JavaScript is disabled in your browser. Please enable JavaScript to view this website.
AB323610

Anti-HYAL2 antibody [EPR28917-156] - BSA and Azide free

  • BOND RX™ Validated
  • RabMAb
  • Recombinant
  • Advanced Validation
  • What is this?

Be the first to review this product! Submit a review

|

(0 Publication)

Rabbit Recombinant Monoclonal HYAL2 antibody. Carrier free. Suitable for ICC/IF, mIHC, IHC-P, WB and reacts with Human samples.

View Alternative Names

LUCA2, HYAL2, Hyaluronidase-2, Hyal-2, Hyaluronoglucosaminidase-2, Lung carcinoma protein 2, LuCa-2

9 Images
Immunohistochemistry (Formalin/PFA-fixed paraffin-embedded sections) - Anti-HYAL2 antibody [EPR28917-156] - BSA and Azide free (AB323610)
  • IHC-P

Supplier Data

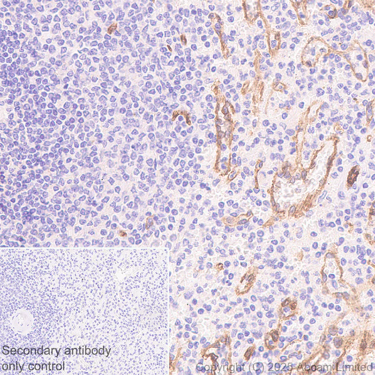
Immunohistochemistry (Formalin/PFA-fixed paraffin-embedded sections) - Anti-HYAL2 antibody [EPR28917-156] - BSA and Azide free (AB323610)

This data was developed using ab323609, the same antibody clone in a different buffer formulation.

Immunohistochemical analysis of paraffin-embedded Human spleen tissue labeling HYAL2 with ab323609 at 1/100 (4.89 ug/ml) dilution, followed by a ready to use LeicaDS9800 (Bond™ Polymer Refine Detection).

Positive staining on endothelial cells of human spleen. The section was incubated with ab323609 for 30 mins at room temperature.
The immunostaining was performed on a Leica Biosystems BOND® RX instrument

Counterstained with Hematoxylin.

Secondary antibody only control : Secondary antibody is a ready to use LeicaDS9800 (Bond™ Polymer Refine Detection).

Heat mediated antigen retrieval was performed with Tris-EDTA buffer (pH 9.0, Epitope Retrieval Solution2) for 20 mins

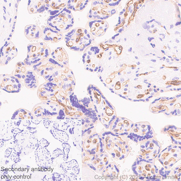
Immunohistochemistry (Formalin/PFA-fixed paraffin-embedded sections) - Anti-HYAL2 antibody [EPR28917-156] - BSA and Azide free (AB323610)
  • IHC-P

Supplier Data

Immunohistochemistry (Formalin/PFA-fixed paraffin-embedded sections) - Anti-HYAL2 antibody [EPR28917-156] - BSA and Azide free (AB323610)

This data was developed using ab323609, the same antibody clone in a different buffer formulation.

Immunohistochemical analysis of paraffin-embedded Human placenta tissue labeling HYAL2 with ab323609 at 1/100 (4.89 ug/ml) dilution, followed by a ready to use LeicaDS9800 (Bond™ Polymer Refine Detection).

Positive staining on endothelial cells of human placenta. The section was incubated with ab323609 for 30 mins at room temperature.
The immunostaining was performed on a Leica Biosystems BOND® RX instrument

Counterstained with Hematoxylin.

Secondary antibody only control : Secondary antibody is a ready to use LeicaDS9800 (Bond™ Polymer Refine Detection).

Heat mediated antigen retrieval was performed with Tris-EDTA buffer (pH 9.0, Epitope Retrieval Solution2) for 20 mins

Multiplex immunohistochemistry - Anti-HYAL2 antibody [EPR28917-156] - BSA and Azide free (AB323610)
  • mIHC

Lab

Multiplex immunohistochemistry - Anti-HYAL2 antibody [EPR28917-156] - BSA and Azide free (AB323610)

This data was developed using ab323609, the same antibody clone in a different buffer formulation.

Panel A : anti-CD42d/GP5 (green; Opal™520), anti-CD177 (magenta; Opal™690) and anti-HYAL2 (gray; Opal™570) on human spleen. Panel B : anti-CD42d/GP5 staining platelets in human spleen. Panel C : anti-CD177 staining neutrophils in human spleen. Panel D : anti-HYAL2 staining blood vessel in human spleen. Nuclear DNA was labeled with DAPI (shown in blue). The section was incubated in three rounds of staining : in the order of ab322703, ab255296 and ab323609 for 30 mins at room temperature. Each round was followed by a separate fluorescent tyramide signal amplification system. The immunostaining was performed on a Leica Biosystems BOND® RX instrument with an Opal™ 4-color kit. Image acquisition was performed with Leica SP8 confocal microscope.

