JavaScript is disabled in your browser. Please enable JavaScript to view this website.
AB109371

Anti-HUS1 antibody [EPR5132]

Be the first to review this product! Submit a review

|

(1 Publication)

Rabbit Recombinant Monoclonal HUS1 antibody. Suitable for IHC-P, WB, Flow Cyt (Intra) and reacts with Human samples. Cited in 1 publication.

View Alternative Names

Checkpoint protein HUS1, hHUS1, HUS1

3 Images
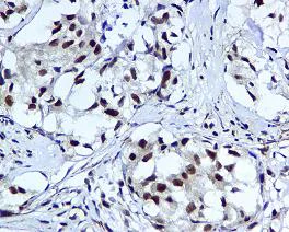
Immunohistochemistry (Formalin/PFA-fixed paraffin-embedded sections) - Anti-HUS1 antibody [EPR5132] (AB109371)
  • IHC-P

Unknown

Immunohistochemistry (Formalin/PFA-fixed paraffin-embedded sections) - Anti-HUS1 antibody [EPR5132] (AB109371)

Immunohistochemical analysis of paraffin-embedded Human breast carcinoma tissue using ab109371 at a dilution of 1/100.

Perform heat mediated antigen retrieval before commencing with IHC staining protocol.

Flow Cytometry (Intracellular) - Anti-HUS1 antibody [EPR5132] (AB109371)
  • Flow Cyt (Intra)

Unknown

Flow Cytometry (Intracellular) - Anti-HUS1 antibody [EPR5132] (AB109371)

Overlay histogram showing HeLa cells stained with ab109371 (red line). The cells were fixed with 4% paraformaldehyde (10 min) and then permeabilized with 0.1% PBS-Tween for 20 min. The cells were then incubated in 1x PBS / 10% normal goat serum / 0.3M glycine to block non-specific protein-protein interactions followed by the antibody (ab109371 1/1000 dilution) for 30 min at 22°C. The secondary antibody used was Alexa Fluor® 488 goat anti-rabbit IgG (H+L) (ab150077) at 1/2000 dilution for 30 min at 22°C. Isotype control antibody (black line) was rabbit IgG (monoclonal) (0.1μg/1x106 cells) used under the same conditions. Unlabelled sample (blue line) was also used as a control. Acquisition of >5000 events were collected using a 20mW Argon ion laser (488nm) and 525/30 bandpass filter. This antibody gave a positive signal in HeLa cells fixed with 80% methanol (5 min)/permeabilized with 0.1% PBS-Tween for 20 min used under the same conditions.

Western blot - Anti-HUS1 antibody [EPR5132] (AB109371)
  • WB

Unknown

Western blot - Anti-HUS1 antibody [EPR5132] (AB109371)

All lanes:

Western blot - Anti-HUS1 antibody [EPR5132] (ab109371) at 1/1000 dilution

Lane 1:

HeLa cell lysate at 10 µg

Lane 2:

K562 cell lysate at 10 µg

Lane 3:

A431 cell lysate at 10 µg

Predicted band size: 32 kDa

Observed band size: 34 kDa

false

Key facts

Host species

Rabbit

Clonality

Monoclonal

Clone number

EPR5132

Isotype

IgG

Carrier free

No

Reacts with

Human

Applications

IHC-P, Flow Cyt (Intra), WB

applications

Immunogen

The exact immunogen used to generate this antibody is proprietary information.

Reactivity data

{ "title": "Reactivity Data", "filters": { "stats": ["", "Species", "Dilution Info", "Notes"], "tabs": { "all-applications": {"fullname" : "All Applications", "shortname": "All Applications"}, "IHCP" : {"fullname" : "Immunohistochemistry (Formalin/PFA-fixed paraffin-embedded sections)", "shortname":"IHC-P"}, "ICCIF" : {"fullname" : "Immunocytochemistry/ Immunofluorescence", "shortname":"ICC/IF"}, "WB" : {"fullname" : "Western blot", "shortname":"WB"}, "FlowCytIntra" : {"fullname" : "Flow Cytometry (Intracellular)", "shortname":"Flow Cyt (Intra)"} }, "product-promise": { "all": "all", "testedAndGuaranteed": "tested", "guaranteed": "expected", "predicted": "predicted", "notRecommended": "not-recommended" } }, "values": { "Human": { "IHCP-species-checked": "testedAndGuaranteed", "IHCP-species-dilution-info": "1/100 - 1/250", "IHCP-species-notes": "<p></p>", "ICCIF-species-checked": "notRecommended", "ICCIF-species-dilution-info": "", "ICCIF-species-notes": "<p></p>", "WB-species-checked": "testedAndGuaranteed", "WB-species-dilution-info": "1/1000 - 1/10000", "WB-species-notes": "<p></p>", "FlowCytIntra-species-checked": "testedAndGuaranteed", "FlowCytIntra-species-dilution-info": "1/100 - 1/500", "FlowCytIntra-species-notes": "<p><a href='/en-us/products/primary-antibodies/rabbit-igg-monoclonal-epr25a-isotype-control-ab172730'>ab172730</a> - Rabbit monoclonal IgG, is suitable for use as an isotype control with this antibody.</p>" } } }

Product details

Species reactivity
Mouse, Rat: We have preliminary internal testing data to indicate this antibody may not react with these species.
Please contact us for more information.

