JavaScript is disabled in your browser. Please enable JavaScript to view this website.
AB109115

Anti-Huntingtin antibody [EPR5526]

  • KO Validated
  • RabMAb
  • Recombinant
  • 20ul selling size
  • What is this?

5

(4 Reviews)

|

(58 Publications)

Anti-Huntingtin antibody [EPR5526] (ab109115) is a rabbit monoclonal antibody detecting Huntingtin in Western Blot, IHC-P, ICC/IF. Suitable for Human, Mouse, Rat.

- KO validated for confirmed specificity
- Biophysical QC for unrivalled batch-batch consistency
- Over 30 publications

View Alternative Names

HD, IT15, HTT, Huntingtin, Huntington disease protein, HD protein

16 Images
Western blot - Anti-Huntingtin antibody [EPR5526] (AB109115)
  • WB

Lab

Western blot - Anti-Huntingtin antibody [EPR5526] (AB109115)

Lanes 1- 2 : Merged signal (red and green). Green - ab109115 observed at 348 kDa. Red - Anti-alpha Tubulin antibody [DM1A] - Loading Control (ab7291) observed at 50 kDa.

ab109115 was shown to react with Huntingtin in wild-type HeLa cells in western blot. Loss of signal was observed when knockout cell line ab265976 (knockout cell lysate ab256946) was used. Wild-type HeLa and HTT knockout HeLa cell lysates were subjected to SDS-PAGE. Membrane was blocked for 1 hour at room temperature in 0.1% TBST with 3% non-fat dried milk. ab109115 and Anti-alpha Tubulin antibody [DM1A] - Loading Control (ab7291) overnight at 4°C at a 1 in 10000 dilution and a 1 in 20000 dilution respectively. Blots were developed with Goat anti-Rabbit IgG H&L (IRDye®800CW) preadsorbed (ab216773) and Goat anti-Mouse IgG H&L (IRDye®680RD) preadsorbed (ab216776) secondary antibodies at 1 in 20000 dilution for 1 hour at room temperature before imaging.

All lanes:

Western blot - Anti-Huntingtin antibody [EPR5526] (ab109115) at 1/10000 dilution

Lane 1:

Wild-type HeLa cell lysate at 20 µg

Lane 2:

HTT knockout HeLa cell lysate at 20 µg

Predicted band size: 348 kDa,43 kDa,52 kDa,55 kDa,56 kDa

Observed band size: 348 kDa

false

Immunocytochemistry/ Immunofluorescence - Anti-Huntingtin antibody [EPR5526] (AB109115)
  • ICC/IF

Supplier Data

Immunocytochemistry/ Immunofluorescence - Anti-Huntingtin antibody [EPR5526] (AB109115)

Immunofluorescent analysis of 4% paraformaldehyde-fixed, 0.1% Triton X-100 permeabilized

SH-SY5Y (Human neuroblastoma from bone marrow cells) cells labeling Huntingtin with purified ab109115 at 1/1000 dilution, followed by Goat anti-rabbit IgG (Alexa Fluor® 488) (ab150077) secondary antibody at 1/1000 dilution (green).

Confocal image showing nuclear and cytoplasmic staining on SH-SY5Y cell line.

The nuclear counter stain is DAPI (blue).

Tubulin is detected with ab7291 (anti-Tubulin mouse mAb) at 1/1000 dilution and ab150120 (Alexa Fluor® 594 Goat anti-Mouse secondary) at 1/1000 dilution (red).

The negative controls are as follows :
1. ab191472 at 1/1000 dilution followed by ab150120 (Alexa Fluor® 594 Goat anti-Mouse secondary) at 1/1000 dilution.
2. ab7291 (anti-Tubulin mouse mAb) at 1/1000 dilution followed by ab150077 (Alexa Fluor® 488 Goat Anti-Rabbit IgG H&L) at 1/1000 dilution.

