JavaScript is disabled in your browser. Please enable JavaScript to view this website.
AB283319

Anti-Iba1 antibody [EPR16589] - Microglia marker - Mouse IgG1 (Chimeric)

  • BOND RX™ Validated
  • Lab Essentials
  • 20ul selling size
  • What is this?

5

(3 Reviews)

|

(142 Publications)

Anti-Iba1 antibody [EPR16589] - Mouse IgG1 (Chimeric) (ab283319) is a mouse monoclonal antibody detecting Iba1 in Western Blot, Flow Cytometry (Intra), Flow Cytometry, IP, IHC-P, ICC/IF. Suitable for Human, Mouse, Rat.

- Biophysical QC for unrivalled batch-batch consistency
- Over 20 publications

View Alternative Names

G1, IBA1, AIF1, Allograft inflammatory factor 1, AIF-1, Ionized calcium-binding adapter molecule 1, Protein G1, iba1, iba-1, iba 1

8 Images
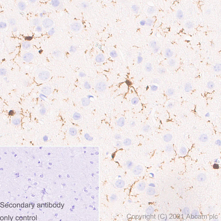
Immunohistochemistry (Formalin/PFA-fixed paraffin-embedded sections) - Anti-Iba1 antibody [EPR16589] - Microglia marker - Mouse IgG1 (Chimeric) (AB283319)
  • IHC-P

Supplier Data

Immunohistochemistry (Formalin/PFA-fixed paraffin-embedded sections) - Anti-Iba1 antibody [EPR16589] - Microglia marker - Mouse IgG1 (Chimeric) (AB283319)

Immunohistochemical analysis of paraffin-embedded Rat cerebrum tissue labeling Iba1 with ab283319 at 1/10000 (0.114 ug/ml) dilution followed by a ready to use LeicaDS9800 (Bond™ Polymer Refine Detection). Positive staining on the microglia in rat cerebrum. The section was incubated with ab283319 for 10 mins at room temperature and followed by mouse specific IgG antibody (ab125913) for 8 mins. The immunostaining was performed on a Leica Biosystems BOND® RX instrument Counterstained with Hematoxylin.

Secondary antibody only control : Secondary antibody is a ready to use LeicaDS9800 (Bond™ Polymer Refine Detection).

Heat mediated antigen retrieval with Citrate buffer (pH 6.0, epitope retrieval solution 1) for 20 mins

Flow Cytometry (Intracellular) - Anti-Iba1 antibody [EPR16589] - Microglia marker - Mouse IgG1 (Chimeric) (AB283319)
  • Flow Cyt (Intra)

Supplier Data

Flow Cytometry (Intracellular) - Anti-Iba1 antibody [EPR16589] - Microglia marker - Mouse IgG1 (Chimeric) (AB283319)

Flow cytometric analysis of 4% paraformaldehyde fixed 90% methanol permeabilized MCF7 (Human breast adenocarcinoma epithelial cell, Left) / THP-1 (Human monocytic leukemia monocyte, Right) cells labelling Iba1 with ab283319 at 1/10000 dilution (0.01ug) (Red) compared with a Mouse monoclonal IgG (Black) isotype control and an unlabelled control (cells without incubation with primary antibody and secondary antibody) (Blue). A Goat anti mouse IgG (Alexa Fluor® 488, ab150113) at 1/2000 dilution was used as the secondary antibody.

Negative control : MCF7.

Immunohistochemistry (Formalin/PFA-fixed paraffin-embedded sections) - Anti-Iba1 antibody [EPR16589] - Microglia marker - Mouse IgG1 (Chimeric) (AB283319)
  • IHC-P

Supplier Data

Immunohistochemistry (Formalin/PFA-fixed paraffin-embedded sections) - Anti-Iba1 antibody [EPR16589] - Microglia marker - Mouse IgG1 (Chimeric) (AB283319)

Immunohistochemical analysis of paraffin-embedded Human cerebrum tissue labeling Iba1 with ab283319 at 1/10000 (0.114 ug/ml) dilution followed by a ready to use LeicaDS9800 (Bond™ Polymer Refine Detection). Positive staining on the microglia in human cerebrum. The section was incubated with ab283319 for 10 mins at room temperature and followed by mouse specific IgG antibody (ab125913) for 8 mins. The immunostaining was performed on a Leica Biosystems BOND® RX instrument Counterstained with Hematoxylin.

Secondary antibody only control : Secondary antibody is a ready to use LeicaDS9800 (Bond™ Polymer Refine Detection).

