JavaScript is disabled in your browser. Please enable JavaScript to view this website.
AB232416

Anti-HuD + HuC antibody [EPR19098] - BSA and Azide free

Be the first to review this product! Submit a review

|

(1 Publication)

Rabbit Recombinant Monoclonal HuD antibody. Carrier free. Suitable for I-ELISA, IP, WB, ICC/IF, IHC-Fr, Flow Cyt (Intra), IHC-P and reacts with Mouse, Rat, Human samples. Cited in 1 publication.

View Alternative Names

HUD, PNEM, ELAVL4, ELAV-like protein 4, Hu-antigen D, Paraneoplastic encephalomyelitis antigen HuD, HuD

18 Images
Immunohistochemistry (Formalin/PFA-fixed paraffin-embedded sections) - Anti-HuD + HuC antibody [EPR19098] - BSA and Azide free (AB232416)
  • IHC-P

Supplier Data

Immunohistochemistry (Formalin/PFA-fixed paraffin-embedded sections) - Anti-HuD + HuC antibody [EPR19098] - BSA and Azide free (AB232416)

Immunohistochemical analysis of paraffin-embedded human glioma tissue labeling HuC + HuD with ab184267 at 1/4000 dilution, followed by Goat Anti-Rabbit IgG H&L (HRP) (ab97051) at 1/500 dilution.

Nuclear and weakly cytoplasmic staining on human glioma is observed.

Counter stained with Hematoxylin.

Secondary antibody only control : Used PBS instead of primary antibody, secondary antibody is Goat Anti-Rabbit IgG H&L (HRP) (ab97051) at 1/500 dilution.

This data was developed using the same antibody clone in a different buffer formulation containing PBS, BSA, glycerol, and sodium azide (ab184267).

Heat mediated antigen retrieval was performed with Tris/EDTA buffer pH 9.0 before commencing with IHC staining protocol.

Immunohistochemistry (Formalin/PFA-fixed paraffin-embedded sections) - Anti-HuD + HuC antibody [EPR19098] - BSA and Azide free (AB232416)
  • IHC-P

Supplier Data

Immunohistochemistry (Formalin/PFA-fixed paraffin-embedded sections) - Anti-HuD + HuC antibody [EPR19098] - BSA and Azide free (AB232416)

Immunohistochemical analysis of paraffin-embedded mouse cerebral cortex tissue labeling HuC + HuD with ab184267 at 1/4000 dilution, followed by Goat Anti-Rabbit IgG H&L (HRP) (ab97051) at 1/500 dilution.

Nuclear and weakly cytoplasmic staining on neurons of mouse cerebral cortex is observed.

Counter stained with Hematoxylin.

Secondary antibody only control : Used PBS instead of primary antibody, secondary antibody is Goat Anti-Rabbit IgG H&L (HRP) (ab97051) at 1/500 dilution.

This data was developed using the same antibody clone in a different buffer formulation containing PBS, BSA, glycerol, and sodium azide (ab184267).

Heat mediated antigen retrieval was performed with Tris/EDTA buffer pH 9.0 before commencing with IHC staining protocol.

Indirect ELISA - Anti-HuD + HuC antibody [EPR19098] - BSA and Azide free (AB232416)
  • I-ELISA

Lab

Indirect ELISA - Anti-HuD + HuC antibody [EPR19098] - BSA and Azide free (AB232416)

Indirect ELISA showing primary antibody ab184267 binding to Mouse Elavl1 (HuR); Mouse Elavl2 (HuB); Mouse Elavl3 (HuC); Mouse Elavl4 (HuD). Antigen concentration is 1000 ng/ml. Substrate solution is p-nitrophenyl phosphate(PNPP). Binding of ab184267 was assessed in a serial dilution range 1000-0 ng/ml. Binding was detected using the secondary antibody, Alkaline Phosphatase-conjugated AffiniPure Goat Anti-Rabbit IgG(H+L) at 1/2500 dilution. This data was developed using the same antibody clone in a different buffer formulation containing PBS, BSA, glycerol, and sodium azide (ab184267).

Western blot - Anti-HuD + HuC antibody [EPR19098] - BSA and Azide free (AB232416)
  • WB

Lab

Western blot - Anti-HuD + HuC antibody [EPR19098] - BSA and Azide free (AB232416)

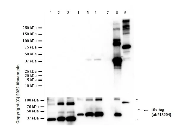
Blocking and diluting buffer and concentration : 5% NFDM/TBST. ab184267 shows very weak cross reactivity with HuB. Band around 80kda detected by anti-His tag antibody should be dimer. This data was developed using the same antibody clone in a different buffer formulation containing PBS, BSA, glycerol, and sodium azide (ab184267).

