JavaScript is disabled in your browser. Please enable JavaScript to view this website.
AB209668

Anti-Huntingtin antibody [EPR5526] - BSA and Azide free

Be the first to review this product! Submit a review

|

(2 Publications)

Rabbit Recombinant Monoclonal Huntingtin antibody. Carrier free. Suitable for WB, IHC-FoFr, IHC-P, ICC/IF and reacts with Human, Mouse, Rat samples. Cited in 2 publications.

View Alternative Names

HD, IT15, HTT, Huntingtin, Huntington disease protein, HD protein

13 Images
Immunocytochemistry/ Immunofluorescence - Anti-Huntingtin antibody [EPR5526] - BSA and Azide free (AB209668)
  • ICC/IF

Supplier Data

Immunocytochemistry/ Immunofluorescence - Anti-Huntingtin antibody [EPR5526] - BSA and Azide free (AB209668)

Immunofluorescent analysis of 4% paraformaldehyde-fixed, 0.1% Triton X-100 permeabilized

SH-SY5Y (Human neuroblastoma from bone marrow cells) cells labeling Huntingtin with purified ab109115 at 1/1000 dilution, followed by Goat anti-rabbit IgG (Alexa Fluor® 488) (ab150077) secondary antibody at 1/1000 dilution (green).

Confocal image showing nuclear and cytoplasmic staining on SH-SY5Y cell line.

The nuclear counter stain is DAPI (blue).

Tubulin is detected with ab7291 (anti-Tubulin mouse mAb) at 1/1000 dilution and ab150120 (Alexa Fluor® 594 Goat anti-Mouse secondary) at 1/1000 dilution (red).

The negative controls are as follows :
1. ab191472 at 1/1000 dilution followed by ab150120 (Alexa Fluor® 594 Goat anti-Mouse secondary) at 1/1000 dilution.
2. ab7291 (anti-Tubulin mouse mAb) at 1/1000 dilution followed by ab150077 (Alexa Fluor® 488 Goat Anti-Rabbit IgG H&L) at 1/1000 dilution.

This data was developed using the same antibody clone in a different buffer formulation containing PBS, BSA, glycerol, and sodium azide (ab109115).

Immunohistochemistry (Formalin/PFA-fixed paraffin-embedded sections) - Anti-Huntingtin antibody [EPR5526] - BSA and Azide free (AB209668)
  • IHC-P

Supplier Data

Immunohistochemistry (Formalin/PFA-fixed paraffin-embedded sections) - Anti-Huntingtin antibody [EPR5526] - BSA and Azide free (AB209668)

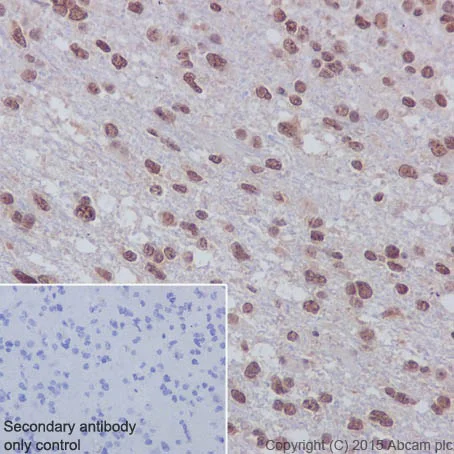
This IHC data was generated using the same anti-Huntingtin antibody clone, EPR5526, in a different buffer formulation (cat# ab109115).

Immunohistochemical analysis of paraffin-embedded Human astrocytoma labeling Huntingtin with purified ab109115 at 1/100 dilution followed by Goat Anti-Rabbit IgG H&L (HRP) (ab97051) at 1/500. Counter stained with Hematoxylin. Nuclear staining on cancer cells of astrocytoma.

Heat mediated antigen retrieval was performed with Tris/EDTA buffer pH 9.0 before commencing with IHC staining protocol.

Immunohistochemistry (Formalin/PFA-fixed paraffin-embedded sections) - Anti-Huntingtin antibody [EPR5526] - BSA and Azide free (AB209668)
  • IHC-P

Lab

Immunohistochemistry (Formalin/PFA-fixed paraffin-embedded sections) - Anti-Huntingtin antibody [EPR5526] - BSA and Azide free (AB209668)

This data was developed using the same antibody clone in a different buffer formulation (ab109115).

