JavaScript is disabled in your browser. Please enable JavaScript to view this website.
AB220815

Anti-Iba1 antibody [EPR16588] - BSA and Azide free

5

(1 Review)

|

(2 Publications)

Anti-Iba1 antibody [EPR16588] - BSA and Azide free (ab220815) is a rabbit recombinant monoclonal antibody provided in a PBS only buffer for easy conjugation. Suitable for Western Blot, Flow Cytometry, IHC-P, IHC-Fr, ICC/IF in Human, Mouse, Rat.

- Clone EPR16588 is the most cited clone to Iba1
- BSA, sodium azide, and glycerol-free for easy conjugation
- Biophysical QC for unrivalled batch-batch consistency

View Alternative Names

G1, IBA1, AIF1, Allograft inflammatory factor 1, AIF-1, Ionized calcium-binding adapter molecule 1, Protein G1, iba1, iba-1, iba 1

16 Images
Immunohistochemistry (Formalin/PFA-fixed paraffin-embedded sections) - Anti-Iba1 antibody [EPR16588] - BSA and Azide free (AB220815)
  • IHC-P

Lab

Immunohistochemistry (Formalin/PFA-fixed paraffin-embedded sections) - Anti-Iba1 antibody [EPR16588] - BSA and Azide free (AB220815)

Composite multiplex immunofluorescence staining of Iba1, GFAP and MAP2 staining in a section of formalin-fixed paraffin-embedded human cerebral cortex*.

Performed on a Leica BOND. The section was pre-treated using heat mediated antigen retrieval with EDTA (Ph9.0) using retrieval settings of 100°C for 40 minutes. The section was then incubated at room temperature for 1 hour with ab323239 at 5µg/ml dilution (shown in green), ab300645 at 5µg/ml (shown in magenta), and ab178846 at 5µg/ml (shown in yellow). Then incubated for 1 hour with ab150119 Goat Anti-Mouse IgG H&L (Alexa Fluor® 647) preadsorbed 1/1000, ab150084 Goat Anti-Rabbit IgG H&L (Alexa Fluor® 594) preadsorbed 1/1000, and ab150173 Goat Anti-Chicken IgY H&L (Alexa Fluor® 488) preadsorbed 1/1000. Nuclear DNA was labelled with DAPI (shown in blue). The section was then mounted using Dako Fluorescence Mounting Medium ®.

Image was taken with a confocal microscope (Leica-Microsystems, TCS SP8).

For other IHC staining systems (automated and non-automated), customers should optimize variable parameters such as antigen retrieval conditions, antibody concentrations and incubation times.

*Tissue obtained from the Human Research Tissue Bank, supported by the NIHR Cambridge Biomedical Research Centre.

Flow Cytometry (Intracellular) - Anti-Iba1 antibody [EPR16588] - BSA and Azide free (AB220815)
  • Flow Cyt (Intra)

Lab

Flow Cytometry (Intracellular) - Anti-Iba1 antibody [EPR16588] - BSA and Azide free (AB220815)

Flow cytometry overlay histogram showing left Raw264.7 positive cells and right negative NIH3T3 stained with ab178846 (red line). The cells were fixed with 4% formaldehyde (10 min) and then permeabilised with 0.1% PBS-Triton X-100 for 15 min. The cells were then incubated in 1x PBS containing 10μg/ml anti CD16/CD32 and 10% normal goat serum to block FC receptors and non-specific protein-protein interaction followed by the antibody (ab178846) (1x 106 in 100μl at 0.2μg/ml (1/9850 dilution)) for 30min at 22°C.The secondary antibody Goat Anti-Rabbit IgG H&L (Alexa Fluor® 488) preadsorbed was incubated at 1/4000 for 30min at 22°CIsotype control antibody (black line) was Recombinant Rabbit IgG monoclonal [EPR25A] - Isotype Control used at the same concentration and conditions as the primary antibody. Unlabelled sample (blue line) was also used as a control.Acquisition of >5000 events were collected using a 50 mW Blue laser (488nm) and 525/40 bandpass filter.

This data was developed using the same antibody clone in a different buffer formulation containing PBS, BSA, glycerol, and sodium azide (ab178846).

Immunohistochemistry (Frozen sections) - Anti-Iba1 antibody [EPR16588] - BSA and Azide free (AB220815)
  • IHC-Fr

Lab

Immunohistochemistry (Frozen sections) - Anti-Iba1 antibody [EPR16588] - BSA and Azide free (AB220815)

This data was developed using ab178846, the same antibody clone in a different buffer formulation

Immunohistochemical analysis of 4% PFA-fixed, 0.2% Triton X-100 permeabilized frozen Mouse cerebrum (perfused fixed) tissue labeling Iba1 with ab178846 at 1200 dilution followed by Goat Anti-Rabbit IgG H&L (Alexa Fluor® 488) preadsorbed (ab150081) at 1/1000 dilution (Green).

