JavaScript is disabled in your browser. Please enable JavaScript to view this website.
AB180555

Anti-Human IgG antibody [E20V]

Be the first to review this product! Submit a review

|

(1 Publication)

Rabbit Monoclonal IGHG1 antibody. Suitable for IHC-P and reacts with Human samples. Cited in 1 publication. Immunogen corresponding to Synthetic Peptide within Human IGHG1.

View Alternative Names

Immunoglobulin heavy constant gamma 1, Ig gamma-1 chain C region, Ig gamma-1 chain C region EU, Ig gamma-1 chain C region KOL, Ig gamma-1 chain C region NIE, IGHG1

2 Images
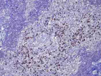
Immunohistochemistry (Formalin/PFA-fixed paraffin-embedded sections) - Anti-Human IgG antibody [E20V] (AB180555)
  • IHC-P

Supplier Data

Immunohistochemistry (Formalin/PFA-fixed paraffin-embedded sections) - Anti-Human IgG antibody [E20V] (AB180555)

Immunohistochemical analysis of paraffin-embedded Plamsa cells of IgG4-related chronic sclerosing sialoadenitis, labeling IgG with ab180555 at 1/100 dilution.

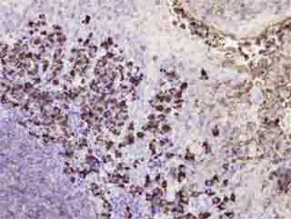
Immunohistochemistry (Formalin/PFA-fixed paraffin-embedded sections) - Anti-Human IgG antibody [E20V] (AB180555)
  • IHC-P

Supplier Data

Immunohistochemistry (Formalin/PFA-fixed paraffin-embedded sections) - Anti-Human IgG antibody [E20V] (AB180555)

Immunohistochemical analysis of paraffin-embedded Human tonsillar tissue (plasma cells) labeling IgG with ab180555 at 1/100 dilution.

Key facts

Host species

Rabbit

Clonality

Monoclonal

Clone number

E20V

Isotype

IgG

Carrier free

No

Reacts with

Human

Applications

IHC-P

applications

Immunogen

Synthetic Peptide within Human IGHG1. The exact immunogen used to generate this antibody is proprietary information.

P01857

Epitope

Antibody recognizes the epitope located between Val167 - Val185

Reactivity data

{ "title": "Reactivity Data", "filters": { "stats": ["", "Species", "Dilution Info", "Notes"], "tabs": { "all-applications": {"fullname" : "All Applications", "shortname": "All Applications"}, "IHCP" : {"fullname" : "Immunohistochemistry (Formalin/PFA-fixed paraffin-embedded sections)", "shortname":"IHC-P"} }, "product-promise": { "all": "all", "testedAndGuaranteed": "tested", "guaranteed": "expected", "predicted": "predicted", "notRecommended": "not-recommended" } }, "values": { "Human": { "IHCP-species-checked": "testedAndGuaranteed", "IHCP-species-dilution-info": "1/100 - 1/300", "IHCP-species-notes": "<p></p>" } } }

Properties and storage information

Form
Liquid
Purification notes
This immunoglobulin is the product of one single B-cell line from the crude anti-peptide polyclonal anti-serum. ab180555 is purified using a propriety technique and offers a completely post-translationally modified and properly glycosylated antibody. This offers increased stability.
Storage buffer
pH: 8 Preservative: 0.05% Sodium azide Constituents: 2% BSA, 0.32% Tris HCl
Shipped at conditions
Blue Ice
Appropriate short-term storage duration
1-2 weeks
Appropriate short-term storage conditions
+4°C
Appropriate long-term storage conditions
-20°C
Aliquoting information
Upon delivery aliquot
Storage information
Avoid freeze / thaw cycle

Product protocols

For this product, it's our understanding that no specific protocols are required. You can visit:

Target data

Constant region of immunoglobulin heavy chains. Immunoglobulins, also known as antibodies, are membrane-bound or secreted glycoproteins produced by B lymphocytes. In the recognition phase of humoral immunity, the membrane-bound immunoglobulins serve as receptors which, upon binding of a specific antigen, trigger the clonal expansion and differentiation of B lymphocytes into immunoglobulins-secreting plasma cells. Secreted immunoglobulins mediate the effector phase of humoral immunity, which results in the elimination of bound antigens (PubMed : 20176268, PubMed : 22158414). The antigen binding site is formed by the variable domain of one heavy chain, together with that of its associated light chain. Thus, each immunoglobulin has two antigen binding sites with remarkable affinity for a particular antigen. The variable domains are assembled by a process called V-(D)-J rearrangement and can then be subjected to somatic hypermutations which, after exposure to antigen and selection, allow affinity maturation for a particular antigen (PubMed : 17576170, PubMed : 20176268). Mediates IgG effector functions on monocytes triggering ADCC of virus-infected cells.
See full target information IGHG1

Publications (1)

Recent publications for all applications. Explore the full list and refine your search

eLife 9: PubMed32142407

2020

Eya2 promotes cell cycle progression by regulating DNA damage response during vertebrate limb regeneration.

Applications

Unspecified application

Species

Unspecified reactive species

Konstantinos Sousounis,Donald M Bryant,Jose Martinez Fernandez,Samuel S Eddy,Stephanie L Tsai,Gregory C Gundberg,Jihee Han,Katharine Courtemanche,Michael Levin,Jessica L Whited
View all publications

Product promise

We are committed to supporting your work with high-quality reagents, and we're here for you every step of the way. In the unlikely event that one of our products does not perform as expected, you're protected by our Product Promise.
For full details, please see our Terms & Conditions

Please note: All products are 'FOR RESEARCH USE ONLY. NOT FOR USE IN DIAGNOSTIC OR THERAPEUTIC PROCEDURES'.

For licensing inquiries, please contact partnerships@abcam.com