JavaScript is disabled in your browser. Please enable JavaScript to view this website.
AB84509

Anti-HURP antibody

Be the first to review this product! Submit a review

|

(5 Publications)

Rabbit Polyclonal HURP antibody. Suitable for WB, IHC-P and reacts with Human samples. Cited in 5 publications. Immunogen corresponding to Synthetic Peptide within Human DLGAP5 aa 200-250.

View Alternative Names

DLG7, KIAA0008, DLGAP5, Disks large-associated protein 5, DAP-5, Discs large homolog 7, Disks large-associated protein DLG7, Hepatoma up-regulated protein, HURP

3 Images
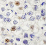
Immunohistochemistry (Formalin/PFA-fixed paraffin-embedded sections) - Anti-HURP antibody (AB84509)
  • IHC-P

Unknown

Immunohistochemistry (Formalin/PFA-fixed paraffin-embedded sections) - Anti-HURP antibody (AB84509)

ab84509, at 1/250 dilution, staining HURP in formalin-fixed, paraffin-embedded human seminoma by Immunohistochemistry, using DAB staining.

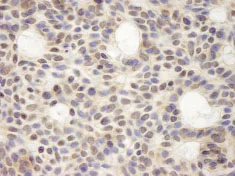
Immunohistochemistry (Formalin/PFA-fixed paraffin-embedded sections) - Anti-HURP antibody (AB84509)
  • IHC-P

Unknown

Immunohistochemistry (Formalin/PFA-fixed paraffin-embedded sections) - Anti-HURP antibody (AB84509)

ab84509, at 1/250 dilution, staining HURP in formalin-fixed, paraffin-embedded human basal cell carcinoma by Immunohistochemistry, using DAB staining.

Western blot - Anti-HURP antibody (AB84509)
  • WB

Unknown

Western blot - Anti-HURP antibody (AB84509)

Image kindly provided by Patrizia Lavia, CNR National Research Council, University "La Sapienza", Rome, Italy.

All lanes:

Western blot - Anti-HURP antibody (ab84509) at 1/200 dilution

All lanes:

25µg of WCE from U20S cells synchronized by thimidine arrest and release to enrich in mitotic cells (same on lane 1 and 2)

Predicted band size: 95 kDa

false

Key facts

Host species

Rabbit

Clonality

Polyclonal

Isotype

IgG

Carrier free

No

Reacts with

Human

Applications

WB, IHC-P

applications

Immunogen

Synthetic Peptide within Human DLGAP5 aa 200-250. The exact immunogen used to generate this antibody is proprietary information.

Q15398

Reactivity data

{ "title": "Reactivity Data", "filters": { "stats": ["", "Species", "Dilution Info", "Notes"], "tabs": { "all-applications": {"fullname" : "All Applications", "shortname": "All Applications"}, "WB" : {"fullname" : "Western blot", "shortname":"WB"}, "IHCP" : {"fullname" : "Immunohistochemistry (Formalin/PFA-fixed paraffin-embedded sections)", "shortname":"IHC-P"} }, "product-promise": { "all": "all", "testedAndGuaranteed": "tested", "guaranteed": "expected", "predicted": "predicted", "notRecommended": "not-recommended" } }, "values": { "Human": { "WB-species-checked": "testedAndGuaranteed", "WB-species-dilution-info": "1/200", "WB-species-notes": "<p></p>", "IHCP-species-checked": "testedAndGuaranteed", "IHCP-species-dilution-info": "1/100 - 1/500", "IHCP-species-notes": "<p></p>" } } }

Properties and storage information

Form
Liquid
Purification technique
Affinity purification Immunogen
Storage buffer
pH: 6.8 - 7.4 Preservative: 0.09% Sodium azide Constituents: Tris buffered saline, 0.1% BSA
Shipped at conditions
Blue Ice
Appropriate short-term storage conditions
+4°C
Appropriate long-term storage conditions
-20°C
Aliquoting information
Upon delivery aliquot
Storage information
Avoid freeze / thaw cycle

Supplementary information

This supplementary information is collated from multiple sources and compiled automatically.