Heat mediated antigen retrieval with Citrate buffer (pH 6.0, epitope retrieval solution 1) for 20 mins

Immunohistochemistry (Formalin/PFA-fixed paraffin-embedded sections) - Anti-Iba1 antibody [EPR16589] - Microglia marker - Mouse IgG1 (Chimeric) (AB283319)
  • IHC-P

Supplier Data

Immunohistochemistry (Formalin/PFA-fixed paraffin-embedded sections) - Anti-Iba1 antibody [EPR16589] - Microglia marker - Mouse IgG1 (Chimeric) (AB283319)

Immunohistochemical analysis of paraffin-embedded Human endometrium tissue labeling Iba1 with ab283319 at 1/10000 (0.114 ug/ml) dilution followed by a ready to use LeicaDS9800 (Bond™ Polymer Refine Detection). Positive staining on the immune cells in human endometrium. The section was incubated with ab283319 for 10 mins at room temperature and followed by mouse specific IgG antibody (ab125913) for 8 mins. The immunostaining was performed on a Leica Biosystems BOND® RX instrument Counterstained with Hematoxylin.

Secondary antibody only control : Secondary antibody is a ready to use LeicaDS9800 (Bond™ Polymer Refine Detection).

Heat mediated antigen retrieval with Citrate buffer (pH 6.0, epitope retrieval solution 1) for 20 mins

Immunocytochemistry/ Immunofluorescence - Anti-Iba1 antibody [EPR16589] - Microglia marker - Mouse IgG1 (Chimeric) (AB283319)
  • ICC/IF

Supplier Data

Immunocytochemistry/ Immunofluorescence - Anti-Iba1 antibody [EPR16589] - Microglia marker - Mouse IgG1 (Chimeric) (AB283319)

Immunofluorescent analysis of 4% Paraformaldehyde-fixed, 0.1% TritonX-100 permeabilized THP-1 cells labelling Iba1 with ab283319 at 1/100 (11.36 ug/ml) dilution, followed by ab150113 Goat Anti-Mouse IgG H&L (Alexa Fluor® 488) antibody at 1/1000 dilution (Green). ab179513 Anti-beta Tubulin rabbit monoclonal antibody was used to counterstain tubulin at 1/200 dilution (Red). The Nuclear counterstain was DAPI (Blue). Confocal image showing cytoplasmic staining in THP-1 cells.

Negative control : MCF7

Secondary antibody only control : Secondary antibody is ab150113 Goat Anti-Mouse IgG H&L (Alexa Fluor® 488) at 1/1000 dilution.

Immunohistochemistry (Formalin/PFA-fixed paraffin-embedded sections) - Anti-Iba1 antibody [EPR16589] - Microglia marker - Mouse IgG1 (Chimeric) (AB283319)
  • IHC-P

Supplier Data

Immunohistochemistry (Formalin/PFA-fixed paraffin-embedded sections) - Anti-Iba1 antibody [EPR16589] - Microglia marker - Mouse IgG1 (Chimeric) (AB283319)

Immunohistochemical analysis of paraffin-embedded Mouse cerebrum tissue labeling Iba1 with ab283319 at 1/10000 (0.114 ug/ml) dilution followed by a ready to use LeicaDS9800 (Bond™ Polymer Refine Detection). Positive staining on the microglia in mouse cerebrum. The section was incubated with ab283319 for 10 mins at room temperature and followed by mouse specific IgG antibody (ab125913) for 8 mins. The immunostaining was performed on a Leica Biosystems BOND® RX instrument Counterstained with Hematoxylin.

Secondary antibody only control : Secondary antibody is a ready to use LeicaDS9800 (Bond™ Polymer Refine Detection).

Heat mediated antigen retrieval with Citrate buffer (pH 6.0, epitope retrieval solution 1) for 20 mins

