JavaScript is disabled in your browser. Please enable JavaScript to view this website.
AB289874

Anti-Iba1 antibody [EPR16588] - Microglia marker - Goat IgG (Chimeric)

  • BOND RX™ Validated
  • Recombinant
  • Lab Essentials
  • 20ul selling size
  • What is this?

Be the first to review this product! Submit a review

|

(21 Publications)

Anti-Iba1 antibody [EPR16588] - Goat IgG (Chimeric) (ab289874) is a goat monoclonal antibody detecting Aif1 in Flow Cytometry (Intra), Flow Cytometry, IHC-P, ICC/IF. Suitable for House Mouse, Human, Norway Rat.

- Clone EPR16588 is the most cited clone to Aif1

View Alternative Names

Iba1, Aif1, Allograft inflammatory factor 1, AIF-1, Ionized calcium-binding adapter molecule 1

9 Images
Immunohistochemistry (Formalin/PFA-fixed paraffin-embedded sections) - Anti-Iba1 antibody [EPR16588] - Microglia marker - Goat IgG (Chimeric) (AB289874)
  • IHC-P

Lab

Immunohistochemistry (Formalin/PFA-fixed paraffin-embedded sections) - Anti-Iba1 antibody [EPR16588] - Microglia marker - Goat IgG (Chimeric) (AB289874)

Immunohistochemical analysis of paraffin-embedded Human cerebrum tissue labeling Iba1 with ab289874 at 1/1000 dilution, followed by a ready to use LeicaDS9800 (Bond™ Polymer Refine Detection).

Positive staining on microglia in the human cerebrum. The section was incubated with ab289874 for 30 mins at room temperature and followed by specific anti-goat IgG antibody (ab97101) for 8 mins. The immunostaining was performed on a Leica Biosystems BOND® RX instrument.

Counterstained with Hematoxylin.

Secondary antibody only control : Secondary antibody is a ready to use LeicaDS9800 (Bond™ Polymer Refine Detection).

Heat mediated antigen retrieval with Tris-EDTA buffer (pH 9.0, epitope retrieval solution2) for 20 mins.

Flow Cytometry - Anti-Iba1 antibody [EPR16588] - Microglia marker - Goat IgG (Chimeric) (AB289874)
  • Flow Cyt

Lab

Flow Cytometry - Anti-Iba1 antibody [EPR16588] - Microglia marker - Goat IgG (Chimeric) (AB289874)

Flow cytometric analysis of 4% Paraformaldehyde fixed, 90% Methanol permeabilized MCF7 (Human breast adenocarcinoma epithelial cell) / THP-1 (Human monocytic leukemia monocyte) cells labelling Iba1 with ab289874 at 1/1000 compared with a Goat IgG /Black isotype control and an unlabelled control (cells without incubation with primary antibody and secondary antibody).

Donkey anti-Goat IgG (Alexa Fluor®488, ab150133) at 1/2000 was used as the secondary antibody.

Negative control :  MCF7 (PMID : 30386176).

Immunohistochemistry (Formalin/PFA-fixed paraffin-embedded sections) - Anti-Iba1 antibody [EPR16588] - Microglia marker - Goat IgG (Chimeric) (AB289874)
  • IHC-P

Lab

Immunohistochemistry (Formalin/PFA-fixed paraffin-embedded sections) - Anti-Iba1 antibody [EPR16588] - Microglia marker - Goat IgG (Chimeric) (AB289874)

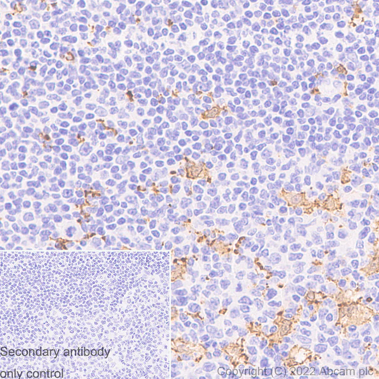
Immunohistochemical analysis of paraffin-embedded Human tonsil tissue labeling Iba1 with ab289874 at 1/1000 dilution, followed by a ready to use LeicaDS9800 (Bond Polymer Refine Detection).

Positive staining on human tonsil. The section was incubated with ab289874 for 30 mins at room temperature and followed by specific anti-goat IgG antibody (ab97101) for 8 mins. The immunostaining was performed on a Leica Biosystems BOND® RX instrument.

