JavaScript is disabled in your browser. Please enable JavaScript to view this website.
AB205303

Anti-IBP160 antibody [EPR16942]

Be the first to review this product! Submit a review

|

(2 Publications)

Rabbit Recombinant Monoclonal IBP160 antibody. Suitable for IP, WB, ICC/IF, Flow Cyt (Intra), IHC-P and reacts with Human samples. Cited in 2 publications.

View Alternative Names

KIAA0560, AQR, RNA helicase aquarius, Intron-binding protein of 160 kDa, IBP160

7 Images
Western blot - Anti-IBP160 antibody [EPR16942] (AB205303)
  • WB

Supplier Data

Western blot - Anti-IBP160 antibody [EPR16942] (AB205303)

Blocking/Dilution buffer : 5% NFDM/TBST.

All lanes:

Western blot - Anti-IBP160 antibody [EPR16942] (ab205303) at 1/10000 dilution

Lane 1:

HEK-293 (Human epithelial cells from embryonic kidney) whole cell lysate at 20 µg

Lane 2:

HepG2 (Human liver hepatocellular carcinoma) whole cell lysate at 20 µg

Lane 3:

HeLa (Human epithelial cells from cervix adenocarcinoma) whole cell lysate at 20 µg

Secondary

All lanes:

Western blot - Goat Anti-Rabbit IgG H&L (HRP) (<a href='/en-us/products/secondary-antibodies/goat-rabbit-igg-h-l-hrp-ab97051'>ab97051</a>) at 1/1000 dilution

Predicted band size: 171 kDa

Observed band size: 171 kDa

false

Exposure time: 3min

Western blot - Anti-IBP160 antibody [EPR16942] (AB205303)
  • WB

Supplier Data

Western blot - Anti-IBP160 antibody [EPR16942] (AB205303)

Blocking/Dilution buffer : 5% NFDM/TBST.

All lanes:

Western blot - Anti-IBP160 antibody [EPR16942] (ab205303) at 1/1000 dilution

Lane 1:

HeLa cytosolic fraction at 10 µg

Lane 2:

HeLa nuclear fraction at 10 µg

Secondary

All lanes:

Western blot - Goat Anti-Rabbit IgG H&L (HRP) (<a href='/en-us/products/secondary-antibodies/goat-rabbit-igg-h-l-hrp-ab97051'>ab97051</a>) at 1/100000 dilution

Predicted band size: 171 kDa

Observed band size: 171 kDa

false

Exposure time: 3min

Flow Cytometry (Intracellular) - Anti-IBP160 antibody [EPR16942] (AB205303)
  • Flow Cyt (Intra)

Supplier Data

Flow Cytometry (Intracellular) - Anti-IBP160 antibody [EPR16942] (AB205303)

Intracellular flow cytometric analysis of 4% paraformaldehyde-fixed HEK-293 (Human epithelial cells from embryonic kidney) cells labeling IBP160 with ab205303 at 1/150 dilution (red) compared with a rabbit monoclonal IgG isotype control (ab172730; black) and an unlabelled control (cells without incubation with primary antibody and secondary antibody; blue). Goat anti rabbit IgG (FITC) at 1/500 dilution was used as the secondary antibody.

Immunocytochemistry/ Immunofluorescence - Anti-IBP160 antibody [EPR16942] (AB205303)
  • ICC/IF

Supplier Data

Immunocytochemistry/ Immunofluorescence - Anti-IBP160 antibody [EPR16942] (AB205303)

Immunofluorescent analysis of 4% paraformaldehyde-fixed 0.1% Triton X-100 permeabilized HeLa (Human epithelial cells from cervix adenocarcinoma) cells labeling IBP160 with ab205303 at 1/1000 dilution followed by Goat Anti-Rabbit IgG (Alexa Fluor® 488) (ab150077) secondary antibody at 1/1000 dilution (green). Confocal image showing nuclear staining on HeLa cell line.

The nuclear counter stain is DAPI (blue). Tubulin is detected with Anti-alpha Tubulin mouse MAb (ab7291) at 1/1000 dilution followed by Goat Anti-Mouse IgG H&L (Alexa Fluor® 594) (ab150120) secondary antibody at 1/1000 dilution (red).

The negative controls are as follows :
-ve control 1 : ab205303 at 1/1000 dilution followed by Goat Anti-Mouse IgG H&L (Alexa Fluor® 594) (ab150120) secondary antibody at 1/1000 dilution.
-ve control 2 : Anti-alpha Tubulin mouse MAb (ab7291) at 1/1000 dilution followed by Goat Anti-Rabbit IgG (Alexa Fluor® 488) (ab150077) secondary antibody at 1/1000 dilution.