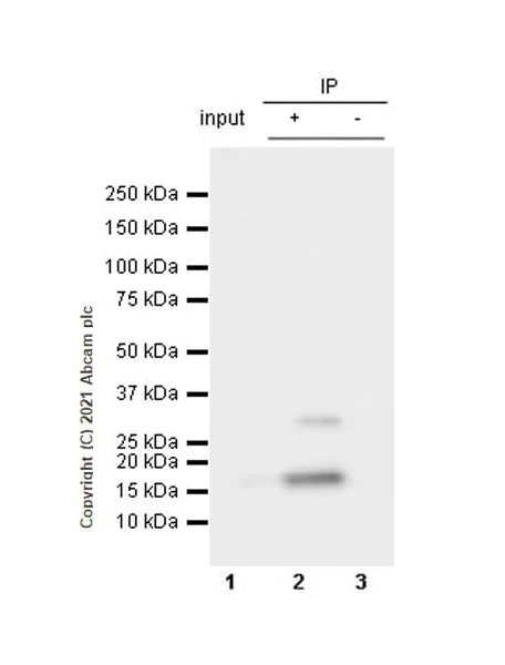
Immunoprecipitation - Anti-Iba1 antibody [EPR16589] - Microglia marker - Mouse IgG1 (Chimeric) (AB283319)
  • IP

Supplier Data

Immunoprecipitation - Anti-Iba1 antibody [EPR16589] - Microglia marker - Mouse IgG1 (Chimeric) (AB283319)

Iba1 was immunoprecipitated from 0.35 mg THP-1 (human monocytic leukemia monocyte), whole cell lysate 10 ug with ab283319 at 1/30 dilution (2ug in 0.35mg lysates). Western blot was performed on the immunoprecipitate using ab283319 at 1/1000 dilution. mouse IgG for IP (HRP) (ab131368) was used at 1/10000 dilution.

Lane 1 : THP-1 (human monocytic leukemia monocyte), whole cell lysate 10 ug

Lane 2 : ab283319 IP in THP-1 whole cell lysate

Lane 3 : Mouse monoclonal IgG (ab18443) instead of ab283319 in THP-1 whole cell lysate

Blocking and dilution buffer and concentration : 5% NFDM/TBST.

Exposure time : 32 seconds

All lanes:

Immunoprecipitation - Anti-Iba1 antibody [EPR16589] - Microglia marker - Mouse IgG1 (Chimeric) (ab283319)

Predicted band size: 16 kDa

Observed band size: 16 kDa

false

Western blot - Anti-Iba1 antibody [EPR16589] - Microglia marker - Mouse IgG1 (Chimeric) (AB283319)
  • WB

Supplier Data

Western blot - Anti-Iba1 antibody [EPR16589] - Microglia marker - Mouse IgG1 (Chimeric) (AB283319)

Blocking and diluting buffer : 5% NFDM/TBST

Negative control : MCF7 (HPA database)

Exposure time : 136 seconds

All lanes:

Western blot - Anti-Iba1 antibody [EPR16589] - Microglia marker - Mouse IgG1 (Chimeric) (ab283319) at 1/1000 dilution

Lane 1:

THP-1 (human monocytic leukemia monocyte), whole cell lysate at 20 µg

Lane 2:

MCF7 (human breast adenocarcinoma epithelial cell), whole cell lysate at 20 µg

Secondary

All lanes:

Peroxidase-Conjugated Goat anti-Mouse IgG (H+L) at 1/5000 dilution

Predicted band size: 16 kDa

Observed band size: 16 kDa

false

Key facts

Host species

Mouse

Clonality

Monoclonal

Clone number

EPR16589

Isotype

IgG1

Carrier free

No

Reacts with

Rat, Human, Mouse

Applications

WB, IHC-P, Flow Cyt (Intra), ICC/IF, IP

applications

Immunogen

The exact immunogen used to generate this antibody is proprietary information.

Specificity

FURTHER INFORMATION ON SPECIFICITY (Chinese Version) available under the product protocols section. This file includes key technical notes of experience when using this product.

Fluorescence detection system is not guaranteed in IHC-P application.

The mouse and rat recommendation is based on the Immunohistochemistry results. We do not guarantee Western Blot for mouse and rat.

