JavaScript is disabled in your browser. Please enable JavaScript to view this website.
AB34898

Anti-iASPP antibody

5

(8 Reviews)

|

(17 Publications)

Rabbit Polyclonal IASPP antibody. Suitable for IHC-P, WB and reacts with Human samples. Cited in 17 publications. Immunogen corresponding to Synthetic Peptide within Human PPP1R13L aa 750-800.

View Alternative Names

IASPP, NKIP1, PPP1R13BL, RAI, PPP1R13L, RelA-associated inhibitor, Inhibitor of ASPP protein, NFkB-interacting protein 1, PPP1R13B-like protein, Protein iASPP

2 Images
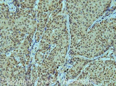
Immunohistochemistry (Formalin/PFA-fixed paraffin-embedded sections) - Anti-iASPP antibody (AB34898)
  • IHC-P

Unknown

Immunohistochemistry (Formalin/PFA-fixed paraffin-embedded sections) - Anti-iASPP antibody (AB34898)

IHC image of ab34898 staining in human breast carcinoma formalin fixed paraffin embedded tissue section, performed on a Leica BondTM system using the standard protocol F. The section was pre-treated using heat mediated antigen retrieval with sodium citrate buffer (pH6, epitope retrieval solution 1) for 20 mins. The section was then incubated with ab34898, 5µg/ml, for 15 mins at room temperature and detected using an HRP conjugated compact polymer system. DAB was used as the chromogen. The section was then counterstained with haematoxylin and mounted with DPX.

For other IHC staining systems (automated and non-automated) customers should optimize variable parameters such as antigen retrieval conditions, primary antibody concentration and antibody incubation times.

Western blot - Anti-iASPP antibody (AB34898)
  • WB

Unknown

Western blot - Anti-iASPP antibody (AB34898)

All lanes:

Western blot - Anti-iASPP antibody (ab34898) at 1/1500 dilution

All lanes:

35ug of MCF7 whole cell lysate

Secondary

All lanes:

IRDye™800 conjugated anti-Rabbit IgG diluted 1:10000, for 45 min at RT

Predicted band size: 90 kDa

Observed band size: 102 kDa

false

Key facts

Host species

Rabbit

Clonality

Polyclonal

Isotype

IgG

Carrier free

No

Reacts with

Human

Applications

WB, IHC-P

applications

Immunogen

Synthetic Peptide within Human PPP1R13L aa 750-800. The exact immunogen used to generate this antibody is proprietary information.

Q8WUF5

Specificity

A BLAST analysis was used to suggest cross reactivity with iASPP proteins from human, dog and mouse sources. Expect reactivity against both isoform 1 and isoform 2. Partial reactivity may occur against iASPP from bovine. Reactivity against homologues from other sources is not known.

Reactivity data

{ "title": "Reactivity Data", "filters": { "stats": ["", "Species", "Dilution Info", "Notes"], "tabs": { "all-applications": {"fullname" : "All Applications", "shortname": "All Applications"}, "IHCP" : {"fullname" : "Immunohistochemistry (Formalin/PFA-fixed paraffin-embedded sections)", "shortname":"IHC-P"}, "WB" : {"fullname" : "Western blot", "shortname":"WB"} }, "product-promise": { "all": "all", "testedAndGuaranteed": "tested", "guaranteed": "expected", "predicted": "predicted", "notRecommended": "not-recommended" } }, "values": { "Human": { "IHCP-species-checked": "testedAndGuaranteed", "IHCP-species-dilution-info": "5 µg/mL", "IHCP-species-notes": "<p></p> Perform heat-mediated antigen retrieval with citrate buffer pH 6 before commencing with IHC staining protocol.", "WB-species-checked": "testedAndGuaranteed", "WB-species-dilution-info": "1/1000 - 1/5000", "WB-species-notes": "<p></p>" }, "Mouse": { "IHCP-species-checked": "predicted", "IHCP-species-dilution-info": "", "IHCP-species-notes": "", "WB-species-checked": "predicted", "WB-species-dilution-info": "", "WB-species-notes": "" } } }

Properties and storage information

Form
Liquid
Purification technique
Affinity purification Immunogen
Purification notes
This affinity-purified antibody is directed against the human iASPP protein. The product was affinity purified from monospecific antiserum by immunoaffinity purification.
Storage buffer
pH: 7.2 Preservative: 0.01% Sodium azide Constituents: 0.88% Sodium chloride, 0.424% Potassium phosphate solution
Shipped at conditions
Blue Ice
Appropriate short-term storage conditions
+4°C
Appropriate long-term storage conditions
-20°C
Storage information
Stable for 12 months at -20°C

Supplementary information

This supplementary information is collated from multiple sources and compiled automatically.

