JavaScript is disabled in your browser. Please enable JavaScript to view this website.
AB107159

Anti-Iba1 antibody - Microglia marker

4

(20 Reviews)

|

(165 Publications)

Anti-Iba1 antibody (ab107159) is a goat polyclonal antibody detecting Iba1 in IHC-P. Suitable for Rat.

- Over 150 publications

View Alternative Names

Iba1, Mrf1, Aif1, Allograft inflammatory factor 1, AIF-1, Ionized calcium-binding adapter molecule 1, MRF-1, Microglia response factor

4 Images
Immunohistochemistry (Formalin/PFA-fixed paraffin-embedded sections) - Anti-Iba1 antibody - Microglia marker (AB107159)
  • IHC-P

AbReview36799****

Immunohistochemistry (Formalin/PFA-fixed paraffin-embedded sections) - Anti-Iba1 antibody - Microglia marker (AB107159)

ab107159 staining Iba1 in Rat liver tissue sections by Immunohistochemistry (IHC-P - paraformaldehyde-fixed, paraffin-embedded sections). Tissue was fixed with formaldehyde and blocked with 1% BSA for 15 minutes at 20°C; antigen retrieval was by heat mediation in a citrate buffer. Samples were incubated with primary antibody (1/2000 in PBS + 1% BSA) for 1 hour at 20°C. An undiluted HRP-conjugated anti-goat IgG polyclonal was used as the secondary antibody. Kupffer cells are positive for Iba-1.

This image is courtesy of an anonymous Abreview

Immunohistochemistry (Formalin/PFA-fixed paraffin-embedded sections) - Anti-Iba1 antibody - Microglia marker (AB107159)
  • IHC-P

Lab

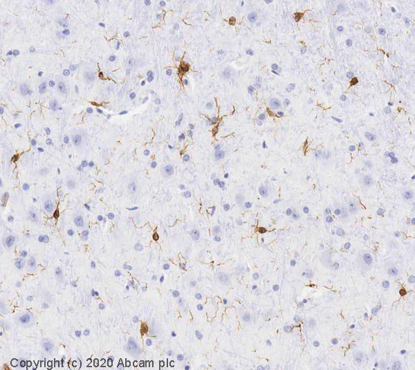
Immunohistochemistry (Formalin/PFA-fixed paraffin-embedded sections) - Anti-Iba1 antibody - Microglia marker (AB107159)

IHC image of Iba1 staining in a section of formalin-fixed paraffin-embedded normal rat brain performed on a Leica BONDTM system using the standard protocol F. The section was pre-treated using heat mediated antigen retrieval with sodium citrate buffer (pH6, epitope retrieval solution

  1. for 20mins. The section was then incubated with ab107159, 5ug/ml, for 15 mins at room temperature. An HRP-conjugated donkey anti-goat IgG secondary was used for 15 mins at room temperature. DAB was used as the chromogen. The section was then counterstained with haematoxylin and mounted with DPX.

For other IHC staining systems (automated and non-automated) customers should optimize variable parameters such as antigen retrieval conditions, primary antibody concentration and antibody incubation times.

Immunohistochemistry (Formalin/PFA-fixed paraffin-embedded sections) - Anti-Iba1 antibody - Microglia marker (AB107159)
  • IHC-P

AbReview31800****

Immunohistochemistry (Formalin/PFA-fixed paraffin-embedded sections) - Anti-Iba1 antibody - Microglia marker (AB107159)

IHC-P image of Iba1 staining on rat spleen sections using ab107159 (1 : 2000). The paraffin embedded sectons were subjected to heat mediated antigen retrieval using citric acid. The sections was then blocked using 1% BSA at 21°C for 10 min. The primary antibody was incubated at 21°C for 2 hours. The secondary antibody was goat polyclonal to anti-sheep conjugated to biotin at 1 : 250.

