JavaScript is disabled in your browser. Please enable JavaScript to view this website.
AB242410

Anti-HuR / ELAVL1 antibody [EPR17397] - BSA and Azide free

Be the first to review this product! Submit a review

|

(2 Publications)

Rabbit Recombinant Monoclonal HuR / ELAVL1 antibody. Carrier free. Suitable for IP, WB, ICC/IF, Flow Cyt (Intra), IHC-P and reacts with Human, Mouse, Rat samples. Cited in 2 publications.

View Alternative Names

HUR, ELAVL1, ELAV-like protein 1, Hu-antigen R, HuR

7 Images
Flow Cytometry (Intracellular) - Anti-HuR / ELAVL1 antibody [EPR17397] - BSA and Azide free (AB242410)
  • Flow Cyt (Intra)

Lab

Flow Cytometry (Intracellular) - Anti-HuR / ELAVL1 antibody [EPR17397] - BSA and Azide free (AB242410)

ab200342 staining HuR / ELAVL1 in Jurkat (human acute T cell leukemia) cells by intracellular flow cytometry. Cells were fixed with 4% paraformaldehyde and the sample was incubated with the primary antibody at a dilution of 1/23000. A goat anti rabbit IgG (Alexa Fluor® 488) at a dilution of 1/2000 was used as the secondary antibody.

Isoytype control : Rabbit monoclonal IgG (Black)

Unlabelled control : Cell without incubation with primary antibody and secondary antibody (Blue)

This data was developed using the same antibody clone in a different buffer formulation containing PBS, BSA, glycerol, and sodium azide (ab200342)

Immunohistochemistry (Formalin/PFA-fixed paraffin-embedded sections) - Anti-HuR / ELAVL1 antibody [EPR17397] - BSA and Azide free (AB242410)
  • IHC-P

Supplier Data

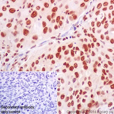
Immunohistochemistry (Formalin/PFA-fixed paraffin-embedded sections) - Anti-HuR / ELAVL1 antibody [EPR17397] - BSA and Azide free (AB242410)

Immunohistochemical analysis of paraffin-embedded Human cervix carcinoma tissue labeling HuR / ELAVL1 with ab200342 at 1/500 dilution followed by Goat Anti-Rabbit IgG H&L (HRP) (ab97051) at 1/500 dilution. Nuclear and weakly cytoplasm staining on Human cervix carcinoma tissue is observed. Counter stained with Hematoxylin.

Secondary antibody only control : Used PBS instead of primary antibody, secondary antibody is Goat Anti-Rabbit IgG H&L (HRP) (ab97051).

This data was developed using the same antibody clone in a different buffer formulation containing PBS, BSA, glycerol, and sodium azide (ab200342)

Perform heat mediated antigen retrieval with Tris/EDTA buffer pH 9.0 before commencing with IHC staining protocol.

Immunocytochemistry/ Immunofluorescence - Anti-HuR / ELAVL1 antibody [EPR17397] - BSA and Azide free (AB242410)
  • ICC/IF

Lab

Immunocytochemistry/ Immunofluorescence - Anti-HuR / ELAVL1 antibody [EPR17397] - BSA and Azide free (AB242410)

Immunocytochemistry/Immunofluorescence analysis of HeLa cells labelling HuR / ELAVL1 with ab200342 at 1/500. Cells were fixed with 100% methanol. ab150077, an Alexa Fluor® 488-conjugated goat anti-rabbit IgG (1/1000) was used as the secondary antibody.
Control : PBS only.
Nuclear counter stain : DAPI.

This data was developed using the same antibody clone in a different buffer formulation containing PBS, BSA, glycerol, and sodium azide (ab200342)

Immunoprecipitation - Anti-HuR / ELAVL1 antibody [EPR17397] - BSA and Azide free (AB242410)
  • IP

Supplier Data

Immunoprecipitation - Anti-HuR / ELAVL1 antibody [EPR17397] - BSA and Azide free (AB242410)

HuR / ELAVL1 was immunoprecipitated from 1mg of HeLa (Human epithelial cells from cervix adenocarcinoma) whole cell lysate with ab200342 at 1/30 dilution. Western blot was performed from the immunoprecipitate using ab200342 at 1/1000 dilution. Anti-Rabbit IgG (HRP), specific to the non-reduced form of IgG, was used as secondary antibody at 1/1500 dilution.

