JavaScript is disabled in your browser. Please enable JavaScript to view this website.
AB96297

Anti-HUS1 antibody

Be the first to review this product! Submit a review

|

(4 Publications)

Rabbit Polyclonal HUS1 antibody. Suitable for WB, IHC-P and reacts with Human samples. Cited in 4 publications. Immunogen corresponding to Recombinant Fragment Protein within Human HUS1 aa 1-250.

View Alternative Names

Checkpoint protein HUS1, hHUS1, HUS1

2 Images
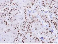
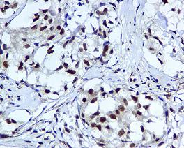
Immunohistochemistry (Formalin/PFA-fixed paraffin-embedded sections) - Anti-HUS1 antibody (AB96297)
  • IHC-P

Unknown

Immunohistochemistry (Formalin/PFA-fixed paraffin-embedded sections) - Anti-HUS1 antibody (AB96297)

ab96297 at 1/500 dilution, staining HUS1 in paraffin-embedded CA922 xenograft.

Western blot - Anti-HUS1 antibody (AB96297)
  • WB

Unknown

Western blot - Anti-HUS1 antibody (AB96297)

12% SDS PAGE

All lanes:

Western blot - Anti-HUS1 antibody (ab96297) at 1/1000 dilution

All lanes:

293T whole cell lysate at 30 µg

Predicted band size: 32 kDa

false

Key facts

Host species

Rabbit

Clonality

Polyclonal

Isotype

IgG

Carrier free

No

Reacts with

Human

Applications

WB, IHC-P

applications

Immunogen

Recombinant Fragment Protein within Human HUS1 aa 1-250. The exact immunogen used to generate this antibody is proprietary information.

O60921

Reactivity data

{ "title": "Reactivity Data", "filters": { "stats": ["", "Species", "Dilution Info", "Notes"], "tabs": { "all-applications": {"fullname" : "All Applications", "shortname": "All Applications"}, "WB" : {"fullname" : "Western blot", "shortname":"WB"}, "IHCP" : {"fullname" : "Immunohistochemistry (Formalin/PFA-fixed paraffin-embedded sections)", "shortname":"IHC-P"} }, "product-promise": { "all": "all", "testedAndGuaranteed": "tested", "guaranteed": "expected", "predicted": "predicted", "notRecommended": "not-recommended" } }, "values": { "Human": { "WB-species-checked": "testedAndGuaranteed", "WB-species-dilution-info": "1/500 - 1/3000", "WB-species-notes": "<p></p>", "IHCP-species-checked": "testedAndGuaranteed", "IHCP-species-dilution-info": "1/100 - 1/500", "IHCP-species-notes": "<p></p>" }, "Cow": { "WB-species-checked": "predicted", "WB-species-dilution-info": "", "WB-species-notes": "", "IHCP-species-checked": "predicted", "IHCP-species-dilution-info": "", "IHCP-species-notes": "" } } }

Properties and storage information

Form
Liquid
Purification technique
Affinity purification Immunogen
Storage buffer
pH: 7 Preservative: 0.01% Thimerosal (merthiolate) Constituents: 20% Glycerol (glycerin, glycerine), 1.21% Tris, 0.75% Glycine
Shipped at conditions
Blue Ice
Appropriate short-term storage conditions
+4°C
Appropriate long-term storage conditions
-20°C
Aliquoting information
Upon delivery aliquot
Storage information
Avoid freeze / thaw cycle

Supplementary information

This supplementary information is collated from multiple sources and compiled automatically.

HUS1 also known as checkpoint protein HUS1 homolog is a protein that plays an important role in DNA damage response. It has a molecular mass of about 34 kDa and is expressed in various tissues with notable expression in testis and thymus. HUS1 is part of the Rad9-Rad1-Hus1 (9-1-1) complex which acts as a sensor for DNA damage and activates downstream signaling pathways for DNA repair mechanisms.
Biological function summary

HUS1 is important in maintaining genomic stability and integrity. It forms a complex with RAD9 and RAD1 creating the 9-1-1 complex that localizes to sites of DNA damage. This complex enables the recruitment and activation of several key DNA repair proteins facilitating the repair process. HUS1 plays a role in the activation of cell cycle checkpoints essential for preventing the propagation of damaged DNA during cell division.

