JavaScript is disabled in your browser. Please enable JavaScript to view this website.
AB271032

Anti-HUWE1/Mule antibody [EPR24361-13]

  • BOND RX™ Validated
  • 20ul selling size
  • RabMAb
  • Recombinant
  • What is this?

Be the first to review this product! Submit a review

|

(6 Publications)

Rabbit Recombinant Monoclonal HUWE1/Mule antibody. Suitable for ICC/IF, Flow Cyt (Intra), WB, IHC-P and reacts with Mouse, Human, Rat samples. Cited in 6 publications.

View Alternative Names

KIAA0312, KIAA1578, UREB1, HSPC272, HUWE1, E3 ubiquitin-protein ligase HUWE1, ARF-binding protein 1, HECT-type E3 ubiquitin transferase HUWE1, Homologous to E6AP carboxyl terminus homologous protein 9, Large structure of UREB1, Mcl-1 ubiquitin ligase E3, Upstream regulatory element-binding protein 1, ARF-BP1, HectH9, LASU1, Mule, URE-B1, URE-binding protein 1

11 Images
Immunohistochemistry (Formalin/PFA-fixed paraffin-embedded sections) - Anti-HUWE1/Mule antibody [EPR24361-13] (AB271032)
  • IHC-P

Supplier Data

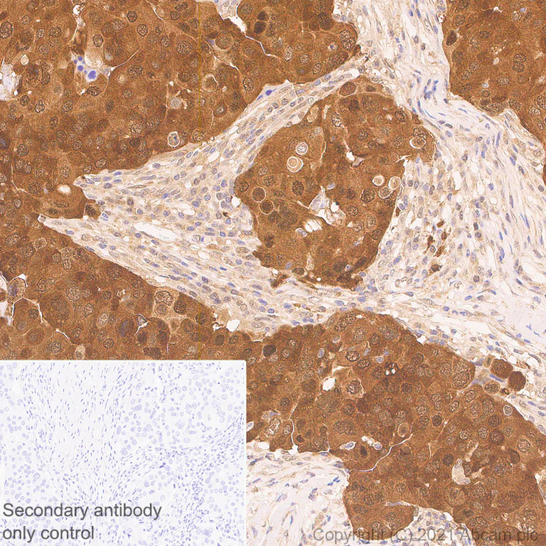
Immunohistochemistry (Formalin/PFA-fixed paraffin-embedded sections) - Anti-HUWE1/Mule antibody [EPR24361-13] (AB271032)

Immunohistochemical analysis of paraffin-embedded Human breast carcinoma tissue labelling HUWE1/Mule with ab271032 at 1/1000 (0.525 ug/ml) dilution followed by a ready to use LeicaDS9800 (Bond™ Polymer Refine Detection) was used. Positive staining in human breast carcinoma (PMID : 29375730). The section was incubated with ab271032 for 30 mins at room temperature.The immunostaining was performed on a Leica Biosystems BOND® RX instrument Counterstained with Hematoxylin.

Secondary antibody only control : Secondary antibody is a ready to use LeicaDS9800 (Bond™ Polymer Refine Detection) was used.

Heat mediated antigen retrieval with Tris-EDTA buffer (pH 9.0, epitope retrieval solution2) for 20 mins.

Immunocytochemistry/ Immunofluorescence - Anti-HUWE1/Mule antibody [EPR24361-13] (AB271032)
  • ICC/IF

Supplier Data

Immunocytochemistry/ Immunofluorescence - Anti-HUWE1/Mule antibody [EPR24361-13] (AB271032)

Immunofluorescent analysis of 4% Paraformaldehyde-fixed, 0.1% TritonX-100 permeabilized HeLa cells labelling HUWE1/Mule with ab271032 at 1/50 (10.5 ug/ml) dilution, followed by ab150081 Goat Anti-Rabbit IgG H&L (Alexa Fluor® 488) preadsorbed antibody at 1/1000 (2 ug/ml) dilution (Green) Confocal image showing cytoplasmic and nuclear staining in HeLa cells is observed. ab195889 Anti-alpha Tubulin mouse monoclonal antibody - Microtubule Marker (Alexa Fluor® 594) was used to counterstain tubulin at 1/200 (2.5 ug/ml) dilution (Red). The Nuclear counterstain was DAPI (Blue).