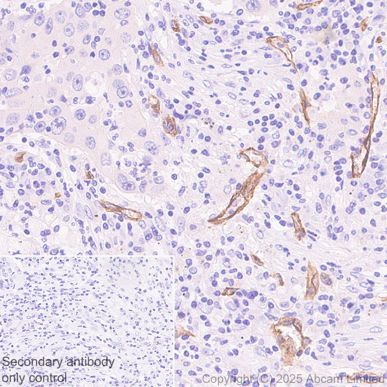
Immunohistochemistry (Formalin/PFA-fixed paraffin-embedded sections) - Anti-HYAL2 antibody [EPR28917-156] - BSA and Azide free (AB323610)
  • IHC-P

Supplier Data

Immunohistochemistry (Formalin/PFA-fixed paraffin-embedded sections) - Anti-HYAL2 antibody [EPR28917-156] - BSA and Azide free (AB323610)

This data was developed using ab323609, the same antibody clone in a different buffer formulation.

Immunohistochemical analysis of paraffin-embedded Human cervical carcinoma tissue labeling HYAL2 with ab323609 at 1/100 (4.89 ug/ml) dilution, followed by a ready to use LeicaDS9800 (Bond™ Polymer Refine Detection).

Positive staining on endothelial cells of human cervical carcinoma. The section was incubated with ab323609 for 30 mins at room temperature.
The immunostaining was performed on a Leica Biosystems BOND® RX instrument

Counterstained with Hematoxylin.

Secondary antibody only control : Secondary antibody is a ready to use LeicaDS9800 (Bond™ Polymer Refine Detection).

Heat mediated antigen retrieval was performed with Tris-EDTA buffer (pH 9.0, Epitope Retrieval Solution2) for 20 mins

Immunocytochemistry/ Immunofluorescence - Anti-HYAL2 antibody [EPR28917-156] - BSA and Azide free (AB323610)
  • ICC/IF

Supplier Data

Immunocytochemistry/ Immunofluorescence - Anti-HYAL2 antibody [EPR28917-156] - BSA and Azide free (AB323610)

This data was developed using ab323609, the same antibody clone in a different buffer formulation.

Immunofluorescent analysis of 100% methanol-fixed, 0.1% Tween-20 permeabilized Saos-2 (human osteosarcoma epithelial cell) cells labeling HYAL2 with ab323609 at 1/50 (9.78 ug/ml) dilution, followed by ab150081 Goat Anti-Rabbit IgG H&L (Alexa Fluor® 488) preadsorbed antibody at 1/1000 2ug/ml dilution (Green).

Confocal image showing partial membranous staining in Saos-2 cell line (shown in green). The counterstain was observed in magenta. Nuclear DNA was labeled with DAPI (shown in blue). Image was taken with a confocal microscope (Leica-Microsystems, TCS SP8).

ab195889 Anti-alpha Tubulin mouse monoclonal antibody - Microtubule Marker (Alexa Fluor® 594) was used to counterstain tubulin at 1/200 2.5ug/ml dilution (Magenta). The Nuclear counterstain was DAPI (Blue).

Secondary antibody only control : Secondary antibody is ab150081 Goat Anti-Rabbit IgG H&L (Alexa Fluor® 488) preadsorbed at 1/1000 2ug/ml dilution.

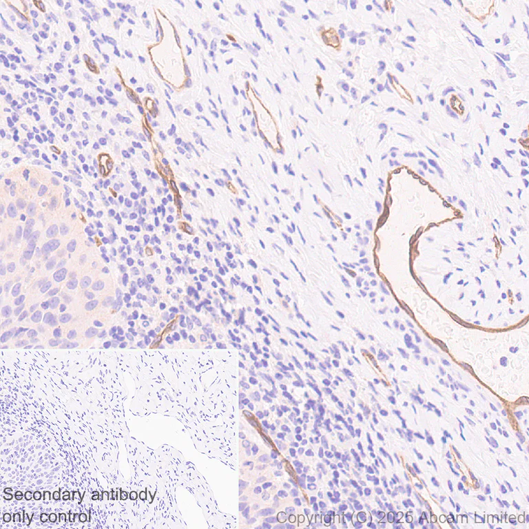
Immunohistochemistry (Formalin/PFA-fixed paraffin-embedded sections) - Anti-HYAL2 antibody [EPR28917-156] - BSA and Azide free (AB323610)
  • IHC-P

Supplier Data

Immunohistochemistry (Formalin/PFA-fixed paraffin-embedded sections) - Anti-HYAL2 antibody [EPR28917-156] - BSA and Azide free (AB323610)

This data was developed using ab323609, the same antibody clone in a different buffer formulation.