IASPP also known as inhibitor of apoptosis-stimulating protein of p53 is a regulatory protein with a mass of approximately 96 kDa. It plays an important role in modulating apoptosis functioning as a negative regulator of p53 a well-known tumor suppressor protein. iASPP binds directly to p53 preventing its ability to transactivate target genes associated with cell cycle arrest and apoptosis. This protein is widely expressed in various tissues suggesting its importance in cellular homeostasis and response to stress.
Biological function summary

IASPP negatively affects p53-mediated apoptosis and cellular senescence. It is part of a complex with PP1 acting as a regulatory subunit that influences several cellular processes by modulating dephosphorylation activities. iASPP's interaction with PP1 further impacts gene expression by affecting the phosphorylation status of various transcription factors. This regulatory mechanism suggests iASPP plays a role in controlling cell growth and death essential processes for maintaining normal cellular function.

Pathways

IASPP modulates the p53 pathway an essential mechanism for regulating cell cycle and apoptosis. Within this pathway it associates with proteins like ASPP1 ASPP2 and other family members which also influence p53 activity. iASPP has a role in the NF-kB pathway where it influences inflammation and immune responses. Through these pathways iASPP coordinates signals that determine cellular fate connecting it to fundamental processes in cell biology.

IASPP alterations associate with cancer development and progression. Its overexpression often correlates with enhanced tumor growth due to impaired p53 activity. Studies link iASPP to diseases like acute myeloid leukemia (AML) and prostate cancer. Through its interaction with p53 and proteins such as ASPP1 and ASPP2 iASPP provides a potential therapeutic target where modulating its activity might restore proper cellular responses to stress counteracting tumor development.

Product protocols

For this product, it's our understanding that no specific protocols are required. You can visit:

Target data

Regulator that plays a central role in regulation of apoptosis and transcription via its interaction with NF-kappa-B and p53/TP53 proteins. Blocks transcription of HIV-1 virus by inhibiting the action of both NF-kappa-B and SP1. Also inhibits p53/TP53 function, possibly by preventing the association between p53/TP53 and ASPP1 or ASPP2, and therefore suppressing the subsequent activation of apoptosis (PubMed : 12524540). Is involved in NF-kappa-B dependent negative regulation of inflammatory response (PubMed : 28069640).
See full target information PPP1R13L

Publications (17)

Recent publications for all applications. Explore the full list and refine your search

American journal of medical genetics. Part A 194:59-63 PubMed37698259

2023

Variable phenotype of a null PPP1R13L allele in children with dilated cardiomyopathy.

Applications

Unspecified application

Species

Unspecified reactive species

Sahar Tulbah,Nadiah Alruwaili,Amal Alhashem,Arwa Aljohany,Faten Alhadeq,Dimpna C Albert Brotons,Abdullah Alwadai,Zuhair N Al-Hassnan

OncoTargets and therapy 13:4755-4765 PubMed32547104

2020

LncRNA XIST Promotes Growth of Human Chordoma Cells by Regulating miR-124-3p/iASPP Pathway.

Applications

Unspecified application

Species

Unspecified reactive species

Bao Hai,Xiaoyu Pan,Chuanchao Du,Tianli Mao,Fei Jia,Yu Liu,Yunlong Ma,Xiaoguang Liu,Bin Zhu

Molecular cell 77:633-644.e5 PubMed31836388

2019

Paradoxical Role for Wild-Type p53 in Driving Therapy Resistance in Melanoma.