Secondary antibody only control : Secondary antibody is ab150081 Goat Anti-Rabbit IgG H&L (Alexa Fluor® 488) preadsorbed at 1/1000 (2 ug/ml) dilution.

Flow Cytometry (Intracellular) - Anti-HUWE1/Mule antibody [EPR24361-13] (AB271032)
  • Flow Cyt (Intra)

Supplier Data

Flow Cytometry (Intracellular) - Anti-HUWE1/Mule antibody [EPR24361-13] (AB271032)

Flow cytometric analysis of 4% paraformaldehyde fixed 90% methanol permeabilized MOLT-4 (human lymphoblastic leukemia T lymphoblast, Left) and HeLa (Human cervix adenocarcinoma epithelial cell, Right) cells labelling HUWE1/Mule with ab271032 at 1/50 dilution (1ug) (Red) compared with a Rabbit monoclonal IgG (ab172730) (Black) isotype control and an unlabelled control (cells without incubation with primary antibody and secondary antibody) (Blue). A Goat anti rabbit IgG (Alexa Fluor® 488, ab150077) at 1/2000 dilution was used as the secondary antibody. Low expression : MOLT-4 (PMID : 15567145).

Immunocytochemistry/ Immunofluorescence - Anti-HUWE1/Mule antibody [EPR24361-13] (AB271032)
  • ICC/IF

Supplier Data

Immunocytochemistry/ Immunofluorescence - Anti-HUWE1/Mule antibody [EPR24361-13] (AB271032)

Immunofluorescent analysis of 4% Paraformaldehyde-fixed, 0.1% TritonX-100 permeabilized MOLT-4 cells labelling HUWE1/Mule with ab271032 at 1/50 (10.5 ug/ml) dilution, followed by ab150081 Goat Anti-Rabbit IgG H&L (Alexa Fluor® 488) preadsorbed antibody at 1/1000 (2 ug/ml) dilution (Green). Confocal image showing weak staining in MOLT-4 cells.Low expression : MOLT-4 (PMID : 15567145) is observed. ab195889 Anti-alpha Tubulin mouse monoclonal antibody - Microtubule Marker (Alexa Fluor® 594) was used to counterstain tubulin at 1/200 (2.5 ug/ml) dilution (Red). The Nuclear counterstain was DAPI (Blue).

Secondary antibody only control : Secondary antibody is ab150081 Goat Anti-Rabbit IgG H&L (Alexa Fluor® 488) preadsorbed at 1/1000 (2 ug/ml) dilution.

Flow Cytometry (Intracellular) - Anti-HUWE1/Mule antibody [EPR24361-13] (AB271032)
  • Flow Cyt (Intra)

Supplier Data

Flow Cytometry (Intracellular) - Anti-HUWE1/Mule antibody [EPR24361-13] (AB271032)

Flow cytometric analysis of 4% paraformaldehyde fixed 90% methanol permeabilized F9 (Mouse embryonal carcinoma epithelial cell) cells labelling HUWE1/Mule with ab271032 at 1/50 dilution (1ug) (Red) compared with a Rabbit monoclonal IgG (ab172730) (Black) isotype control and an unlabelled control (cells without incubation with primary antibody and secondary antibody) (Blue). A Goat anti rabbit IgG (Alexa Fluor® 488, ab150077) at 1/2000 dilution was used as the secondary antibody.