Lanes 1 - 9:

Western blot - Anti-HuD + HuC antibody [EPR19098] - BSA and Azide free (ab232416)

Lanes 1 - 9:

Western blot - Anti-HuD + HuC antibody [EPR19098] (<a href='/en-us/products/primary-antibodies/hud-huc-antibody-epr19098-ab184267'>ab184267</a>) at 1/1000 dilution

Lane 1:

His-tagged Mouse HUR recombinant protein (aa1-326) at 10 ng

Lane 2:

His-tagged Mouse HUR recombinant protein (aa1-326) at 50 ng

Lane 3:

His-tagged Mouse HUR recombinant protein (aa1-326) at 100 ng

Lane 4:

His-tagged mouse HuB recombinant protein (aa1-360) at 10 ng

Lane 5:

His-tagged mouse HuB recombinant protein (aa1-360) at 50 ng

Lane 6:

His-tagged mouse HuB recombinant protein (aa1-360) at 100 ng

Lane 7:

Blank

Lane 8:

His-tagged mouse HuC recombinant protein (aa1-367) at 10 ng

Lane 9:

His-GST-tagged mouse HuD recombinant protein (aa1-385) at 10 ng

Secondary

All lanes:

Western blot - Goat Anti-Rabbit IgG H&L (HRP) (<a href='/en-us/products/secondary-antibodies/goat-rabbit-igg-h-l-hrp-ab97051'>ab97051</a>) at 1/20000 dilution

Predicted band size: 40 kDa

Observed band size: 37 kDa,75 kDa

false

Exposure time: 10s

Immunohistochemistry (Frozen sections) - Anti-HuD + HuC antibody [EPR19098] - BSA and Azide free (AB232416)
  • IHC-Fr

Supplier Data

Immunohistochemistry (Frozen sections) - Anti-HuD + HuC antibody [EPR19098] - BSA and Azide free (AB232416)

Immunohistochemical analysis of 4% paraformaldehyde-fixed, 0.2% Triton X-100 permeabilized frozen mouse cerebral cortex tissue labeling HuC + HuD with ab184267 at 1/500 dilution, followed by Goat anti-rabbit IgG (Alexa Fluor® 488) (ab150077) secondary antibody at 1/1000 dilution (green).

Cytoplasmic and nuclear staining on neurons of mouse cerebral cortex is observed.

The nuclear counterstain is DAPI (blue).

Secondary antibody only control : Used PBS instead of primary antibody, secondary antibody is Goat anti-rabbit IgG (Alexa Fluor® 488) (ab150077) at 1/1000 dilution.

This data was developed using the same antibody clone in a different buffer formulation containing PBS, BSA, glycerol, and sodium azide (ab184267).

Immunohistochemistry (Frozen sections) - Anti-HuD + HuC antibody [EPR19098] - BSA and Azide free (AB232416)
  • IHC-Fr

Supplier Data

Immunohistochemistry (Frozen sections) - Anti-HuD + HuC antibody [EPR19098] - BSA and Azide free (AB232416)

Immunohistochemical analysis of 4% paraformaldehyde-fixed, 0.2% Triton X-100 permeabilized frozen rat colon tissue labeling HuC + HuD with ab184267 at 1/500 dilution, followed by Goat anti-rabbit IgG (Alexa Fluor® 488) (ab150077) secondary antibody at 1/1000 dilution (green).

Cytoplasmic and nuclear staining on myenteric ganglia of rat colon is observed.

The nuclear counterstain is DAPI (blue).

Secondary antibody only control : Used PBS instead of primary antibody, secondary antibody is Goat anti-rabbit IgG (Alexa Fluor® 488) (ab150077) at 1/1000 dilution.

This data was developed using the same antibody clone in a different buffer formulation containing PBS, BSA, glycerol, and sodium azide (ab184267).

Immunohistochemistry (Formalin/PFA-fixed paraffin-embedded sections) - Anti-HuD + HuC antibody [EPR19098] - BSA and Azide free (AB232416)
  • IHC-P

Supplier Data

Immunohistochemistry (Formalin/PFA-fixed paraffin-embedded sections) - Anti-HuD + HuC antibody [EPR19098] - BSA and Azide free (AB232416)

Immunohistochemical analysis of paraffin-embedded human cerebral cortex tissue labeling HuC + HuD with ab184267 at 1/4000 dilution, followed by Goat Anti-Rabbit IgG H&L (HRP) (ab97051) at 1/500 dilution.

Nuclear and weakly cytoplasmic staining on neurons of human cerebral cortex is observed [PMID : 22007133].

Counter stained with Hematoxylin.

Secondary antibody only control : Used PBS instead of primary antibody, secondary antibody is Goat Anti-Rabbit IgG H&L (HRP) (ab97051) at 1/500 dilution.