Applications

Unspecified application

Species

Unspecified reactive species

Marie R Webster,Mitchell E Fane,Gretchen M Alicea,Subhasree Basu,Andrew V Kossenkov,Gloria E Marino,Stephen M Douglass,Amanpreet Kaur,Brett L Ecker,Keerthana Gnanapradeepan,Abibatou Ndoye,Curtis Kugel,Alexander Valiga,Jessica Palmer,Qin Liu,Xiaowei Xu,Jessicamarie Morris,Xiangfan Yin,Hong Wu,Wei Xu,Cathy Zheng,Giorgos C Karakousis,Ravi K Amaravadi,Tara C Mitchell,Filipe V Almeida,Min Xiao,Vito W Rebecca,Ying-Jie Wang,Lynn M Schuchter,Meenhard Herlyn,Maureen E Murphy,Ashani T Weeraratna

Chinese medical sciences journal = Chung-kuo i hsueh k'o hsueh tsa chih 34:184-193 PubMed31601301

2019

Downregulation of iASPP Expression Suppresses Proliferation, Invasion and Increases Chemosensitivity to Paclitaxel of Head and Neck Squamous Cell Carcinoma .

Applications

Unspecified application

Species

Unspecified reactive species

Zheng-Zheng Liu,Wei-Lu Kuang,Wen-Jing Zeng,Jian-Yun Xiao,Yong-Quan Tian

Cellular physiology and biochemistry : internation 51:1149-1163 PubMed30481751

2018

Long Non-Coding RNA Urothelial Carcinoma Associated 1 Promotes Proliferation, Migration and Invasion of Osteosarcoma Cells by Regulating microRNA-182.

Applications

Unspecified application

Species

Unspecified reactive species

Qiang Li,Wanying Xing,Xilong Gong,Yueshu Wang

Journal of cellular biochemistry 119:9217-9228 PubMed30105797

2018

miR-129 targets CDK1 and iASPP to modulate Burkitt lymphoma cell proliferation in a TAp63-dependent manner.

Applications

Unspecified application

Species

Unspecified reactive species

Hui Zou,Runying Zou,Keke Chen,Chengguang Zhu,Xin Tian,Yalan You,Xiangling He

Journal of photochemistry and photobiology. B, Bio 186:9-16 PubMed29982095

2018

MiR-340/iASPP axis affects UVB-mediated retinal pigment epithelium (RPE) cell damage.

Applications

Unspecified application

Species

Unspecified reactive species

Jiazhao Yan,Yuhui Qin,Jingsheng Yu,Qinghua Peng,Xiangdong Chen

Oncology letters 15:6865-6872 PubMed29849786

2018

Role of Kruppel-like factor 4 in regulating inhibitor of apoptosis-stimulating protein of p53 in the progression of gastric cancer.

Applications

Unspecified application

Species

Unspecified reactive species

Lulu Wang,Yan Li,Luchun Li,Zhijuan Wu,Yongzhong Wu,Huiwen Ma,Huiqing Yu,Dan Yang,Donglin Wang

Oncology letters 15:6409-6417 PubMed29731851

2018

The family of apoptosis-stimulating proteins of p53 is dysregulated in colorectal cancer patients.

Applications

Unspecified application

Species

Unspecified reactive species

Libin Yin,Yuyang Lin,Xu Wang,Yanzhuo Su,Han Hu,Chao Li,Lei Wang,Yanfang Jiang

DNA and cell biology 37:117-125 PubMed29412778

2018

The Long Noncoding RNA TP73-AS1 Interacted with miR-124 to Modulate Glioma Growth by Targeting Inhibitor of Apoptosis-Stimulating Protein of p53.

Applications

Unspecified application

Species

Unspecified reactive species

Shuai Xiao,Rensheng Wang,Xiangwei Wu,Wen Liu,Shanshan Ma
View all publications

Product promise

We are committed to supporting your work with high-quality reagents, and we're here for you every step of the way. In the unlikely event that one of our products does not perform as expected, you're protected by our Product Promise.
For full details, please see our Terms & Conditions

Please note: All products are 'FOR RESEARCH USE ONLY. NOT FOR USE IN DIAGNOSTIC OR THERAPEUTIC PROCEDURES'.

For licensing inquiries, please contact partnerships@abcam.com