Counterstained with Hematoxylin.

Secondary antibody only control : Secondary antibody is a ready to use LeicaDS9800 (Bond Polymer Refine Detection).

Heat mediated antigen retrieval with Tris-EDTA buffer (pH 9.0, epitope retrieval solution2) for 20 mins.

Immunocytochemistry/ Immunofluorescence - Anti-Iba1 antibody [EPR16588] - Microglia marker - Goat IgG (Chimeric) (AB289874)
  • ICC/IF

Lab

Immunocytochemistry/ Immunofluorescence - Anti-Iba1 antibody [EPR16588] - Microglia marker - Goat IgG (Chimeric) (AB289874)

Immunofluorescent analysis of 4% Paraformaldehyde-fixed, 0.1% TritonX-100 permeabilized THP-1 cells labelling Iba1 with ab289874 at 1/100 dilution, followed by Donkey Anti-Goat IgG H&L (Alexa Fluor®488) (ab150129) antibody at 1/500 dilution (Green).

Confocal image showing cytoplasmic and membranous staining in THP-1 cell line. Negative control : MCF7 (PMID : 30386176).

was used to counterstain tubulin at 1/200 dilution (Magenta). The Nuclear counterstain was DAPI (Blue).

Secondary antibody only control : Secondary antibody is Donkey Anti-Goat IgG H&L (Alexa Fluor®488) (ab150129) at 1/500 dilution.

Immunohistochemistry (Formalin/PFA-fixed paraffin-embedded sections) - Anti-Iba1 antibody [EPR16588] - Microglia marker - Goat IgG (Chimeric) (AB289874)
  • IHC-P

Lab

Immunohistochemistry (Formalin/PFA-fixed paraffin-embedded sections) - Anti-Iba1 antibody [EPR16588] - Microglia marker - Goat IgG (Chimeric) (AB289874)

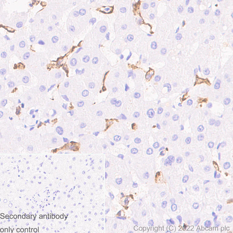
Immunohistochemical analysis of paraffin-embedded Human liver tissue labeling Iba1 with ab289874 at 1/1000 dilution, followed by a ready to use LeicaDS9800 (Bond Polymer Refine Detection).

Positive staining on Kupffer cells in the human liver. The section was incubated with ab289874 for 30 mins at room temperature and followed by specific anti-goat IgG antibody (ab97101) for 8 mins. The immunostaining was performed on a Leica Biosystems BOND®RX instrument.

Counterstained with Hematoxylin.

Secondary antibody only control : Secondary antibody is a ready to use LeicaDS9800 (Bond Polymer Refine Detection).

Heat mediated antigen retrieval with Tris-EDTA buffer (pH 9.0, epitope retrieval solution2) for 20 mins.

Immunohistochemistry (Formalin/PFA-fixed paraffin-embedded sections) - Anti-Iba1 antibody [EPR16588] - Microglia marker - Goat IgG (Chimeric) (AB289874)
  • IHC-P

Lab

Immunohistochemistry (Formalin/PFA-fixed paraffin-embedded sections) - Anti-Iba1 antibody [EPR16588] - Microglia marker - Goat IgG (Chimeric) (AB289874)

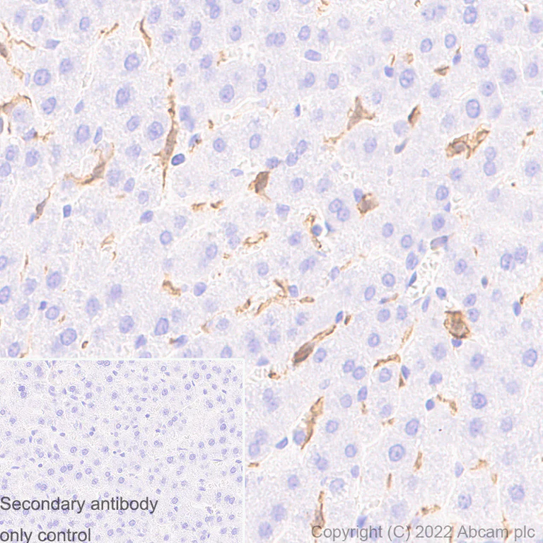
Immunohistochemical analysis of paraffin-embedded Mouse liver tissue labeling Iba1 with ab289874 at 1/1000 dilution, followed by a ready to use LeicaDS9800 (Bond™ Polymer Refine Detection).