Confocal image showing positive staining on mouse cerebrum. The nuclear counterstain was DAPI (Blue). The section was incubated with ab178846 for 60 mins at room temperature. The section was then mounted using Fluoromount®.The immunostaining was performed on a Leica Biosystems BOND® RX instrument. Image was taken with a confocal microscope (Leica-Microsystems, TCS SP8).

Secondary antibody control : Secondary antibody is Goat Anti-Rabbit IgG H&L (Alexa Fluor® 488) preadsorbed (ab150081)at 1/1000 dilution.

Heat mediated antigen retrieval using sodium citrate buffer (10mM citrate pH 6.0 + 0.05% Tween-20).

Immunohistochemistry (Frozen sections) - Anti-Iba1 antibody [EPR16588] - BSA and Azide free (AB220815)
  • IHC-Fr

Lab

Immunohistochemistry (Frozen sections) - Anti-Iba1 antibody [EPR16588] - BSA and Azide free (AB220815)

This data was developed using ab178846, the same antibody clone in a different buffer formulation

Immunohistochemical analysis of 4% PFA-fixed, 0.2% Triton X-100 permeabilized frozen Mouse liver (perfused fixed) tissue labeling Iba1 with ab178846 at 1200 dilution followed by Goat Anti-Rabbit IgG H&L (Alexa Fluor® 488) preadsorbed (ab150081) at 1/1000 dilution (Green).

Confocal image showing positive staining on mouse liver. The nuclear counterstain was DAPI (Blue). The section was incubated with ab178846 for 60 mins at room temperature. The section was then mounted using Fluoromount®.The immunostaining was performed on a Leica Biosystems BOND® RX instrument. Image was taken with a confocal microscope (Leica-Microsystems, TCS SP8).

Secondary antibody control : Secondary antibody is Goat Anti-Rabbit IgG H&L (Alexa Fluor® 488) preadsorbed (ab150081)at 1/1000 dilution.

Heat mediated antigen retrieval using sodium citrate buffer (10mM citrate pH 6.0 + 0.05% Tween-20).

Immunohistochemistry (Frozen sections) - Anti-Iba1 antibody [EPR16588] - BSA and Azide free (AB220815)
  • IHC-Fr

Lab

Immunohistochemistry (Frozen sections) - Anti-Iba1 antibody [EPR16588] - BSA and Azide free (AB220815)

This data was developed using ab178846, the same antibody clone in a different buffer formulation

Immunohistochemical analysis of 4% PFA-fixed, 0.2% Triton X-100 permeabilized frozen Rat cerebrum (perfused fixed) tissue labeling Iba1 with ab178846 at 1200 dilution followed by Goat Anti-Rabbit IgG H&L (Alexa Fluor® 488) preadsorbed (ab150081) at 1/1000 dilution (Green).

Confocal image showing positive staining on rat cerebrum. The nuclear counterstain was DAPI (Blue). The section was incubated with ab178846 for 60 mins at room temperature. The section was then mounted using Fluoromount®.The immunostaining was performed on a Leica Biosystems BOND® RX instrument. Image was taken with a confocal microscope (Leica-Microsystems, TCS SP8).

Secondary antibody control : Secondary antibody is Goat Anti-Rabbit IgG H&L (Alexa Fluor® 488) preadsorbed (ab150081)at 1/1000 dilution.

Heat mediated antigen retrieval using sodium citrate buffer (10mM citrate pH 6.0 + 0.05% Tween-20).

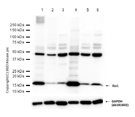
Western blot - Anti-Iba1 antibody [EPR16588] - BSA and Azide free (AB220815)
  • WB

Lab

Western blot - Anti-Iba1 antibody [EPR16588] - BSA and Azide free (AB220815)

Blocking buffer and concentration : 5% NFDM/TBST. Diluting buffer and concentration : 5% NFDM/TBST. IBA1 is a relatively minor protein of brain and is much more abundant in spleen (PMID : 8912632, PMID : 29232670). We suggest loading higher amount of brain lysate or using lower dilution of antibody for detecting signal in brain related lysates. ab181602 was used as loading control. This data was developed using the same antibody clone in a different buffer formulation containing PBS, BSA, glycerol, and sodium azide (ab178846).