Immunohistochemical analysis of formalin fixed paraffin embedded human cerebrum staining Huntingtin with ab109115 at a concentration of 0.1 µg/ml. The immunostaining was performed on a Ventana DISCOVERY ULTRA (Roche Tissue Diagnostics) instrument with a OptiView DAB IHC Detection Kit. Heat mediated antigen retrieval was performed with DISCOVERY cell conditioning solution (CC1) 100°C, pH8.5 for 32mins.

ab109115 anti-Huntingtin [EPR5526] was incubated for 16mins at 37°C. Sections were counterstained with Hematoxylin II. Image inset shows absence of staining in secondary antibody only control.

Customers are encouraged to optimise antigen retrieval conditions, antibody concentration, incubation times and temperature for best results in their own IHC assay workflow (automated and manual)

Immunohistochemistry (Formalin/PFA-fixed paraffin-embedded sections) - Anti-Huntingtin antibody [EPR5526] - BSA and Azide free (AB209668)
  • IHC-P

Supplier Data

Immunohistochemistry (Formalin/PFA-fixed paraffin-embedded sections) - Anti-Huntingtin antibody [EPR5526] - BSA and Azide free (AB209668)

Immunohistochemical analysis of paraffin-embedded Human cerebral cortex tissue labeling Huntingtin with purified ab109115 at 1/100 dilution followed by Goat Anti-Rabbit IgG H&L (HRP) (ab97051) at 1/500. Counter stained with Hematoxylin. Nuclear staining on neuron of human cerebral cortex was observed.

Heat mediated antigen retrieval was performed with Tris/EDTA buffer pH 9.0 before commencing with IHC staining protocol.

This data was developed using the same antibody clone in a different buffer formulation containing PBS, BSA, glycerol, and sodium azide (ab109115).

Immunocytochemistry/ Immunofluorescence - Anti-Huntingtin antibody [EPR5526] - BSA and Azide free (AB209668)
  • ICC/IF

Lab

Immunocytochemistry/ Immunofluorescence - Anti-Huntingtin antibody [EPR5526] - BSA and Azide free (AB209668)

ab109115 staining HTT in wild-type HeLa cells (top panel) and HTT knockout HeLa cells (bottom panel, available as ab265976). The cells were fixed with 4% formaldehyde (10 min), permeabilized with 0.1% Triton X-100 for 5 minutes and then blocked with 1% BSA/10% normal goat serum/0.3M glycine in 0.1% PBS-Tween for 1h. The cells were then incubated with ab109115 at 1.0 µg/mL and ab7291 at 1.0 µg/mL overnight at +4°C, followed by a further incubation at room temperature for 1h with a goat secondary antibody to Rabbit IgG (Alexa Fluor® 488) (ab150081) (shown in green) and goat secondary antibody to Mouse IgG (Alexa Fluor® 594) (ab150120) (shown in red) both at 1/1000. Nuclear DNA was labelled with DAPI (shown in blue). Image was acquired with a high-content analyser (Operetta CLS, Perkin Elmer) and a maximum intensity projection of confocal sections is shown. This data was developed using the same antibody clone in a different buffer formulation (ab109115).

Immunohistochemistry (Formalin/PFA-fixed paraffin-embedded sections) - Anti-Huntingtin antibody [EPR5526] - BSA and Azide free (AB209668)
  • IHC-P

Supplier Data

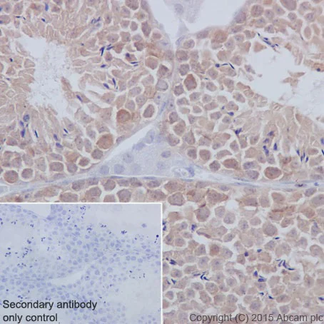
Immunohistochemistry (Formalin/PFA-fixed paraffin-embedded sections) - Anti-Huntingtin antibody [EPR5526] - BSA and Azide free (AB209668)

Immunohistochemical analysis of paraffin-embedded Mouse testis labeling Huntingtin with purified ab109115 at 1/100 dilution followed by Goat Anti-Rabbit IgG H&L (HRP) (ab97051) at 1/500. Counter stained with Hematoxylin. Cytoplasmic staining on spermatogenic cells of mouse testis.

Heat mediated antigen retrieval was performed with Tris/EDTA buffer pH 9.0 before commencing with IHC staining protocol.

