JavaScript is disabled in your browser. Please enable JavaScript to view this website.
AB213242

Anti-Human IgG antibody [EPR21250]

  • BOND RX™ Validated
  • Recombinant
  • RabMAb
  • Lab Essentials
  • What is this?

Be the first to review this product! Submit a review

|

(1 Publication)

Rabbit Recombinant Monoclonal IGHG1 antibody. Suitable for IHC-P, ELISA and reacts with Human samples. Cited in 1 publication.

View Alternative Names

Immunoglobulin heavy constant gamma 1, Ig gamma-1 chain C region, Ig gamma-1 chain C region EU, Ig gamma-1 chain C region KOL, Ig gamma-1 chain C region NIE, IGHG1

4 Images
Immunohistochemistry (Formalin/PFA-fixed paraffin-embedded sections) - Anti-Human IgG antibody [EPR21250] (AB213242)
  • IHC-P

Lab

Immunohistochemistry (Formalin/PFA-fixed paraffin-embedded sections) - Anti-Human IgG antibody [EPR21250] (AB213242)

IHC image of Human IgG staining in a section of formalin-fixed paraffin-embedded normal human cerebral cortex, performed on a Leica BONDTM system using the standard protocol F. The tissue section was pre-treated using heat mediated antigen retrieval with sodium citrate buffer (pH6, epitope retrieval solution 1) for 20mins. The section was then incubated with ab213242, 0.05ug/ml, for 15 mins at room temperature and detected using an HRP conjugated compact polymer system.

DAB was used as the chromogen. The section was then counterstained with haematoxylin and mounted with DPX. The inset secondary-only control image is taken from an identical assay without primary antibody.

For other IHC staining systems (automated and non-automated) customers should optimize variable parameters such as antigen retrieval conditions, primary antibody concentration and antibody incubation times.

Immunohistochemistry (Formalin/PFA-fixed paraffin-embedded sections) - Anti-Human IgG antibody [EPR21250] (AB213242)
  • IHC-P

Lab

Immunohistochemistry (Formalin/PFA-fixed paraffin-embedded sections) - Anti-Human IgG antibody [EPR21250] (AB213242)

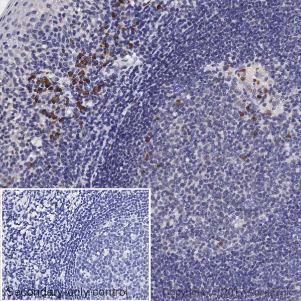
IHC image of Human IgG staining in a section of formalin-fixed paraffin-embedded normal human tonsil and normal human cerebral cortex, performed on a Leica BONDTM system using the standard protocol F. The tissue sections were pre-treated using heat mediated antigen retrieval with sodium citrate buffer (pH6, epitope retrieval solution 1) for 20mins. The sections were then incubated with ab213242, 0.05ug/ml, for 15 mins at room temperature and detected using an HRP conjugated compact polymer system.

DAB was used as the chromogen. The sections were then counterstained with haematoxylin and mounted with DPX. The inset secondary-only control image is taken from an identical assay without primary antibody.

For other IHC staining systems (automated and non-automated) customers should optimize variable parameters such as antigen retrieval conditions, primary antibody concentration and antibody incubation times.

Tonsil tissue obtained from the Human Research Tissue Bank, supported by the NIHR Cambridge Biomedical Research Centre.

Immunohistochemistry (Formalin/PFA-fixed paraffin-embedded sections) - Anti-Human IgG antibody [EPR21250] (AB213242)
  • IHC-P

Lab

Immunohistochemistry (Formalin/PFA-fixed paraffin-embedded sections) - Anti-Human IgG antibody [EPR21250] (AB213242)

IHC image of Human IgG staining in a section of formalin-fixed paraffin-embedded normal human tonsil, performed on a Leica BONDTM system using the standard protocol F. The tissue section was pre-treated using heat mediated antigen retrieval with sodium citrate buffer (pH6, epitope retrieval solution 1) for 20mins. The section was then incubated with ab213242, 0.05ug/ml, for 15 mins at room temperature and detected using an HRP conjugated compact polymer system.

DAB was used as the chromogen. The section was then counterstained with haematoxylin and mounted with DPX. The inset secondary-only control image is taken from an identical assay without primary antibody.

For other IHC staining systems (automated and non-automated) customers should optimize variable parameters such as antigen retrieval conditions, primary antibody concentration and antibody incubation times.

Tonsil tissue obtained from the Human Research Tissue Bank, supported by the NIHR Cambridge Biomedical Research Centre.