All lanes:

Western blot - Anti-Iba1 antibody [EPR16588] - Microglia marker (<a href='/en-us/products/primary-antibodies/iba1-antibody-epr16588-microglia-marker-ab178846'>ab178846</a>) at 1/1000 dilution

Lane 1:

Mouse spleen tissue lysate at 20 µg

Lane 2:

Mouse brain tissue lysate at 20 µg

Lane 3:

Mouse hippocampus tissue lysate at 20 µg

Lane 4:

Rat spleen tissue lysate at 20 µg

Lane 5:

Rat brain tissue lysate at 20 µg

Lane 6:

Rat hippocampus tissue lysate at 20 µg

Secondary

All lanes:

Western blot - Goat Anti-Rabbit IgG H&L (HRP) (<a href='/en-us/products/secondary-antibodies/goat-rabbit-igg-h-l-hrp-ab97051'>ab97051</a>) at 1/20000 dilution

Predicted band size: 16 kDa

Observed band size: 17 kDa

false

Exposure time: 40s

Immunocytochemistry/ Immunofluorescence - Anti-Iba1 antibody [EPR16588] - BSA and Azide free (AB220815)
  • ICC/IF

Lab

Immunocytochemistry/ Immunofluorescence - Anti-Iba1 antibody [EPR16588] - BSA and Azide free (AB220815)

Immunofluorescence staining of Iba-1 using ab178846 in primary rat hippocampal mixed glia (prepared from P2 rat hippocampal brain area obtained from Transnetyx Tissue by BrainBits LLC cat.no. SDPHP4m) DIV4. The cells were fixed with 4% formaldehyde (10 min) permeabilized with 0.1% Triton-X-100 (in PBS) for 5 mins and then blocked with 1% BSA/10% normal goat serum/0.3M glycine in 0.1% PBS-Tween for 1h. The cells were then incubated overnight at +4°C with ab178846 at 0.1 μg/ml and ab4674 Anti-GFAP antibody at 1/1000 dilution. Cells were then incubated with ab150081 Goat Anti-Rabbit IgG H&L (Alexa Fluor® 488) preadsorbed at 1/1000 dilution (shown in green) and ab150176 Goat Anti-Chicken IgY H&L (Alexa Fluor® 594) preadsorbed at 1/1000 dilution (shown in red). Nuclear DNA was labelled with DAPI (shown in blue).Images were acquired with the Perkin Elmer Operetta HCA and a maximum intensity projection of confocal sections is shown. The antibody ab178846 gave comparable results using MeOH fixation (100% 5 min).

This data was developed using the same antibody clone in a different buffer formulation containing PBS, BSA, glycerol, and sodium azide (ab178846).

Immunohistochemistry (Formalin/PFA-fixed paraffin-embedded sections) - Anti-Iba1 antibody [EPR16588] - BSA and Azide free (AB220815)
  • IHC-P

Supplier Data

Immunohistochemistry (Formalin/PFA-fixed paraffin-embedded sections) - Anti-Iba1 antibody [EPR16588] - BSA and Azide free (AB220815)

Immunohistochemical analysis of paraffin-embedded Human cerebral cortex tissue labeling Iba1 with ab178846 at a 1/2000 dilution showing cytoplasm and nuclear staining on Glial cells. Counter stained with hematoxylin. Prediluted HRP Polymer for Rabbit/Mouse IgG was used as the secondary aantibody. Negative control also shown.

This data was developed using the same antibody clone in a different buffer formulation containing PBS, BSA, glycerol, and sodium azide (ab178846).

Heat mediated antigen retrieval was performed with Tris/EDTA buffer pH 9.0 before commencing with IHC staining protocol.

Immunohistochemistry (Formalin/PFA-fixed paraffin-embedded sections) - Anti-Iba1 antibody [EPR16588] - BSA and Azide free (AB220815)
  • IHC-P

Lab

Immunohistochemistry (Formalin/PFA-fixed paraffin-embedded sections) - Anti-Iba1 antibody [EPR16588] - BSA and Azide free (AB220815)

IHC image of Iba1 staining in human normal hippocampus formalin fixed paraffin embedded tissue section performed on a Leica Bond™ system using the standard protocol F. The section was pre-treated using heat mediated antigen retrieval with sodium citrate buffer (pH6 epitope retrieval solution 1) for 20 mins. The section was then incubated with ab178846 at 1/2000 dilution for 15 mins at room temperature and detected using an HRP conjugated compact polymer system. DAB was used as the chromogen. The section was then counterstained with haematoxylin and mounted with DPX.

For other IHC staining systems (automated and non-automated) customers should optimize variable parameters such as antigen retrieval conditions primary antibody concentration and antibody incubation times.

This data was developed using the same antibody clone in a different buffer formulation containing PBS, BSA, glycerol, and sodium azide (ab178846).

Flow Cytometry (Intracellular) - Anti-Iba1 antibody [EPR16588] - BSA and Azide free (AB220815)
  • Flow Cyt (Intra)

Lab

Flow Cytometry (Intracellular) - Anti-Iba1 antibody [EPR16588] - BSA and Azide free (AB220815)

Intracellular Flow Cytometry analysis of 2% paraformaldehyde fixed U937 (human histiocytic lymphoma cell line) cells labeling Iba1with ab178846 at 1/160 dilution (red line). Secondary antibody used is a goat anti rabbit IgG (FITC) at 1/150 dilution. The isotype control is rabbit monoclonal IgG (black line). The unlabeled control is cells without incubation with primary and secondary antibodies (blue line).

