JavaScript is disabled in your browser. Please enable JavaScript to view this website.
AB316208

Anti-Human respiratory syncytial virus A Nucleoprotein antibody [EPR28656-26] - BSA and Azide free

Be the first to review this product! Submit a review

|

(0 Publication)

Rabbit Recombinant Monoclonal NCAP antibody. Carrier free. Suitable for WB, IHC-P, ICC/IF, Flow Cyt (Intra), I-ELISA, Dot and reacts with Transfected cell lysate - Human respiratory syncytial virus A (strain A2), Transfected cell line - Human respiratory syncytial virus A (strain A2), Recombinant fragment - Human respiratory syncytial virus A (strain A2) samples.

View Alternative Names

Nucleoprotein, Protein N, Nucleocapsid protein, N

8 Images
Immunohistochemistry (Formalin/PFA-fixed paraffin-embedded sections) - Anti-Human respiratory syncytial virus A Nucleoprotein antibody [EPR28656-26] - BSA and Azide free (AB316208)
  • IHC-P

Supplier Data

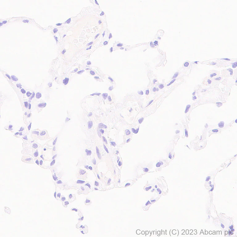
Immunohistochemistry (Formalin/PFA-fixed paraffin-embedded sections) - Anti-Human respiratory syncytial virus A Nucleoprotein antibody [EPR28656-26] - BSA and Azide free (AB316208)

This data was developed using ab316207, the same antibody clone in a different buffer formulation.

Immunohistochemical analysis of paraffin-embedded human lung tissue labeling Human respiratory syncytial virus A Nucleoprotein with ab316207 at 1/100 (5.3 ug/ml) dilution, followed by a ready to use LeicaDS9800 (Bond™ Polymer Refine Detection).

Negative control : no staining on human lung. The section was incubated with ab316207 for 30 mins at room temperature.
The immunostaining was performed on a Leica Biosystems BOND® RX instrument.

Counterstained with Hematoxylin.

Secondary antibody only control : Secondary antibody is a ready to use LeicaDS9800 (Bond™ Polymer Refine Detection).

Heat mediated antigen retrieval was performed with Tris-EDTA buffer (pH 9.0, Epitope Retrieval Solution2) for 20 mins.

Immunohistochemistry (Formalin/PFA-fixed paraffin-embedded sections) - Anti-Human respiratory syncytial virus A Nucleoprotein antibody [EPR28656-26] - BSA and Azide free (AB316208)
  • IHC-P

Supplier Data

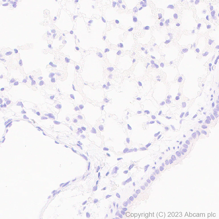
Immunohistochemistry (Formalin/PFA-fixed paraffin-embedded sections) - Anti-Human respiratory syncytial virus A Nucleoprotein antibody [EPR28656-26] - BSA and Azide free (AB316208)

This data was developed using ab316207, the same antibody clone in a different buffer formulation.

Immunohistochemical analysis of paraffin-embedded mouse lung tissue labeling Human respiratory syncytial virus A Nucleoprotein with ab316207 at 1/100 (5.3 ug/ml) dilution, followed by a ready to use LeicaDS9800 (Bond™ Polymer Refine Detection).

Negative control : no staining on mouse lung. The section was incubated with ab316207 for 30 mins at room temperature.
The immunostaining was performed on a Leica Biosystems BOND® RX instrument.

Counterstained with Hematoxylin.

Secondary antibody only control : Secondary antibody is a ready to use LeicaDS9800 (Bond™ Polymer Refine Detection).

Heat mediated antigen retrieval was performed with Tris-EDTA buffer (pH 9.0, Epitope Retrieval Solution2) for 20 mins.

Immunocytochemistry/ Immunofluorescence - Anti-Human respiratory syncytial virus A Nucleoprotein antibody [EPR28656-26] - BSA and Azide free (AB316208)
  • ICC/IF

Supplier Data

Immunocytochemistry/ Immunofluorescence - Anti-Human respiratory syncytial virus A Nucleoprotein antibody [EPR28656-26] - BSA and Azide free (AB316208)

This data was developed using ab316207, the same antibody clone in a different buffer formulation.

