken with a confocal microscope (Leica-Microsystems, TCS SP8).

ab11267 Anti-MAP2 mouse monoclonal antibody was used to counterstain tubulin at 1/500 (4ug/ml) dilution, followed by ab150120 Goat Anti-Mouse IgG H&L (Alexa Fluor® 594) at 1/1000 (2ug/ml) dilution (Magenta).

-ve control 1 : ab324613 at a 1/50 dilution followed by ab150120 at a 1/1000 dilution.

-ve control 2 : ab11267 at a 1/500 dilution followed by ab150081 at a 1/1000 dilution.

Indirect ELISA - Anti-HuD antibody [EPR29580-516] (AB324613)
  • I-ELISA

Supplier Data

Indirect ELISA - Anti-HuD antibody [EPR29580-516] (AB324613)

Indirect ELISA analysis of ab324613 at 1000-0 ng/ml. The Secondary antibody used was Peroxidase AffiniPure Goat Anti-Rabbit IgG, Fc fragment specific at 1 : 20000 dilution dilution.

Antigen : Mouse HuR/ELAVL1, Mouse HuB/ELAVL2, Mouse HuC/ELAVL3, Mouse HuD/ELAVL4.

Antigen concentration : 1000 ng/ml

This antibody does not cross-react with Mouse HuR/ELAVL1, Mouse HuB/ELAVL2, Mouse HuC/ELAVL3

Western blot - Anti-HuD antibody [EPR29580-516] (AB324613)
  • WB

Supplier Data

Western blot - Anti-HuD antibody [EPR29580-516] (AB324613)

Blocking and diluting buffer and concentration : 5% NFDM/TBST.

Low expression : 4T1, A20

In Western blot, Anti-GAPDH antibody [EPR16891] - Loading Control (ab181602) staining at 1/200000 dilution.

All lanes:

Western blot - Anti-HuD antibody [EPR29580-516] (ab324613) at 1/1000 dilution

Lane 1:

Beta-TC-6 (mouse pancreas insulinoma beta cell) whole cell lysate at 48 µg

Lane 2:

Neuro-2a (mouse neuroblastoma neuroblast) whole cell lysate at 48 µg

Lane 3:

4T1 (mouse mammary gland carcinoma epithelial cell) whole cell lysate at 48 µg

Lane 4:

A20 (mouse reticulum sarcoma B lymphocyte) whole cell lysate at 48 µg

Secondary

All lanes:

Western blot - Goat Anti-Rabbit IgG H&L (HRP) (<a href='/en-us/products/secondary-antibodies/goat-rabbit-igg-h-l-hrp-ab97051'>ab97051</a>) at 1/20000 dilution

Observed band size: 42 kDa,36 kDa

false

Exposure time: 180s

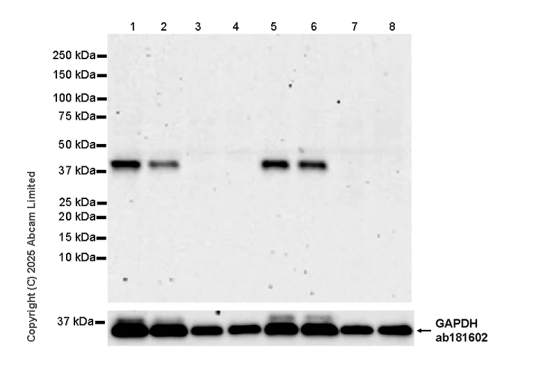
Western blot - Anti-HuD antibody [EPR29580-516] (AB324613)
  • WB

Supplier Data

Western blot - Anti-HuD antibody [EPR29580-516] (AB324613)

Blocking and diluting buffer and concentration : 5% NFDM/TBST.

Negative control : kidney, spleen (PMID : 22387028; PMID : 20584986)

In Western blot, Anti-GAPDH antibody [EPR16891] - Loading Control (ab181602) staining at 1/200000 dilution.