This data was developed using the same antibody clone in a different buffer formulation containing PBS, BSA, glycerol, and sodium azide (ab184267).

Heat mediated antigen retrieval was performed with Tris/EDTA buffer pH 9.0 before commencing with IHC staining protocol.

Immunohistochemistry (Formalin/PFA-fixed paraffin-embedded sections) - Anti-HuD + HuC antibody [EPR19098] - BSA and Azide free (AB232416)
  • IHC-P

Supplier Data

Immunohistochemistry (Formalin/PFA-fixed paraffin-embedded sections) - Anti-HuD + HuC antibody [EPR19098] - BSA and Azide free (AB232416)

Immunohistochemical analysis of paraffin-embedded mouse stomach tissue labeling HuC + HuD with ab184267 at 1/4000 dilution, followed by Goat Anti-Rabbit IgG H&L (HRP) (ab97051) at 1/500 dilution.

Cytoplasmic and nuclear staining on myenteric ganglia of mouse stomach is observed.

Counter stained with Hematoxylin.

Secondary antibody only control : Used PBS instead of primary antibody, secondary antibody is Goat Anti-Rabbit IgG H&L (HRP) (ab97051) at 1/500 dilution.

This data was developed using the same antibody clone in a different buffer formulation containing PBS, BSA, glycerol, and sodium azide (ab184267).

Heat mediated antigen retrieval was performed with Tris/EDTA buffer pH 9.0 before commencing with IHC staining protocol.

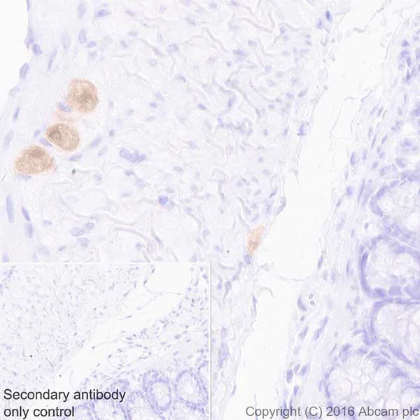
Immunohistochemistry (Formalin/PFA-fixed paraffin-embedded sections) - Anti-HuD + HuC antibody [EPR19098] - BSA and Azide free (AB232416)
  • IHC-P

Supplier Data

Immunohistochemistry (Formalin/PFA-fixed paraffin-embedded sections) - Anti-HuD + HuC antibody [EPR19098] - BSA and Azide free (AB232416)

Immunohistochemical analysis of paraffin-embedded human colon tissue labeling HuC + HuD with ab184267 at 1/4000 dilution, followed by Goat Anti-Rabbit IgG H&L (HRP) (ab97051) at 1/500 dilution.

Nuclear and weakly cytoplasmic staining on myenteric ganglia of human colon is observed [PMID : 16918730].

Counter stained with Hematoxylin.

Secondary antibody only control : Used PBS instead of primary antibody, secondary antibody is Goat Anti-Rabbit IgG H&L (HRP) (ab97051) at 1/500 dilution.

This data was developed using the same antibody clone in a different buffer formulation containing PBS, BSA, glycerol, and sodium azide (ab184267).

Heat mediated antigen retrieval was performed with Tris/EDTA buffer pH 9.0 before commencing with IHC staining protocol.

Immunohistochemistry (Formalin/PFA-fixed paraffin-embedded sections) - Anti-HuD + HuC antibody [EPR19098] - BSA and Azide free (AB232416)
  • IHC-P

Supplier Data

Immunohistochemistry (Formalin/PFA-fixed paraffin-embedded sections) - Anti-HuD + HuC antibody [EPR19098] - BSA and Azide free (AB232416)

Immunohistochemical analysis of paraffin-embedded rat cerebral cortex tissue labeling HuC + HuD with ab184267 at 1/4000 dilution, followed by Goat Anti-Rabbit IgG H&L (HRP) (ab97051) at 1/500 dilution.

Nuclear and weakly cytoplasmic staining on neurons of rat cerebral cortex is observed.

Counter stained with Hematoxylin.

Secondary antibody only control : Used PBS instead of primary antibody, secondary antibody is Goat Anti-Rabbit IgG H&L (HRP) (ab97051) at 1/500 dilution.

This data was developed using the same antibody clone in a different buffer formulation containing PBS, BSA, glycerol, and sodium azide (ab184267).

Heat mediated antigen retrieval was performed with Tris/EDTA buffer pH 9.0 before commencing with IHC staining protocol.