This data was developed using the same antibody clone in a different buffer formulation containing PBS, BSA, glycerol, and sodium azide (ab178846).

Immunohistochemistry (Formalin/PFA-fixed paraffin-embedded sections) - Anti-Iba1 antibody [EPR16588] - BSA and Azide free (AB220815)
  • IHC-P

Unknown

Immunohistochemistry (Formalin/PFA-fixed paraffin-embedded sections) - Anti-Iba1 antibody [EPR16588] - BSA and Azide free (AB220815)

Clone EPR16588 (ab220815) has been successfully conjugated by Abcam. This image was generated using Anti-Iba1 antibody [EPR16588] (Alexa Fluor® 488). Please refer to ab225260 for protocol details.

IHC image of Iba1 staining in a section of formalin-fixed paraffin-embedded normal human tonsil*.

The section was pre-treated using heat mediated antigen retrieval with sodium citrate buffer (pH6) in a Biocare Medical NxGen pressure cooker using retrieval settings of 110oC for 20 minutes. Non-specific protein-protein interactions were then blocked in TBS containing 0.025% (v/v) Triton X-100, 0.3M (w/v) glycine and 1% (w/v) BSA for 1h at room temperature.  The section was then incubated overnight at +4°C in TBS containing 0.025% (v/v) Triton X-100 and 1% (w/v) BSA with ab225260 at 1/100 dilution (shown in green) and counterstained using ab195884, Rat monoclonal to Tubulin (Alexa Fluor® 647), at 1/250 dilution (shown in red). Nuclear DNA was labelled with DAPI (shown in blue). The section was then mounted using Fluoromount®.

Image was taken with a confocal microscope (Leica-Microsystems, TCS SP8).

For other IHC staining systems (automated and non-automated), customers should optimize variable parameters such as antigen retrieval conditions, antibody concentrations and incubation times.

*Tissue obtained from the Human Research Tissue Bank, supported by the NIHR Cambridge Biomedical Research Centre.

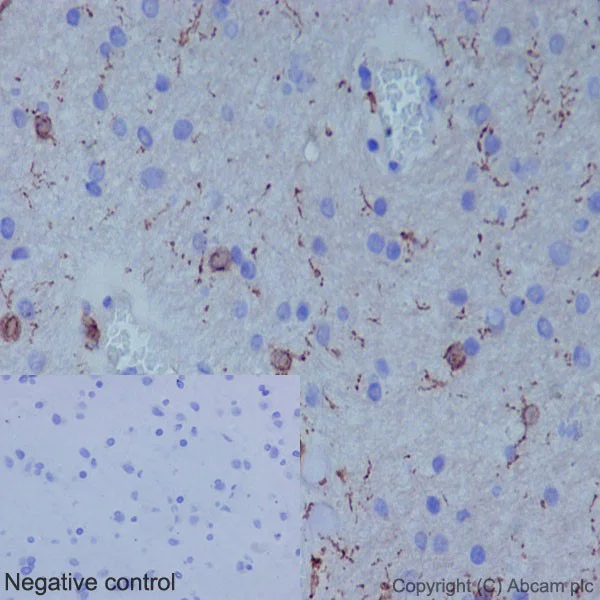
Immunohistochemistry (Formalin/PFA-fixed paraffin-embedded sections) - Anti-Iba1 antibody [EPR16588] - BSA and Azide free (AB220815)
  • IHC-P

Lab

Immunohistochemistry (Formalin/PFA-fixed paraffin-embedded sections) - Anti-Iba1 antibody [EPR16588] - BSA and Azide free (AB220815)

This data was developed using the same antibody clone in a different buffer formulation containing PBS, BSA, glycerol, and sodium azide (ab178846).

IHC image of Iba1 staining in rat normal brain formalin fixed paraffin embedded tissue section performed on a Leica Bond™ system using the standard protocol F.

The section was pre-treated using heat mediated antigen retrieval with sodium citrate buffer (pH6 epitope retrieval solution 1) for 20 mins. The section was then incubated with ab178846 at 1/2000 dilution for 15 mins at room temperature and detected using an HRP conjugated compact polymer system. DAB was used as the chromogen. The section was then counterstained with haematoxylin and mounted with DPX.

For other IHC staining systems (automated and non-automated) customers should optimize variable parameters such as antigen retrieval conditions primary antibody concentration and antibody incubation times.