Immunohistochemistry (Formalin/PFA-fixed paraffin-embedded sections) - Anti-Huntingtin antibody [EPR5526] (AB109115)
  • IHC-P

Supplier Data

Immunohistochemistry (Formalin/PFA-fixed paraffin-embedded sections) - Anti-Huntingtin antibody [EPR5526] (AB109115)

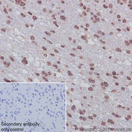
Immunohistochemical analysis of paraffin-embedded Human astrocytoma labeling Huntingtin with purified ab109115 at 1/100 dilution followed by Goat Anti-Rabbit IgG H&L (HRP) (ab97051) at 1/500. Counter stained with Hematoxylin. Nuclear staining on cancer cells of astrocytoma.

Perform heat mediated antigen retrieval with Tris/EDTA buffer pH 9.0 before commencing with IHC staining protocol.

Immunohistochemistry (Formalin/PFA-fixed paraffin-embedded sections) - Anti-Huntingtin antibody [EPR5526] (AB109115)
  • IHC-P

Supplier Data

Immunohistochemistry (Formalin/PFA-fixed paraffin-embedded sections) - Anti-Huntingtin antibody [EPR5526] (AB109115)

Immunohistochemical analysis of paraffin-embedded Human cerebral cortex tissue labeling Huntingtin with purified ab109115 at 1/100 dilution followed by Goat Anti-Rabbit IgG H&L (HRP) (ab97051) at 1/500. Counter stained with Hematoxylin. Nuclear staining on neuron of human cerebral cortex was observed.

Perform heat mediated antigen retrieval with Tris/EDTA buffer pH 9.0 before commencing with IHC staining protocol.

Immunocytochemistry/ Immunofluorescence - Anti-Huntingtin antibody [EPR5526] (AB109115)
  • ICC/IF

Lab

Immunocytochemistry/ Immunofluorescence - Anti-Huntingtin antibody [EPR5526] (AB109115)

ab109115 staining HTT in wild-type HeLa cells (top panel) and HTT knockout HeLa cells (bottom panel, available as ab265976). The cells were fixed with 4% formaldehyde (10 min), permeabilized with 0.1% Triton X-100 for 5 minutes and then blocked with 1% BSA/10% normal goat serum/0.3M glycine in 0.1% PBS-Tween for 1h. The cells were then incubated with ab109115 at 1.0 µg/mL and ab7291 at 1.0 µg/mL overnight at +4°C, followed by a further incubation at room temperature for 1h with a goat secondary antibody to Rabbit IgG (Alexa Fluor® 488) (ab150081) (shown in green) and goat secondary antibody to Mouse IgG (Alexa Fluor® 594) (ab150120) (shown in red) both at 1/1000. Nuclear DNA was labelled with DAPI (shown in blue). Image was acquired with a high-content analyser (Operetta CLS, Perkin Elmer) and a maximum intensity projection of confocal sections is shown.

Immunohistochemistry (Formalin/PFA-fixed paraffin-embedded sections) - Anti-Huntingtin antibody [EPR5526] (AB109115)
  • IHC-P

Lab

Immunohistochemistry (Formalin/PFA-fixed paraffin-embedded sections) - Anti-Huntingtin antibody [EPR5526] (AB109115)

Immunohistochemical analysis of formalin fixed paraffin embedded human cerebrum staining Huntingtin with ab109115 at a concentration of 0.1 µg/ml. The immunostaining was performed on a Ventana DISCOVERY ULTRA (Roche Tissue Diagnostics) instrument with a OptiView DAB IHC Detection Kit. Heat mediated antigen retrieval was performed with DISCOVERY cell conditioning solution (CC1) 100°C, pH8.5 for 32mins.

ab109115 anti-Huntingtin [EPR5526] was incubated for 16mins at 37°C. Sections were counterstained with Hematoxylin II. Image inset shows absence of staining in secondary antibody only control.

