JavaScript is disabled in your browser. Please enable JavaScript to view this website.
AB207750

Anti-ICA 512/PTPRN antibody [EPR20718]

Be the first to review this product! Submit a review

|

(6 Publications)

Rabbit Recombinant Monoclonal ICA 512/PTPRN antibody. Suitable for IP, WB, IHC-Fr, IHC-P and reacts with Mouse, Rat, Human samples. Cited in 6 publications.

View Alternative Names

ICA3, ICA512, PTPRN, Receptor-type tyrosine-protein phosphatase-like N, R-PTP-N, Islet cell antigen 512, Islet cell autoantigen 3, PTP IA-2, ICA 512

8 Images
Immunohistochemistry (Formalin/PFA-fixed paraffin-embedded sections) - Anti-ICA 512/PTPRN antibody [EPR20718] (AB207750)
  • IHC-P

Supplier Data

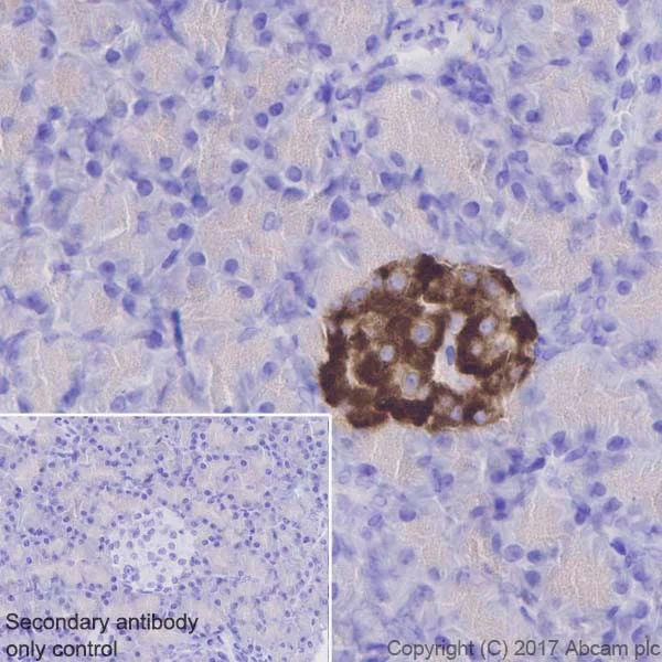
Immunohistochemistry (Formalin/PFA-fixed paraffin-embedded sections) - Anti-ICA 512/PTPRN antibody [EPR20718] (AB207750)

Immunohistochemical analysis of paraffin-embedded human pancreas tissue labeling ICA 512/PTPRN with ab207750 at 1/500 dilution followed by Goat Anti-Rabbit IgG H&L (HRP) Ready to use. Cytoplasmic staining on human pancreatic islets is observed (PMID : 8641276). Counter stained with hematoxylin.

Secondary antibody only control : Used PBS instead of primary antibody secondary antibody is Goat Anti-Rabbit IgG H&L (HRP) Ready to use.

Perform heat mediated antigen retrieval using ab93684 (Tris/EDTA buffer pH 9.0).

Immunohistochemistry (Formalin/PFA-fixed paraffin-embedded sections) - Anti-ICA 512/PTPRN antibody [EPR20718] (AB207750)
  • IHC-P

Supplier Data

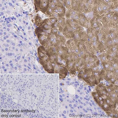
Immunohistochemistry (Formalin/PFA-fixed paraffin-embedded sections) - Anti-ICA 512/PTPRN antibody [EPR20718] (AB207750)

Immunohistochemical analysis of paraffin-embedded mouse adrenal gland tissue labeling ICA 512/PTPRN with ab207750 at 1/500 dilution followed by Goat Anti-Rabbit IgG H&L (HRP) Ready to use. Cytoplasmic staining on chromaffin cells of mouse adrenal medulla is observed (PMID : 8641276). Counter stained with hematoxylin.

Secondary antibody only control : Used PBS instead of primary antibody secondary antibody is Goat Anti-Rabbit IgG H&L (HRP) Ready to use.

Perform heat mediated antigen retrieval using ab93684 (Tris/EDTA buffer pH 9.0).