This image is courtesy of an abreview submitted by Carl Hobbs, King's College London, United Kingdom

Immunohistochemistry (Formalin/PFA-fixed paraffin-embedded sections) - Anti-Iba1 antibody - Microglia marker (AB107159)
  • IHC-P

AbReview33725****

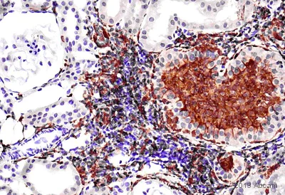
Immunohistochemistry (Formalin/PFA-fixed paraffin-embedded sections) - Anti-Iba1 antibody - Microglia marker (AB107159)

IHC-P image of Iba1 staining on marmoset (common) kidney sections using ab107159 (1 : 5000). The image shows macrophage infiltration in the cortex. The paraffin embedded sectons were subjected to heat mediated antigen retrieval using citric acid. The sections was then blocked using 1% BSA at 21°C for 10 min. The primary antibody was incubated at 21°C for 16 hours. The secondary antibody was rabbit polyclonal to sheep IgG conjugated to biotin at 1 : 200.

This image is courtesy of an abreview submitted by Carl Hobbs, King's College London, United Kingdom

Key facts

Host species

Goat

Clonality

Polyclonal

Isotype

IgG

Carrier free

No

Reacts with

Rat

Applications

IHC-P

applications

Immunogen

The exact immunogen used to generate this antibody is proprietary information.

Specificity

If looking for a monoclonal anti-Iba1 alternative we can recommend our RabMAb ab178846. This has the same immunogen as ab5076. In recent testing in IHC-P this antibody only worked in Rat tissue, therefore we have removed Human and mouse as a "does not react with" species. However, feedback from our customers and publications suggest that this antibody recognizes human and mouse. Nevertheless, we cannot guarantee this antibody in these species.

Reactivity data

{ "title": "Reactivity Data", "filters": { "stats": ["", "Species", "Dilution Info", "Notes"], "tabs": { "all-applications": {"fullname" : "All Applications", "shortname": "All Applications"}, "IHCP" : {"fullname" : "Immunohistochemistry (Formalin/PFA-fixed paraffin-embedded sections)", "shortname":"IHC-P"} }, "product-promise": { "all": "all", "testedAndGuaranteed": "tested", "guaranteed": "expected", "predicted": "predicted", "notRecommended": "not-recommended" } }, "values": { "Rat": { "IHCP-species-checked": "testedAndGuaranteed", "IHCP-species-dilution-info": "", "IHCP-species-notes": "<p></p>" }, "Chinese hamster": { "IHCP-species-checked": "predicted", "IHCP-species-dilution-info": "", "IHCP-species-notes": "" }, "Common marmoset": { "IHCP-species-checked": "predicted", "IHCP-species-dilution-info": "", "IHCP-species-notes": "" }, "Dog": { "IHCP-species-checked": "predicted", "IHCP-species-dilution-info": "", "IHCP-species-notes": "" }, "Macaque monkey": { "IHCP-species-checked": "predicted", "IHCP-species-dilution-info": "", "IHCP-species-notes": "" }, "Pig": { "IHCP-species-checked": "predicted", "IHCP-species-dilution-info": "", "IHCP-species-notes": "" } } }

Product details

What is this antibody validated in?
Anti-Iba1 antibody (ab107159) is a goat polyclonal antibody and is validated for use in Immunohistochemistry (IHC-P) in Rat samples.

Trusted by the scientific community
Anti-Iba1 (ab107159) was first used in a scientific publication in 2011 and has been cited over 150 times in peer-reviewed journals.

Reviewed by scientists
Anti-Iba1 (ab107159) has over 15 independent reviews from customers.

Properties and storage information

Form
Liquid
Purification technique
Affinity purification Immunogen
Storage buffer
pH: 7.4 Preservative: 0.02% Sodium azide Constituents: PBS, 3% BSA
Shipped at conditions
Blue Ice
Appropriate short-term storage duration
1-2 weeks
Appropriate short-term storage conditions
+4°C
Appropriate long-term storage conditions
-20°C
Aliquoting information
Upon delivery aliquot
Storage information
Avoid freeze / thaw cycle

Supplementary information

This supplementary information is collated from multiple sources and compiled automatically.