Customers are encouraged to optimise antigen retrieval conditions, antibody concentration, incubation times and temperature for best results in their own IHC assay workflow (automated and manual)

Immunocytochemistry/ Immunofluorescence - Anti-Huntingtin antibody [EPR5526] (AB109115)
  • ICC/IF

Lab

Immunocytochemistry/ Immunofluorescence - Anti-Huntingtin antibody [EPR5526] (AB109115)

ab109115 staining HTT in wild-type HeLa cells (top panel) and HTT knockout HeLa cells (bottom panel, available as ab265976). The cells were fixed with 100% Methanol (5 min), permeabilized with 0.1% Triton X-100 for 5 minutes and then blocked with 1% BSA/10% normal goat serum/0.3M glycine in 0.1% PBS-Tween for 1h. The cells were then incubated with ab109115 at 1.0 µg/mL and ab7291 at 1.0 µg/mL overnight at +4°C, followed by a further incubation at room temperature for 1h with a goat secondary antibody to Rabbit IgG (Alexa Fluor® 488) (ab150081) (shown in green) and goat secondary antibody to Mouse IgG (Alexa Fluor® 594) (ab150120) (shown in red) both at 1/1000. Nuclear DNA was labelled with DAPI (shown in blue). Image was acquired with a high-content analyser (Operetta CLS, Perkin Elmer) and a maximum intensity projection of confocal sections is shown.

Immunohistochemistry (Formalin/PFA-fixed paraffin-embedded sections) - Anti-Huntingtin antibody [EPR5526] (AB109115)
  • IHC-P

Supplier Data

Immunohistochemistry (Formalin/PFA-fixed paraffin-embedded sections) - Anti-Huntingtin antibody [EPR5526] (AB109115)

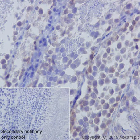
Immunohistochemical analysis of paraffin-embedded Mouse testis labeling Huntingtin with purified ab109115 at 1/100 dilution followed by Goat Anti-Rabbit IgG H&L (HRP) (ab97051) at 1/500. Counter stained with Hematoxylin. Cytoplasmic staining on spermatogenic cells of mouse testis.

Perform heat mediated antigen retrieval with Tris/EDTA buffer pH 9.0 before commencing with IHC staining protocol.

Immunohistochemistry (PFA perfusion fixed frozen sections) - Anti-Huntingtin antibody [EPR5526] (AB109115)
  • IHC-FoFr

Lab

Immunohistochemistry (PFA perfusion fixed frozen sections) - Anti-Huntingtin antibody [EPR5526] (AB109115)

Immunohistochemistry (Frozen) analysis of mouse cerebrum tissue sections labeling Huntingtin with purified ab109115 at 1/100 (13.4 μg/ml). Goat anti rabbit IgG (Alexa Fluor® 488, ab150077) at 1/1000 (2 μg/ml) was used as the secondary antibody. Sections were fixed with 4% paraformaldehyde and permeabilised with 0.2% Triton X-100. Negative control : PBS instead of the primary antibody. DAPI (blue) was used as nuclear counterstain. Heat mediated antigen retrieval using sodium citrate buffer (10mM citrate pH 6.0 + 0.05% Tween-20) was performed.

Immunocytochemistry/ Immunofluorescence - Anti-Huntingtin antibody [EPR5526] (AB109115)
  • ICC/IF

Supplier Data

Immunocytochemistry/ Immunofluorescence - Anti-Huntingtin antibody [EPR5526] (AB109115)

Immunofluorescent analysis of 4% paraformaldehyde-fixed, 0.1% Triton X-100 permeabilized

Neuro-2a (Mouse neuroblastoma cells) cells labeling Huntingtin with purified ab109115 at 1/1000 dilution, followed by Goat anti-rabbit IgG (Alexa Fluor® 488) (ab150077) secondary antibody at 1/1000 dilution (green).

Confocal image showing nuclear and cytoplasmic staining on Neuro-2a cell line.

The nuclear counter stain is DAPI (blue).

Tubulin is detected with ab7291 (anti-Tubulin mouse mAb) at 1/1000 dilution and ab150120 (AlexaFluor®594 Goat anti-Mouse secondary) at 1/1000 dilution (red).