Immunohistochemistry (Formalin/PFA-fixed paraffin-embedded sections) - Anti-HUWE1/Mule antibody [EPR24361-13] (AB271032)
  • IHC-P

Supplier Data

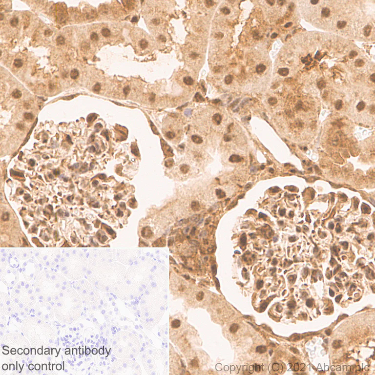
Immunohistochemistry (Formalin/PFA-fixed paraffin-embedded sections) - Anti-HUWE1/Mule antibody [EPR24361-13] (AB271032)

Immunohistochemical analysis of paraffin-embedded Rat kidney tissue labelling HUWE1/Mule with ab271032 at 1/1000 (0.525 ug/ml) dilution followed by a ready to use LeicaDS9800 (Bond™ Polymer Refine Detection) was used. Positive staining in rat kidney. The section was incubated with ab271032 for 30 mins at room temperature. The immunostaining was performed on a Leica Biosystems BOND® RX instrument Counterstained with Hematoxylin.

Secondary antibody only control : Secondary antibody is a ready to use LeicaDS9800 (Bond™ Polymer Refine Detection) was used.

Heat mediated antigen retrieval with Tris-EDTA buffer (pH 9.0, epitope retrieval solution2) for 20 mins.

Immunocytochemistry/ Immunofluorescence - Anti-HUWE1/Mule antibody [EPR24361-13] (AB271032)
  • ICC/IF

Supplier Data

Immunocytochemistry/ Immunofluorescence - Anti-HUWE1/Mule antibody [EPR24361-13] (AB271032)

Immunofluorescent analysis of 4% Paraformaldehyde-fixed, 0.1% TritonX-100 permeabilized F9 cells labelling HUWE1/Mule with ab271032 at 1/50 (10.5 ug/ml) dilution, followed by ab150081 Goat Anti-Rabbit IgG H&L (Alexa Fluor® 488) preadsorbed antibody at 1/1000 (2 ug/ml) dilution (Green). Confocal image showing cytoplasmic and nuclear staining in F9 cells is observed. ab195889 Anti-alpha Tubulin mouse monoclonal antibody - Microtubule Marker (Alexa Fluor® 594) was used to counterstain tubulin at 1/200 (2.5 ug/ml) dilution (Red). The Nuclear counterstain was DAPI (Blue).

Secondary antibody only control : Secondary antibody is ab150081 Goat Anti-Rabbit IgG H&L (Alexa Fluor® 488) preadsorbed at 1/1000 (2 ug/ml) dilution.

Immunohistochemistry (Formalin/PFA-fixed paraffin-embedded sections) - Anti-HUWE1/Mule antibody [EPR24361-13] (AB271032)
  • IHC-P

Supplier Data

Immunohistochemistry (Formalin/PFA-fixed paraffin-embedded sections) - Anti-HUWE1/Mule antibody [EPR24361-13] (AB271032)

Immunohistochemical analysis of paraffin-embedded Mouse cardiac muscle tissue labelling HUWE1/Mule with ab271032 at 1/1000 (0.525 ug/ml) dilution followed by a ready to use LeicaDS9800 (Bond™ Polymer Refine Detection) was used. Positive staining in mouse cardiac muscle. The section was incubated with ab271032 for 30 mins at room temperature. The immunostaining was performed on a Leica Biosystems BOND® RX instrument Counterstained with Hematoxylin.

Secondary antibody only control : Secondary antibody is a ready to use LeicaDS9800 (Bond™ Polymer Refine Detection) was used.

Heat mediated antigen retrieval with Tris-EDTA buffer (pH 9.0, epitope retrieval solution2) for 20 mins.