Lane 1 : HeLa whole cell lysate 10 μg (Input). Lane 2 : ab200342 IP in HeLa whole cell lysate. Lane 3 : Rabbit monoclonal IgG (ab172730) instead of ab200342 in HeLa whole cell lysate.

Blocking and dilution buffer and concentration : 5% NFDM/TBST.

This data was developed using the same antibody clone in a different buffer formulation containing PBS, BSA, glycerol, and sodium azide (ab200342)

All lanes:

Immunoprecipitation - Anti-HuR / ELAVL1 antibody [EPR17397] (<a href='/en-us/products/primary-antibodies/hur-elavl1-antibody-epr17397-ab200342'>ab200342</a>)

Predicted band size: 36 kDa

Observed band size: 36 kDa

false

Immunohistochemistry (Formalin/PFA-fixed paraffin-embedded sections) - Anti-HuR / ELAVL1 antibody [EPR17397] - BSA and Azide free (AB242410)
  • IHC-P

Supplier Data

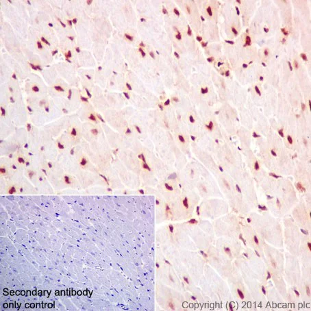
Immunohistochemistry (Formalin/PFA-fixed paraffin-embedded sections) - Anti-HuR / ELAVL1 antibody [EPR17397] - BSA and Azide free (AB242410)

Immunohistochemical analysis of paraffin-embedded Mouse cardiac muscle tissue labeling HuR / ELAVL1 with ab200342 at 1/500 dilution followed by Goat Anti-Rabbit IgG H&L (HRP) (ab97051) at 1/500 dilution. Nuclear and weakly cytoplasm staining on Mouse cardiac muscle tissue is observed. Counter stained with Hematoxylin.

Secondary antibody only control : Used PBS instead of primary antibody, secondary antibody is Goat Anti-Rabbit IgG H&L (HRP) (ab97051).

This data was developed using the same antibody clone in a different buffer formulation containing PBS, BSA, glycerol, and sodium azide (ab200342)

Perform heat mediated antigen retrieval with Tris/EDTA buffer pH 9.0 before commencing with IHC staining protocol.

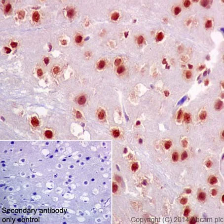
Immunohistochemistry (Formalin/PFA-fixed paraffin-embedded sections) - Anti-HuR / ELAVL1 antibody [EPR17397] - BSA and Azide free (AB242410)
  • IHC-P

Supplier Data

Immunohistochemistry (Formalin/PFA-fixed paraffin-embedded sections) - Anti-HuR / ELAVL1 antibody [EPR17397] - BSA and Azide free (AB242410)

Immunohistochemical analysis of paraffin-embedded Rat cerebral cortex tissue labeling HuR / ELAVL1 with ab200342 at 1/500 dilution followed by Goat Anti-Rabbit IgG H&L (HRP) (ab97051) at 1/500 dilution. Nuclear and weakly cytoplasm staining on rat cerebral cortex tissue tissue is observed. Counter stained with Hematoxylin.

Secondary antibody only control : Used PBS instead of primary antibody, secondary antibody is Goat Anti-Rabbit IgG H&L (HRP) (ab97051).

This data was developed using the same antibody clone in a different buffer formulation containing PBS, BSA, glycerol, and sodium azide (ab200342)

Perform heat mediated antigen retrieval with Tris/EDTA buffer pH 9.0 before commencing with IHC staining protocol.

Western blot - Anti-HuR / ELAVL1 antibody [EPR17397] - BSA and Azide free (AB242410)
  • WB

Lab

Western blot - Anti-HuR / ELAVL1 antibody [EPR17397] - BSA and Azide free (AB242410)

This data was developed using the same antibody clone in a different buffer formulation (ab200342).

