JavaScript is disabled in your browser. Please enable JavaScript to view this website.
AB216446

Anti-Human IgG antibody [EPR4421] - Low endotoxin, Azide free

Be the first to review this product! Submit a review

|

(7 Publications)

Rabbit Recombinant Monoclonal IGHG1 antibody. Carrier free. Suitable for IHC-P, WB and reacts with Human, Recombinant full length protein - Human samples. Cited in 7 publications.

View Alternative Names

Immunoglobulin heavy constant gamma 1, Ig gamma-1 chain C region, Ig gamma-1 chain C region EU, Ig gamma-1 chain C region KOL, Ig gamma-1 chain C region NIE, IGHG1

4 Images
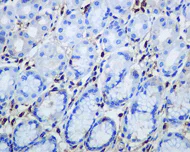
Immunohistochemistry (Formalin/PFA-fixed paraffin-embedded sections) - Anti-Human IgG antibody [EPR4421] - Low endotoxin, Azide free (AB216446)
  • IHC-P

Unknown

Immunohistochemistry (Formalin/PFA-fixed paraffin-embedded sections) - Anti-Human IgG antibody [EPR4421] - Low endotoxin, Azide free (AB216446)

Immunohistochemistry (Formalin/PFA-fixed paraffin-embedded sections) analysis of human stomach tissue labelling IgG with unpurified ab109489 at a dilution of 1/500.

This data was developed using the same antibody clone in a different buffer formulation containing PBS, BSA, glycerol, and sodium azide (ab109489).

Perform heat mediated antigen retrieval before commencing with IHC staining protocol.

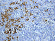
Immunohistochemistry (Formalin/PFA-fixed paraffin-embedded sections) - Anti-Human IgG antibody [EPR4421] - Low endotoxin, Azide free (AB216446)
  • IHC-P

Unknown

Immunohistochemistry (Formalin/PFA-fixed paraffin-embedded sections) - Anti-Human IgG antibody [EPR4421] - Low endotoxin, Azide free (AB216446)

Immunohistochemistry (Formalin/PFA-fixed paraffin-embedded sections) analysis of human tonsil tissue labelling IgG with unpurified ab109489 at a dilution of 1/500.

This data was developed using the same antibody clone in a different buffer formulation containing PBS, BSA, glycerol, and sodium azide (ab109489).

Perform heat mediated antigen retrieval before commencing with IHC staining protocol.

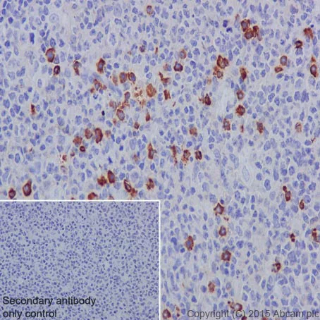
Immunohistochemistry (Formalin/PFA-fixed paraffin-embedded sections) - Anti-Human IgG antibody [EPR4421] - Low endotoxin, Azide free (AB216446)
  • IHC-P

Lab

Immunohistochemistry (Formalin/PFA-fixed paraffin-embedded sections) - Anti-Human IgG antibody [EPR4421] - Low endotoxin, Azide free (AB216446)

Immunohistochemistry (Formalin/PFA-fixed paraffin-embedded sections) analysis of human tonsil tissue labelling Human IgG with purified ab109489 at 1/300. Heat mediated antigen retrieval was performed using Tris/EDTA buffer pH 9. ab97051, a HRP-conjugated goat anti-rabbit IgG (H+L) was used as the secondary antibody (1/500). Negative control using PBS instead of primary antibody. Counterstained with hematoxylin.

This data was developed using the same antibody clone in a different buffer formulation containing PBS, BSA, glycerol, and sodium azide (ab109489).

Western blot - Anti-Human IgG antibody [EPR4421] - Low endotoxin, Azide free (AB216446)
  • WB

Lab

Western blot - Anti-Human IgG antibody [EPR4421] - Low endotoxin, Azide free (AB216446)

This data was developed using the same antibody clone in a different buffer formulation containing PBS, BSA, glycerol, and sodium azide (ab109489).

Blocking and dilution buffer : 5% NFDM/TBST.

Lane 1:

IgG1 recombinant protein at 0.01 µg

Lane 2:

IgG2 recombinant protein at 0.01 µg

Lane 3:

IgG4 recombinant protein at 0.01 µg

Secondary

All lanes:

Western blot - Goat Anti-Rabbit IgG H&L (HRP) (<a href='/en-us/products/secondary-antibodies/goat-rabbit-igg-h-l-hrp-ab97051'>ab97051</a>) at 1/50000 dilution

false

Key facts

Host species

Rabbit

Clonality

Monoclonal

Clone number

EPR4421

Isotype

IgG

Carrier free

Yes

Reacts with

Human

Applications

WB, IHC-P

applications

Immunogen

The exact immunogen used to generate this antibody is proprietary information.