ELISA - Anti-Human IgG antibody [EPR21250] (AB213242)
  • ELISA

Lab

ELISA - Anti-Human IgG antibody [EPR21250] (AB213242)

Different concentrations of immobilised human IgG (x-axis) was recognised in an indirect ELISA by ab213242 (1 μg x mL-1). Bound ab213242 was detected by peroxidase conjugated goat anti-rabbit IgG (1.6 μg x mL-1). OD (background signal subtracted) shown on the y-axis.

Key facts

Host species

Rabbit

Clonality

Monoclonal

Clone number

EPR21250

Isotype

IgG1

Carrier free

No

Reacts with

Human

Applications

IHC-P, ELISA

applications

Reactivity data

{ "title": "Reactivity Data", "filters": { "stats": ["", "Species", "Dilution Info", "Notes"], "tabs": { "all-applications": {"fullname" : "All Applications", "shortname": "All Applications"}, "IHCP" : {"fullname" : "Immunohistochemistry (Formalin/PFA-fixed paraffin-embedded sections)", "shortname":"IHC-P"}, "ELISA" : {"fullname" : "ELISA", "shortname":"ELISA"} }, "product-promise": { "all": "all", "testedAndGuaranteed": "tested", "guaranteed": "expected", "predicted": "predicted", "notRecommended": "not-recommended" } }, "values": { "Human": { "IHCP-species-checked": "testedAndGuaranteed", "IHCP-species-dilution-info": "0.05-0.1 µg/mL", "IHCP-species-notes": "<p></p> Perform heat-mediated antigen retrieval with citrate buffer pH 6 before commencing with IHC staining protocol.", "ELISA-species-checked": "testedAndGuaranteed", "ELISA-species-dilution-info": "", "ELISA-species-notes": "<p></p>" } } }

Product details

This product was made using synthetic libraries and phage display technology.

This antibody is a recombinant chimeric antibody. Rabbit chimeric monoclonal antibody (Human Fab/ Rabbit Fc).

Properties and storage information

Form
Liquid
Storage buffer
Preservative: 0.02% Sodium azide Constituents: PBS, 1% BSA
Shipped at conditions
Blue Ice
Appropriate short-term storage duration
1-2 weeks
Appropriate short-term storage conditions
+4°C
Appropriate long-term storage conditions
-20°C
Aliquoting information
Upon delivery aliquot
Storage information
Avoid freeze / thaw cycle

Product protocols

For this product, it's our understanding that no specific protocols are required. You can visit:

Target data

Constant region of immunoglobulin heavy chains. Immunoglobulins, also known as antibodies, are membrane-bound or secreted glycoproteins produced by B lymphocytes. In the recognition phase of humoral immunity, the membrane-bound immunoglobulins serve as receptors which, upon binding of a specific antigen, trigger the clonal expansion and differentiation of B lymphocytes into immunoglobulins-secreting plasma cells. Secreted immunoglobulins mediate the effector phase of humoral immunity, which results in the elimination of bound antigens (PubMed : 20176268, PubMed : 22158414). The antigen binding site is formed by the variable domain of one heavy chain, together with that of its associated light chain. Thus, each immunoglobulin has two antigen binding sites with remarkable affinity for a particular antigen. The variable domains are assembled by a process called V-(D)-J rearrangement and can then be subjected to somatic hypermutations which, after exposure to antigen and selection, allow affinity maturation for a particular antigen (PubMed : 17576170, PubMed : 20176268). Mediates IgG effector functions on monocytes triggering ADCC of virus-infected cells.
See full target information IGHG1

Publications (1)

Recent publications for all applications. Explore the full list and refine your search

Current issues in molecular biology 46:1593-1606 PubMed38392221

2024

Plastoquinone-Derivative SkQ1 Improved the Biliary Intraepithelial Neoplasia during Liver Fluke Infection.

Applications

Unspecified application

Species

Unspecified reactive species

Oxana Zaparina,Anna Kovner,Viktoria Petrova,Nataliya Kolosova,Viatcheslav Mordvinov,Maria Pakharukova
View all publications

Product promise

We are committed to supporting your work with high-quality reagents, and we're here for you every step of the way. In the unlikely event that one of our products does not perform as expected, you're protected by our Product Promise.
For full details, please see our Terms & Conditions

Please note: All products are 'FOR RESEARCH USE ONLY. NOT FOR USE IN DIAGNOSTIC OR THERAPEUTIC PROCEDURES'.

For licensing inquiries, please contact partnerships@abcam.com