Lanes 1 - 2 : Merged signal (red and green). Green - ab200342 observed at 36 kDa. Red - loading control ab7291 (Mouse anti-Alpha Tubulin [DM1A] observed at 55kDa.

ab200342 was shown to react with ELAVL1 in wild-type SW480 cells in western blot with loss of signal observed in ELAVL1 knockout sample. Wild-type and ELAVL1 knockout SW480 cell lysates were subjected to SDS-PAGE. Membranes were blocked in 3% milk in TBS-T (0.1% Tween®) before incubation with ab200342 and ab7291 (Mouse anti-Alpha Tubulin [DM1A] overnight at 4°C at a 1 in 5000 dilution and a 1 in 20000 dilution respectively. Blots were incubated with Goat anti-Rabbit IgG H&L (IRDye® 800CW) preabsorbed (ab216773) and Goat anti-Mouse IgG H&L (IRDye® 680RD) preabsorbed (ab216776) secondary antibodies at 1 in 20000 dilution for 1 hour at room temperature before imaging.

All lanes:

Western blot - Anti-HuR / ELAVL1 antibody [EPR17397] (<a href='/en-us/products/primary-antibodies/hur-elavl1-antibody-epr17397-ab200342'>ab200342</a>) at 1/5000 dilution

Lane 1:

Wild-type SW480 (Human colorectal adenocarcinoma cell line) whole cell lysate at 40 µg

Lane 2:

ELAVL1 knockout SW480 (Human colorectal adenocarcinoma cell line) whole cell lysate at 40 µg

Lane 2:

Western blot - Human ELAVL1 knockout SW480 cell line (<a href='/en-us/products/cell-lines/human-elavl1-knockout-sw480-cell-line-ab270485'>ab270485</a>)

Predicted band size: 36 kDa

Observed band size: 36 kDa

false

  • Unconjugated

    Anti-HuR / ELAVL1 antibody [EPR17397]

  • 603 Alexa Fluor® 568

    Alexa Fluor® 568 Anti-HuR / ELAVL1 antibody [EPR17397]

  • 519 Alexa Fluor® 488

    Alexa Fluor® 488 Anti-HuR / ELAVL1 antibody [EPR17397]

  • 775 Alexa Fluor® 750

    Alexa Fluor® 750 Anti-HuR / ELAVL1 antibody [EPR17397]

  • 665 Alexa Fluor® 647

    Alexa Fluor® 647 Anti-HuR / ELAVL1 antibody [EPR17397]

  • 660 APC

    APC Anti-HuR / ELAVL1 antibody [EPR17397]

  • 578 PE

    PE Anti-HuR / ELAVL1 antibody [EPR17397]

  • 617 Alexa Fluor® 594

    Alexa Fluor® 594 Anti-HuR / ELAVL1 antibody [EPR17397]

  • 565 Alexa Fluor® 555

    Alexa Fluor® 555 Anti-HuR / ELAVL1 antibody [EPR17397]

Key facts

Host species

Rabbit

Clonality

Monoclonal

Clone number

EPR17397

Isotype

IgG

Carrier free

Yes

Reacts with

Mouse, Rat, Human

Applications

WB, Flow Cyt (Intra), ICC/IF, IP, IHC-P

applications

Immunogen

The exact immunogen used to generate this antibody is proprietary information.