Western blot - Anti-HUWE1/Mule antibody [EPR24361-13] (AB271032)
  • WB

Lab

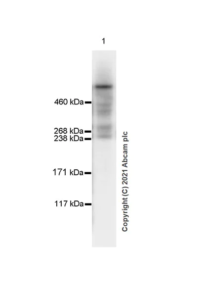
Western blot - Anti-HUWE1/Mule antibody [EPR24361-13] (AB271032)

Blocking and diluting buffer and concentration : 5% NFDM/TBST. The expression pattern & observed MW are consistent with what has been described in the literature (PMID : 25883150, 28938460).

Low expression : MOLT-4 (PMID : 15567145).

Exposure time : 5.5 seconds

All lanes:

Western blot - Anti-HUWE1/Mule antibody [EPR24361-13] (ab271032) at 1/1000 dilution

Lane 1:

HeLa (human cervix adenocarcinoma epithelial cell) whole cell lysate at 20 µg

Lane 2:

MOLT-4 (human lymphoblastic leukemia T lymphoblast) whole cell lysate at 20 µg

Secondary

All lanes:

Western blot - Goat Anti-Rabbit IgG H&L (HRP) (<a href='/en-us/products/secondary-antibodies/goat-rabbit-igg-h-l-hrp-ab97051'>ab97051</a>) at 1/50000 dilution

Predicted band size: 481 kDa

Observed band size: 482 kDa

false

Western blot - Anti-HUWE1/Mule antibody [EPR24361-13] (AB271032)
  • WB

Lab

Western blot - Anti-HUWE1/Mule antibody [EPR24361-13] (AB271032)

Blocking and diluting buffer and concentration : 5% NFDM/TBSTLysates were made freshly and used in WB test immediately to minimize protein degradation.

The expression pattern & observed MW are consistent with what has been described in the literature (PMID : 28938460).

Exposure time : Lane1 : 3.25 seconds. Lane2-3 : 5.5 seconds

All lanes:

Western blot - Anti-HUWE1/Mule antibody [EPR24361-13] (ab271032) at 1/1000 dilution

Lane 1:

293T (human embryonic kidney epithelial cell) whole cell lysate at 20 µg

Lane 2:

NIH/3T3 (mouse embryonic fibroblast) whole cell lysate at 20 µg

Lane 3:

PC-12 (rat adrenal gland pheochromocytoma) whole cell lysate at 20 µg

Secondary

All lanes:

Western blot - Goat Anti-Rabbit IgG H&L (HRP) (<a href='/en-us/products/secondary-antibodies/goat-rabbit-igg-h-l-hrp-ab97051'>ab97051</a>) at 1/50000 dilution

Predicted band size: 481 kDa

Observed band size: 482 kDa

false

Western blot - Anti-HUWE1/Mule antibody [EPR24361-13] (AB271032)
  • WB

Lab

Western blot - Anti-HUWE1/Mule antibody [EPR24361-13] (AB271032)

Blocking and diluting buffer and concentration : 5% NFDM/TBST. The expression pattern & observed MW are consistent with what has been described in the literature (PMID : 28938460).

Exposure time : 10 seconds

All lanes:

Western blot - Anti-HUWE1/Mule antibody [EPR24361-13] (ab271032) at 1/1000 dilution

All lanes:

Mouse heart tissue lysate at 20 µg

Secondary

All lanes:

Western blot - Goat Anti-Rabbit IgG H&L (HRP) (<a href='/en-us/products/secondary-antibodies/goat-rabbit-igg-h-l-hrp-ab97051'>ab97051</a>) at 1/50000 dilution

Predicted band size: 481 kDa

Observed band size: 482 kDa

false

Key facts

Host species

Rabbit

Clonality

Monoclonal

Clone number

EPR24361-13

Isotype

IgG

Carrier free

No

Reacts with

Rat, Mouse, Human

Applications

WB, ICC/IF, Flow Cyt (Intra), IHC-P

applications

Immunogen

The exact immunogen used to generate this antibody is proprietary information.