Positive staining on Kupffer cells in the mouse liver.

The section was incubated with ab289874 for 30 mins at room temperature and followed by specific anti-goat IgG antibody (ab97101) for 8 mins. The immunostaining was performed on a Leica Biosystems BOND® RX instrument.

Counterstained with Hematoxylin.

Secondary antibody only control : Secondary antibody is a ready to use LeicaDS9800 (Bond™ Polymer Refine Detection).

Heat mediated antigen retrieval with Tris-EDTA buffer (pH 9.0, epitope retrieval solution2) for 20 mins.

Immunohistochemistry (Formalin/PFA-fixed paraffin-embedded sections) - Anti-Iba1 antibody [EPR16588] - Microglia marker - Goat IgG (Chimeric) (AB289874)
  • IHC-P

Lab

Immunohistochemistry (Formalin/PFA-fixed paraffin-embedded sections) - Anti-Iba1 antibody [EPR16588] - Microglia marker - Goat IgG (Chimeric) (AB289874)

Immunohistochemical analysis of paraffin-embedded Mouse cerebrum tissue labeling Iba1 with ab289874 at 1/1000 dilution, followed by a ready to use LeicaDS9800 (Bond Polymer Refine Detection).

Positive staining on microglia in the mouse cerebrum. The section was incubated with ab289874 for 30 mins at room temperature and followed by specific anti-goat IgG antibody (ab97101) for 8 mins. The immunostaining was performed on a Leica Biosystems BOND®RX instrument.

Counterstained with Hematoxylin.

Secondary antibody only control : Secondary antibody is a ready to use LeicaDS9800 (Bond Polymer Refine Detection).

Heat mediated antigen retrieval with Tris-EDTA buffer (pH 9.0, epitope retrieval solution2) for 20 mins.

Immunohistochemistry (Formalin/PFA-fixed paraffin-embedded sections) - Anti-Iba1 antibody [EPR16588] - Microglia marker - Goat IgG (Chimeric) (AB289874)
  • IHC-P

Lab

Immunohistochemistry (Formalin/PFA-fixed paraffin-embedded sections) - Anti-Iba1 antibody [EPR16588] - Microglia marker - Goat IgG (Chimeric) (AB289874)

Immunohistochemical analysis of paraffin-embedded Rat liver tissue labeling Iba1 with ab289874 at 1/1000 dilution, followed by a ready to use LeicaDS9800 (Bond Polymer Refine Detection).

Positive staining on Kupffer cells in the rat liver. The section was incubated with ab289874 for 30 mins at room temperature and followed by specific anti-goat IgG antibody (ab97101) for 8 mins. The immunostaining was performed on a Leica Biosystems BOND®RX instrument.

Counterstained with Hematoxylin.

Secondary antibody only control : Secondary antibody is a ready to use LeicaDS9800 (Bond Polymer Refine Detection).

Heat mediated antigen retrieval with Tris-EDTA buffer (pH 9.0, epitope retrieval solution2) for 20 mins.

Immunohistochemistry (Formalin/PFA-fixed paraffin-embedded sections) - Anti-Iba1 antibody [EPR16588] - Microglia marker - Goat IgG (Chimeric) (AB289874)
  • IHC-P

Lab

Immunohistochemistry (Formalin/PFA-fixed paraffin-embedded sections) - Anti-Iba1 antibody [EPR16588] - Microglia marker - Goat IgG (Chimeric) (AB289874)

Immunohistochemical analysis of paraffin-embedded Rat cerebrum tissue labeling Iba1 with ab289874 at 1/1000 dilution, followed by a ready to use LeicaDS9800 (Bond Polymer Refine Detection).

Positive staining on microglia in the rat cerebrum. The section was incubated with ab289874 for 30 mins at room temperature and followed by specific anti-goat IgG antibody (ab97101) for 8 mins. The immunostaining was performed on a Leica Biosystems BOND®RX instrument.

Counterstained with Hematoxylin.