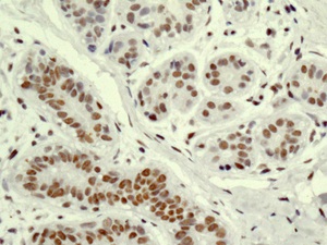
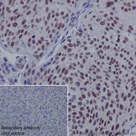
Immunohistochemistry (Formalin/PFA-fixed paraffin-embedded sections) - Anti-IBP160 antibody [EPR16942] (AB205303)
  • IHC-P

Supplier Data

Immunohistochemistry (Formalin/PFA-fixed paraffin-embedded sections) - Anti-IBP160 antibody [EPR16942] (AB205303)

Immunohistochemical analysis of paraffin-embedded human cervical carcinoma tissue labeling IBP160 with ab205303 at 1/250 dilution followed by Goat Anti-Rabbit IgG H&L (HRP) (ab97051) at 1/500 dilution. Nuclear staining on human cervical carcinoma is observed. Counter stained with Hematoxylin.

Secondary antibody only control : Used PBS instead of primary antibody secondary antibody is Goat Anti-Rabbit IgG H&L (HRP) (ab97051) at 1/500 dilution.

Perform heat mediated antigen retrieval with Tris/EDTA buffer pH 9.0 before commencing with IHC staining protocol.

Immunoprecipitation - Anti-IBP160 antibody [EPR16942] (AB205303)
  • IP

Supplier Data

Immunoprecipitation - Anti-IBP160 antibody [EPR16942] (AB205303)

IBP160 was immunoprecipitated from 1mg of HeLa (Human epithelial cells from cervix adenocarcinoma) whole cell lysate with ab205303 at 1/50 dilution. Western blot was performed from the immunoprecipitate using ab205303 at 1/1000 dilution. VeriBlot for IP Detection Reagent (HRP) (ab131366), was used for detection at 1/10000 dilution.

Lane 1 : HeLa whole cell lysate 10ug (Input). Lane 2 : ab205303 IP in HeLa whole cell lysate. Lane 3 : Rabbit monoclonal IgG (ab172730) instead of ab205303 in HeLa whole cell lysate.

Blocking and dilution buffer and concentration : 5% NFDM/TBST.

Exposure time : 30 seconds.

All lanes:

Immunoprecipitation - Anti-IBP160 antibody [EPR16942] (ab205303)

Predicted band size: 171 kDa

false

Western blot - Anti-IBP160 antibody [EPR16942] (AB205303)
  • WB

Supplier Data

Western blot - Anti-IBP160 antibody [EPR16942] (AB205303)

Blocking/Dilution buffer : 5% NFDM/TBST.

All lanes:

Western blot - Anti-IBP160 antibody [EPR16942] (ab205303) at 1/1000 dilution

All lanes:

Human fetal kidney lysate at 10 µg

Secondary

All lanes:

Anti-Rabbit IgG (HRP), specific to the non-reduced form of IgG at 1/10000 dilution

Predicted band size: 171 kDa

Observed band size: 171 kDa

false

Exposure time: 3min

  • Carrier free

    Anti-IBP160 antibody [EPR16942] - BSA and Azide free

Key facts

Host species

Rabbit

Clonality

Monoclonal

Clone number

EPR16942

Isotype

IgG

Carrier free

No

Reacts with

Human

Applications

WB, IHC-P, Flow Cyt (Intra), IP, ICC/IF

applications

Immunogen

The exact immunogen used to generate this antibody is proprietary information.