Flow Cytometry (Intracellular) - Anti-HuD + HuC antibody [EPR19098] - BSA and Azide free (AB232416)
  • Flow Cyt (Intra)

Supplier Data

Flow Cytometry (Intracellular) - Anti-HuD + HuC antibody [EPR19098] - BSA and Azide free (AB232416)

Intracellular flow cytometric analysis of 4% paraformaldehyde-fixed SH-SY5Y (Human neuroblastoma cell line from bone marrow) cells labeling HuC + HuD with ab184267 at 1/500 dilution (red) compared with a rabbit monoclonal IgG isotype control (ab172730; black) and an unlabeled control (cells without incubation with primary antibody and secondary antibody; blue). Goat anti rabbit IgG (Alexa Fluor® 488) at 1/2000 dilution was used as the secondary antibody.

This data was developed using the same antibody clone in a different buffer formulation containing PBS, BSA, glycerol, and sodium azide (ab184267).

Immunocytochemistry/ Immunofluorescence - Anti-HuD + HuC antibody [EPR19098] - BSA and Azide free (AB232416)
  • ICC/IF

Supplier Data

Immunocytochemistry/ Immunofluorescence - Anti-HuD + HuC antibody [EPR19098] - BSA and Azide free (AB232416)

Immunofluorescent analysis of 4% paraformaldehyde-fixed, 0.1% Triton X-100 permeabilized Neuro-2a (Mouse neuroblastoma cell line) cells labeling HuC + HuD with ab184267 at 1/500 dilution, followed by Goat anti-rabbit IgG (Alexa Fluor® 488) (ab150077) secondary antibody at 1/1000 dilution (green).

Confocal image showing cytoplasmic and nuclear staining on Neuro-2a cell line.

The nuclear counterstain is DAPI (blue).

Tubulin is detected with ab195889 (Anti-alpha Tubulin antibody [DM1A] - Microtubule Marker (Alexa Fluor® 594)) at 1/200 dilution (red).

Secondary antibody only control : Used PBS instead of primary antibody, secondary antibody is Goat anti-rabbit IgG (Alexa Fluor® 488) (ab150077) at 1/1000 dilution.

This data was developed using the same antibody clone in a different buffer formulation containing PBS, BSA, glycerol, and sodium azide (ab184267).

Immunocytochemistry/ Immunofluorescence - Anti-HuD + HuC antibody [EPR19098] - BSA and Azide free (AB232416)
  • ICC/IF

Supplier Data

Immunocytochemistry/ Immunofluorescence - Anti-HuD + HuC antibody [EPR19098] - BSA and Azide free (AB232416)

Immunofluorescent analysis of 4% paraformaldehyde-fixed, 0.1% Triton X-100 permeabilized SH-SY5Y (Human neuroblastoma cell line from bone marrow) cells labeling HuC + HuD with ab184267 at 1/500 dilution, followed by Goat anti-rabbit IgG (Alexa Fluor® 488) (ab150077) secondary antibody at 1/1000 dilution (green).

Confocal image showing cytoplasmic and nuclear staining on SH-SY5Y cell line.

The nuclear counterstain is DAPI (blue).

Tubulin is detected with ab195889 (Anti-alpha Tubulin antibody [DM1A] - Microtubule Marker (Alexa Fluor® 594)) at 1/200 dilution (red).

Secondary antibody only control : Used PBS instead of primary antibody, secondary antibody is Goat anti-rabbit IgG (Alexa Fluor® 488) (ab150077) at 1/1000 dilution.

This data was developed using the same antibody clone in a different buffer formulation containing PBS, BSA, glycerol, and sodium azide (ab184267).

Immunohistochemistry (Frozen sections) - Anti-HuD + HuC antibody [EPR19098] - BSA and Azide free (AB232416)
  • IHC-Fr

Supplier Data

Immunohistochemistry (Frozen sections) - Anti-HuD + HuC antibody [EPR19098] - BSA and Azide free (AB232416)

Immunohistochemical analysis of 4% paraformaldehyde-fixed, 0.2% Triton X-100 permeabilized frozen rat cerebral cortex tissue labeling HuC + HuD with ab184267 at 1/500 dilution, followed by Goat anti-rabbit IgG (Alexa Fluor® 488) (ab150077) secondary antibody at 1/1000 dilution (green).

Cytoplasmic and nuclear staining on neurons of rat cerebral cortex is observed.

The nuclear counterstain is DAPI (blue).

Secondary antibody only control : Used PBS instead of primary antibody, secondary antibody is Goat anti-rabbit IgG (Alexa Fluor® 488) (ab150077) at 1/1000 dilution.

This data was developed using the same antibody clone in a different buffer formulation containing PBS, BSA, glycerol, and sodium azide (ab184267).