Iba1 also known as Allograft Inflammatory Factor 1 (AIF-1) is a 17 kDa protein notable for its involvement in immune responses. It is expressed mainly in microglia and macrophages key components of the central nervous system's immune system. Researchers often use Iba1 in Western blots and immunohistochemistry (IHC) to study microglial activation. The protein's expression is a strong marker of microglial activation making it a focal point in neuroinflammation studies. Anti-Iba1 antibodies have gained popularity for their effectiveness in identifying microglia in brain tissue sections through Iba1 staining techniques.
Biological function summary

Iba1 modulates actin bundling facilitating changes in microglial morphology and motility. It does not form part of a multiprotein complex but is significantly involved in cytoskeletal dynamics. This protein's expression increases during brain injury indicating its role in response to neural trauma. Iba1 has calcium-binding properties which suggest that it might interact with proteins involved in calcium signaling pathways.

Pathways

Calcium signaling and actin cytoskeletal rearrangement are significant biological processes that involve Iba1. Within these pathways Iba1 interacts closely with other actin-binding proteins that affect microglial movement and morphology. Such interactions illustrate how Iba1 helps microglia navigate and respond to changes within the brain environment.

Iba1 is often associated with neurodegenerative diseases like Alzheimer's disease and amyotrophic lateral sclerosis (ALS). In these conditions elevated Iba1 levels mark increased microglial activity which correlates with disease progression. Connections with proteins such as amyloid-beta in Alzheimer's disease suggest its role in mediating inflammatory responses and linking inflammation to disease pathology.

Product protocols

For this product, it's our understanding that no specific protocols are required. You can visit:

Target data

Actin-binding protein that enhances membrane ruffling and RAC activation. Enhances the actin-bundling activity of LCP1. Binds calcium. Plays a role in RAC signaling and in phagocytosis. May play an role in macrophage activation and function. Promotes the proliferation of vascular smooth muscle cells and of T-lymphocytes. Enhances lymphocyte migration. Plays a role in vascular inflammation (By similarity).
See full target information Aif1

Publications (165)

Recent publications for all applications. Explore the full list and refine your search

International journal of molecular sciences 26: PubMed39941068

2025

CNEURO-201, an Anti-amyloidogenic Agent and σ1-Receptor Agonist, Improves Cognition in the Mouse Model of Alzheimer's Disease by Multiple Actions in the Pathology.

Applications

Unspecified application

Species

Unspecified reactive species

Humberto Martínez-Orozco,Alberto Bencomo-Martínez,Juan Pablo Maya-Arteaga,Pedro Francisco Rubio-De Anda,Fausto Sanabria-Romero,Zyanya Gloria Mena Casas,Isaac Rodríguez-Vargas,Ana Gabriela Hernández-Puga,Marquiza Sablón-Carrazana,Roberto Menéndez-Soto Del Valle,Chryslaine Rodríguez-Tanty,Sofía Díaz-Cintra

Acta neuropathologica 147:66 PubMed38568475

2024

Characterization of monoamine oxidase-B (MAO-B) as a biomarker of reactive astrogliosis in Alzheimer's disease and related dementias.

Applications

Unspecified application

Species

Unspecified reactive species

Methasit Jaisa-Aad,Clara Muñoz-Castro,Molly A Healey,Bradley T Hyman,Alberto Serrano-Pozo

Nature communications 14:4965 PubMed37587100

2023

Astroglial Hmgb1 regulates postnatal astrocyte morphogenesis and cerebrovascular maturation.

Applications

Unspecified application

Species

Unspecified reactive species

Moises Freitas-Andrade,Cesar H Comin,Peter Van Dyken,Julie Ouellette,Joanna Raman-Nair,Nicole Blakeley,Qing Yan Liu,Sonia Leclerc,Youlian Pan,Ziying Liu,Micaël Carrier,Karan Thakur,Alexandre Savard,Gareth M Rurak,Marie-Ève Tremblay,Natalina Salmaso,Luciano da F Costa,Gianfilippo Coppola,Baptiste Lacoste

Life science alliance 6: PubMed37580082

2023

Neuroprotective effects of hepatoma-derived growth factor in models of Huntington's disease.