Reactivity data

{ "title": "Reactivity Data", "filters": { "stats": ["", "Species", "Dilution Info", "Notes"], "tabs": { "all-applications": {"fullname" : "All Applications", "shortname": "All Applications"}, "ICCIF" : {"fullname" : "Immunocytochemistry/ Immunofluorescence", "shortname":"ICC/IF"}, "IP" : {"fullname" : "Immunoprecipitation", "shortname":"IP"}, "FlowCytIntra" : {"fullname" : "Flow Cytometry (Intracellular)", "shortname":"Flow Cyt (Intra)"}, "WB" : {"fullname" : "Western blot", "shortname":"WB"}, "IHCP" : {"fullname" : "Immunohistochemistry (Formalin/PFA-fixed paraffin-embedded sections)", "shortname":"IHC-P"} }, "product-promise": { "all": "all", "testedAndGuaranteed": "tested", "guaranteed": "expected", "predicted": "predicted", "notRecommended": "not-recommended" } }, "values": { "Human": { "ICCIF-species-checked": "testedAndGuaranteed", "ICCIF-species-dilution-info": "1/50", "ICCIF-species-notes": "<p></p>", "IP-species-checked": "notRecommended", "IP-species-dilution-info": "", "IP-species-notes": "<p></p>", "FlowCytIntra-species-checked": "testedAndGuaranteed", "FlowCytIntra-species-dilution-info": "1/50", "FlowCytIntra-species-notes": "<p></p>", "WB-species-checked": "testedAndGuaranteed", "WB-species-dilution-info": "1/1000", "WB-species-notes": "<p></p>", "IHCP-species-checked": "testedAndGuaranteed", "IHCP-species-dilution-info": "1/1000", "IHCP-species-notes": "<p></p>" }, "Mouse": { "ICCIF-species-checked": "testedAndGuaranteed", "ICCIF-species-dilution-info": "1/50", "ICCIF-species-notes": "<p></p>", "IP-species-checked": "notRecommended", "IP-species-dilution-info": "", "IP-species-notes": "<p></p>", "FlowCytIntra-species-checked": "testedAndGuaranteed", "FlowCytIntra-species-dilution-info": "1/50", "FlowCytIntra-species-notes": "<p></p>", "WB-species-checked": "testedAndGuaranteed", "WB-species-dilution-info": "1/1000", "WB-species-notes": "<p></p>", "IHCP-species-checked": "testedAndGuaranteed", "IHCP-species-dilution-info": "1/1000", "IHCP-species-notes": "<p></p>" }, "Rat": { "ICCIF-species-checked": "guaranteed", "ICCIF-species-dilution-info": "", "ICCIF-species-notes": "", "IP-species-checked": "notRecommended", "IP-species-dilution-info": "", "IP-species-notes": "", "FlowCytIntra-species-checked": "guaranteed", "FlowCytIntra-species-dilution-info": "", "FlowCytIntra-species-notes": "", "WB-species-checked": "testedAndGuaranteed", "WB-species-dilution-info": "1/1000", "WB-species-notes": "<p></p>", "IHCP-species-checked": "testedAndGuaranteed", "IHCP-species-dilution-info": "1/1000", "IHCP-species-notes": "<p></p>" } } }

Product details

Patented technology
Our RabMAb® technology is a patented hybridoma-based technology for making rabbit monoclonal antibodies. For details on our patents, please refer to RabMAb® patents.

What are the advantages of a recombinant monoclonal antibody?
This product is a recombinant monoclonal antibody, which offers several advantages including:

  • - High batch-to-batch consistency and reproducibility
  • - Improved sensitivity and specificity
  • - Long-term security of supply
  • - Animal-free batch production

For more information, read more on recombinant antibodies.

