JavaScript is disabled in your browser. Please enable JavaScript to view this website.
AB133250

Anti-ICAD antibody [EPR4221]

Be the first to review this product! Submit a review

|

(1 Publication)

Rabbit Recombinant Monoclonal ICAD antibody. Suitable for WB and reacts with Human samples. Cited in 1 publication.

View Alternative Names

DFF1, DFF45, H13, DFFA, DNA fragmentation factor subunit alpha, DNA fragmentation factor 45 kDa subunit, Inhibitor of CAD, DFF-45, ICAD

2 Images
Western blot - Anti-ICAD antibody [EPR4221] (AB133250)
  • WB

Lab

Western blot - Anti-ICAD antibody [EPR4221] (AB133250)

Western blot : Anti-ICAD antibody [EPR4221] ab133250 staining at 1/10000 dilution, shown in green; Mouse anti alpha Tubulin ab7291 loading control staining at 1/20000 dilution, shown in magenta. A band was observed at 40 kDa. To generate this image, samples were run on an SDS-PAGE gel then transferred onto a nitrocellulose membrane. Membranes were blocked in 3pc Milk in TBS-0.1 % Tween® 20 (TBS-T) before incubation with primary antibodies overnight at 4 °C. Blots were washed four times in TBS-T, incubated with secondary antibodies for 1 h at room temperature, washed again four times then imaged. Secondary antibodies used were Goat anti-Rabbit 800CW and Goat anti-Mouse 680RD at 1/20,000 dilution.

All lanes:

Western blot - Anti-ICAD antibody [EPR4221] (ab133250) at 1/10000 dilution

Lane 1:

Wild-type A549 at 20 µg

Lane 2:

DFFA CRISPR-Cas9 Edited A549 at 20 µg

Lane 3:

PC-3 at 20 µg

Lane 4:

HeLa at 20 µg

Lane 5:

THP-1 at 20 µg

Secondary

All lanes:

Goat anti-Rabbit 800CW & Goat anti-Mouse 680RD at 1/20000 dilution

Predicted band size: 37 kDa

Observed band size: 40 kDa,52 kDa

false

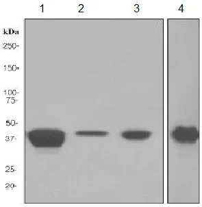
Western blot - Anti-ICAD antibody [EPR4221] (AB133250)
  • WB

Unknown

Western blot - Anti-ICAD antibody [EPR4221] (AB133250)

All lanes:

Western blot - Anti-ICAD antibody [EPR4221] (ab133250) at 1/10000 dilution

Lane 1:

Jurkat cell lysates at 10 µg

Lane 2:

U937 cell lysates at 10 µg

Lane 3:

A431 cell lysates at 10 µg

Lane 4:

HeLa cell lysates at 10 µg

Predicted band size: 37 kDa

false

  • Carrier free

    Anti-ICAD antibody [EPR4221] - BSA and Azide free

Key facts

Host species

Rabbit

Clonality

Monoclonal

Clone number

EPR4221

Isotype

IgG

Carrier free

No

Reacts with

Human

Applications

WB

applications

Immunogen

The exact immunogen used to generate this antibody is proprietary information.

Reactivity data

{ "title": "Reactivity Data", "filters": { "stats": ["", "Species", "Dilution Info", "Notes"], "tabs": { "all-applications": {"fullname" : "All Applications", "shortname": "All Applications"}, "FlowCyt" : {"fullname" : "Flow Cytometry", "shortname":"Flow Cyt"}, "WB" : {"fullname" : "Western blot", "shortname":"WB"}, "IHCP" : {"fullname" : "Immunohistochemistry (Formalin/PFA-fixed paraffin-embedded sections)", "shortname":"IHC-P"}, "ICCIF" : {"fullname" : "Immunocytochemistry/ Immunofluorescence", "shortname":"ICC/IF"} }, "product-promise": { "all": "all", "testedAndGuaranteed": "tested", "guaranteed": "expected", "predicted": "predicted", "notRecommended": "not-recommended" } }, "values": { "Human": { "FlowCyt-species-checked": "notRecommended", "FlowCyt-species-dilution-info": "", "FlowCyt-species-notes": "<p></p>", "WB-species-checked": "testedAndGuaranteed", "WB-species-dilution-info": "1/10000 - 1/50000", "WB-species-notes": "<p></p>", "IHCP-species-checked": "notRecommended", "IHCP-species-dilution-info": "", "IHCP-species-notes": "<p></p>", "ICCIF-species-checked": "notRecommended", "ICCIF-species-dilution-info": "", "ICCIF-species-notes": "<p></p>" } } }

Product details

Species reactivity
Mouse, Rat: We have preliminary internal testing data to indicate this antibody may not react with these species.
Please contact us for more information.

Patented technology
Our RabMAb® technology is a patented hybridoma-based technology for making rabbit monoclonal antibodies. For details on our patents, please refer to RabMAb® patents.

What are the advantages of a recombinant monoclonal antibody?
This product is a recombinant monoclonal antibody, which offers several advantages including:

  • - High batch-to-batch consistency and reproducibility
  • - Improved sensitivity and specificity
  • - Long-term security of supply
  • - Animal-free batch production

For more information, read more on recombinant antibodies.

Properties and storage information

Form
Liquid
Purification technique
Affinity purification Protein A
Storage buffer
pH: 7.2 - 7.4 Preservative: 0.05% Sodium azide Constituents: 50% Tissue culture supernatant, 40% Glycerol (glycerin, glycerine), 9.85% Tris glycine, 0.1% BSA
Shipped at conditions
Blue Ice
Appropriate short-term storage conditions
+4°C
Appropriate long-term storage conditions
-20°C
Storage information
Stable for 12 months at -20°C

Product protocols

For this product, it's our understanding that no specific protocols are required. You can visit:

Target data

Inhibitor of the caspase-activated DNase (DFF40).
See full target information DFFA

Publications (1)

Recent publications for all applications. Explore the full list and refine your search

Journal of experimental & clinical cancer research : CR 44:282 PubMed41057919

2025

Long-term patient-derived ovarian cancer organoids closely recapitulate tumor of origin and clinical response.

Applications

Unspecified application

Species

Unspecified reactive species

Lucie Thorel,Enora Dolivet,Pierre-Marie Morice,Romane Florent,Jordane Divoux,Marion Perréard,Lucie Lecouflet,Guillaume Desmartin,Chloé Marde Alagama,Florence Giffard,Alexandra Leconte,Justine Lequesne,Bénédicte Clarisse,Mélanie Briand,Alimatou Traoré,Céline Villenet,Jean-Pascal Meneboo,Guillaume Babin,Léopold Gaichies,Sandrine Martin-Françoise,Jean-François Le Brun,Roman Rouzier,Emilie Brotin,Christophe Denoyelle,Nicolas Vigneron,Raphaël Leman,Dominique Vaur,Laurent Castera,Cécile Blanc-Fournier,Nicolas Elie,Benoit Plancoulaine,Florence Joly,Matthieu Meryet-Figuière,Martin Figeac,Louis-Bastien Weiswald,Laurent Poulain
View all publications

Product promise

We are committed to supporting your work with high-quality reagents, and we're here for you every step of the way. In the unlikely event that one of our products does not perform as expected, you're protected by our Product Promise.
For full details, please see our Terms & Conditions

Please note: All products are 'FOR RESEARCH USE ONLY. NOT FOR USE IN DIAGNOSTIC OR THERAPEUTIC PROCEDURES'.

For licensing inquiries, please contact partnerships@abcam.com