JavaScript is disabled in your browser. Please enable JavaScript to view this website.
AB300156

Anti-Iba1 antibody [EPR16588] - Microglia marker - Rat IgG2a (Chimeric)

  • BOND RX™ Validated
  • Recombinant
  • Lab Essentials
  • 20ul selling size
  • What is this?

Be the first to review this product! Submit a review

|

(2 Publications)

Rat Recombinant Monoclonal Iba1 antibody. Suitable for IHC-P, Flow Cyt (Intra) and reacts with Human, Mouse, Rat samples. Cited in 2 publications.

View Alternative Names

G1, IBA1, AIF1, Allograft inflammatory factor 1, AIF-1, Ionized calcium-binding adapter molecule 1, Protein G1, iba1, iba-1, iba 1

9 Images
Immunohistochemistry (Formalin/PFA-fixed paraffin-embedded sections) - Anti-Iba1 antibody [EPR16588] - Microglia marker - Rat IgG2a (Chimeric) (AB300156)
  • IHC-P

Supplier Data

Immunohistochemistry (Formalin/PFA-fixed paraffin-embedded sections) - Anti-Iba1 antibody [EPR16588] - Microglia marker - Rat IgG2a (Chimeric) (AB300156)

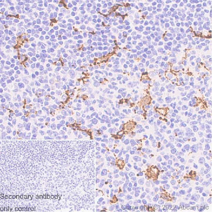
Immunohistochemical analysis of paraffin-embedded Human tonsil tissue labeling Iba1 with ab300156 at 1/10000 (0.108 ug/ml) followed by a ready to use LeicaDS9800 (Bond™ Polymer Refine Detection). Positive staining on human tonsil. The section was incubated with ab300156 for 30 mins at room temperature, followed by anti-Rat IgG antibody (ab102248) for 8 mins during the LeicaDS9800 kit staining procedure. The immunostaining was performed on a Leica Biosystems BOND® RX instrument Counterstained with Hematoxylin. Secondary antibody only control : Secondary antibody is a ready to use LeicaDS9800 (Bond™ Polymer Refine Detection).Heat mediated antigen retrieval with Tris-EDTA buffer (pH 9.0, epitope retrieval solution2) for 20 mins

Flow Cytometry (Intracellular) - Anti-Iba1 antibody [EPR16588] - Microglia marker - Rat IgG2a (Chimeric) (AB300156)
  • Flow Cyt (Intra)

Supplier Data

Flow Cytometry (Intracellular) - Anti-Iba1 antibody [EPR16588] - Microglia marker - Rat IgG2a (Chimeric) (AB300156)

Flow cytometric analysis of 4% paraformaldehyde fixed 90% methanol permeabilized MCF7 (Human breast adenocarcinoma epithelial cell) / THP-1 (Human monocytic leukemia monocyte) cells labelling Iba1 with ab300156 at 1/1000 dilution (0.1ug) (Red) compared with a Rat monoclonal IgG (Black) isotype control and an unlabelled control (cells without incubation with primary antibody and secondary antibody) (Blue). A Goat Anti-Rat IgG Fc (DyLight 488, ab96971) at 1/2000 dilution was used as the secondary antibody. Negative control : MCF7 (PMID : 30386176)

Immunohistochemistry (Formalin/PFA-fixed paraffin-embedded sections) - Anti-Iba1 antibody [EPR16588] - Microglia marker - Rat IgG2a (Chimeric) (AB300156)
  • IHC-P

Supplier Data

Immunohistochemistry (Formalin/PFA-fixed paraffin-embedded sections) - Anti-Iba1 antibody [EPR16588] - Microglia marker - Rat IgG2a (Chimeric) (AB300156)