Reactivity data

{ "title": "Reactivity Data", "filters": { "stats": ["", "Species", "Dilution Info", "Notes"], "tabs": { "all-applications": {"fullname" : "All Applications", "shortname": "All Applications"}, "IP" : {"fullname" : "Immunoprecipitation", "shortname":"IP"}, "WB" : {"fullname" : "Western blot", "shortname":"WB"}, "ICCIF" : {"fullname" : "Immunocytochemistry/ Immunofluorescence", "shortname":"ICC/IF"}, "FlowCytIntra" : {"fullname" : "Flow Cytometry (Intracellular)", "shortname":"Flow Cyt (Intra)"}, "IHCP" : {"fullname" : "Immunohistochemistry (Formalin/PFA-fixed paraffin-embedded sections)", "shortname":"IHC-P"} }, "product-promise": { "all": "all", "testedAndGuaranteed": "tested", "guaranteed": "expected", "predicted": "predicted", "notRecommended": "not-recommended" } }, "values": { "Human": { "IP-species-checked": "testedAndGuaranteed", "IP-species-dilution-info": "", "IP-species-notes": "<p></p>", "WB-species-checked": "testedAndGuaranteed", "WB-species-dilution-info": "", "WB-species-notes": "<p></p>", "ICCIF-species-checked": "testedAndGuaranteed", "ICCIF-species-dilution-info": "", "ICCIF-species-notes": "<p></p>", "FlowCytIntra-species-checked": "testedAndGuaranteed", "FlowCytIntra-species-dilution-info": "", "FlowCytIntra-species-notes": "<p></p>", "IHCP-species-checked": "testedAndGuaranteed", "IHCP-species-dilution-info": "", "IHCP-species-notes": "<p></p>" }, "Mouse": { "IP-species-checked": "guaranteed", "IP-species-dilution-info": "", "IP-species-notes": "", "WB-species-checked": "testedAndGuaranteed", "WB-species-dilution-info": "", "WB-species-notes": "<p></p>", "ICCIF-species-checked": "guaranteed", "ICCIF-species-dilution-info": "", "ICCIF-species-notes": "", "FlowCytIntra-species-checked": "guaranteed", "FlowCytIntra-species-dilution-info": "", "FlowCytIntra-species-notes": "", "IHCP-species-checked": "testedAndGuaranteed", "IHCP-species-dilution-info": "", "IHCP-species-notes": "<p></p>" }, "Rat": { "IP-species-checked": "guaranteed", "IP-species-dilution-info": "", "IP-species-notes": "", "WB-species-checked": "testedAndGuaranteed", "WB-species-dilution-info": "", "WB-species-notes": "<p></p>", "ICCIF-species-checked": "guaranteed", "ICCIF-species-dilution-info": "", "ICCIF-species-notes": "", "FlowCytIntra-species-checked": "guaranteed", "FlowCytIntra-species-dilution-info": "", "FlowCytIntra-species-notes": "", "IHCP-species-checked": "testedAndGuaranteed", "IHCP-species-dilution-info": "", "IHCP-species-notes": "<p></p>" } } }

Product details

ab242410 is the carrier-free version of ab200342.

Patented technology
Our RabMAb® technology is a patented hybridoma-based technology for making rabbit monoclonal antibodies. For details on our patents, please refer to RabMAb® patents.

What are the advantages of a recombinant monoclonal antibody?
This product is a recombinant monoclonal antibody, which offers several advantages including:

  • - High batch-to-batch consistency and reproducibility
  • - Improved sensitivity and specificity
  • - Long-term security of supply
  • - Animal-free batch production

For more information, read more on recombinant antibodies.

Conjugation ready
Our carrier-free antibodies are typically supplied in a PBS-only formulation, purified and free of BSA, sodium azide and glycerol. This conjugation-ready format is designed for use with fluorochromes, metal isotopes, oligonucleotides, and enzymes, which makes them ideal for antibody labelling, functional and cell-based assays, flow-based assays (e.g. mass cytometry) and Multiplex Imaging applications.

Use our conjugation kits for antibody conjugates that are ready-to-use in as little as 20 minutes with 1 minute hands-on-time and 100% antibody recovery: available for fluorescent dyes, HRP, biotin and gold.

Compatibility
This product is compatible with the Maxpar® Antibody Labeling Kit from Fluidigm, without the need for antibody preparation. Maxpar® is a trademark of Fluidigm Canada Inc.

Properties and storage information

Form
Liquid
Purification technique
Affinity purification Protein A
Storage buffer
pH: 7.2 - 7.4 Constituents: PBS
Shipped at conditions
Blue Ice
Appropriate short-term storage conditions
+4°C
Appropriate long-term storage conditions
+4°C
Storage information
Do Not Freeze

Supplementary information

This supplementary information is collated from multiple sources and compiled automatically.

