JavaScript is disabled in your browser. Please enable JavaScript to view this website.
AB233885

Anti-Human IgG antibody [IG266] - BSA and Azide free

Be the first to review this product! Submit a review

|

(2 Publications)

Mouse Recombinant Monoclonal IGHG1 antibody. Carrier free. Suitable for IHC-P, WB, Flow Cyt and reacts with Human samples. Cited in 2 publications. Immunogen corresponding to Native Full Length Protein corresponding to Human IGHG4.

View Alternative Names

Immunoglobulin heavy constant gamma 1, Ig gamma-1 chain C region, Ig gamma-1 chain C region EU, Ig gamma-1 chain C region KOL, Ig gamma-1 chain C region NIE, IGHG1

6 Images
Immunohistochemistry (Formalin/PFA-fixed paraffin-embedded sections) - Anti-Human IgG antibody [IG266] - BSA and Azide free (AB233885)
  • IHC-P

Lab

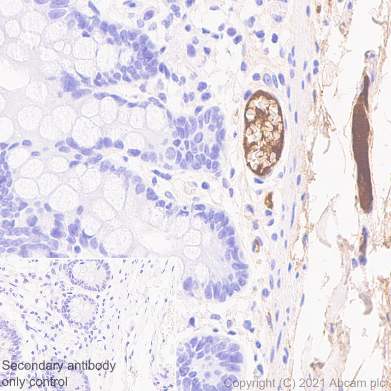
Immunohistochemistry (Formalin/PFA-fixed paraffin-embedded sections) - Anti-Human IgG antibody [IG266] - BSA and Azide free (AB233885)

This data was developed using the same antibody clone in a different buffer formation (ab200699).

Immunohistochemical analysis of paraffin-embedded Human colon tissue labeling Human IgG with ab200699 at 1/1000 (0.831 ug/ml) dilution, followed by a ready to use Goat Anti-Mouse IgG H&L (HRP polymer) (ab214879).

Cytoplasmic staining in plasma of human colon.

The section was incubated with ab200699 for 30 mins at room temperature.

The immunostaining was performed on a Leica Biosystems BOND® RX instrument

Counterstained with Hematoxylin.

Secondary antibody only control : Secondary antibody is a ready to use Goat Anti-Mouse IgG H&L (HRP polymer) (ab214879).

Heat mediated antigen retrieval with Citrate buffer (pH 6.0, epitope retrieval solution 1) for 20 mins

Immunohistochemistry (Formalin/PFA-fixed paraffin-embedded sections) - Anti-Human IgG antibody [IG266] - BSA and Azide free (AB233885)
  • IHC-P

Lab

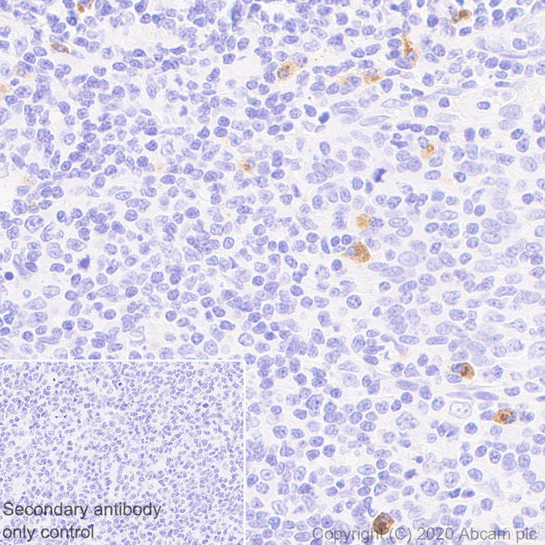
Immunohistochemistry (Formalin/PFA-fixed paraffin-embedded sections) - Anti-Human IgG antibody [IG266] - BSA and Azide free (AB233885)

This data was developed using the same antibody clone in a different buffer formation (ab200699).

Immunohistochemical analysis of paraffin-embedded Human tonsil tissue labeling Human IgG with ab200699 at 1/1000 (0.831 ug/ml) dilution, followed by a ready to use LeicaDS9800 (Bond™ Polymer Refine Detection).

Cytoplasmic staining in plasmocyte of human tonsil.

The section was incubated with ab200699 for 30 mins at room temperature.

The immunostaining was performed on a Leica Biosystems BOND® RX instrument

Counterstained with Hematoxylin.

Secondary antibody only control : Secondary antibody is a ready to use LeicaDS9800 (Bond™ Polymer Refine Detection).