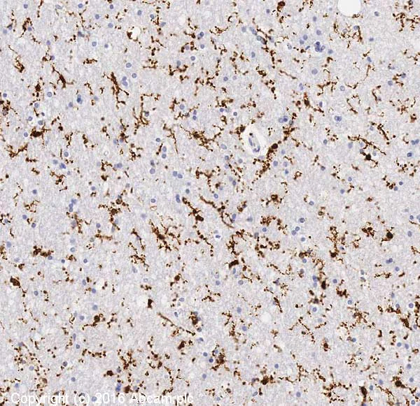
Immunohistochemistry (Formalin/PFA-fixed paraffin-embedded sections) - Anti-Iba1 antibody [EPR16588] - BSA and Azide free (AB220815)
  • IHC-P

Lab

Immunohistochemistry (Formalin/PFA-fixed paraffin-embedded sections) - Anti-Iba1 antibody [EPR16588] - BSA and Azide free (AB220815)

IHC image of Iba1 staining in mouse normal brain formalin fixed paraffin embedded tissue section, performed on a Leica Bond™ system using the standard protocol B. The section was pre-treated using heat mediated antigen retrieval with sodium citrate buffer (pH6, epitope retrieval solution 1) for 20 mins. The section was then incubated with ab178846, 1/2000 dilution, for 15 mins at room temperature. A goat anti-rabbit biotinylated secondary antibody was used to detect the primary, and visualized using an HRP conjugated ABC system. DAB was used as the chromogen. The section was then counterstained with haematoxylin and mounted with DPX.

For other IHC staining systems (automated and non-automated) customers should optimize variable parameters such as antigen retrieval conditions, primary antibody concentration and antibody incubation times.

This data was developed using the same antibody clone in a different buffer formulation containing PBS, BSA, glycerol, and sodium azide (ab178846).

Immunocytochemistry/ Immunofluorescence - Anti-Iba1 antibody [EPR16588] - BSA and Azide free (AB220815)
  • ICC/IF

Supplier Data

Immunocytochemistry/ Immunofluorescence - Anti-Iba1 antibody [EPR16588] - BSA and Azide free (AB220815)

0.1% Triton-X 100 permeabilized paraformaldehyde-fixed Mouse cell Microglia cells labeling Iba1 (green) using ab178846 at 1/500 dilution in ICC/IF analysis.

This data was developed using the same antibody clone in a different buffer formulation containing PBS, BSA, glycerol, and sodium azide (ab178846).

Immunohistochemistry (Formalin/PFA-fixed paraffin-embedded sections) - Anti-Iba1 antibody [EPR16588] - BSA and Azide free (AB220815)
  • IHC-P

Unknown

Immunohistochemistry (Formalin/PFA-fixed paraffin-embedded sections) - Anti-Iba1 antibody [EPR16588] - BSA and Azide free (AB220815)

Clone EPR16588 (ab220815) has been successfully conjugated by Abcam. This image was generated using Anti-Iba1 antibody [EPR16588] (Alexa Fluor® 647). Please refer to ab225261 for protocol details.

IHC image of Iba1 staining in a section of formalin-fixed paraffin-embedded normal human tonsil*.

The section was pre-treated using heat mediated antigen retrieval with sodium citrate buffer (pH6) in a Biocare Medical NxGen pressure cooker using retrieval settings of 110oC for 20 minutes. Non-specific protein-protein interactions were then blocked in TBS containing 0.025% (v/v) Triton X-100, 0.3M (w/v) glycine and 1% (w/v) BSA for 1h at room temperature.  The section was then incubated overnight at +4°C in TBS containing 0.025% (v/v) Triton X-100 and 1% (w/v) BSA with ab225261 at 1/100 dilution (shown in red) and counterstained using ab195887, Mouse monoclonal to alpha Tubulin (Alexa Fluor® 488), at 1/250 dilution (shown in green). Nuclear DNA was labelled with DAPI (shown in blue). The section was then mounted using Fluoromount®.

Image was taken with a confocal microscope (Leica-Microsystems, TCS SP8).

For other IHC staining systems (automated and non-automated), customers should optimize variable parameters such as antigen retrieval conditions, antibody concentrations and incubation times.

*Tissue obtained from the Human Research Tissue Bank, supported by the NIHR Cambridge Biomedical Research Centre.

Western blot - Anti-Iba1 antibody [EPR16588] - BSA and Azide free (AB220815)
  • WB

Lab

Western blot - Anti-Iba1 antibody [EPR16588] - BSA and Azide free (AB220815)

This data was developed using ab178846, the same antibody clone in a different buffer formulation. Different batches of ab178846 were tested on THP-1 (Human monocytic leukemia monocyte) lysate at 0.02 µg/ml. 15 µg of lysate was loaded in each lane. Bands observed at 15 kDa.