Flow Cytometry (Intracellular) - Anti-HuD + HuC antibody [EPR19098] - BSA and Azide free (AB232416)
  • Flow Cyt (Intra)

Supplier Data

Flow Cytometry (Intracellular) - Anti-HuD + HuC antibody [EPR19098] - BSA and Azide free (AB232416)

Intracellular flow cytometric analysis of 4% paraformaldehyde-fixed Neuro-2a (Mouse neuroblastoma cell line) cells labeling HuC + HuD with ab184267 at 1/500 dilution (red) compared with a rabbit monoclonal IgG isotype control (ab172730; black) and an unlabeled control (cells without incubation with primary antibody and secondary antibody; blue). Goat anti rabbit IgG (Alexa Fluor® 488) at 1/2000 dilution was used as the secondary antibody.

This data was developed using the same antibody clone in a different buffer formulation containing PBS, BSA, glycerol, and sodium azide (ab184267).

Immunohistochemistry (Formalin/PFA-fixed paraffin-embedded sections) - Anti-HuD + HuC antibody [EPR19098] - BSA and Azide free (AB232416)
  • IHC-P

Supplier Data

Immunohistochemistry (Formalin/PFA-fixed paraffin-embedded sections) - Anti-HuD + HuC antibody [EPR19098] - BSA and Azide free (AB232416)

Immunohistochemical analysis of paraffin-embedded rat colon tissue labeling HuC + HuD with ab184267 at 1/4,000 dilution, followed by Goat Anti-Rabbit IgG H&L (HRP) (ab97051) at 1/500 dilution.

Cytoplasmic and nuclear staining on myenteric ganglia of rat colon is observed.

Counter stained with hematoxylin.

Secondary antibody only control : Used PBS instead of primary antibody, secondary antibody is Goat Anti-Rabbit IgG H&L (HRP) (ab97051) at 1/500 dilution.

This data was developed using the same antibody clone in a different buffer formulation containing PBS, BSA, glycerol, and sodium azide (ab184267).

Heat mediated antigen retrieval was performed with Tris/EDTA buffer pH 9.0 before commencing with IHC staining protocol.

Immunohistochemistry (Frozen sections) - Anti-HuD + HuC antibody [EPR19098] - BSA and Azide free (AB232416)
  • IHC-Fr

Supplier Data

Immunohistochemistry (Frozen sections) - Anti-HuD + HuC antibody [EPR19098] - BSA and Azide free (AB232416)

Immunohistochemical analysis of 4% paraformaldehyde-fixed, 0.2% Triton X-100 permeabilized frozen mouse stomach tissue labeling HuC + HuD with ab184267 at 1/500 dilution, followed by Goat anti-rabbit IgG (Alexa Fluor® 488) (ab150077) secondary antibody at 1/1000 dilution (green).

Cytoplasmic and nuclear staining on myenteric ganglia of mouse stomach is observed (white arrow).

The nuclear counterstain is DAPI (blue).

Secondary antibody only control : Used PBS instead of primary antibody, secondary antibody is Goat anti-rabbit IgG (Alexa Fluor® 488) (ab150077) at 1/1000 dilution.

This data was developed using the same antibody clone in a different buffer formulation containing PBS, BSA, glycerol, and sodium azide (ab184267).

Immunoprecipitation - Anti-HuD + HuC antibody [EPR19098] - BSA and Azide free (AB232416)
  • IP

Supplier Data

Immunoprecipitation - Anti-HuD + HuC antibody [EPR19098] - BSA and Azide free (AB232416)

HuC + HuD was immunoprecipitated from 0.35 mg of mouse brain lysate with ab184267 at 1/30 dilution.

Western blot was performed from the immunoprecipitate using ab184267 at 1/1000 dilution.

VeriBlot for IP Detection Reagent (HRP) (ab131366), was used for detection at 1/10000 dilution.

Lane 1 : Mouse brain lysate, 10 μg (Input).

Lane 2 : ab184267 IP in mouse brain lysate.

Lane 3 : Rabbit monoclonal IgG (ab172730) instead of ab184267 in mouse brain lysate.

Blocking and dilution buffer and concentration : 5% NFDM/TBST.

Exposure time : 30 seconds.

This data was developed using the same antibody clone in a different buffer formulation containing PBS, BSA, glycerol, and sodium azide (ab184267).

All lanes:

Immunoprecipitation - Anti-HuD + HuC antibody [EPR19098] (<a href='/en-us/products/primary-antibodies/hud-huc-antibody-epr19098-ab184267'>ab184267</a>)

Observed band size: 39 kDa

false

Key facts

Host species

Rabbit

Clonality

Monoclonal

Clone number

EPR19098

Isotype

IgG

Carrier free

Yes

Reacts with

Mouse, Rat, Human

Applications

ICC/IF, IHC-P, IP, I-ELISA, IHC-Fr, Flow Cyt (Intra), WB

applications

Immunogen

The exact immunogen used to generate this antibody is proprietary information.