Patented technology
Our RabMAb® technology is a patented hybridoma-based technology for making rabbit monoclonal antibodies. For details on our patents, please refer to RabMAb® patents.

What are the advantages of a recombinant monoclonal antibody?
This product is a recombinant monoclonal antibody, which offers several advantages including:

  • - High batch-to-batch consistency and reproducibility
  • - Improved sensitivity and specificity
  • - Long-term security of supply
  • - Animal-free batch production

For more information, read more on recombinant antibodies.

Properties and storage information

Form
Liquid
Purification technique
Affinity purification Protein A
Storage buffer
pH: 7.2 - 7.4 Preservative: 0.05% Sodium azide Constituents: 50% Tissue culture supernatant, 40% Glycerol (glycerin, glycerine), 9.85% Tris glycine, 0.1% BSA
Shipped at conditions
Blue Ice
Appropriate short-term storage conditions
+4°C
Appropriate long-term storage conditions
-20°C
Storage information
Stable for 12 months at -20°C

Supplementary information

This supplementary information is collated from multiple sources and compiled automatically.

HUS1 also known as checkpoint protein HUS1 homolog is a protein that plays an important role in DNA damage response. It has a molecular mass of about 34 kDa and is expressed in various tissues with notable expression in testis and thymus. HUS1 is part of the Rad9-Rad1-Hus1 (9-1-1) complex which acts as a sensor for DNA damage and activates downstream signaling pathways for DNA repair mechanisms.
Biological function summary

HUS1 is important in maintaining genomic stability and integrity. It forms a complex with RAD9 and RAD1 creating the 9-1-1 complex that localizes to sites of DNA damage. This complex enables the recruitment and activation of several key DNA repair proteins facilitating the repair process. HUS1 plays a role in the activation of cell cycle checkpoints essential for preventing the propagation of damaged DNA during cell division.

Pathways

HUS1 is significantly involved in the DNA damage response and cell cycle regulation pathways. The protein connects into the ATR signaling pathway where it helps activate ATR kinase in response to DNA damage. Related proteins in these pathways include ATM and CHK1 which also serve in coordinating the cellular response to DNA injuries.

HUS1 is associated with cancer pathogenesis particularly in regard to its role in DNA repair. Mutations or dysregulation in HUS1 can lead to genomic instability a hallmark of cancerous cells. In addition to cancer HUS1 plays a role in hereditary diseases such as Ataxia-telangiectasia due to its connection with the ATM protein which is mutated in this disorder. Understanding HUS1's function and interactions might provide insight into therapeutic approaches for these conditions.

Product protocols

For this product, it's our understanding that no specific protocols are required. You can visit:

Target data

Component of the 9-1-1 cell-cycle checkpoint response complex that plays a major role in DNA repair (PubMed : 21659603). The 9-1-1 complex is recruited to DNA lesion upon damage by the RAD17-replication factor C (RFC) clamp loader complex (PubMed : 21659603). Acts then as a sliding clamp platform on DNA for several proteins involved in long-patch base excision repair (LP-BER) (PubMed : 21659603). The 9-1-1 complex stimulates DNA polymerase beta (POLB) activity by increasing its affinity for the 3'-OH end of the primer-template and stabilizes POLB to those sites where LP-BER proceeds; endonuclease FEN1 cleavage activity on substrates with double, nick, or gap flaps of distinct sequences and lengths; and DNA ligase I (LIG1) on long-patch base excision repair substrates (PubMed : 21659603). The 9-1-1 complex is necessary for the recruitment of RHNO1 to sites of double-stranded breaks (DSB) occurring during the S phase (PubMed : 21659603).
See full target information HUS1

Publications (1)

Recent publications for all applications. Explore the full list and refine your search

Biology direct 19:79 PubMed39256753

2024

Integrative genomics unveils basement membrane-related diagnostic markers and therapeutic targets in esophageal squamous cell carcinoma.

Applications

Unspecified application

Species

Unspecified reactive species

Han Zhang,Xia Zhang,Zhenyu Huang,Hao Zhang
View all publications

Product promise

We are committed to supporting your work with high-quality reagents, and we're here for you every step of the way. In the unlikely event that one of our products does not perform as expected, you're protected by our Product Promise.
For full details, please see our Terms & Conditions

Please note: All products are 'FOR RESEARCH USE ONLY. NOT FOR USE IN DIAGNOSTIC OR THERAPEUTIC PROCEDURES'.

For licensing inquiries, please contact partnerships@abcam.com