This data was developed using the same antibody clone in a different buffer formulation containing PBS, BSA, glycerol, and sodium azide (ab109115).

Immunohistochemistry (PFA perfusion fixed frozen sections) - Anti-Huntingtin antibody [EPR5526] - BSA and Azide free (AB209668)
  • IHC-FoFr

Lab

Immunohistochemistry (PFA perfusion fixed frozen sections) - Anti-Huntingtin antibody [EPR5526] - BSA and Azide free (AB209668)

Immunohistochemistry (Frozen) analysis of mouse cerebrum tissue sections labeling Huntingtin with purified ab109115 at 1/100 (13.4 μg/ml). Goat anti rabbit IgG (Alexa Fluor® 488, ab150077) at 1/1000 (2 μg/ml) was used as the secondary antibody. Sections were fixed with 4% paraformaldehyde and permeabilised with 0.2% Triton X-100. Negative control : PBS instead of the primary antibody. DAPI (blue) was used as nuclear counterstain. Heat mediated antigen retrieval using sodium citrate buffer (10mM citrate pH 6.0 + 0.05% Tween-20) was performed.
This data was developed using the same antibody clone in a different buffer formulation containing PBS, BSA, glycerol, and sodium azide ab109115).

Immunocytochemistry/ Immunofluorescence - Anti-Huntingtin antibody [EPR5526] - BSA and Azide free (AB209668)
  • ICC/IF

Supplier Data

Immunocytochemistry/ Immunofluorescence - Anti-Huntingtin antibody [EPR5526] - BSA and Azide free (AB209668)

Immunofluorescent analysis of 4% paraformaldehyde-fixed, 0.1% Triton X-100 permeabilized

Neuro-2a (Mouse neuroblastoma cells) cells labeling Huntingtin with purified ab109115 at 1/1000 dilution, followed by Goat anti-rabbit IgG (Alexa Fluor® 488) (ab150077) secondary antibody at 1/1000 dilution (green).

Confocal image showing nuclear and cytoplasmic staining on Neuro-2a cell line.

The nuclear counter stain is DAPI (blue).

Tubulin is detected with ab7291 (anti-Tubulin mouse mAb) at 1/1000 dilution and ab150120 (AlexaFluor®594 Goat anti-Mouse secondary) at 1/1000 dilution (red).

The negative controls are as follows :
1. ab191472 at 1/1000 dilution followed by ab150120 (Alexa Fluor® 594 Goat anti-Mouse secondary) at 1/1000 dilution.
2. ab7291 (anti-Tubulin mouse mAb) at 1/1000 dilution followed by ab150077 (Alexa Fluor® 488 Goat Anti-Rabbit IgG H&L) at 1/1000 dilution.

This data was developed using the same antibody clone in a different buffer formulation containing PBS, BSA, glycerol, and sodium azide (ab109115).

Immunohistochemistry (PFA perfusion fixed frozen sections) - Anti-Huntingtin antibody [EPR5526] - BSA and Azide free (AB209668)
  • IHC-FoFr

Lab

Immunohistochemistry (PFA perfusion fixed frozen sections) - Anti-Huntingtin antibody [EPR5526] - BSA and Azide free (AB209668)

Immunohistochemistry (Frozen) analysis of mouse cerebellum tissue sections labeling Huntingtin with purified ab109115 at 1/100 (13.4 μg/ml). Goat anti rabbit IgG (Alexa Fluor® 488, ab150077) at 1/1000 (2 μg/ml) was used as the secondary antibody. Sections were fixed with 4% paraformaldehyde and permeabilised with 0.2% Triton X-100. Negative control : PBS instead of the primary antibody. DAPI (blue) was used as nuclear counterstain. Heat mediated antigen retrieval using sodium citrate buffer (10mM citrate pH 6.0 + 0.05% Tween-20) was performed.
This data was developed using the same antibody clone in a different buffer formulation containing PBS, BSA, glycerol, and sodium azide (ab109115).