The negative controls are as follows :
1. ab191472 at 1/1000 dilution followed by ab150120 (Alexa Fluor® 594 Goat anti-Mouse secondary) at 1/1000 dilution.
2. ab7291 (anti-Tubulin mouse mAb) at 1/1000 dilution followed by ab150077 (Alexa Fluor® 488 Goat Anti-Rabbit IgG H&L) at 1/1000 dilution.

Immunohistochemistry (PFA perfusion fixed frozen sections) - Anti-Huntingtin antibody [EPR5526] (AB109115)
  • IHC-FoFr

Lab

Immunohistochemistry (PFA perfusion fixed frozen sections) - Anti-Huntingtin antibody [EPR5526] (AB109115)

Immunohistochemistry (Frozen) analysis of mouse cerebellum tissue sections labeling Huntingtin with purified ab109115 at 1/100 (13.4 μg/ml). Goat anti rabbit IgG (Alexa Fluor® 488, ab150077) at 1/1000 (2 μg/ml) was used as the secondary antibody. Sections were fixed with 4% paraformaldehyde and permeabilised with 0.2% Triton X-100. Negative control : PBS instead of the primary antibody. DAPI (blue) was used as nuclear counterstain. Heat mediated antigen retrieval using sodium citrate buffer (10mM citrate pH 6.0 + 0.05% Tween-20) was performed.

Immunohistochemistry (Formalin/PFA-fixed paraffin-embedded sections) - Anti-Huntingtin antibody [EPR5526] (AB109115)
  • IHC-P

Supplier Data

Immunohistochemistry (Formalin/PFA-fixed paraffin-embedded sections) - Anti-Huntingtin antibody [EPR5526] (AB109115)

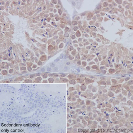
Immunohistochemical analysis of paraffin-embedded Rat testis labeling Huntingtin with purified ab109115 at 1/100 dilution followed by Goat Anti-Rabbit IgG H&L (HRP) (ab97051) at 1/500. Counter stained with Hematoxylin. Weak cytoplasmic staining on spermatogenic cells of rat testis.

Perform heat mediated antigen retrieval with Tris/EDTA buffer pH 9.0 before commencing with IHC staining protocol.

Western blot - Anti-Huntingtin antibody [EPR5526] (AB109115)
  • WB

Supplier Data

Western blot - Anti-Huntingtin antibody [EPR5526] (AB109115)

Blocking and Diluting buffer and concentration : 5% NFDM /TBST

All lanes:

Western blot - Anti-Huntingtin antibody [EPR5526] (ab109115) at 1/5000 dilution

Lane 1:

SH-SY5Y (Human neuroblastoma from bone marrow cells) whole cell lysate at 10 µg

Lane 2:

HeLa (Human epithelial cells from cervix adenocarcinoma) whole cell lysate at 10 µg

Lane 3:

PC-12 (Rat adrenal gland pheochromocytoma) whole cell lysate at 10 µg

Lane 4:

Neuro-2a (Mouse neuroblastoma cells) whole cell lysate at 10 µg

Secondary

All lanes:

Western blot - Goat Anti-Rabbit IgG H&L (HRP) (<a href='/en-us/products/secondary-antibodies/goat-rabbit-igg-h-l-hrp-ab97051'>ab97051</a>) at 1/1000 dilution

Predicted band size: 348 kDa

Observed band size: 348 kDa

false

Exposure time: 1s

Western blot - Anti-Huntingtin antibody [EPR5526] (AB109115)
  • WB

Lab

Western blot - Anti-Huntingtin antibody [EPR5526] (AB109115)

ab109115 was shown to react with HTT in wild-type DMS53 cells in Western blot with loss of signal observed in a HTT knockout cell line. Wild-type DMS53 and HTT knockout cell lysates were subjected to SDS-PAGE. Membranes were blocked in 5% milk in TBST for 1 hr before incubation with ab109115 overnight at 4 °C at a 1/2000 dilution. Blots were incubated with secondary antibodies at 0.2 µg/mL before imaging.