Reactivity data

{ "title": "Reactivity Data", "filters": { "stats": ["", "Species", "Dilution Info", "Notes"], "tabs": { "all-applications": {"fullname" : "All Applications", "shortname": "All Applications"}, "IHCP" : {"fullname" : "Immunohistochemistry (Formalin/PFA-fixed paraffin-embedded sections)", "shortname":"IHC-P"}, "IP" : {"fullname" : "Immunoprecipitation", "shortname":"IP"}, "WB" : {"fullname" : "Western blot", "shortname":"WB"}, "ICCIF" : {"fullname" : "Immunocytochemistry/ Immunofluorescence", "shortname":"ICC/IF"}, "FlowCytIntra" : {"fullname" : "Flow Cytometry (Intracellular)", "shortname":"Flow Cyt (Intra)"} }, "product-promise": { "all": "all", "testedAndGuaranteed": "tested", "guaranteed": "expected", "predicted": "predicted", "notRecommended": "not-recommended" } }, "values": { "Human": { "IHCP-species-checked": "testedAndGuaranteed", "IHCP-species-dilution-info": "1/10000", "IHCP-species-notes": "<p></p> Perform heat-mediated antigen retrieval with citrate buffer pH 6 before commencing with IHC staining protocol.", "IP-species-checked": "testedAndGuaranteed", "IP-species-dilution-info": "1/30", "IP-species-notes": "<p></p>", "WB-species-checked": "testedAndGuaranteed", "WB-species-dilution-info": "1/1000", "WB-species-notes": "<p></p>", "ICCIF-species-checked": "testedAndGuaranteed", "ICCIF-species-dilution-info": "1/100", "ICCIF-species-notes": "<p></p>", "FlowCytIntra-species-checked": "testedAndGuaranteed", "FlowCytIntra-species-dilution-info": "1/10000", "FlowCytIntra-species-notes": "<p></p>" }, "Mouse": { "IHCP-species-checked": "testedAndGuaranteed", "IHCP-species-dilution-info": "1/10000", "IHCP-species-notes": "<p></p> Perform heat-mediated antigen retrieval with citrate buffer pH 6 before commencing with IHC staining protocol.", "IP-species-checked": "guaranteed", "IP-species-dilution-info": "", "IP-species-notes": "", "WB-species-checked": "notRecommended", "WB-species-dilution-info": "1/1000", "WB-species-notes": "<p></p>", "ICCIF-species-checked": "guaranteed", "ICCIF-species-dilution-info": "", "ICCIF-species-notes": "", "FlowCytIntra-species-checked": "guaranteed", "FlowCytIntra-species-dilution-info": "", "FlowCytIntra-species-notes": "" }, "Rat": { "IHCP-species-checked": "testedAndGuaranteed", "IHCP-species-dilution-info": "1/10000", "IHCP-species-notes": "<p></p> Perform heat-mediated antigen retrieval with citrate buffer pH 6 before commencing with IHC staining protocol.", "IP-species-checked": "guaranteed", "IP-species-dilution-info": "", "IP-species-notes": "", "WB-species-checked": "notRecommended", "WB-species-dilution-info": "1/1000", "WB-species-notes": "<p></p>", "ICCIF-species-checked": "guaranteed", "ICCIF-species-dilution-info": "", "ICCIF-species-notes": "", "FlowCytIntra-species-checked": "guaranteed", "FlowCytIntra-species-dilution-info": "", "FlowCytIntra-species-notes": "" } } }

Product details

Find all reagents to label astrocytes in our "Microglia markers guide".

Anti-Iba1 antibody [EPR16589] - Mouse IgG1 (Chimeric) (ab283319) is a mouse monoclonal recombinant antibody validated for use in IHC-P, IP, WB, ICC/IF and Flow Cyt (Intra) in mouse, rat and human samples.

Clone EPR16589 was initially developed by Abcam using patented rabbit monoclonal antibody technology and has been engineered to generate this mouse chimeric antibody which retains the binding properties of the RabMAb parent, but has a mouse Fc region. By necessity, some rabbit sequence is retained as part of the variable domain. When multiplexing with other rabbit-derived antibodies, using cross absorbed Fc-reactive secondary antibodies are recommended.

Abcams high quality manufacturing and validation processes ensure Anti-Iba1 antibody [EPR16589] - Mouse IgG1 (Chimeric) (ab283319) has high sensitivity and specificity alongside high lot-to-lot consistency and reproducibility.

Anti-Iba1 antibody [EPR16589] - Mouse IgG1 (Chimeric) (ab283319) specifically detects Iba1 (AIF-1) (UniProt ID: P55008; Molecular weight: 17kDa) and is sold in a convenient trial size to enable initial testing (20 µL) and larger sizes for subsequent scaling up experiments (100 µL and 1 mL).

Conjugation-ready, carrier free format is also available for Anti-Iba1 antibody [EPR16589] - Mouse IgG1 (Chimeric) - ab312913.

Iba1 (Ionized calcium-binding adapter molecule 1; allograft inflammatory factor 1, AIF1) is a prominent microglial marker extensively used in neuroscience research. Its expression increases in various neurodegenerative conditions, including Alzheimer's disease (AD), indicating microglial activation and neuroinflammation. Researchers utilize Iba1 in stainings to assess microglial response and activity in different models, making it essential for understanding inflammatory processes in the brain. Changes in Iba1 expression provide valuable insights into neuroinflammation, highlighting its importance in studying diseases like AD.