Heat mediated antigen retrieval with Citrate buffer (pH 6.0, epitope retrieval solution 1) for 20 mins

Flow Cytometry - Anti-Human IgG antibody [IG266] - BSA and Azide free (AB233885)
  • Flow Cyt

Lab

Flow Cytometry - Anti-Human IgG antibody [IG266] - BSA and Azide free (AB233885)

This data was developed using the same antibody clone in a different buffer formation (ab200699).

Flow cytometric analysis of Human peripheral blood mononuclear cell (PBMC) cells labelling Human IgG with ab200699 at 1/800 dilution (0.1 ug) / Right compared with a Mouse monoclonal IgG / Left.

Goat anti mouse IgG (Alexa Fluor® 488, ab150113) was used as the secondary antibody at 1/2000 dilution.

Cells were stained with mouse IgG or ab200699. Then stained with anti-CD19 conjugated to Alexa Fluor® 647.

Gated on viable cells.

Western blot - Anti-Human IgG antibody [IG266] - BSA and Azide free (AB233885)
  • WB

Lab

Western blot - Anti-Human IgG antibody [IG266] - BSA and Azide free (AB233885)

This data was developed using the same antibody clone in a different buffer formation (ab200699).

Blocking and diluting buffer and concentration : 5% NFDM/TBST

All lanes:

Western blot - Anti-Human IgG antibody [IG266] (<a href='/en-us/products/primary-antibodies/human-igg-antibody-ig266-ab200699'>ab200699</a>) at 1/1000 dilution

Lane 1:

Human spleen tissue lysate at 10 µg

Lane 2:

Human tonsil tissue lysate at 10 µg

Secondary

All lanes:

Western blot - Anti-mouse IgG for IP (HRP) (<a href='/en-us/products/secondary-antibodies/mouse-igg-for-ip-hrp-ab131368'>ab131368</a>) at 1/1000 dilution

Predicted band size: 36 kDa

Observed band size: 50 kDa

false

Exposure time: 6s

Western blot - Anti-Human IgG antibody [IG266] - BSA and Azide free (AB233885)
  • WB

Lab

Western blot - Anti-Human IgG antibody [IG266] - BSA and Azide free (AB233885)

This data was developed using the same antibody clone in a different buffer formation (ab200699).

Blocking and diluting buffer and concentration : 5% NFDM/TBST

All lanes:

Western blot - Anti-Human IgG antibody [IG266] (<a href='/en-us/products/primary-antibodies/human-igg-antibody-ig266-ab200699'>ab200699</a>) at 1/5000 dilution

All lanes:

Human serum at 10 µg

Secondary

All lanes:

Western blot - Anti-mouse IgG for IP (HRP) (<a href='/en-us/products/secondary-antibodies/mouse-igg-for-ip-hrp-ab131368'>ab131368</a>) at 1/1000 dilution

Predicted band size: 36 kDa

Observed band size: 50 kDa

false

Exposure time: 8s

Immunohistochemistry (Formalin/PFA-fixed paraffin-embedded sections) - Anti-Human IgG antibody [IG266] - BSA and Azide free (AB233885)
  • IHC-P

Supplier Data

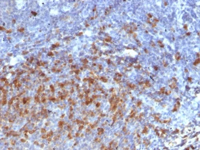
Immunohistochemistry (Formalin/PFA-fixed paraffin-embedded sections) - Anti-Human IgG antibody [IG266] - BSA and Azide free (AB233885)

This data was developed using the same antibody clone in a different buffer formation (ab200699).

Formalin-fixed, paraffin-embedded human tonsil tissue stained for IgG using ab200699 at 1 μg/ml dilution in immunohistochemical analysis.

Key facts

Host species

Mouse

Clonality

Monoclonal

Clone number

IG266

Isotype

IgG2a

Light chain type

kappa

Carrier free

Yes

Reacts with

Human

Applications

IHC-P, Flow Cyt, WB

applications

Immunogen

Native Full Length Protein corresponding to Human IGHG4.

P01861

Specificity

ab200699 recognizes a protein of 75 kDa, identified as gamma heavy chain of Human immunoglobulins. It does not cross-react with alpha (IgA), mu (IgM), epsilon (IgE), or delta (IgD), heavy chains, T-cells, monocytes, granulocytes, or erythrocytes.