Immunohistochemistry (Formalin/PFA-fixed paraffin-embedded sections) - Anti-Huntingtin antibody [EPR5526] - BSA and Azide free (AB209668)
  • IHC-P

Supplier Data

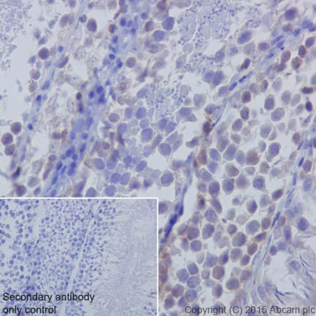
Immunohistochemistry (Formalin/PFA-fixed paraffin-embedded sections) - Anti-Huntingtin antibody [EPR5526] - BSA and Azide free (AB209668)

Immunohistochemical analysis of paraffin-embedded Rat testis labeling Huntingtin with purified ab109115 at 1/100 dilution followed by Goat Anti-Rabbit IgG H&L (HRP) (ab97051) at 1/500. Counter stained with Hematoxylin. Weak cytoplasmic staining on spermatogenic cells of rat testis.

Heat mediated antigen retrieval was performed with Tris/EDTA buffer pH 9.0 before commencing with IHC staining protocol.

This data was developed using the same antibody clone in a different buffer formulation containing PBS, BSA, glycerol, and sodium azide (ab109115).

Western blot - Anti-Huntingtin antibody [EPR5526] - BSA and Azide free (AB209668)
  • WB

Lab

Western blot - Anti-Huntingtin antibody [EPR5526] - BSA and Azide free (AB209668)

This WB data was generated using the same anti-Huntingtin antibody clone, EPR5526, in a different buffer formulation (cat# ab109115).

Lanes 1 - 4 : Merged signal (red and green). Green - ab109115 observed at 348 kDa. Red - loading control, ab18058, observed at 130 kDa.

ab109115 was shown to specifically recognize HTT in wild-type HAP1 cells along with additional cross-reactive bands. No band was observed when HTT knockout samples were exmined. Wild-type and HTT knockout samples were subjected to SDS-PAGE. Unpurified ab109115 and ab18058 (Mouse anti-Vinculin loading control) were incubated overnight at 4°C at 1/10,000 dilution and 1/10,000 dilution respectively. Blots were developed with Goat anti-Rabbit IgG H&L (IRDye® 800CW) preabsorbed ab216773 and Goat anti-Mouse IgG H&L (IRDye® 680RD) preabsorbed ab216776 secondary antibodies at 1/10,000 dilution for 1 hour at room temperature before imaging.

All lanes:

Western blot - Anti-Huntingtin antibody [EPR5526] (<a href='/en-us/products/primary-antibodies/huntingtin-antibody-epr5526-ab109115'>ab109115</a>) at 1/10000 dilution

Lane 1:

Wild-type HAP1 whole cell lysate at 20 µg

Lane 2:

HTT knockout HAP1 whole cell lysate at 20 µg

Lane 3:

SH-SY5Y whole cell lysate at 20 µg

Lane 4:

HeLa whole cell lysate at 20 µg

Predicted band size: 348 kDa

false

Western blot - Anti-Huntingtin antibody [EPR5526] - BSA and Azide free (AB209668)
  • WB

Lab

Western blot - Anti-Huntingtin antibody [EPR5526] - BSA and Azide free (AB209668)

This data was developed using ab109115, the same antibody clone in a different buffer formulation.

ab109115 was shown to react with HTT in wild-type DMS53 cells in Western blot with loss of signal observed in a HTT knockout cell line. Wild-type DMS53 and HTT knockout cell lysates were subjected to SDS-PAGE. Membranes were blocked in 5% milk in TBST for 1 hr before incubation with ab109115 overnight at 4 °C at a 1/2000 dilution. Blots were incubated with secondary antibodies at 0.2 µg/mL before imaging.

These data were provided by YCharOS Inc., an open science company with the mission of characterizing commercially available antibody reagents for all human proteins. Abcam and YCharOS are working together to help address the reproducibility crisis by enabling the life science community to better evaluate commercially available antibodies.

All lanes:

Western blot - Anti-Huntingtin antibody [EPR5526] (<a href='/en-us/products/primary-antibodies/huntingtin-antibody-epr5526-ab109115'>ab109115</a>) at 1/2000 dilution

Lane 1:

Wild-type DMS53 lysate at 30 µg

Lane 2:

HTT knock-out DMS53 lysate at 30 µg

false

Western blot - Anti-Huntingtin antibody [EPR5526] - BSA and Azide free (AB209668)
  • WB

Lab

Western blot - Anti-Huntingtin antibody [EPR5526] - BSA and Azide free (AB209668)

This data was developed using the same antibody clone in a different buffer formulation (ab109115).