Immunohistochemistry (Frozen sections) - Anti-ICA 512/PTPRN antibody [EPR20718] (AB207750)
  • IHC-Fr

Supplier Data

Immunohistochemistry (Frozen sections) - Anti-ICA 512/PTPRN antibody [EPR20718] (AB207750)

Immunohistochemical analysis of 4% PFA-fixed 0.2 % Triton X-100 permeabilized mouse pancreas tissue labeling ICA 512/PTPRN with ab207750 at 1/500 dilution followed by Goat Anti-Rabbit IgG H&L (Alexa Fluor® 488) (ab150077) at 1/1000 dilution (green). Positive cytoplasmic staining in mouse pancreatic islet cells is observed (PMID : 10820150).

The nuclear counter stain is DAPI (blue).

Secondary antibody only control : Used PBS instead of primary antibody secondary antibody is Goat Anti-Rabbit IgG H&L (Alexa Fluor® 488) (ab150077) at 1/500 dilution.

Antigen retrieval : Heated citrate solution (10mM citrate pH 6.0 + 0.05% Tween-20).

Immunohistochemistry (Frozen sections) - Anti-ICA 512/PTPRN antibody [EPR20718] (AB207750)
  • IHC-Fr

Supplier Data

Immunohistochemistry (Frozen sections) - Anti-ICA 512/PTPRN antibody [EPR20718] (AB207750)

Immunohistochemical analysis of 4% PFA-fixed 0.2 % Triton X-100 permeabilized rat pancreas tissue labeling ICA 512/PTPRN with ab207750 at 1/500 dilution followed by Goat Anti-Rabbit IgG H&L (Alexa Fluor® 488) (ab150077) at 1/1000 dilution (green). Weak positive cytoplasmic staining in rat pancreatic islet cells is observed (PMID : 10820150).

The nuclear counter stain is DAPI (blue).

Secondary antibody only control : Used PBS instead of primary antibody secondary antibody is Goat Anti-Rabbit IgG H&L (Alexa Fluor® 488) (ab150077) at 1/500 dilution.

Antigen retrieval : Heated citrate solution (10mM citrate pH 6.0 + 0.05% Tween-20).

Immunohistochemistry (Formalin/PFA-fixed paraffin-embedded sections) - Anti-ICA 512/PTPRN antibody [EPR20718] (AB207750)
  • IHC-P

Supplier Data

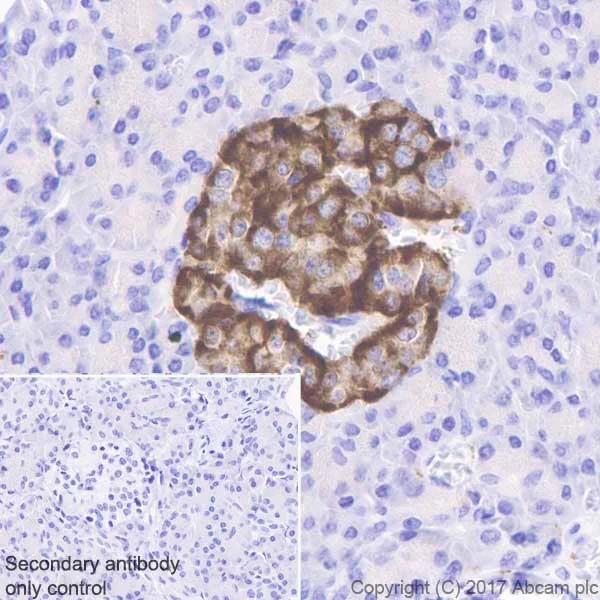
Immunohistochemistry (Formalin/PFA-fixed paraffin-embedded sections) - Anti-ICA 512/PTPRN antibody [EPR20718] (AB207750)

Immunohistochemical analysis of paraffin-embedded rat pancreas tissue labeling ICA 512/PTPRN with ab207750 at 1/500 dilution followed by Goat Anti-Rabbit IgG H&L (HRP) Ready to use. Cytoplasmic staining on rat pancreatic islets is observed (PMID : 8641276). Counter stained with hematoxylin.

Secondary antibody only control : Used PBS instead of primary antibody secondary antibody is Goat Anti-Rabbit IgG H&L (HRP) Ready to use.

Perform heat mediated antigen retrieval using ab93684 (Tris/EDTA buffer pH 9.0).