Specificity

This antibody shows very weak cross reactivity to HuB in WB test. Please contact our Scientific support team for more information.

Reactivity data

{ "title": "Reactivity Data", "filters": { "stats": ["", "Species", "Dilution Info", "Notes"], "tabs": { "all-applications": {"fullname" : "All Applications", "shortname": "All Applications"}, "IELISA" : {"fullname" : "Indirect ELISA", "shortname":"I-ELISA"}, "IP" : {"fullname" : "Immunoprecipitation", "shortname":"IP"}, "WB" : {"fullname" : "Western blot", "shortname":"WB"}, "ICCIF" : {"fullname" : "Immunocytochemistry/ Immunofluorescence", "shortname":"ICC/IF"}, "IHCFr" : {"fullname" : "Immunohistochemistry (Frozen sections)", "shortname":"IHC-Fr"}, "FlowCytIntra" : {"fullname" : "Flow Cytometry (Intracellular)", "shortname":"Flow Cyt (Intra)"}, "IHCP" : {"fullname" : "Immunohistochemistry (Formalin/PFA-fixed paraffin-embedded sections)", "shortname":"IHC-P"} }, "product-promise": { "all": "all", "testedAndGuaranteed": "tested", "guaranteed": "expected", "predicted": "predicted", "notRecommended": "not-recommended" } }, "values": { "Human": { "IELISA-species-checked": "guaranteed", "IELISA-species-dilution-info": "", "IELISA-species-notes": "", "IP-species-checked": "guaranteed", "IP-species-dilution-info": "", "IP-species-notes": "", "WB-species-checked": "testedAndGuaranteed", "WB-species-dilution-info": "", "WB-species-notes": "<p></p>", "ICCIF-species-checked": "testedAndGuaranteed", "ICCIF-species-dilution-info": "", "ICCIF-species-notes": "<p></p>", "IHCFr-species-checked": "guaranteed", "IHCFr-species-dilution-info": "", "IHCFr-species-notes": "", "FlowCytIntra-species-checked": "testedAndGuaranteed", "FlowCytIntra-species-dilution-info": "", "FlowCytIntra-species-notes": "<p></p>", "IHCP-species-checked": "testedAndGuaranteed", "IHCP-species-dilution-info": "", "IHCP-species-notes": "<p></p> Perform heat-mediated antigen retrieval with Tris/EDTA buffer pH 9.0 before commencing with IHC staining protocol." }, "Mouse": { "IELISA-species-checked": "testedAndGuaranteed", "IELISA-species-dilution-info": "", "IELISA-species-notes": "<p></p>", "IP-species-checked": "testedAndGuaranteed", "IP-species-dilution-info": "", "IP-species-notes": "<p></p> Perform heat-mediated antigen retrieval with Tris/EDTA buffer pH 9.0 before commencing with IHC staining protocol.", "WB-species-checked": "testedAndGuaranteed", "WB-species-dilution-info": "", "WB-species-notes": "<p></p> Perform heat-mediated antigen retrieval with Tris/EDTA buffer pH 9.0 before commencing with IHC staining protocol.", "ICCIF-species-checked": "testedAndGuaranteed", "ICCIF-species-dilution-info": "", "ICCIF-species-notes": "<p></p>", "IHCFr-species-checked": "testedAndGuaranteed", "IHCFr-species-dilution-info": "", "IHCFr-species-notes": "<p>Antigen retrieval: Heated citrate solution (10mM citrate pH 6.0 + 0.05% Tween-20).</p>", "FlowCytIntra-species-checked": "testedAndGuaranteed", "FlowCytIntra-species-dilution-info": "", "FlowCytIntra-species-notes": "<p></p>", "IHCP-species-checked": "testedAndGuaranteed", "IHCP-species-dilution-info": "", "IHCP-species-notes": "<p></p> Perform heat-mediated antigen retrieval with Tris/EDTA buffer pH 9.0 before commencing with IHC staining protocol." }, "Rat": { "IELISA-species-checked": "guaranteed", "IELISA-species-dilution-info": "", "IELISA-species-notes": "", "IP-species-checked": "guaranteed", "IP-species-dilution-info": "", "IP-species-notes": "", "WB-species-checked": "testedAndGuaranteed", "WB-species-dilution-info": "", "WB-species-notes": "<p></p> Perform heat-mediated antigen retrieval with Tris/EDTA buffer pH 9.0 before commencing with IHC staining protocol.", "ICCIF-species-checked": "guaranteed", "ICCIF-species-dilution-info": "", "ICCIF-species-notes": "", "IHCFr-species-checked": "testedAndGuaranteed", "IHCFr-species-dilution-info": "", "IHCFr-species-notes": "<p>Antigen retrieval: Heated citrate solution (10mM citrate pH 6.0 + 0.05% Tween-20).</p>", "FlowCytIntra-species-checked": "guaranteed", "FlowCytIntra-species-dilution-info": "", "FlowCytIntra-species-notes": "", "IHCP-species-checked": "testedAndGuaranteed", "IHCP-species-dilution-info": "", "IHCP-species-notes": "<p></p> Perform heat-mediated antigen retrieval with Tris/EDTA buffer pH 9.0 before commencing with IHC staining protocol." } } }

Product details

ab232416 is the carrier-free version of ab184267.

