JavaScript is disabled in your browser. Please enable JavaScript to view this website.
AB322520

Anti-Human papillomavirus type 31 L2 antibody [K3_HPV31L2(20-38)]

Be the first to review this product! Submit a review

|

(0 Publication)

Mouse Recombinant Monoclonal Minor capsid protein L2 antibody. Suitable for WB, I-ELISA and reacts with Transfected cell lysate - Human papillomavirus 31, Recombinant fragment - Human papillomavirus 31 samples.

View Alternative Names

Minor capsid protein L2

2 Images
Indirect ELISA - Anti-Human papillomavirus type 31 L2 antibody [K3_HPV31L2(20-38)] (AB322520)
  • I-ELISA

Supplier Data

Indirect ELISA - Anti-Human papillomavirus type 31 L2 antibody [K3_HPV31L2(20-38)] (AB322520)

Indirect ELISA analysis of ab322520 at 2000-0 ng/ml. The Secondary antibody used was Alkaline Phosphatase-conjugated AffiniPure Goat Anti-Mouse IgG (H+L) at 1 : 1000 dilution.

Antigen : HPV Minor capsid protein L2.

Antigen concentration : 5000 ng/ml

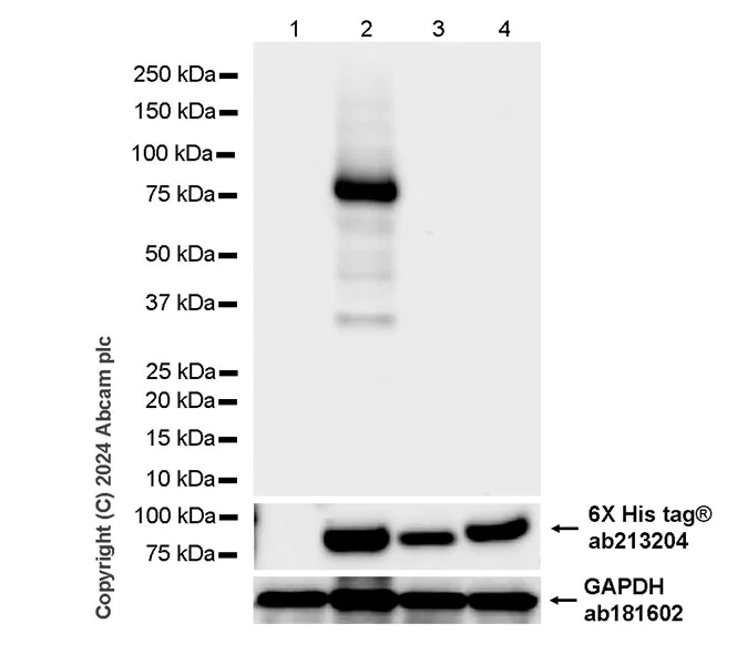
Western blot - Anti-Human papillomavirus type 31 L2 antibody [K3_HPV31L2(20-38)] (AB322520)
  • WB

Supplier Data

Western blot - Anti-Human papillomavirus type 31 L2 antibody [K3_HPV31L2(20-38)] (AB322520)

Blocking and diluting buffer and concentration : 5% NFDM/TBST.

In Western blot, Anti-GAPDH antibody [EPR16891] - Loading Control (ab181602) staining at 1/200000 dilution.

In Western blot, Anti-6X His tag® antibody [EPR20547] - ChIP Grade (ab213204) staining at 1/5000 dilution.

All lanes:

Western blot - Anti-Human papillomavirus type 31 L2 antibody [K3_HPV31L2(20-38)] (ab322520) at 1/1000 dilution

Lane 1:

293T (human embryonic kidney epithelial cell) transfected with an empty vector (vector control) containing a myc-His-tag®, whole cell lysate at 20 µg

Lane 2:

293T transfected with a Human papillomavirus type 31 L2 protein expression vector containing a myc-His-tag®, whole cell lysate at 20 µg

Lane 3:

293T transfected with a Human papillomavirus type 33 L2 protein expression vector containing a myc-His-tag®, whole cell lysate at 20 µg

Lane 4:

293T transfected with a Human papillomavirus type 16 L2 protein expression vector containing a myc-His-tag®, whole cell lysate at 20 µg

Secondary

All lanes:

Peroxidase-Conjugated Goat anti-Mouse IgG (H+L) at 1/10000 dilution

Observed band size: 75 kDa,36 kDa

false

Exposure time: 6s

  • Carrier free

    Anti-Human papillomavirus type 31 L2 antibody [K3_HPV31L2(20-38)] - BSA and Azide free

Key facts

Host species

Mouse

Clonality

Monoclonal

Clone number

K3_HPV31L2(20-38)

Isotype

IgG1

Carrier free

No

Reacts with

Human papillomavirus 31

Applications

WB, I-ELISA

applications

Immunogen

The exact immunogen used to generate this antibody is proprietary information.