Immunofluorescent analysis of 4% Paraformaldehyde-fixed, 0.1% TritonX-100 permeabilized 293T (human embryonic kidney epithelial cell) cells labelling Human respiratory syncytial virus A Nucleoprotein with ab316207 at 1/4000 (0.133 ug/ml) dilution, followed by ab150081 Goat Anti-Rabbit IgG H&L (Alexa Fluor® 488) preadsorbed antibody at 1/1000 (2 ug/ml) dilution (Green).

Confocal image showing positive staining in 293T cells transfected with a Respiratory Syncytial Virus A Nucleoprotein expression vector containing a myc-His-tag®.
Image was taken with a confocal microscope(Leica-Microsystems, TCS SP8).

ab223894 Anti-Myc tag mouse monoclonal antibody (Alexa Fluor® 594) was used to counterstain at 1/100 (5ug/ml) dilution (Magenta). The Nuclear counterstain was DAPI (Blue).

Secondary antibody only control : Secondary antibody is ab150081 Goat Anti-Rabbit IgG H&L (Alexa Fluor® 488) preadsorbed at 1/1000 (2 ug/ml) dilution.

Immunohistochemistry (Formalin/PFA-fixed paraffin-embedded sections) - Anti-Human respiratory syncytial virus A Nucleoprotein antibody [EPR28656-26] - BSA and Azide free (AB316208)
  • IHC-P

Supplier Data

Immunohistochemistry (Formalin/PFA-fixed paraffin-embedded sections) - Anti-Human respiratory syncytial virus A Nucleoprotein antibody [EPR28656-26] - BSA and Azide free (AB316208)

This data was developed using ab316207, the same antibody clone in a different buffer formulation.

Immunohistochemical analysis of paraffin-embedded (A) HEK-293T (human embryonic kidney epithelial cell) transfected with a human Respiratory Syncytial Virus A Nucleoprotein expression vector containing a Myc-His tag® (B) HEK-293T transfected with empty vector containing a Myc-His tag® tissue labeling Human respiratory syncytial virus A Nucleoprotein with ab316207 at 1/2000 (0.265 ug/ml) dilution, followed by a ready to use LeicaDS9800 (Bond™ Polymer Refine Detection).

Positive staining on (A) HEK-293T transfected with a human Respiratory Syncytial Virus A Nucleoprotein expression vector containing a Myc-His tag®. No staining on (B) HEK-293T transfected with empty vector containing a Myc-His tag®. The section was incubated with ab316207 for 30 mins at room temperature.
The immunostaining was performed on a Leica Biosystems BOND® RX instrument.

Counterstained with Hematoxylin.

Secondary antibody only control : Secondary antibody is a ready to use LeicaDS9800 (Bond™ Polymer Refine Detection).

Heat mediated antigen retrieval was performed with Tris-EDTA buffer (pH 9.0, Epitope Retrieval Solution2) for 20 mins.

Flow Cytometry (Intracellular) - Anti-Human respiratory syncytial virus A Nucleoprotein antibody [EPR28656-26] - BSA and Azide free (AB316208)
  • Flow Cyt (Intra)

Supplier Data

Flow Cytometry (Intracellular) - Anti-Human respiratory syncytial virus A Nucleoprotein antibody [EPR28656-26] - BSA and Azide free (AB316208)

This data was developed using ab316207, the same antibody clone in a different buffer formulation.

Flow cytometric analysis of 4% paraformaldehyde fixed 90% methanol permeabilized Cell line : Isotype (Left) / 293T cells (human embryonic kidney epithelial cell) transfected with a Respiratory Syncytial Virus A Nucleoprotein expression vector containing a myc-His-tag® (Middle) / 293T cells transfected with a empty expression vector containing a myc-His-tag® (Right) cells labelling Human respiratory syncytial virus A Nucleoprotein with ab316207 at 1/5000 dilution (0.01 ug)/Middle and Right compared with a Rabbit monoclonal IgG (ab172730) / Left isotype control and an unlabelled control (cells without incubation with primary antibody and secondary antibody) (Blue).