These data were provided by YCharOS Inc., an open science company with the mission of characterizing commercially available antibody reagents for all human proteins. Abcam and YCharOS are working together to help address the reproducibility crisis by enabling the life science community to better evaluate commercially available antibodies.

All lanes:

Western blot - Anti-Huntingtin antibody [EPR5526] (ab109115) at 1/2000 dilution

Lane 1:

Wild-type DMS53 lysate at 30 µg

Lane 2:

HTT knock-out DMS53 lysate at 30 µg

false

Western blot - Anti-Huntingtin antibody [EPR5526] (AB109115)
  • WB

Lab

Western blot - Anti-Huntingtin antibody [EPR5526] (AB109115)

Lanes 1 - 4 : Merged signal (red and green). Green - ab109115 observed at 348 kDa. Red - loading control, ab18058, observed at 130 kDa.

ab109115 was shown to specifically recognize HTT in wild-type HAP1 cells along with additional cross-reactive bands. No band was observed when HTT knockout samples were exmined. Wild-type and HTT knockout samples were subjected to SDS-PAGE. Unpurified ab109115 and ab18058 (Mouse anti-Vinculin loading control) were incubated overnight at 4°C at 1/10,000 dilution and 1/10,000 dilution respectively. Blots were developed with Goat anti-Rabbit IgG H&L (IRDye® 800CW) preabsorbed ab216773 and Goat anti-Mouse IgG H&L (IRDye® 680RD) preabsorbed ab216776 secondary antibodies at 1/10,000 dilution for 1 hour at room temperature before imaging.

All lanes:

Western blot - Anti-Huntingtin antibody [EPR5526] (ab109115) at 1/10000 dilution

Lane 1:

Wild-type HAP1 whole cell lysate at 20 µg

Lane 2:

HTT knockout HAP1 whole cell lysate at 20 µg

Lane 3:

SH-SY5Y whole cell lysate at 20 µg

Lane 4:

HeLa whole cell lysate at 20 µg

Predicted band size: 348 kDa

false

Western blot - Anti-Huntingtin antibody [EPR5526] (AB109115)
  • WB

Supplier Data

Western blot - Anti-Huntingtin antibody [EPR5526] (AB109115)

Blocking and Diluting buffer and concentration : 5% NFDM /TBST

All lanes:

Western blot - Anti-Huntingtin antibody [EPR5526] (ab109115) at 1/50000 dilution

Lane 1:

Mouse brain lysate at 20 µg

Lane 2:

Rat brain lysate at 20 µg

Secondary

All lanes:

Western blot - Goat Anti-Rabbit IgG H&L (HRP) (<a href='/en-us/products/secondary-antibodies/goat-rabbit-igg-h-l-hrp-ab97051'>ab97051</a>) at 1/1000 dilution

Predicted band size: 348 kDa

Observed band size: 348 kDa

false

Exposure time: 30s

Key facts

Host species

Rabbit

Clonality

Monoclonal

Clone number

EPR5526

Isotype

IgG

Carrier free

No

Reacts with

Mouse, Rat, Human

Applications

IHC-P, IHC-FoFr, WB, ICC/IF

applications

Immunogen

The exact immunogen used to generate this antibody is proprietary information.