This mouse monoclonal chimeric antibody has been engineered from a RabMAb parent antibody (ab178847). By necessity, some rabbit sequence is retained as part of the variable domain. When multiplexing with other rabbit-derived antibodies, using cross absorbed Fc-reactive secondary antibodies are recommended.

What are the advantages of a recombinant monoclonal antibody?
This product is a recombinant monoclonal antibody, which offers several advantages including:

  • - High batch-to-batch consistency and reproducibility
  • - Improved sensitivity and specificity
  • - Long-term security of supply
  • - Animal-free batch production

For more information, read more on recombinant antibodies.

Properties and storage information

Form
Liquid
Purification technique
Affinity purification Protein A
Storage buffer
pH: 7.2 - 7.4 Preservative: 0.01% Sodium azide Constituents: PBS, 40% Glycerol (glycerin, glycerine), 0.05% BSA
Shipped at conditions
Blue Ice
Appropriate short-term storage duration
1-2 weeks
Appropriate short-term storage conditions
+4°C
Appropriate long-term storage conditions
-20°C
Aliquoting information
Upon delivery aliquot
Storage information
Avoid freeze / thaw cycle

Supplementary information

This supplementary information is collated from multiple sources and compiled automatically.

Iba1 also known as Allograft Inflammatory Factor 1 (AIF-1) is a 17 kDa protein notable for its involvement in immune responses. It is expressed mainly in microglia and macrophages key components of the central nervous system's immune system. Researchers often use Iba1 in Western blots and immunohistochemistry (IHC) to study microglial activation. The protein's expression is a strong marker of microglial activation making it a focal point in neuroinflammation studies. Anti-Iba1 antibodies have gained popularity for their effectiveness in identifying microglia in brain tissue sections through Iba1 staining techniques.
Biological function summary

Iba1 modulates actin bundling facilitating changes in microglial morphology and motility. It does not form part of a multiprotein complex but is significantly involved in cytoskeletal dynamics. This protein's expression increases during brain injury indicating its role in response to neural trauma. Iba1 has calcium-binding properties which suggest that it might interact with proteins involved in calcium signaling pathways.

Pathways

Calcium signaling and actin cytoskeletal rearrangement are significant biological processes that involve Iba1. Within these pathways Iba1 interacts closely with other actin-binding proteins that affect microglial movement and morphology. Such interactions illustrate how Iba1 helps microglia navigate and respond to changes within the brain environment.

Iba1 is often associated with neurodegenerative diseases like Alzheimer's disease and amyotrophic lateral sclerosis (ALS). In these conditions elevated Iba1 levels mark increased microglial activity which correlates with disease progression. Connections with proteins such as amyloid-beta in Alzheimer's disease suggest its role in mediating inflammatory responses and linking inflammation to disease pathology.

Product protocols

For this product, it's our understanding that no specific protocols are required. You can visit:

Target data

Actin-binding protein that enhances membrane ruffling and RAC activation. Enhances the actin-bundling activity of LCP1. Binds calcium. Plays a role in RAC signaling and in phagocytosis. May play a role in macrophage activation and function. Promotes the proliferation of vascular smooth muscle cells and of T-lymphocytes. Enhances lymphocyte migration. Plays a role in vascular inflammation.
See full target information AIF1

Publications (142)

Recent publications for all applications. Explore the full list and refine your search

Frontiers in pharmacology 16:1574007 PubMed41050410

2025

Rational design of indoleamine 2,3-dioxygenase 1 (IDO1) inhibitors featuring 1,2,3-triazole derivatives with enhanced anti-inflammatory and analgesic efficacy.

Applications

Unspecified application

Species

Unspecified reactive species

Qingying Liu,Xixi Hou,Yueliang Wang,Mingyue Tian,Baoyu He,Jingjing Guo,Jianxue Yang

Brain and behavior 15:e70850 PubMed40923147

2025

KLF7 Blocks MKNK2/HIF-1 Pathway-Mediated M1 Microglia Polarization to Ameliorate Ischemic Stroke-Induced Neurological Injury.

Applications

Unspecified application

Species

Unspecified reactive species

Ran Wei,Shuang Li,Lei Tang

Frontiers in immunology 16:1650254 PubMed40918113

2025

The critical role of matrix metalloproteinase 9-mediated microglial polarization in perioperative neurocognitive disorders of aged rats.