Pathways

HUS1 is significantly involved in the DNA damage response and cell cycle regulation pathways. The protein connects into the ATR signaling pathway where it helps activate ATR kinase in response to DNA damage. Related proteins in these pathways include ATM and CHK1 which also serve in coordinating the cellular response to DNA injuries.

HUS1 is associated with cancer pathogenesis particularly in regard to its role in DNA repair. Mutations or dysregulation in HUS1 can lead to genomic instability a hallmark of cancerous cells. In addition to cancer HUS1 plays a role in hereditary diseases such as Ataxia-telangiectasia due to its connection with the ATM protein which is mutated in this disorder. Understanding HUS1's function and interactions might provide insight into therapeutic approaches for these conditions.

Product protocols

For this product, it's our understanding that no specific protocols are required. You can visit:

Target data

Component of the 9-1-1 cell-cycle checkpoint response complex that plays a major role in DNA repair (PubMed : 21659603). The 9-1-1 complex is recruited to DNA lesion upon damage by the RAD17-replication factor C (RFC) clamp loader complex (PubMed : 21659603). Acts then as a sliding clamp platform on DNA for several proteins involved in long-patch base excision repair (LP-BER) (PubMed : 21659603). The 9-1-1 complex stimulates DNA polymerase beta (POLB) activity by increasing its affinity for the 3'-OH end of the primer-template and stabilizes POLB to those sites where LP-BER proceeds; endonuclease FEN1 cleavage activity on substrates with double, nick, or gap flaps of distinct sequences and lengths; and DNA ligase I (LIG1) on long-patch base excision repair substrates (PubMed : 21659603). The 9-1-1 complex is necessary for the recruitment of RHNO1 to sites of double-stranded breaks (DSB) occurring during the S phase (PubMed : 21659603).
See full target information HUS1

Publications (4)

Recent publications for all applications. Explore the full list and refine your search

Journal of clinical medicine 11: PubMed35456300

2022

HUS1 as a Potential Therapeutic Target in Urothelial Cancer.

Applications

Unspecified application

Species

Unspecified reactive species

Andrea Katharina Lindner,Tobias Furlan,Jacob J Orme,Gennadi Tulchiner,Nina Staudacher,David D'Andrea,Zoran Culig,Renate Pichler

Cancer cell 35:519-533.e8 PubMed30889383

2019

DNA Replication Vulnerabilities Render Ovarian Cancer Cells Sensitive to Poly(ADP-Ribose) Glycohydrolase Inhibitors.

Applications

Unspecified application

Species

Unspecified reactive species

Nisha Pillay,Anthony Tighe,Louisa Nelson,Samantha Littler,Camilla Coulson-Gilmer,Nourdine Bah,Anya Golder,Bjorn Bakker,Diana C J Spierings,Dominic I James,Kate M Smith,Allan M Jordan,Robert D Morgan,Donald J Ogilvie,Floris Foijer,Dean A Jackson,Stephen S Taylor

PloS one 10:e0144434 PubMed26658951

2015

Chk1 Activation Protects Rad9A from Degradation as Part of a Positive Feedback Loop during Checkpoint Signalling.

Applications

Unspecified application

Species

Unspecified reactive species

William F Osorio-Zambrano,Scott Davey

FEBS letters 587:930-5 PubMed23454212

2013

HIF1-regulated ATRIP expression is required for hypoxia induced ATR activation.

Applications

Unspecified application

Species

Unspecified reactive species

Gang Ding,He-Dai Liu,Hong-Xiang Liang,Ru-Feng Ni,Zhao-Yan Ding,Guo-Ying Ni,Hong-Wei Hua,Wei-Guo Xu
View all publications

Product promise

We are committed to supporting your work with high-quality reagents, and we're here for you every step of the way. In the unlikely event that one of our products does not perform as expected, you're protected by our Product Promise.
For full details, please see our Terms & Conditions

Please note: All products are 'FOR RESEARCH USE ONLY. NOT FOR USE IN DIAGNOSTIC OR THERAPEUTIC PROCEDURES'.

For licensing inquiries, please contact partnerships@abcam.com