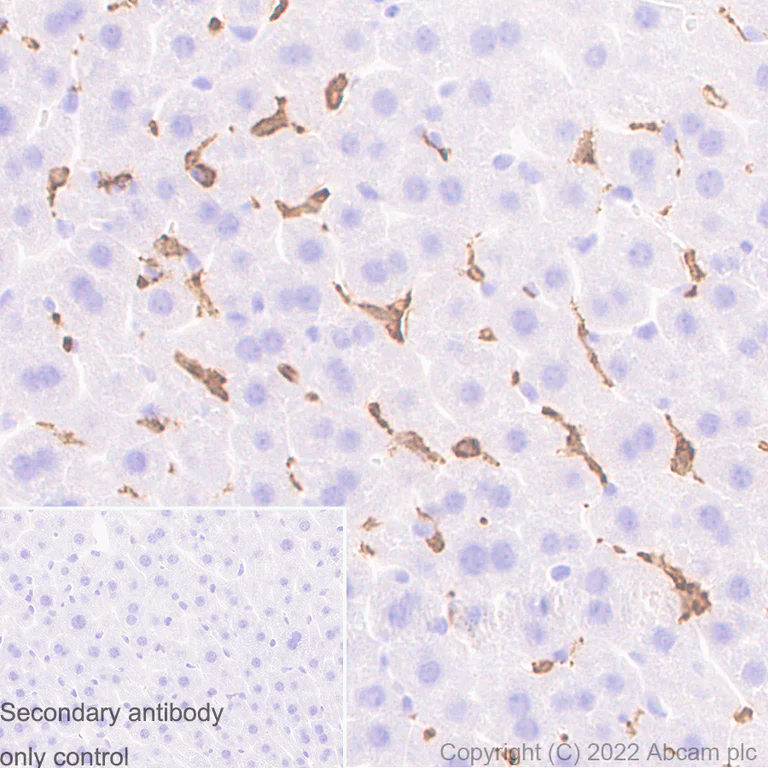
Immunohistochemical analysis of paraffin-embedded Human liver tissue labeling Iba1 with ab300156 at 1/10000 (0.108 ug/ml) followed by a ready to use LeicaDS9800 (Bond™ Polymer Refine Detection). Positive staining on Kupffer cells in the human liver. The section was incubated with ab300156 for 30 mins at room temperature, followed by anti-Rat IgG antibody (ab102248) for 8 mins during the LeicaDS9800 kit staining procedure. The immunostaining was performed on a Leica Biosystems BOND® RX instrument Counterstained with Hematoxylin. Secondary antibody only control : Secondary antibody is a ready to use LeicaDS9800 (Bond™ Polymer Refine Detection).Heat mediated antigen retrieval with Tris-EDTA buffer (pH 9.0, epitope retrieval solution2) for 20 mins

Immunohistochemistry (Formalin/PFA-fixed paraffin-embedded sections) - Anti-Iba1 antibody [EPR16588] - Microglia marker - Rat IgG2a (Chimeric) (AB300156)
  • IHC-P

Lab

Immunohistochemistry (Formalin/PFA-fixed paraffin-embedded sections) - Anti-Iba1 antibody [EPR16588] - Microglia marker - Rat IgG2a (Chimeric) (AB300156)

Composite multiplex immunofluorescence staining of Iba1, GFAP and MAP2 staining in a section of formalin-fixed paraffin-embedded human cerebral cortex*.

Performed on a Leica BOND. The section was pre-treated using heat mediated antigen retrieval with Sodium citrate (Ph6.0) using retrieval settings of 100°C for 20 minutes. The section was then incubated at room temperature for 1 hour with ab300156 at 1µg/ml dilution (shown in green), ab183830 at 1µg/ml (shown in magenta), and ab302644 at 1µg/ml (shown in yellow). Then incubated for 1 hour with ab150161 Goat F(ab')2 Anti-Rat IgG Fc (Alexa Fluor® 488) preadsorbed 1/1000, ab150083 Goat Anti-Rabbit IgG H&L (Alexa Fluor® 647) preadsorbed 1/1000, and ab150134 Donkey Anti-Goat IgG H&L (Alexa Fluor® 555) preadsorbed 1/1000. Nuclear DNA was labelled with DAPI (shown in blue). The section was then mounted using Dako Fluorescence Mounting Medium ®.