Secondary antibody only control : Secondary antibody is a ready to use LeicaDS9800 (Bond Polymer Refine Detection).

Heat mediated antigen retrieval with Tris-EDTA buffer (pH 9.0, epitope retrieval solution2) for 20 mins.

Key facts

Host species

Goat

Clonality

Monoclonal

Clone number

EPR16588

Isotype

IgG

Carrier free

No

Reacts with

Human, Mouse, Rat

Applications

IHC-P, ICC/IF, Flow Cyt (Intra)

applications

Immunogen

The exact immunogen used to generate this antibody is proprietary information.

Reactivity data

{ "title": "Reactivity Data", "filters": { "stats": ["", "Species", "Dilution Info", "Notes"], "tabs": { "all-applications": {"fullname" : "All Applications", "shortname": "All Applications"}, "IHCP" : {"fullname" : "Immunohistochemistry (Formalin/PFA-fixed paraffin-embedded sections)", "shortname":"IHC-P"}, "ICCIF" : {"fullname" : "Immunocytochemistry/ Immunofluorescence", "shortname":"ICC/IF"}, "FlowCytIntra" : {"fullname" : "Flow Cytometry (Intracellular)", "shortname":"Flow Cyt (Intra)"} }, "product-promise": { "all": "all", "testedAndGuaranteed": "tested", "guaranteed": "expected", "predicted": "predicted", "notRecommended": "not-recommended" } }, "values": { "Human": { "IHCP-species-checked": "testedAndGuaranteed", "IHCP-species-dilution-info": "1/1000", "IHCP-species-notes": "<p></p> Perform heat-mediated antigen retrieval with Tris/EDTA buffer pH 9.0 before commencing with IHC staining protocol.", "ICCIF-species-checked": "testedAndGuaranteed", "ICCIF-species-dilution-info": "1/100", "ICCIF-species-notes": "<p></p>", "FlowCytIntra-species-checked": "testedAndGuaranteed", "FlowCytIntra-species-dilution-info": "1/1000", "FlowCytIntra-species-notes": "<p></p>" }, "Mouse": { "IHCP-species-checked": "testedAndGuaranteed", "IHCP-species-dilution-info": "1/1000", "IHCP-species-notes": "<p></p> Perform heat-mediated antigen retrieval with Tris/EDTA buffer pH 9.0 before commencing with IHC staining protocol.", "ICCIF-species-checked": "guaranteed", "ICCIF-species-dilution-info": "", "ICCIF-species-notes": "", "FlowCytIntra-species-checked": "guaranteed", "FlowCytIntra-species-dilution-info": "", "FlowCytIntra-species-notes": "" }, "Rat": { "IHCP-species-checked": "testedAndGuaranteed", "IHCP-species-dilution-info": "1/1000", "IHCP-species-notes": "<p></p> Perform heat-mediated antigen retrieval with Tris/EDTA buffer pH 9.0 before commencing with IHC staining protocol.", "ICCIF-species-checked": "guaranteed", "ICCIF-species-dilution-info": "", "ICCIF-species-notes": "", "FlowCytIntra-species-checked": "guaranteed", "FlowCytIntra-species-dilution-info": "", "FlowCytIntra-species-notes": "" } } }

Product details

What is this antibody validated in?
Anti-Iba1 antibody [EPR16588] - Goat IgG (Chimeric) (ab289874) is a goat recombinant monoclonal antibody and is validated for use in Flow Cytometry (Intra), Flow Cytometry (Flow Cyt), Immunohistochemistry (IHC-P), Immunocytochemistry/immunofluorescence (ICC/IF) in House Mouse, Human, Norway Rat samples.

Trial sizes available!
Test your antibody or perform pre-screening before committing to a larger quantity. Sold in 20µl. Discover our selection of trial-size antibodies.

Other related products
We have a range of other formats of antibody clone [EPR16588] also available for your convenience: ab178846, Carrier free - ab220815, Alexa Fluor® 488 - ab225260, Alexa Fluor® 647 - ab225261, ab300156, Carrier free - ab300157, ab318302, Carrier free - ab318305, Alexa Fluor® 750 - ab321218

What are the advantages of a recombinant monoclonal antibody?
This product is a recombinant monoclonal antibody, which offers several advantages including:

  • - High batch-to-batch consistency and reproducibility
  • - Improved sensitivity and specificity
  • - Long-term security of supply
  • - Animal-free batch production

For more information, read more on recombinant antibodies.