Reactivity data

{ "title": "Reactivity Data", "filters": { "stats": ["", "Species", "Dilution Info", "Notes"], "tabs": { "all-applications": {"fullname" : "All Applications", "shortname": "All Applications"}, "IHCP" : {"fullname" : "Immunohistochemistry (Formalin/PFA-fixed paraffin-embedded sections)", "shortname":"IHC-P"}, "WB" : {"fullname" : "Western blot", "shortname":"WB"}, "FlowCyt" : {"fullname" : "Flow Cytometry", "shortname":"Flow Cyt"} }, "product-promise": { "all": "all", "testedAndGuaranteed": "tested", "guaranteed": "expected", "predicted": "predicted", "notRecommended": "not-recommended" } }, "values": { "Human": { "IHCP-species-checked": "testedAndGuaranteed", "IHCP-species-dilution-info": "", "IHCP-species-notes": "<p></p>", "WB-species-checked": "testedAndGuaranteed", "WB-species-dilution-info": "", "WB-species-notes": "<p></p>", "FlowCyt-species-checked": "testedAndGuaranteed", "FlowCyt-species-dilution-info": "", "FlowCyt-species-notes": "<p></p>" } } }

Product details

This product has switched from a hybridoma to recombinant production method on 14th March 2024.

Properties and storage information

Form
Liquid
Purification technique
Affinity purification Protein A
Storage buffer
pH: 7.2 - 7.4 Constituents: 100% PBS
Shipped at conditions
Blue Ice
Appropriate short-term storage duration
1-2 weeks
Appropriate short-term storage conditions
+4°C
Appropriate long-term storage conditions
-20°C
Aliquoting information
Upon delivery aliquot
Storage information
Avoid freeze / thaw cycle

Product protocols

For this product, it's our understanding that no specific protocols are required. You can visit:

Target data

Constant region of immunoglobulin heavy chains. Immunoglobulins, also known as antibodies, are membrane-bound or secreted glycoproteins produced by B lymphocytes. In the recognition phase of humoral immunity, the membrane-bound immunoglobulins serve as receptors which, upon binding of a specific antigen, trigger the clonal expansion and differentiation of B lymphocytes into immunoglobulins-secreting plasma cells. Secreted immunoglobulins mediate the effector phase of humoral immunity, which results in the elimination of bound antigens (PubMed : 20176268, PubMed : 22158414). The antigen binding site is formed by the variable domain of one heavy chain, together with that of its associated light chain. Thus, each immunoglobulin has two antigen binding sites with remarkable affinity for a particular antigen. The variable domains are assembled by a process called V-(D)-J rearrangement and can then be subjected to somatic hypermutations which, after exposure to antigen and selection, allow affinity maturation for a particular antigen (PubMed : 17576170, PubMed : 20176268). Mediates IgG effector functions on monocytes triggering ADCC of virus-infected cells.
See full target information IGHG1

Publications (2)

Recent publications for all applications. Explore the full list and refine your search

International journal of molecular sciences 22: PubMed33401449

2021

The Paradox Effect of Calcification in Carotid Atherosclerosis: Microcalcification is Correlated with Plaque Instability.

Applications

Unspecified application

Species

Unspecified reactive species

Manuela Montanaro,Manuel Scimeca,Lucia Anemona,Francesca Servadei,Erica Giacobbi,Rita Bonfiglio,Elena Bonanno,Nicoletta Urbano,Arnaldo Ippoliti,Giuseppe Santeusanio,Orazio Schillaci,Alessandro Mauriello

JCI insight 5: PubMed32853177

2020

Contribution of plasma cells and B cells to hidradenitis suppurativa pathogenesis.

Applications

Unspecified application

Species

Unspecified reactive species

Johann E Gudjonsson,Lam C Tsoi,Feiyang Ma,Allison C Billi,K R van Straalen,A R J V Vossen,H H van der Zee,Paul W Harms,Rachael Wasikowski,Christine M Yee,Syed M Rizvi,Xianying Xing,Enze Xing,Olesya Plazyo,Chang Zeng,Matthew T Patrick,Margaret M Lowe,Richard E Burney,Jeffrey H Kozlow,Jill R Cherry-Bukowiec,Yanyun Jiang,Joseph Kirma,Stephan Weidinger,Kelly C Cushing,Michael D Rosenblum,Celine Berthier,Amanda S MacLeod,John J Voorhees,Fei Wen,J Michelle Kahlenberg,Emanual Maverakis,Robert L Modlin,Errol P Prens
View all publications

Product promise

We are committed to supporting your work with high-quality reagents, and we're here for you every step of the way. In the unlikely event that one of our products does not perform as expected, you're protected by our Product Promise.
For full details, please see our Terms & Conditions

Please note: All products are 'FOR RESEARCH USE ONLY. NOT FOR USE IN DIAGNOSTIC OR THERAPEUTIC PROCEDURES'.

For licensing inquiries, please contact partnerships@abcam.com