Goat Anti-Rabbit IgG (Alexa Fluor® 488, ab150081) at 1/5000 dilution was used as the secondary antibody.

Cells are co-stained with Myc tag conjugated to Alexa Fluor®647.

Indirect ELISA - Anti-Human respiratory syncytial virus A Nucleoprotein antibody [EPR28656-26] - BSA and Azide free (AB316208)
  • I-ELISA

Supplier Data

Indirect ELISA - Anti-Human respiratory syncytial virus A Nucleoprotein antibody [EPR28656-26] - BSA and Azide free (AB316208)

This data was developed using ab316207, the same antibody clone in a different buffer formulation.

Indirect ELISA analysis of ab316207 at 2000-0 ng/ml. The Secondary antibody used was Alkaline Phosphatase-conjugated AffiniPure Goat Anti-Rabbit IgG (H+L) at 1 : 2500 dilution.

Antigen : Human respiratory syncytial virus A Nucleoprotein.

Antigen concentration : 5000 ng/ml

Western blot - Anti-Human respiratory syncytial virus A Nucleoprotein antibody [EPR28656-26] - BSA and Azide free (AB316208)
  • WB

Supplier Data

Western blot - Anti-Human respiratory syncytial virus A Nucleoprotein antibody [EPR28656-26] - BSA and Azide free (AB316208)

This data was developed using ab316207, the same antibody clone in a different buffer formulation.

In Western blot, Anti-Histone H3 antibody [EPR16987] - Nuclear Marker and ChIP Grade (ab176842) staining at 1/100000 dilution.

In Western blot, Anti-6X His tag antibody [EPR20547]-CHIP Grade (ab213204) staining at 1/5000 dilution.

All lanes:

Western blot - Anti-Human respiratory syncytial virus A Nucleoprotein antibody [EPR28656-26] (<a href='/en-us/products/primary-antibodies/human-respiratory-syncytial-virus-a-nucleoprotein-antibody-epr28656-26-ab316207'>ab316207</a>) at 1/1000 dilution

Lane 1:

293T cells transfected with an empty vector containing a His-tag, whole cell lysate at 20 µg

Lane 2:

293T cells transfected with a Human respiratory syncytial virus A Nucleoprotein expression vector containing a myc-His-tag®, whole cell lysate at 20 µg

Secondary

All lanes:

Western blot - Goat Anti-Rabbit IgG H&L (HRP) (<a href='/en-us/products/secondary-antibodies/goat-rabbit-igg-h-l-hrp-ab97051'>ab97051</a>) at 1/100000 dilution

Observed band size: 43 kDa,15 kDa

false

Exposure time: 10s

Dot Blot - Anti-Human respiratory syncytial virus A Nucleoprotein antibody [EPR28656-26] - BSA and Azide free (AB316208)
  • Dot

Supplier Data

Dot Blot - Anti-Human respiratory syncytial virus A Nucleoprotein antibody [EPR28656-26] - BSA and Azide free (AB316208)

This data was developed using ab316207, the same antibody clone in a different buffer formulation.

Dot blot analysis of Human respiratory syncytial virus A Nucleoprotein using ab316207 at 1 : 1000 (0.53 ug/ml) followed by a Goat Anti-Rabbit IgG, (H+L), Peroxidase conjugated (ab97051) at 1 : 100,000 dilution.

Blocking and diluting buffer and concentration : 5% NFDM/TBST.

This antibody cross-react with human respiratory syncytial virus B (strain B1) Nucleoprotein.

All lanes:

Dot Blot - Anti-Human respiratory syncytial virus A Nucleoprotein antibody [EPR28656-26] (<a href='/en-us/products/primary-antibodies/human-respiratory-syncytial-virus-a-nucleoprotein-antibody-epr28656-26-ab316207'>ab316207</a>) at 1/1000 dilution

Lane 1:

His-tagged human respiratory syncytial virus A (strain A2) Nucleoprotein

Lane 2:

His-tagged human respiratory syncytial virus B (strain B1) Nucleoprotein

Secondary

All lanes:

Dot Blot - Goat Anti-Rabbit IgG H&L (HRP) (<a href='/en-us/products/secondary-antibodies/goat-rabbit-igg-h-l-hrp-ab97051'>ab97051</a>) at 1/100000 dilution

false

Exposure time: 180s

  • Unconjugated

    Anti-Human respiratory syncytial virus A Nucleoprotein antibody [EPR28656-26]

Key facts

Host species

Rabbit

Clonality

Monoclonal

Clone number

EPR28656-26

Isotype

IgG

Carrier free

Yes

Reacts with

Human respiratory syncytial virus A (strain A2)

Applications

Flow Cyt (Intra), ICC/IF, I-ELISA, IHC-P, Dot, WB

applications

Immunogen

The exact immunogen used to generate this antibody is proprietary information.