Properties and storage information

Form
Liquid
Purification technique
Ion exchange chromatography
Storage buffer
pH: 7.2 - 7.4 Preservative: 0.01% Sodium azide Constituents: PBS, 40% Glycerol (glycerin, glycerine), 0.05% BSA
Shipped at conditions
Blue Ice
Appropriate short-term storage duration
1-2 weeks
Appropriate short-term storage conditions
+4°C
Appropriate long-term storage conditions
-20°C
Aliquoting information
Upon delivery aliquot
Storage information
Avoid freeze / thaw cycle

Supplementary information

This supplementary information is collated from multiple sources and compiled automatically.

Iba1 also known as Allograft Inflammatory Factor 1 (AIF-1) is a 17 kDa protein notable for its involvement in immune responses. It is expressed mainly in microglia and macrophages key components of the central nervous system's immune system. Researchers often use Iba1 in Western blots and immunohistochemistry (IHC) to study microglial activation. The protein's expression is a strong marker of microglial activation making it a focal point in neuroinflammation studies. Anti-Iba1 antibodies have gained popularity for their effectiveness in identifying microglia in brain tissue sections through Iba1 staining techniques.
Biological function summary

Iba1 modulates actin bundling facilitating changes in microglial morphology and motility. It does not form part of a multiprotein complex but is significantly involved in cytoskeletal dynamics. This protein's expression increases during brain injury indicating its role in response to neural trauma. Iba1 has calcium-binding properties which suggest that it might interact with proteins involved in calcium signaling pathways.

Pathways

Calcium signaling and actin cytoskeletal rearrangement are significant biological processes that involve Iba1. Within these pathways Iba1 interacts closely with other actin-binding proteins that affect microglial movement and morphology. Such interactions illustrate how Iba1 helps microglia navigate and respond to changes within the brain environment.

Iba1 is often associated with neurodegenerative diseases like Alzheimer's disease and amyotrophic lateral sclerosis (ALS). In these conditions elevated Iba1 levels mark increased microglial activity which correlates with disease progression. Connections with proteins such as amyloid-beta in Alzheimer's disease suggest its role in mediating inflammatory responses and linking inflammation to disease pathology.

Product protocols

For this product, it's our understanding that no specific protocols are required. You can visit:

Target data

Actin-binding protein that enhances membrane ruffling and RAC activation. Enhances the actin-bundling activity of LCP1. Binds calcium. Plays a role in RAC signaling and in phagocytosis. May play a role in macrophage activation and function. Promotes the proliferation of vascular smooth muscle cells and of T-lymphocytes. Enhances lymphocyte migration. Plays a role in vascular inflammation.
See full target information Aif1

Publications (21)

Recent publications for all applications. Explore the full list and refine your search

Cellular and molecular life sciences : CMLS 82:337 PubMed40913726

2025

Rhapontigenin attenuates neurodegeneration in a parkinson's disease model by downregulating mtDNA-cGAS-STING-NF-κB-mediated neuroinflammation via PINK1/DRP1-dependent microglial mitophagy.

Applications

Unspecified application

Species

Unspecified reactive species

Zhongqiang Su,Hui Shu,Xingting Huang,Liuyan Ding,Fengchu Liang,Zongtang Xu,Ziting Zhu,Minshan Chen,Xiaobei Wang,Guihua Li,Huan Xia,Qiannan Cao,Wenlong Zhang,Pingyi Xu,Xinling Yang

Cell regeneration (London, England) 14:35 PubMed40797111

2025

Integrative analysis and experimental validation identify the role of CD44 and Nucleolin in regulating gliogenesis following spinal cord injury.

Applications

Unspecified application

Species

Unspecified reactive species

Ming Shi,Yazhou Sun,Lu Ding,Xinyue Li,Qi Xu,Fuxin Wei,Tianshun Gao,David Y B Deng

Science advances 11:eadw6867 PubMed40768577

2025

Soluble N-terminal region of prion protein causes rapid neurodegeneration in prion disease.