All lanes:

Western blot - Anti-Iba1 antibody [EPR16588] - Microglia marker (<a href='/en-us/products/primary-antibodies/iba1-antibody-epr16588-microglia-marker-ab178846'>ab178846</a>)

Predicted band size: 16 kDa

false

  • Unconjugated

    Anti-Iba1 antibody [EPR16588] - Microglia marker

  • Carrier free

    Anti-Iba1 antibody [EPR16588] – Chicken IgY (Chimeric) – BSA and Azide Free

  • 660 APC

    APC Anti-Iba1 antibody [EPR16588] - Microglia marker

  • 775 Alexa Fluor® 750

    Alexa Fluor® 750 Anti-Iba1 antibody [EPR16588] - Microglia marker

  • 519 Alexa Fluor® 488

    Alexa Fluor® 488 Anti-Iba1 antibody [EPR16588] - Microglia marker

  • 665 Alexa Fluor® 647

    Alexa Fluor® 647 Anti-Iba1 antibody [EPR16588] - Microglia marker

Key facts

Host species

Rabbit

Clonality

Monoclonal

Clone number

EPR16588

Isotype

IgG

Carrier free

Yes

Reacts with

Mouse, Rat, Human

Applications

WB, ICC/IF, IHC-P, IHC-Fr, Flow Cyt (Intra)

applications

Immunogen

The exact immunogen used to generate this antibody is proprietary information.

Specificity

For ab178846 Abcam recommends blocking in 3% milk for cleanest results in WB. Blocking with BSA gives slightly higher background.

Reactivity data

{ "title": "Reactivity Data", "filters": { "stats": ["", "Species", "Dilution Info", "Notes"], "tabs": { "all-applications": {"fullname" : "All Applications", "shortname": "All Applications"}, "IHCP" : {"fullname" : "Immunohistochemistry (Formalin/PFA-fixed paraffin-embedded sections)", "shortname":"IHC-P"}, "IHCFr" : {"fullname" : "Immunohistochemistry (Frozen sections)", "shortname":"IHC-Fr"}, "WB" : {"fullname" : "Western blot", "shortname":"WB"}, "ICCIF" : {"fullname" : "Immunocytochemistry/ Immunofluorescence", "shortname":"ICC/IF"}, "FlowCytIntra" : {"fullname" : "Flow Cytometry (Intracellular)", "shortname":"Flow Cyt (Intra)"} }, "product-promise": { "all": "all", "testedAndGuaranteed": "tested", "guaranteed": "expected", "predicted": "predicted", "notRecommended": "not-recommended" } }, "values": { "Human": { "IHCP-species-checked": "testedAndGuaranteed", "IHCP-species-dilution-info": "", "IHCP-species-notes": "<p></p> Perform heat-mediated antigen retrieval with Tris/EDTA buffer pH 9.0 before commencing with IHC staining protocol.", "IHCFr-species-checked": "guaranteed", "IHCFr-species-dilution-info": "", "IHCFr-species-notes": "", "WB-species-checked": "testedAndGuaranteed", "WB-species-dilution-info": "", "WB-species-notes": "<p>Abcam recommends blocking in 3% milk for cleanest results in WB. Blocking with BSA gives slightly higher background.</p>", "ICCIF-species-checked": "guaranteed", "ICCIF-species-dilution-info": "", "ICCIF-species-notes": "", "FlowCytIntra-species-checked": "testedAndGuaranteed", "FlowCytIntra-species-dilution-info": "", "FlowCytIntra-species-notes": "<p></p>" }, "Mouse": { "IHCP-species-checked": "testedAndGuaranteed", "IHCP-species-dilution-info": "", "IHCP-species-notes": "<p></p> Perform heat-mediated antigen retrieval with Tris/EDTA buffer pH 9.0 before commencing with IHC staining protocol.", "IHCFr-species-checked": "testedAndGuaranteed", "IHCFr-species-dilution-info": "", "IHCFr-species-notes": "<p></p>", "WB-species-checked": "testedAndGuaranteed", "WB-species-dilution-info": "", "WB-species-notes": "<p>Abcam recommends blocking in 3% milk for cleanest results in WB. Blocking with BSA gives slightly higher background.</p>", "ICCIF-species-checked": "testedAndGuaranteed", "ICCIF-species-dilution-info": "", "ICCIF-species-notes": "<p></p>", "FlowCytIntra-species-checked": "testedAndGuaranteed", "FlowCytIntra-species-dilution-info": "", "FlowCytIntra-species-notes": "<p></p>" }, "Rat": { "IHCP-species-checked": "testedAndGuaranteed", "IHCP-species-dilution-info": "", "IHCP-species-notes": "<p></p> Perform heat-mediated antigen retrieval with Tris/EDTA buffer pH 9.0 before commencing with IHC staining protocol.", "IHCFr-species-checked": "testedAndGuaranteed", "IHCFr-species-dilution-info": "", "IHCFr-species-notes": "<p></p>", "WB-species-checked": "testedAndGuaranteed", "WB-species-dilution-info": "", "WB-species-notes": "<p>Abcam recommends blocking in 3% milk for cleanest results in WB. Blocking with BSA gives slightly higher background.</p>", "ICCIF-species-checked": "guaranteed", "ICCIF-species-dilution-info": "", "ICCIF-species-notes": "", "FlowCytIntra-species-checked": "guaranteed", "FlowCytIntra-species-dilution-info": "", "FlowCytIntra-species-notes": "" } } }