All lanes:

Western blot - Anti-HuD antibody [EPR29580-516] (ab324613) at 1/1000 dilution

Lane 1:

Rat cerebral cortex tissue lysate at 20 µg

Lane 2:

Rat brain tissue lysate at 20 µg

Lane 3:

Rat kidney tissue lysate at 20 µg

Lane 4:

Rat spleen tissue lysate at 20 µg

Lane 5:

Mouse cerebral cortex tissue lysate at 20 µg

Lane 6:

Mouse brain tissue lysate at 20 µg

Lane 7:

Mouse kidney tissue lysate at 20 µg

Lane 8:

Mouse spleen tissue lysate at 20 µg

Secondary

All lanes:

Western blot - Goat Anti-Rabbit IgG H&L (HRP) (<a href='/en-us/products/secondary-antibodies/goat-rabbit-igg-h-l-hrp-ab97051'>ab97051</a>) at 1/20000 dilution

Observed band size: 42 kDa,36 kDa

false

Exposure time: 180s

Key facts

Host species

Rabbit

Clonality

Monoclonal

Clone number

EPR29580-516

Isotype

IgG

Carrier free

No

Reacts with

Mouse, Rat

Applications

ICC/IF, IHC-Fr, WB, IHC-P, I-ELISA

applications

Immunogen

The exact immunogen used to generate this antibody is proprietary information.

Reactivity data

{ "title": "Reactivity Data", "filters": { "stats": ["", "Species", "Dilution Info", "Notes"], "tabs": { "all-applications": {"fullname" : "All Applications", "shortname": "All Applications"}, "IELISA" : {"fullname" : "Indirect ELISA", "shortname":"I-ELISA"}, "ICCIF" : {"fullname" : "Immunocytochemistry/ Immunofluorescence", "shortname":"ICC/IF"}, "IHCP" : {"fullname" : "Immunohistochemistry (Formalin/PFA-fixed paraffin-embedded sections)", "shortname":"IHC-P"}, "IHCFr" : {"fullname" : "Immunohistochemistry (Frozen sections)", "shortname":"IHC-Fr"}, "WB" : {"fullname" : "Western blot", "shortname":"WB"} }, "product-promise": { "all": "all", "testedAndGuaranteed": "tested", "guaranteed": "expected", "predicted": "predicted", "notRecommended": "not-recommended" } }, "values": { "Mouse": { "IELISA-species-checked": "testedAndGuaranteed", "IELISA-species-dilution-info": "125 ng/mL", "IELISA-species-notes": "<p></p>", "ICCIF-species-checked": "testedAndGuaranteed", "ICCIF-species-dilution-info": "1/50", "ICCIF-species-notes": "<p></p>", "IHCP-species-checked": "testedAndGuaranteed", "IHCP-species-dilution-info": "1/1000", "IHCP-species-notes": "<p></p> Perform heat-mediated antigen retrieval with Tris/EDTA buffer pH 9.0 before commencing with IHC staining protocol.", "IHCFr-species-checked": "testedAndGuaranteed", "IHCFr-species-dilution-info": "1/50", "IHCFr-species-notes": "<p></p>", "WB-species-checked": "testedAndGuaranteed", "WB-species-dilution-info": "1/1000", "WB-species-notes": "<p></p>" }, "Rat": { "IELISA-species-checked": "guaranteed", "IELISA-species-dilution-info": "", "IELISA-species-notes": "", "ICCIF-species-checked": "testedAndGuaranteed", "ICCIF-species-dilution-info": "1/50", "ICCIF-species-notes": "<p></p>", "IHCP-species-checked": "testedAndGuaranteed", "IHCP-species-dilution-info": "1/1000", "IHCP-species-notes": "<p></p> Perform heat-mediated antigen retrieval with Tris/EDTA buffer pH 9.0 before commencing with IHC staining protocol.", "IHCFr-species-checked": "testedAndGuaranteed", "IHCFr-species-dilution-info": "1/50", "IHCFr-species-notes": "<p></p>", "WB-species-checked": "testedAndGuaranteed", "WB-species-dilution-info": "1/1000", "WB-species-notes": "<p></p>" } } }

Product details

Patented technology
Our RabMAb® technology is a patented hybridoma-based technology for making rabbit monoclonal antibodies. For details on our patents, please refer to RabMAb® patents.

What are the advantages of a recombinant monoclonal antibody?
This product is a recombinant monoclonal antibody, which offers several advantages including:

  • - High batch-to-batch consistency and reproducibility
  • - Improved sensitivity and specificity
  • - Long-term security of supply
  • - Animal-free batch production

For more information, read more on recombinant antibodies.

