JavaScript is disabled in your browser. Please enable JavaScript to view this website.
AB248601

Anti-Human IgA antibody [EPSISR10] - BSA and Azide free

Be the first to review this product! Submit a review

|

(1 Publication)

Rabbit Recombinant Monoclonal IGHA1 antibody. Carrier free. Suitable for IHC-P, WB and reacts with Human samples. Cited in 1 publication.

View Alternative Names

Immunoglobulin heavy constant alpha 1, Ig alpha-1 chain C region, Ig alpha-1 chain C region BUR, Ig alpha-1 chain C region TRO, IGHA1

3 Images
Immunohistochemistry (Formalin/PFA-fixed paraffin-embedded sections) - Anti-Human IgA antibody [EPSISR10] - BSA and Azide free (AB248601)
  • IHC-P

Supplier Data

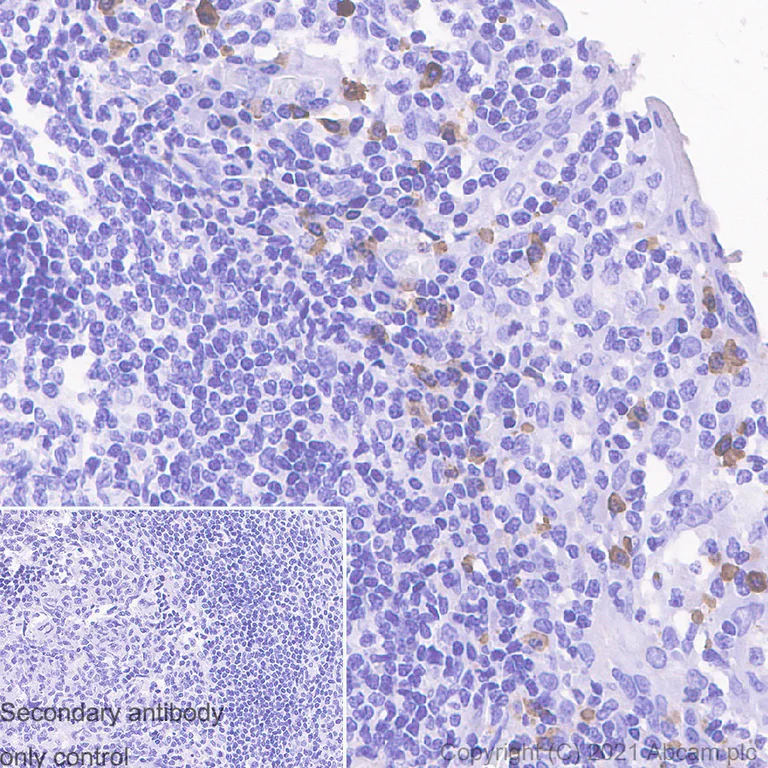
Immunohistochemistry (Formalin/PFA-fixed paraffin-embedded sections) - Anti-Human IgA antibody [EPSISR10] - BSA and Azide free (AB248601)

This data was developed using ab133660, the same antibody clone in a different buffer formulation.
Immunohistochemistry (Formalin/PFA-fixed paraffin-embedded sections) analysis of human tonsil tissue sections labeling Human IgA with purified ab133660 at 1 : 500 (0.202 μg/ml). Heat mediated antigen retrieval was performed using Bond™ Epitope Retrieval Solution 1 (pH 6.0). Tissue was counterstained with Hematoxylin. Rabbit specific IHC polymer detection kit HRP/DAB (ab209101) was used. PBS instead of the primary antibody was used as the negative control. The immunostaining was performed on a Leica Biosystems BOND® RX instrument.

