JavaScript is disabled in your browser. Please enable JavaScript to view this website.
AB2174

Anti-Huntingtin (phospho S421) antibody

4

(1 Review)

|

(2 Publications)

Rabbit Polyclonal Huntingtin phospho S421 antibody. Suitable for ELISA, WB, IHC-P and reacts with Human samples. Cited in 2 publications. Immunogen corresponding to Synthetic Peptide within Human HTT phospho S421 aa 400-450.

View Alternative Names

HD, IT15, HTT, Huntingtin, Huntington disease protein, HD protein

2 Images
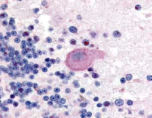
Immunohistochemistry (Formalin/PFA-fixed paraffin-embedded sections) - Anti-Huntingtin (phospho S421) antibody (AB2174)
  • IHC-P

Unknown

Immunohistochemistry (Formalin/PFA-fixed paraffin-embedded sections) - Anti-Huntingtin (phospho S421) antibody (AB2174)

ab2174 was used at a 1 : 100 dilution to detect phosphorylated Huntingtin by immunohistochemistry in human brain cerebellum. Positive cytoplasmic staining is observed in neurons. Tissue was formalin-fixed and paraffin embedded. Detection was with AEC (pink), nuclear counterstaining with Haemotoxylin (blue).

Western blot - Anti-Huntingtin (phospho S421) antibody (AB2174)
  • WB

Unknown

Western blot - Anti-Huntingtin (phospho S421) antibody (AB2174)

The 190kDa band may correspond to Huntingtin. However, it is not clear whether the antibody is specific for the phospho S421 form.

All lanes:

Western blot - Anti-Huntingtin (phospho S421) antibody (ab2174) at 1/1000 dilution

All lanes:

human PC-3 cell lysate

Predicted band size: 348 kDa

Observed band size: 120 kDa,130 kDa,190 kDa

false

Key facts

Host species

Rabbit

Clonality

Polyclonal

Isotype

IgG

Carrier free

No

Reacts with

Human

Applications

ELISA, IHC-P, WB

applications

Immunogen

Synthetic Peptide within Human HTT phospho S421 aa 400-450. The exact immunogen used to generate this antibody is proprietary information.

P42858

Specificity

Detects a 190kDa band in PC-3 cells, which may correspond to Huntingtin. Stains neuronal cytoplasm in immunohistochemistry (the expected localisation). The antibody has not been conclusively tested for specificity for phospho S421 Huntingtin.

This antibody is specific for phosphorylated human Huntington protein at the pS421 residue. BLAST analysis indicates 100 % homology of the immunizing sequence with Huntington homologues from chimpanzee, pig and chicken. Cross reactivity with Huntington protein homologues from mouse and rat may also occur as sequence homology varies by one amino acid residue in this sequence. Reactivity with Huntington protein from other sources is not known. Minimal reactivity is expected with the non-phosphorylated form of the protein.

Reactivity data

{ "title": "Reactivity Data", "filters": { "stats": ["", "Species", "Dilution Info", "Notes"], "tabs": { "all-applications": {"fullname" : "All Applications", "shortname": "All Applications"}, "ELISA" : {"fullname" : "ELISA", "shortname":"ELISA"}, "WB" : {"fullname" : "Western blot", "shortname":"WB"}, "IHCP" : {"fullname" : "Immunohistochemistry (Formalin/PFA-fixed paraffin-embedded sections)", "shortname":"IHC-P"} }, "product-promise": { "all": "all", "testedAndGuaranteed": "tested", "guaranteed": "expected", "predicted": "predicted", "notRecommended": "not-recommended" } }, "values": { "Human": { "ELISA-species-checked": "guaranteed", "ELISA-species-dilution-info": "", "ELISA-species-notes": "<p>This antibody gave a positive result in ELISA against the immunizing peptide .</p>", "WB-species-checked": "testedAndGuaranteed", "WB-species-dilution-info": "", "WB-species-notes": "<p></p>", "IHCP-species-checked": "testedAndGuaranteed", "IHCP-species-dilution-info": "", "IHCP-species-notes": "<p></p>" }, "Pig": { "ELISA-species-checked": "predicted", "ELISA-species-dilution-info": "", "ELISA-species-notes": "", "WB-species-checked": "predicted", "WB-species-dilution-info": "", "WB-species-notes": "", "IHCP-species-checked": "predicted", "IHCP-species-dilution-info": "", "IHCP-species-notes": "" } } }

