JavaScript is disabled in your browser. Please enable JavaScript to view this website.
AB74325

Anti-Human Growth Hormone antibody, prediluted

Be the first to review this product! Submit a review

|

(1 Publication)

Rabbit Polyclonal Growth Hormone antibody. Suitable for IHC-P and reacts with Human samples. Cited in 1 publication.

View Alternative Names

Somatotropin, Growth hormone, Growth hormone 1, Pituitary growth hormone, GH, GH-N, GH1

1 Images
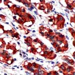
Immunohistochemistry (Formalin/PFA-fixed paraffin-embedded sections) - Anti-Human Growth Hormone antibody, prediluted (AB74325)
  • IHC-P

Unknown

Immunohistochemistry (Formalin/PFA-fixed paraffin-embedded sections) - Anti-Human Growth Hormone antibody, prediluted (AB74325)

Formalin-fixed, paraffin-embedded human anterio pituitary tissue stained for Growth Hormone using ab74325 in immunohistochemical analysis.

Key facts

Host species

Rabbit

Clonality

Polyclonal

Isotype

IgG

Carrier free

No

Reacts with

Human

Applications

IHC-P

applications

Immunogen

The exact immunogen used to generate this antibody is proprietary information.

Reactivity data

{ "title": "Reactivity Data", "filters": { "stats": ["", "Species", "Dilution Info", "Notes"], "tabs": { "all-applications": {"fullname" : "All Applications", "shortname": "All Applications"}, "IHCP" : {"fullname" : "Immunohistochemistry (Formalin/PFA-fixed paraffin-embedded sections)", "shortname":"IHC-P"} }, "product-promise": { "all": "all", "testedAndGuaranteed": "tested", "guaranteed": "expected", "predicted": "predicted", "notRecommended": "not-recommended" } }, "values": { "Human": { "IHCP-species-checked": "testedAndGuaranteed", "IHCP-species-dilution-info": "", "IHCP-species-notes": "<p></p>" } } }

Properties and storage information

Form
Liquid
Purification technique
Affinity purification Immunogen
Storage buffer
pH: 7.6 Preservative: 0.1% Sodium azide Constituents: Tris buffered saline, 1% BSA
Shipped at conditions
Blue Ice
Appropriate long-term storage conditions
+4°C
Storage information
Do Not Freeze

Supplementary information

This supplementary information is collated from multiple sources and compiled automatically.

Growth Hormone (GH) also known as somatotropin is a polypeptide hormone with a mass of approximately 22 kDa. The pituitary gland synthesizes and secretes GH. Once synthesized GH circulates in the bloodstream and affects various tissues throughout the body. GH's expression is tightly regulated because of its significant roles in growth processes. Researchers might use anti-growth hormone antibodies and various hGH testing kits including ELISA to study its levels and functions.
Biological function summary

GH triggers growth and cell reproduction by exerting effects on multiple tissues. It binds to the growth hormone receptor which initiates a cascade of reactions that ultimately stimulates growth in muscle bone and cartilage. GH also contributes to protein synthesis and helps regulate metabolism. GH acts mostly independently but can interact with cytokines and other hormones.

Pathways

GH plays important roles in the regulation of the JAK-STAT signaling pathway and the IGF-1 signaling pathway. The JAK-STAT pathway is important for transmitting the signal of GH binding to its receptor into cellular responses. GH stimulates IGF-1 production in the liver and IGF-1 then acts in an endocrine manner to mediate much of GH’s growth-promoting activity. These interactions highlight the interconnectedness of GH with other hormones in growth signaling networks.

Several health conditions can arise from abnormal levels of GH. Dwarfism occurs due to GH deficiency while acromegaly results from GH excess. Clinical analysis might use hGH kits to measure hormone levels and aid in diagnosis. GH's role in such conditions links it to other hormones like insulin and glucagon that help regulate glucose levels further affecting metabolic processes. Recombinant forms of GH are used in therapy for these disorders providing avenues for treatment and management.

Product protocols

For this product, it's our understanding that no specific protocols are required. You can visit:

Target data

Plays an important role in growth control. Its major role in stimulating body growth is to stimulate the liver and other tissues to secrete IGF1. It stimulates both the differentiation and proliferation of myoblasts. It also stimulates amino acid uptake and protein synthesis in muscle and other tissues.
See full target information GH1

Publications (1)

Recent publications for all applications. Explore the full list and refine your search

Experimental biology and medicine (Maywood, N.J.) 239:1557-66 PubMed24962175

2014

Effects of lentiviral vector-mediated TRADD expression on the inhibition of hypertrophic scar formation.

Applications

Unspecified application

Species

Unspecified reactive species

Yue Yuan,Guiyong Peng,Xiufeng Kang,Yunjie Liu,Jianhua Dai,Hongbo Wu
View all publications

Product promise

We are committed to supporting your work with high-quality reagents, and we're here for you every step of the way. In the unlikely event that one of our products does not perform as expected, you're protected by our Product Promise.
For full details, please see our Terms & Conditions

Please note: All products are 'FOR RESEARCH USE ONLY. NOT FOR USE IN DIAGNOSTIC OR THERAPEUTIC PROCEDURES'.

For licensing inquiries, please contact partnerships@abcam.com