Lanes 1- 2 : Merged signal (red and green). Green - ab109115 observed at 348 kDa. Red - Anti-alpha Tubulin antibody [DM1A] - Loading Control (ab7291) observed at 50 kDa.

ab109115 was shown to react with Huntingtin in wild-type HeLa cells in western blot. Loss of signal was observed when knockout cell line ab265976 (knockout cell lysate ab256946) was used. Wild-type HeLa and HTT knockout HeLa cell lysates were subjected to SDS-PAGE. Membrane was blocked for 1 hour at room temperature in 0.1% TBST with 3% non-fat dried milk. ab109115 and Anti-alpha Tubulin antibody [DM1A] - Loading Control (ab7291) overnight at 4°C at a 1 in 10000 dilution and a 1 in 20000 dilution respectively. Blots were developed with Goat anti-Rabbit IgG H&L (IRDye®800CW) preadsorbed (ab216773) and Goat anti-Mouse IgG H&L (IRDye®680RD) preadsorbed (ab216776) secondary antibodies at 1 in 20000 dilution for 1 hour at room temperature before imaging.

All lanes:

Western blot - Anti-Huntingtin antibody [EPR5526] (<a href='/en-us/products/primary-antibodies/huntingtin-antibody-epr5526-ab109115'>ab109115</a>) at 1/10000 dilution

Lane 1:

Wild-type HeLa cell lysate at 20 µg

Lane 2:

HTT knockout HeLa cell lysate at 20 µg

Predicted band size: 348 kDa,43 kDa,52 kDa,55 kDa,56 kDa

Observed band size: 348 kDa

false

Key facts

Host species

Rabbit

Clonality

Monoclonal

Clone number

EPR5526

Isotype

IgG

Carrier free

Yes

Reacts with

Mouse, Rat, Human

Applications

WB, ICC/IF, IHC-FoFr, IHC-P

applications

Immunogen

The exact immunogen used to generate this antibody is proprietary information.

Reactivity data

{ "title": "Reactivity Data", "filters": { "stats": ["", "Species", "Dilution Info", "Notes"], "tabs": { "all-applications": {"fullname" : "All Applications", "shortname": "All Applications"}, "WB" : {"fullname" : "Western blot", "shortname":"WB"}, "IHCFoFr" : {"fullname" : "Immunohistochemistry (PFA perfusion fixed frozen sections)", "shortname":"IHC-FoFr"}, "IHCP" : {"fullname" : "Immunohistochemistry (Formalin/PFA-fixed paraffin-embedded sections)", "shortname":"IHC-P"}, "ICCIF" : {"fullname" : "Immunocytochemistry/ Immunofluorescence", "shortname":"ICC/IF"}, "FlowCytIntra" : {"fullname" : "Flow Cytometry (Intracellular)", "shortname":"Flow Cyt (Intra)"} }, "product-promise": { "all": "all", "testedAndGuaranteed": "tested", "guaranteed": "expected", "predicted": "predicted", "notRecommended": "not-recommended" } }, "values": { "Human": { "WB-species-checked": "testedAndGuaranteed", "WB-species-dilution-info": "", "WB-species-notes": "<p></p>", "IHCFoFr-species-checked": "guaranteed", "IHCFoFr-species-dilution-info": "", "IHCFoFr-species-notes": "", "IHCP-species-checked": "testedAndGuaranteed", "IHCP-species-dilution-info": "", "IHCP-species-notes": "<p></p>", "ICCIF-species-checked": "guaranteed", "ICCIF-species-dilution-info": "", "ICCIF-species-notes": "", "FlowCytIntra-species-checked": "notRecommended", "FlowCytIntra-species-dilution-info": "", "FlowCytIntra-species-notes": "<p></p>" }, "Mouse": { "WB-species-checked": "guaranteed", "WB-species-dilution-info": "", "WB-species-notes": "", "IHCFoFr-species-checked": "testedAndGuaranteed", "IHCFoFr-species-dilution-info": "", "IHCFoFr-species-notes": "<p></p>", "IHCP-species-checked": "testedAndGuaranteed", "IHCP-species-dilution-info": "", "IHCP-species-notes": "<p></p>", "ICCIF-species-checked": "testedAndGuaranteed", "ICCIF-species-dilution-info": "", "ICCIF-species-notes": "<p></p>", "FlowCytIntra-species-checked": "notRecommended", "FlowCytIntra-species-dilution-info": "", "FlowCytIntra-species-notes": "" }, "Rat": { "WB-species-checked": "guaranteed", "WB-species-dilution-info": "", "WB-species-notes": "", "IHCFoFr-species-checked": "guaranteed", "IHCFoFr-species-dilution-info": "", "IHCFoFr-species-notes": "", "IHCP-species-checked": "testedAndGuaranteed", "IHCP-species-dilution-info": "", "IHCP-species-notes": "<p></p>", "ICCIF-species-checked": "guaranteed", "ICCIF-species-dilution-info": "", "ICCIF-species-notes": "", "FlowCytIntra-species-checked": "notRecommended", "FlowCytIntra-species-dilution-info": "", "FlowCytIntra-species-notes": "" } } }