Immunoprecipitation - Anti-ICA 512/PTPRN antibody [EPR20718] (AB207750)
  • IP

Supplier Data

Immunoprecipitation - Anti-ICA 512/PTPRN antibody [EPR20718] (AB207750)

ICA 512/PTPRN was immunoprecipitated from 0.35 mg of mouse hypothalamus tissue lysate with ab207750 at 1/40 dilution. Western blot was performed from the immunoprecipitate using ab207750 at 1/1000 dilution. VeriBlot for IP Detection Reagent (HRP) (ab131366), was used for detection at 1/10000 dilution.
Lane 1 : Mouse hypothalamus lysate 10 μg (Input).
Lane 2 : ab207750 IP in mouse hypothalamus tissue lysate (+).
Lane 3 : Rabbit monoclonal IgG (ab172730) instead of ab207750 in mouse hypothalamus tissue lysate (-).
Blocking and dilution buffer and concentration : 5% NFDM/TBST.
Exposure time : < 1 second.

All lanes:

Immunoprecipitation - Anti-ICA 512/PTPRN antibody [EPR20718] (ab207750)

Predicted band size: 106 kDa

Observed band size: 65 kDa

false

Western blot - Anti-ICA 512/PTPRN antibody [EPR20718] (AB207750)
  • WB

Supplier Data

Western blot - Anti-ICA 512/PTPRN antibody [EPR20718] (AB207750)

Blocking and dilution buffer : 5% NFDM/TBST.

Exposure times.

Lane 1 : 3 minutes

Lane 2 : 5 seconds

The molecular weight observed is consistent with what has been described in the literature (PMID : 15596545; PMID : 18824546).

All lanes:

Western blot - Anti-ICA 512/PTPRN antibody [EPR20718] (ab207750) at 1/1000 dilution

Lane 1:

Rat pancreas tissue lysate at 20 µg

Lane 2:

Human pancreas tissue lysate at 20 µg

Secondary

Lane 1:

Western blot - Goat Anti-Rabbit IgG H&L (HRP) (<a href='/en-us/products/secondary-antibodies/goat-rabbit-igg-h-l-hrp-ab97051'>ab97051</a>) at 1/20000 dilution

Lane 2:

Western blot - Goat Anti-Rabbit IgG H&L (HRP) (<a href='/en-us/products/secondary-antibodies/goat-rabbit-igg-h-l-hrp-ab97051'>ab97051</a>) at 1/50000 dilution

Predicted band size: 106 kDa

Observed band size: 65 kDa

false

Western blot - Anti-ICA 512/PTPRN antibody [EPR20718] (AB207750)
  • WB

Supplier Data

Western blot - Anti-ICA 512/PTPRN antibody [EPR20718] (AB207750)

Blocking and dilution buffer : 5% NFDM/TBST.

The molecular weight observed is consistent with what has been described in the literature (PMID : 15596545; PMID : 18824546).

All lanes:

Western blot - Anti-ICA 512/PTPRN antibody [EPR20718] (ab207750) at 1/5000 dilution

Lane 1:

Human hippocampus lysate at 20 µg

Lane 2:

Mouse hypothalamus lysate at 20 µg

Lane 3:

Mouse brain lysate at 20 µg

Lane 4:

Mouse hippocampus lysate at 20 µg

Lane 5:

Rat hippocampus lysate at 20 µg

Lane 6:

Rat brain lysate at 20 µg

Secondary

All lanes:

Western blot - Goat Anti-Rabbit IgG H&L (HRP) (<a href='/en-us/products/secondary-antibodies/goat-rabbit-igg-h-l-hrp-ab97051'>ab97051</a>) at 1/100000 dilution

Predicted band size: 106 kDa

Observed band size: 65 kDa

true

Exposure time: 30s

  • Carrier free

    Anti-ICA 512/PTPRN antibody [EPR20718] - BSA and Azide free

Key facts

Host species

Rabbit

Clonality

Monoclonal

Clone number

EPR20718

Isotype

IgG

Carrier free

No

Reacts with

Mouse, Rat, Human

Applications

IHC-Fr, WB, IP, IHC-P

applications

Immunogen

The exact immunogen used to generate this antibody is proprietary information.