Specificity

This antibody recognizes all four Human IgG isotypes (IgG1, IgG2, IgG3, and IgG4).

Reactivity data

{ "title": "Reactivity Data", "filters": { "stats": ["", "Species", "Dilution Info", "Notes"], "tabs": { "all-applications": {"fullname" : "All Applications", "shortname": "All Applications"}, "IHCP" : {"fullname" : "Immunohistochemistry (Formalin/PFA-fixed paraffin-embedded sections)", "shortname":"IHC-P"}, "WB" : {"fullname" : "Western blot", "shortname":"WB"} }, "product-promise": { "all": "all", "testedAndGuaranteed": "tested", "guaranteed": "expected", "predicted": "predicted", "notRecommended": "not-recommended" } }, "values": { "Human": { "IHCP-species-checked": "testedAndGuaranteed", "IHCP-species-dilution-info": "", "IHCP-species-notes": "<p></p>", "WB-species-checked": "testedAndGuaranteed", "WB-species-dilution-info": "", "WB-species-notes": "<p></p>" }, "Recombinant full length protein - Human": { "IHCP-species-checked": "notRecommended", "IHCP-species-dilution-info": "", "IHCP-species-notes": "", "WB-species-checked": "testedAndGuaranteed", "WB-species-dilution-info": "", "WB-species-notes": "<p></p>" } } }

Product details

ab216446 is the carrier-free version of ab109489.

Species reactivity
Mouse, Rat: We have preliminary internal testing data to indicate this antibody may not react with these species.
Please contact us for more information.

Patented technology
Our RabMAb® technology is a patented hybridoma-based technology for making rabbit monoclonal antibodies. For details on our patents, please refer to RabMAb® patents.

What are the advantages of a recombinant monoclonal antibody?
This product is a recombinant monoclonal antibody, which offers several advantages including:

  • - High batch-to-batch consistency and reproducibility
  • - Improved sensitivity and specificity
  • - Long-term security of supply
  • - Animal-free batch production

For more information, read more on recombinant antibodies.

Conjugation ready
Our carrier-free antibodies are typically supplied in a PBS-only formulation, purified and free of BSA, sodium azide and glycerol. This conjugation-ready format is designed for use with fluorochromes, metal isotopes, oligonucleotides, and enzymes, which makes them ideal for antibody labelling, functional and cell-based assays, flow-based assays (e.g. mass cytometry) and Multiplex Imaging applications.

Use our conjugation kits for antibody conjugates that are ready-to-use in as little as 20 minutes with 1 minute hands-on-time and 100% antibody recovery: available for fluorescent dyes, HRP, biotin and gold.

What does low endotoxin mean?
Our low endotoxin, azide-free formats have low endotoxin level (1 EU/mg, determined by the TAL assay) and are free from azide, to achieve consistent experimental results in functional assays.

Properties and storage information

Form
Liquid
Purification technique
Affinity purification Protein A
Storage buffer
pH: 7.2 - 7.4 Constituents: PBS
Shipped at conditions
Blue Ice
Appropriate short-term storage conditions
+4°C
Appropriate long-term storage conditions
+4°C
Storage information
Do Not Freeze

Product protocols

For this product, it's our understanding that no specific protocols are required. You can visit:

Target data

Constant region of immunoglobulin heavy chains. Immunoglobulins, also known as antibodies, are membrane-bound or secreted glycoproteins produced by B lymphocytes. In the recognition phase of humoral immunity, the membrane-bound immunoglobulins serve as receptors which, upon binding of a specific antigen, trigger the clonal expansion and differentiation of B lymphocytes into immunoglobulins-secreting plasma cells. Secreted immunoglobulins mediate the effector phase of humoral immunity, which results in the elimination of bound antigens (PubMed : 20176268, PubMed : 22158414). The antigen binding site is formed by the variable domain of one heavy chain, together with that of its associated light chain. Thus, each immunoglobulin has two antigen binding sites with remarkable affinity for a particular antigen. The variable domains are assembled by a process called V-(D)-J rearrangement and can then be subjected to somatic hypermutations which, after exposure to antigen and selection, allow affinity maturation for a particular antigen (PubMed : 17576170, PubMed : 20176268). Mediates IgG effector functions on monocytes triggering ADCC of virus-infected cells.
See full target information IGHG1

Publications (7)

Recent publications for all applications. Explore the full list and refine your search

International journal of biological sciences 12:1114-20 PubMed27570485

2016

Novel FOXC2 Mutation in Hereditary Distichiasis Impairs DNA-Binding Activity and Transcriptional Activation.