Image was taken with the EVOS™ S1000 Spatial Imaging System (ThermoFisher Scientific) with spectral unmixing and minor subsequent contrast adjustment.

For other IHC staining systems (automated and non-automated), customers should optimize variable parameters such as antigen retrieval conditions, antibody concentrations and incubation times.

*Tissue obtained from the Human Research Tissue Bank, supported by the NIHR Cambridge Biomedical Research Centre.

Immunohistochemistry (Formalin/PFA-fixed paraffin-embedded sections) - Anti-Iba1 antibody [EPR16588] - Microglia marker - Rat IgG2a (Chimeric) (AB300156)
  • IHC-P

Supplier Data

Immunohistochemistry (Formalin/PFA-fixed paraffin-embedded sections) - Anti-Iba1 antibody [EPR16588] - Microglia marker - Rat IgG2a (Chimeric) (AB300156)

Immunohistochemical analysis of paraffin-embedded Human cerebrum tissue labeling Iba1 with ab300156 at 1/10000 (0.108 ug/ml) followed by a ready to use LeicaDS9800 (Bond™ Polymer Refine Detection). Positive staining on microglia in the human cerebrum. The section was incubated with ab300156 for 30 mins at room temperature, followed by anti-Rat IgG antibody (ab102248) for 8 mins during the LeicaDS9800 kit staining procedure. The immunostaining was performed on a Leica Biosystems BOND® RX instrument Counterstained with Hematoxylin. Secondary antibody only control : Secondary antibody is a ready to use LeicaDS9800 (Bond™ Polymer Refine Detection).Heat mediated antigen retrieval with Tris-EDTA buffer (pH 9.0, epitope retrieval solution2) for 20 mins

Immunohistochemistry (Formalin/PFA-fixed paraffin-embedded sections) - Anti-Iba1 antibody [EPR16588] - Microglia marker - Rat IgG2a (Chimeric) (AB300156)
  • IHC-P

Supplier Data

Immunohistochemistry (Formalin/PFA-fixed paraffin-embedded sections) - Anti-Iba1 antibody [EPR16588] - Microglia marker - Rat IgG2a (Chimeric) (AB300156)

Immunohistochemical analysis of paraffin-embedded Rat cerebrum tissue labeling Iba1 with ab300156 at 1/10000 (0.108 ug/ml) followed by a ready to use LeicaDS9800 (Bond™ Polymer Refine Detection). Positive staining on microglia in the rat cerebrum. The section was incubated with ab300156 for 30 mins at room temperature, followed by anti-Rat IgG antibody (ab102248) for 8 mins during the LeicaDS9800 kit staining procedure. The immunostaining was performed on a Leica Biosystems BOND® RX instrument Counterstained with Hematoxylin. Secondary antibody only control : Secondary antibody is a ready to use LeicaDS9800 (Bond™ Polymer Refine Detection).Heat mediated antigen retrieval with Tris-EDTA buffer (pH 9.0, epitope retrieval solution2) for 20 mins

Immunohistochemistry (Formalin/PFA-fixed paraffin-embedded sections) - Anti-Iba1 antibody [EPR16588] - Microglia marker - Rat IgG2a (Chimeric) (AB300156)
  • IHC-P

Supplier Data

Immunohistochemistry (Formalin/PFA-fixed paraffin-embedded sections) - Anti-Iba1 antibody [EPR16588] - Microglia marker - Rat IgG2a (Chimeric) (AB300156)