Reactivity data

{ "title": "Reactivity Data", "filters": { "stats": ["", "Species", "Dilution Info", "Notes"], "tabs": { "all-applications": {"fullname" : "All Applications", "shortname": "All Applications"}, "WB" : {"fullname" : "Western blot", "shortname":"WB"}, "IHCFoFr" : {"fullname" : "Immunohistochemistry (PFA perfusion fixed frozen sections)", "shortname":"IHC-FoFr"}, "ICCIF" : {"fullname" : "Immunocytochemistry/ Immunofluorescence", "shortname":"ICC/IF"}, "FlowCytIntra" : {"fullname" : "Flow Cytometry (Intracellular)", "shortname":"Flow Cyt (Intra)"}, "IHCP" : {"fullname" : "Immunohistochemistry (Formalin/PFA-fixed paraffin-embedded sections)", "shortname":"IHC-P"} }, "product-promise": { "all": "all", "testedAndGuaranteed": "tested", "guaranteed": "expected", "predicted": "predicted", "notRecommended": "not-recommended" } }, "values": { "Human": { "WB-species-checked": "testedAndGuaranteed", "WB-species-dilution-info": "1/5000", "WB-species-notes": "<p></p>", "IHCFoFr-species-checked": "guaranteed", "IHCFoFr-species-dilution-info": "", "IHCFoFr-species-notes": "", "ICCIF-species-checked": "testedAndGuaranteed", "ICCIF-species-dilution-info": "1 µg/mL", "ICCIF-species-notes": "<p></p>", "FlowCytIntra-species-checked": "notRecommended", "FlowCytIntra-species-dilution-info": "", "FlowCytIntra-species-notes": "<p></p>", "IHCP-species-checked": "testedAndGuaranteed", "IHCP-species-dilution-info": "1/100", "IHCP-species-notes": "<p></p> Perform heat-mediated antigen retrieval with Tris/EDTA buffer pH 9.0 before commencing with IHC staining protocol." }, "Mouse": { "WB-species-checked": "testedAndGuaranteed", "WB-species-dilution-info": "1/5000", "WB-species-notes": "<p></p>", "IHCFoFr-species-checked": "testedAndGuaranteed", "IHCFoFr-species-dilution-info": "1/100", "IHCFoFr-species-notes": "<p>Perform Heat mediated antigen retrieval using sodium citrate buffer (10mM citrate pH 6.0 + 0.05% Tween-20).</p>", "ICCIF-species-checked": "testedAndGuaranteed", "ICCIF-species-dilution-info": "1 µg/mL", "ICCIF-species-notes": "<p></p>", "FlowCytIntra-species-checked": "notRecommended", "FlowCytIntra-species-dilution-info": "", "FlowCytIntra-species-notes": "", "IHCP-species-checked": "testedAndGuaranteed", "IHCP-species-dilution-info": "1/100", "IHCP-species-notes": "<p></p> Perform heat-mediated antigen retrieval with Tris/EDTA buffer pH 9.0 before commencing with IHC staining protocol." }, "Rat": { "WB-species-checked": "testedAndGuaranteed", "WB-species-dilution-info": "1/5000", "WB-species-notes": "<p></p>", "IHCFoFr-species-checked": "guaranteed", "IHCFoFr-species-dilution-info": "", "IHCFoFr-species-notes": "", "ICCIF-species-checked": "guaranteed", "ICCIF-species-dilution-info": "", "ICCIF-species-notes": "", "FlowCytIntra-species-checked": "notRecommended", "FlowCytIntra-species-dilution-info": "", "FlowCytIntra-species-notes": "", "IHCP-species-checked": "testedAndGuaranteed", "IHCP-species-dilution-info": "1/100", "IHCP-species-notes": "<p></p> Perform heat-mediated antigen retrieval with Tris/EDTA buffer pH 9.0 before commencing with IHC staining protocol." } } }

Product details

Product Specifications
Anti-Huntingtin antibody [EPR5526] (ab109115) was developed by Abcam using patented rabbit monoclonal antibody technology and is validated for use in ICC/IF, IHC-FoFr, IHC-P, WB in human, mouse, rat samples.
Anti-Huntingtin antibody [EPR5526] (ab109115) specifically detects Huntingtin (UniProt ID: P42858; Molecular weight: 348kDa) and is sold in 100 µL and 1 mL selling sizes.

