JavaScript is disabled in your browser. Please enable JavaScript to view this website.
AB17104

Anti-Human IgM antibody [R1/69]

Be the first to review this product! Submit a review

|

(1 Publication)

Mouse Monoclonal IGHM antibody. Suitable for IHC-P and reacts with Human samples. Cited in 1 publication. Immunogen corresponding to Cell preparation containing Human IgM protein.

View Alternative Names

Immunoglobulin heavy constant mu, Ig mu chain C region, Ig mu chain C region BOT, Ig mu chain C region GAL, Ig mu chain C region OU, IGHM

1 Images
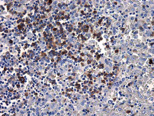
Immunohistochemistry (Formalin/PFA-fixed paraffin-embedded sections) - Anti-Human IgM antibody [R1/69] (AB17104)
  • IHC-P

Unknown

Immunohistochemistry (Formalin/PFA-fixed paraffin-embedded sections) - Anti-Human IgM antibody [R1/69] (AB17104)

Immunohistochemical analysis of formalin-fixed paraffin-embedded human spleen tissue sections, labelling IgM with ab17104.

Key facts

Host species

Mouse

Clonality

Monoclonal

Clone number

R1/69

Isotype

IgG1

Light chain type

kappa

Carrier free

No

Reacts with

Human

Applications

IHC-P

applications

Immunogen

The exact immunogen used to generate this antibody is proprietary information.

Reactivity data

{ "title": "Reactivity Data", "filters": { "stats": ["", "Species", "Dilution Info", "Notes"], "tabs": { "all-applications": {"fullname" : "All Applications", "shortname": "All Applications"}, "IHCP" : {"fullname" : "Immunohistochemistry (Formalin/PFA-fixed paraffin-embedded sections)", "shortname":"IHC-P"} }, "product-promise": { "all": "all", "testedAndGuaranteed": "tested", "guaranteed": "expected", "predicted": "predicted", "notRecommended": "not-recommended" } }, "values": { "Human": { "IHCP-species-checked": "testedAndGuaranteed", "IHCP-species-dilution-info": "1/25 - 1/50", "IHCP-species-notes": "<p>1/25 - 1/50 in an ABC method. We suggest an incubation period of 30 minutes at room temperature.</p> Perform enzymatic antigen retrieval before commencing with IHC staining protocol." } } }

Product details

This antibody reacts with the heavy chain present in all types of human IgM.

Properties and storage information

Form
Liquid
Purity
Tissue culture supernatant
Storage buffer
pH: 7.3 - 7.5 Preservative: 0.05% Sodium azide Constituents: Tissue culture supernatant, 1% BSA
Shipped at conditions
Blue Ice
Appropriate short-term storage duration
1-2 weeks
Appropriate short-term storage conditions
+4°C
Appropriate long-term storage conditions
-20°C
Storage information
Avoid freeze / thaw cycle

Product protocols

For this product, it's our understanding that no specific protocols are required. You can visit:

Target data

Constant region of immunoglobulin heavy chains. Immunoglobulins, also known as antibodies, are membrane-bound or secreted glycoproteins produced by B lymphocytes. In the recognition phase of humoral immunity, the membrane-bound immunoglobulins serve as receptors which, upon binding of a specific antigen, trigger the clonal expansion and differentiation of B lymphocytes into immunoglobulins-secreting plasma cells. Secreted immunoglobulins mediate the effector phase of humoral immunity, which results in the elimination of bound antigens (PubMed : 20176268, PubMed : 22158414). The antigen binding site is formed by the variable domain of one heavy chain, together with that of its associated light chain. Thus, each immunoglobulin has two antigen binding sites with remarkable affinity for a particular antigen. The variable domains are assembled by a process called V-(D)-J rearrangement and can then be subjected to somatic hypermutations which, after exposure to antigen and selection, allow affinity maturation for a particular antigen (PubMed : 17576170, PubMed : 20176268).. Isoform 1. Constant region of secreted IgM (sIgM), also known as the Fc region of IgM antibody. Able to multimerize, forms high order polymers, mainly pentamers and occasionally hexamers, providing for multivalency and high avidity recognition of antigens (PubMed : 32029689, PubMed : 37095205). Natural sIgM are polyreactive and recognize conserved self- and pathogen-derived structures, whereas immune sIgM are secreted only upon exposure to pathogens and are antigen-specific. Both natural and immune sIgM are required for an efficient humoral immune response to infection (By similarity). Mediates sIgM effector functions mostly via Fc receptors and the complement system. On lymphoid cells binds high-affinity Fc receptor FCMR and promotes induction of an efficient neutralizing IgG response while maintaining tolerance to self-antigens. Recruits C1q complement component to initiate the classical complement pathway, facilitating the recognition and neutralization of pathogens by the host. Together with C1q and mannose-binding lectin promotes the phagocytosis of apoptotic cells by macrophages, ensuring the clearance of potential autoimmune epitopes from tissues (By similarity) (PubMed : 12847249, PubMed : 19006321, PubMed : 28230186, PubMed : 32029689). Involved in mucosal immunity. It is transported by transcytosis across mucosal epithelium by PIGR and secreted on the apical side in complex with PIGR secretory component to scan mucosal lining for pathogens. IgM-antigen complexes undergo FCMR-mediated retrotranscytosis across mucosal M cells toward antigen-presenting cells in mucosal lymphoid tissues (By similarity) (PubMed : 32029689).. Isoform 2. Constant region of membrane-bound IgM, part of the B cell receptor complex (BCR). IgM BCR provides constitutive tonic signaling for B cell survival. Mediates pre-BCR signaling that regulates B cell selection and rearrangement of Ig genes via allelic exclusion.
See full target information IGHM

Publications (1)

Recent publications for all applications. Explore the full list and refine your search

Genes & diseases 6:407-418 PubMed31832521

2019

Identification and characterization of the cellular subclones that contribute to the pathogenesis of mantle cell lymphoma.

Applications

Unspecified application

Species

Unspecified reactive species

Junling Tang,Li Zhang,Tiejun Zhou,Zhiwei Sun,Liangsheng Kong,Li Jing,Hongyun Xing,Hongyan Wu,Yongli Liu,Shixia Zhou,Jingyuan Li,Mei Chen,Fang Xu,Jirui Tang,Tao Ma,Min Hu,Dan Liu,Jing Guo,Xiaofeng Zhu,Yan Chen,Ting Ye,Jianyu Wang,Xiaoming Li,H Rosie Xing
View all publications

Product promise

We are committed to supporting your work with high-quality reagents, and we're here for you every step of the way. In the unlikely event that one of our products does not perform as expected, you're protected by our Product Promise.
For full details, please see our Terms & Conditions

Please note: All products are 'FOR RESEARCH USE ONLY. NOT FOR USE IN DIAGNOSTIC OR THERAPEUTIC PROCEDURES'.

For licensing inquiries, please contact partnerships@abcam.com