Properties and storage information

Form
Liquid
Purification technique
Affinity purification Protein A
Storage buffer
pH: 7.2 - 7.4 Preservative: 0.01% Sodium azide Constituents: PBS, 40% Glycerol (glycerin, glycerine), 0.05% BSA
Shipped at conditions
Blue Ice
Appropriate short-term storage duration
1-2 weeks
Appropriate short-term storage conditions
+4°C
Appropriate long-term storage conditions
-20°C
Aliquoting information
Upon delivery aliquot
Storage information
Avoid freeze / thaw cycle

Product protocols

For this product, it's our understanding that no specific protocols are required. You can visit:

Target data

RNA-binding protein that is involved in the post-transcriptional regulation of mRNAs (PubMed:15764704, PubMed:16554442, PubMed:17035636, PubMed:20064466, PubMed:22387028, PubMed:23383270, PubMed:26305964, PubMed:28111162). Plays a role in the regulation of mRNA stability, alternative splicing and translation (PubMed:15764704, PubMed:23383270, PubMed:26305964, PubMed:28111162). Binds to AU-rich element (ARE) sequences in the 3' untranslated region (3'UTR) of target mRNAs, including GAP43, VEGF, FOS, CDKN1A and ACHE mRNA (By similarity). Many of the target mRNAs are coding for RNA-binding proteins, transcription factors and proteins involved in RNA processing and/or neuronal development and function (PubMed:26305964). By binding to the mRNA 3'UTR, decreases mRNA deadenylation and thereby contributes to the stabilization of mRNA molecules and their protection from decay (By similarity). Also binds to the polyadenylated (poly(A)) tail in the 3'UTR of mRNA, thereby increasing its affinity for mRNA binding (PubMed:20064466). Mainly plays a role in neuron-specific RNA processing by stabilization of mRNAs such as GAP43, ACHE and mRNAs of other neuronal proteins, thereby contributing to the differentiation of neural progenitor cells, nervous system development, learning and memory mechanisms (PubMed:15764704, PubMed:16554442, PubMed:18218628, PubMed:23383270, PubMed:24599466, PubMed:25692578, PubMed:26305964, PubMed:28111162). Involved in the negative regulation of the proliferative activity of neuronal stem cells and in the positive regulation of neuronal differentiation of neural progenitor cells (PubMed:15764704). Promotes neuronal differentiation of neural stem/progenitor cells in the adult subventricular zone of the hippocampus by binding to and stabilizing SATB1 mRNA (PubMed:26305964). Binds and stabilizes MSI1 mRNA in neural stem cells (PubMed:16554442). Exhibits increased binding to ACHE mRNA during neuronal differentiation, thereby stabilizing ACHE mRNA and enhancing its expression (By similarity). Protects CDKN1A mRNA from decay by binding to its 3'-UTR (By similarity). May bind to APP and BACE1 mRNAS and the BACE1AS lncRNA and enhance their stabilization (By similarity). Plays a role in neurite outgrowth and in the establishment and maturation of dendritic arbors, thereby contributing to neocortical and hippocampal circuitry function (PubMed:24599466). Stabilizes GAP43 mRNA and protects it from decay during postembryonic development in the brain (PubMed:28111162). By promoting the stabilization of GAP43 mRNA, plays a role in NGF-mediated neurite outgrowth (By similarity). Binds to BDNF long 3'UTR mRNA, thereby leading to its stabilization and increased dendritic translation after activation of PKC (PubMed:23383270, PubMed:25692578). By increasing translation of BDNF after nerve injury, may contribute to nerve regeneration (PubMed:28111162). Acts as a stabilizing factor by binding to the 3'UTR of NOVA1 mRNA, thereby increasing its translation and enhancing its functional activity in neuron-specific splicing (PubMed:18218628). Stimulates translation of mRNA in a poly(A)- and cap-dependent manner, possibly by associating with the EIF4F cap-binding complex (PubMed:20064466). May also negatively regulate translation by binding to the 5'UTR of Ins2 mRNA, thereby repressing its translation (PubMed:22387028). Upon glucose stimulation, Ins2 mRNA is released from ELAVL4 and translational inhibition is abolished (PubMed:22387028). Also plays a role in the regulation of alternative splicing (PubMed:17035636). May regulate alternative splicing of CALCA pre-mRNA into Calcitonin and Calcitonin gene-related peptide 1 (CGRP) by competing with splicing regulator TIAR for binding to U-rich sequences of CALCA pre-mRNA (PubMed:17035636).

Product promise

We are committed to supporting your work with high-quality reagents, and we're here for you every step of the way. In the unlikely event that one of our products does not perform as expected, you're protected by our Product Promise.
For full details, please see our Terms & Conditions

Please note: All products are 'FOR RESEARCH USE ONLY. NOT FOR USE IN DIAGNOSTIC OR THERAPEUTIC PROCEDURES'.

For licensing inquiries, please contact partnerships@abcam.com