Quality and Validation
Abcam's high quality manufacturing and validation processes ensure Anti-Huntingtin antibody [EPR5526] (ab109115) has high sensitivity and specificity alongside high lot-to-lot consistency and reproducibility.
The specificity of Anti-Huntingtin antibody [EPR5526] (ab109115) has been confirmed by testing in knockout samples.
Anti-Huntingtin antibody [EPR5526] (ab109115) has been cited over 38 times in peer reviewed journals and is trusted by the scientific community.
Anti-Huntingtin antibody [EPR5526] (ab109115) has 4 independent reviews from customers.

Related Products
Antibody clone EPR5526 is also available pre-conjugated to a variety of labels for your convenience - Alexa Fluor® 647, Alexa Fluor® 488, Alexa Fluor® 555, Alexa Fluor® 594 (ab196931, ab197506, ab302550, ab302693).

Patented technology
Our RabMAb® technology is a patented hybridoma-based technology for making rabbit monoclonal antibodies. For details on our patents, please refer to RabMAb® patents.

What are the advantages of a recombinant monoclonal antibody?
This product is a recombinant monoclonal antibody, which offers several advantages including:

  • - High batch-to-batch consistency and reproducibility
  • - Improved sensitivity and specificity
  • - Long-term security of supply
  • - Animal-free batch production

For more information, read more on recombinant antibodies.

Properties and storage information

Form
Liquid
Purification technique
Affinity purification Protein A
Storage buffer
pH: 7.2 - 7.4 Preservative: 0.01% Sodium azide Constituents: PBS, 40% Glycerol (glycerin, glycerine), 0.05% BSA
Shipped at conditions
Blue Ice
Appropriate short-term storage duration
1-2 weeks
Appropriate short-term storage conditions
+4°C
Appropriate long-term storage conditions
-20°C
Aliquoting information
Upon delivery aliquot
Storage information
Avoid freeze / thaw cycle

Product protocols

For this product, it's our understanding that no specific protocols are required. You can visit:

Target data

Huntingtin. May play a role in microtubule-mediated transport or vesicle function.. Huntingtin, myristoylated N-terminal fragment. Promotes the formation of autophagic vesicles.
See full target information HTT

Publications (58)

Recent publications for all applications. Explore the full list and refine your search

Molecular medicine reports 32: PubMed41041867

2025

Regulation of nuclear transport of the transcriptional factor REST improves axon regeneration in peripheral nerves.

Applications

Unspecified application

Species

Unspecified reactive species

Takamaru Suzuki,Kiyohito Naito,Daisuke Kubota,Yuji Ueno,Takako Negishi-Koga,Yasuhiro Yamamoto,So Kawakita,Norizumi Imazu,Kenjiro Kawamura,Nobutaka Hattori,Muneaki Ishijima

Nature communications 16:8552 PubMed41022842

2025

In situ secondary structure imaging of protein phase separation and aggregation by hyperspectral stimulated Raman scattering microscopy.

Applications

Unspecified application

Species

Unspecified reactive species

Ruifeng Sun,Yanrong Zhuang,Yi Lin,Fanghao Hu

Nucleic acids research 53: PubMed40598893

2025

Elucidating brain transport pathways and cell type-dependent gene silencing of a durable lipid-siRNA conjugate administered into cerebrospinal fluid.

Applications

Unspecified application

Species

Unspecified reactive species

Alexander G Sorets,Katrina R Schwensen,Nora Francini,Andrew Kjar,Adam M Abdulrahman,Alena Shostak,Ketaki A Katdare,Kathleen M Schoch,Rebecca P Cowell,Joshua C Park,Alexander P Ligocki,William T Ford,Lissa Ventura-Antunes,Ella N Hoogenboezem,Alex Prusky,Mark Castleberry,Danielle L Michell,Emma Fritsch,Sarah M Lyons,Timothy M Miller,Kasey C Vickers,Matthew S Schrag,Craig L Duvall,Ethan S Lippmann

Molecular neurobiology 62:12768-12790 PubMed40450087

2025

Accurate Quantification of Mutant and Wild-Type polyQ Proteins Using Simple Western Capillary Immunoassays.