Immunohistochemistry (Formalin/PFA-fixed paraffin-embedded sections) - Anti-Human IgA antibody [EPSISR10] - BSA and Azide free (AB248601)
  • IHC-P

Supplier Data

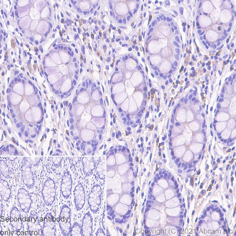
Immunohistochemistry (Formalin/PFA-fixed paraffin-embedded sections) - Anti-Human IgA antibody [EPSISR10] - BSA and Azide free (AB248601)

This data was developed using ab133660, the same antibody clone in a different buffer formulation.
Immunohistochemistry (Formalin/PFA-fixed paraffin-embedded sections) analysis of human colon tissue sections labeling Human IgA with purified ab133660 at 1 : 500 (0.202 μg/ml). Heat mediated antigen retrieval was performed using Bond™ Epitope Retrieval Solution 1 (pH 6.0). Tissue was counterstained with Hematoxylin. Rabbit specific IHC polymer detection kit HRP/DAB (ab209101) was used. PBS instead of the primary antibody was used as the negative control. The immunostaining was performed on a Leica Biosystems BOND® RX instrument.

Western blot - Anti-Human IgA antibody [EPSISR10] - BSA and Azide free (AB248601)
  • WB

Supplier Data

Western blot - Anti-Human IgA antibody [EPSISR10] - BSA and Azide free (AB248601)

This data was developed using ab133660, the same antibody clone in a different buffer formulation.

All lanes:

Western blot - Anti-Human IgA antibody [EPSISR10] (<a href='/en-us/products/primary-antibodies/human-iga-antibody-epsisr10-ab133660'>ab133660</a>) at 1/10000 dilution

Lane 1:

Human tonsil lysate at 15 µg

Lane 2:

Human plasma lysate at 15 µg

Secondary

All lanes:

Goat Anti-Rabbit IgG (HRP) with minimal cross-reactivity with human IgG at 1/2000 dilution

Predicted band size: 37 kDa

Observed band size: 60 kDa

false

Key facts

Host species

Rabbit

Clonality

Monoclonal

Clone number

EPSISR10

Isotype

IgG

Carrier free

Yes

Reacts with

Human

Applications

IHC-P, WB

applications

Immunogen

The exact immunogen used to generate this antibody is proprietary information.

Specificity

This antibody is specific for the heavy chain of IgA.

Reactivity data

{ "title": "Reactivity Data", "filters": { "stats": ["", "Species", "Dilution Info", "Notes"], "tabs": { "all-applications": {"fullname" : "All Applications", "shortname": "All Applications"}, "IHCP" : {"fullname" : "Immunohistochemistry (Formalin/PFA-fixed paraffin-embedded sections)", "shortname":"IHC-P"}, "WB" : {"fullname" : "Western blot", "shortname":"WB"} }, "product-promise": { "all": "all", "testedAndGuaranteed": "tested", "guaranteed": "expected", "predicted": "predicted", "notRecommended": "not-recommended" } }, "values": { "Human": { "IHCP-species-checked": "testedAndGuaranteed", "IHCP-species-dilution-info": "", "IHCP-species-notes": "<p></p>", "WB-species-checked": "testedAndGuaranteed", "WB-species-dilution-info": "", "WB-species-notes": "<p></p>" } } }

Product details

ab248601 is the carrier-free version of ab133660.

Species reactivity
Mouse, Rat: We have preliminary internal testing data to indicate this antibody may not react with these species.
Please contact us for more information.

Patented technology
Our RabMAb® technology is a patented hybridoma-based technology for making rabbit monoclonal antibodies. For details on our patents, please refer to RabMAb® patents.

What are the advantages of a recombinant monoclonal antibody?
This product is a recombinant monoclonal antibody, which offers several advantages including:

  • - High batch-to-batch consistency and reproducibility
  • - Improved sensitivity and specificity
  • - Long-term security of supply
  • - Animal-free batch production

For more information, read more on recombinant antibodies.

Conjugation ready
Our carrier-free antibodies are typically supplied in a PBS-only formulation, purified and free of BSA, sodium azide and glycerol. This conjugation-ready format is designed for use with fluorochromes, metal isotopes, oligonucleotides, and enzymes, which makes them ideal for antibody labelling, functional and cell-based assays, flow-based assays (e.g. mass cytometry) and Multiplex Imaging applications.

Use our conjugation kits for antibody conjugates that are ready-to-use in as little as 20 minutes with 1 minute hands-on-time and 100% antibody recovery: available for fluorescent dyes, HRP, biotin and gold.