Properties and storage information

Form
Liquid
Purification technique
Affinity purification Protein A
Storage buffer
pH: 7.2 - 7.4 Preservative: 0.01% Sodium azide Constituents: PBS, 40% Glycerol (glycerin, glycerine), 0.05% BSA
Shipped at conditions
Blue Ice
Appropriate short-term storage duration
1-2 weeks
Appropriate short-term storage conditions
+4°C
Appropriate long-term storage conditions
-20°C
Aliquoting information
Upon delivery aliquot
Storage information
Avoid freeze / thaw cycle

Supplementary information

This supplementary information is collated from multiple sources and compiled automatically.

The protein HUWE1 also known as Mule Mule HRP or Mule Mouse is a large HECT domain E3 ubiquitin ligase with a molecular weight of approximately 437 kDa. It functions by attaching ubiquitin to substrate proteins marking them for degradation via the proteasome pathway. HUWE1 is expressed ubiquitously in tissues but shows higher expression levels in brain testis and certain cancers. It regulates protein homeostasis highlighting its importance in cellular processes.
Biological function summary

HUWE1/Mule modulates various cellular functions through its ubiquitin ligase activity. It is not a part of a larger complex but interacts with numerous proteins influencing cell cycle regulation apoptosis and DNA repair. Its role in apoptosis involves facilitating the degradation of the pro-apoptotic protein Mcl-1 thereby promoting cell death. Additionally HUWE1 contributes to DNA repair by targeting histone H2AX for modification which is an important step in the DNA damage response.

Pathways

HUWE1 acts within the ubiquitin-proteasome system and the DNA damage response pathway. In the ubiquitin-proteasome system HUWE1 closely interacts with proteins such as p53 and c-Myc playing a significant role in regulating their stability and function. In the DNA damage response pathway the protein's activity affects the signaling required for cell cycle checkpoints underlining its relevance in maintaining genomic stability.

HUWE1 mutations and dysregulation link to intellectual disability and certain cancers. Its association with intellectual disability arises from alterations in neural gene regulation partly through its interaction with proteins like p53. In cancer aberrant activity of HUWE1 results in uncontrolled proliferation as it affects the degradation of critical proteins involved in tumor progression such as c-Myc. Understanding HUWE1's mechanisms can provide insights into these conditions and potential therapeutic strategies.

Product protocols

For this product, it's our understanding that no specific protocols are required. You can visit:

Target data

E3 ubiquitin-protein ligase which mediates ubiquitination and subsequent proteasomal degradation of target proteins (PubMed : 15567145, PubMed : 15767685, PubMed : 15989957, PubMed : 17567951, PubMed : 18488021, PubMed : 19037095, PubMed : 19713937, PubMed : 20534529, PubMed : 30217973). Regulates apoptosis by catalyzing the polyubiquitination and degradation of MCL1 (PubMed : 15989957). Mediates monoubiquitination of DNA polymerase beta (POLB) at 'Lys-41', 'Lys-61' and 'Lys-81', thereby playing a role in base-excision repair (PubMed : 19713937). Also ubiquitinates the p53/TP53 tumor suppressor and core histones including H1, H2A, H2B, H3 and H4 (PubMed : 15567145, PubMed : 15767685, PubMed : 15989956). Ubiquitinates MFN2 to negatively regulate mitochondrial fusion in response to decreased stearoylation of TFRC (PubMed : 26214738). Ubiquitination of MFN2 also takes place following induction of mitophagy; AMBRA1 acts as a cofactor for HUWE1-mediated ubiquitination (PubMed : 30217973). Regulates neural differentiation and proliferation by catalyzing the polyubiquitination and degradation of MYCN (PubMed : 18488021). May regulate abundance of CDC6 after DNA damage by polyubiquitinating and targeting CDC6 to degradation (PubMed : 17567951). Mediates polyubiquitination of isoform 2 of PA2G4 (PubMed : 19037095). Acts in concert with MYCBP2 to regulate the circadian clock gene expression by promoting the lithium-induced ubiquination and degradation of NR1D1 (PubMed : 20534529). Binds to an upstream initiator-like sequence in the preprodynorphin gene (By similarity). Mediates HAPSTR1 degradation, but is also a required cofactor in the pathway by which HAPSTR1 governs stress signaling (PubMed : 35776542). Ubiquitinates PPARA in hepatocytes (By similarity).
See full target information HUWE1

Publications (6)

Recent publications for all applications. Explore the full list and refine your search

Journal of advanced research 72:467-484 PubMed39069209

2024

Aberrant activation of p53-TRIB3 axis contributes to diabetic myocardial insulin resistance and sulforaphane protection.