Reactivity data

{ "title": "Reactivity Data", "filters": { "stats": ["", "Species", "Dilution Info", "Notes"], "tabs": { "all-applications": {"fullname" : "All Applications", "shortname": "All Applications"}, "IP" : {"fullname" : "Immunoprecipitation", "shortname":"IP"}, "WB" : {"fullname" : "Western blot", "shortname":"WB"}, "IHCFr" : {"fullname" : "Immunohistochemistry (Frozen sections)", "shortname":"IHC-Fr"}, "IHCP" : {"fullname" : "Immunohistochemistry (Formalin/PFA-fixed paraffin-embedded sections)", "shortname":"IHC-P"} }, "product-promise": { "all": "all", "testedAndGuaranteed": "tested", "guaranteed": "expected", "predicted": "predicted", "notRecommended": "not-recommended" } }, "values": { "Human": { "IP-species-checked": "guaranteed", "IP-species-dilution-info": "", "IP-species-notes": "", "WB-species-checked": "testedAndGuaranteed", "WB-species-dilution-info": "1/1000", "WB-species-notes": "<p></p>", "IHCFr-species-checked": "guaranteed", "IHCFr-species-dilution-info": "", "IHCFr-species-notes": "", "IHCP-species-checked": "testedAndGuaranteed", "IHCP-species-dilution-info": "1/500", "IHCP-species-notes": "<p></p>" }, "Mouse": { "IP-species-checked": "testedAndGuaranteed", "IP-species-dilution-info": "1/40", "IP-species-notes": "<p></p>", "WB-species-checked": "testedAndGuaranteed", "WB-species-dilution-info": "1/1000", "WB-species-notes": "<p></p>", "IHCFr-species-checked": "testedAndGuaranteed", "IHCFr-species-dilution-info": "1/500", "IHCFr-species-notes": "<p></p>", "IHCP-species-checked": "testedAndGuaranteed", "IHCP-species-dilution-info": "1/500", "IHCP-species-notes": "<p></p>" }, "Rat": { "IP-species-checked": "guaranteed", "IP-species-dilution-info": "", "IP-species-notes": "", "WB-species-checked": "testedAndGuaranteed", "WB-species-dilution-info": "1/1000", "WB-species-notes": "<p></p>", "IHCFr-species-checked": "testedAndGuaranteed", "IHCFr-species-dilution-info": "1/500", "IHCFr-species-notes": "<p></p>", "IHCP-species-checked": "testedAndGuaranteed", "IHCP-species-dilution-info": "1/500", "IHCP-species-notes": "<p></p>" } } }

Product details

Patented technology
Our RabMAb® technology is a patented hybridoma-based technology for making rabbit monoclonal antibodies. For details on our patents, please refer to RabMAb® patents.

What are the advantages of a recombinant monoclonal antibody?
This product is a recombinant monoclonal antibody, which offers several advantages including:

  • - High batch-to-batch consistency and reproducibility
  • - Improved sensitivity and specificity
  • - Long-term security of supply
  • - Animal-free batch production

For more information, read more on recombinant antibodies.

Properties and storage information

Form
Liquid
Purification technique
Affinity purification Protein A
Storage buffer
pH: 7.2 - 7.4 Preservative: 0.01% Sodium azide Constituents: PBS, 40% Glycerol (glycerin, glycerine), 0.05% BSA
Shipped at conditions
Blue Ice
Appropriate short-term storage duration
1-2 weeks
Appropriate short-term storage conditions
+4°C
Appropriate long-term storage conditions
-20°C
Aliquoting information
Upon delivery aliquot
Storage information
Avoid freeze / thaw cycle

Product protocols

For this product, it's our understanding that no specific protocols are required. You can visit:

Target data

Plays a role in vesicle-mediated secretory processes (PubMed : 24843546). Required for normal accumulation of secretory vesicles in hippocampus, pituitary and pancreatic islets (By similarity). Required for the accumulation of normal levels of insulin-containing vesicles and preventing their degradation (PubMed : 24843546). Plays a role in insulin secretion in response to glucose stimuli (PubMed : 24843546). Required for normal accumulation of the neurotransmitters norepinephrine, dopamine and serotonin in the brain (By similarity). In females, but not in males, required for normal accumulation and secretion of pituitary hormones, such as luteinizing hormone (LH) and follicle-stimulating hormone (FSH) (By similarity). Required to maintain normal levels of renin expression and renin release (By similarity). Seems to lack intrinsic enzyme activity (By similarity). May regulate catalytic active protein-tyrosine phosphatases such as PTPRA through dimerization (By similarity).. ICA512-transmembrane fragment. ICA512-TMF regulates dynamics and exocytosis of insulin secretory granules (SGs); binding of ICA512-TMF to SNTB2/beta-2-syntrophin is proposed to restrain SGs mobility and exocytosis by tethering them to the actin cytoskeleton depending on UTRN; the function is inhibited by cytoplasmic ICA512-CFF dimerizing with ICA512-TMF and displacing SNTB2.. ICA512-cleaved cytosolic fragment. ICA512-CCF translocated to the nucleus promotes expression of insulin and other granule-related genes; the function implicates binding to and regulating activity of STAT5B probably by preventing its dephosphorylation and potentially by inducing its sumoylation by recruiting PIAS4 (PubMed : 15596545, PubMed : 16622421, PubMed : 18178618). Enhances pancreatic beta-cell proliferation by converging with signaling by STAT5B and STAT3 (PubMed : 15596545, PubMed : 16622421, PubMed : 18178618). ICA512-CCF located in the cytoplasm regulates dynamics and exocytosis of insulin secretory granules (SGs) by dimerizing with ICA512-TMF and displacing SNTB2 thus enhancing SGs mobility and exocytosis (PubMed : 18824546, PubMed : 20886068).
See full target information PTPRN