Compatibility
This product is compatible with the Maxpar® Antibody Labeling Kit from Fluidigm, without the need for antibody preparation. Maxpar® is a trademark of Fluidigm Canada Inc.

Properties and storage information

Form
Liquid
Purification technique
Affinity purification Protein A
Storage buffer
pH: 7.2 - 7.4 Constituents: PBS
Shipped at conditions
Blue Ice
Appropriate short-term storage conditions
+4°C
Appropriate long-term storage conditions
+4°C
Storage information
Do Not Freeze

Supplementary information

This supplementary information is collated from multiple sources and compiled automatically.

Human IgA also known as Immunoglobulin A is an antibody that plays a critical role in the immune system. It weighs approximately 160 kDa and is predominantly found in mucosal areas such as the respiratory and gastrointestinal tracts as well as in saliva tears and breast milk. In its molecular form IgA often exists as a dimer two IgA molecules linked by a joining (J) chain. The primary function of IgA is to protect mucosal surfaces by neutralizing pathogens and toxins preventing them from adhering to epithelial cells.
Biological function summary

IgA contributes to the immune defense by participating in immune exclusion mechanisms. As part of this process IgA interacts with the polymeric immunoglobulin receptor (pIgR) to transport across epithelial cells making it important for mucosal immunity. IgA is also connected with secretory components that further stabilize and enhance its longevity in mucosal secretions. It plays an integral role in forming complexes that assist in eliminating antigens from mucosal surfaces.

Pathways

Human IgA is an important player in the mucosal immune response pathway defending against pathogens by zeroing in on antigen neutralization. Its interactions with the pIgR are central to the transport mechanism through epithelial cells where the IgA-pIgR complex becomes the secretory IgA. This pathway shares a strong connection with related proteins such as IgM another immunoglobulin involved in the early stages of immune response and found in serum.

IgA is associated with IgA nephropathy a kidney disorder caused by the deposition of IgA in the kidneys leading to inflammation and functional impairment. Additionally IgA plays a role in celiac disease where IgA antibodies are produced in response to gluten and can contribute to intestinal damage. In these conditions the relationship between IgA and other proteins like complement component 3 (C3) is significant as improper regulation of these pathways may lead to tissue damage and disease progression.

Product protocols

For this product, it's our understanding that no specific protocols are required. You can visit:

Target data

Constant region of immunoglobulin heavy chains. Immunoglobulins, also known as antibodies, are membrane-bound or secreted glycoproteins produced by B lymphocytes. In the recognition phase of humoral immunity, the membrane-bound immunoglobulins serve as receptors which, upon binding of a specific antigen, trigger the clonal expansion and differentiation of B lymphocytes into immunoglobulins-secreting plasma cells. Secreted immunoglobulins mediate the effector phase of humoral immunity, which results in the elimination of bound antigens (PubMed : 20176268, PubMed : 22158414). The antigen binding site is formed by the variable domain of one heavy chain, together with that of its associated light chain. Thus, each immunoglobulin has two antigen binding sites with remarkable affinity for a particular antigen. The variable domains are assembled by a process called V-(D)-J rearrangement and can then be subjected to somatic hypermutations which, after exposure to antigen and selection, allow affinity maturation for a particular antigen (PubMed : 17576170, PubMed : 20176268). Ig alpha is the major immunoglobulin class in body secretions (PubMed : 2241915).
See full target information IGHA1

Publications (1)

Recent publications for all applications. Explore the full list and refine your search

Immunity, inflammation and disease 10:e727 PubMed36301031

2022

Forkhead box M1 recruits FoxP3 Treg cells to induce immune escape in hilar cholangiocarcinoma.

Applications

Unspecified application

Species

Unspecified reactive species

Kai Ma,Zhaowei Sun,Xueliang Li,Jingyun Guo,Qinlei Wang,Mujian Teng
View all publications

Product promise

We are committed to supporting your work with high-quality reagents, and we're here for you every step of the way. In the unlikely event that one of our products does not perform as expected, you're protected by our Product Promise.
For full details, please see our Terms & Conditions

Please note: All products are 'FOR RESEARCH USE ONLY. NOT FOR USE IN DIAGNOSTIC OR THERAPEUTIC PROCEDURES'.

For licensing inquiries, please contact partnerships@abcam.com