Applications

Unspecified application

Species

Unspecified reactive species

Kerstin Voelkl,Sara Gutiérrez-Ángel,Sophie Keeling,Seda Koyuncu,Miguel da Silva Padilha,Dennis Feigenbutz,Thomas Arzberger,David Vilchez,Rüdiger Klein,Irina Dudanova

Frontiers in aging neuroscience 15:1140708 PubMed37600518

2023

Leukotriene signaling as molecular correlate for cognitive heterogeneity in aging: an exploratory study.

Applications

Unspecified application

Species

Unspecified reactive species

Heike Mrowetz,Mohamed H Kotob,Jennifer Forster,Iren Aydin,Michael Stefan Unger,Jana Lubec,Ahmed M Hussein,Jovana Malikovic,Daniel Daba Feyissa,Volker Korz,Harald Höger,Gert Lubec,Ludwig Aigner

Nature biotechnology 42:892-904 PubMed37349522

2023

Multifunctional microelectronic fibers enable wireless modulation of gut and brain neural circuits.

Applications

Unspecified application

Species

Unspecified reactive species

Atharva Sahasrabudhe,Laura E Rupprecht,Sirma Orguc,Tural Khudiyev,Tomo Tanaka,Joanna Sands,Weikun Zhu,Anthony Tabet,Marie Manthey,Harrison Allen,Gabriel Loke,Marc-Joseph Antonini,Dekel Rosenfeld,Jimin Park,Indie C Garwood,Wei Yan,Farnaz Niroui,Yoel Fink,Anantha Chandrakasan,Diego V Bohórquez,Polina Anikeeva

Nature communications 14:2206 PubMed37072411

2023

Highly conductive tissue-like hydrogel interface through template-directed assembly.

Applications

Unspecified application

Species

Unspecified reactive species

Jooyeun Chong,Changhoon Sung,Kum Seok Nam,Taewon Kang,Hyunjun Kim,Haeseung Lee,Hyunchang Park,Seongjun Park,Jiheong Kang

Frontiers in physiology 14:1151495 PubMed37143930

2023

Pericyte-derived cells participate in optic nerve scar formation.

Applications

Unspecified application

Species

Unspecified reactive species

Julia Preishuber-Pflügl,Daniela Mayr,Veronika Altinger,Susanne M Brunner,Andreas Koller,Christian Runge,Anja-Maria Ladek,Markus Lenzhofer,Francisco J Rivera,Herbert Tempfer,Ludwig Aigner,Herbert A Reitsamer,Andrea Trost

Advanced science (Weinheim, Baden-Wurttemberg, Germany) 10:e2206186 PubMed36995044

2023

Surface-Embedding of Mo Microparticles for Robust and Conductive Biodegradable Fiber Electrodes: Toward 1D Flexible Transient Electronics.

Applications

Unspecified application

Species

Unspecified reactive species

Jinho Kim,Congqi Yang,Taehyun Yun,Seohyun Woo,Hwajoong Kim,Mugeun Lee,Minji Jeong,Hyeji Ryu,Namjung Kim,Seongjun Park,Jaehong Lee

iScience 26:106277 PubMed37153447

2023

Administration of prosaposin-derived neurotrophic factor to neural tube defects facilitates regeneration and restores neurological functions.

Applications

Unspecified application

Species

Unspecified reactive species

Sakirul Khan,Akihide Takeuchi,Hiroaki Nabeka,Farzana Khan,Tetsuya Shimokawa,Sota Takanezawa,Takashi Saitou,Takeshi Imamura,Tetsuya Tachibana,Akira Nishizono,Fumihiko Hamada,Seiji Matsuda
View all publications

Product promise

We are committed to supporting your work with high-quality reagents, and we're here for you every step of the way. In the unlikely event that one of our products does not perform as expected, you're protected by our Product Promise.
For full details, please see our Terms & Conditions

Please note: All products are 'FOR RESEARCH USE ONLY. NOT FOR USE IN DIAGNOSTIC OR THERAPEUTIC PROCEDURES'.

For licensing inquiries, please contact partnerships@abcam.com