Applications

Unspecified application

Species

Unspecified reactive species

Xi Xin,Haonan Zhang,Chenyi Yang,Xinyi Wang,Lin Zhang,Ji Ma,Haiyun Wang

Stroke and vascular neurology : PubMed40908045

2025

Head-down position after reperfusion improves cerebral ischaemic injury in rat.

Applications

Unspecified application

Species

Unspecified reactive species

Qiong Wu,Nan-Nan Zhang,Ji-Ru Cai,Yi-Na Zhang,Hui-Sheng Chen

Molecular medicine (Cambridge, Mass.) 31:284 PubMed40898058

2025

RHBDF2 governs microglial neuroinflammation during cerebral ischemia-reperfusion injury and is positively regulated by the m6A reader YTHDF1.

Applications

Unspecified application

Species

Unspecified reactive species

Lisi Xu,Ruonan Zhang,Xiaolin Zhang,Bing Liu,Xiuli Shang,Daifa Huang

Materials today. Bio 34:102172 PubMed40822932

2025

Neuroactive network tissue based on dual-factor neuroregenerative bioactive coating scaffolds and neural stem cells for spinal cord injury repair.

Applications

Unspecified application

Species

Unspecified reactive species

Tianyi Liu,Wenhao Zhu,Zheng Wan,Cong Fu,Xiaoyu Zhang,Wenzhong Li,Wenchen Li,Zhenxu Wu,Min Guo,Mengtuan Long,Feiyang Yang,Hongyu Chen,Xingcheng Yi,Honglei Wang,Peibiao Zhang,Haifeng Wang

Communications biology 8:1234 PubMed40819187

2025

Per2 deficiency in microglia alleviates motor dysfunction by inhibiting ferroptosis in spinal cord injury.

Applications

Unspecified application

Species

Unspecified reactive species

Pengfei Bie,Dongpo Su,Yang Gao,Liang Wu,Zhanfeng Niu,Yanbin Zhao,He He,Zhanfeng Jiang,Zhong Zeng,Yaolin Zhang,Heng Fan,Hechun Xia

Communications biology 8:1188 PubMed40781500

2025

Resynchronization of microglial activity in the brain is associated with restoration of motor function in Parkinson's disease.

Applications

Unspecified application

Species

Unspecified reactive species

Peizhen Ye,Lei Bi,Yifan Qiu,Min Yang,Yongshan Liu,Yuyi Hou,Pengcheng Zheng,Xiaojuan Cao,Jing Su,Hongjun Jin

Alzheimer's & dementia : the journal of the Alzheimer's Association 21:e70331 PubMed40731189

2025

Gut-derived bacterial vesicles carrying lipopolysaccharide promote microglia-mediated synaptic pruning.

Applications

Unspecified application

Species

Unspecified reactive species

Xiaoduo Zhao,Jiayi Yu,Bin Xu,Zhi Xu,Xia Lei,Shilong Han,Shangfei Luo,Can Zhang,Guoping Peng,Jing Li,Jie Yu,Yi Ling,Zhongqin Fan,Wei Mo,Ying Yang,Jing Zhang

Cell 188:5499-5515.e20 PubMed40712576

2025

A mast cell receptor mediates post-stroke brain inflammation via a dural-brain axis.

Applications

Unspecified application

Species

Unspecified reactive species

Ruchita Kothari,Mostafa W Abdulrahim,Hyun Jong Oh,Daniel H Capuzzi,Collin B Kilgore,Sumil K Nair,Yaowu Zhang,Nathachit Limjunyawong,Sarbjit S Saini,Jennifer E Kim,Justin M Caplan,Fernanado L Gonzalez,Christopher M Jackson,Chetan Bettegowda,Judy Huang,Bhanu P Ganesh,Chunfeng Tan,Raymond C Koehler,Rafael J Tamargo,Louise D McCullough,Risheng Xu,Xinzhong Dong
View all publications
websiteProtocolBooklet
zh

Product promise

We are committed to supporting your work with high-quality reagents, and we're here for you every step of the way. In the unlikely event that one of our products does not perform as expected, you're protected by our Product Promise.
For full details, please see our Terms & Conditions

Please note: All products are 'FOR RESEARCH USE ONLY. NOT FOR USE IN DIAGNOSTIC OR THERAPEUTIC PROCEDURES'.

For licensing inquiries, please contact partnerships@abcam.com