Reactivity data

{ "title": "Reactivity Data", "filters": { "stats": ["", "Species", "Dilution Info", "Notes"], "tabs": { "all-applications": {"fullname" : "All Applications", "shortname": "All Applications"}, "WB" : {"fullname" : "Western blot", "shortname":"WB"}, "IHCP" : {"fullname" : "Immunohistochemistry (Formalin/PFA-fixed paraffin-embedded sections)", "shortname":"IHC-P"}, "ICCIF" : {"fullname" : "Immunocytochemistry/ Immunofluorescence", "shortname":"ICC/IF"}, "FlowCytIntra" : {"fullname" : "Flow Cytometry (Intracellular)", "shortname":"Flow Cyt (Intra)"}, "IELISA" : {"fullname" : "Indirect ELISA", "shortname":"I-ELISA"}, "Dot" : {"fullname" : "Dot Blot", "shortname":"Dot"}, "IP" : {"fullname" : "Immunoprecipitation", "shortname":"IP"} }, "product-promise": { "all": "all", "testedAndGuaranteed": "tested", "guaranteed": "expected", "predicted": "predicted", "notRecommended": "not-recommended" } }, "values": { "Human respiratory syncytial virus A (strain A2)": { "WB-species-checked": "predicted", "WB-species-dilution-info": "", "WB-species-notes": "", "IHCP-species-checked": "predicted", "IHCP-species-dilution-info": "", "IHCP-species-notes": "", "ICCIF-species-checked": "predicted", "ICCIF-species-dilution-info": "", "ICCIF-species-notes": "", "FlowCytIntra-species-checked": "predicted", "FlowCytIntra-species-dilution-info": "", "FlowCytIntra-species-notes": "", "IELISA-species-checked": "predicted", "IELISA-species-dilution-info": "", "IELISA-species-notes": "", "Dot-species-checked": "predicted", "Dot-species-dilution-info": "", "Dot-species-notes": "", "IP-species-checked": "notRecommended", "IP-species-dilution-info": "", "IP-species-notes": "" }, "Recombinant fragment - Human respiratory syncytial virus A (strain A2)": { "WB-species-checked": "notRecommended", "WB-species-dilution-info": "", "WB-species-notes": "", "IHCP-species-checked": "notRecommended", "IHCP-species-dilution-info": "", "IHCP-species-notes": "", "ICCIF-species-checked": "notRecommended", "ICCIF-species-dilution-info": "", "ICCIF-species-notes": "", "FlowCytIntra-species-checked": "notRecommended", "FlowCytIntra-species-dilution-info": "", "FlowCytIntra-species-notes": "", "IELISA-species-checked": "testedAndGuaranteed", "IELISA-species-dilution-info": "", "IELISA-species-notes": "<p></p>", "Dot-species-checked": "testedAndGuaranteed", "Dot-species-dilution-info": "", "Dot-species-notes": "<p></p>", "IP-species-checked": "notRecommended", "IP-species-dilution-info": "", "IP-species-notes": "" }, "Transfected cell line - Human respiratory syncytial virus A (strain A2)": { "WB-species-checked": "notRecommended", "WB-species-dilution-info": "", "WB-species-notes": "", "IHCP-species-checked": "testedAndGuaranteed", "IHCP-species-dilution-info": "", "IHCP-species-notes": "<p></p>", "ICCIF-species-checked": "testedAndGuaranteed", "ICCIF-species-dilution-info": "", "ICCIF-species-notes": "<p></p>", "FlowCytIntra-species-checked": "testedAndGuaranteed", "FlowCytIntra-species-dilution-info": "", "FlowCytIntra-species-notes": "<p></p>", "IELISA-species-checked": "notRecommended", "IELISA-species-dilution-info": "", "IELISA-species-notes": "", "Dot-species-checked": "notRecommended", "Dot-species-dilution-info": "", "Dot-species-notes": "", "IP-species-checked": "notRecommended", "IP-species-dilution-info": "", "IP-species-notes": "" }, "Transfected cell lysate - Human respiratory syncytial virus A (strain A2)": { "WB-species-checked": "testedAndGuaranteed", "WB-species-dilution-info": "", "WB-species-notes": "<p></p>", "IHCP-species-checked": "notRecommended", "IHCP-species-dilution-info": "", "IHCP-species-notes": "", "ICCIF-species-checked": "notRecommended", "ICCIF-species-dilution-info": "", "ICCIF-species-notes": "", "FlowCytIntra-species-checked": "notRecommended", "FlowCytIntra-species-dilution-info": "", "FlowCytIntra-species-notes": "", "IELISA-species-checked": "notRecommended", "IELISA-species-dilution-info": "", "IELISA-species-notes": "", "Dot-species-checked": "notRecommended", "Dot-species-dilution-info": "", "Dot-species-notes": "", "IP-species-checked": "notRecommended", "IP-species-dilution-info": "", "IP-species-notes": "<p></p>" } } }