Immunohistochemical analysis of paraffin-embedded Mouse cerebrum tissue labeling Iba1 with ab300156 at 1/10000 (0.108 ug/ml) followed by a ready to use LeicaDS9800 (Bond™ Polymer Refine Detection). Positive staining on microglia in the mouse cerebrum. The section was incubated with ab300156 for 30 mins at room temperature, followed by anti-Rat IgG antibody (ab102248) for 8 mins during the LeicaDS9800 kit staining procedure. The immunostaining was performed on a Leica Biosystems BOND® RX instrument Counterstained with Hematoxylin. Secondary antibody only control : Secondary antibody is a ready to use LeicaDS9800 (Bond™ Polymer Refine Detection).Heat mediated antigen retrieval with Tris-EDTA buffer (pH 9.0, epitope retrieval solution2) for 20 mins

Immunohistochemistry (Formalin/PFA-fixed paraffin-embedded sections) - Anti-Iba1 antibody [EPR16588] - Microglia marker - Rat IgG2a (Chimeric) (AB300156)
  • IHC-P

Supplier Data

Immunohistochemistry (Formalin/PFA-fixed paraffin-embedded sections) - Anti-Iba1 antibody [EPR16588] - Microglia marker - Rat IgG2a (Chimeric) (AB300156)

Immunohistochemical analysis of paraffin-embedded Mouse liver tissue labeling Iba1 with ab300156 at 1/10000 (0.108 ug/ml) followed by a ready to use LeicaDS9800 (Bond™ Polymer Refine Detection). Positive staining on Kupffer cells in the mouse liver. The section was incubated with ab300156 for 30 mins at room temperature, followed by anti-Rat IgG antibody (ab102248) for 8 mins during the LeicaDS9800 kit staining procedure. The immunostaining was performed on a Leica Biosystems BOND® RX instrument Counterstained with Hematoxylin. Secondary antibody only control : Secondary antibody is a ready to use LeicaDS9800 (Bond™ Polymer Refine Detection).Heat mediated antigen retrieval with Tris-EDTA buffer (pH 9.0, epitope retrieval solution2) for 20 mins

Immunohistochemistry (Formalin/PFA-fixed paraffin-embedded sections) - Anti-Iba1 antibody [EPR16588] - Microglia marker - Rat IgG2a (Chimeric) (AB300156)
  • IHC-P

Supplier Data

Immunohistochemistry (Formalin/PFA-fixed paraffin-embedded sections) - Anti-Iba1 antibody [EPR16588] - Microglia marker - Rat IgG2a (Chimeric) (AB300156)

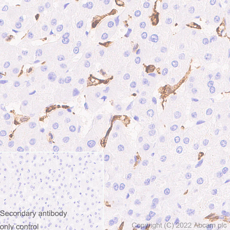
Immunohistochemical analysis of paraffin-embedded Rat liver tissue labeling Iba1 with ab300156 at 1/10000 (0.108 ug/ml) followed by a ready to use LeicaDS9800 (Bond™ Polymer Refine Detection). Positive staining on Kupffer cells in the rat liver. The section was incubated with ab300156 for 30 mins at room temperature, followed by anti-Rat IgG antibody (ab102248) for 8 mins during the LeicaDS9800 kit staining procedure. The immunostaining was performed on a Leica Biosystems BOND® RX instrument Counterstained with Hematoxylin. Secondary antibody only control : Secondary antibody is a ready to use LeicaDS9800 (Bond™ Polymer Refine Detection).Heat mediated antigen retrieval with Tris-EDTA buffer (pH 9.0, epitope retrieval solution2) for 20 mins

Key facts

Host species

Rat

Clonality

Monoclonal

Clone number

EPR16588

Isotype

IgG2a

Carrier free

No

Reacts with

Human, Mouse, Rat

Applications

Flow Cyt (Intra), IHC-P

applications

Immunogen

The exact immunogen used to generate this antibody is proprietary information.