HURP also known as Hepatoma Up-Regulated Protein is a protein involved in spindle formation during cell division. It has an approximate mass of 82 kilodaltons. The expression of HURP is notably high in the liver and is also present in various other tissues. It performs essential mechanical roles in stabilizing microtubules which are necessary for accurate chromosome segregation during mitosis.
Biological function summary

Hepatoma Up-Regulated Protein plays an important role in the mitotic spindle assembly. As a part of the chromosomal passenger complex it works alongside other proteins to facilitate efficient cell cycle progression. HURP localizes to the mitotic microtubules and is particularly active during the metaphase of cell division contributing to correct chromosome alignment and spindle attachment.

Pathways

Hepatoma Up-Regulated Protein functions within the cell cycle regulation pathway especially influencing mitotic processes. The intricate network of proteins it associates with includes Aurora kinase B and Ran GTPase which are essential for mitotic checkpoint control and spindle assembly. HURP helps maintain chromosomal stability which is important for preventing genetic aberrations.

Hepatoma Up-Regulated Protein has links to several cancer types including liver cancer. HURP overexpression often correlates with tumor progression and poor prognosis. It interacts with proteins like Aurora kinase B which is also implicated in oncogenesis suggesting that HURP may serve as a potential biomarker or therapeutic target in cancer research.

Product protocols

For this product, it's our understanding that no specific protocols are required. You can visit:

Target data

Potential cell cycle regulator that may play a role in carcinogenesis of cancer cells. Mitotic phosphoprotein regulated by the ubiquitin-proteasome pathway. Key regulator of adherens junction integrity and differentiation that may be involved in CDH1-mediated adhesion and signaling in epithelial cells.
See full target information DLGAP5

Publications (5)

Recent publications for all applications. Explore the full list and refine your search

Nature communications 15:8844 PubMed39397030

2024

HURP binding to the vinca domain of β-tubulin accounts for cancer drug resistance.

Applications

Unspecified application

Species

Unspecified reactive species

Athira Saju,Po-Pang Chen,Tzu-Han Weng,Su-Yi Tsai,Akihiro Tanaka,Yu-Ting Tseng,Chih-Chia Chang,Chun-Hsiung Wang,Yuta Shimamoto,Kuo-Chiang Hsia

Journal of cancer research and clinical oncology 149:4639-4651 PubMed36175801

2022

Serum-derived extracellular vesicles promote the growth and metastasis of non-small cell lung cancer by delivering the m6A methylation regulator HNRNPC through the regulation of DLGAP5.

Applications

Unspecified application

Species

Unspecified reactive species

Shanshan Shi,Tong Wu,Zechen Ma,Xiudi Zhang,Ke Xu,Qi Tian,Liming Gao,Xiaobo Yin,Shufeng Xu,Shengbo Yang

Medical science monitor : international medical jo 24:8553-8564 PubMed30476929

2018

Nucleolar and Spindle Associated Protein 1 (NUSAP1) Inhibits Cell Proliferation and Enhances Susceptibility to Epirubicin In Invasive Breast Cancer Cells by Regulating Cyclin D Kinase (CDK1) and DLGAP5 Expression.

Applications

Unspecified application

Species

Unspecified reactive species

Xi Zhang,Yuliang Pan,Huiqun Fu,Juan Zhang

Frontiers in oncology 6:144 PubMed27379206

2016

Hypoxia on the Expression of Hepatoma Upregulated Protein in Prostate Cancer Cells.

Applications

IHC

Species

Unspecified reactive species

Ingrid Espinoza,Marcelo J Sakiyama,Tangeng Ma,Logan Fair,Xinchun Zhou,Mohamed Hassan,Jovanny Zabaleta,Christian R Gomez

PloS one 8:e68387 PubMed23861900

2013

Sorting nexin 9 recruits clathrin heavy chain to the mitotic spindle for chromosome alignment and segregation.

Applications

Unspecified application

Species

Unspecified reactive species

Maggie P C Ma,Phillip J Robinson,Megan Chircop
View all publications

Product promise

We are committed to supporting your work with high-quality reagents, and we're here for you every step of the way. In the unlikely event that one of our products does not perform as expected, you're protected by our Product Promise.
For full details, please see our Terms & Conditions

Please note: All products are 'FOR RESEARCH USE ONLY. NOT FOR USE IN DIAGNOSTIC OR THERAPEUTIC PROCEDURES'.

For licensing inquiries, please contact partnerships@abcam.com