Product details

What is this antibody validated in?
Anti-Iba1 antibody [EPR16588] - BSA and Azide free (ab220815) is a rabbit recombinant monoclonal antibody and is validated for use in Western Blot (WB), Flow Cytometry (Intra), Flow Cytometry (Flow Cyt), Immunohistochemistry (IHC-P), Immunohistochemistry (IHC-Fr), Immunocytochemistry/immunofluorescence (ICC/IF) in Human, Mouse, Rat samples.

What is the molecular weight of Iba1?
Anti-Iba1 [EPR16588] - BSA and Azide free (ab220815) specifically detects a band for Iba1 (UniProt: O70200) at a molecular weight of 17kDa.

Trial sizes available!
Test your antibody or perform pre-screening before committing to a larger quantity. Sold in 10µl. Discover our selection of trial-size antibodies.

Other related products
We have a range of other formats of antibody clone [EPR16588] also available for your convenience: ab178846, Carrier free - ab220815, Alexa Fluor® 488 - ab225260, Alexa Fluor® 647 - ab225261, ab300156, Carrier free - ab300157, ab318302, Carrier free - ab318305, Alexa Fluor® 750 - ab321218

Patented technology
Our RabMAb® technology is a patented hybridoma-based technology for making rabbit monoclonal antibodies. For details on our patents, please refer to RabMAb® patents.

What are the advantages of a recombinant monoclonal antibody?
This product is a recombinant monoclonal antibody, which offers several advantages including:

  • - High batch-to-batch consistency and reproducibility
  • - Improved sensitivity and specificity
  • - Long-term security of supply
  • - Animal-free batch production

For more information, read more on recombinant antibodies.

Conjugation ready
Our carrier-free antibodies are typically supplied in a PBS-only formulation, purified and free of BSA, sodium azide and glycerol. This conjugation-ready format is designed for use with fluorochromes, metal isotopes, oligonucleotides, and enzymes, which makes them ideal for antibody labelling, functional and cell-based assays, flow-based assays (e.g. mass cytometry) and Multiplex Imaging applications.

Use our conjugation kits for antibody conjugates that are ready-to-use in as little as 20 minutes with 1 minute hands-on-time and 100% antibody recovery: available for fluorescent dyes, HRP, biotin and gold.

Compatibility
This product is compatible with the Maxpar® Antibody Labeling Kit from Fluidigm, without the need for antibody preparation. Maxpar® is a trademark of Fluidigm Canada Inc.

Properties and storage information

Form
Liquid
Purification technique
Affinity purification Protein A
Storage buffer
pH: 7.2 - 7.4 Constituents: PBS
Shipped at conditions
Blue Ice
Appropriate short-term storage conditions
+4°C
Appropriate long-term storage conditions
+4°C
Storage information
Do Not Freeze

Supplementary information

This supplementary information is collated from multiple sources and compiled automatically.

Iba1 also known as Allograft Inflammatory Factor 1 (AIF-1) is a 17 kDa protein notable for its involvement in immune responses. It is expressed mainly in microglia and macrophages key components of the central nervous system's immune system. Researchers often use Iba1 in Western blots and immunohistochemistry (IHC) to study microglial activation. The protein's expression is a strong marker of microglial activation making it a focal point in neuroinflammation studies. Anti-Iba1 antibodies have gained popularity for their effectiveness in identifying microglia in brain tissue sections through Iba1 staining techniques.
Biological function summary

Iba1 modulates actin bundling facilitating changes in microglial morphology and motility. It does not form part of a multiprotein complex but is significantly involved in cytoskeletal dynamics. This protein's expression increases during brain injury indicating its role in response to neural trauma. Iba1 has calcium-binding properties which suggest that it might interact with proteins involved in calcium signaling pathways.

Pathways

Calcium signaling and actin cytoskeletal rearrangement are significant biological processes that involve Iba1. Within these pathways Iba1 interacts closely with other actin-binding proteins that affect microglial movement and morphology. Such interactions illustrate how Iba1 helps microglia navigate and respond to changes within the brain environment.

Iba1 is often associated with neurodegenerative diseases like Alzheimer's disease and amyotrophic lateral sclerosis (ALS). In these conditions elevated Iba1 levels mark increased microglial activity which correlates with disease progression. Connections with proteins such as amyloid-beta in Alzheimer's disease suggest its role in mediating inflammatory responses and linking inflammation to disease pathology.