Reactivity data

{ "title": "Reactivity Data", "filters": { "stats": ["", "Species", "Dilution Info", "Notes"], "tabs": { "all-applications": {"fullname" : "All Applications", "shortname": "All Applications"}, "WB" : {"fullname" : "Western blot", "shortname":"WB"}, "IELISA" : {"fullname" : "Indirect ELISA", "shortname":"I-ELISA"} }, "product-promise": { "all": "all", "testedAndGuaranteed": "tested", "guaranteed": "expected", "predicted": "predicted", "notRecommended": "not-recommended" } }, "values": { "Human papillomavirus 31": { "WB-species-checked": "predicted", "WB-species-dilution-info": "", "WB-species-notes": "", "IELISA-species-checked": "predicted", "IELISA-species-dilution-info": "", "IELISA-species-notes": "" }, "Recombinant fragment - Human papillomavirus 31": { "WB-species-checked": "notRecommended", "WB-species-dilution-info": "", "WB-species-notes": "", "IELISA-species-checked": "testedAndGuaranteed", "IELISA-species-dilution-info": "62.5 ng/mL", "IELISA-species-notes": "<p></p>" }, "Transfected cell lysate - Human papillomavirus 31": { "WB-species-checked": "testedAndGuaranteed", "WB-species-dilution-info": "1/1000", "WB-species-notes": "<p></p>", "IELISA-species-checked": "notRecommended", "IELISA-species-dilution-info": "", "IELISA-species-notes": "" } } }

Product details

What are the advantages of a recombinant monoclonal antibody?
This product is a recombinant monoclonal antibody, which offers several advantages including:

  • - High batch-to-batch consistency and reproducibility
  • - Improved sensitivity and specificity
  • - Long-term security of supply
  • - Animal-free batch production

For more information, read more on recombinant antibodies.

Want a custom formulation?
This antibody clone is manufactured by Abcam. If you require a custom buffer formulation or conjugation for your experiments, please contact orders@abcam.com

Properties and storage information

Form
Liquid
Purification technique
Affinity purification Protein A
Storage buffer
pH: 7.2 - 7.4 Preservative: 0.01% Sodium azide Constituents: PBS, 40% Glycerol (glycerin, glycerine), 0.05% BSA
Shipped at conditions
Blue Ice
Appropriate short-term storage duration
1-2 weeks
Appropriate short-term storage conditions
+4°C
Appropriate long-term storage conditions
-20°C
Aliquoting information
Upon delivery aliquot
Storage information
Avoid freeze / thaw cycle

Product protocols

For this product, it's our understanding that no specific protocols are required. You can visit:

Target data

Minor protein of the capsid that localizes along the inner surface of the virion, within the central cavities beneath the L1 pentamers. Plays a role in capsid stabilization through interaction with the major capsid protein L1. Once the virion enters the host cell, L2 escorts the genomic DNA into the nucleus by promoting escape from the endosomal compartments and traffic through the host Golgi network. Mechanistically, the C-terminus of L2 possesses a cell-penetrating peptide that protudes from the host endosome, interacts with host cytoplasmic retromer cargo and thereby mediates the capsid delivery to the host trans-Golgi network. Plays a role through its interaction with host dynein in the intracellular microtubule-dependent transport of viral capsid toward the nucleus. Mediates the viral genome import into the nucleus through binding to host importins. Once within the nucleus, L2 localizes viral genomes to host PML bodies in order to activate early gene expression for establishment of infection. Later on, promotes late gene expression by interacting with the viral E2 protein and by inhibiting its transcriptional activation functions. During virion assembly, encapsidates the genome by direct interaction with the viral DNA.
See full target information L2

Product promise

We are committed to supporting your work with high-quality reagents, and we're here for you every step of the way. In the unlikely event that one of our products does not perform as expected, you're protected by our Product Promise.
For full details, please see our Terms & Conditions

Please note: All products are 'FOR RESEARCH USE ONLY. NOT FOR USE IN DIAGNOSTIC OR THERAPEUTIC PROCEDURES'.

For licensing inquiries, please contact partnerships@abcam.com