Properties and storage information

Form
Liquid
Purification technique
Affinity purification Immunogen
Purification notes
Anti-Huntingtin pS421 is an affinity purified antibody produced by immunoaffinity chromatography using phospho peptide coupled to agarose beads followed by solid phase adsorption(s) against non-phospho peptide and non-specific peptide to remove any unwanted reactivities. This antibody is specific for phosphorylated human Huntington protein at the pS421 residue.
Storage buffer
pH: 7.2 Preservative: 0.01% Sodium azide Constituents: 0.88% Sodium chloride, 0.424% Potassium phosphate solution
Shipped at conditions
Blue Ice
Appropriate short-term storage duration
1-2 weeks
Appropriate short-term storage conditions
+4°C
Appropriate long-term storage conditions
-20°C
Aliquoting information
Upon delivery aliquot
Storage information
Avoid freeze / thaw cycle

Product protocols

For this product, it's our understanding that no specific protocols are required. You can visit:

Target data

Huntingtin. May play a role in microtubule-mediated transport or vesicle function.. Huntingtin, myristoylated N-terminal fragment. Promotes the formation of autophagic vesicles.
See full target information HTT phospho S421

Publications (2)

Recent publications for all applications. Explore the full list and refine your search

Nature communications 16:4491 PubMed40368919

2025

Inherited deficiency of DIAPH1 identifies a DNA double strand break repair pathway regulated by γ-actin.

Applications

Unspecified application

Species

Unspecified reactive species

Beth L Woodward,Sudipta Lahiri,Anoop S Chauhan,Marcos Rios Garcia,Lucy E Goodley,Thomas L Clarke,Mohinder Pal,Angelo Agathanggelou,Satpal S Jhujh,Anil N Ganesh,Fay M Hollins,Valentina Galassi Deforie,Reza Maroofian,Stephanie Efthymiou,Andrea Meinhardt,Christopher G Mathew,Michael A Simpson,Heather C Mefford,Eissa A Faqeih,Sergio D Rosenzweig,Stefano Volpi,Gigliola Di Matteo,Caterina Cancrini,Annarita Scardamaglia,Fiona Shackley,E Graham Davies,Shahnaz Ibrahim,Peter D Arkwright,Maha S Zaki,Tatjana Stankovic,A Malcolm R Taylor,Antonina J Mazur,Nataliya Di Donato,Henry Houlden,Eli Rothenberg,Grant S Stewart

Nucleic acids research 52:12351-12377 PubMed39315696

2024

p53-dependent crosstalk between DNA replication integrity and redox metabolism mediated through a NRF2-PARP1 axis.

Applications

Unspecified application

Species

Unspecified reactive species

Gamal Ahmed Elfar,Obed Aning,Tsz Wai Ngai,Pearlyn Yeo,Joel Wai Kit Chan,Shang Hong Sim,Leonard Goh,Ju Yuan,Cheryl Zi Jin Phua,Joanna Zhen Zhen Yeo,Shi Ya Mak,Brian Kim Poh Goh,Pierce Kah-Hoe Chow,Wai Leong Tam,Ying Swan Ho,Chit Fang Cheok
View all publications

Product promise

We are committed to supporting your work with high-quality reagents, and we're here for you every step of the way. In the unlikely event that one of our products does not perform as expected, you're protected by our Product Promise.
For full details, please see our Terms & Conditions

Please note: All products are 'FOR RESEARCH USE ONLY. NOT FOR USE IN DIAGNOSTIC OR THERAPEUTIC PROCEDURES'.

For licensing inquiries, please contact partnerships@abcam.com