Applications

Unspecified application

Species

Unspecified reactive species

Leilei Zhang,Jie He,Bing Han,Linna Lu,Jiayan Fan,He Zhang,Shengfang Ge,Yixiong Zhou,Renbing Jia,Xianqun Fan

Gut 65:1322-32 PubMed26964842

2016

Pathogenicity of IgG in patients with IgG4-related disease.

Applications

Unspecified application

Species

Human

Masahiro Shiokawa,Yuzo Kodama,Katsutoshi Kuriyama,Kenichi Yoshimura,Teruko Tomono,Toshihiro Morita,Nobuyuki Kakiuchi,Tomoaki Matsumori,Atsushi Mima,Yoshihiro Nishikawa,Tatsuki Ueda,Motoyuki Tsuda,Yuki Yamauchi,Ryuki Minami,Yojiro Sakuma,Yuji Ota,Takahisa Maruno,Akira Kurita,Yugo Sawai,Yoshihisa Tsuji,Norimitsu Uza,Kazuyoshi Matsumura,Tomohiro Watanabe,Kenji Notohara,Tatsuaki Tsuruyama,Hiroshi Seno,Tsutomu Chiba

Chinese medical journal 128:493-8 PubMed25673452

2015

Clinical research on benign lymphoepithelial lesions of lacrimal gland in 20 Chinese patients.

Applications

IHC-P

Species

Human

Jian-Min Ma,Jing Li,Xin Ge,Ming Li,Jin-Ru Li,Xiao-Na Wang

Cancer cell 26:177-89 PubMed25043603

2014

Apo2L/TRAIL and the death receptor 5 agonist antibody AMG 655 cooperate to promote receptor clustering and antitumor activity.

Applications

WB

Species

Human

Jonathan D Graves,Jennifer J Kordich,Tzu-Hsuan Huang,Julia Piasecki,Tammy L Bush,Timothy Sullivan,Ian N Foltz,Wesley Chang,Heather Douangpanya,Thu Dang,Jason W O'Neill,Rommel Mallari,Xiaoning Zhao,Daniel G Branstetter,John M Rossi,Alexander M Long,Xin Huang,Pamela M Holland

World journal of surgical oncology 12:186 PubMed24938355

2014

An inflammatory myofibroblastic tumor exhibiting immunoreactivity to KIT: a case report focusing on a diagnostic pitfall.

Applications

IHC-P

Species

Human

Tatsuki R Kataoka,Nobuhiro Yamashita,Ayako Furuhata,Masahiro Hirata,Takaki Ishida,Ichiro Nakamura,Seiichi Hirota,Hironori Haga,Eiji Katsuyama

Annals of hematology 93:1371-80 PubMed24687382

2014

Expression of cereblon protein assessed by immunohistochemicalstaining in myeloma cells is associated with superior response of thalidomide- and lenalidomide-based treatment, but not bortezomib-based treatment, in patients with multiple myeloma.

Applications

IHC-P

Species

Human

Shang-Yi Huang,Chung-Wu Lin,Hsiu-Hsia Lin,Ming Yao,Jih-Luh Tang,Shang-Ju Wu,Yao-Chang Chen,Hsiao-Yun Lu,Hsin-An Hou,Chien-Yuan Chen,Wen-Chien Chou,Woei Tsay,Sheng-Je Chou,Hwei-Fang Tien

Molecular cancer therapeutics 12:38-47 PubMed23223830

2012

Long-term tumor regression induced by an antibody-drug conjugate that targets 5T4, an oncofetal antigen expressed on tumor-initiating cells.

Applications

IHC-P

Species

Unspecified reactive species

Puja Sapra,Marc Damelin,John Dijoseph,Kimberly Marquette,Kenneth G Geles,Jonathon Golas,Maureen Dougher,Bitha Narayanan,Andreas Giannakou,Kiran Khandke,Russell Dushin,Elana Ernstoff,Judy Lucas,Mauricio Leal,George Hu,Christopher J O'Donnell,Lioudmila Tchistiakova,Robert T Abraham,Hans-Peter Gerber
View all publications

Product promise

We are committed to supporting your work with high-quality reagents, and we're here for you every step of the way. In the unlikely event that one of our products does not perform as expected, you're protected by our Product Promise.
For full details, please see our Terms & Conditions

Please note: All products are 'FOR RESEARCH USE ONLY. NOT FOR USE IN DIAGNOSTIC OR THERAPEUTIC PROCEDURES'.

For licensing inquiries, please contact partnerships@abcam.com