Product details

ab316208 is the carrirer-free version of ab316207.

Patented technology
Our RabMAb® technology is a patented hybridoma-based technology for making rabbit monoclonal antibodies. For details on our patents, please refer to RabMAb® patents.

What are the advantages of a recombinant monoclonal antibody?
This product is a recombinant monoclonal antibody, which offers several advantages including:

  • - High batch-to-batch consistency and reproducibility
  • - Improved sensitivity and specificity
  • - Long-term security of supply
  • - Animal-free batch production

For more information, read more on recombinant antibodies.

Conjugation ready
Our carrier-free antibodies are typically supplied in a PBS-only formulation, purified and free of BSA, sodium azide and glycerol. This conjugation-ready format is designed for use with fluorochromes, metal isotopes, oligonucleotides, and enzymes, which makes them ideal for antibody labelling, functional and cell-based assays, flow-based assays (e.g. mass cytometry) and Multiplex Imaging applications.

Use our conjugation kits for antibody conjugates that are ready-to-use in as little as 20 minutes with 1 minute hands-on-time and 100% antibody recovery: available for fluorescent dyes, HRP, biotin and gold.

Compatibility
This product is compatible with the Maxpar® Antibody Labeling Kit from Fluidigm, without the need for antibody preparation. Maxpar® is a trademark of Fluidigm Canada Inc.

Properties and storage information

Form
Liquid
Purification technique
Affinity purification Protein A
Storage buffer
pH: 7.2 - 7.4 Constituents: PBS
Shipped at conditions
Blue Ice
Appropriate short-term storage conditions
+4°C
Appropriate long-term storage conditions
+4°C

Product protocols

For this product, it's our understanding that no specific protocols are required. You can visit:

Target data

Encapsidates the viral RNA genome by forming a left-handed helical nucleocapsid that protects the RNA from nucleases (PubMed : 19965480, PubMed : 23677789, PubMed : 31229488). RNA replication depends on the availability of soluble nucleoprotein (PubMed : 22623798, PubMed : 9299631). The encapsidated genomic RNA is termed the NC and serves as template for transcription and replication (PubMed : 22623798). Together with the phosphoprotein, sequesters host NF-kappa-B in inclusion bodies (IBs) thereby inhibiting this host defense pathway (PubMed : 32878896). May also act as a modulator of the innate immune response by sequestration of host IFIH1/MDA5 and MAVS into IBs (PubMed : 22623778).
See full target information N

Product promise

We are committed to supporting your work with high-quality reagents, and we're here for you every step of the way. In the unlikely event that one of our products does not perform as expected, you're protected by our Product Promise.
For full details, please see our Terms & Conditions

Please note: All products are 'FOR RESEARCH USE ONLY. NOT FOR USE IN DIAGNOSTIC OR THERAPEUTIC PROCEDURES'.

For licensing inquiries, please contact partnerships@abcam.com