Reactivity data

{ "title": "Reactivity Data", "filters": { "stats": ["", "Species", "Dilution Info", "Notes"], "tabs": { "all-applications": {"fullname" : "All Applications", "shortname": "All Applications"}, "WB" : {"fullname" : "Western blot", "shortname":"WB"}, "IHCP" : {"fullname" : "Immunohistochemistry (Formalin/PFA-fixed paraffin-embedded sections)", "shortname":"IHC-P"}, "ICCIF" : {"fullname" : "Immunocytochemistry/ Immunofluorescence", "shortname":"ICC/IF"}, "FlowCytIntra" : {"fullname" : "Flow Cytometry (Intracellular)", "shortname":"Flow Cyt (Intra)"} }, "product-promise": { "all": "all", "testedAndGuaranteed": "tested", "guaranteed": "expected", "predicted": "predicted", "notRecommended": "not-recommended" } }, "values": { "Human": { "WB-species-checked": "notRecommended", "WB-species-dilution-info": "", "WB-species-notes": "<p></p>", "IHCP-species-checked": "testedAndGuaranteed", "IHCP-species-dilution-info": "1/10000", "IHCP-species-notes": "<p></p> Perform heat-mediated antigen retrieval with Tris/EDTA buffer pH 9.0 before commencing with IHC staining protocol.", "ICCIF-species-checked": "notRecommended", "ICCIF-species-dilution-info": "", "ICCIF-species-notes": "<p></p>", "FlowCytIntra-species-checked": "testedAndGuaranteed", "FlowCytIntra-species-dilution-info": "1/1000", "FlowCytIntra-species-notes": "<p></p>" }, "Mouse": { "WB-species-checked": "notRecommended", "WB-species-dilution-info": "", "WB-species-notes": "<p></p>", "IHCP-species-checked": "testedAndGuaranteed", "IHCP-species-dilution-info": "1/10000", "IHCP-species-notes": "<p></p> Perform heat-mediated antigen retrieval with Tris/EDTA buffer pH 9.0 before commencing with IHC staining protocol.", "ICCIF-species-checked": "notRecommended", "ICCIF-species-dilution-info": "", "ICCIF-species-notes": "", "FlowCytIntra-species-checked": "guaranteed", "FlowCytIntra-species-dilution-info": "", "FlowCytIntra-species-notes": "" }, "Rat": { "WB-species-checked": "notRecommended", "WB-species-dilution-info": "", "WB-species-notes": "<p></p>", "IHCP-species-checked": "testedAndGuaranteed", "IHCP-species-dilution-info": "1/10000", "IHCP-species-notes": "<p></p> Perform heat-mediated antigen retrieval with Tris/EDTA buffer pH 9.0 before commencing with IHC staining protocol.", "ICCIF-species-checked": "notRecommended", "ICCIF-species-dilution-info": "", "ICCIF-species-notes": "", "FlowCytIntra-species-checked": "guaranteed", "FlowCytIntra-species-dilution-info": "", "FlowCytIntra-species-notes": "" } } }

Product details

Find all reagents to label astrocytes in our "Microglia markers guide".

This rat monoclonal chimeric antibody has been engineered from RabMab parent antibody (ab178846). By necessity, some rabbit sequence is retained as part of the variable domain. When multiplexing with other rabbit-derived antibodies, using across absorbed Fc-reactive secondary antibodies are recommended.

ab300156 does not react in: WB with human, mouse, and rat samples; ICC-IF with human tissues.

What are the advantages of a recombinant monoclonal antibody?
This product is a recombinant monoclonal antibody, which offers several advantages including:

  • - High batch-to-batch consistency and reproducibility
  • - Improved sensitivity and specificity
  • - Long-term security of supply
  • - Animal-free batch production

For more information, read more on recombinant antibodies.