Product details

ab209668 is the carrier-free version of ab109115.

Patented technology
Our RabMAb® technology is a patented hybridoma-based technology for making rabbit monoclonal antibodies. For details on our patents, please refer to RabMAb® patents.

What are the advantages of a recombinant monoclonal antibody?
This product is a recombinant monoclonal antibody, which offers several advantages including:

  • - High batch-to-batch consistency and reproducibility
  • - Improved sensitivity and specificity
  • - Long-term security of supply
  • - Animal-free batch production

For more information, read more on recombinant antibodies.

Conjugation ready
Our carrier-free antibodies are typically supplied in a PBS-only formulation, purified and free of BSA, sodium azide and glycerol. This conjugation-ready format is designed for use with fluorochromes, metal isotopes, oligonucleotides, and enzymes, which makes them ideal for antibody labelling, functional and cell-based assays, flow-based assays (e.g. mass cytometry) and Multiplex Imaging applications.

Use our conjugation kits for antibody conjugates that are ready-to-use in as little as 20 minutes with 1 minute hands-on-time and 100% antibody recovery: available for fluorescent dyes, HRP, biotin and gold.

Compatibility
This product is compatible with the Maxpar® Antibody Labeling Kit from Fluidigm, without the need for antibody preparation. Maxpar® is a trademark of Fluidigm Canada Inc.

Properties and storage information

Form
Liquid
Purification technique
Affinity purification Protein A
Storage buffer
pH: 7.2 - 7.4 Constituents: PBS
Shipped at conditions
Blue Ice
Appropriate short-term storage conditions
+4°C
Appropriate long-term storage conditions
+4°C
Storage information
Do Not Freeze

Product protocols

For this product, it's our understanding that no specific protocols are required. You can visit:

Target data

Huntingtin. May play a role in microtubule-mediated transport or vesicle function.. Huntingtin, myristoylated N-terminal fragment. Promotes the formation of autophagic vesicles.
See full target information HTT

Publications (2)

Recent publications for all applications. Explore the full list and refine your search

Experimental neurology 374:114675 PubMed38216109

2024

Glucocorticoid receptor antagonist CORT113176 attenuates motor and neuropathological symptoms of Huntington's disease in R6/2 mice.

Applications

Unspecified application

Species

Unspecified reactive species

Max Gentenaar,Fleur L Meulmeester,Ximaine R van der Burg,Anna T Hoekstra,Hazel Hunt,Jan Kroon,Willeke M C van Roon-Mom,Onno C Meijer

Neurological sciences : official journal of the Italian Neurological Society and of the Italian Society of Clinical Neurophysiology 36:429-34 PubMed25294428

2014

Selection and characterization of llama single domain antibodies against N-terminal huntingtin.

Applications

WB

Species

Unspecified reactive species

Menno H Schut,Barry A Pepers,Rinse Klooster,Silvère M van der Maarel,Mohamed El Khatabi,Theo Verrips,Johan T den Dunnen,Gert-Jan B van Ommen,Willeke M C van Roon-Mom
View all publications

Product promise

We are committed to supporting your work with high-quality reagents, and we're here for you every step of the way. In the unlikely event that one of our products does not perform as expected, you're protected by our Product Promise.
For full details, please see our Terms & Conditions

Please note: All products are 'FOR RESEARCH USE ONLY. NOT FOR USE IN DIAGNOSTIC OR THERAPEUTIC PROCEDURES'.

For licensing inquiries, please contact partnerships@abcam.com