Publications (6)

Recent publications for all applications. Explore the full list and refine your search

APL bioengineering 9:036115 PubMed40895767

2025

PDPN+ cancer-associated fibroblasts correlate with the neoadjuvant immunotherapy response in gastric cancer.

Applications

Unspecified application

Species

Unspecified reactive species

Mi Jian,Zhensong Yang,Yutao Tang,Fangjie Jiang,Li Cai,Aina Liu,Jinchen Hu,Xixun Wang,Shuguang Liu,Dawei Zhao,Miaomiao Li,Hongbing Chen,Menglai Zhang,Zengwu Yao,Rongbao Jia,Ruyue Chen,Lixin Jiang,Yifei Zhang,Xicheng Song

Advanced science (Weinheim, Baden-Wurttemberg, Germany) 11:e2400560 PubMed38874331

2024

A Novel Ubiquitin Ligase Adaptor PTPRN Suppresses Seizure Susceptibility through Endocytosis of Na1.2 Sodium Channels.

Applications

Unspecified application

Species

Unspecified reactive species

Yifan Wang,Hui Yang,Na Li,Lili Wang,Chang Guo,Weining Ma,Shiqi Liu,Chao Peng,Jiexin Chen,Huifang Song,Hedan Chen,Xinyue Ma,Jingyun Yi,Jingjing Lian,Weikaixin Kong,Jie Dong,Xinyu Tu,Mala Shah,Xin Tian,Zhuo Huang

Signal transduction and targeted therapy 9:98 PubMed38609366

2024

Infection with SARS-CoV-2 can cause pancreatic impairment.

Applications

Unspecified application

Species

Unspecified reactive species

Wei Deng,Linlin Bao,Zhiqi Song,Ling Zhang,Pin Yu,Yanfeng Xu,Jue Wang,Wenjie Zhao,Xiuqin Zhang,Yunlin Han,Yanhong Li,Jiangning Liu,Qi Lv,Xujian Liang,Fengdi Li,Feifei Qi,Ran Deng,Siyuan Wang,Yibai Xiong,Ruiping Xiao,Hongyang Wang,Chuan Qin

Frontiers in immunology 14:1082974 PubMed36814929

2023

Construction and validation of a cuproptosis-related prognostic model for glioblastoma.

Applications

Unspecified application

Species

Unspecified reactive species

Bohong Zhang,Lin Xie,Jiahao Liu,Anmin Liu,Mingliang He

Scientific reports 12:5852 PubMed35393479

2022

Syngeneically transplanted insulin producing cells differentiated from adipose derived stem cells undergo delayed damage by autoimmune responses in NOD mice.

Applications

Unspecified application

Species

Unspecified reactive species

Kazunori Tokuda,Tetsuya Ikemoto,Shoko Yamashita,Katsuki Miyazaki,Shohei Okikawa,Shinichiro Yamada,Yu Saito,Yuji Morine,Mitsuo Shimada

Frontiers in oncology 11:676287 PubMed34557405

2021

Expression and Tumor-Promoting Effect of Tyrosine Phosphatase Receptor Type N (PTPRN) in Human Glioma.

Applications

Unspecified application

Species

Unspecified reactive species

Dong Wang,Fan Tang,Xi Liu,Yueshan Fan,Yu Zheng,Hao Zhuang,Budong Chen,Jie Zhuo,Bo Wang
View all publications

Product promise

We are committed to supporting your work with high-quality reagents, and we're here for you every step of the way. In the unlikely event that one of our products does not perform as expected, you're protected by our Product Promise.
For full details, please see our Terms & Conditions

Please note: All products are 'FOR RESEARCH USE ONLY. NOT FOR USE IN DIAGNOSTIC OR THERAPEUTIC PROCEDURES'.

For licensing inquiries, please contact partnerships@abcam.com