Want a custom formulation?
This antibody clone is manufactured by Abcam. If you require a custom buffer formulation or conjugation for your experiments, please contact orders@abcam.com

Properties and storage information

Form
Liquid
Purification technique
Ion exchange chromatography
Storage buffer
pH: 7.2 - 7.4 Preservative: 0.01% Sodium azide Constituents: PBS, 40% Glycerol (glycerin, glycerine), 0.05% BSA
Shipped at conditions
Blue Ice
Appropriate short-term storage duration
1-2 weeks
Appropriate short-term storage conditions
+4°C
Appropriate long-term storage conditions
-20°C
Aliquoting information
Upon delivery aliquot
Storage information
Avoid freeze / thaw cycle

Supplementary information

This supplementary information is collated from multiple sources and compiled automatically.

Iba1 also known as Allograft Inflammatory Factor 1 (AIF-1) is a 17 kDa protein notable for its involvement in immune responses. It is expressed mainly in microglia and macrophages key components of the central nervous system's immune system. Researchers often use Iba1 in Western blots and immunohistochemistry (IHC) to study microglial activation. The protein's expression is a strong marker of microglial activation making it a focal point in neuroinflammation studies. Anti-Iba1 antibodies have gained popularity for their effectiveness in identifying microglia in brain tissue sections through Iba1 staining techniques.
Biological function summary

Iba1 modulates actin bundling facilitating changes in microglial morphology and motility. It does not form part of a multiprotein complex but is significantly involved in cytoskeletal dynamics. This protein's expression increases during brain injury indicating its role in response to neural trauma. Iba1 has calcium-binding properties which suggest that it might interact with proteins involved in calcium signaling pathways.

Pathways

Calcium signaling and actin cytoskeletal rearrangement are significant biological processes that involve Iba1. Within these pathways Iba1 interacts closely with other actin-binding proteins that affect microglial movement and morphology. Such interactions illustrate how Iba1 helps microglia navigate and respond to changes within the brain environment.

Iba1 is often associated with neurodegenerative diseases like Alzheimer's disease and amyotrophic lateral sclerosis (ALS). In these conditions elevated Iba1 levels mark increased microglial activity which correlates with disease progression. Connections with proteins such as amyloid-beta in Alzheimer's disease suggest its role in mediating inflammatory responses and linking inflammation to disease pathology.

Product protocols

For this product, it's our understanding that no specific protocols are required. You can visit:

Target data

Actin-binding protein that enhances membrane ruffling and RAC activation. Enhances the actin-bundling activity of LCP1. Binds calcium. Plays a role in RAC signaling and in phagocytosis. May play a role in macrophage activation and function. Promotes the proliferation of vascular smooth muscle cells and of T-lymphocytes. Enhances lymphocyte migration. Plays a role in vascular inflammation.
See full target information AIF1

Publications (2)

Recent publications for all applications. Explore the full list and refine your search

Molecular neurodegeneration 20:32 PubMed40082954

2025

Probe-dependent Proximity Profiling (ProPPr) Uncovers Similarities and Differences in Phospho-Tau-Associated Proteomes Between Tauopathies.

Applications

Unspecified application

Species

Unspecified reactive species

Dmytro Morderer,Melissa C Wren,Feilin Liu,Naomi Kouri,Anastasiia Maistrenko,Bilal Khalil,Nora Pobitzer,Michelle R Salemi,Brett S Phinney,Guojun Bu,Na Zhao,Dennis W Dickson,Melissa E Murray,Wilfried Rossoll

BMC nephrology 26:18 PubMed39799338

2025

Risk factors for radial artery calcification in patients with and without uremia.

Applications

Unspecified application

Species

Unspecified reactive species

Jian-Bing Hao,Si-Yu Wang,Tong Chen,Bo Yuan,Li-Rong Hao
View all publications

Product promise

We are committed to supporting your work with high-quality reagents, and we're here for you every step of the way. In the unlikely event that one of our products does not perform as expected, you're protected by our Product Promise.
For full details, please see our Terms & Conditions

Please note: All products are 'FOR RESEARCH USE ONLY. NOT FOR USE IN DIAGNOSTIC OR THERAPEUTIC PROCEDURES'.

For licensing inquiries, please contact partnerships@abcam.com