Immunohistochemical analysis of paraffin-embedded Human lung carcinoma tissue labeling HYAL2 with ab323609 at 1/100 (4.89 ug/ml) dilution, followed by a ready to use LeicaDS9800 (Bond™ Polymer Refine Detection).

Positive staining on endothelial cells of human lung carcinoma. The section was incubated with ab323609 for 30 mins at room temperature.
The immunostaining was performed on a Leica Biosystems BOND® RX instrument

Counterstained with Hematoxylin.

Secondary antibody only control : Secondary antibody is a ready to use LeicaDS9800 (Bond™ Polymer Refine Detection).

Heat mediated antigen retrieval was performed with Tris-EDTA buffer (pH 9.0, Epitope Retrieval Solution2) for 20 mins

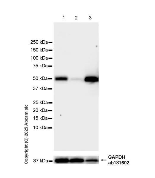
Western blot - Anti-HYAL2 antibody [EPR28917-156] - BSA and Azide free (AB323610)
  • WB

Supplier Data

Western blot - Anti-HYAL2 antibody [EPR28917-156] - BSA and Azide free (AB323610)

This data was developed using ab323609, the same antibody clone in a different buffer formulation.

Blocking and diluting buffer and concentration : 5% NFDM/TBST.

The samples are unboiled.

In Western blot, Anti-GAPDH antibody [EPR16891] - Loading Control (ab181602) staining at 1/200000 dilution.

All lanes:

Western blot - Anti-HYAL2 antibody [EPR28917-156] (<a href='/en-us/products/primary-antibodies/hyal2-antibody-epr28917-156-ab323609'>ab323609</a>) at 1/1000 dilution

Lane 1:

HepG2 (human hepatocellular carcinoma epithelial cell) whole cell lysate at 20 µg

Lane 2:

SW480 (human colorectal adenocarcinoma epithelial cell) whole cell lysate at 20 µg

Lane 3:

JEG-3 (human placenta epithelial cell) whole cell lysate at 20 µg

Secondary

All lanes:

Western blot - Goat Anti-Rabbit IgG H&L (HRP) (<a href='/en-us/products/secondary-antibodies/goat-rabbit-igg-h-l-hrp-ab97051'>ab97051</a>) at 1/20000 dilution

Observed band size: 54 kDa,36 kDa

false

Exposure time: 136s

Western blot - Anti-HYAL2 antibody [EPR28917-156] - BSA and Azide free (AB323610)
  • WB

Supplier Data

Western blot - Anti-HYAL2 antibody [EPR28917-156] - BSA and Azide free (AB323610)

This data was developed using ab323609, the same antibody clone in a different buffer formulation.

Blocking and diluting buffer and concentration : 5% NFDM/TBST.

The samples are unboiled.

In Western blot, Anti-GAPDH antibody [EPR16891] - Loading Control (ab181602) staining at 1/200000 dilution.

All lanes:

Western blot - Anti-HYAL2 antibody [EPR28917-156] (<a href='/en-us/products/primary-antibodies/hyal2-antibody-epr28917-156-ab323609'>ab323609</a>) at 1/1000 dilution

Lane 1:

HeLa (human cervical adenocarcinoma epithelial cell) transfected with scrambled siRNA control whole cell lysate at 20 µg

Lane 2:

HeLa transfected with siRNA specifically targeting HYAL2 whole cell lysate at 20 µg

Lane 3:

Saos-2 (human osteosarcoma epithelial cell) whole cell lysate at 20 µg

Secondary

All lanes:

Goat Anti-Rabbit IgG (HRP) with minimal cross-reactivity with human IgG at 1/2000 dilution

Observed band size: 54 kDa,36 kDa

false

Exposure time: 136s

Western blot - Anti-HYAL2 antibody [EPR28917-156] - BSA and Azide free (AB323610)
  • WB

Supplier Data

Western blot - Anti-HYAL2 antibody [EPR28917-156] - BSA and Azide free (AB323610)

This data was developed using ab323609, the same antibody clone in a different buffer formulation.

Blocking and diluting buffer and concentration : 5% NFDM/TBST.

The samples are unboiled.

All lanes:

Western blot - Anti-HYAL2 antibody [EPR28917-156] (<a href='/en-us/products/primary-antibodies/hyal2-antibody-epr28917-156-ab323609'>ab323609</a>) at 1/1000 dilution

Lane 1:

Human lung cancer tissue lysate at 40 µg

Lane 2:

Human testis tissue lysate at 40 µg

Lane 3:

Human lung tissue lysate at 40 µg

Secondary

All lanes:

Western blot - Goat Anti-Rabbit IgG H&L (HRP) (<a href='/en-us/products/secondary-antibodies/goat-rabbit-igg-h-l-hrp-ab97051'>ab97051</a>) at 1/2000 dilution

Observed band size: 54 kDa

false

Exposure time: 15s

Key facts

Host species

Rabbit

Clonality

Monoclonal

Clone number

EPR28917-156

Isotype

IgG

Carrier free

Yes

Reacts with

Human

Applications

IHC-P, mIHC, WB, ICC/IF

applications

Immunogen

The exact immunogen used to generate this antibody is proprietary information.

