JavaScript is disabled in your browser. Please enable JavaScript to view this website.
AB314104

Anti-HVEM/TNFRSF14 antibody [BLR062G] - BSA free

Be the first to review this product! Submit a review

|

(0 Publication)

Rabbit Recombinant Monoclonal TNFRSF14/HVEM antibody. Suitable for ICC, IHC-P, WB and reacts with Human samples. Immunogen corresponding to Recombinant Fragment Protein within Human TNFRSF14 aa 1-200.

View Alternative Names

CD270, HVEA, HVEM, UNQ329/PRO509, TNFRSF14, Tumor necrosis factor receptor superfamily member 14, Herpes virus entry mediator A, Tumor necrosis factor receptor-like 2, Herpesvirus entry mediator A, HveA, TR2

4 Images
Immunohistochemistry (Formalin/PFA-fixed paraffin-embedded sections) - Anti-HVEM/TNFRSF14 antibody [BLR062G] - BSA free (AB314104)
  • IHC-P

Supplier Data

Immunohistochemistry (Formalin/PFA-fixed paraffin-embedded sections) - Anti-HVEM/TNFRSF14 antibody [BLR062G] - BSA free (AB314104)

Detection of human HVEM/TNFRSF14 in FFPE tonsil by IHC. Antibody : Rabbit anti-HVEM/TNFRSF14 recombinant monoclonal antibody [BLR062G] (A700-062). Secondary : HRP-conjugated goat anti-rabbit IgG. Substrate : DAB.

Immunocytochemistry - Anti-HVEM/TNFRSF14 antibody [BLR062G] - BSA free (AB314104)
  • ICC

Supplier Data

Immunocytochemistry - Anti-HVEM/TNFRSF14 antibody [BLR062G] - BSA free (AB314104)

Detection of human HVEM/TNFRSF14 in FFPE SK-MEL-28 cells by ICC. Antibody : Rabbit anti-HVEM/TNFRSF14 recombinant monoclonal antibody [BLR062G] (A700-062). Secondary : HRP-conjugated goat anti-rabbit IgG. Substrate : DAB.

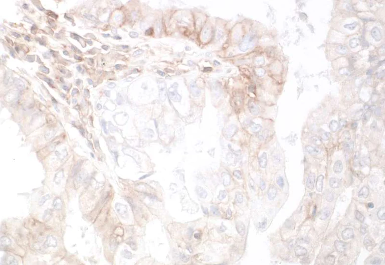
Immunohistochemistry (Formalin/PFA-fixed paraffin-embedded sections) - Anti-HVEM/TNFRSF14 antibody [BLR062G] - BSA free (AB314104)
  • IHC-P

Supplier Data

Immunohistochemistry (Formalin/PFA-fixed paraffin-embedded sections) - Anti-HVEM/TNFRSF14 antibody [BLR062G] - BSA free (AB314104)

Detection of human HVEM/TNFRSF14 in FFPE lung carcinoma by IHC. Antibody : Rabbit anti-HVEM/TNFRSF14 recombinant monoclonal antibody [BLR062G] (A700-062). Secondary : HRP-conjugated goat anti-rabbit IgG. Substrate : DAB.

Western blot - Anti-HVEM/TNFRSF14 antibody [BLR062G] - BSA free (AB314104)
  • WB

Supplier Data

Western blot - Anti-HVEM/TNFRSF14 antibody [BLR062G] - BSA free (AB314104)

Samples : Whole cell lysate (50 µg) from SK-MEL-28, A2058, UACC-257, MDA-MB-435, and Malme-3M cells prepared using NETN lysis buffer. Antibody : Rabbit antiHVEM/TNFRSF14 recombinant monoclonal antibody [BLR062G] (A700-062) used at 1 : 1000. Secondary : HRP-conjugated goat anti-rabbit IgG. Chemiluminescence with an exposure time of 30 seconds.

All lanes:

Western blot - Anti-HVEM/TNFRSF14 antibody [BLR062G] - BSA free (ab314104) at 1/1000 dilution

Lane 1:

SK-MEL-28 Whole cell lysate at 50 µg

Lane 2:

A2058 Whole cell lysate at 50 µg

Lane 3:

UACC-257 Whole cell lysate at 50 µg

Lane 4:

MDA-MB-435 Whole cell lysate at 50 µg

Lane 5:

Malme-3M Whole cell lysate at 50 µg

Secondary

All lanes:

HRP-conjugated goat anti-rabbit IgG

false

Key facts

Host species

Rabbit

Clonality

Monoclonal

Clone number

BLR062G

Isotype

IgG

Carrier free

No

Reacts with

Human

Applications

WB, ICC, IHC-P

applications

Immunogen

Recombinant Fragment Protein within Human TNFRSF14 aa 1-200. The exact immunogen used to generate this antibody is proprietary information.