Patented technology
Our RabMAb® technology is a patented hybridoma-based technology for making rabbit monoclonal antibodies. For details on our patents, please refer to RabMAb® patents.

What are the advantages of a recombinant monoclonal antibody?
This product is a recombinant monoclonal antibody, which offers several advantages including:

  • - High batch-to-batch consistency and reproducibility
  • - Improved sensitivity and specificity
  • - Long-term security of supply
  • - Animal-free batch production

For more information, read more on recombinant antibodies.

Conjugation ready
Our carrier-free antibodies are typically supplied in a PBS-only formulation, purified and free of BSA, sodium azide and glycerol. This conjugation-ready format is designed for use with fluorochromes, metal isotopes, oligonucleotides, and enzymes, which makes them ideal for antibody labelling, functional and cell-based assays, flow-based assays (e.g. mass cytometry) and Multiplex Imaging applications.

Use our conjugation kits for antibody conjugates that are ready-to-use in as little as 20 minutes with 1 minute hands-on-time and 100% antibody recovery: available for fluorescent dyes, HRP, biotin and gold.

Compatibility
This product is compatible with the Maxpar® Antibody Labeling Kit from Fluidigm, without the need for antibody preparation. Maxpar® is a trademark of Fluidigm Canada Inc.

Properties and storage information

Form
Liquid
Purification technique
Affinity purification Protein A
Storage buffer
pH: 7.2 - 7.4 Constituents: PBS
Shipped at conditions
Blue Ice
Appropriate short-term storage conditions
+4°C
Appropriate long-term storage conditions
+4°C
Storage information
Do Not Freeze

Supplementary information

This supplementary information is collated from multiple sources and compiled automatically.

The HuD and HuC proteins also known as neuronal ELAV-like RNA binding proteins play critical roles in neuronal development and function. These proteins weigh approximately 37 kDa and are specifically expressed in neurons. They are part of the family of ELAV (Embryonic Lethal Abnormal Vision) proteins with HuD sometimes referred to as C HuD. HuD and HuC are involved in RNA stabilization processes by binding to AU-rich elements in the 3' untranslated regions (3' UTR) of mRNA which influence the regulation of mRNA turnover stability and translation.
Biological function summary

HuD and HuC proteins are integral to the regulation of gene expression during neuronal differentiation. They participate in RNA processing machinery and can form complexes with other RNA-binding proteins affecting the neuronal mRNA transcriptome. These interactions facilitate the stabilization and localization of mRNAs essential for synaptic plasticity and neuron functionality. Their presence highlights the post-transcriptional regulation mechanisms vital for nervous system development and function.

Pathways

HuD and HuC proteins are essential players in neuron-specific mRNA processing pathways. They interact closely with molecular pathways involved in learning and memory particularly those involving the MAPK/ERK pathway. They frequently co-regulate mRNA with other proteins like HuR a ubiquitous ELAV protein. These interactions assist in the modulation of gene expression profiles necessary for proper neuronal signaling and plasticity.

HuD and HuC proteins are linked with conditions such as neurological cancer and neurodegenerative disorders. Their deregulation has been associated with neuroblastoma where aberrant expression influences tumor proliferation. Additionally alterations in HuD and HuC protein function have connections with Alzheimer's disease wherein their interactions with tau protein impact disease progression. Understanding these associations provides insights into potential therapeutic targets and interventions for such conditions.

Product protocols

For this product, it's our understanding that no specific protocols are required. You can visit:

Target data

RNA-binding protein that is involved in the post-transcriptional regulation of mRNAs (PubMed : 10710437, PubMed : 12034726, PubMed : 12468554, PubMed : 17035636, PubMed : 17234598, PubMed : 7898713). Plays a role in the regulation of mRNA stability, alternative splicing and translation (PubMed : 10710437, PubMed : 12034726, PubMed : 12468554, PubMed : 17035636, PubMed : 17234598, PubMed : 7898713). Binds to AU-rich element (ARE) sequences in the 3' untranslated region (UTR) of target mRNAs, including GAP43, VEGF, FOS, CDKN1A and ACHE mRNA (PubMed : 10710437, PubMed : 12034726, PubMed : 12468554, PubMed : 7898713). Many of the target mRNAs are coding for RNA-binding proteins, transcription factors and proteins involved in RNA processing and/or neuronal development and function (By similarity). By binding to the mRNA 3'UTR, decreases mRNA deadenylation and thereby contributes to the stabilization of mRNA molecules and their protection from decay (PubMed : 12034726). Also binds to the polyadenylated (poly(A)) tail in the 3'UTR of mRNA, thereby increasing its affinity for mRNA binding (PubMed : 12034726). Mainly plays a role in neuron-specific RNA processing by stabilization of mRNAs such as GAP43, ACHE and mRNAs of other neuronal proteins, thereby contributing to the differentiation of neural progenitor cells, nervous system development, learning and memory mechanisms (PubMed : 12034726, PubMed : 12468554, PubMed : 17234598, PubMed : 18218628). Involved in the negative regulation of the proliferative activity of neuronal stem cells and in the positive regulation of neuronal differentiation of neural progenitor cells (By similarity). Promotes neuronal differentiation of neural stem/progenitor cells in the adult subventricular zone of the hippocampus by binding to and stabilizing SATB1 mRNA (By similarity). Binds and stabilizes MSI1 mRNA in neural stem cells (By similarity). Exhibits increased binding to ACHE mRNA during neuronal differentiation, thereby stabilizing ACHE mRNA and enhancing its expression (PubMed : 12468554, PubMed : 17234598). Protects CDKN1A mRNA from decay by binding to its 3'-UTR (By similarity). May bind to APP and BACE1 mRNAS and the BACE1AS lncRNA and enhance their stabilization (PubMed : 24857657). Plays a role in neurite outgrowth and in the establishment and maturation of dendritic arbors, thereby contributing to neocortical and hippocampal circuitry function (By similarity). Stabilizes GAP43 mRNA and protects it from decay during postembryonic development in the brain (PubMed : 12034726). By promoting the stabilization of GAP43 mRNA, plays a role in NGF-mediated neurite outgrowth (By similarity). Binds to BDNF long 3'UTR mRNA, thereby leading to its stabilization and increased dendritic translation after activation of PKC (By similarity). By increasing translation of BDNF after nerve injury, may contribute to nerve regeneration (By similarity). Acts as a stabilizing factor by binding to the 3'UTR of NOVA1 mRNA, thereby increasing its translation and enhancing its functional activity in neuron-specific splicing (PubMed : 18218628). Stimulates translation of mRNA in a poly(A)- and cap-dependent manner, possibly by associating with the EIF4F cap-binding complex (By similarity). May also negatively regulate translation by binding to the 5'UTR of Ins2 mRNA, thereby repressing its translation (By similarity). Upon glucose stimulation, Ins2 mRNA is released from ELAVL4 and translational inhibition is abolished (By similarity). Also plays a role in the regulation of alternative splicing (PubMed : 17035636). May regulate alternative splicing of CALCA pre-mRNA into Calcitonin and Calcitonin gene-related peptide 1 (CGRP) by competing with splicing regulator TIAR for binding to U-rich intronic sequences of CALCA pre-mRNA (PubMed : 17035636).
See full target information ELAVL4

Additional targets

ELAVL3

Publications (1)

Recent publications for all applications. Explore the full list and refine your search

Frontiers in cellular neuroscience 13:523 PubMed31849612

2019

BMP2 Is Related to Hirschsprung's Disease and Required for Enteric Nervous System Development.

Applications

Unspecified application

Species

Unspecified reactive species

Sizhou Huang,Yi Wang,Lingfei Luo,Xiaoqing Li,Xianqing Jin,Shuangshuang Li,Xiaoping Yu,Min Yang,Zhenhua Guo
View all publications

Product promise

We are committed to supporting your work with high-quality reagents, and we're here for you every step of the way. In the unlikely event that one of our products does not perform as expected, you're protected by our Product Promise.
For full details, please see our Terms & Conditions

Associated Products

Select an associated product type
Alternative Version
Primary Antibodies

AB237235

Alexa Fluor® 647 Anti-HuD + HuC antibody [EPR19098]

primary-antibodies

alexa-fluor-647-hud-huc-antibody-epr19098-ab237235

4

(1 reviews)

Alternative Version
Primary Antibodies

AB237234

Alexa Fluor® 488 Anti-HuD + HuC antibody [EPR19098]

primary-antibodies

alexa-fluor-488-hud-huc-antibody-epr19098-ab237234

0

(0 reviews)

Please note: All products are 'FOR RESEARCH USE ONLY. NOT FOR USE IN DIAGNOSTIC OR THERAPEUTIC PROCEDURES'.

For licensing inquiries, please contact partnerships@abcam.com