Applications

Unspecified application

Species

Unspecified reactive species

Guangping Lu,Yufeng Tang,Ou Chen,Yuanfang Guo,Mengjie Xiao,Jie Wang,Qingbo Liu,Jiahao Li,Ting Gao,Xiaohui Zhang,Jingjing Zhang,Quanli Cheng,Rong Kuang,Junlian Gu

Nature communications 15:4985 PubMed38862515

2024

Smooth muscle NF90 deficiency ameliorates diabetic atherosclerotic calcification in male mice via FBXW7-AGER1-AGEs axis.

Applications

Unspecified application

Species

Unspecified reactive species

Fei Xie,Bin Liu,Wen Qiao,Jing-Zhen He,Jie Cheng,Zhao-Yang Wang,Ya-Min Hou,Xu Zhang,Bo-Han Xu,Yun Zhang,Yu-Guo Chen,Ming-Xiang Zhang

Proceedings of the National Academy of Sciences of the United States of America 120:e2312810120 PubMed37934820

2023

Essential requirement for IER3IP1 in B cell development.

Applications

Unspecified application

Species

Unspecified reactive species

Xue Zhong,James J Moresco,Katie Keller,Danielle Renee Lazaro,Claire Ely,Eva Marie Y Moresco,Bruce Beutler,Jin Huk Choi

EMBO reports 24:e55060 PubMed37477088

2023

Phosphorylation of PPDPF via IL6-JAK2 activates the Wnt/β-catenin pathway in colorectal cancer.

Applications

Unspecified application

Species

Unspecified reactive species

Yuyuan Zi,Liyu Liu,Jie Gao,Xu Xu,Yidi Guan,Zhuoxian Rong,Zhen Cao,Mengwei Li,Zimei Zeng,Qi Fan,Feiyu Tang,Junju He,Dan Feng,Jionghuang Chen,Yuedi Dai,Yufeng Huang,Yingjie Nie,Haiping Pei,Qingping Cai,Zhi Li,Lunquan Sun,Yuezhen Deng

Redox biology 58:102544 PubMed36427397

2022

CPT1A promotes anoikis resistance in esophageal squamous cell carcinoma via redox homeostasis.

Applications

Unspecified application

Species

Unspecified reactive species

Tian Tian,Yunxin Lu,Jinfei Lin,Miao Chen,Huijuan Qiu,Wancui Zhu,Haohui Sun,Jinsheng Huang,Han Yang,Wuguo Deng

Journal of immunology (Baltimore, Md. : 1950) 208:2540-2548 PubMed35562118

2022

Translationally Controlled Tumor Protein-Mediated Stabilization of Host Antiapoptotic Protein MCL-1 Is Critical for Establishment of Infection by Intramacrophage Parasite .

Applications

WB

Species

Unspecified reactive species

Jayeeta Giri,Moumita Basu,Shalini Roy,Tarun Mishra,Kuladip Jana,Ajit Chande,Anindita Ukil
View all publications

Product promise

We are committed to supporting your work with high-quality reagents, and we're here for you every step of the way. In the unlikely event that one of our products does not perform as expected, you're protected by our Product Promise.
For full details, please see our Terms & Conditions

Please note: All products are 'FOR RESEARCH USE ONLY. NOT FOR USE IN DIAGNOSTIC OR THERAPEUTIC PROCEDURES'.

For licensing inquiries, please contact partnerships@abcam.com