Q92956

Reactivity data

{ "title": "Reactivity Data", "filters": { "stats": ["", "Species", "Dilution Info", "Notes"], "tabs": { "all-applications": {"fullname" : "All Applications", "shortname": "All Applications"}, "ICC" : {"fullname" : "Immunocytochemistry", "shortname":"ICC"}, "IHCP" : {"fullname" : "Immunohistochemistry (Formalin/PFA-fixed paraffin-embedded sections)", "shortname":"IHC-P"}, "WB" : {"fullname" : "Western blot", "shortname":"WB"} }, "product-promise": { "all": "all", "testedAndGuaranteed": "tested", "guaranteed": "expected", "predicted": "predicted", "notRecommended": "not-recommended" } }, "values": { "Human": { "ICC-species-checked": "testedAndGuaranteed", "ICC-species-dilution-info": "", "ICC-species-notes": "<p></p>", "IHCP-species-checked": "testedAndGuaranteed", "IHCP-species-dilution-info": "", "IHCP-species-notes": "<p></p>", "WB-species-checked": "testedAndGuaranteed", "WB-species-dilution-info": "", "WB-species-notes": "<p></p>" } } }

Properties and storage information

Form
Liquid
Storage buffer
pH: 7.8 - 8.6 Preservative: 0.09% Sodium azide Constituents: 98% Borate buffered saline
Shipped at conditions
Blue Ice
Appropriate short-term storage duration
Up to 12 months
Appropriate short-term storage conditions
+4°C
Appropriate long-term storage conditions
+4°C

Product protocols

For this product, it's our understanding that no specific protocols are required. You can visit:

Target data

Receptor for four distinct ligands : The TNF superfamily members TNFSF14/LIGHT and homotrimeric LTA/lymphotoxin-alpha and the immunoglobulin superfamily members BTLA and CD160, altogether defining a complex stimulatory and inhibitory signaling network (PubMed : 10754304, PubMed : 18193050, PubMed : 23761635, PubMed : 9462508). Signals via the TRAF2-TRAF3 E3 ligase pathway to promote immune cell survival and differentiation (PubMed : 19915044, PubMed : 9153189, PubMed : 9162022). Participates in bidirectional cell-cell contact signaling between antigen presenting cells and lymphocytes. In response to ligation of TNFSF14/LIGHT, delivers costimulatory signals to T cells, promoting cell proliferation and effector functions (PubMed : 10754304). Interacts with CD160 on NK cells, enhancing IFNG production and anti-tumor immune response (PubMed : 23761635). In the context of bacterial infection, acts as a signaling receptor on epithelial cells for CD160 from intraepithelial lymphocytes, triggering the production of antimicrobial proteins and pro-inflammatory cytokines (By similarity). Upon binding to CD160 on activated CD4+ T cells, down-regulates CD28 costimulatory signaling, restricting memory and alloantigen-specific immune response (PubMed : 18193050). May interact in cis (on the same cell) or in trans (on other cells) with BTLA (By similarity) (PubMed : 19915044). In cis interactions, appears to play an immune regulatory role inhibiting in trans interactions in naive T cells to maintain a resting state. In trans interactions, can predominate during adaptive immune response to provide survival signals to effector T cells (By similarity) (PubMed : 19915044).. (Microbial infection) Acts as a receptor for Herpes simplex virus 1/HHV-1.. (Microbial infection) Acts as a receptor for Herpes simplex virus 2/HHV-2.
See full target information TNFRSF14

Product promise

We are committed to supporting your work with high-quality reagents, and we're here for you every step of the way. In the unlikely event that one of our products does not perform as expected, you're protected by our Product Promise.
For full details, please see our Terms & Conditions

Please note: All products are 'FOR RESEARCH USE ONLY. NOT FOR USE IN DIAGNOSTIC OR THERAPEUTIC PROCEDURES'.

For licensing inquiries, please contact partnerships@abcam.com