Applications

Unspecified application

Species

Unspecified reactive species

Bas Röttgering,Janwillem Testerink,Rudie Weij,Chantal Beekman,Nicole Datson

Scientific reports 15:15546 PubMed40319093

2025

Huntingtin inclusion bodies have distinct immunophenotypes and ubiquitination profiles in the Huntington's disease human cerebral cortex.

Applications

Unspecified application

Species

Unspecified reactive species

Molly E V Swanson,Adelie Y S Tan,Lynette J Tippett,Clinton P Turner,Maurice A Curtis,Emma L Scotter,Hilal A Lashuel,Mike Dragunow,Richard L M Faull,Helen C Murray,Malvindar K Singh-Bains

Disease models & mechanisms 18: PubMed40205980

2025

Altered huntingtin-chromatin interactions predict transcriptional and epigenetic changes in Huntington's disease.

Applications

Unspecified application

Species

Unspecified reactive species

Jocelynn R Pearl,Amol C Shetty,Jeffrey P Cantle,Dani E Bergey,Robert M Bragg,Sydney R Coffey,Holly B Kordasiewicz,Leroy E Hood,Nathan D Price,Seth A Ament,Jeffrey B Carroll

Molecular systems biology 21:492-522 PubMed40169779

2025

Multi-epitope immunocapture of huntingtin reveals striatum-selective molecular signatures.

Applications

Unspecified application

Species

Unspecified reactive species

Joshua L Justice,Todd M Greco,Josiah E Hutton,Tavis J Reed,Megan L Mair,Juan Botas,Ileana M Cristea

Journal of Huntington's disease 14:59-84 PubMed39973391

2025

Absence of hippocampal pathology persists in the Q175DN mouse model of Huntington's disease despite elevated HTT aggregation.

Applications

Unspecified application

Species

Unspecified reactive species

Melissa A Solem,Ross G Pelzel,Nicholas B Rozema,Taylor G Brown,Emma Reid,Rachel H Mansky,Rocio Gomez-Pastor

Nature neuroscience 28:280-292 PubMed39762660

2025

Aberrant splicing in Huntington's disease accompanies disrupted TDP-43 activity and altered m6A RNA modification.

Applications

Unspecified application

Species

Unspecified reactive species

Thai B Nguyen,Ricardo Miramontes,Carlos Chillon-Marinas,Roy Maimon,Sonia Vazquez-Sanchez,Alice L Lau,Nicolette R McClure,Zhuoxing Wu,Keona Q Wang,Whitney E England,Monika Singha,Jennifer T Stocksdale,Marie Heath,Ki-Hong Jang,Sunhee Jung,Karen Ling,Paymann Jafar-Nejad,Jharrayne I McKnight,Leanne N Ho,Osama Al Dalahmah,Richard L M Faull,Joan S Steffan,Jack C Reidling,Cholsoon Jang,Gina Lee,Don W Cleveland,Clotilde Lagier-Tourenne,Robert C Spitale,Leslie M Thompson

F1000Research 13:922 PubMed39257448

2024

A guide to selecting high-performing antibodies for Huntingtin (UniProt ID: P42858) for use in western blot, immunoprecipitation, and immunofluorescence.

Applications

WB, ICC, IP

Species

Human, Human, Human

Rebeka Fanti,Riham Ayoubi,Charles Alende,Maryam Fotouhi,Sara González Bolívar,Renu Chandrasekaran,Kathleen Southern,Aled M Edwards,Rachel J Harding,Carl Laflamme
View all publications

Product promise

We are committed to supporting your work with high-quality reagents, and we're here for you every step of the way. In the unlikely event that one of our products does not perform as expected, you're protected by our Product Promise.
For full details, please see our Terms & Conditions

Please note: All products are 'FOR RESEARCH USE ONLY. NOT FOR USE IN DIAGNOSTIC OR THERAPEUTIC PROCEDURES'.

For licensing inquiries, please contact partnerships@abcam.com