HuR also known as ELAVL1 is a protein that binds RNA in cells. It weighs about 36 kDa and is found in the nucleus and cytoplasm. Its name HuR comes from its similarity to human antigen R. Researchers often call it the HuR protein or ELAVL1 protein. This protein helps stabilize certain mRNA molecules by binding to AU-rich elements (AREs) in their 3' untranslated regions. Its binding affects mRNA decay rates and therefore influences protein synthesis.
Biological function summary

HuR influences cell growth differentiation and stress responses. It does not work alone; it often forms part of larger ribonucleoprotein complexes. By stabilizing mRNAs HuR ensures the continuous production of proteins necessary for cell survival and adaptation to stressors. This regulatory role highlights its involvement in many cellular processes making it a focus for study in relation to cellular homeostasis.

Pathways

HuR is part of the mRNA surveillance pathway and the response to cellular stress. HuR modulates gene expression by interacting with proteins involved in transcription and translation regulation. It frequently partners with proteins like TTP (tristetraprolin) that also bind to AREs affecting mRNA stability and translation processes. Such interactions extend HuR's influence across pathways related to gene expression regulation and response to stress.

Researchers associate HuR with cancer and neurodegenerative diseases. In cancer HuR stabilizes mRNAs of many oncogenes aiding tumor growth and progression. It may interact with proteins like p53 affecting tumor suppressor pathways. For neurodegenerative diseases HuR's role in mRNA stability can influence neural health connected to proteins like TDP-43 in conditions such as Alzheimer's and ALS. Understanding HuR's function offers insights into potential therapeutic targets for these diseases.

Product protocols

For this product, it's our understanding that no specific protocols are required. You can visit:

Target data

RNA-binding protein that binds to the 3'-UTR region of mRNAs and increases their stability (PubMed : 14517288, PubMed : 18285462, PubMed : 31358969). Involved in embryonic stem cell (ESC) differentiation : preferentially binds mRNAs that are not methylated by N6-methyladenosine (m6A), stabilizing them, promoting ESC differentiation (By similarity). Has also been shown to be capable of binding to m6A-containing mRNAs and contributes to MYC stability by binding to m6A-containing MYC mRNAs (PubMed : 32245947). Binds to poly-U elements and AU-rich elements (AREs) in the 3'-UTR of target mRNAs (PubMed : 14731398, PubMed : 17632515, PubMed : 18285462, PubMed : 23519412, PubMed : 8626503). Binds avidly to the AU-rich element in FOS and IL3/interleukin-3 mRNAs. In the case of the FOS AU-rich element, binds to a core element of 27 nucleotides that contain AUUUA, AUUUUA, and AUUUUUA motifs. Binds preferentially to the 5'-UUUU[AG]UUU-3' motif in vitro (PubMed : 8626503). With ZNF385A, binds the 3'-UTR of p53/TP53 mRNA to control their nuclear export induced by CDKN2A. Hence, may regulate p53/TP53 expression and mediate in part the CDKN2A anti-proliferative activity. May also bind with ZNF385A the CCNB1 mRNA (By similarity). Increases the stability of the leptin mRNA harboring an AU-rich element (ARE) in its 3' UTR (PubMed : 29180010).
See full target information ELAVL1

Publications (2)

Recent publications for all applications. Explore the full list and refine your search

Neoplasma 69:383-391 PubMed35225647

2022

The Hu antigen R/interferon-β axis modulates sensitivity of esophageal squamous cancer cells to cisplatin.

Applications

Unspecified application

Species

Unspecified reactive species

Ya-Yun Cui,Xiao-Feng Zhu,Shu Zhang

Nature communications 11:6135 PubMed33262333

2020

A macrophage-specific lncRNA regulates apoptosis and atherosclerosis by tethering HuR in the nucleus.

Applications

Unspecified application

Species

Unspecified reactive species

Viorel Simion,Haoyang Zhou,Stefan Haemmig,Jacob B Pierce,Shanelle Mendes,Yevgenia Tesmenitsky,Daniel Pérez-Cremades,James F Lee,Alex F Chen,Nicoletta Ronda,Bianca Papotti,Jarrod A Marto,Mark W Feinberg
View all publications

Product promise

We are committed to supporting your work with high-quality reagents, and we're here for you every step of the way. In the unlikely event that one of our products does not perform as expected, you're protected by our Product Promise.
For full details, please see our Terms & Conditions

Please note: All products are 'FOR RESEARCH USE ONLY. NOT FOR USE IN DIAGNOSTIC OR THERAPEUTIC PROCEDURES'.

For licensing inquiries, please contact partnerships@abcam.com