Applications

Unspecified application

Species

Unspecified reactive species

Runchuan Yan,Yan Zhang,Jingjing Zhang,Xiangyi Zhang,Yue Han,Mengfei Wang,Dan Wang,Shengnan Huang,Wei Liu,Qi Shi,Xiaoping Dong,Wen-Quan Zou,Zhen Li,Jiyan Ma

Journal of neuroinflammation 22:168 PubMed40581647

2025

Exercise-induced irisin ameliorates cognitive impairment following chronic cerebral hypoperfusion by suppressing neuroinflammation and hippocampal neuronal apoptosis.

Applications

Unspecified application

Species

Unspecified reactive species

Weiping Xiao,Yibing Yang,Lu Bai,Peixuan Yang,Runze Li,Daizhi Yang,Fanying Li,Lingzhi Quan,Qiupeng Liang,Yan Yan,Tiewei Qi,Feng Liang

Cellular and molecular life sciences : CMLS 82:259 PubMed40579608

2025

Piezo1 disrupts blood-brain barrier via CaMKII/Nrf2 in ischemic stroke.

Applications

Unspecified application

Species

Unspecified reactive species

Huimin Fu,Yang Yu,Shangyuan Wang,Peixian Xu,Yuting Sun,Jiaqi Li,Xiaoli Ge,Shuming Pan

Cells 14: PubMed40498020

2025

Soluble β-Amyloid Oligomers Selectively Upregulate TRPC3 in Excitatory Neurons via Calcineurin-Coupled NFAT.

Applications

Unspecified application

Species

Unspecified reactive species

Zhengjun Wang,Dongyi Ding,Jiaxing Wang,Ling Chen,Qingming Dong,Moumita Khamrai,Yuyang Zhou,Akihiro Ishii,Kazuko Sakata,Wei Li,Jianyang Du,Thirumalini Vaithianathan,Fu-Ming Zhou,Francesca-Fang Liao

Journal of neuroinflammation 22:111 PubMed40251630

2025

Phosphatidate phosphatase Lipin1 alters mitochondria-associated endoplasmic reticulum membranes (MAMs) homeostasis: effects which contribute to the development of diabetic encephalopathy.

Applications

Unspecified application

Species

Unspecified reactive species

Shan Huang,Mengyu Hua,Wei Liu,Ziyun Zhuang,Xiaolin Han,Xiaochen Zhang,Zhonghao Liang,Xiaojing Liu,Nengjun Lou,Shuyan Yu,Shihong Chen,Xianghua Zhuang

Molecular medicine (Cambridge, Mass.) 31:130 PubMed40197156

2025

GluR2 overexpression in ACC glutamatergic neurons alleviates cancer-induced bone pain in rats.

Applications

Unspecified application

Species

Unspecified reactive species

Futing Ba,Jinrong Wei,Qi-Yan Feng,Chen-Yang Yu,Meng-Xue Song,Shufen Hu,Guang-Yin Xu,Hai-Long Zhang,Guo-Qin Jiang

Alzheimer's & dementia : the journal of the Alzheimer's Association 21:e14616 PubMed40109001

2025

HDAC11 displays neuropathological alterations and offers as a novel drug target for Alzheimer's disease.

Applications

Unspecified application

Species

Unspecified reactive species

Ping Bai,Prasenjit Mondal,Yan Liu,Ashley Gomm,Claire Suen,Liuyue Yang,Biyue Zhu,Haoqi Sun,Chongzhao Ran,Shiqian Shen,Rudolph E Tanzi,Can Zhang,Changning Wang

CNS neuroscience & therapeutics 31:e70322 PubMed40059065

2025

CPCGI Alleviates Neural Damage by Modulating Microglial Pyroptosis After Traumatic Brain Injury.

Applications

Unspecified application

Species

Unspecified reactive species

Lu-Lu Yu,Lei Sun,Ting-Ting Yu,An-Chen Guo,Jian-Ping Wu,Jun-Min Chen,Qun Wang
View all publications

Product promise

We are committed to supporting your work with high-quality reagents, and we're here for you every step of the way. In the unlikely event that one of our products does not perform as expected, you're protected by our Product Promise.
For full details, please see our Terms & Conditions

Please note: All products are 'FOR RESEARCH USE ONLY. NOT FOR USE IN DIAGNOSTIC OR THERAPEUTIC PROCEDURES'.

For licensing inquiries, please contact partnerships@abcam.com