Reactivity data

{ "title": "Reactivity Data", "filters": { "stats": ["", "Species", "Dilution Info", "Notes"], "tabs": { "all-applications": {"fullname" : "All Applications", "shortname": "All Applications"}, "IP" : {"fullname" : "Immunoprecipitation", "shortname":"IP"}, "WB" : {"fullname" : "Western blot", "shortname":"WB"}, "ICCIF" : {"fullname" : "Immunocytochemistry/ Immunofluorescence", "shortname":"ICC/IF"}, "FlowCytIntra" : {"fullname" : "Flow Cytometry (Intracellular)", "shortname":"Flow Cyt (Intra)"}, "IHCP" : {"fullname" : "Immunohistochemistry (Formalin/PFA-fixed paraffin-embedded sections)", "shortname":"IHC-P"} }, "product-promise": { "all": "all", "testedAndGuaranteed": "tested", "guaranteed": "expected", "predicted": "predicted", "notRecommended": "not-recommended" } }, "values": { "Human": { "IP-species-checked": "testedAndGuaranteed", "IP-species-dilution-info": "1/50", "IP-species-notes": "<p></p> Perform heat-mediated antigen retrieval with Tris/EDTA buffer pH 9.0 before commencing with IHC staining protocol.", "WB-species-checked": "testedAndGuaranteed", "WB-species-dilution-info": "1/1000", "WB-species-notes": "<p></p>", "ICCIF-species-checked": "testedAndGuaranteed", "ICCIF-species-dilution-info": "1/1000", "ICCIF-species-notes": "<p></p>", "FlowCytIntra-species-checked": "testedAndGuaranteed", "FlowCytIntra-species-dilution-info": "1/150", "FlowCytIntra-species-notes": "<p></p>", "IHCP-species-checked": "testedAndGuaranteed", "IHCP-species-dilution-info": "1/250", "IHCP-species-notes": "<p></p> Perform heat-mediated antigen retrieval with Tris/EDTA buffer pH 9.0 before commencing with IHC staining protocol." } } }

Product details

Patented technology
Our RabMAb® technology is a patented hybridoma-based technology for making rabbit monoclonal antibodies. For details on our patents, please refer to RabMAb® patents.

What are the advantages of a recombinant monoclonal antibody?
This product is a recombinant monoclonal antibody, which offers several advantages including:

  • - High batch-to-batch consistency and reproducibility
  • - Improved sensitivity and specificity
  • - Long-term security of supply
  • - Animal-free batch production

For more information, read more on recombinant antibodies.

Properties and storage information

Form
Liquid
Purification technique
Affinity purification Protein A
Storage buffer
pH: 7.2 - 7.4 Preservative: 0.01% Sodium azide Constituents: 59% PBS, 40% Glycerol (glycerin, glycerine), 0.05% BSA
Shipped at conditions
Blue Ice
Appropriate short-term storage duration
1-2 weeks
Appropriate short-term storage conditions
+4°C
Appropriate long-term storage conditions
-20°C
Aliquoting information
Upon delivery aliquot
Storage information
Avoid freeze / thaw cycle

Product protocols

For this product, it's our understanding that no specific protocols are required. You can visit:

Target data

Involved in pre-mRNA splicing as component of the spliceosome (PubMed : 11991638, PubMed : 25599396, PubMed : 28076346, PubMed : 28502770). Intron-binding spliceosomal protein required to link pre-mRNA splicing and snoRNP (small nucleolar ribonucleoprotein) biogenesis (PubMed : 16949364). Plays a key role in position-dependent assembly of intron-encoded box C/D small snoRNP, splicing being required for snoRNP assembly (PubMed : 16949364). May act by helping the folding of the snoRNA sequence. Binds to intron of pre-mRNAs in a sequence-independent manner, contacting the region between snoRNA and the branchpoint of introns (40 nucleotides upstream of the branchpoint) during the late stages of splicing (PubMed : 16949364). Has ATP-dependent RNA helicase activity and can unwind double-stranded RNA molecules with a 3' overhang (in vitro) (PubMed : 25599396).
See full target information AQR

Publications (2)

Recent publications for all applications. Explore the full list and refine your search

Cell death & disease 12:585 PubMed34099637

2021

TRPM2 promotes pancreatic cancer by PKC/MAPK pathway.

Applications

Unspecified application

Species

Unspecified reactive species

Rui Lin,Xunxia Bao,Hui Wang,Sibo Zhu,Zhongyan Liu,Quanning Chen,Kaixing Ai,Baomin Shi

Journal of genetics and genomics = Yi chuan xue ba 45:111-120 PubMed29502958

2018

AQR is a novel type 2 diabetes-associated gene that regulates signaling pathways critical for glucose metabolism.

Applications

WB

Species

Human

Chun Song,Han Yan,Hanming Wang,Yan Zhang,Huiqing Cao,Yiqi Wan,Lingbao Kong,Shenghan Chen,Hong Xu,Bingxing Pan,Jin Zhang,Guohuang Fan,Hongbo Xin,Zicai Liang,Weiping Jia,Xiao-Li Tian
View all publications

Product promise

We are committed to supporting your work with high-quality reagents, and we're here for you every step of the way. In the unlikely event that one of our products does not perform as expected, you're protected by our Product Promise.
For full details, please see our Terms & Conditions

Please note: All products are 'FOR RESEARCH USE ONLY. NOT FOR USE IN DIAGNOSTIC OR THERAPEUTIC PROCEDURES'.

For licensing inquiries, please contact partnerships@abcam.com