Product protocols

For this product, it's our understanding that no specific protocols are required. You can visit:

Target data

Actin-binding protein that enhances membrane ruffling and RAC activation. Enhances the actin-bundling activity of LCP1. Binds calcium. Plays a role in RAC signaling and in phagocytosis. May play a role in macrophage activation and function. Promotes the proliferation of vascular smooth muscle cells and of T-lymphocytes. Enhances lymphocyte migration. Plays a role in vascular inflammation.
See full target information AIF1

Publications (2)

Recent publications for all applications. Explore the full list and refine your search

Oxidative medicine and cellular longevity 2022:8400876 PubMed35387263

2022

Icariside II Attenuates Methamphetamine-Induced Neurotoxicity and Behavioral Impairments via Activating the Keap1-Nrf2 Pathway.

Applications

Unspecified application

Species

Unspecified reactive species

Jian Huang,Jiuyang Ding,Zhuo Wang,Yanning Li,Yitong He,Xiaohan Wang,Haoliang Fan,Qiqian Xie,Pingming Qiu

Immunity 54:1594-1610.e11 PubMed34174183

2021

Deep spatial profiling of human COVID-19 brains reveals neuroinflammation with distinct microanatomical microglia-T-cell interactions.

Applications

Unspecified application

Species

Unspecified reactive species

Marius Schwabenland,Henrike Salié,Jovan Tanevski,Saskia Killmer,Marilyn Salvat Lago,Alexandra Emilia Schlaak,Lena Mayer,Jakob Matschke,Klaus Püschel,Antonia Fitzek,Benjamin Ondruschka,Henrik E Mei,Tobias Boettler,Christoph Neumann-Haefelin,Maike Hofmann,Angele Breithaupt,Nafiye Genc,Christine Stadelmann,Julio Saez-Rodriguez,Peter Bronsert,Klaus-Peter Knobeloch,Thomas Blank,Robert Thimme,Markus Glatzel,Marco Prinz,Bertram Bengsch
View all publications

Product promise

We are committed to supporting your work with high-quality reagents, and we're here for you every step of the way. In the unlikely event that one of our products does not perform as expected, you're protected by our Product Promise.
For full details, please see our Terms & Conditions

Associated Products

Select an associated product type
Alternative Product
Primary Antibodies

AB221003

Alexa Fluor® 568 Anti-Iba1 antibody [EPR6136(2)] - Microglia marker

primary-antibodies

alexa-fluor-568-iba1-antibody-epr61362-microglia-marker-ab221003

3

(1 reviews)

Alternative Product
Primary Antibodies

AB178847

Anti-Iba1 antibody [EPR16589] - Microglia marker

primary-antibodies

iba1-antibody-epr16589-microglia-marker-ab178847

4

(21 reviews)

Alternative Product
Primary Antibodies

AB300156

Anti-Iba1 antibody [EPR16588] - Microglia marker - Rat IgG2a (Chimeric)

primary-antibodies

iba1-antibody-epr16588-microglia-marker-rat-igg2a-chimeric-ab300156

0

(0 reviews)

Alternative Product
Primary Antibodies

AB209942

PE Anti-Iba1 antibody [EPR6136(2)] - Microglia marker

primary-antibodies

pe-iba1-antibody-epr61362-microglia-marker-ab209942

5

(4 reviews)

Alternative Product
Primary Antibodies

AB178680

Anti-Iba1 antibody [EPR6136(2)] - Microglia marker

primary-antibodies

iba1-antibody-epr61362-microglia-marker-ab178680

0

(1 reviews)

Alternative Product
Primary Antibodies

AB195032

Alexa Fluor® 647 Anti-Iba1 antibody [EPR6136(2)] - Microglia marker

primary-antibodies

alexa-fluor-647-iba1-antibody-epr61362-microglia-marker-ab195032

0

(1 reviews)

Alternative Product
Primary Antibodies

AB195031

Alexa Fluor® 488 Anti-Iba1 antibody [EPR6136(2)] - Microglia marker

primary-antibodies

alexa-fluor-488-iba1-antibody-epr61362-microglia-marker-ab195031

0

(0 reviews)

Alternative Version
Primary Antibodies

AB225260

Alexa Fluor® 488 Anti-Iba1 antibody [EPR16588] - Microglia marker

primary-antibodies

alexa-fluor-488-iba1-antibody-epr16588-microglia-marker-ab225260

4

(6 reviews)

Alternative Version
Primary Antibodies

AB225261

Alexa Fluor® 647 Anti-Iba1 antibody [EPR16588] - Microglia marker

primary-antibodies

alexa-fluor-647-iba1-antibody-epr16588-microglia-marker-ab225261

0

(0 reviews)

Please note: All products are 'FOR RESEARCH USE ONLY. NOT FOR USE IN DIAGNOSTIC OR THERAPEUTIC PROCEDURES'.

For licensing inquiries, please contact partnerships@abcam.com