Reactivity data

{ "title": "Reactivity Data", "filters": { "stats": ["", "Species", "Dilution Info", "Notes"], "tabs": { "all-applications": {"fullname" : "All Applications", "shortname": "All Applications"}, "ICCIF" : {"fullname" : "Immunocytochemistry/ Immunofluorescence", "shortname":"ICC/IF"}, "mIHC" : {"fullname" : "Multiplex immunohistochemistry", "shortname":"mIHC"}, "IHCP" : {"fullname" : "Immunohistochemistry (Formalin/PFA-fixed paraffin-embedded sections)", "shortname":"IHC-P"}, "WB" : {"fullname" : "Western blot", "shortname":"WB"} }, "product-promise": { "all": "all", "testedAndGuaranteed": "tested", "guaranteed": "expected", "predicted": "predicted", "notRecommended": "not-recommended" } }, "values": { "Human": { "ICCIF-species-checked": "testedAndGuaranteed", "ICCIF-species-dilution-info": "", "ICCIF-species-notes": "<p></p>", "mIHC-species-checked": "testedAndGuaranteed", "mIHC-species-dilution-info": "", "mIHC-species-notes": "<p></p>", "IHCP-species-checked": "testedAndGuaranteed", "IHCP-species-dilution-info": "", "IHCP-species-notes": "<p></p> Perform heat-mediated antigen retrieval with Tris/EDTA buffer pH 9.0 before commencing with IHC staining protocol.", "WB-species-checked": "testedAndGuaranteed", "WB-species-dilution-info": "", "WB-species-notes": "<p></p>" }, "Mouse": { "ICCIF-species-checked": "notRecommended", "ICCIF-species-dilution-info": "", "ICCIF-species-notes": "", "mIHC-species-checked": "notRecommended", "mIHC-species-dilution-info": "", "mIHC-species-notes": "", "IHCP-species-checked": "notRecommended", "IHCP-species-dilution-info": "", "IHCP-species-notes": "<p></p>", "WB-species-checked": "notRecommended", "WB-species-dilution-info": "", "WB-species-notes": "<p></p>" } } }

Product details

ab323610 is the carrier free version of ab323609.

Patented technology
Our RabMAb® technology is a patented hybridoma-based technology for making rabbit monoclonal antibodies. For details on our patents, please refer to RabMAb® patents.

What are the advantages of a recombinant monoclonal antibody?
This product is a recombinant monoclonal antibody, which offers several advantages including:

  • - High batch-to-batch consistency and reproducibility
  • - Improved sensitivity and specificity
  • - Long-term security of supply
  • - Animal-free batch production

For more information, read more on recombinant antibodies.

Conjugation ready
Our carrier-free antibodies are typically supplied in a PBS-only formulation, purified and free of BSA, sodium azide and glycerol. This conjugation-ready format is designed for use with fluorochromes, metal isotopes, oligonucleotides, and enzymes, which makes them ideal for antibody labelling, functional and cell-based assays, flow-based assays (e.g. mass cytometry) and Multiplex Imaging applications.

Use our conjugation kits for antibody conjugates that are ready-to-use in as little as 20 minutes with 1 minute hands-on-time and 100% antibody recovery: available for fluorescent dyes, HRP, biotin and gold.

Compatibility
This product is compatible with the Maxpar® Antibody Labeling Kit from Fluidigm, without the need for antibody preparation. Maxpar® is a trademark of Fluidigm Canada Inc.

Properties and storage information

Form
Liquid
Purification technique
Affinity purification Protein A
Storage buffer
pH: 7.2 - 7.4 Constituents: 100% PBS
Shipped at conditions
Blue Ice
Appropriate short-term storage conditions
+4°C
Appropriate long-term storage conditions
+4°C

Product protocols

For this product, it's our understanding that no specific protocols are required. You can visit:

Target data

Hydrolyzes high molecular weight hyaluronic acid to produce an intermediate-sized product which is further hydrolyzed by sperm hyaluronidase to give small oligosaccharides. Displays very low levels of activity. Associates with and negatively regulates MST1R.
See full target information HYAL2

Product promise

We are committed to supporting your work with high-quality reagents, and we're here for you every step of the way. In the unlikely event that one of our products does not perform as expected, you're protected by our Product Promise.
For full details, please see our Terms & Conditions

Please note: All products are 'FOR RESEARCH USE ONLY. NOT FOR USE IN DIAGNOSTIC OR THERAPEUTIC PROCEDURES'.

For licensing inquiries, please contact partnerships@abcam.com